Vascular Implications of COVID-19: Role of Radiological Imaging, Artificial Intelligence, and Tissue Characterization: A Special Report
Abstract
:1. Introduction
2. Search Strategy
3. Entry Mechanism and Replication of SARS-CoV-2
3.1. Phase A1 (Attaching and Uncoating)
3.2. Phase A2 (Endocytosis)
3.3. Phase B (Translation and Proteolysis)
3.4. Phase C (Transcription and Translation)
3.5. Phase D (Assembly and Exocytosis)
4. COVID-19 and Its Effect on the Vasculature
4.1. Effect of COVID-19 on Pulmonary Vascular Pathology
4.1.1. Direct Endothelial Cell Damage
4.1.2. Activation of Bradykinin (BK)
4.1.3. Activation of Coagulation Cascade
4.1.4. Inflammatory Process
4.2. Pulmonary Arterial Vascular Damage Due to COVID-19
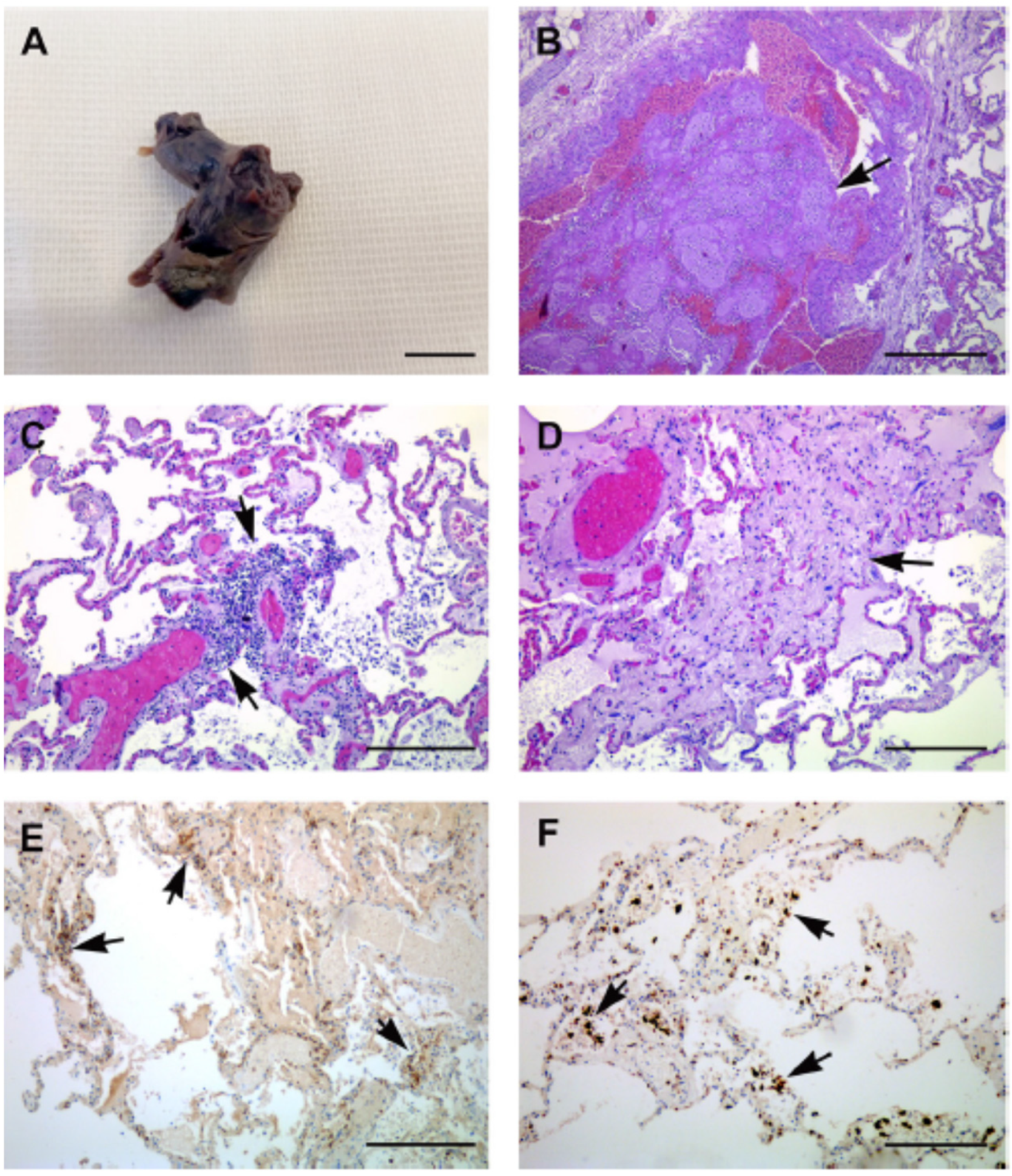
Pulmonary CT Images
4.3. Effect of COVID-19 in Renal Vascular Pathology
4.3.1. Direct Renal Invasion
| SN | Citations | PS | ME | Comorbidities | Outcome | Vascular Damage | Imaging Modalities | Treatment |
|---|---|---|---|---|---|---|---|---|
| 1 | Hasan et al. [92] (2020) | NR | LBBM | NR | COVID-19—A vascular disease | COVID-19—A vascular disease | CT | NR |
| 2 | Lang et al. [82] (2020) | 45 | LBBM | Cancer | In COVID-19 pneumonia, pulmonary vascular anomalies such as vessel hypertrophy and regional mosaic perfusion patterns are frequent. | Pulmonary vascular dilatation can occur not just within lung opacities, but also in a regional pattern outside of parenchymal opacities, and it can even affect the subpleural lung. | CT | NR |
| 3 | Ackermann et al. [93] (2020) | 07 | LBBM | Hypertension | The greater degree of endothelialitis and thrombosis in the lungs of patients with intussusceptive angiogenesis observed in these patients may have contributed to tissue hypoxia in both groups of patients. | Endothelialitis and thrombosis in the lung | CT | NR |
| 4 | Lins et al. [94] (2020) | NR | LBBM | NR | COVID-19 etiology involves pulmonary hemodynamic changes in the lung. | The pulmonary arterial density and tiny blood vessel volume were determined. | CT | NR |
| 5 | Hékimian et al. [95] (2020) | 51 | LBBM | Hypertension | Pulmonary infarction and agenesis observed | Pulmonary infarction | CT | NR |
| 6 | Espallargas et al. [96] (2020) | 804 | LBBM | NR | Elevation of D-dimer increases the risk of pulmonary embolism | It is possible that PE primarily affects the segmental arteries and the right lung in COVID-19 individuals. | CT | NR |
| 7 | Kho et al. [97] (2020) | 15 | LBBM | Dyspnoea | Radiological characteristics of COVID-19 included traction bronchiectasis, organising pneumonia, airspace opacification, inter/intra-lobular septal thickening, and bilateral peripheral subpleural ground-glass opacities. | Ground-glass opacities and areas of consolidation near the base | CT | NR |
| 8 | Miró et al. [98] (2021) | 62 | LBBM | CVD, Hypertension | D-dimer increases risk of pulmonary embolism | Pulmonary infarction | CT | NR |
| 9 | Scholkmann et al. [99] (2021) | 01 | LBBM | NR | Although focal vessel enlargement within ground-glass opacities was described in early imaging investigations of COVID-19, we have noted additional extensive vascular abnormalities. | vasculopathy was a direct viral effect on endothelial cells or perivascular inflammation | CT | NR |
| 10 | Faggiano et al. [100] (2021) | 07 | LBBM | CVD | COVID-19 increased risk of venous thromboembolism | COVID-19 pneumonia D-dimer levels frequently rise two to three-fold | CT | NR |
4.3.2. Indirect Renal Invasion
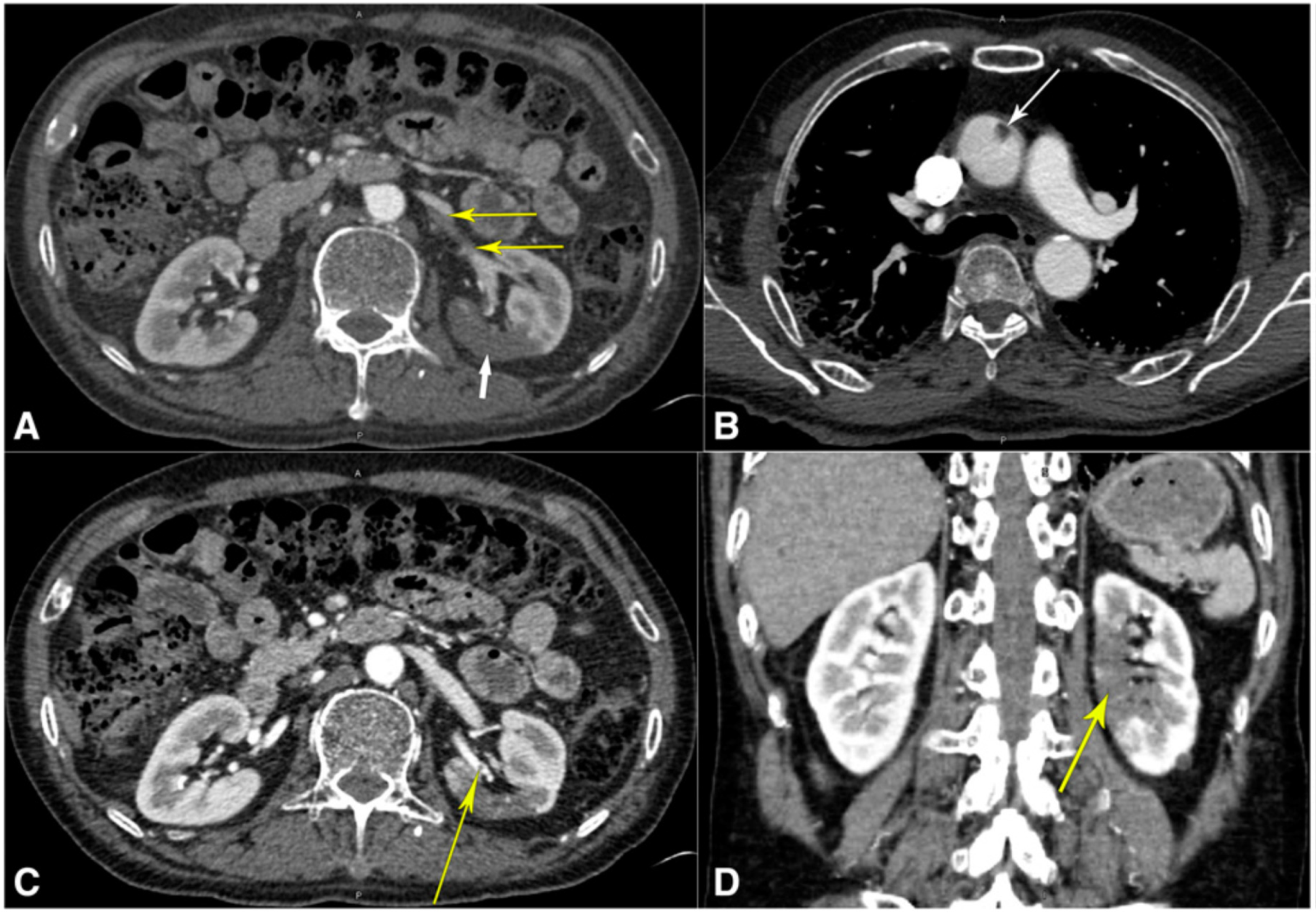
4.3.3. CT Images of the Renal Artery
| SN | Citations | PS | ME | Comorbidities | Outcome | Vascular Damage | Imaging Modalities | Treatment |
|---|---|---|---|---|---|---|---|---|
| 1 | Acharya et al. [112] (2020) | 01 | LBBM | CVD | Necrosis of renal artery due to COVID-19 | Renal Thrombosis | US | NR |
| 2 | Philipponnet et al. [113] (2020) | 01 | LBBM | CVD, Diabetics | Due to increased inflammation, platelet activation, endothelial dysfunction, and stasis, COVID-19 may predispose individuals to thrombotic illness in both the venous and arterial circulation. | Renal Thrombosis | CT | NR |
| 3 | Gabarre et al. [114] (2020) | 116 | LBBM | Hypertension, Diabetics | Direct invasion of SARS-CoV-2 into the renal parenchyma, an unbalanced RAAS, and micro thrombosis lead to kidney disease. | Renal Thrombosis | MRI | immunomodulatory drugs, anticoagulation |
| 4 | Yarijani et al. [115] (2020) | NR | LBBM | Diabetes mellitus, hypertension | SARS-CoV-2 enters in kidney and destroys cells, disrupting the renin–angiotensin–aldosterone system balance, activating coagulation pathways, and damaging the renal vascular endothelium are all effects of the COVID-19. | Acute Kidney Damage | US | Remdesivir, Doxycycline, Azithromycin, Chloroquine and hydroxychloroquine, Favipiravir |
| 5 | Singh et al. [116] (2020) | 01 | LBBM | Mucormycosis | Renal artery thrombosis in a COVID-19 patient led to renal infarction and nephrectomy. | Renal Artery Infarction | US | Anticoagulation |
| 6 | El Shamy et al. [117] (2021) | 01 | LBBM | Hypertension | Bilateral renal artery thrombosis due to COVID-19. | Renal Thrombosis | US | Kidney replacement |
| 7 | Watchorn et al. [118] (2021) | 03 | LBBM | Hypertension, CVD | Disrupting the renin–angiotensin–aldosterone system balance | Renal Thrombosis | US | NR |
| 8 | Tancredi et al. [119] (2021) | 01 | LBBM | Diabetes, Asthma | The observations shows that loss of corticomedullary differentiation, increased resistive indices, and decreased Doppler flow, renal cortical echogenicity increased. | Renal Artery Infarction | US | NR |
| 9 | Lushina et al. [120] (2021) | 01 | LBBM | Hypertension | RAAS and microthrombosis leads to CKD. | Renal Thromboembolic | CT | NR |
| 10 | Sifaat et al. [84] (2022) | NR | LBBM | Hypertension, Diabetics | The kidney is a likely target for COVID-19 due to its high number of cellular ACE2 receptors. These receptors are mainly localized in the glomerulus, mesangial cells, podocytes, and distal nephron. Reactive oxygen species (ROS), kidney fibrosis, collagen deposition, mesangial matrix expansion and podocyte loss were observed in diabetic renal disease | Kidney Fibrosis | US | RAAS antagonists |
4.4. Effect of COVID-19 on Coronary/Carotid Vascular Pathology
4.4.1. Coagulation Abnormality
4.4.2. (B) RAAS Dysregulation
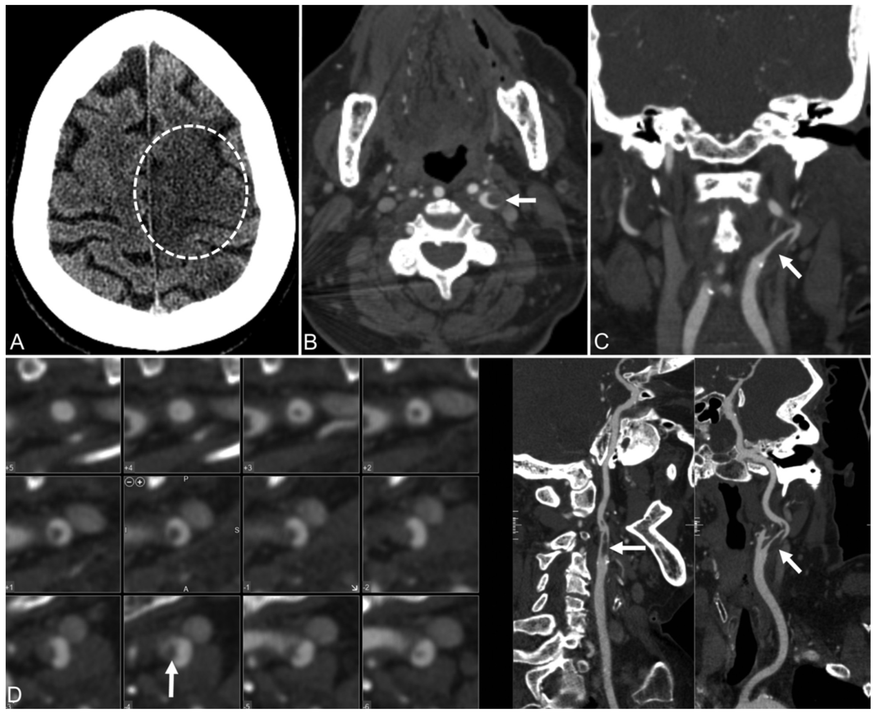
4.5. Coronary and Carotid Artery Images
5. Role of Artificial Intelligence-Based Tissue Characterization
5.1. AI-Based Tissue Characterization for Pulmonary Disease Diagnosis in COVID-19
5.2. AI-Based Tissue Characterization for Renal Disease in COVID-19
5.3. AI-Based Tissue Characterization for Carotid/Coronary Disease Diagnosis in COVID-19
5.3.1. The General Framework for PTC using CNN
5.3.2. Coronary and Carotid Plaque Tissue Characterization Using Machine Learning
5.3.3. Plaque Tissue Characterization Using Deep Learning
5.3.4. Generalized Transfer Learning for AI-Based Tissue Characterization
6. Discussion
6.1. Principal Findings
6.2. Benchmarking of Four Types of Vasculature Studies
6.3. Pulmonary Vasculature Studies
| SN | COVID-19 Attributes | Pulmonary | Renal | Coronary | Carotid |
|---|---|---|---|---|---|
| 1 | Viral invasion | ACE2 receptors on surface of type 2 pneumocytes | ACE2 receptors on the surface of glomerular cells, tubular epithelium, and podocytes of kidneys. | Myocytes [233] | ACE2 receptors |
| 2 | Manifestations | ARDS | Acute kidney injury, acute tubular necrosis, cortical necrosis, and renal ischemia, tissue abnormalities. | Plaque variability, abnormality in blood flow, Myocardial ischemia, myocarditis, and heart failure | Atherosclerotic plaque vulnerability and promotes a thrombogenic environment. |
| 3 | Systemic abnormalities (i.e., DM, HTN, ARDS, CVD) | Primary | Secondary | Primary and secondary | Primary and secondary |
| 4 | Anticoagulants | May be beneficial [234]. | Not beneficial [235] | Beneficial [236] | Beneficial [236] |
| 5 | Imaging Modalities | CT shows subpleural and peripheral areas “ground-glass opacities” and consolidation [236]. | CT, US, and MRI | CT, US, MRI, and X-ray | CT, US, and MRI |
| 6 | AI Models | ML [237], DL [238], HDL [46] | ML [239], DL [240], HDL [241] | ML [204], DL [242], HDL [243] | ML, DL, HDL |
| 7 | Classifier Types | SVM, DT, CNN, RF | SVM, DT, CNN, NB | SVM, DT, CNN, RF | SVM, DT, CNN, RF, NB |
| 8 | Drugs commonly used in COVID-19 may induce these conditions | Remdesivir is a prodrug for its action it metabolizes to Remdesivir triphosphate | Remdesivir is a prodrug for its action it metabolizes to Remdesivir triphosphate. Both Remdesivir and its active metabolite eliminate renal (i.e., 74%). AKI with this drug may be transient. Hence it is not advised in patients with eGFR < 30 mL/min per 1.73 m2 [244]. | Chloroquine phosphate, hydroxychloroquine sulphate and azithromycin usage individually or in combination may increase in QTc interval prolongation and torsades de pointes or ventricular arrhythmias [245,246]. | Chloroquine phosphate, hydroxychloroquine sulphate, and azithromycin |
6.4. Renal Vascular Studies
6.5. Coronary Vasculature Studies
6.6. Carotid
| C1 | C2 | C3 | C4 | C5 | C6 | C7 | C8 | C9 | |
|---|---|---|---|---|---|---|---|---|---|
| SN | Authors, Citation and Year | Vascular Type | IM | AI Type | Patient Dataset | Feature Selection | Classifier Type | Accuracy (%) | AUC [0-1] |
| 1 | Harmon et al. [231] (2020) | Pulmonary | CT | DL | 1280 | NR | NR | 85.50 | 0.94 |
| 2 | Estépar [232] (2020) | Pulmonary | CT | DL | 1024 | PCA | CNN | 92.00 | 0.80 |
| 3 | Li et al. [247] (2020) | Pulmonary | CT | DL | 4332 | SVM | CNN | 94.00 | 0.96 |
| 4 | Saba et al. [238] (2020) | Pulmonary | CT | DL | 130 | SVM | CNN | 74.58 | 0.74 |
| 5 | Agarwal et al. [46] (2021) | Pulmonary | CT | DL | 30 | DT | CNN | 99.41 | 0.99 |
| 6 | Tseng et al. [248] (2020) | Renal | CT | ML | 61 | SVM | RF + XGboost | 79.00 | 87 |
| 7 | Zang et al. [249] (2021) | Renal | MRI | DL | 31 | PCA | CNN | NR | NR |
| 8 | Ying et al. [250] (2021) | Renal | US | DL | 20 | NR | PCNN | NR | 0.78 |
| 9 | Bouteldja et al. [251] (2021) | Renal | US | DL | 60 | SVM | CNN | 81.00 | 80 |
| 10 | Kalisnik et al. [252] (2022) | Renal | CT | ML | 288 | SVM | RF | 81.00 | 88 |
| 11 | Çolak et al. [253] (2008) | Coronary | CT | DL | 237 | NR | CNN | 97.08 | 0.92 |
| 12 | Lee et al. [258] (2021) | Coronary | CT | DL | 2985 | NR | CNN | 93.03 | NR |
| 13 | Correia et al. [254] (2021) | Coronary | ECG | ML | 962 | SVM | LR | 93.02 | 0.93 |
| 14 | Upton et al. [243] (2022) | Coronary | CT | DL | 832 | NR | CNN | 92.07 | 0.93 |
| 15 | Gao et al. [259] (2022) | Coronary | US | ML | 539 | RF | LR | 89.05 | NR |
| 16 | Cheng et al. [255] (2017) | Carotid | US, CT | DL | 317 | NR | ANN | 80.76 | 0.80 |
| 17 | Skandha et al. [227] (2020) | Carotid | CT | DL | 1000 | NR | CNN | 95.66 | 0.95 |
| 18 | Konstantonis et al. [260] (2020) | Carotid | US | ML | 542 | PCA | RF | 98.39 | 0.98 |
| 19 | Jain et al. [256] (2021) | Carotid | US | HDL | 970 | PCA | CNN | 91.23 | 0.91 |
| 20 | Skandha et al. [257] (2022) | Carotid | US | HDL | 877 | DT | CNN | 99.78 | 0.99 |
6.7. A Special Note on Vascular Damage Due to COVID-19

6.8. Role of Anticoagulants in COVID-19
6.9. Bias in Deep Learning Systems
6.10. Strengths, Weakness, and Extensions
7. Conclusions
Author Contributions
Funding
Institutional Review Board Statement
Informed Consent Statement
Data Availability Statement
Conflicts of Interest
Abbreviations
| SN | Abb. | Definition |
| 1 | ACC | American College of Cardiology |
| 2 | AIbTC | Artificial Intelligence-based tissue characterization |
| 3 | ARDS | Acute respiratory distress syndrome |
| 4 | ASCVD | Atherosclerotic cardiovascular disease |
| 5 | ANS | Autonomic nervous System |
| 6 | AUC | Area under curve |
| 7 | AI | Artificial Intelligence |
| 8 | BMI | Body mass index |
| 9 | CAD | Coronary artery disease |
| 10 | CAS | Coronary artery syndrome |
| 11 | CHD | Coronary heart disease |
| 12 | CKD | Chronic kidney disease |
| 13 | CT | Computed Tomography |
| 14 | CUSIP | Carotid ultrasound image phenotype |
| 15 | CV | Cross-validation |
| 16 | CVD | Cardiovascular disease |
| 17 | CVE | Cardiovascular events |
| 18 | DL | Deep learning |
| 19 | DM | Diabetes mellitus |
