Sign in to use this feature.

Years

Between: -

Subjects

remove_circle_outline
remove_circle_outline

Journals

Article Types

Countries / Regions

Search Results (4)

Search Parameters:
Keywords = Mastora score

Order results
Result details
Results per page
Select all
Export citation of selected articles as:
17 pages, 3941 KB  
Article
D-Dimer/Fibrinogen Ratio and Radiological Severity Scores in Acute Pulmonary Embolism: Is There Room for a New Thrombus-Burden Marker?
by Francesco Tiralongo, Lorenzo Musmeci, Stefania Tamburrini, Giacomo Sica, Mariano Scaglione, Mariapaola Tiralongo, Rosita Comune, Corrado Ini’, Davide Giuseppe Castiglione, Emanuele David, Pietro Valerio Foti, Stefano Palmucci and Antonio Basile
Diagnostics 2025, 15(22), 2875; https://doi.org/10.3390/diagnostics15222875 - 13 Nov 2025
Abstract
Background/Objectives: The D-dimer/fibrinogen ratio (D-d/F) has been proposed as a composite marker of fibrinolysis–coagulation balance. Whether D-d/F reflects CT-quantified thrombus burden and right ventricular dysfunction (RVD) in acute pulmonary embolism (PE) remains uncertain. Methods: Single-center retrospective cohort of consecutive adults with CTPA-confirmed [...] Read more.
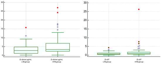
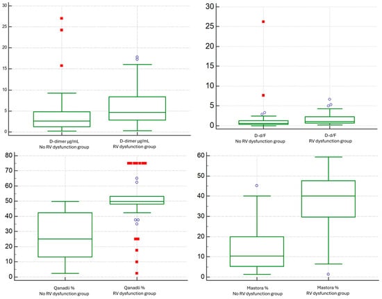
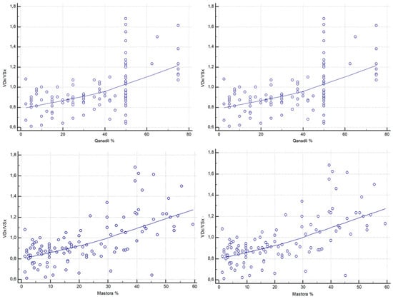
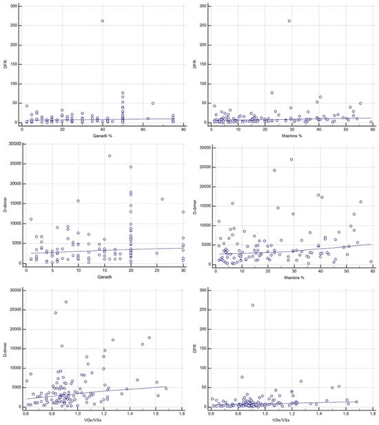
Background/Objectives: The D-dimer/fibrinogen ratio (D-d/F) has been proposed as a composite marker of fibrinolysis–coagulation balance. Whether D-d/F reflects CT-quantified thrombus burden and right ventricular dysfunction (RVD) in acute pulmonary embolism (PE) remains uncertain. Methods: Single-center retrospective cohort of consecutive adults with CTPA-confirmed PE (January 2022–October 2024). D-d/F = D-dimer (µg/mL)/fibrinogen (mg/dL). Thrombus burden: Qanadli and Mastora indices. RVD: RV/LV ratio, septal bowing, and IVC reflux. Associations: Spearman’s ρ with Steiger’s Z for between-marker comparisons. Discrimination for Qanadli ≥ 40% and RV/LV ≥ 1.0 by ROC. Two exploratory logistic models predicted Qanadli ≥ 40%: Model-1 (age, sex, D-d/F) and Model-2 adding RV/LV. Results: Among 112 patients (mean age 65.4 ± 15.6; 60% men), D-d/F correlated modestly with Qanadli (ρ = 0.233, p = 0.013) and Mastora (ρ = 0.274, p = 0.0034); strengths were similar to D-dimer (no between-marker difference: Steiger’s Z both p > 0.5). D-d/F correlated with RV/LV (ρ = 0.335, p < 0.001) and with IVC reflux (ρ = 0.247, p = 0.0085). CT indices related more strongly to hemodynamic markers (e.g., Qanadli with RV/LV ρ = 0.571, p < 0.0001; Mastora with RV/LV ρ = 0.620, p < 0.0001). Patients with septal bowing had higher D-dimer (median 4.65 vs. 2.74 µg/mL, p = 0.0037), higher D-d/F (1.04 vs. 0.61, p = 0.0018), and higher clot-burden scores (both p < 0.0001). For Qanadli ≥ 40%, AUCs were 0.621 for D-d/F (cut-off > 0.795; sens 58.8%, spec 62.3%) and 0.618 for D-dimer (>1.894 µg/mL; 84.3%, 37.7%); AUCs did not differ (p = 0.93). For RV/LV ≥ 1.0, AUCs were 0.693 for D-d/F (>0.607; 83.8%, 52.0%) and 0.684 for D-dimer (>2.849 µg/mL; 75.7%, 54.7%); p = 0.72. In Model-1, D-d/F predicted Qanadli ≥ 40% (OR = 1.43 per unit, p = 0.043; AUC = 0.64). After adding RV/LV (Model-2), discrimination improved (AUC = 0.796), RV/LV remained a strong predictor (p < 0.0001), and D-d/F was not retained (p = 0.287). Conclusions: In acute PE, D-d/F tracks thrombus burden and RVD to a degree comparable to D-dimer, but effects are modest. CT-based markers—particularly RV/LV—better reflect disease severity and are more predictive of high clot burden. Risk prediction and incremental utility of D-d/F were not assessed and warrant prospective evaluation. Full article
Show Figures

