Sign in to use this feature.

Years

Between: -

Subjects

remove_circle_outline
remove_circle_outline
remove_circle_outline
remove_circle_outline
remove_circle_outline
remove_circle_outline

Journals

Article Types

Countries / Regions

Search Results (2)

Search Parameters:
Keywords = Hoover’s rising

Order results
Result details
Results per page
Select all
Export citation of selected articles as:
30 pages, 3887 KB  
Article
Fish Health Altered by Contaminants and Low Water Temperatures Compounded by Prolonged Regional Drought in the Lower Colorado River Basin, USA
by Steven L. Goodbred, Reynaldo Patiño, David A. Alvarez, Darren Johnson, Deena Hannoun, Kathy R. Echols and Jill A. Jenkins
Toxics 2024, 12(10), 708; https://doi.org/10.3390/toxics12100708 - 28 Sep 2024
Cited by 4 | Viewed by 2002
Abstract
The goal of this study was to assess health of male Common Carp (carp, Cyprinus carpio) at four sites with a wide range in environmental organic contaminant (EOC) concentrations and water temperatures in Lake Mead National Recreation Area NV/AZ, US, and the [...] Read more.
The goal of this study was to assess health of male Common Carp (carp, Cyprinus carpio) at four sites with a wide range in environmental organic contaminant (EOC) concentrations and water temperatures in Lake Mead National Recreation Area NV/AZ, US, and the potential influence of regional drought. Histological and reproductive biomarkers were measured in 17–30 carp at four sites and 130 EOCs in water per site were analyzed using passive samplers in 2010. Wide ranges among sites were noted in total EOC concentrations (>10Xs) and water temperature/degree days (10Xs). In 2007/08, total polychlorinated biphenyls (tPCBs) in fish whole bodies from Willow Beach (WB) in the free-flowing Colorado River below Hoover Dam were clearly higher than at the other sites. This was most likely due to longer exposures in colder water (12–14 °C) and fish there having the longest lifespan (up to 54 years) for carp reported in the Colorado River Basin. Calculated estrogenicity in water exceeded long-term, environmentally safe criteria of 0.1–0.4 ng/L by one to three orders of magnitude at all sites except the reference site. Low ecological screening values for four contaminants of emerging concern (CEC) in water were exceeded for one CEC in the reference site, two in WB and Las Vegas Bay and three in the most contaminated site LVW. Fish health biomarkers in WB carp had 25% lower liver glycogen, 10Xs higher testicular pigmented cell aggregates and higher sperm abnormalities than the reference site. Sperm from LVW fish also had significantly higher fragmentation of DNA, lower motility and testis had lower percent of spermatozoa, all of which can impair reproduction. Projections from a 3D water quality model performed for WB showed that EOC concentrations due to prolonged regional drought and reduced water levels could increase as high as 135%. Water temperatures by late 21st century are predicted to rise between 0.7 and 2.1 °C that could increase eutrophication, algal blooms, spread disease and decrease dissolved oxygen over 5%. Full article
Show Figures

Figure 1

9 pages, 1586 KB  
Case Report
Sarcotubular Myopathy Due to Novel TRIM32 Mutation in Association with Multiple Sclerosis
by Margarita Marchuk, Tetiana Dovbonos, Halyna Makukh, Orest Semeryak and Yevheniya Sharhorodska
Brain Sci. 2021, 11(8), 1020; https://doi.org/10.3390/brainsci11081020 - 31 Jul 2021
Cited by 6 | Viewed by 4228
Abstract
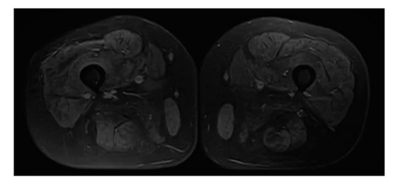
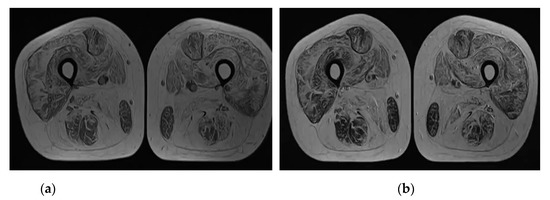
Azerbaijani 28-year-old female showed weakness (MRC (Medical Research Council Scale for Muscle Strength) grade 4 in the proximal part of the upper and MRC grade 2–3 in the lower extremities), difficulty in stair lifting, positive symptom of Hoover’s rising, «waddling gait», decline deep [...] Read more.
Azerbaijani 28-year-old female showed weakness (MRC (Medical Research Council Scale for Muscle Strength) grade 4 in the proximal part of the upper and MRC grade 2–3 in the lower extremities), difficulty in stair lifting, positive symptom of Hoover’s rising, «waddling gait», decline deep reflexes symmetrical, lack of surface reflexes, positive Babinsky’s reflex on the right, urinary incontinence during sneezing, prolonged walking and exercise from puberty. Additional methods made it possible to identify minor violations of conduction of the left ventricle, electromyography signs of primary muscular disease with predominant involvement of the proximal muscles of the lower extremities, elevation of serum creatine kinase (746.81 U/l), active foci of demyelination in the left frontal lobe, intrathecal synthesis of oligoclonal IgG bands (type 2) in cerebrospinal fluid, atrophy and fatty degeneration of all muscles of the shins, homozygous Variant of Uncertain Significance (VUS) c.1855C > T (p.Pro619Ser) in TRIM32 gene and heterozygous VUS c.2300C > G (p.Thr767Arg) in KIF5A, c.2840G > A (p.Arg947Lys) in MYH2, c.1502G > C (p.Gly501Ala) in POMT1 genes. Comparison of the phenotypes of the mutations that have been identified with the clinical picture of the patient suggests that VUS c.1855C > T (p.Pro619Ser) in the TRIM32 gene can be pathological. Summarizing, it can be argued that the cause of the identified disorders is a homozygous variant c.1855C > T (p.Pro619Ser) in TRIM32 gene that causes LGMDR8 in a patient with MS. Full article
Show Figures

Figure 1

Back to TopTop