Intestinal Absorption of Fucoidan Extracted from the Brown Seaweed, Cladosiphon okamuranus
Abstract
:1. Introduction
2. Results
2.1. Transport of Fucoidan across Caco-2 Cells

| Dose of Fucoidan (mg/mL) | Apparent Permeability Coefficient Papp (×10−7 cm/s) |
|---|---|
| 0.1 | 0.19 ± 0.06 |
| 0.5 | 0.24 ± 0.03 |
| 1.0 | 0.22 ± 0.02 |
| 1.5 | 0.22 ± 0.06 |
| 2.0 | 0.16 ± 0.02 |
| Dose of Fucoidan (mg/mL) | % of Fucoifan Transported for 1 h after the Treatment |
|---|---|
| 0.1 | 0.0076 ± 0.0003 |
| 0.5 | 0.0094 ± 0.0008 |
| 1.0 | 0.0087 ± 0.0010 |
| 1.5 | 0.0082 ± 0.0051 |
| 2.0 | 0.0062 ± 0.0025 |
2.2. Fucoidan Levels in the Serum and Liver from Rats Fed 2% Fucoidan Chow
| Serum (ng/mL) | Liver (ng/mg Protein) | |
|---|---|---|
| Control rat (n = 2) | ||
| No.1 | <1.0 * | <1.0 * |
| No.2 | <1.0 * | <1.0 * |
| One week-fucoidan rat (n = 2) | ||
| No.1 | 2.7 | 17.9 |
| No.2 | 1.7 | 13.4 |
| Two weeks-fucoidan rat (n = 2) | ||
| No.1 | 3.0 | 20.1 |
| No.2 | 2.4 | 12.8 |
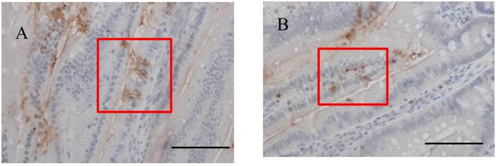
2.3. Immunohistochemistry for Fucoidan in the Small Intestine



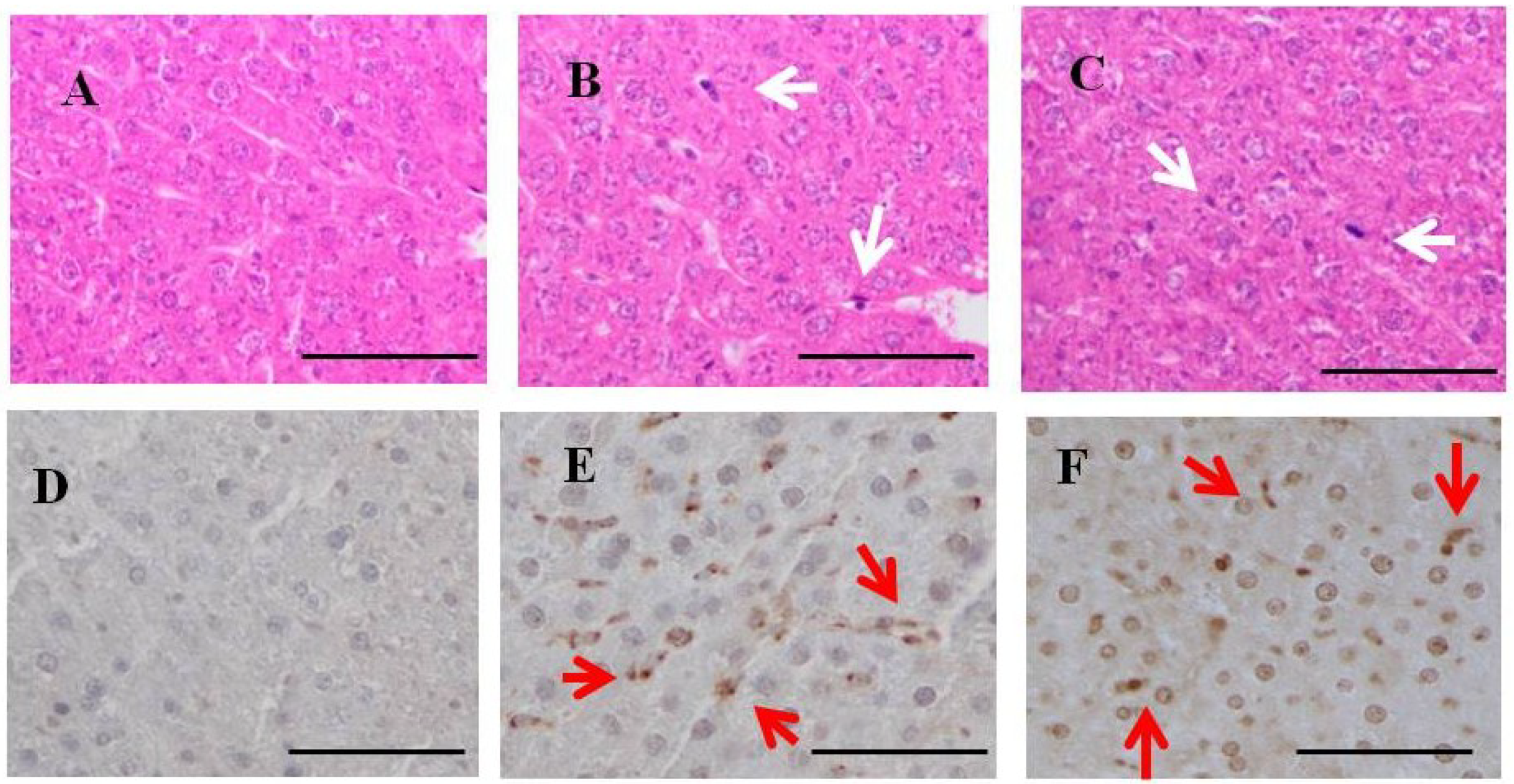
2.4. H & E Staining and Immunohistochemistry for Fucoidan in the Liver of Rats Fed Fucoidan Chow or Standard Chow

2.5. Fucoidan Levels in BBN-Ingesting Rats Fed Fucoidan Chow
| Serum (ng/mL) | Liver (ng/mg Protein) | |
|---|---|---|
| BBN rats (n = 4) | 4.7 ± 1.4 | 0.7 ± 0.4 |
| BBN + 0.2% fucoidan rats (n = 4) | 8.4 ± 2.9 | 36.9 ± 11.5 |
| BBN + 2% fucoidan rats (n = 4) | 8.6 ± 2.9 | 67.9 ± 14.5 * |
2.6. Immunohistochemistry for Fucoidan in the Small Intestines of BBN-Ingesting Rats Fed Fucoidan Chow

2.7. Double Staining for Fucoidan and ED1 in the Ileum of BBN-Ingesting Rats


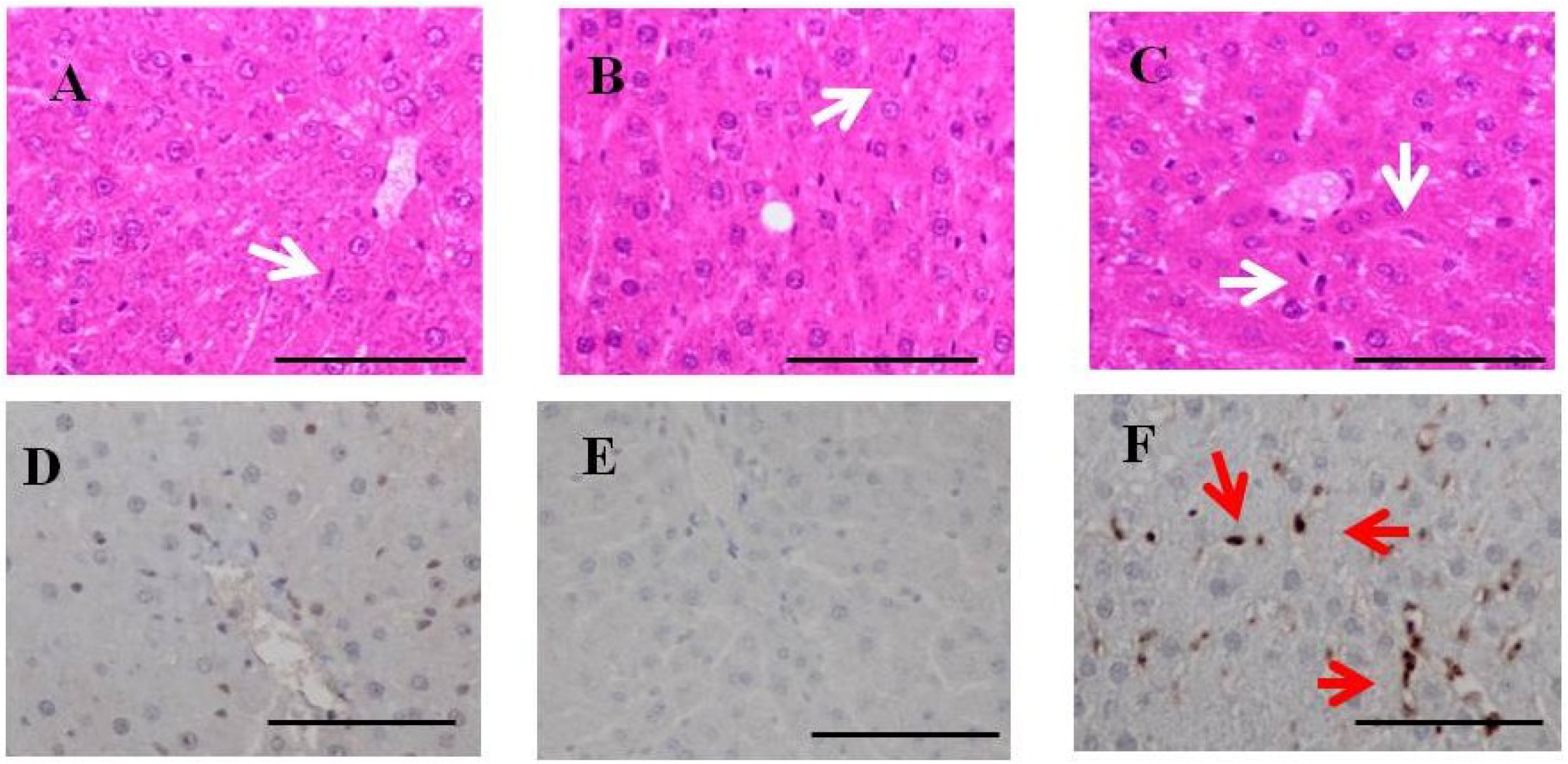
2.8. H & E Staining and Immunohistochemistry for Fucoidan in the Livers of BBN-Ingesting Rats
2.9. Double Staining for Fucoidan and ED1 on the Liver of BBN-Ingesting Rats

3. Discussion