Figure 1

13 pages, 554 KB  
Article
Correlating Patient Symptoms and CT Morphology in AI-Detected Incidental Pulmonary Embolisms
by Selim Abed, Lucas Brandstetter and Klaus Hergan
Diagnostics 2025, 15(13), 1639; https://doi.org/10.3390/diagnostics15131639 - 27 Jun 2025
Viewed by 696
Abstract
Background/Objectives: Incidental pulmonary embolisms (IPEs) may be asymptomatic and radiologists may discover them for unrelated reasons, and they can thereby go underdiagnosed and undertreated. Artificial intelligence (AI) has emerged as a possible aid to radiologists in identifying IPEs. This study aimed to [...] Read more.
Background/Objectives: Incidental pulmonary embolisms (IPEs) may be asymptomatic and radiologists may discover them for unrelated reasons, and they can thereby go underdiagnosed and undertreated. Artificial intelligence (AI) has emerged as a possible aid to radiologists in identifying IPEs. This study aimed to assess the clinical and radiological significance of IPEs that a deep learning AI algorithm detected and correlate them with thrombotic burden, CT morphologic signs of right heart strain, and clinical symptoms. Methods: We retrospectively evaluated 13,603 contrast-enhanced thoracic and abdominal CT scans performed over one year at a tertiary care hospital using a CE- and FDA-cleared AI algorithm. Natural language processing (NLP) tools were used to determine whether IPEs were reported by radiologists. We scored confirmed IPEs using the Mastora, Qanadli, Ghanima, and Kirchner scores, and morphologic indicators of right heart strain and clinical parameters such as symptomatology, administered anticoagulation, and 6-month outcomes were analyzed. Results: AI identified 41 IPE cases, of which 61% occurred in oncologic patients. Most emboli were segmental, with no signs of right heart strain. Only 10% of patients were symptomatic. Thrombotic burden scores were similar between oncologic and non-oncologic groups. Four deaths occurred—all in oncologic patients. One untreated case experienced the recurrence of pulmonary embolism. Despite frequent detection, many IPEs were clinically silent. Conclusions: AI can effectively detect IPEs that are missed on initial review. However, most AI-detected IPEs are clinically silent. Integrating AI findings with morphologic and clinical criteria is crucial to avoid overtreatment and to guide appropriate management. Full article
Show Figures

