Sign in to use this feature.

Years

Between: -

Subjects

remove_circle_outline
remove_circle_outline
remove_circle_outline
remove_circle_outline

Journals

Article Types

Countries / Regions

Search Results (4)

Search Parameters:
Keywords = pseudolysin

Order results
Result details
Results per page
Select all
Export citation of selected articles as:
30 pages, 12314 KB  
Review
Bacterial Zinc Metalloenzyme Inhibitors: Recent Advances and Future Perspectives
by Riccardo Di Leo, Doretta Cuffaro, Armando Rossello and Elisa Nuti
Molecules 2023, 28(11), 4378; https://doi.org/10.3390/molecules28114378 - 27 May 2023
Cited by 8 | Viewed by 3520
Abstract
Human deaths caused by Gram-negative bacteria keep rising due to the multidrug resistance (MDR) phenomenon. Therefore, it is a priority to develop novel antibiotics with different mechanisms of action. Several bacterial zinc metalloenzymes are becoming attractive targets since they do not show any [...] Read more.
Human deaths caused by Gram-negative bacteria keep rising due to the multidrug resistance (MDR) phenomenon. Therefore, it is a priority to develop novel antibiotics with different mechanisms of action. Several bacterial zinc metalloenzymes are becoming attractive targets since they do not show any similarities with the human endogenous zinc-metalloproteinases. In the last decades, there has been an increasing interest from both industry and academia in developing new inhibitors against those enzymes involved in lipid A biosynthesis, and bacteria nutrition and sporulation, e.g., UDP-[3-O-(R)-3-hydroxymyristoyl]-N-acetylglucosamine deacetylase (LpxC), thermolysin (TLN), and pseudolysin (PLN). Nevertheless, targeting these bacterial enzymes is harder than expected and the lack of good clinical candidates suggests that more effort is needed. This review gives an overview of bacterial zinc metalloenzyme inhibitors that have been synthesized so far, highlighting the structural features essential for inhibitory activity and the structure–activity relationships. Our discussion may stimulate and help further studies on bacterial zinc metalloenzyme inhibitors as possible novel antibacterial drugs. Full article
(This article belongs to the Special Issue Enzyme Inhibitors: Discovery, Synthesis and Medical Applications)
Show Figures

Graphical abstract

16 pages, 4029 KB  
Article
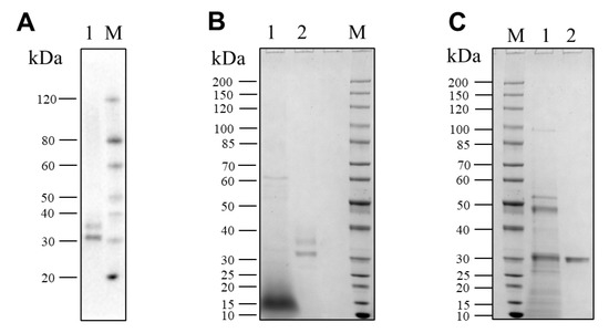
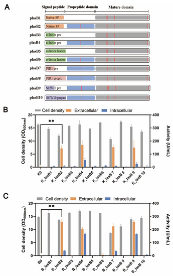
Expression of a Salt-Tolerant Pseudolysin in Yeast for Efficient Protein Hydrolysis under High-Salt Conditions
by Xiufang Liu, Qian Lu, Han Xiao, Yunzi Feng, Guowan Su, Mouming Zhao and Mingtao Huang
Biomolecules 2023, 13(1), 83; https://doi.org/10.3390/biom13010083 - 30 Dec 2022
Cited by 7 | Viewed by 2881
Abstract
Protease biocatalysis in a high-salt environment is very attractive for applications in the detergent industry, the production of diagnostic kits, and traditional food fermentation. However, high-salt conditions can reduce protease activity or even inactivate enzymes. Herein, in order to explore new protease sources, [...] Read more.
Protease biocatalysis in a high-salt environment is very attractive for applications in the detergent industry, the production of diagnostic kits, and traditional food fermentation. However, high-salt conditions can reduce protease activity or even inactivate enzymes. Herein, in order to explore new protease sources, we expressed a salt-tolerant pseudolysin of Pseudomonas aeruginosa SWJSS3 isolated from deep-sea mud in Saccharomyces cerevisiae. After optimizing the concentration of ion cofactors in yeast peptone dextrose (YPD) medium, the proteolytic activity in the supernatant was 2.41 times more than that in the control group when supplemented with 5 mM CaCl2 and 0.4 mM ZnCl2. The extracellular proteolytic activity of pseudolysin reached 258.95 U/mL with optimized expression cassettes. In addition, the S. cerevisiae expression system increased the salt tolerance of pseudolysin to sodium chloride (NaCl)and sodium dodecyl sulfate (SDS) and the recombinant pseudolysin retained 15.19% activity when stored in 3 M NaCl for 7 days. The recombinant pseudolysin was able to efficiently degrade the β-conglycinin from low-denatured soy protein isolates and glycinin from high-denatured soy protein isolates under high temperatures (60 °C) and high-salt (3 M NaCl) conditions. Our study provides a salt-tolerant recombinant protease with promising applications in protein hydrolysis under high-salt conditions. Full article
(This article belongs to the Section Synthetic Biology and Bioengineering)
Show Figures