4. Materials and Methods
4.1. Chemicals and Reagents
4.2. Transport of Fucoidan across Caco-2 Cells
4.3. Fucoidan Absorption in Rats after Its Oral Administration
4.4. Fucoidan Absorption after Its Oral Administration to Rats That Ingested N-Butyl-N-(4-hydroxybutyl)nitrosamine (BBN)
4.5. Fucoidan Assay
4.5.1. Fucoidan Staining
4.5.2. Double Staining for Fucoidan and ED1
4.6. Liver Pathology
4.7. Statistical Analysis
5. Conclusions
Acknowledgments
Author Contributions
Conflicts of Interest
References
- Cumashi, A.; Ushakova, N.A.; Preobrazhenskaya, M.E.; D’Incecco, A.; Piccoli, A.; Totani, L.; Tinari, N.; Morozevich, G.E.; Berman, A.E.; Bilan, M.I.; et al. Consorzio Interuniversitario Nazionale per la Bio-Oncologia, Italy. A comparative study of the anti-inflammatory, anticoagulant, antiangiogenic, and antiadhesive activities of nine different fucoidans from brown seaweeds. Glycobiology 2007, 17, 541–552. [Google Scholar] [CrossRef]
- Li, B.; Lu, F.; Wei, X. Fucoidan: Structure and bioactivity. Molecules 2008, 3, 1671–1695. [Google Scholar]
- Fitton, J.H. Therapies from fucoidan; multifunctional marine polymers. Mar. Drugs 2011, 9, 1731–1760. [Google Scholar] [CrossRef] [PubMed]
- Cardoso, M.L.; Xavier, C.A.; Bezerra, M.B.; Paiva, A.O.; Carvalho, M.F.; Benevides, N.M.; Rocha, F.A.; Leite, E.L. Assessment of zymosan-induced leukocyte influx in a rat model using sulfated polysaccharides. Planta Med. 2010, 76, 113–119. [Google Scholar] [CrossRef] [PubMed]
- Maruyama, H.; Tamauchi, H.; Iizuka, M.; Nakano, T. The role of NK cells in antitumor activity of dietary fucoidan from Undaria pinnatifida sporophylls (Mekabu). Planta Med. 2006, 72, 1415–1417. [Google Scholar] [CrossRef] [PubMed]
- Irhimeh, M.R.; Fitton, J.H.; Lowenthal, R.M.; Lowenthal, R.M.; Kongtawelert, P. A quantitative method to detect fucoidan in human plasma using a novel antibody. Methods Find Exp. Clin. Pharmacol. 2005, 27, 705–710. [Google Scholar] [CrossRef] [PubMed]
