Sign in to use this feature.

Years

Between: -

Subjects

remove_circle_outline
remove_circle_outline
remove_circle_outline

Journals

Article Types

Countries / Regions

Search Results (3)

Search Parameters:
Keywords = retrofractamide B

Order results
Result details
Results per page
Select all
Export citation of selected articles as:
18 pages, 2044 KB  
Article
Characterization and Isolation of Piperamides from Piper nigrum Cultivated in Costa Rica
by Luis Felipe Vargas-Huertas, Luis Diego Alvarado-Corella, Andrés Sánchez-Kopper, Andrea Mariela Araya-Sibaja and Mirtha Navarro-Hoyos
Horticulturae 2023, 9(12), 1323; https://doi.org/10.3390/horticulturae9121323 - 9 Dec 2023
Cited by 4 | Viewed by 3272
Abstract
The piperamides profile of Piper nigrum cultivated in Costa Rica was studied using ultra-performance liquid chromatography coupled with electrospray ionization quadrupole time-of-flight high-resolution mass spectrometry (UPLC-ESI-QTOF-HRMS) on enriched-piperamides extracts. A total of 31 different piperamides were identified, 24 of them with a methylenedioxyphenyl [...] Read more.
The piperamides profile of Piper nigrum cultivated in Costa Rica was studied using ultra-performance liquid chromatography coupled with electrospray ionization quadrupole time-of-flight high-resolution mass spectrometry (UPLC-ESI-QTOF-HRMS) on enriched-piperamides extracts. A total of 31 different piperamides were identified, 24 of them with a methylenedioxyphenyl moiety, including piperine and nine other compounds with the characteristic piperidine ring, as well as guineensine, retrofractamide B, and eight other piperamides with an N-isobutyl group. In addition, piperyline and two other compounds with a pyrrolidine ring, as well as piperflaviflorine B, holding a N-2-methylbutyl chain, were characterized. In turn, pellitorine and six other piperamides exhibiting a long olefinic chain instead of the methylenedioxyphenyl group were also tentatively identified. In addition, quantification was performed using UPLC coupled with a diode array detector (UPLC-DAD), with 15 piperamides being quantified, including piperine, piperyline, piperanine, and piperloguminine with values within the range of previous reports, while results obtained for guineensine (276.5–421.0 mg/100 g dry material) and pellitorine (414.4–725.0 mg/100 g dry material) were higher than those reported in the literature. Additionally, preparative and semi-preparative high-performance liquid chromatography (HPLC) separations allowed to isolate, besides piperine, four other piperamides, which were identified through HRMS, 1H and 13C nuclear magnetic resonance (NMR). These included retrofractamide B, guineensine, pellitorine, and (2E,4E,12Z)-N-isobutyl-octadeca-2,4,12-trienamide, with yields of 134.0 mg/100 g dry material, 209.7 mg/100 g dry material, 361.8 mg/100 g dry material and 467.0 mg/100 g dry material, respectively, with all these values higher than those reported in previous studies in the literature. The findings constitute the first report of such a number and diversity of compounds in P. nigrum cultivated in Costa Rica. Full article
(This article belongs to the Special Issue Phytochemical Composition and Bioactivity of Horticultural Products)
Show Figures

Figure 1

12 pages, 17192 KB  
Article
Chemical Composition of Leaves, Stem, and Roots of Peperomia pellucida (L.) Kunth
by Paulo Wender P. Gomes, Hugo Barretto, José Diogo E. Reis, Abraão Muribeca, Alice Veloso, Carlos Albuquerque, Andrew Teixeira, Wandson Braamcamp, Sônia Pamplona, Consuelo Silva and Milton Silva
Molecules 2022, 27(6), 1847; https://doi.org/10.3390/molecules27061847 - 11 Mar 2022
Cited by 20 | Viewed by 9438
Abstract
Peperomia pellucida is a species known in the Amazon as “erva-de-jabuti” that has been used in several therapeutic applications based on folk medicine. Herein, we describe the classes, subclasses, and the main compounds of the leaves, stems, and roots from P. pellucida by [...] Read more.
Peperomia pellucida is a species known in the Amazon as “erva-de-jabuti” that has been used in several therapeutic applications based on folk medicine. Herein, we describe the classes, subclasses, and the main compounds of the leaves, stems, and roots from P. pellucida by ultra-high performance liquid chromatography coupled to high-resolution mass spectrometry associated with molecular networks, mirror plot on the GNPS library, and machine learning. These data show compounds that were annotated for the first time in the Peperomia genus, such as 2′,4′,5′-trihydroxybutyrophenonevelutin, dehydroretrofractamide C, and retrofractamide B. Full article
(This article belongs to the Special Issue Discovery of Bioactive Ingredients from Natural Products, 2nd Edition)
Show Figures

Figure 1

11 pages, 1563 KB  
Article
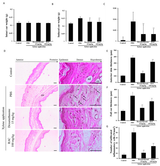
Retrofractamide C Derived from Piper longum Alleviates Xylene-Induced Mouse Ear Edema and Inhibits Phosphorylation of ERK and NF-κB in LPS-Induced J774A.1
by Hyung Jin Lim, Seon Gyeong Bak, Eun Jae Park, Sae-Kwang Ku, Soyoung Lee, Seung Woong Lee, Kang Min Lee, Seung-Jae Lee and Mun-Chual Rho
Molecules 2020, 25(18), 4058; https://doi.org/10.3390/molecules25184058 - 5 Sep 2020
Cited by 14 | Viewed by 3360
Abstract
Many studies have reported the biological activities of retrofractamide C (RAC). However, few studies have investigated the anti-inflammatory effect of RAC. In the present study, we investigated the anti-inflammatory effect of RAC using lipopolysaccharide (LPS)-induced J774A.1 cells and a xylene-induced mouse ear edema [...] Read more.
Many studies have reported the biological activities of retrofractamide C (RAC). However, few studies have investigated the anti-inflammatory effect of RAC. In the present study, we investigated the anti-inflammatory effect of RAC using lipopolysaccharide (LPS)-induced J774A.1 cells and a xylene-induced mouse ear edema model. Treatment with RAC decreased LPS-induced nitric oxide (NO) and prostaglandin E2 (PGE2) secretion and inducible NO synthase (iNOS) and cyclooxygenase 2 (COX2) protein expression. It also downregulated the LPS-induced production of interleukin-1β (IL-1β) and interleukin-6 (IL-6) but not tumor necrosis factor α (TNF-α). In the LPS-induced signaling pathway, RAC inhibited the phosphorylation of extracellular signal-regulated kinase (ERK) and nuclear factor kappa light chain enhancer of activated B cells (NF-κB) but not c-Jun N-terminal kinase (JNK) or p38. In a xylene-induced mouse ear edema model, RAC treatment alleviated edema formation and inflammatory cell infiltration. In conclusion, the present study indicates that RAC has the potential to have anti-inflammatory effects and could be a prospective functional food. Full article
Show Figures

Figure 1

Back to TopTop