A Successful Approach to Diagnosing Shiga-like Toxin-Producing Escherichia coli-Induced Colitis
Abstract
1. Introduction
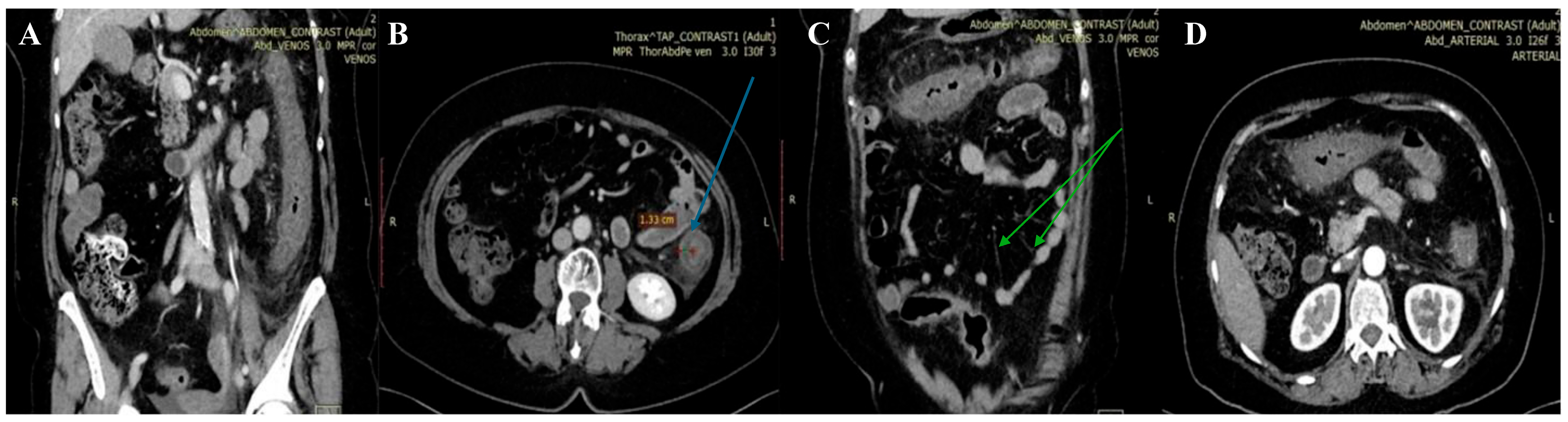
2. Case Presentation
3. Discussion
4. Conclusions
Author Contributions
Funding
Institutional Review Board Statement
Informed Consent Statement
Data Availability Statement
Acknowledgments
Conflicts of Interest
References
- Beutin, L.; Fach, P. Detection of Shiga Toxin-Producing Escherichia coli from Nonhuman Sources and Strain Typing. Microbiol. Spectr. 2014, 2, EHEC-0001-2013. [Google Scholar] [CrossRef] [PubMed]
- Plastaras, L.; Vuitton, L.; Badet, N.; Koch, S.; Di Martino, V.; Delabrousse, E. Acute colitis: Differential diagnosis using multidetector CT. Clin. Radiol. 2015, 70, 262–269. [Google Scholar] [CrossRef] [PubMed]
- Tarr, P.I.; Gordon, C.A.; Chandler, W.L. Shiga-toxin-producing Escherichia coli and haemolytic uraemic syndrome. Lancet 2005, 365, 1073–1086. [Google Scholar] [CrossRef] [PubMed]
- Kaper, J.B.; O’Brien, A.D. Overview and Historical Perspectives. Microbiol. Spectr. 2014, 2, EHEC-0028-2014. [Google Scholar] [CrossRef] [PubMed]
- Fernandez-Brando, R.J.; Sacerdoti, F.; Amaral, M.M.; Bernal, A.M.; Da Rocha, M.; Belardo, M.; Palermo, M.S.; Ibarra, C.A. Detection of plasma anti-lipopolysaccharide (LPS) antibodies against enterohemorrhagic Escherichia coli (EHEC) in asymptomatic kindergarten teachers from Buenos Aires province. Rev. Argent. Microbiol. 2023, 56, 25–32. [Google Scholar] [CrossRef] [PubMed]
- Azer, S.A.; Tuma, F. Infectious Colitis. In StatPearls; StatPearls Publishing: Treasure Island, FL, USA, 2023. Available online: https://www.ncbi.nlm.nih.gov/books/NBK544325/ (accessed on 28 December 2023).