- Irhimeh, M.R.; Fitton, J.H.; Lowenthal, R.M. Pilot clinical study to evaluate the anticoagulant activity of fucoidan. Blood Coagul. Fibrinolysis 2009, 20, 607–610. [Google Scholar] [CrossRef] [PubMed]
- Tokita, Y.; Nakajima, K.; Mochida, H.; Iha, M.; Nagamine, T. Development of a fucoidan-specific antibody and measurement of fucoidan in serum and urine by sandwich ELISA. Biosci. Biotechnol. Biochem. 2010, 74, 350–357. [Google Scholar] [CrossRef] [PubMed]
- Michel, C.; Lahaye, M.; Bonnet, C.; Mabeau, S.; Barry, J.L. In vitro fermentation by human faecal bacteria of total and purified dietary fibres from brown seaweeds. Br. J. Nutr. 1996, 75, 263–280. [Google Scholar] [CrossRef] [PubMed]
- Lynch, M.B.; Sweeney, T.; Callan, J.J.; O’Sullivan, J.T.; O’Doherty, J.V. The effect of dietary Laminaria-derived laminarin and fucoidan on nutrient digestibility, nitrogen utilisation, intestinal microflora and volatile fatty acid concentration in pigs. J. Sci. Food Agric. 2010, 90, 430–437. [Google Scholar] [PubMed]
- O’Sullivan, L.; Murphy, B.; McLoughlin, P.; Duggan, P.; Lawlor, P.G.; Hughes, H.; Gardiner, G.E. Prebiotics from marine macroalgae for human and animal health applications. Mar. Drugs 2010, 8, 2038–2064. [Google Scholar] [CrossRef] [PubMed]
- Nakazato, K.; Takada, H.; Iha, M.; Nagamine, T. Attenuation of N-nitrosodiethylamine-induced liver fibrosis by high-molecular-weight fucoidan derived from Cladosiphon okamuranus. J. Gastroenterol. Hepatol. 2010, 5, 1692–1701. [Google Scholar]
- Grabovac, V.; Bernkop-Schnürch, A. Improvement of the intestinal membrane permeability of low molecular weight heparin by complexation with stem bromelain. Int. J. Pharm. 2006, 326, 153–159. [Google Scholar] [CrossRef] [PubMed]
- Hisada, N.; Satsu, H.; Mori, A.; Totsuka, M.; Kamei, J.; Nozawa, T.; Shimizu, M. Low-molecular-weight hyaluronan permeates through human intestinal Caco-2 cell monolayers via the paracellular pathway. Biosci. Biotechnol. Biochem. 2008, 72, 1111–1114. [Google Scholar] [CrossRef] [PubMed]