Figure 1

18 pages, 5206 KB  
Article
Zinc-Chelating Compounds as Inhibitors of Human and Bacterial Zinc Metalloproteases
by Fatema Rahman, Imin Wushur, Nabin Malla, Ove Alexander Høgmoen Åstrand, Pål Rongved, Jan-Olof Winberg and Ingebrigt Sylte
Molecules 2022, 27(1), 56; https://doi.org/10.3390/molecules27010056 - 22 Dec 2021
Cited by 8 | Viewed by 3845
Abstract
Inhibition of bacterial virulence is believed to be a new treatment option for bacterial infections. In the present study, we tested dipicolylamine (DPA), tripicolylamine (TPA), tris pyridine ethylene diamine (TPED), pyridine and thiophene derivatives as putative inhibitors of the bacterial virulence factors thermolysin [...] Read more.
Inhibition of bacterial virulence is believed to be a new treatment option for bacterial infections. In the present study, we tested dipicolylamine (DPA), tripicolylamine (TPA), tris pyridine ethylene diamine (TPED), pyridine and thiophene derivatives as putative inhibitors of the bacterial virulence factors thermolysin (TLN), pseudolysin (PLN) and aureolysin (ALN) and the human zinc metalloproteases, matrix metalloprotease-9 (MMP-9) and matrix metalloprotease-14 (MMP-14). These compounds have nitrogen or sulfur as putative donor atoms for zinc chelation. In general, the compounds showed stronger inhibition of MMP-14 and PLN than of the other enzymes, with Ki values in the lower μM range. Except for DPA, none of the compounds showed significantly stronger inhibition of the virulence factors than of the human zinc metalloproteases. TPA and Zn230 were the only compounds that inhibited all five zinc metalloproteinases with a Ki value in the lower μM range. The thiophene compounds gave weak or no inhibition. Docking indicated that some of the compounds coordinated zinc by one oxygen atom from a hydroxyl or carbonyl group, or by oxygen atoms both from a hydroxyl group and a carbonyl group, and not by pyridine nitrogen as in DPA and TPA. Full article
(This article belongs to the Special Issue Metalloenzyme Inhibitors and Activators II)
Show Figures

Figure 1

16 pages, 3274 KB  
Article
Human Single-Chain Antibodies That Neutralize Elastolytic Activity of Pseudomonas aeruginosa LasB
by Sirijan Santajit, Thida Kong-ngoen, Manas Chongsa-Nguan, Usa Boonyuen, Pornpan Pumirat, Nitat Sookrung, Wanpen Chaicumpa and Nitaya Indrawattana
Pathogens 2021, 10(6), 765; https://doi.org/10.3390/pathogens10060765 - 17 Jun 2021
Cited by 11 | Viewed by 3801
Abstract
LasB (elastase/pseudolysin) is an injurious zinc-metalloprotease secreted by the infecting Pseudomonas aeruginosa. LasB is recognized as the bacterial key virulence factor for establishment of successful infection, acquisition of nutrients, dissemination, tissue invasion, and immune modulation and evasion. LasB digests a variety of [...] Read more.
LasB (elastase/pseudolysin) is an injurious zinc-metalloprotease secreted by the infecting Pseudomonas aeruginosa. LasB is recognized as the bacterial key virulence factor for establishment of successful infection, acquisition of nutrients, dissemination, tissue invasion, and immune modulation and evasion. LasB digests a variety of the host tissue proteins, extracellular matrices, as well as components of both innate and adaptive immune systems, including immunoglobulins, complement proteins, and cytokines. Thus, this enzyme is an attractive target for disarming the P. aeruginosa. This study generated human single-chain antibodies (HuscFvs) that can neutralize the elastolytic activity of native LasB by using phage display technology. Gene sequences coding HuscFvs (huscfvs) isolated from HuscFv-displaying phage clones that bound to enzymatically active LasB were sub-cloned to expression plasmids for large scale production of the recombinant HuscFvs by the huscfv-plasmid transformed Escherichia coli. HuscFvs of two transformed E. coli clones, i.e., HuscFv-N42 and HuscFv-N45, neutralized the LasB elastolytic activities in vitro. Computer simulation by homology modeling and molecular docking demonstrated that antibodies presumptively formed contact interfaces with the LasB residues critical for the catalytic activity. Although the LasB neutralizing mechanisms await elucidation by laboratory experiments, the HuscFvs should be tested further towards the clinical application as a novel adjunctive therapeutics to mitigate severity of the diseases caused by P. aeruginosa. Full article
(This article belongs to the Special Issue Pseudomonas aeruginosa Pathogenesis)
Show Figures

Figure 1

Back to TopTop