| 20 | EEGS | Event-equivalent gold standard |
| 21 | EMG | Electromyography |
| 22 | EC | Endothelial Cell |
| 23 | ER | Endothelium reticulum |
| 24 | FH | Family history |
| 25 | GT | Ground truth |
| 26 | HTN | Hypertension |
| 27 | HDL | Hybrid deep learning |
| 28 | ICAM | Intercellular adhesion molecule |
| 29 | VCAM | Vascular cell adhesion molecule |
| 30 | LBBM | Laboratory-based biomarker |
| 31 | MedUSE | Medication use |
| 32 | ML | Machine learning |
| 33 | MRI | Magnetic Resonance Imaging |
| 34 | NR | Not reported |
| 35 | NPV | Negative predictive value |
| 36 | NB | Naive Bayes |
| 37 | NO | Nitric Oxide |
| 38 | nOH | Neurogenic orthostatic hypotension |
| 39 | Non-ML | Non-machine learning |
| 40 | OBBM | Office-based biomarker |
| 41 | OH | Orthostatic hypotension |
| 42 | OxLDL | Oxidation of low-density lipoprotein |
| 43 | QTc | Chaotic heartbeat |
| 44 | PE | Performance evaluation |
| 45 | PPV | Positive predictive value |
| 46 | PCA | Principal component analysis |
| 47 | PRISMA | Preferred Reporting Items for Systematic Reviews and Meta-Analyses |
| 48 | PTC | Plaque tissue characterization |
| 49 | RA | Rheumatoid arthritis |
| 50 | PR | The period measured in milliseconds |
| 51 | RF | Random forest |
| 52 | ROS | Reactive Oxides Stress |
| 53 | RoB | Risk of bias |
| 54 | ROC | Receiver operating-characteristics |
| 55 | RNA | Ribonucleic acid |
| 56 | SCORE | Systematic coronary risk evaluation |
| 57 | SMOTE | Synthetic minority over-sampling technique |
| 58 | SVM | Support vector machine |
| 59 | TPA | Total plaque area |
| 60 | TC | Tissue Characterization |
| 61 | US | Ultrasound |
| 62 | tPA | tissue plasminogen activator |
Appendix A
Acute Respiratory Distress Syndrome (ARDS)

Appendix B
Appendix B.1. DenseNet Architecture

Appendix B.2. InceptionV3 Architecture

Appendix B.3. XceptionNet Architecture

Appendix B.4. Resnet50 Architecture

Appendix B.5. MobileNet Architecture

References
- Khoshnood, R.J.; Zali, A.; Tafreshinejad, A.; Ghajarzadeh, M.; Ebrahimi, N.; Safari, S.; Mirmosayyeb, O. Parkinson’s disease and COVID-19: A systematic review and meta-analysis. Neurol. Sci. 2021, 43, 775–783. [Google Scholar] [CrossRef] [PubMed]
- Helmich, R.C.; Bloem, B.R. The impact of the COVID-19 pandemic on Parkinson’s disease: Hidden sorrows and emerging opportunities. J. Park. Dis. 2020, 10, 351. [Google Scholar] [CrossRef] [PubMed]
- Baschi, R.; Luca, A.; Nicoletti, A.; Caccamo, M.; Cicero, C.E.; D’Agate, C.; Di Giorgi, L.; La Bianca, G.; Lo Castro, T.; Zappia, M. Changes in motor, cognitive, and behavioral symptoms in Parkinson’s disease and mild cognitive impairment during the COVID-19 lockdown. Front. Psychiatry 2020, 11, 590134. [Google Scholar] [CrossRef] [PubMed]
- Wang, D.; Hu, B.; Hu, C.; Zhu, F.; Liu, X.; Zhang, J.; Wang, B.; Xiang, H.; Cheng, Z.; Xiong, Y. Clinical characteristics of 138 hospitalized patients with 2019 novel coronavirus–infected pneumonia in Wuhan, China. JAMA 2020, 323, 1061–1069. [Google Scholar] [CrossRef]
- Suri, J.S.; Puvvula, A.; Biswas, M.; Majhail, M.; Saba, L.; Faa, G.; Singh, I.M.; Oberleitner, R.; Turk, M.; Chadha, P.S. COVID-19 pathways for brain and heart injury in comorbidity patients: A role of medical imaging and artificial intelligence-based COVID severity classification: A review. Comput. Biol. Med. 2020, 124, 103960. [Google Scholar] [CrossRef]
- Pons, S.; Fodil, S.; Azoulay, E.; Zafrani, L. The vascular endothelium: The cornerstone of organ dysfunction in severe SARS-CoV-2 infection. Crit. Care 2020, 24, 353. [Google Scholar] [CrossRef]
- Flammer, A.J.; Anderson, T.; Celermajer, D.S.; Creager, M.A.; Deanfield, J.; Ganz, P.; Hamburg, N.M.; Lüscher, T.F.; Shechter, M.; Taddei, S. The assessment of endothelial function: From research into clinical practice. Circulation 2012, 126, 753–767. [Google Scholar] [CrossRef]
- Bonetti, P.O.; Lerman, L.O.; Lerman, A. Endothelial dysfunction: A marker of atherosclerotic risk. Arterioscler. Thromb. Vasc. Biol. 2003, 23, 168–175. [Google Scholar] [CrossRef]
- Varga, Z.; Flammer, A.J.; Steiger, P.; Haberecker, M.; Andermatt, R.; Zinkernagel, A.S.; Mehra, M.R.; Schuepbach, R.A.; Ruschitzka, F.; Moch, H. Endothelial cell infection and endotheliitis in COVID-19. Lancet 2020, 395, 1417–1418. [Google Scholar] [CrossRef]
- Teuwen, L.-A.; Geldhof, V.; Pasut, A.; Carmeliet, P. COVID-19: The vasculature unleashed. Nat. Rev. Immunol. 2020, 20, 389–391. [Google Scholar] [CrossRef]
- Nägele, M.P.; Haubner, B.; Tanner, F.C.; Ruschitzka, F.; Flammer, A.J. Endothelial dysfunction in COVID-19: Current findings and therapeutic implications. Atheroscler. 2020, 314, 58–62. [Google Scholar] [CrossRef]
- Monteil, V.; Kwon, H.; Prado, P.; Hagelkrüys, A.; Wimmer, R.A.; Stahl, M.; Leopoldi, A.; Garreta, E.; Del Pozo, C.H.; Prosper, F. Inhibition of SARS-CoV-2 infections in engineered human tissues using clinical-grade soluble human ACE2. Cell 2020, 181, 905–913.e7. [Google Scholar] [CrossRef]
- Fanni, D.; Saba, L.; Demontis, R.; Gerosa, C.; Chighine, A.; Nioi, M.; Suri, J.; Ravarino, A.; Cau, F.; Barcellona, D. Vaccine-induced severe thrombotic thrombocytopenia following COVID-19 vaccination: A report of an autoptic case and review of the literature. Eur. Rev. Med Pharm. Sci. 2021, 25, 5063–5069. [Google Scholar]
- Saba, L.; Gerosa, C.; Wintermark, M.; Hedin, U.; Fanni, D.; Suri, J.S.; Balestrieri, A.; Faa, G. Can COVID-19 trigger the plaque vulnerability—A Kounis syndrome warning for “asymptomatic subjects”. J. Cardiovasc. Diagn. Ther. 2020, 10, 1352. [Google Scholar] [CrossRef]
- El-Baz, A.S.; Acharya, R.; Mirmehdi, M.; Suri, J.S. Multi Modality State-of-the-Art Medical Image Segmentation and Registration Methodologies; Springer Science & Business Media: New York, NY, USA, 2011; Volume 1. [Google Scholar]
- Suri, J.S.; Rangayyan, R.M. Breast Imaging, Mammography, and Computer-Aided Diagnosis of Breast Cancer; SPIE: Bellingham, WA, USA, 2006. [Google Scholar]
- Saba, L.; Biswas, M.; Kuppili, V.; Godia, E.C.; Suri, H.S.; Edla, D.R.; Omerzu, T.; Laird, J.R.; Khanna, N.N.; Mavrogeni, S. The present and future of deep learning in radiology. Eur. J. Radiol. 2019, 114, 14–24. [Google Scholar] [CrossRef]
- Kuppili, V.; Biswas, M.; Sreekumar, A.; Suri, H.S.; Saba, L.; Edla, D.R.; Marinhoe, R.T.; Sanches, J.M.; Suri, J.S. Extreme learning machine framework for risk stratification of fatty liver disease using ultrasound tissue characterization. J. Med. Syst. 2017, 41, 152. [Google Scholar] [CrossRef]
- Tandel, G.S.; Balestrieri, A.; Jujaray, T.; Khanna, N.N.; Saba, L.; Suri, J.S. Multiclass magnetic resonance imaging brain tumor classification using artificial intelligence paradigm. Comput. Biol. Med. 2020, 122, 103804. [Google Scholar] [CrossRef]
- Acharya, R.; Ng, Y.E.; Suri, J.S. Image Modeling of the Human Eye; Artech House: Norwood, MA, USA, 2008. [Google Scholar]
- Jamthikar, A.D.; Gupta, D.; Mantella, L.E.; Saba, L.; Laird, J.R.; Johri, A.M.; Suri, J.S. Multiclass machine learning vs. conventional calculators for stroke/CVD risk assessment using carotid plaque predictors with coronary angiography scores as gold standard: A 500 participants study. Int. J. Cardiovasc. Imaging 2021, 37, 1171–1187. [Google Scholar] [CrossRef]
- Jamthikar, A.D.; Gupta, D.; Puvvula, A.; Johri, A.M.; Khanna, N.N.; Saba, L.; Mavrogeni, S.; Laird, J.R.; Pareek, G.; Miner, M. Cardiovascular risk assessment in patients with rheumatoid arthritis using carotid ultrasound B-mode imaging. Rheumatol. Int. 2020, 40, 1921–1939. [Google Scholar] [CrossRef]
- Viswanathan, V.; Puvvula, A.; Jamthikar, A.D.; Saba, L.; Johri, A.M.; Kotsis, V.; Khanna, N.N.; Dhanjil, S.K.; Majhail, M.; Misra, D.P. Bidirectional link between diabetes mellitus and coronavirus disease 2019 leading to cardiovascular disease: A narrative review. World J. Diabetes 2021, 12, 215–222. [Google Scholar] [CrossRef]
- Biswas, M.; Kuppili, V.; Saba, L.; Edla, D.R.; Suri, H.S.; Sharma, A.; Cuadrado-Godia, E.; Laird, J.R.; Nicolaides, A.; Suri, J.S. Deep learning fully convolution network for lumen characterization in diabetic patients using carotid ultrasound: A tool for stroke risk. Med. Biol. Eng. Comput. 2019, 57, 543–564. [Google Scholar] [CrossRef]
- Acharya, U.R.; Sree, S.V.; Krishnan, M.M.R.; Molinari, F.; Garberoglio, R.; Suri, J.S. Non-invasive automated 3D thyroid lesion classification in ultrasound: A class of ThyroScan™ systems. Ultrasonics 2012, 52, 508–520. [Google Scholar] [CrossRef]
- Acharya, U.R.; Sree, S.V.; Krishnan, M.M.R.; Molinari, F.; ZieleŸnik, W.; Bardales, R.H.; Witkowska, A.; Suri, J.S. Computer-aided diagnostic system for detection of Hashimoto thyroiditis on ultrasound images from a Polish population. J. Ultrasound Med. 2014, 33, 245–253. [Google Scholar] [CrossRef]
- Acharya, U.R.; Sree, S.V.; Saba, L.; Molinari, F.; Guerriero, S.; Suri, J.S. Ovarian tumor characterization and classification using ultrasound—A new online paradigm. J. Digit. Imaging 2013, 26, 544–553. [Google Scholar] [CrossRef]
- Wolfram, J.; Suri, K.; Huang, Y.; Molinaro, R.; Borsoi, C.; Scott, B.; Boom, K.; Paolino, D.; Fresta, M.; Wang, J. Evaluation of anticancer activity of celastrol liposomes in prostate cancer cells. J. Microencapsul. 2014, 31, 501–507. [Google Scholar] [CrossRef]
- Shrivastava, V.K.; Londhe, N.D.; Sonawane, R.S.; Suri, J.S. A novel and robust Bayesian approach for segmentation of psoriasis lesions and its risk stratification. Comput. Methods Programs Biomed. 2017, 150, 9–22. [Google Scholar] [CrossRef]
- Shrivastava, V.K.; Londhe, N.D.; Sonawane, R.S.; Suri, J.S. Reliable and accurate psoriasis disease classification in dermatology images using comprehensive feature space in machine learning paradigm. Expert Syst. Appl. 2015, 42, 6184–6195. [Google Scholar] [CrossRef]
- Acharya, U.R.; Faust, O.; Sree, S.V.; Molinari, F.; Saba, L.; Nicolaides, A.; Suri, J.S. An accurate and generalized approach to plaque characterization in 346 carotid ultrasound scans. IEEE Trans. Instrum. Meas. 2011, 61, 1045–1053. [Google Scholar] [CrossRef]
- Saba, L.; Jain, P.K.; Suri, H.S.; Ikeda, N.; Araki, T.; Singh, B.K.; Nicolaides, A.; Shafique, S.; Gupta, A.; Laird, J.R. Plaque tissue morphology-based stroke risk stratification using carotid ultrasound: A polling-based PCA learning paradigm. J. Med. Syst. 2017, 41, 98. [Google Scholar] [CrossRef]
- Liu, K.; Suri, J.S. Automatic Vessel Indentification for Angiographic Screening. U.S. Patent 6,845,260, 18 January 2005. [Google Scholar]
- Rajendra Acharya, U.; Paul Joseph, K.; Kannathal, N.; Lim, C.M.; Suri, J.S. Heart rate variability: A review. Med. Biol. Eng. Comput. 2006, 44, 1031–1051. [Google Scholar] [CrossRef]
- Araki, T.; Ikeda, N.; Shukla, D.; Jain, P.K.; Londhe, N.D.; Shrivastava, V.K.; Banchhor, S.K.; Saba, L.; Nicolaides, A.; Shafique, S. PCA-based polling strategy in machine learning framework for coronary artery disease risk assessment in intravascular ultrasound: A link between carotid and coronary grayscale plaque morphology. Comput. Methods Programs Biomed. 2016, 128, 137–158. [Google Scholar] [CrossRef] [PubMed]
- Mahalingam, A.; Gawandalkar, U.U.; Kini, G.; Buradi, A.; Araki, T.; Ikeda, N.; Nicolaides, A.; Laird, J.R.; Saba, L.; Suri, J.S. Numerical analysis of the effect of turbulence transition on the hemodynamic parameters in human coronary arteries. Cardiovasc. Diagn. Ther. 2016, 6, 208–220. [Google Scholar] [CrossRef] [PubMed]
- Suri, J.S.; Agarwal, S.; Carriero, A.; Paschè, A.; Danna, P.S.; Columbu, M.; Saba, L.; Viskovic, K.; Mehmedović, A.; Agarwal, S. COVLIAS 1.0 vs. MedSeg: Artificial Intelligence-Based Comparative Study for Automated COVID-19 Computed Tomography Lung Segmentation in Italian and Croatian Cohorts. Diagnostics 2021, 11, 2367. [Google Scholar] [CrossRef] [PubMed]
- Battineni, G.; Chintalapudi, N.; Amenta, F.; Traini, E. A Comprehensive Machine-Learning Model Applied to Magnetic Resonance Imaging (MRI) to Predict Alzheimer’s Disease (AD) in Older Subjects. J. Clin. Med. 2020, 9, 2146. [Google Scholar] [CrossRef]
- Saba, L.; Suri, J.S. Multi-Detector CT Imaging: Abdomen, Pelvis, and CAD Applications; CRC Press: Boca Raton, FL, USA, 2013; Volume 2. [Google Scholar]
- Sanches, J.M.; Laine, A.F.; Suri, J.S. Ultrasound Imaging; Springer: Berlin/Heidelberg, Germany, 2012. [Google Scholar]