- Kimura, R.; Rokkaku, T.; Takeda, S.; Senba, M.; Mori, N. Cytotoxic Effects of Fucoidan Nanoparticles against Osteosarcoma. Mar. Drugs 2013, 11, 4267–4278. [Google Scholar] [CrossRef] [PubMed]
- Bakhru, S.H.; Furtado, S.; Morello, A.P.; Mathiowitz, E. Oral delivery of proteins by biodegradable nanoparticles. Adv. Drug Deliv. Rev. 2013, 65, 811–821. [Google Scholar] [CrossRef] [PubMed]
- Lamari, F.N.; Theocharis, A.D.; Asimakopoulou, A.P.; Malavaki, C.J.; Karamanos, N.K. Metabolism and biochemical/physiological roles of chondroitin sulfates: Analysis of endogenous and supplemental chondroitin sulfates in blood circulation. Biomed. Chromatogr. 2006, 20, 539–550. [Google Scholar] [CrossRef] [PubMed]
- Artursson, P.; Palm, K.; Luthman, K. Caco-2 monolayers in experimental and theoretical predictions of drug transport. Adv. Drug Deliv. Rev. 2001, 46, 27–43. [Google Scholar] [CrossRef] [PubMed]
- Ben, J.; Zhang, Y.; Zhou, R.; Zhang, H.; Zhu, X.; Li, X.; Zhang, H.; Li, N.; Zhou, X.; Bai, H.; et al. Major vault protein regulates class A scavenger receptor-mediated TNF-α synthesis and apoptosis in macrophages. J. Biol. Chem. 2013, 288, 20076–20084. [Google Scholar] [CrossRef] [PubMed]
- Oz, H.S.; Zhong, J.; de Villiers, W.J. Pattern recognition scavenger receptors, SR-A and CD36, have an additive role in the development of colitis in mice. Dig. Dis. Sci. 2009, 54, 2561–2567. [Google Scholar] [CrossRef] [PubMed]
- Mowat, A.M.; Bain, C.C. Mucosal macrophages in intestinal homeostasis and inflammation. J. Innate Immun. 2011, 3, 550–564. [Google Scholar] [CrossRef] [PubMed]
- Yang, J.W.; Yoon, S.Y.; Oh, S.J.; Kim, S.K.; Kang, K.W. Bifunctional effects of fucoidan on the expression of inducible nitric oxide synthase. Biochem. Biophys. Res. Commun. 2006, 346, 345–350. [Google Scholar] [CrossRef] [PubMed]
