Sign in to use this feature.

Years

Between: -

Subjects

remove_circle_outline
remove_circle_outline
remove_circle_outline
remove_circle_outline

Journals

Article Types

Countries / Regions

Search Results (2)

Search Parameters:
Keywords = Trypanasoma

Order results
Result details
Results per page
Select all
Export citation of selected articles as:
9 pages, 282 KB  
Communication
Vector-Borne Pathogens in Guard Dogs in Ibadan, Nigeria
by Isabella Gruenberger, Amelie-Victoria Liebich, Temitayo Olabisi Ajibade, Oluwasola Olaiya Obebe, Nkiruka Fortunate Ogbonna, Licha N. Wortha, Maria S. Unterköfler, Hans-Peter Fuehrer and Adekunle Bamidele Ayinmode
Pathogens 2023, 12(3), 406; https://doi.org/10.3390/pathogens12030406 - 2 Mar 2023
Cited by 5 | Viewed by 2839
Abstract
Canine vector-borne diseases are of great relevance not only regarding animal welfare but also in relation to the One Health concept. Knowledge concerning the most relevant vector-borne pathogens in dogs is scarce and limited to stray dogs in most western African regions, and [...] Read more.
Canine vector-borne diseases are of great relevance not only regarding animal welfare but also in relation to the One Health concept. Knowledge concerning the most relevant vector-borne pathogens in dogs is scarce and limited to stray dogs in most western African regions, and there is virtually no information about the situation in kept dogs presenting (regularly) to vets. Therefore, the blood samples of 150 owned guard dogs in the Ibadan area—in the southwest of Nigeria—were collected and analyzed for the DNA of Piroplasmida (Babesia, Hepatozoon, Theileria), Filarioidea (e.g., Dirofilaria immitis, Dirofilaria repens), Anaplasmataceae (e.g., Anaplasma, Ehrlichia), Trypanosomatidae (e.g., Leishmania, Trypanosoma), Rickettsia, Bartonella, Borrelia and hemotropic Mycoplasma using molecular methods. Overall, samples from 18 dogs (12%) tested positive for at least one pathogen. Hepatozoon canis (6%) was the most prevalent blood parasite, followed by Babesia rossi (4%). There was a single positive sample each for Babesia vogeli (0.6%) and Anaplasma platys (0.6%). Moreover, one mixed infection with Trypanosoma brucei/evansi and Trypanosoma congolense kilifi was confirmed (0.67%). Generally, the prevalence of vector-borne pathogens in this sample group of owned dogs in southwest Nigeria was lower than in prior studies from the country and in other parts of Africa in total. This leads to the assumption that, firstly, the exact geographical location has a major influence on the incidence of vector-borne diseases, and, secondly, it seems to make a difference if the dogs are owned and, therefore, regularly checked at a veterinary clinic. This study should raise awareness of the importance of routine health check-ups, tick and mosquito prophylaxis, and a well-managed infectious disease control program to prevent vector-borne diseases in canines. Full article
(This article belongs to the Special Issue Advances in Parasitic Diseases)
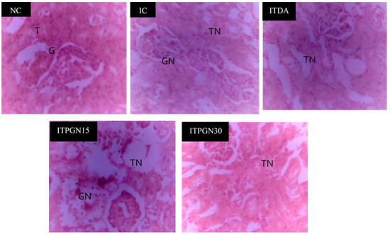
18 pages, 2956 KB  
Article
Phloroglucinol as a Potential Candidate against Trypanosoma congolense Infection: Insights from In Vivo, In Vitro, Molecular Docking and Molecular Dynamic Simulation Analyses
by Nasirudeen Idowu Abdulrashid, Suleiman Aminu, Rahma Muhammad Adamu, Nasir Tajuddeen, Murtala Bindawa Isah, Isa Danladi Jatau, Abubakar Babando Aliyu, Mthokozisi Blessing Cedric Simelane, Elewechi Onyike and Mohammed Auwal Ibrahim
Molecules 2022, 27(2), 469; https://doi.org/10.3390/molecules27020469 - 12 Jan 2022
Cited by 8 | Viewed by 3185
Abstract
Sub-Saharan Africa is profoundly challenged with African Animal Trypanosomiasis and the available trypanocides are faced with drawbacks, necessitating the search for novel agents. Herein, the chemotherapeutic potential of phloroglucinol on T. congolense infection and its inhibitory effects on the partially purified T. congolense [...] Read more.
Sub-Saharan Africa is profoundly challenged with African Animal Trypanosomiasis and the available trypanocides are faced with drawbacks, necessitating the search for novel agents. Herein, the chemotherapeutic potential of phloroglucinol on T. congolense infection and its inhibitory effects on the partially purified T. congolense sialidase and phospholipase A2 (PLA2) were investigated. Treatment with phloroglucinol for 14 days significantly (p < 0.05) suppressed T. congolense proliferation, increased animal survival and ameliorated anemia induced by the parasite. Using biochemical and histopathological analyses, phloroglucinol was found to prevent renal damages and splenomegaly, besides its protection against T. congolense-associated increase in free serum sialic acids in infected animals. Moreover, the compound inhibited bloodstream T. congolense sialidase via mixed inhibition pattern with inhibition binding constant (Ki) of 0.181 µM, but a very low uncompetitive inhibitory effects against PLA2 (Ki > 9000 µM) was recorded. Molecular docking studies revealed binding energies of −4.9 and −5.3 kcal/mol between phloroglucinol with modeled sialidase and PLA2 respectively, while a 50 ns molecular dynamics simulation using GROMACS revealed the sialidase-phloroglucinol complex to be more compact and stable with higher free binding energy (−67.84 ± 0.50 kJ/mol) than PLA2-phloroglucinol complex (−77.17 ± 0.52 kJ/mol), based on MM-PBSA analysis. The sialidase-phloroglucinol complex had a single hydrogen bond interaction with Ser453 while none was observed for the PLA2-phloroglucinol complex. In conclusion, phloroglucinol showed moderate trypanostatic activity with great potential in ameliorating some of the parasite-induced pathologies and its anti-anemic effects might be linked to inhibition of sialidase rather than PLA2. Full article
(This article belongs to the Section Chemical Biology)
Show Figures

Figure 1

Back to TopTop