- Acharya, U.R.; Mookiah, M.R.K.; Sree, S.V.; Afonso, D.; Sanches, J.; Shafique, S.; Nicolaides, A.; Pedro, L.M.; e Fernandes, J.F.; Suri, J.S. Atherosclerotic plaque tissue characterization in 2D ultrasound longitudinal carotid scans for automated classification: A paradigm for stroke risk assessment. Med. Biol. Eng. Comput. 2013, 51, 513–523. [Google Scholar] [CrossRef]
- Acharya, U.R.; Faust, O.; Alvin, A.; Krishnamurthi, G.; Seabra, J.C.; Sanches, J.; Suri, J.S. Understanding symptomatology of atherosclerotic plaque by image-based tissue characterization. Comput. Methods Programs Biomed. 2013, 110, 66–75. [Google Scholar] [CrossRef]
- Boi, A.; Jamthikar, A.D.; Saba, L.; Gupta, D.; Sharma, A.; Loi, B.; Laird, J.R.; Khanna, N.N.; Suri, J.S. A survey on coronary atherosclerotic plaque tissue characterization in intravascular optical coherence tomography. Curr. Atheroscler. Rep. 2018, 20, 33. [Google Scholar] [CrossRef]
- Sanagala, S.S.; Nicolaides, A.; Gupta, S.K.; Koppula, V.K.; Saba, L.; Agarwal, S.; Johri, A.M.; Kalra, M.S.; Suri, J.S. Ten Fast Transfer Learning Models for Carotid Ultrasound Plaque Tissue Characterization in Augmentation Framework Embedded with Heatmaps for Stroke Risk Stratification. Diagnostics 2021, 11, 2109. [Google Scholar] [CrossRef]
- Skandha, S.S.; Nicolaides, A.; Gupta, S.K.; Koppula, V.K.; Saba, L.; Johri, A.M.; Kalra, M.S.; Suri, J.S. A hybrid deep learning paradigm for carotid plaque tissue characterization and its validation in multicenter cohorts using a supercomputer framework. Comput. Biol. Med. 2022, 141, 105131. [Google Scholar] [CrossRef]
- Agarwal, M.; Saba, L.; Gupta, S.K.; Carriero, A.; Falaschi, Z.; Paschè, A.; Danna, P.; El-Baz, A.; Naidu, S.; Suri, J.S. A novel block imaging technique using nine artificial intelligence models for COVID-19 disease classification, characterization and severity measurement in lung computed tomography scans on an Italian cohort. J. Med. Syst. 2021, 45, 28. [Google Scholar] [CrossRef]
- Suri, J.; Agarwal, S.; Gupta, S.K.; Puvvula, A.; Viskovic, K.; Suri, N.; Alizad, A.; El-Baz, A.; Saba, L.; Fatemi, M. Systematic Review of Artificial Intelligence in Acute Respiratory Distress Syndrome for COVID-19 Lung Patients: A Biomedical Imaging Perspective. IEEE J. Biomed. Health Inform. 2021, 25, 4128–4139. [Google Scholar] [CrossRef]
- Senturk, Z.K. Early diagnosis of Parkinson’s disease using machine learning algorithms. Med. Hypotheses 2020, 138, 109603. [Google Scholar] [CrossRef]
- Janghel, R.R.; Shukla, A.; Rathore, C.P.; Verma, K.; Rathore, S. A comparison of soft computing models for Parkinson’s disease diagnosis using voice and gait features. Netw. Modeling Anal. Health Inform. Bioinform. 2017, 6, 14. [Google Scholar] [CrossRef]
- Mei, J.; Desrosiers, C.; Frasnelli, J. Machine learning for the diagnosis of parkinson’s disease: A review of literature. Front. Aging Neurosci. 2021, 13, 184. [Google Scholar] [CrossRef]
- Harrison, S.C. Viral membrane fusion. Virology 2015, 479, 498–507. [Google Scholar] [CrossRef]
- Cui, J.; Li, F.; Shi, Z.-L. Origin and evolution of pathogenic coronaviruses. Nat. Rev. Microbiol. 2019, 17, 181–192. [Google Scholar] [CrossRef]
- Du, L.; He, Y.; Zhou, Y.; Liu, S.; Zheng, B.-J.; Jiang, S. The spike protein of SARS-CoV—A target for vaccine and therapeutic development. Nat. Rev. Microbiol. 2009, 7, 226–236. [Google Scholar] [CrossRef]
- Howley, P.M.; Knipe, D.M. Fields Virology: Emerging Viruses; Lippincott Williams & Wilkins: Philadelphia, PE, USA, 2020. [Google Scholar]
- Sanders, J.M.; Monogue, M.L.; Jodlowski, T.Z.; Cutrell, J.B. Pharmacologic treatments for coronavirus disease 2019 (COVID-19): A review. JAMA 2020, 323, 1824–1836. [Google Scholar] [CrossRef]
- Li, G.; De Clercq, E. Therapeutic options for the 2019 novel coronavirus (2019-nCoV). Nat. Rev. Drug Discov. 2020, 19, 149–150. [Google Scholar] [CrossRef]
- Cao, B.; Wang, Y.; Wen, D.; Liu, W.; Wang, J.; Fan, G.; Ruan, L.; Song, B.; Cai, Y.; Wei, M. A trial of lopinavir–ritonavir in adults hospitalized with severe COVID-19. N. Engl. J. Med. 2020, 382, 1787–1799. [Google Scholar] [CrossRef]
- Cooper, C.; Van Heeswijk, R.; Gallicano, K.; Cameron, D. A review of low-dose ritonavir in protease inhibitor combination therapy. Clin. Infect. Dis. 2003, 36, 1585–1592. [Google Scholar] [CrossRef]
- Wu, Z.; McGoogan, J. Characteristics of and Important Lessons from the 367 Coronavirus Disease 2019 (COVID-19) Outbreak in China: Summary of a Report of 368 72314 Cases from the Chinese Center for Disease Control and Prevention. JAMA 2020, 323, 1239–1242. [Google Scholar] [CrossRef]
- Pober, J.S.; Sessa, W.C. Evolving functions of endothelial cells in inflammation. Nat. Rev. Immunol. 2007, 7, 803–815. [Google Scholar] [CrossRef]
- Ferrario, C.M.; Jessup, J.; Chappell, M.C.; Averill, D.B.; Brosnihan, K.B.; Tallant, E.A.; Diz, D.I.; Gallagher, P.E. Effect of angiotensin-converting enzyme inhibition and angiotensin II receptor blockers on cardiac angiotensin-converting enzyme 2. Circulation 2005, 111, 2605–2610. [Google Scholar] [CrossRef]
- Bhoola, K.; Figueroa, C.; Worthy, K. Bioregulation of kinins: Kallikreins, kininogens, and kininases. Pharmacol. Rev. 1992, 44, 1–80. [Google Scholar]
- Sodhi, C.P.; Wohlford-Lenane, C.; Yamaguchi, Y.; Prindle, T.; Fulton, W.B.; Wang, S.; McCray, P.B., Jr.; Chappell, M.; Hackam, D.J.; Jia, H. Attenuation of pulmonary ACE2 activity impairs inactivation of des-Arg9 bradykinin/BKB1R axis and facilitates LPS-induced neutrophil infiltration. Am. J. Physiol. Lung Cell. Mol. Physiol. 2018, 314, L17–L31. [Google Scholar] [CrossRef]
- Walls, A.C.; Park, Y.-J.; Tortorici, M.A.; Wall, A.; McGuire, A.T.; Veesler, D. Structure, function, and antigenicity of the SARS-CoV-2 spike glycoprotein. Cell 2020, 181, 281–292.e6. [Google Scholar] [CrossRef] [PubMed]
- Gheware, A.; Ray, A.; Rana, D.; Bajpai, P.; Nambirajan, A.; Arulselvi, S.; Mathur, P.; Trikha, A.; Arava, S.; Das, P. ACE2 protein expression in lung tissues of severe COVID-19 infection. Sci. Rep. 2022, 12, 4058. [Google Scholar] [CrossRef]
- Ritter, J.M.; Wilson, T.M.; Gary, J.M.; Seixas, J.N.; Martines, R.B.; Bhatnagar, J.; Bollweg, B.C.; Lee, E.; Estetter, L.; Silva-Flannery, L. Histopathology and localization of SARS-CoV-2 and its host cell entry receptor ACE2 in tissues from naturally infected US-farmed mink (Neovison vison). Vet. Pathol. 2022, 59, 03009858221079665. [Google Scholar] [CrossRef]
- Fu, Y.; Cheng, Y.; Wu, Y. Understanding SARS-CoV-2-mediated inflammatory responses: From mechanisms to potential therapeutic tools. Virol. Sin. 2020, 35, 266–271. [Google Scholar] [CrossRef]
- Glowacka, I.; Bertram, S.; Herzog, P.; Pfefferle, S.; Steffen, I.; Muench, M.O.; Simmons, G.; Hofmann, H.; Kuri, T.; Weber, F. Differential downregulation of ACE2 by the spike proteins of severe acute respiratory syndrome coronavirus and human coronavirus NL63. J. Virol. 2010, 84, 1198–1205. [Google Scholar] [CrossRef] [PubMed]
- Levi, M.; Cohn, D.M.; Zeerleder, S. Hereditary angioedema: Linking complement regulation to the coagulation system. Res. Pract. Thromb. Haemost. 2019, 3, 38–43. [Google Scholar] [CrossRef] [PubMed]
- Brake, S.J.; Eapen, M.S.; McAlinden, K.D.; Markos, J.; Haug, G.; Larby, J.; Chia, C.; Hardikar, A.; Singhera, G.K.; Hackett, T.L. SARS-CoV-2 (COVID-19) Adhesion Site Protein Upregulation in Small Airways, Type 2 Pneumocytes, and Alveolar Macrophages of Smokers and COPD–Possible Implications for Interstitial Fibrosis. Int. J. Chronic Obstr. Pulm. Dis. 2022, 17, 101. [Google Scholar] [CrossRef] [PubMed]
- Totura, A.L.; Whitmore, A.; Agnihothram, S.; Schäfer, A.; Katze, M.G.; Heise, M.T.; Baric, R.S. Toll-like receptor 3 signaling via TRIF contributes to a protective innate immune response to severe acute respiratory syndrome coronavirus infection. MBio 2015, 6, e00638-15. [Google Scholar] [CrossRef]
- Mehta, P.; McAuley, D.F.; Brown, M.; Sanchez, E.; Tattersall, R.S.; Manson, J.J.; Collaboration, H.A.S. COVID-19: Consider cytokine storm syndromes and immunosuppression. Lancet 2020, 395, 1033–1034. [Google Scholar] [CrossRef]
- Goeijenbier, M.; Van Wissen, M.; Van De Weg, C.; Jong, E.; Gerdes, V.; Meijers, J.; Brandjes, D.; van Gorp, E. Viral infections and mechanisms of thrombosis and bleeding. J. Med. Virol. 2012, 84, 1680–1696. [Google Scholar] [CrossRef]
- Che Mohd Nassir, C.M.N.; Hashim, S.; Wong, K.K.; Abdul Halim, S.; Idris, N.S.; Jayabalan, N.; Guo, D.; Mustapha, M. COVID-19 Infection and Circulating Microparticles—Reviewing Evidence as Microthrombogenic Risk Factor for Cerebral Small Vessel Disease. Mol. Neurobiol. 2021, 58, 4188–4215. [Google Scholar] [CrossRef]
- Ding, Y.; Wang, H.; Shen, H.; Li, Z.; Geng, J.; Han, H.; Cai, J.; Li, X.; Kang, W.; Weng, D. The clinical pathology of severe acute respiratory syndrome (SARS): A report from China. J. Pathol. J. Pathol. Soc. Great Br. Irel. 2003, 200, 282–289. [Google Scholar] [CrossRef]
- Liu, J.; Zheng, X.; Tong, Q.; Li, W.; Wang, B.; Sutter, K.; Trilling, M.; Lu, M.; Dittmer, U.; Yang, D. Overlapping and discrete aspects of the pathology and pathogenesis of the emerging human pathogenic coronaviruses SARS-CoV, MERS-CoV, and 2019-nCoV. J. Med. Virol. 2020, 92, 491–494. [Google Scholar] [CrossRef]
- Ackermann, M.; Verleden, S.E.; Kuehnel, M.; Haverich, A.; Welte, T.; Laenger, F.; Vanstapel, A.; Werlein, C.; Stark, H.; Tzankov, A. Pulmonary vascular endothelialitis, thrombosis, and angiogenesis in COVID-19. N. Engl. J. Med. 2020, 383, 120–128. [Google Scholar] [CrossRef]
- Zanframundo, G.; Graziani, A.; Caroli, B.; Palmese, F.; Bertoldi, C.; Cataleta, P.; Minguzzi, M.T.; Graziani, L.; Domenicali, M. Resolution of pulmonary artery thrombosis in patients with moderate COVID-19 disease. J. Community Hosp. Intern. Med. Perspect. 2021, 11, 470–472. [Google Scholar] [CrossRef] [PubMed]
- Katsoularis, I.; Fonseca-Rodríguez, O.; Farrington, P.; Jerndal, H.; Lundevaller, E.H.; Sund, M.; Lindmark, K.; Connolly, A.-M.F. Risks of deep vein thrombosis, pulmonary embolism, and bleeding after covid-19: Nationwide self-controlled cases series and matched cohort study. BMJ 2022, 377, e069590. [Google Scholar] [CrossRef] [PubMed]
- Del Nonno, F.; Colombo, D.; Nardacci, R.; Falasca, L. Fatal pulmonary arterial thrombosis in a COVID-19 patient, with asymptomatic history, occurred after swab negativization. Thromb. J. 2021, 19, 1. [Google Scholar] [CrossRef] [PubMed]
- Nichols, L. Pulmonary arterial thrombosis in COVID-19 with fatal outcome. Ann. Intern. Med. 2021, 174, 139. [Google Scholar] [CrossRef] [PubMed]
- Lang, M.; Som, A.; Carey, D.; Reid, N.; Mendoza, D.P.; Flores, E.J.; Li, M.D.; Shepard, J.-A.O.; Little, B.P. Pulmonary vascular manifestations of COVID-19 pneumonia. Radiol. Cardiothorac. Imaging 2020, 2, e200277. [Google Scholar] [CrossRef] [PubMed]
- Hom, J.J.; Ordovas, K.; Reddy, G.P. Velocity-encoded cine MR imaging in aortic coarctation: Functional assessment of hemodynamic events. Radiographics 2008, 28, 407–416. [Google Scholar] [CrossRef]
- Sifaat, M.; Patel, P.; Sheikh, R.; Ghaffar, D.; Vaishnav, H.; Nahar, L.; Rupani, S.; Quadri, S. Cardiorenal Disease in COVID-19 Patients. J. Renin-Angiotensin-Aldosterone Syst. 2022, 2022, 4640788. [Google Scholar] [CrossRef]
- Ling, Y.; Xu, S.-B.; Lin, Y.-X.; Tian, D.; Zhu, Z.-Q.; Dai, F.-H.; Wu, F.; Song, Z.-G.; Huang, W.; Chen, J. Persistence and clearance of viral RNA in 2019 novel coronavirus disease rehabilitation patients. Chin. Med. J. 2020, 133, 1039–1043. [Google Scholar] [CrossRef]
- Zou, X.; Chen, K.; Zou, J.; Han, P.; Hao, J.; Han, Z. Single-cell RNA-seq data analysis on the receptor ACE2 expression reveals the potential risk of different human organs vulnerable to 2019-nCoV infection. Front. Med. 2020, 14, 185–192. [Google Scholar] [CrossRef]
- Pan, M.; Gao, H.; Long, L.; Xu, Y.; Liu, M.; Zou, J.; Wu, A.; Wei, X.; Chen, X.; Tang, B. Serum uric acid in patients with Parkinson’s disease and vascular parkinsonism: A cross-sectional study. Neuroimmunomodulation 2013, 20, 19–28. [Google Scholar] [CrossRef]
- Diao, B.; Feng, Z.; Wang, C.; Wang, H.; Liu, L.; Wang, C.; Wang, R.; Liu, Y.; Liu, Y.; Wang, G. Human kidney is a target for novel severe acute respiratory syndrome coronavirus 2 (SARS-CoV-2) infection. MedRxiv 2020. [Google Scholar] [CrossRef]
