Sign in to use this feature.

Years

Between: -

Subjects

remove_circle_outline
remove_circle_outline
remove_circle_outline
remove_circle_outline
remove_circle_outline

Journals

Article Types

Countries / Regions

Search Results (5)

Search Parameters:
Authors = Mihaela Butcaru Pundiche

Order results
Result details
Results per page
Select all
Export citation of selected articles as:
21 pages, 781 KB  
Review
An Overview of the Etiopathogenic Mechanisms Involved in the Expression of the Oral Microbiota
by Ion Alexandru Popovici, Cristian Ionut Orasanu, Georgeta-Camelia Cozaru, Anita-Cristina Ionescu, Lidia Kajanto, Bogdan Cimpineanu, Anca Chisoi, Adrian Nelutu Mitroi, Ionut Poinareanu, Raluca Ioana Voda, Oana Andreea Ursica and Mihaela Butcaru Pundiche
Clin. Pract. 2025, 15(4), 80; https://doi.org/10.3390/clinpract15040080 - 11 Apr 2025
Cited by 2 | Viewed by 1293
Abstract
Background/Objectives: The diversity of the oral microbiota exerts its effects in maintaining dental and overall health. The unique genetic profile of each individual influences the composition of the oral microbiota, determining susceptibility to certain diseases. The aim is to observe its role [...] Read more.
Background/Objectives: The diversity of the oral microbiota exerts its effects in maintaining dental and overall health. The unique genetic profile of each individual influences the composition of the oral microbiota, determining susceptibility to certain diseases. The aim is to observe its role by highlighting the pathogenic mechanisms involved in oral dysbiosis and identify genetic determinism’s influence in maintaining balance. Methods: This study was designed as a narrative review of the oral microbiota, utilizing some of the principles and guidelines of systematic review to increase methodological rigor. We examined 121 articles such as reviews, meta-analyses, editorials, and observational studies, which met the inclusion and exclusion criteria. The inclusion criteria for studies were as follows: (1) studies that evaluated the impact of the microbiota in oral or/and systemic diseases; (2) studies that observed pathogenic mechanisms in the oral microbiota; (3) studies that evaluated the interaction of the microbiota with the immune system (4); studies that evaluated genetic implications in the microbiota. Results: Host genes regulate inflammatory and immunological reactions that play a role in microbiological balance. This explains the increased resistance of some to diseases, including gingivitis or periodontitis. Also, the implications of oral dysbiosis are reflected not only locally, but also generally, being associated with various systemic conditions. Conclusions: Understanding the pathogenic mechanisms and genetic determinants involved in oral dysbiosis may help create individualized therapies for preventing and managing oral and systemic disorders. A healthy lifestyle and adequate oral hygiene can facilitate a diverse and balanced microbiome, crucial for overall health. Full article
Show Figures