Figure 1

16 pages, 1121 KB  
Article
Pulmonary Embolism Risk Assessment Using Blood Copeptin Concentration and Pulmonary Arteries Thrombotic Burden Evaluated by Computer Tomography
by Mihai Ștefan Cristian Haba, Ionut Tudorancea, Radu Ștefan Miftode, Irene Paula Popa, Ovidiu Mitu, Cosmin Teodor Mihai, Raluca Maria Haba, Viviana Aursulesei Onofrei, Antoniu Octavian Petris, Irina Iuliana Costache, Danisia Haba and Laurentiu Șorodoc
J. Pers. Med. 2022, 12(12), 2084; https://doi.org/10.3390/jpm12122084 - 19 Dec 2022
Cited by 2 | Viewed by 2248
Abstract
(1) Background: Pulmonary embolism (PE) represents the third most important cardiovascular cause of death after myocardial infarction and stroke. The proper management of this condition is dependent on adequate risk stratification, due to the life-threatening complications of more aggressive therapies such as thrombolysis. [...] Read more.
(1) Background: Pulmonary embolism (PE) represents the third most important cardiovascular cause of death after myocardial infarction and stroke. The proper management of this condition is dependent on adequate risk stratification, due to the life-threatening complications of more aggressive therapies such as thrombolysis. Copeptin is a surrogate marker of vasopressin which is found increased in several cardiovascular conditions. The Mastora score is an imagistic evaluation of the degree of pulmonary arteries thrombotic burden based on computed tomography angiography. In this study, we aimed to evaluate the diagnostic and prognostic role of copeptin in patients with acute PE. Furthermore, we analyzed the relationship between copeptin and Mastora score and their role in PE risk profiling. (2) Methods: We conducted a single center prospective study that included 112 patients with PE and 53 healthy volunteers. Clinical and paraclinical parameters, together with plasma levels of copeptin and the Mastora score, were evaluated in all patients after admission. (3) Results: Copeptin levels were significantly increased in PE patients compared with the general population (26.05 vs. 9.5 pmol/L, p < 0.001), while receiver operating characteristic (ROC) analysis revealed an AUC of 0.800 (95% CI 0.728–0.873, p < 0.001). Copeptin directly correlated with the Mastora score (r = 0.535, p = 0.011) and both parameters were strong predictors for adverse clinical events and death. Receiver operating characteristic (ROC) analysis for death within 30 days revealed a copeptin cut-off of 38.36 pmol/L, which presented a specificity of 79.6% and a sensitivity of 88.9%, and a Mastora score cut-off of 82 points, which presented a specificity of 74.8% and a sensitivity of 77.8%. (4) Conclusions: Our results showed that copeptin and the Mastora score are both correlated with adverse cardiovascular events and mortality in PE patients, and this may pave the way for their use in clinical practice, helping physicians to select the best therapeutical management. Full article
(This article belongs to the Collection Advances of Emergency and Intensive Care)
Show Figures

Figure 1

7 pages, 1846 KB  
Article
Pulmonary Vessel Obstruction Does Not Correlate with Severity of Pulmonary Embolism
by Marianne Lerche, Nikolaos Bailis, Mideia Akritidou, Hans Jonas Meyer and Alexey Surov
J. Clin. Med. 2019, 8(5), 584; https://doi.org/10.3390/jcm8050584 - 28 Apr 2019
Cited by 19 | Viewed by 3375
Abstract
The aim of the present study was to analyze possible relationships between pulmonary vessel obstruction and clinically relevant parameters and scores in patients with pulmonary embolism (PE). Overall, 246 patients (48.8% women and 51.2% men) with a mean age of 64.0 ± 17.1 [...] Read more.
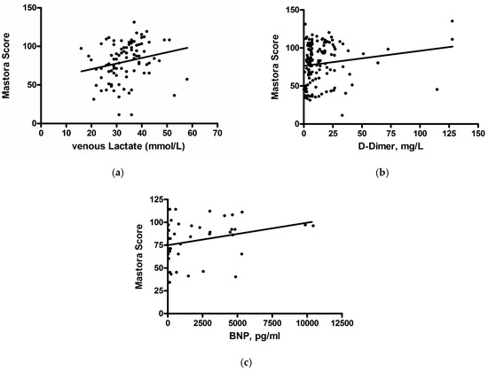
The aim of the present study was to analyze possible relationships between pulmonary vessel obstruction and clinically relevant parameters and scores in patients with pulmonary embolism (PE). Overall, 246 patients (48.8% women and 51.2% men) with a mean age of 64.0 ± 17.1 years were involved in the retrospective study. The following clinical scores were calculated in the patients: Wells score, Geneva score, and pulmonary embolism severity index (PESI) score. Levels of D-dimer (µg/mL), lactate, pH, troponin, and N-terminal natriuretic peptide (BNP, pg/mL) were acquired. Thrombotic obstruction of the pulmonary arteries was quantified according to Mastora score. The data collected were evaluated by means of descriptive statistics. Spearman’s correlation coefficient was used to analyze associations between the investigated parameters. P values < 0.05 were taken to indicate statistical significance. Mastora score correlated weakly with lactate level and tended to correlate with D-dimer and BNP levels. No other clinical or serological parameters correlated significantly with clot burden. Thrombotic obstruction of pulmonary vessels did not correlate with clinical severity of PE. Full article
(This article belongs to the Section Respiratory Medicine)
Show Figures

Figure 1

Back to TopTop