- Su, H.; Yang, M.; Wan, C.; Yi, L.-X.; Tang, F.; Zhu, H.-Y.; Yi, F.; Yang, H.-C.; Fogo, A.B.; Nie, X. Renal histopathological analysis of 26 postmortem findings of patients with COVID-19 in China. Kidney Int. 2020, 98, 219–227. [Google Scholar] [CrossRef]
- Batlle, D.; Soler, M.J.; Sparks, M.A.; Hiremath, S.; South, A.M.; Welling, P.A.; Swaminathan, S. Acute kidney injury in COVID-19: Emerging evidence of a distinct pathophysiology. J. Am. Soc. Nephrol. 2020, 31, 1380–1383. [Google Scholar] [CrossRef]
- Li, Z.; Wu, M.; Yao, J.; Guo, J.; Liao, X.; Song, S.; Li, J.; Duan, G.; Zhou, Y.; Wu, X. Caution on kidney dysfunctions of COVID-19 patients. MedRxiv 2020. [Google Scholar] [CrossRef]
- Siddiqi, H.K.; Libby, P.; Ridker, P.M. COVID-19—A vascular disease. Trends Cardiovasc. Med. 2021, 31, 1–5. [Google Scholar] [CrossRef]
- Veyre, F.; Poulain-Veyre, C.; Esparcieux, A.; Monsarrat, N.; Aouifi, A.; Lapeze, J.; Chatelard, P. Femoral arterial thrombosis in a young adult after nonsevere COVID-19. Ann. Vasc. Surg. 2020, 6, 85–88. [Google Scholar] [CrossRef]
- Lins, M.; Vandevenne, J.; Thillai, M.; Lavon, B.R.; Lanclus, M.; Bonte, S.; Godon, R.; Kendall, I.; De Backer, J. Assessment of small pulmonary blood vessels in COVID-19 patients using HRCT. Acad. Radiol. 2020, 27, 1449–1455. [Google Scholar] [CrossRef]
- Hékimian, G.; Lebreton, G.; Bréchot, N.; Luyt, C.-E.; Schmidt, M.; Combes, A. Severe pulmonary embolism in COVID-19 patients: A call for increased awareness. Crit. Care 2020, 24, 274. [Google Scholar] [CrossRef]
- Espallargas, I.; Rodriguez Sevilla, J.J.; Rodriguez Chiaradia, D.A.; Salar, A.; Casamayor, G.; Villar-Garcia, J.; Rodó-Pin, A.; Marsico, S.; Carbullanca, S.; Ramal, D. CT imaging of pulmonary embolism in patients with COVID-19 pneumonia: A retrospective analysis. Eur. Radiol. 2021, 31, 1915–1922. [Google Scholar] [CrossRef]
- Kho, J.; Ioannou, A.; Van den Abbeele, K.; Mandal, A.K.; Missouris, C.G. Pulmonary embolism in COVID-19: Clinical characteristics and cardiac implications. Am. J. Emerg. Med. 2020, 38, 2142–2146. [Google Scholar] [CrossRef]
- Miró, Ò.; Jiménez, S.; Mebazaa, A.; Freund, Y.; Burillo-Putze, G.; Martín, A.; Martín-Sánchez, F.J.; García-Lamberechts, E.J.; Alquézar-Arbé, A.; Jacob, J. Pulmonary embolism in patients with COVID-19: Incidence, risk factors, clinical characteristics, and outcome. Eur. Heart J. 2021, 42, 3127–3142. [Google Scholar] [CrossRef] [PubMed]
- Scholkmann, F.; Nicholls, J. Pulmonary vascular pathology in COVID-19. N. Engl. J. Med. 2020, 383, 887–888. [Google Scholar] [PubMed]
- Faggiano, P.; Bonelli, A.; Paris, S.; Milesi, G.; Bisegna, S.; Bernardi, N.; Curnis, A.; Agricola, E.; Maroldi, R. Acute pulmonary embolism in COVID-19 disease: Preliminary report on seven patients. Int. J. Cardiol. 2020, 313, 129–131. [Google Scholar] [CrossRef] [PubMed]
- Tisoncik, J.R.; Korth, M.J.; Simmons, C.P.; Farrar, J.; Martin, T.R.; Katze, M.G. Into the eye of the cytokine storm. Microbiol. Mol. Biol. Rev. 2012, 76, 16–32. [Google Scholar] [CrossRef]
- Rong, X.; Jiang, Y.; Li, F.; Sun-Waterhouse, D.; Zhao, S.; Guan, X.; Li, D. Close association between the synergistic toxicity of zearalenone-deoxynivalenol combination and microRNA221-mediated PTEN/PI3K/AKT signaling in HepG2 cells. Toxicology 2022, 468, 153104. [Google Scholar] [CrossRef]
- An, Z.; Li, J.; Yu, J.; Wang, X.; Gao, H.; Zhang, W.; Wei, Z.; Zhang, J.; Zhang, Y.; Zhao, J. Neutrophil extracellular traps induced by IL-8 aggravate atherosclerosis via activation NF-κB signaling in macrophages. Cell Cycle 2019, 18, 2928–2938. [Google Scholar] [CrossRef]
- Liu, J.; Li, S.; Liu, J.; Liang, B.; Wang, X.; Wang, H.; Li, W.; Tong, Q.; Yi, J.; Zhao, L. Longitudinal characteristics of lymphocyte responses and cytokine profiles in the peripheral blood of SARS-CoV-2 infected patients. EBioMedicine 2020, 55, 102763. [Google Scholar] [CrossRef]
- Kim, K.D.; Zhao, J.; Auh, S.; Yang, X.; Du, P.; Tang, H.; Fu, Y.-X. Adaptive immune cells temper initial innate responses. Nat. Med. 2007, 13, 1248–1252. [Google Scholar]
- Lagunas-Rangel, F.A.; Chávez-Valencia, V. High IL-6/IFN-γ ratio could be associated with severe disease in COVID-19 patients. J. Med. Virol. 2020, 92, 1789. [Google Scholar] [CrossRef]
- Chen, G.; Wu, D.; Guo, W.; Cao, Y.; Huang, D.; Wang, H.; Wang, T.; Zhang, X.; Chen, H.; Yu, H. Clinical and immunologic features in severe and moderate forms of Coronavirus Disease. J. Clin. Investig. 2019, 82, 137244. [Google Scholar]
- Kuppalli, K.; Rasmussen, A.L. A glimpse into the eye of the COVID-19 cytokine storm. EBioMedicine 2020, 55, 102789. [Google Scholar] [CrossRef]
- Merrill, J.T.; Erkan, D.; Winakur, J.; James, J.A. Emerging evidence of a COVID-19 thrombotic syndrome has treatment implications. Nat. Rev. Rheumatol. 2020, 16, 581–589. [Google Scholar] [CrossRef]
- Nnodim, J.; Ijeoma, O.L.; Dennis, N.; Johnkennedy, N.; Emeka, I.; Chizoba, N.O.-U.; Ukamaka, E.R.; Osinachi, U.R. Some Patterns of Haemostatic Parameters Among Pregnant Women with Hypertensive Disorders in Owerri, Imo State, Nigeria. J. Medihealtico 2022, 3, 180–187. [Google Scholar] [CrossRef]
- Gill, I.S.; Metcalfe, C.; Abreu, A.; Duddalwar, V.; Chopra, S.; Cunningham, M.; Thangathurai, D.; Ukimura, O.; Satkunasivam, R.; Hung, A. Robotic level III inferior vena cava tumor thrombectomy: Initial series. J. Urol. 2015, 194, 929–938. [Google Scholar] [CrossRef] [PubMed]
- Acharya, S.; Anwar, S.; Siddiqui, F.S.; Shabih, S.; Manchandani, U.; Dalezman, S. Renal artery thrombosis in COVID-19. IDCases 2020, 22, e00968. [Google Scholar] [CrossRef]
- Philipponnet, C.; Aniort, J.; Chabrot, P.; Souweine, B.; Heng, A.-E. Renal artery thrombosis induced by COVID-19. Clin. Kidney J. 2020, 13, 713. [Google Scholar] [CrossRef]
- Gabarre, P.; Dumas, G.; Dupont, T.; Darmon, M.; Azoulay, E.; Zafrani, L. Acute kidney injury in critically ill patients with COVID-19. Intensive Care Med. 2020, 46, 1339–1348. [Google Scholar] [CrossRef]
- Yarijani, Z.M.; Najafi, H. Kidney injury in COVID-19 patients, drug development and their renal complications: Review study. Biomed. Pharmacother. 2021, 142, 111966. [Google Scholar] [CrossRef]
- Singh, T.; Chaudhari, R.; Gupta, A. Renal artery thrombosis and mucormycosis in a COVID-19 patient. Indian J. Urol. 2021, 37, 267. [Google Scholar] [CrossRef]
- El Shamy, O.; Munoz-Casablanca, N.; Coca, S.; Sharma, S.; Lookstein, R.; Uribarri, J. Bilateral renal artery thrombosis in a patient with COVID-19. Kidney Med. 2021, 3, 116–119. [Google Scholar] [CrossRef]
- Watchorn, J.; Huang, D.Y.; Joslin, J.; Bramham, K.; Hutchings, S.D. Critically ill COVID-19 patients with acute kidney injury have reduced renal blood flow and perfusion despite preserved cardiac function: A case-control study using contrast-enhanced ultrasound. Shock 2021, 55, 479–487. [Google Scholar] [CrossRef] [PubMed]
- Tancredi, T.; DeWaters, A.; McGillen, K.L. Renal ultrasound findings secondary to COVID-19 related collapsing focal segmental glomerulosclerosis—A case report. Clin. Imaging 2021, 71, 34–38. [Google Scholar] [CrossRef] [PubMed]
- Lushina, N.; Kuo, J.S.; Shaikh, H.A. Pulmonary, cerebral, and renal thromboembolic disease in a patient with COVID-19. Radiology 2020, 296, E181–E183. [Google Scholar] [CrossRef] [PubMed]
- Mukherjee, A.; Ghosh, R.; Furment, M.M. Case Report: COVID-19 Associated renal infarction and ascending aortic thrombosis. Am. J. Trop. Med. Hyg. 2020, 103, 1989. [Google Scholar] [CrossRef]
- Zhou, F.; Yu, T.; Du, R.; Fan, G.; Liu, Y.; Liu, Z.; Xiang, J.; Wang, Y.; Song, B.; Gu, X. Clinical course and risk factors for mortality of adult inpatients with COVID-19 in Wuhan, China: A retrospective cohort study. Lancet 2020, 395, 1054–1062. [Google Scholar] [CrossRef]
- Bikdeli, B.; Madhavan, M.V.; Jimenez, D.; Chuich, T.; Dreyfus, I.; Driggin, E.; Der Nigoghossian, C.; Ageno, W.; Madjid, M.; Guo, Y. COVID-19 and Thrombotic or Thromboembolic Disease: Implications for Prevention, Antithrombotic Therapy, and Follow-Up: JACC State-of-the-Art Review. J. Am. Coll. Cardiol. 2020, 75, 2950–2973. [Google Scholar] [CrossRef]
- Mangalmurti, N.; Hunter, C.A. Cytokine storms: Understanding COVID-19. Immunity 2020, 53, 19–25. [Google Scholar] [CrossRef]
- Zwaal, R.F.; Comfurius, P.; Bevers, E.M. Lipid–protein interactions in blood coagulation. Biochim. Biophys. Acta Rev. Biomembr. 1998, 1376, 433–453. [Google Scholar] [CrossRef]
- Engelmann, B.; Massberg, S. Thrombosis as an intravascular effector of innate immunity. Nat. Rev. Immunol. 2013, 13, 34–45. [Google Scholar] [CrossRef]
- Sebag, C.S.; Bastarache, A.J.; Ware, B.L. Therapeutic modulation of coagulation and fibrinolysis in acute lung injury and the acute respiratory distress syndrome. Curr. Pharm. Biotechnol. 2011, 12, 1481–1496. [Google Scholar] [CrossRef]
- Ghazi, L.; Drawz, P. Advances in understanding the renin-angiotensin-aldosterone system (RAAS) in blood pressure control and recent pivotal trials of RAAS blockade in heart failure and diabetic nephropathy. F1000Research 2017, 6, 297. [Google Scholar] [CrossRef] [PubMed]
- Fountain, J.H.; Lappin, S.L. Physiology, Renin Angiotensin System; StatPearls Publishing: Treasure Island, FL, USA, 2017. [Google Scholar]
- Oudit, G.; Kassiri, Z.; Jiang, C.; Liu, P.; Poutanen, S.; Penninger, J.; Butany, J. SARS-coronavirus modulation of myocardial ACE2 expression and inflammation in patients with SARS. Eur. J. Clin. Investig. 2009, 39, 618–625. [Google Scholar] [CrossRef] [PubMed]
- Zhang, H.; Baker, A. Recombinant Human ACE2: Acing out Angiotensin II in ARDS Therapy; Springer: Berlin/Heidelberg, Germany, 2017. [Google Scholar]
- Ruiz-Ortega, M.; Ruperez, M.; Lorenzo, O.; Esteban, V.; Blanco, J.; Mezzano, S.; Egido, J. Angiotensin II regulates the synthesis of proinflammatory cytokines and chemokines in the kidney. Kidney Int. 2002, 62, S12–S22. [Google Scholar] [CrossRef] [PubMed]
- El-Arif, G.; Khazaal, S.; Farhat, A.; Harb, J.; Annweiler, C.; Wu, Y.; Cao, Z.; Kovacic, H.; Abi Khattar, Z.; Fajloun, Z. Angiotensin II Type I Receptor (AT1R): The Gate towards COVID-19-Associated Diseases. Molecules 2022, 27, 2048. [Google Scholar] [CrossRef]
- Griendling, K.K.; Ushio-Fukai, M.; Lassègue, B.; Alexander, R.W. Angiotensin II Recept. Pharmacology. Adv. Pharm. 1994, 28, 269–306. [Google Scholar]
- Li, D.; Zhang, Y.; Philips, M.; Sawamura, T.; Mehta, J. Upregulation of endothelial receptor for oxidized low-density lipoprotein (LOX-1) in cultured human coronary artery endothelial cells by angiotensin II type 1 receptor activation. Circ. Res. 1999, 84, 1043–1049. [Google Scholar] [CrossRef]
- Al-Tamimi, A.O.; Yusuf, A.M.; Jayakumar, M.N.; Ansari, A.W.; Elhassan, M.; AbdulKarim, F.; Kannan, M.; Halwani, R.; Ahmad, F. SARS-CoV-2 infection induces soluble platelet activation markers and PAI-1 in the early moderate stage of COVID-19. Int. J. Lab. Hematol. 2022. [Google Scholar] [CrossRef]
- Wiman, B.r.; Andersson, T.; Hallqvist, J.; Reuterwall, C.; Ahlbom, A.; deFaire, U. Plasma levels of tissue plasminogen activator/plasminogen activator inhibitor-1 complex and von Willebrand factor are significant risk markers for recurrent myocardial infarction in the Stockholm Heart Epidemiology Program (SHEEP) study. Arterioscler. Thromb. Vasc. Biol. 2000, 20, 2019–2023. [Google Scholar] [CrossRef]
- Rudski, L.; Januzzi, J.L.; Rigolin, V.H.; Bohula, E.A.; Blankstein, R.; Patel, A.R.; Bucciarelli-Ducci, C.; Vorovich, E.; Mukherjee, M.; Rao, S.V. Multimodality imaging in evaluation of cardiovascular complications in patients with COVID-19: JACC scientific expert panel. J. Am. Coll. Cardiol. 2020, 76, 1345–1357. [Google Scholar] [CrossRef]
- Rivero, F.; Antuña, P.; Cuesta, J.; Alfonso, F. Severe coronary spasm in a COVID-19 patient. Catheter. Cardiovasc. Interv. 2021, 97, E670–E672. [Google Scholar] [CrossRef]
- Aghagoli, G.; Gallo Marin, B.; Soliman, L.B.; Sellke, F.W. Cardiac involvement in COVID-19 patients: Risk factors, predictors, and complications: A review. J. Card. Surg. 2020, 35, 1302–1305. [Google Scholar] [CrossRef]
- Gupta, Y.S.; Finkelstein, M.; Manna, S.; Toussie, D.; Bernheim, A.; Little, B.P.; Concepcion, J.; Maron, S.Z.; Jacobi, A.; Chung, M. Coronary artery calcification in COVID-19 patients: An imaging biomarker for adverse clinical outcomes. Clin. Imaging 2021, 77, 1–8. [Google Scholar] [CrossRef]