Figure 1

25 pages, 3900 KB  
Article
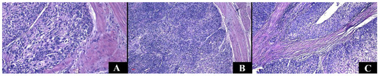
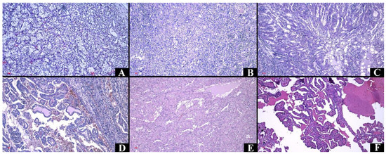
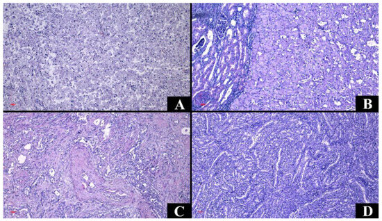
Same Organ, Two Cancers: Complete Analysis of Renal Cell Carcinomas and Upper Tract Urothelial Carcinomas
by Sorin Vamesu, Oana Andreea Ursica, Serban Eduard Milea, Mariana Deacu, Mariana Aschie, Anca Florentina Mitroi, Felix Voinea, Mihaela Butcaru Pundiche, Cristian Ionut Orasanu and Raluca Ioana Voda
Medicina 2024, 60(7), 1126; https://doi.org/10.3390/medicina60071126 - 12 Jul 2024
Cited by 5 | Viewed by 2530
Abstract
Background and Objectives: Renal cell carcinomas and upper tract urothelial carcinomas are types of malignancies that originate in the kidneys. Each of these examples shows an increasing trend in the frequency and the mortality rate. This study aims to comprehensively define carcinomas [...] Read more.
Background and Objectives: Renal cell carcinomas and upper tract urothelial carcinomas are types of malignancies that originate in the kidneys. Each of these examples shows an increasing trend in the frequency and the mortality rate. This study aims to comprehensively define carcinomas by analyzing clinical, paraclinical, and histological aspects to predict aggressiveness and mortality. Materials and Methods: We conducted a retrospective investigation on a group of patients suspected of kidney cancers. Results: We identified 188 cases. We observed a higher mortality rate and older age in individuals with urothelial carcinomas. Anemia, acute kidney injury, hematuria, and perineural invasion were the main risk factors that predicted their mortality. Tumor size in renal cell carcinomas correlates with the presence of necrosis and sarcomatoid areas. Factors that indicate a higher rate of death are older age, exceeding the renal capsule, a lesion that includes the entire kidney, lymphovascular invasion, acute kidney injury, and anemia. Conclusions: Even if they originate at the renal level, and the clinical–paraclinical picture is similar, the histopathological characteristics make the difference. In addition, to these are added the previously mentioned common parameters that can represent important prognostic factors. In conclusion, the characteristics commonly identified in one type of cancer may act as risk factors for the other tumor. The detected data include threshold values and risk factors, making a significant contribution to the existing literature. Full article
(This article belongs to the Section Oncology)
Show Figures

Figure 1

26 pages, 6336 KB  
Article
Endotoxin Inflammatory Action on Cells by Dysregulated-Immunological-Barrier-Linked ROS-Apoptosis Mechanisms in Gut–Liver Axis
by Andrei Dumitru, Elena Matei, Georgeta Camelia Cozaru, Anca Chisoi, Luana Alexandrescu, Răzvan Cătălin Popescu, Mihaela Pundiche Butcaru, Eugen Dumitru, Sorin Rugină and Cristina Tocia
Int. J. Mol. Sci. 2024, 25(5), 2472; https://doi.org/10.3390/ijms25052472 - 20 Feb 2024
Cited by 15 | Viewed by 3518
Abstract
Our study highlighted the immune changes by pro-inflammatory biomarkers in the gut–liver-axis-linked ROS-cell death mechanisms in chronic and acute inflammations when gut cells are exposed to endotoxins in patients with hepatic cirrhosis or steatosis. In duodenal tissue samples, gut immune barrier dysfunction was [...] Read more.
Our study highlighted the immune changes by pro-inflammatory biomarkers in the gut–liver-axis-linked ROS-cell death mechanisms in chronic and acute inflammations when gut cells are exposed to endotoxins in patients with hepatic cirrhosis or steatosis. In duodenal tissue samples, gut immune barrier dysfunction was analyzed by pro-inflammatory biomarker expressions, oxidative stress, and cell death by flow cytometry methods. A significant innate and adaptative immune system reaction was observed as result of persistent endotoxin action in gut cells in chronic inflammation tissue samples recovered from hepatic cirrhosis with the A-B child stage. Instead, in patients with C child stage of HC, the endotoxin tolerance was installed in cells, characterized by T lymphocyte silent activation and increased Th1 cytokines expression. Interesting mechanisms of ROS-cell death were observed in chronic and acute inflammation samples when gut cells were exposed to endotoxins and immune changes in the gut–liver axis. Late apoptosis represents the chronic response to injury induction by the gut immune barrier dysfunction, oxidative stress, and liver-dysregulated barrier. Meanwhile, necrosis represents an acute and severe reply to endotoxin action on gut cells when the immune system reacts to pro-inflammatory Th1 and Th2 cytokines releasing, offering protection against PAMPs/DAMPs by monocytes and T lymphocyte activation. Flow cytometric analysis of pro-inflammatory biomarkers linked to oxidative stress-cell death mechanisms shown in our study recommends laboratory techniques in diagnostic fields. Full article
(This article belongs to the Special Issue Advanced Research in Gut Inflammation and Gut-Mediated Disorders)
Show Figures

