Sign in to use this feature.

Years

Between: -

Subjects

remove_circle_outline
remove_circle_outline
remove_circle_outline
remove_circle_outline

Journals

Article Types

Countries / Regions

remove_circle_outline

Search Results (2)

Search Parameters:
Keywords = Artemisia apiacea Hance

Order results
Result details
Results per page
Select all
Export citation of selected articles as:
15 pages, 2970 KB  
Article
Vitexicarpin Induces Apoptosis and Inhibits Metastatic Properties via the AKT-PRAS40 Pathway in Human Osteosarcoma
by Hyung-Mun Yun, Hyun Sook Kwon, Joon Yeop Lee and Kyung-Ran Park
Int. J. Mol. Sci. 2024, 25(7), 3582; https://doi.org/10.3390/ijms25073582 - 22 Mar 2024
Cited by 7 | Viewed by 2526
Abstract
Osteosarcoma, which has poor prognosis after metastasis, is the most common type of bone cancer in children and adolescents. Therefore, plant-derived bioactive compounds are being actively developed for cancer therapy. Artemisia apiacea Hance ex Walp. is a traditional medicinal plant native to Eastern [...] Read more.
Osteosarcoma, which has poor prognosis after metastasis, is the most common type of bone cancer in children and adolescents. Therefore, plant-derived bioactive compounds are being actively developed for cancer therapy. Artemisia apiacea Hance ex Walp. is a traditional medicinal plant native to Eastern Asia, including China, Japan, and Korea. Vitexicarpin (Vitex), derived from A. apiacea, has demonstrated analgesic, anti-inflammatory, antitumour, and immunoregulatory properties; however, there are no published studies on Vitex isolated from the aerial parts of A. apiacea. Thus, this study aimed to evaluate the antitumour activity of Vitex against human osteosarcoma cells. In the present study, Vitex (>99% purity) isolated from A. apiacea induced significant cell death in human osteosarcoma MG63 cells in a dose- and time-dependent manner; cell death was mediated by apoptosis, as evidenced by the appearance of cleaved-PARP, cleaved-caspase 3, anti-apoptotic proteins (Survivin and Bcl-2), pro-apoptotic proteins (Bax), and cell cycle-related proteins (Cyclin D1, Cdk4, and Cdk6). Additionally, a human phosphokinase array proteome profiler revealed that Vitex suppressed AKT-dependent downstream kinases. Further, Vitex reduced the phosphorylation of PRAS40, which is associated with autophagy and metastasis, induced autophagosome formation, and suppressed programmed cell death and necroptosis. Furthermore, Vitex induced antimetastatic activity by suppressing the migration and invasion of MMP13, which is the primary protease that degrades type I collagen for tumour-induced osteolysis in bone tissues and preferential metastasis sites. Taken together, our results suggest that Vitex is an attractive target for treating human osteosarcoma. Full article
(This article belongs to the Special Issue New Insights in Natural Bioactive Compounds: 3rd Edition)
Show Figures

Graphical abstract

11 pages, 3184 KB  
Article
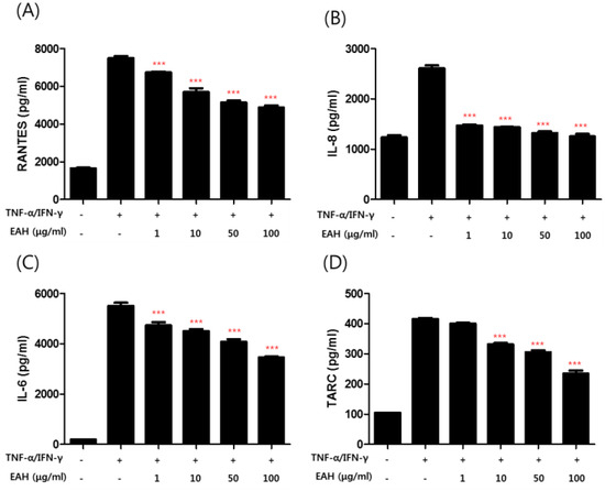
Ethanolic Extracts of Artemisia apiacea Hance Improved Atopic Dermatitis-Like Skin Lesions In Vivo and Suppressed TNF-Alpha/IFN-Gamma–Induced Proinflammatory Chemokine Production In Vitro
by Ju-Hye Yang, Esther Lee, BoHyoung Lee, Won-Kyung Cho, Jin Yeul Ma and Kwang-Il Park
Nutrients 2018, 10(7), 806; https://doi.org/10.3390/nu10070806 - 22 Jun 2018
Cited by 33 | Viewed by 6734
Abstract
Artemisia apiacea Hance is a traditional herbal medicine used for treating eczema and jaundice in Eastern Asia including China, Korea, and Japan. However, the biological and pharmacological actions of Artemisia apiacea Hance in atopic dermatitis (AD) are not fully understood. An ethanolic extract [...] Read more.
Artemisia apiacea Hance is a traditional herbal medicine used for treating eczema and jaundice in Eastern Asia including China, Korea, and Japan. However, the biological and pharmacological actions of Artemisia apiacea Hance in atopic dermatitis (AD) are not fully understood. An ethanolic extract of Artemisia apiacea Hance (EAH) was tested in vitro and in vivo to investigate its anti-inflammatory activity and anti-atopic dermatitis effects. The results showed that EAH dose-dependence inhibited production of regulated on activation, normal T-cell expressed and secreted (RANTES), interleukin (IL)-6, IL-8, and thymus and activation-regulated chemokine (TARC). EAH inhibited the activation of p38, extracellular signal-regulated kinases (ERK), and STAT-1 and suppressed the degradation of inhibited both nuclear factor of kappa light polypeptide gene enhancer in B-cells inhibitor-alpha (IκB-α) in TNF-α/IFN-γ–stimulated HaCaT cells. EAH also suppressed the translocation of inflammation transcription factors such as NF-κB p65 in TNF-α/IFN-γ–stimulated HaCaT cells. In addition, EAH reduced 2,4-dinitrochlorobenzene (DNCB)-induced ear thickness and dorsal skin thickness in a dose-dependent manner. EAH appeared to regulate chemokine formation by inhibiting activation of and ERK as well as the NK-κB pathways. Furthermore, EAH significantly improved the skin p38 conditions in a DNCB-induced AD-like mouse model. Full article
Show Figures

Graphical abstract

Back to TopTop