- Afshar-Oromieh, A.; Prosch, H.; Schaefer-Prokop, C.; Bohn, K.P.; Alberts, I.; Mingels, C.; Thurnher, M.; Cumming, P.; Shi, K.; Peters, A. A comprehensive review of imaging findings in COVID-19-status in early 2021. Eur. J. Nucl. Med. Mol. Imaging 2021, 48, 2500–2524. [Google Scholar] [CrossRef]
- Catapano, F.; Marchitelli, L.; Cundari, G.; Cilia, F.; Mancuso, G.; Pambianchi, G.; Galea, N.; Ricci, P.; Catalano, C.; Francone, M. Role of advanced imaging in COVID-19 cardiovascular complications. Insights Into Imaging 2021, 12, 28. [Google Scholar] [CrossRef]
- Mohamud, A.Y.; Griffith, B.; Rehman, M.; Miller, D.; Chebl, A.; Patel, S.C.; Howell, B.; Kole, M.; Marin, H. Intraluminal carotid artery thrombus in COVID-19: Another danger of cytokine storm? Am. J. Neuroradiol. 2020, 41, 1677–1682. [Google Scholar] [CrossRef]
- Stefanini, G.G.; Montorfano, M.; Trabattoni, D.; Andreini, D.; Ferrante, G.; Ancona, M.; Metra, M.; Curello, S.; Maffeo, D.; Pero, G. ST-elevation myocardial infarction in patients with COVID-19: Clinical and angiographic outcomes. Circulation 2020, 141, 2113–2116. [Google Scholar] [CrossRef]
- Acharya, U.R.; Joseph, K.P.; Kannathal, N.; Min, L.C.; Suri, J.S. Heart rate variability. In Advances in Cardiac Signal Processing; Springer: Berlin/Heidelberg, Germany, 2007; pp. 121–165. [Google Scholar]
- Alkhaibary, A.; Abbas, M.; Ahmed, M.E.; Khatri, I.A.; Alkhani, A. Common carotid artery occlusion in a young patient: Can large-vessel stroke be the initial clinical manifestation of coronavirus disease 2019? World Neurosurg. 2020, 144, 140–142. [Google Scholar] [CrossRef]
- Viguier, A.; Delamarre, L.; Duplantier, J.; Olivot, J.-M.; Bonneville, F. Acute ischemic stroke complicating common carotid artery thrombosis during a severe COVID-19 infection. J. Neuroradiol. 2020, 47, 393–394. [Google Scholar] [CrossRef]
- Jud, P.; Kessler, H.H.; Brodmann, M. Case report: Changes of vascular reactivity and arterial stiffness in a patient with covid-19 infection. Front. Cardiovasc. Med. 2021, 8, 671669. [Google Scholar] [CrossRef]
- Doo, F.X.; Kassim, G.; Lefton, D.R.; Patterson, S.; Pham, H.; Belani, P. Rare presentations of COVID-19: PRES-like leukoencephalopathy and carotid thrombosis. Clin. Imaging 2021, 69, 94–101. [Google Scholar] [CrossRef]
- Qureshi, A.I.; Agunbiade, S.; Huang, W.; Akhtar, I.N.; Abraham, M.G.; Akhtar, N.; Al-Mufti, F.; Aytac, E.; Balgetir, F.; Grigoryan, M. Changes in Neuroendovascular Procedural Volume During the COVID-19 Pandemic: An International Multicenter Study. J. Neuroimaging 2021, 31, 171–179. [Google Scholar] [CrossRef]
- Ojo, A.S.; Balogun, S.A.; Idowu, A.O. Acute ischemic stroke in COVID-19: Putative mechanisms, clinical characteristics, and management. Neurol. Res. Int. 2020, 2020, 7397480. [Google Scholar] [CrossRef]
- Munjral, S.; Ahluwalia, P.; Jamthikar, A.D.; Puvvula, A.; Saba, L.; Faa, G.; Singh, I.M.; Chadha, P.S.; Turk, M.; Johri, A.M.; et al. Nutrition, atherosclerosis, arterial imaging, cardiovascular risk stratification, and manifestations in COVID-19 framework: A narrative review. Front. Biosci. 2021, 26, 1312–1339. [Google Scholar]
- Villadiego, J.; Ramírez-Lorca, R.; Cala, F.; Labandeira-García, J.L.; Esteban, M.; Toledo-Aral, J.J.; López-Barneo, J. Is Carotid Body Infection Responsible for Silent Hypoxemia in COVID-19 Patients? Function, J., Ed.; Oxford University Press: Oxford, UK, 2021; Volume 2, p. zqaa032. [Google Scholar]
- Crespy, V.; Benzenine, E.; Mariet, A.-S.; Baudry, A.; Bernard, C.; Bejot, Y.; Giroud, M.; Steinmetz, E.; Quantin, C. Impact of the first COVID-19 pandemic peak and lockdown on the interventional management of carotid artery stenosis in France. J. Vasc. Surg. 2022, 75, 1670–1678.e2. [Google Scholar] [CrossRef]
- Biswas, M.; Kuppili, V.; Edla, D.R.; Suri, H.S.; Saba, L.; Marinhoe, R.T.; Sanches, J.M.; Suri, J.S. Symtosis: A liver ultrasound tissue characterization and risk stratification in optimized deep learning paradigm. Comput. Methods Programs Biomed. 2018, 155, 165–177. [Google Scholar] [CrossRef]
- Noor, N.M.; Than, J.; Rijal, O.M.; Kassim, R.M.; Yunus, A.; Zeki, A.A.; Anzidei, M.; Saba, L.; Suri, J.S. Automatic lung segmentation using control feedback system: Morphology and texture paradigm. J. Med. Syst. 2015, 39, 22. [Google Scholar] [CrossRef]
- El-Baz, A.; Suri, J.S. Lung Imaging and Computer Aided Diagnosis; CRC Press: Boca Raton, FL, USA, 2011. [Google Scholar]
- Acharya, U.R.; Swapna, G.; Sree, S.V.; Molinari, F.; Gupta, S.; Bardales, R.H.; Witkowska, A.; Suri, J.S. A review on ultrasound-based thyroid cancer tissue characterization and automated classification. Technol. Cancer Res. Treat. 2014, 13, 289–301. [Google Scholar] [CrossRef]
- Bishop, C.M. Pattern Recognition and Machine Learning; Springer: Berlin/Heidelberg, Germany, 2006. [Google Scholar]
- Biswas, M.; Kuppili, V.; Saba, L.; Edla, D.R.; Suri, H.S.; Cuadrado-Godia, E.; Laird, J.; Marinhoe, R.; Sanches, J.; Nicolaides, A. State-of-the-art review on deep learning in medical imaging. Front. Biosci. 2019, 24, 392–426. [Google Scholar]
- LeCun, Y.; Bengio, Y.; Hinton, G. Deep learning. Nature 2015, 521, 436–444. [Google Scholar] [CrossRef]
- Bonacchi, R.; Filippi, M.; Rocca, M.A. Role of Artificial Intelligence in MS Clinical Practice. NeuroImage Clin. 2022, 35, 103065. [Google Scholar] [CrossRef]
- Prasad, B.; Sailaja, M.; Suryanarayana, V. Analysis on Content Based Image Retrieval Using Image Enhancement and Deep Learning Convolutional Neural Networks. ECS Trans. 2022, 107, 19777–19789. [Google Scholar]
- Shi, J.; Ye, Y.; Zhu, D.; Su, L.; Huang, Y.; Huang, J. Comparative analysis of pulmonary nodules segmentation using multiscale residual U-Net and fuzzy C-means clustering. Comput. Methods Programs Biomed. 2021, 209, 106332. [Google Scholar] [CrossRef] [PubMed]
- Panwar, A.; Semwal, G.; Goel, S.; Gupta, S. Stratification of the lesions in color fundus images of diabetic retinopathy patients using deep learning models and machine learning classifiers. In Edge Analytics; Springer: Berlin/Heidelberg, Germany, 2022; pp. 653–666. [Google Scholar]
- Wu, X.; Hui, H.; Niu, M.; Li, L.; Wang, L.; He, B.; Yang, X.; Li, L.; Li, H.; Tian, J. Deep learning-based multi-view fusion model for screening 2019 novel coronavirus pneumonia: A multicentre study. Eur. J. Radiol. 2020, 128, 109041. [Google Scholar] [CrossRef] [PubMed]
- Ni, Q.; Sun, Z.Y.; Qi, L.; Chen, W.; Yang, Y.; Wang, L.; Zhang, X.; Yang, L.; Fang, Y.; Xing, Z. A deep learning approach to characterize 2019 coronavirus disease (COVID-19) pneumonia in chest CT images. Eur. Radiol. 2020, 30, 6517–6527. [Google Scholar] [CrossRef] [PubMed]
- Shan, F.; Gao, Y.; Wang, J.; Shi, W.; Shi, N.; Han, M.; Xue, Z.; Shi, Y. Lung infection quantification of covid-19 in ct images with deep learning. arXiv 2020, arXiv:2003.04655. [Google Scholar]
- Hwang, E.J.; Kim, H.; Yoon, S.H.; Goo, J.M.; Park, C.M. Implementation of a Deep Learning-Based Computer-Aided Detection System for the Interpretation of Chest Radiographs in Patients Suspected for COVID-19. Korean J. Radiol. 2020, 21, 1150. [Google Scholar] [CrossRef]
- Roy, S.; Menapace, W.; Oei, S.; Luijten, B.; Fini, E.; Saltori, C.; Huijben, I.; Chennakeshava, N.; Mento, F.; Sentelli, A. Deep learning for classification and localization of COVID-19 markers in point-of-care lung ultrasound. IEEE Trans. Med. Imaging 2020, 39, 2676–2687. [Google Scholar] [CrossRef]
- Fang, E.; Ann, C.N.; Maréchal, B.; Lim, J.X.; Tan, S.Y.Z.; Li, H.; Gan, J.; Tan, E.K.; Chan, L.L. Differentiating Parkinson’s disease motor subtypes using automated volume-based morphometry incorporating white matter and deep gray nuclear lesion load. J. Magn. Reson. Imaging 2020, 51, 748–756. [Google Scholar] [CrossRef]
- Chaganti, S.; Grenier, P.; Balachandran, A.; Chabin, G.; Cohen, S.; Flohr, T.; Georgescu, B.; Grbic, S.; Liu, S.; Mellot, F. Automated Quantification of CT Patterns Associated with COVID-19 from Chest CT. Radiol. Artif. Intell. 2020, 2, e200048. [Google Scholar] [CrossRef]
- Li, L.; Qin, L.; Xu, Z.; Yin, Y.; Wang, X.; Kong, B.; Bai, J.; Lu, Y.; Fang, Z.; Song, Q. Using artificial intelligence to detect COVID-19 and community-acquired pneumonia based on pulmonary CT: Evaluation of the diagnostic accuracy. Radiology 2020, 296, E65–E71. [Google Scholar] [CrossRef]
- Singh, D.; Kumar, V.; Kaur, M. Classification of COVID-19 patients from chest CT images using multi-objective differential evolution–based convolutional neural networks. Eur. J. Clin. Microbiol. Infect. Dis. 2020, 39, 1379–1389. [Google Scholar] [CrossRef]
- Yang, S.; Jiang, L.; Cao, Z.; Wang, L.; Cao, J.; Feng, R.; Zhang, Z.; Xue, X.; Shi, Y.; Shan, F. Deep learning for detecting corona virus disease 2019 (COVID-19) on high-resolution computed tomography: A pilot study. Ann. Transl. Med. 2020, 8, 450. [Google Scholar] [CrossRef]
- Hu, S.; Gao, Y.; Niu, Z.; Jiang, Y.; Li, L.; Xiao, X.; Wang, M.; Fang, E.F.; Menpes-Smith, W.; Xia, J. Weakly supervised deep learning for covid-19 infection detection and classification from ct images. IEEE Access 2020, 8, 118869–118883. [Google Scholar] [CrossRef]
- Zhang, K.; Liu, X.; Shen, J.; Li, Z.; Sang, Y.; Wu, X.; Zha, Y.; Liang, W.; Wang, C.; Wang, K. Clinically applicable AI system for accurate diagnosis, quantitative measurements, and prognosis of COVID-19 pneumonia using computed tomography. Cell 2020, 181, 1423–1433.e11. [Google Scholar] [CrossRef]
- Carrer, L.; Donini, E.; Marinelli, D.; Zanetti, M.; Mento, F.; Torri, E.; Smargiassi, A.; Inchingolo, R.; Soldati, G.; Demi, L. Automatic Pleural Line Extraction and COVID-19 Scoring from Lung Ultrasound Data. IEEE Trans. Ultrason. Ferroelectr. Freq. Control 2020, 67, 2207–2217. [Google Scholar] [CrossRef]
- Tang, Z.; Zhao, W.; Xie, X.; Zhong, Z.; Shi, F.; Liu, J.; Shen, D. Severity assessment of coronavirus disease 2019 (COVID-19) using quantitative features from chest CT images. arXiv 2020, arXiv:2003.11988. [Google Scholar]
- Rajaraman, S.; Siegelman, J.; Alderson, P.O.; Folio, L.S.; Folio, L.R.; Antani, S.K. Iteratively Pruned Deep Learning Ensembles for COVID-19 Detection in Chest X-rays. arXiv 2020, arXiv:2004.08379. [Google Scholar] [CrossRef]
- Mahmud, T.; Rahman, M.A.; Fattah, S.A. CovXNet: A multi-dilation convolutional neural network for automatic COVID-19 and other pneumonia detection from chest X-ray images with transferable multi-receptive feature optimization. Comput. Biol. Med. 2020, 122, 103869. [Google Scholar] [CrossRef]
- Brunese, L.; Mercaldo, F.; Reginelli, A.; Santone, A. Explainable deep learning for pulmonary disease and coronavirus COVID-19 detection from X-rays. Comput. Methods Programs Biomed. 2020, 196, 105608. [Google Scholar] [CrossRef]
- Born, J.; Brändle, G.; Cossio, M.; Disdier, M.; Goulet, J.; Roulin, J.; Wiedemann, N. POCOVID-Net: Automatic detection of COVID-19 from a new lung ultrasound imaging dataset (POCUS). arXiv 2020, arXiv:2004.12084. [Google Scholar]
- Jaiswal, A.; Gianchandani, N.; Singh, D.; Kumar, V.; Kaur, M. Classification of the COVID-19 infected patients using DenseNet201 based deep transfer learning. J. Biomol. Struct. Dyn. 2020, 39, 5682–5689. [Google Scholar] [CrossRef]
- Al-Harrasi, A.; Bhatia, S.; Behl, T.; Kaushik, D.; Ahmed, M.M.; Anwer, K. Effect of COVID-19 on Different Organ Systems. In Role of Essential Oils in the Management of COVID-19; CRC Press: Boca Raton, FL, USA, 2022; pp. 109–131. [Google Scholar]
- Al-Sarraj, S.; Troakes, C.; Hanley, B.; Osborn, M.; Richardson, M.P.; Hotopf, M.; Bullmore, E.; Everall, I. Invited Review: The spectrum of neuropathology in COVID-19. Neuropathol. Appl. Neurobiol. 2021, 47, 3–16. [Google Scholar] [CrossRef]
- Saida, T.; Mori, K.; Hoshiai, S.; Sakai, M.; Urushibara, A.; Ishiguro, T.; Minami, M.; Satoh, T.; Nakajima, T. Diagnosing Ovarian Cancer on MRI: A Preliminary Study Comparing Deep Learning and Radiologist Assessments. Cancers 2022, 14, 987. [Google Scholar] [CrossRef]
- Maniruzzaman, M.; Kumar, N.; Abedin, M.M.; Islam, M.S.; Suri, H.S.; El-Baz, A.S.; Suri, J.S. Comparative approaches for classification of diabetes mellitus data: Machine learning paradigm. Comput. Methods Programs Biomed. 2017, 152, 23–34. [Google Scholar] [CrossRef]