- Matsumoto, S.; Nagaoka, M.; Hara, T.; Kimura-Takagi, I.; Mistuyama, K.; Ueyama, S. Fucoidan derived from Cladosiphon okamuranus Tokida ameliorates murine chronic colitis through the down-regulation of interleukin-6 production on colonic epithelial cells. Clin. Exp. Immunol. 2004, 136, 432–439. [Google Scholar]
- Suda, M.; Ohno, N.; Hashimoto, T.; Koizumi, K.; Adachi, Y.; Yadomae, T. Kupffer cells play important roles in the metabolic degradation of a soluble anti-tumor (1→3)-beta-d-glucan, SSG, in mice. FEMS Immunol. Med. Microbiol. 1996, 15, 93–100. [Google Scholar] [PubMed]
- Watanabe, J.; Haba, M.; Urano, K.; Yuasa, H. Uptake mechanism of fractionated [3H] heparin in isolated rat Kupffer cells: Involvement of scavenger receptors. Biol. Pharm. Bull. 1996, 19, 581–586. [Google Scholar] [CrossRef] [PubMed]
- Haba, M.; Urano, K.; Yuasa, H.; Watanabe, J. Molecular weight dependency in the uptake of fractionated [3H] heparin in isolated rat Kupffer cells. Biol. Pharm. Bull. 1996, 19, 864–868. [Google Scholar] [CrossRef]
- Chao, Y.; Karmali, P.P.; Simberg, D. Role of carbohydrate receptors in the macrophage uptake of dextran-coated iron oxide nanoparticles. Adv. Exp. Med. Biol. 2012, 733, 115–123. [Google Scholar]
- Ono, K.; Nishitani, C.; Mitsuzawa, H.; Shimizu, T.; Sano, H.; Suzuki, H.; Kodama, T.; Fujii, N.; Fukase, K.; Hirata, K.; et al. Mannose-binding lectin augments the uptake of lipid A, Staphylococcus aureus, and Escherichia coli by Kupffer cells through increased cell surface expression of scavenger receptor A. J. Immunol. 2006, 177, 5517–5523. [Google Scholar] [CrossRef]
- Van Oosten, M.; van Amersfoort, E.S.; van Berkel, T.J.; Kuiper, J. Scavenger receptor- like receptors for the binding of lipopolysaccharide and lipoteichoic acid to liver endothelial and Kupffer cells. J. Endotoxin Res. 2001, 7, 381–384. [Google Scholar] [CrossRef] [PubMed]