Figure 1

28 pages, 2255 KB  
Review
A Narrative Review of Current Knowledge on Cutaneous Melanoma
by Bogdan Marian Caraban, Mariana Aschie, Mariana Deacu, Georgeta Camelia Cozaru, Mihaela Butcaru Pundiche, Cristian Ionut Orasanu and Raluca Ioana Voda
Clin. Pract. 2024, 14(1), 214-241; https://doi.org/10.3390/clinpract14010018 - 26 Jan 2024
Cited by 17 | Viewed by 3945
Abstract
Cutaneous melanoma is a public health problem. Efforts to reduce its incidence have failed, as it continues to increase. In recent years, many risk factors have been identified. Numerous diagnostic systems exist that greatly assist in early clinical diagnosis. The histopathological aspect illustrates [...] Read more.
Cutaneous melanoma is a public health problem. Efforts to reduce its incidence have failed, as it continues to increase. In recent years, many risk factors have been identified. Numerous diagnostic systems exist that greatly assist in early clinical diagnosis. The histopathological aspect illustrates the grim nature of these cancers. Currently, pathogenic pathways and the tumor microclimate are key to the development of therapeutic methods. Revolutionary therapies like targeted therapy and immune checkpoint inhibitors are starting to replace traditional therapeutic methods. Targeted therapy aims at a specific molecule in the pathogenic chain to block it, stopping cell growth and dissemination. The main function of immune checkpoint inhibitors is to boost cellular immunity in order to combat cancer cells. Unfortunately, these therapies have different rates of effectiveness and side effects, and cannot be applied to all patients. These shortcomings are the basis of increased incidence and mortality rates. This study covers all stages of the evolutionary sequence of melanoma. With all these data in front of us, we see the need for new research efforts directed at therapies that will bring greater benefits in terms of patient survival and prognosis, with fewer adverse effects. Full article
Show Figures

Figure 1

28 pages, 932 KB  
Review
The Clinical Profile of Cat-Scratch Disease’s Neuro-Ophthalmological Effects
by Sanda Jurja, Alina Zorina Stroe, Mihaela Butcaru Pundiche, Silviu Docu Axelerad, Garofita Mateescu, Alexandru Octavian Micu, Raducu Popescu, Antoanela Oltean and Any Docu Axelerad
Brain Sci. 2022, 12(2), 217; https://doi.org/10.3390/brainsci12020217 - 4 Feb 2022
Cited by 15 | Viewed by 11966
Abstract
Cat-scratch disease is an illness caused by Bartonella henselae that occurs as a result of contact with an infected kitten or dog, such as a bite or scratch. It is more prevalent in children and young adults, as well as immunocompromised individuals. There [...] Read more.
Cat-scratch disease is an illness caused by Bartonella henselae that occurs as a result of contact with an infected kitten or dog, such as a bite or scratch. It is more prevalent in children and young adults, as well as immunocompromised individuals. There are limited publications examining the features of CSD in patients. As such, the purpose of this research was to assess the clinical neuro-ophthalmological consequences of CSD reported in the literature. Among the ophthalmologic disorders caused by cat-scratch disease in humans, Parinaud oculoglandular syndrome, uveitis, vitritis, retinitis, retinochoroiditis and optic neuritis are the most prevalent. The neurological disorders caused by cat-scratch disease in humans include encephalopathy, transverse myelitis, radiculitis, and cerebellar ataxia. The current review addresses the neuro-ophthalmological clinical manifestations of cat-scratch disease, as described in papers published over the last four decades (1980–2022). All the data gathered were obtained from PubMed, Medline and Google Scholar. The current descriptive review summarizes the most-often-encountered clinical symptomatology in instances of cat-scratch disease with neurological and ocular invasion. Thus, the purpose of this review is to increase knowledge of cat-scratch disease’s neuro-ophthalmological manifestations. Full article
(This article belongs to the Section Sensory and Motor Neuroscience)
Show Figures

Figure 1

Back to TopTop