- Suri, J.S.; Laxminarayan, S. Angiography and Plaque Imaging: Advanced Segmentation Techniques; CRC Press: Boca Raton, FL, USA, 2003. [Google Scholar]
- Fatemeh, Z.; Nicola, S.; Satheesh, K.; Eranga, U. Ensemble U-net-based method for fully automated detection and segmentation of renal masses on computed tomography images. Med. Phys. 2020, 47, 4032–4044. [Google Scholar] [CrossRef]
- De Bel, T.; Hermsen, M.; Smeets, B.; Hilbrands, L.; van der Laak, J.; Litjens, G. Automatic segmentation of histopathological slides of renal tissue using deep learning. In Proceedings of the Medical Imaging 2018: Digital Pathology, Houston, TX, USA, 10–15 February 2018; p. 1058112. [Google Scholar]
- Kolachalama, V.B.; Singh, P.; Lin, C.Q.; Mun, D.; Belghasem, M.E.; Henderson, J.M.; Francis, J.M.; Salant, D.J.; Chitalia, V.C. Association of pathological fibrosis with renal survival using deep neural networks. Kidney Int. Rep. 2018, 3, 464–475. [Google Scholar] [CrossRef]
- Kuo, C.-C.; Chang, C.-M.; Liu, K.-T.; Lin, W.-K.; Chiang, H.-Y.; Chung, C.-W.; Ho, M.-R.; Sun, P.-R.; Yang, R.-L.; Chen, K.-T. Automation of the kidney function prediction and classification through ultrasound-based kidney imaging using deep learning. NPDigit. Med. 2019, 2, 29. [Google Scholar] [CrossRef]
- Narayanan, R.; Kurhanewicz, J.; Shinohara, K.; Crawford, E.D.; Simoneau, A.; Suri, J.S. MRI-ultrasound registration for targeted prostate biopsy. In Proceedings of the 2009 IEEE International Symposium on Biomedical Imaging: From Nano to Macro, Boston, MA, USA, 28 June–1 July 2009; pp. 991–994. [Google Scholar]
- Guo, Y.; Sivaramakrishna, R.; Lu, C.-C.; Suri, J.S.; Laxminarayan, S. Breast image registration techniques: A survey. Med. Biol. Eng. Comput. 2006, 44, 15–26. [Google Scholar] [CrossRef]
- Guo, Y.; Werahera, P.N.; Narayanan, R.; Li, L.; Kumar, D.; Crawford, E.D.; Suri, J.S. Image Registration Accuracy of a 3-Dimensional Transrectal Ultrasound–Guided Prostate Biopsy System. J. Ultrasound Med. 2009, 28, 1561–1568. [Google Scholar] [CrossRef]
- Namburu, A.; Srinivas Kumar, S.; Srinivasa Reddy, E. Review of set theoretic approaches to magnetic resonance brain image segmentation. IETE J. Res. 2022, 68, 350–367. [Google Scholar] [CrossRef]
- Suri, J.S.; Kathuria, C.; Molinari, F. Atherosclerosis Disease Management; Springer Science & Business Media: New York, NY, USA, 2010. [Google Scholar]
- Markus, R.A.; Mack, W.J.; Azen, S.P.; Hodis, H.N. Influence of lifestyle modification on atherosclerotic progression determined by ultrasonographic change in the common carotid intima-media thickness. Am. J. Clin. Nutr. 1997, 4, 1000–1004. [Google Scholar] [CrossRef] [PubMed]
- Patel, A.K.; Suri, H.S.; Singh, J.; Kumar, D.; Shafique, S.; Nicolaides, A.; Jain, S.K.; Saba, L.; Gupta, A.; Laird, J.R. A review on atherosclerotic biology, wall stiffness, physics of elasticity, and its ultrasound-based measurement. Curr. Atheroscler. Rep. 2016, 18, 83. [Google Scholar] [CrossRef] [PubMed]
- Cuadrado-Godia, E.; Dwivedi, P.; Sharma, S.; Santiago, A.O.; Gonzalez, J.R.; Balcells, M.; Laird, J.; Turk, M.; Suri, H.S.; Nicolaides, A. Cerebral small vessel disease: A review focusing on pathophysiology, biomarkers, and machine learning strategies. J. Stroke 2018, 20, 302–320. [Google Scholar] [CrossRef] [PubMed]
- Suri, J.S. Imaging Based Symptomatic Classification and Cardiovascular Stroke Risk Score Estimation. U.S. Patent Application 13/053,971, 20 October 2011. [Google Scholar]
- Acharya, U.R.; Sree, S.V.; Krishnan, M.M.R.; Krishnananda, N.; Ranjan, S.; Umesh, P.; Suri, J.S. Automated classification of patients with coronary artery disease using grayscale features from left ventricle echocardiographic images. Comput. Methods Programs Biomed. 2013, 112, 624–632. [Google Scholar] [CrossRef]
- Martis, R.J.; Acharya, U.R.; Prasad, H.; Chua, C.K.; Lim, C.M.; Suri, J.S. Application of higher order statistics for atrial arrhythmia classification. Biomed. Signal Processing Control 2013, 8, 888–900. [Google Scholar] [CrossRef]
- Shin, H.-C.; Roth, H.R.; Gao, M.; Lu, L.; Xu, Z.; Nogues, I.; Yao, J.; Mollura, D.; Summers, R.M. Deep convolutional neural networks for computer-aided detection: CNN architectures, dataset characteristics and transfer learning. IEEE Trans. Med. Imaging 2016, 35, 1285–1298. [Google Scholar] [CrossRef]
- Namatēvs, I. Deep convolutional neural networks: Structure, feature extraction and training. Inf. Technol. Manag. Sci. 2017, 20, 40–47. [Google Scholar] [CrossRef]
- Skandha, S.S.; Gupta, S.K.; Saba, L.; Koppula, V.K.; Johri, A.M.; Khanna, N.N.; Mavrogeni, S.; Laird, J.R.; Pareek, G.; Miner, M. 3-D optimized classification and characterization artificial intelligence paradigm for cardiovascular/stroke risk stratification using carotid ultrasound-based delineated plaque: Atheromatic™ 2.0. Comput. Biol. Med. 2020, 125, 103958. [Google Scholar] [CrossRef]
- Molinari, F.; Meiburger, K.M.; Saba, L.; Acharya, U.R.; Ledda, G.; Zeng, G.; Ho, S.Y.S.; Ahuja, A.T.; Ho, S.C.; Nicolaides, A. Ultrasound IMT measurement on a multi-ethnic and multi-institutional database: Our review and experience using four fully automated and one semi-automated methods. Comput. Methods Programs Biomed. 2012, 108, 946–960. [Google Scholar] [CrossRef]
- Biswas, M.; Kuppili, V.; Araki, T.; Edla, D.R.; Godia, E.C.; Saba, L.; Suri, H.S.; Omerzu, T.; Laird, J.R.; Khanna, N.N. Deep learning strategy for accurate carotid intima-media thickness measurement: An ultrasound study on Japanese diabetic cohort. Comput. Biol. Med. 2018, 98, 100–117. [Google Scholar] [CrossRef]
- Cuadrado-Godia, E.; Srivastava, S.K.; Saba, L.; Araki, T.; Suri, H.S.; Giannopolulos, A.; Omerzu, T.; Laird, J.; Khanna, N.N.; Mavrogeni, S. Geometric total plaque area is an equally powerful phenotype compared with carotid intima-media thickness for stroke risk assessment: A deep learning approach. J. Vasc. Ultrasound 2018, 42, 162–188. [Google Scholar] [CrossRef]
- Biswas, M.; Saba, L.; Chakrabartty, S.; Khanna, N.N.; Song, H.; Suri, H.S.; Sfikakis, P.P.; Mavrogeni, S.; Viskovic, K.; Laird, J.R. Two-stage artificial intelligence model for jointly measurement of atherosclerotic wall thickness and plaque burden in carotid ultrasound: A screening tool for cardiovascular/stroke risk assessment. Comput. Biol. Med. 2020, 123, 103847. [Google Scholar] [CrossRef]
- Jain, P.K.; Sharma, N.; Saba, L.; Paraskevas, K.I.; Kalra, M.K.; Johri, A.; Laird, J.R.; Nicolaides, A.N.; Suri, J.S. Unseen artificial intelligence—Deep learning paradigm for segmentation of low atherosclerotic plaque in carotid ultrasound: A multicenter cardiovascular study. Diagnostics 2021, 11, 2257. [Google Scholar] [CrossRef]
- Jain, P.K.; Sharma, N.; Saba, L.; Paraskevas, K.I.; Kalra, M.K.; Johri, A.; Nicolaides, A.N.; Suri, J.S. Automated deep learning-based paradigm for high-risk plaque detection in B-mode common carotid ultrasound scans: An asymptomatic Japanese cohort study. Int. Angiol. 2021, 41, 9–23. [Google Scholar] [CrossRef]
- Araki, T.; Jain, P.K.; Suri, H.S.; Londhe, N.D.; Ikeda, N.; El-Baz, A.; Shrivastava, V.K.; Saba, L.; Nicolaides, A.; Shafique, S. Stroke risk stratification and its validation using ultrasonic echolucent carotid wall plaque morphology: A machine learning paradigm. Comput. Biol. Med. 2017, 80, 77–96. [Google Scholar] [CrossRef]
- Lekadir, K.; Galimzianova, A.; Betriu, À.; del Mar Vila, M.; Igual, L.; Rubin, D.L.; Fernández, E.; Radeva, P.; Napel, S. A convolutional neural network for automatic characterization of plaque composition in carotid ultrasound. IEEE J. Biomed. Health Inform. 2016, 21, 48–55. [Google Scholar] [CrossRef]
- Chen, Z.; Yang, M.; Wen, Y.; Jiang, S.; Liu, W.; Huang, H. Prediction of atherosclerosis using machine learning based on operations research. Math. Biosci. Eng. 2022, 19, 4892–4910. [Google Scholar] [CrossRef]
- Saba, L.; Lanzino, G.; Lucatelli, P.; Lavra, F.; Sanfilippo, R.; Montisci, R.; Suri, J.; Yuan, C. Carotid plaque CTA analysis in symptomatic subjects with bilateral intraplaque hemorrhage: A preliminary analysis. Am. J. Neuroradiol. 2019, 40, 1538–1545. [Google Scholar]
- Sundar, S.; Sumathy, S. Transfer learning approach in deep neural networks for uterine fibroid detection. Int. J. Comput. Sci. Eng. 2022, 25, 52–63. [Google Scholar] [CrossRef]
- Giger, M.L. Machine learning in medical imaging. J. Am. Coll. Radiol. 2018, 15, 512–520. [Google Scholar] [CrossRef]
- Saba, L.; Sanfilippo, R.; Porcu, M.; Lucatelli, P.; Montisci, R.; Zaccagna, F.; Suri, J.S.; Anzidei, M.; Wintermark, M. Relationship between white matter hyperintensities volume and the circle of Willis configurations in patients with carotid artery pathology. Eur. J. Radiol. 2017, 89, 111–116. [Google Scholar] [CrossRef]
- Saba, L.; Sanagala, S.S.; Gupta, S.K.; Koppula, V.K.; Johri, A.M.; Khanna, N.N.; Mavrogeni, S.; Laird, J.R.; Pareek, G.; Miner, M. Multimodality carotid plaque tissue characterization and classification in the artificial intelligence paradigm: A narrative review for stroke application. Ann. Transl. Med. 2021, 9, 1206. [Google Scholar] [CrossRef]
- Saba, L.; Sanagala, S.S.; Gupta, S.K.; Koppula, V.K.; Johri, A.M.; Sharma, A.M.; Kolluri, R.; Bhatt, D.L.; Nicolaides, A.; Suri, J.S. Ultrasound-based internal carotid artery plaque characterization using deep learning paradigm on a supercomputer: A cardiovascular disease/stroke risk assessment system. Int. J. Cardiovasc. Imaging 2021, 37, 1511–1528. [Google Scholar] [CrossRef]
- Saba, L.; Sanagala, S.S.; Gupta, S.K.; Koppula, V.K.; Laird, J.R.; Viswanathan, V.; Sanches, M.J.; Kitas, G.D.; Johri, A.M.; Sharma, N. A Multicenter Study on Carotid Ultrasound Plaque Tissue Characterization and Classification Using Six Deep Artificial Intelligence Models: A Stroke Application. IEEE Trans. Instrum. Meas. 2021, 70, 1–12. [Google Scholar] [CrossRef]
- Sadowski, J.; Targonski, R.; Cyganski, P.; Nowek, P.; Starek-Stelmaszczyk, M.; Zajac, K.; Juranek, J.; Wojtkiewicz, J.; Rynkiewicz, A. Remodeling of Retinal Arterioles and Carotid Arteries in Heart Failure Development—A Preliminary Study. J. Clin. Med. 2022, 11, 3721. [Google Scholar] [CrossRef]
- Saba, L.; Agarwal, M.; Sanagala, S.S.; Gupta, S.K.; Sinha, G.; Johri, A.; Khanna, N.; Mavrogeni, S.; Laird, J.; Pareek, G. Brain MRI-based Wilson disease tissue classification: An optimised deep transfer learning approach. Electron. Lett. 2020, 56, 1395–1398. [Google Scholar] [CrossRef]
- Micucci, M.; Iula, A. Recent Advances in Machine Learning Applied to Ultrasound Imaging. Electronics. 2022, 11, 1800. [Google Scholar] [CrossRef]
- Das, S.; Nayak, G.K.; Saba, L.; Kalra, M.; Suri, J.S.; Saxena, S. An artificial intelligence framework and its bias for brain tumor segmentation: A narrative review. Comput. Biol. Med. 2022, 143, 105273. [Google Scholar] [CrossRef]
- Dong, D.; Tang, Z.; Wang, S.; Hui, H.; Gong, L.; Lu, Y.; Xue, Z.; Liao, H.; Chen, F.; Yang, F. The role of imaging in the detection and management of COVID-19: A review. IEEE Rev. Biomed. Eng. 2020, 14, 16–29. [Google Scholar] [CrossRef]
- Hormel, T.T.; Hwang, T.S.; Bailey, S.T.; Wilson, D.J.; Huang, D.; Jia, Y. Artificial intelligence in OCT angiography. Prog. Retin. Eye Res. 2021, 85, 100965. [Google Scholar] [CrossRef]
- Harmon, S.A.; Sanford, T.H.; Xu, S.; Turkbey, E.B.; Roth, H.; Xu, Z.; Yang, D.; Myronenko, A.; Anderson, V.; Amalou, A. Artificial intelligence for the detection of COVID-19 pneumonia on chest CT using multinational datasets. Nat. Commun. 2020, 11, 4080. [Google Scholar] [CrossRef] [PubMed]
- Estépar, R.S.J. Artificial Intelligence in COPD: New Venues to Study a Complex Disease. Barc. Respir. Netw. Rev. 2020, 6, 144–160. [Google Scholar] [PubMed]
- Puelles, V.G.; Lütgehetmann, M.; Lindenmeyer, M.T.; Sperhake, J.P.; Wong, M.N.; Allweiss, L.; Chilla, S.; Heinemann, A.; Wanner, N.; Liu, S. Multiorgan and renal tropism of SARS-CoV-2. N. Engl. J. Med. 2020, 383, 590–592. [Google Scholar] [CrossRef] [PubMed]
- Paranjpe, I.; Fuster, V.; Lala, A.; Russak, A.J.; Glicksberg, B.S.; Levin, M.A.; Charney, A.W.; Narula, J.; Fayad, Z.A.; Bagiella, E. Association of treatment dose anticoagulation with in-hospital survival among hospitalized patients with COVID-19. J. Am. Coll. Cardiol. 2020, 76, 122–124. [Google Scholar] [CrossRef] [PubMed]
