Sign in to use this feature.

Years

Between: -

Subjects

remove_circle_outline
remove_circle_outline

Journals

Article Types

Countries / Regions

Search Results (1)

Search Parameters:
Keywords = human FcRn transgenic mouse

Order results
Result details
Results per page
Select all
Export citation of selected articles as:
18 pages, 1987 KB  
Article
FcRn Expression in Wildtype Mice, Transgenic Mice, and in Human Tissues
by Tommy Li and Joseph P. Balthasar
Biomolecules 2018, 8(4), 115; https://doi.org/10.3390/biom8040115 - 15 Oct 2018
Cited by 27 | Viewed by 7259
Abstract
Quantitative real-time PCR and Western blot methods were developed to assess neonatal Fc-receptor (FcRn) mRNA and protein expression in human FcRn transgenic mice, Swiss Webster mice, and in select human tissues. Additionally, FcRn turnover was evaluated via pulse-chase. FcRn mRNA expression was significantly [...] Read more.
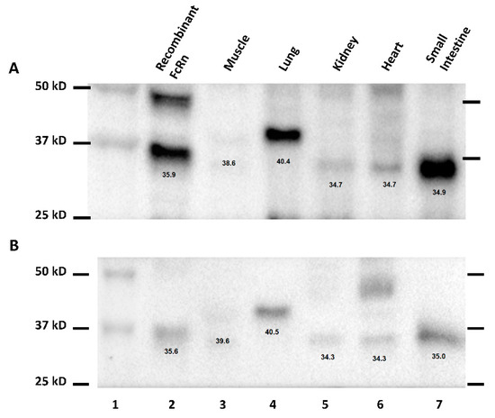
Quantitative real-time PCR and Western blot methods were developed to assess neonatal Fc-receptor (FcRn) mRNA and protein expression in human FcRn transgenic mice, Swiss Webster mice, and in select human tissues. Additionally, FcRn turnover was evaluated via pulse-chase. FcRn mRNA expression was significantly higher in transgenic mice when compared to mouse FcRn mRNA in Swiss Webster mice and it ranged from 184-fold higher in the kidney to 109,000-fold higher in the skin. FcRn protein expression was found to be 13-fold lower in kidney to 5.6-fold higher in lung obtained from transgenic mice compared to FcRn protein expression in lung samples obtained from Swiss Webster mice. FcRn protein expression in human liver and small intestine tissues matched more closely with FcRn expression in Swiss Webster mice but were significantly lower when compared to values found from Swiss Webster and transgenic mice. Although FcRn mRNA expression correlated significantly with protein expression (p < 0.0005), the correlation coefficient was only 0.113. As such, the measurement of FcRn protein may be preferred to FcRn mRNA for quantitative applications. Significant differences were found in FcRn expression in transgenic mice, Swiss Webster mice, and human tissues, which may have implications for the use of mouse models in the assessment of monoclonal antibody disposition, efficacy, and safety. Full article
Show Figures

Figure 1

Back to TopTop