- Watanabe, J.; Hori, K.; Ozeki, S.J. Dose-dependent disposition of fractionated 3H-heparin in rats. Pharmacobio-Dyn. 1985, 6, 423–432. [Google Scholar]
- Blajchman, M.A.; Young, E.; Ofosu, F.A. Effects of unfractionated heparin, dermatan sulfate and low molecular weight heparin on vessel wall permeability in rabbits. Ann. N. Y. Acad. Sci. 1989, 556, 245–250. [Google Scholar]
- Pereira, M.S.; Melo, F.R.; Mourão, P.A. Is there a correlation between structural and anticoagulated action of sulfated galactans and sulfated fucans? Glycobiology 2002, 12, 573–580. [Google Scholar] [CrossRef] [PubMed]
- Pomin, V.H. Fucanomics and galactanomics: Marine distribution, medicinal impact, conceptions, and challenges. Biochim. Biophys. Acta 2012, 1820, 1971–1979. [Google Scholar] [CrossRef] [PubMed]
© 2014 by the authors; licensee MDPI, Basel, Switzerland. This article is an open access article distributed under the terms and conditions of the Creative Commons Attribution license (http://creativecommons.org/licenses/by/4.0/).
Share and Cite
Nagamine, T.; Nakazato, K.; Tomioka, S.; Iha, M.; Nakajima, K. Intestinal Absorption of Fucoidan Extracted from the Brown Seaweed, Cladosiphon okamuranus. Mar. Drugs 2015, 13, 48-64. https://doi.org/10.3390/md13010048
Nagamine T, Nakazato K, Tomioka S, Iha M, Nakajima K. Intestinal Absorption of Fucoidan Extracted from the Brown Seaweed, Cladosiphon okamuranus. Marine Drugs. 2015; 13(1):48-64. https://doi.org/10.3390/md13010048
Chicago/Turabian StyleNagamine, Takeaki, Kyoumi Nakazato, Satoru Tomioka, Masahiko Iha, and Katsuyuki Nakajima. 2015. "Intestinal Absorption of Fucoidan Extracted from the Brown Seaweed, Cladosiphon okamuranus" Marine Drugs 13, no. 1: 48-64. https://doi.org/10.3390/md13010048
APA StyleNagamine, T., Nakazato, K., Tomioka, S., Iha, M., & Nakajima, K. (2015). Intestinal Absorption of Fucoidan Extracted from the Brown Seaweed, Cladosiphon okamuranus. Marine Drugs, 13(1), 48-64. https://doi.org/10.3390/md13010048