- Arnold, F.; Westermann, L.; Rieg, S.; Neumann-Haefelin, E.; Biever, P.M.; Walz, G.; Kalbhenn, J.; Tanriver, Y. Comparison of different anticoagulation strategies for renal replacement therapy in critically ill patients with COVID-19: A cohort study. BMC Nephrol. 2020, 21, 486. [Google Scholar] [CrossRef] [PubMed]
- Jain, U. Effect of COVID-19 on the Organs. Cureus 2020, 12, e9540. [Google Scholar] [CrossRef] [PubMed]
- Kwekha-Rashid, A.S.; Abduljabbar, H.N.; Alhayani, B. Coronavirus disease (COVID-19) cases analysis using machine-learning applications. Appl. Nanosci. 2021, 1–13. [Google Scholar] [CrossRef]
- Saba, L.; Agarwal, M.; Patrick, A.; Puvvula, A.; Gupta, S.K.; Carriero, A.; Laird, J.R.; Kitas, G.D.; Johri, A.M.; Balestrieri, A.; et al. Six artificial intelligence paradigms for tissue characterisation and classification of non-COVID-19 pneumonia against COVID-19 pneumonia in computed tomography lungs. Int. J. Comput. Assist. Radiol. 2021, 16, 423–434. [Google Scholar] [CrossRef]
- El-Achkar, T.M.; Winfree, S.; Talukder, N.; Barwinska, D.; Ferkowicz, M.J.; Al Hasan, M. Tissue Cytometry With Machine Learning in Kidney: From Small Specimens to Big Data. Front. Physiol. 2022, 13, 249. [Google Scholar] [CrossRef]
- Woloshuk, A.; Khochare, S.; Almulhim, A.F.; McNutt, A.T.; Dean, D.; Barwinska, D.; Ferkowicz, M.J.; Eadon, M.T.; Kelly, K.J.; Dunn, K.W. In situ classification of cell types in human kidney tissue using 3D nuclear staining. Cytom. Part A 2021, 99, 707–721. [Google Scholar] [CrossRef]
- Dunn, K.W.; Fu, C.; Ho, D.J.; Lee, S.; Han, S.; Salama, P.; Delp, E.J. DeepSynth: Three-dimensional nuclear segmentation of biological images using neural networks trained with synthetic data. Sci. Rep. 2019, 9, 18295. [Google Scholar] [CrossRef]
- Mu, D.; Bai, J.; Chen, W.; Yu, H.; Liang, J.; Yin, K.; Li, H.; Qing, Z.; He, K.; Yang, H.-Y. Calcium scoring at coronary CT angiography using deep learning. Radiology 2022, 302, 309–316. [Google Scholar] [CrossRef]
- Upton, R.; Mumith, A.; Beqiri, A.; Parker, A.; Hawkes, W.; Gao, S.; Porumb, M.; Sarwar, R.; Marques, P.; Markham, D. Automated echocardiographic detection of severe coronary artery disease using artificial intelligence. Cardiovasc. Imaging 2022, 15, 715–727. [Google Scholar] [CrossRef]
- Adamsick, M.L.; Gandhi, R.G.; Bidell, M.R.; Elshaboury, R.H.; Bhattacharyya, R.P.; Kim, A.Y.; Nigwekar, S.; Rhee, E.P.; Sise, M.E. Remdesivir in patients with acute or chronic kidney disease and COVID-19. J. Am. Soc. Nephrol. 2020, 31, 1384–1386. [Google Scholar] [CrossRef]
- Gautret, P.; Lagier, J.-C.; Parola, P.; Meddeb, L.; Mailhe, M.; Doudier, B.; Courjon, J.; Giordanengo, V.; Vieira, V.E.; Dupont, H.T. Hydroxychloroquine and azithromycin as a treatment of COVID-19: Results of an open-label non-randomized clinical trial. Int. J. Antimicrob. Agents 2020, 56, 105949. [Google Scholar] [CrossRef]
- Giudicessi, J.R.; Noseworthy, P.A.; Friedman, P.A.; Ackerman, M.J. Urgent guidance for navigating and circumventing the QTc-prolonging and torsadogenic potential of possible pharmacotherapies for coronavirus disease 19 (COVID-19). Mayo Clin. Proc. 2020, 95, 1213–1221. [Google Scholar] [CrossRef]
- Wehbe, R.M.; Sheng, J.; Dutta, S.; Chai, S.; Dravid, A.; Barutcu, S.; Wu, Y.; Cantrell, D.R.; Xiao, N.; Allen, B.D.; et al. DeepCOVID-XR: An artificial intelligence algorithm to detect COVID-19 on chest radiographs trained and tested on a large US clinical data set. Radiology 2021, 1, E167. [Google Scholar] [CrossRef]
- Tseng, P.-Y.; Chen, Y.-T.; Wang, C.-H.; Chiu, K.-M.; Peng, Y.-S.; Hsu, S.-P.; Chen, K.-L.; Yang, C.-Y.; Lee, O.K.-S. Prediction of the development of acute kidney injury following cardiac surgery by machine learning. Crit. Care 2020, 24, 478. [Google Scholar] [CrossRef]
- Zhang, C.; Schwartz, M.; Küstner, T.; Martirosian, P.; Seith, F. Multiparametric Functional MRI of the Kidney: Current State and Future Trends with Deep Learning Approaches. In Proceedings of the RöFo-Fortschritte auf dem Gebiet der Röntgenstrahlen und der Bildgebenden Verfahren; 2022. [Google Scholar] [CrossRef]
- Ying, F.; Chen, S.; Pan, G.; He, Z. Artificial Intelligence Pulse Coupled Neural Network Algorithm in the Diagnosis and Treatment of Severe Sepsis Complicated with Acute Kidney Injury under Ultrasound Image. J. Healthc. Eng. 2021, 2021, 6761364. [Google Scholar] [CrossRef]
- Bouteldja, N.; Klinkhammer, B.M.; Bülow, R.D.; Droste, P.; Otten, S.W.; von Stillfried, S.F.; Moellmann, J.; Sheehan, S.M.; Korstanje, R.; Menzel, S. Deep learning–based segmentation and quantification in experimental kidney histopathology. J. Am. Soc. Nephrol. 2021, 32, 52–68. [Google Scholar] [CrossRef]
- Kalisnik, J.M.; Bauer, A.; Vogt, F.A.; Stickl, F.J.; Zibert, J.; Fittkau, M.; Bertsch, T.; Kounev, S.; Fischlein, T. Artificial intelligence-based early detection of acute kidney injury after cardiac surgery. Eur. J. Cardio-Thorac. Surg. 2022. [Google Scholar] [CrossRef]
- Çolak, M.C.; Çolak, C.; Koçatürk, H.; Sağıroğlu, Ş.; Barutçu, İ. Predicting coronary artery disease using different artificial neural network models. Anatol. J. Cardiol. 2008, 8, 249–254. [Google Scholar]
- Correia, L.; Lopes, D.; Porto, J.V.; Lacerda, Y.F.; Correia, V.C.; Bagano, G.O.; Pontes, B.S.; Melo, M.H.V.d.; Silva, T.E.; Meireles, A.C. Validation of an Artificial Intelligence Algorithm for Diagnostic Prediction of Coronary Disease: Comparison with a Traditional Statistical Model. Arq. Bras. Cardiol. 2021, 117, 1061–1070. [Google Scholar] [CrossRef]
- Cheng, C.-A.; Chiu, H.-W. An artificial neural network model for the evaluation of carotid artery stenting prognosis using a national-wide database. In Proceedings of the 2017 39th Annual International Conference of the IEEE Engineering in Medicine and Biology Society (EMBC), Jeju Island, Korea, 11–15 July 2017; pp. 2566–2569. [Google Scholar]
- Jain, P.K.; Sharma, N.; Giannopoulos, A.A.; Saba, L.; Nicolaides, A.; Suri, J.S. Hybrid deep learning segmentation models for atherosclerotic plaque in internal carotid artery B-mode ultrasound. Comput. Biol. Med. 2021, 136, 104721. [Google Scholar] [CrossRef]
- Das, M.; Braunschweig, T.; Mühlenbruch, G.; Mahnken, A.H.; Krings, T.; Langer, S.; Koeppel, T.; Jacobs, M.; Günther, R.W.; Mommertz, G. Carotid plaque analysis: Comparison of dual-source computed tomography (CT) findings and histopathological correlation. Eur. J. Vasc. Endovasc. Surg. 2009, 38, 14–19. [Google Scholar] [CrossRef]
- Lee, J.-G.; Kim, H.; Kang, H.; Koo, H.J.; Kang, J.-W.; Kim, Y.-H.; Yang, D.H. Fully automatic coronary calcium score software empowered by artificial intelligence technology: Validation study using three CT cohorts. Korean J. Radiol. 2021, 22, 1764. [Google Scholar] [CrossRef]
- Gao, J.-M.; Ren, Z.-H.; Pan, X.; Chen, Y.-X.; Zhu, W.; Li, W.; Yang, Y.-X.; Fu, G.-X. Identifying peripheral arterial disease in the elderly patients using machine-learning algorithms. Aging Clin. Exp. Res. 2022, 34, 679–685. [Google Scholar] [CrossRef]
- Konstantonis, G.; Singh, K.V.; Sfikakis, P.P.; Jamthikar, A.D.; Kitas, G.D.; Gupta, S.K.; Saba, L.; Verrou, K.; Khanna, N.N.; Ruzsa, Z. Cardiovascular disease detection using machine learning and carotid/femoral arterial imaging frameworks in rheumatoid arthritis patients. Rheumatol. Int. 2022, 42, 215–239. [Google Scholar] [CrossRef]
- Justin, B.N.; Turek, M.; Hakim, A.M. Heart disease as a risk factor for dementia. Clin. Epidemiol. 2013, 5, 135–145. [Google Scholar]
- Amarenco, P.; Cohen, A.; Tzourio, C.; Bertrand, B.; Hommel, M.; Besson, G.; Chauvel, C.; Touboul, P.-J.; Bousser, M.-G. Atherosclerotic disease of the aortic arch and the risk of ischemic stroke. N. Engl. J. Med. 1994, 331, 1474–1479. [Google Scholar] [CrossRef]
- Ikeda, N.; Gupta, A.; Dey, N.; Bose, S.; Shafique, S.; Arak, T.; Godia, E.C.; Saba, L.; Laird, J.R.; Nicolaides, A. Improved correlation between carotid and coronary atherosclerosis SYNTAX score using automated ultrasound carotid bulb plaque IMT measurement. Ultrasound Med. Biol. 2015, 41, 1247–1262. [Google Scholar] [CrossRef] [PubMed]
- Virmani, R.; Ladich, E.R.; Burke, A.P.; Kolodgie, F.D. Histopathology of carotid atherosclerotic disease. Neurosurg. 2006, 59, S3-219–S3-227. [Google Scholar] [CrossRef] [PubMed]
- Thomas, S.E.; Anderson, S.; Gordon, K.L.; Oyama, T.T.; Shankland, S.J.; Johnson, R.J. Tubulointerstitial disease in aging: Evidence for underlying peritubular capillary damage, a potential role for renal ischemia. J. Am. Soc. Nephrol. 1998, 9, 231–242. [Google Scholar] [CrossRef] [PubMed]
- Rydell-Tormanen, K.; Johnson, J.R.; Fattouh, R.; Jordana, M.; Erjefalt, J.S. Induction of vascular remodeling in the lung by chronic house dust mite exposure. Am. J. Respir. Cell Mol. Biol. 2008, 39, 61–67. [Google Scholar] [CrossRef]
- Peterson, E.; Lo, K.B.; DeJoy, R.; Salacup, G.; Pelayo, J.; Bhargav, R.; Gul, F.; Albano, J.; Azmaiparashvili, Z.; Amanullah, A. The relationship between coronary artery disease and clinical outcomes in COVID-19: A single-center retrospective analysis. Coron. Artery Dis. 2020, 32, 367–371. [Google Scholar] [CrossRef]
- Szarpak, L.; Mierzejewska, M.; Jurek, J.; Kochanowska, A.; Gasecka, A.; Truszewski, Z.; Pruc, M.; Blek, N.; Rafique, Z.; Filipiak, K. Effect of Coronary Artery Disease on COVID-19—Prognosis and Risk Assessment: A Systematic Review and Meta-Analysis. Biol. 2022, 11, 221. [Google Scholar] [CrossRef]
- Saba, L.; Sanfilippo, R.; Sannia, S.; Anzidei, M.; Montisci, R.; Mallarini, G.; Suri, J.S. Association between carotid artery plaque volume, composition, and ulceration: A retrospective assessment with MDCT. Am. J. Roentgenol. 2012, 199, 151–156. [Google Scholar] [CrossRef]
- Barman, H.A.; Atici, A.; Sahin, I.; Alici, G.; Tekin, E.A.; Baycan, Ö.F.; Ozturk, F.; Oflar, E.; Tugrul, S.; Baran Yavuz, M. Prognostic significance of cardiac injury in COVID-19 patients with and without coronary artery disease. Coron. Artery Dis. 2020, 32, 359–366. [Google Scholar] [CrossRef]
- Steinberger, J.; Daniels, S.R.; Eckel, R.H.; Hayman, L.; Lustig, R.H.; McCrindle, B.; Mietus-Snyder, M.L. Progress and challenges in metabolic syndrome in children and adolescents: A scientific statement from the American Heart Association Atherosclerosis, Hypertension, and Obesity in the Young Committee of the Council on Cardiovascular Disease in the Young; Council on Cardiovascular Nursing; and Council on Nutrition, Physical Activity, and Metabolism. Circulation 2009, 4, 8–47. [Google Scholar]
- National Institutes of Health. Coronavirus disease 2019 (COVID-19) treatment guidelines. Natl. Inst. Health 2020. [Google Scholar]
- Alhazzani, W.; Møller, M.; Arabi, Y.; Loeb, M.; Gong, M.; Fan, E.; Oczkowski, S.; Levy, M.; Derde, L.; Dzierba, A. Surviving sepsis campaign guidelines on the management of adults with coronavirus disease 2019 (COVID-19) in the ICU: First update. Crit. Care Med. 2021, 49, e219–e234. [Google Scholar] [CrossRef]
- Lip, G.Y.; Felmeden, D.C.; Dwivedi, G. Antiplatelet agents and anticoagulants for hypertension. Cochrane Database Syst. Rev. 2011, 2011, CD003186. [Google Scholar] [CrossRef]
- Paul, S.; Maindarkar, M.; Saxena, S.; Saba, L.; Turk, M.; Kalra, M.; Krishnan, P.R.; Suri, J.S. Bias Investigation in Artificial Intelligence Systems for Early Detection of Parkinson’s Disease: A Narrative Review. Diagnostics 2022, 12, 166. [Google Scholar] [CrossRef]
- Sudeep, P.; Palanisamy, P.; Rajan, J.; Baradaran, H.; Saba, L.; Gupta, A.; Suri, J.S. Speckle reduction in medical ultrasound images using an unbiased non-local means method. Biomed. Signal Processing Control 2016, 28, 1–8. [Google Scholar] [CrossRef]
- Suri, J.S.; Bhagawati, M.; Paul, S.; Protogeron, A.; Sfikakis, P.P.; Kitas, G.D.; Khanna, N.N.; Ruzsa, Z.; Sharma, A.M.; Saxena, S. Understanding the bias in machine learning systems for cardiovascular disease risk assessment: The first of its kind review. Comput. Biol. Med. 2022, 142, 105204. [Google Scholar] [CrossRef]
- Suri, J.S.; Agarwal, S.; Jena, B.; Saxena, S.; El-Baz, A.; Agarwal, V.; Kalra, M.K.; Saba, L.; Viskovic, K.; Fatemi, M.; et al. Five Strategies for Bias Estimation in Artificial Intelligence-based Hybrid Deep Learning for Acute Respiratory Distress Syndrome COVID-19 Lung Infected Patients using AP(ai)Bias 2.0: A Systematic Review. IEEE TIM 2022, 1. [Google Scholar] [CrossRef]
- El-Baz, A.; Suri, J.S. Big Data in Multimodal Medical Imaging; CRC Press: Boca Raton, FL, USA, 2019. [Google Scholar]
- Murray, C.J.; Lopez, A.D. Alternative projections of mortality and disability by cause 1990–2020: Global Burden of Disease Study. Lancet Neurol. 1997, 349, 1498–1504. [Google Scholar] [CrossRef]
- Agarwal, M.; Agarwal, S.; Saba, L.; Chabert, G.L.; Gupta, S.; Carriero, A.; Pasche, A.; Danna, P.; Mehmedovic, A.; Faa, G.; et al. Eight Pruning Deep Learning Models for Low Storage and High-Speed COVID-19 Computed Tomography Lung Segmentation and Heatmap-based Lesion Localization: A Multicenter study using COVLIAS 2.0. Comput. Biol. Med. 2022, 146, 105571. [Google Scholar] [CrossRef]
- Acharya, U.R.; Mookiah, M.R.K.; Sree, S.V.; Yanti, R.; Martis, R.; Saba, L.; Molinari, F.; Guerriero, S.; Suri, J.S. Evolutionary algorithm-based classifier parameter tuning for automatic ovarian cancer tissue characterization and classification. Ultraschall Med. Eur. J. Ultrasound 2014, 35, 237–245. [Google Scholar]
- El-Baz, A.; Gimel’farb, G.; Suri, J.S. Stochastic Modeling for Medical Image Analysis; CRC Press: Boca Raton, FL, USA, 2015. [Google Scholar]
- Antonelli, A.; Bennardo, F.; Brancaccio, Y.; Barone, S.; Femiano, F.; Nucci, L.; Minervini, G.; Fortunato, L.; Attanasio, F.; Giudice, A. Can Bone Compaction Improve Primary Implant Stability? An In Vitro Comparative Study with Osseodensification Technique. Appl. Sci. 2020, 10, 8623. [Google Scholar] [CrossRef]
- Ciceri, F.; Castagna, A.; Rovere-Querini, P.; De Cobelli, F.; Ruggeri, A.; Galli, L.; Conte, C.; De Lorenzo, R.; Poli, A.; Ambrosio, A. Early predictors of clinical outcomes of COVID-19 outbreak in Milan, Italy. Clin. Immunol. 2020, 217, 108509. [Google Scholar] [CrossRef]
- Derespina, K.R.; Kaushik, S.; Plichta, A.; Conway, E.E., Jr.; Bercow, A.; Choi, J.; Eisenberg, R.; Gillen, J.; Sen, A.I.; Hennigan, C.M. Clinical manifestations and outcomes of critically ill children and adolescents with coronavirus disease 2019 in New York City. J. Pediatrics 2020, 226, 55–63.e2. [Google Scholar] [CrossRef]
- Meerson, F.; Kagan, V.; Kozlov, Y.P.; Belkina, L.; Arkhipenko, Y.V. The role of lipid peroxidation in pathogenesis of ischemic damage and the antioxidant protection of the heart. Cardiology. Basic Res. Cardiol. 1982, 77, 465–485. [Google Scholar] [CrossRef]
- Jazieh, A.-R.; Alenazi, T.H.; Alhejazi, A.; Al Safi, F.; Al Olayan, A. Outcome of oncology patients infected with coronavirus. JCO Glob. Oncol. 2020, 6, 471–475. [Google Scholar] [CrossRef]
- Pathak, Y.; Shukla, P.K.; Tiwari, A.; Stalin, S.; Singh, S. Deep transfer learning based classification model for COVID-19 disease. IRBM 2020, 43, 87–92. [Google Scholar] [CrossRef]
- Salehi, S.; Abedi, A.; Balakrishnan, S.; Gholamrezanezhad, A. Coronavirus disease 2019 (COVID-19): A systematic review of imaging findings in 919 patients. Am. J. Roentgenol. 2020, 215, 87–93. [Google Scholar] [CrossRef]
- Cozzi, D.; Cavigli, E.; Moroni, C.; Smorchkova, O.; Zantonelli, G.; Pradella, S.; Miele, V. Ground-glass opacity (GGO): A review of the differential diagnosis in the era of COVID-19. Jpn. J. Radiol. 2021, 39, 721–732. [Google Scholar] [CrossRef]
- Xie, X.; Zhong, Z.; Zhao, W.; Zheng, C.; Wang, F.; Liu, J. Chest CT forRadiology typical 2019-nCoV pneumonia: Relationship to negative RT-PCR testing. Radiology 2020. [Google Scholar] [CrossRef]
- Gozes, O.; Frid-Adar, M.; Greenspan, H.; Browning, P.D.; Zhang, H.; Ji, W.; Bernheim, A.; Siegel, E. Rapid ai development cycle for the coronavirus (covid-19) pandemic: Initial results for automated detection & patient monitoring using deep learning ct image analysis. arXiv 2020, arXiv:2003.05037. [Google Scholar]
- Aslan, M.F.; Unlersen, M.F.; Sabanci, K.; Durdu, A. CNN-based transfer learning–BiLSTM network: A novel approach for COVID-19 infection detection. Appl. Soft Comput. 2020, 98, 106912. [Google Scholar] [CrossRef]
- Wu, Y.-H.; Gao, S.-H.; Mei, J.; Xu, J.; Fan, D.-P.; Zhang, R.-G.; Cheng, M.-M. JCS: An Explainable COVID-19 Diagnosis System by Joint Classification and Segmentation. IEEE Trans. Image Process. 2021, 30, 3113–3126. [Google Scholar] [CrossRef] [PubMed]
- Ueki, Y.; Otsuka, T.; Windecker, S.; Räber, L. ST-elevation myocardial infarction and pulmonary embolism in a patient with COVID-19 acute respiratory distress syndrome. Eur. Heart J. 2020, 41, 2134. [Google Scholar] [CrossRef] [PubMed]




















| SN | Citations | PS | ME | Comorbidities | Outcome | Vascular Damage | Imaging Modalities | Treatment |
|---|---|---|---|---|---|---|---|---|
| 1 | Rudski et al. [138] (2020) | 240 | LBBM, OBBM | Hypertension | Palpitations, heart failure, chest discomfort, presyncope, and syncope are all possible manifestations of supraventricular and ventricular arrhythmias, which can arise throughout the subacute and chronic phases of the condition. | Myocardial damage | CT | NR |
| 2 | Rivero et al. [139] (2020) | 01 | LBBM, OBBM | NR | In the context of the pro-inflammatory response to the disease, cardiovascular disease (CV) may be a source of myocardial damage in people who have been infected with SARS-COVID-19. | An extreme elevation of the ST segment that resulted in myocardial damage or infarction has been observed on several occasions. | ECG | NR |
| 3 | Aghagoli et al. [140] (2021) | 21 | LBBM | Diabetes | Myocardial damage in people who have been infected with SARS-COVID-19. | Patients who require emergency coronary artery bypass grafting, repair of an aortic dissection, or replacement of the aortic valve | CT | NR |
| 4 | Gupta et al. [141] (2021) | 180 | LBBM, OBBM | High BMI | Inflammation persists over time and raises the risk of atherosclerotic disease as well as acute proinflammatory situations like the cytokine storm. | Patients with CAD who were treated with COVID-19 had a higher risk of myocardial damage. | CT | NR |
| 5 | Afshar et al. [142] (2021) | 23 | LBBM | Diabetes | The histological finding of diffuse endothelial inflammation in the submucosal arteries of the small intestine in COVID-19 patients is suggestive of the occurrence of microvascular small-bowel injury. | Myocardial Infarction | CT | NR |
| 6 | Catapano et al. [143] (2021) | 12 | LBBM | hypertension | Complications of the heart include things like myocarditis, acute coronary syndrome, and thromboembolic events, amongst others. | Endothelial Inflammation in the submucosal arteries of the small intestine | CT | NR |
| 9 | Aghagoli et al. [140] (2021) | 21 | LBBM | Diabetes | Myocardial damage in people who have been infected with SARS-COVID-19. | Patients who require emergency coronary artery bypass grafting, repair of an aortic dissection, or replacement of the aortic valve | CT | NR |
| 10 | Gupta et al. [141] (2021) | 180 | LBBM, OBBM | High BMI | Inflammation that persists over time and raises the risk of atherosclerotic disease as well as acute proinflammatory situations like the cytokine storm. | Patients with CAD who were treated with COVID-19 had a higher risk of myocardial damage. | CT | NR |
| SN | Citations | PS | ME | Comorbidities | Outcome | Vascular Damage | Imaging Modalities | Treatment |
|---|---|---|---|---|---|---|---|---|
| 1 | Alkhaibary et al. [147] (2019) | 01 | LBBM | NR | Large-vessel occlusion due to COVID-19 infection | COVID-19 confers a significant risk of thromboembolic disease | CT | NR |
| 2 | Mohamud et al. [144] (2020) | 06 | LBBM | Hypertension | The COVID-19 virus has the potential to cause the rupture of susceptible atherosclerotic plaques, which can lead to thrombosis and acute ischemic stroke. | Patients with COVID-19 infection who have usual vascular risk factors are at a higher risk of LVO as a result of ICT. | MR | NR |
| 3 | Viguier et al. [148] (2020) | 28 | LBBM | Diabetes | The source of stroke should be sought by cervical CTA covering from the aortic arch to the vertex; nevertheless, common carotid arteries should not be overlooked, and the requirement for COVID-19 coagulopathy therapy should be stressed. | Acute ischemic stroke. | MRI | NR |
| 4 | Jud et al. [149] (2021) | 01 | LBBM | NR | Cardiovascular alterations may be caused by endothelial dysfunction. | Vascular reactivity and arterial stiffness may be altered in distinct ways by SARS-CoV-2. | CT | NR |
| 5 | Doo et al. [150] (2021) | 02 | LBBM | Hypertension | Edema of the cortex or sub cortex as a result of a breach in the blood–brain barrier | Carotid thrombosis with large ischemic stroke | MRI | NR |
| 6 | Qureshi et al. [151] (2021) | 11 | LBBM | Hypertension | COVID-19 effects on carotid strength | Increasing the rate of poor outcomes among patients with ischemic stroke and transient ischemic attack. | CT | NR |
| 7 | Ojo et al. [152] (2020) | 221 | LBBM | CKD, CVD | The consequence is more likely to occur in individuals who are older and who have a more severe disease; nevertheless, large-vessel occlusion is increasingly being documented in younger people. | Patients in COVID-19 who had a large-vessel ischemic stroke after sub occlusive acute restriction of the common carotid artery and thrombosis | NR | NR |
| 8 | Munjral et al. [153] (2021) | NR | LBBM, OBBM | BP, Diabetes | The importance of low-cost surrogate CVD tests, such as ultrasound screening of the carotid artery, can contribute to accurate AI-based risk assessment and the monitoring of atherosclerotic disease. | Highlighted the role that poor nutrition and vascular damage induced by SAR-CoV-2 played in causing damage to the brain and heart. | US | NR |
| 9 | Villadiego et al. [154] (2021) | 04 | LBBM | NR | The most distinctive feature of patients with COVID-19 is that they demonstrate severe hypoxemia, with arterial levels of oxygen (O2) tension even lower than 50 mmHg, and they do so without manifesting obvious signs of distress (dyspnea) or a significant increase in the rate at which they are breathing. | Vascular damage induced by SAR-CoV-2 | NR | NR |
| 10 | Crispy et al. [155] (2022) | 15446 | LBBM, OBBM | Diabetes, CVD | Endothelial Dysfunction results carotid alternation | Carotid Revascularization | US | NR |
Publisher’s Note: MDPI stays neutral with regard to jurisdictional claims in published maps and institutional affiliations. |
© 2022 by the authors. Licensee MDPI, Basel, Switzerland. This article is an open access article distributed under the terms and conditions of the Creative Commons Attribution (CC BY) license (https://creativecommons.org/licenses/by/4.0/).
Share and Cite
Khanna, N.N.; Maindarkar, M.; Puvvula, A.; Paul, S.; Bhagawati, M.; Ahluwalia, P.; Ruzsa, Z.; Sharma, A.; Munjral, S.; Kolluri, R.; et al. Vascular Implications of COVID-19: Role of Radiological Imaging, Artificial Intelligence, and Tissue Characterization: A Special Report. J. Cardiovasc. Dev. Dis. 2022, 9, 268. https://doi.org/10.3390/jcdd9080268
Khanna NN, Maindarkar M, Puvvula A, Paul S, Bhagawati M, Ahluwalia P, Ruzsa Z, Sharma A, Munjral S, Kolluri R, et al. Vascular Implications of COVID-19: Role of Radiological Imaging, Artificial Intelligence, and Tissue Characterization: A Special Report. Journal of Cardiovascular Development and Disease. 2022; 9(8):268. https://doi.org/10.3390/jcdd9080268
Chicago/Turabian StyleKhanna, Narendra N., Mahesh Maindarkar, Anudeep Puvvula, Sudip Paul, Mrinalini Bhagawati, Puneet Ahluwalia, Zoltan Ruzsa, Aditya Sharma, Smiksha Munjral, Raghu Kolluri, and et al. 2022. "Vascular Implications of COVID-19: Role of Radiological Imaging, Artificial Intelligence, and Tissue Characterization: A Special Report" Journal of Cardiovascular Development and Disease 9, no. 8: 268. https://doi.org/10.3390/jcdd9080268
APA StyleKhanna, N. N., Maindarkar, M., Puvvula, A., Paul, S., Bhagawati, M., Ahluwalia, P., Ruzsa, Z., Sharma, A., Munjral, S., Kolluri, R., Krishnan, P. R., Singh, I. M., Laird, J. R., Fatemi, M., Alizad, A., Dhanjil, S. K., Saba, L., Balestrieri, A., Faa, G., ... Suri, J. S. (2022). Vascular Implications of COVID-19: Role of Radiological Imaging, Artificial Intelligence, and Tissue Characterization: A Special Report. Journal of Cardiovascular Development and Disease, 9(8), 268. https://doi.org/10.3390/jcdd9080268