- Al-Smadi, D.M.; Shahwan, M.Y.; Madi, M.Y. Breaking Down the Gut: A Case of Severe Toxin-Mediated Colitis. Cureus 2023, 15, e37092. [Google Scholar] [CrossRef] [PubMed]
- European Centre for Disease Prevention and Control. STEC Infection. In ECDC; Annual Epidemiological Report for 2021; ECDC: Stockholm, Sweden, 2022. [Google Scholar]
- Zhang, H.; Yamamoto, E.; Murphy, J.; Carrillo, C.; Locas, A. Shiga Toxin-Producing Escherichia coli (STEC) and STEC-Associated Virulence Genes in Raw Ground Pork in Canada. J. Food Prot. 2021, 84, 1956–1964. [Google Scholar] [CrossRef] [PubMed]
- Jessurun, J. The Differential Diagnosis of Acute Colitis: Clues to a Specific Diagnosis. Surg. Pathol. Clin. 2017, 10, 863–885. [Google Scholar] [CrossRef] [PubMed]
- Mühlen, S.; Dersch, P. Treatment Strategies for Infections With Shiga Toxin-Producing Escherichia coli. Front. Cell. Infect. Microbiol. 2020, 10, 169. [Google Scholar] [CrossRef] [PubMed]
- Ryoo, S.B.; Oh, H.K.; Ha, H.K.; Moon, S.H.; Choe, E.K.; Park, K.J. The outcomes and prognostic factors of surgical treatment for ischemic colitis: What can we do for a better outcome? Hepatogastroenterology 2014, 61, 336–342. [Google Scholar] [PubMed]
- Tanquilut, C.D.; Jung, C.W.; Nelson, A.W.; Lau, S.K. Infection due to Shiga toxin-producing enterohemorrhagic Escherichia coli (EHEC) presenting as ischemic colitis. IDCases 2019, 18, e00629. [Google Scholar] [CrossRef] [PubMed]
- Caldis, M.; Austin, K.; Slukvin, I. S1915 A Sporadic Case of Shiga Toxin-Producing Enterohemorrhagic Escherichia Coli O111 Infection Manifesting as Ischemic Colitis. Am. J. Gastroenterol. 2021, 116, S841. [Google Scholar] [CrossRef]
- Cocca, S.; Campigotto, M.; Simonini, M.S.; Gozzi, C.; Grande, G.; Mangiafico, S.; Bertani, H.; Conigliaro, R. Enterohemorrhagic shiga- like toxin producer Escherichia Coli Ileitis: The first capsule endoscopy report in adults. J. Clin. Images Med. Case Rep. 2022, 3, 1667. [Google Scholar] [CrossRef]
- Kravitz, G.R.; Smith, K.; Wagstrom, L. Colonic Necrosis and Perforation Secondary to Escherichia coli O157:H7 Gastroenteritis in an Adult Patient without Hemolytic Uremic Syndrome. Clin. Infect. Dis. 2022, 35, e103–e105. [Google Scholar] [CrossRef]
- Kendrick, J.B.; Risbano, M.; Groshong, S.D.; Frankel, S.K. A rare presentation of ischemic pseudomembranous colitis due to Escherichia coli O157:H7. Clin. Infect. Dis. 2007, 45, 217–219. [Google Scholar] [CrossRef] [PubMed]
- Tominaga, T.; Oikawa, M.; Takeshita, H.; Kunizaki, M.; Tou, K.; Abo, T.; Hidaka, S.; Nanashima, A.; Sawai, T.; Nagayasu, T. Successful Colectomy for Hemorrhagic Colitis with Hemolytic Uremic Syndrome and Acute Encephalopathy due to Escherichia coli O157 Infection. Case Rep. Gastroenterol. 2014, 8, 82–88. [Google Scholar] [CrossRef] [PubMed]
- Radhakrishnan, S.T.; Ruban, A.; Uthayakumar, A.K.; Cohen, P.; Levy, J.; Teare, J. Haemolytic uraemic syndrome—A rare case report of bloody diarrhoea in adults. BMC Gastroenterol. 2019, 19, 156. [Google Scholar] [CrossRef] [PubMed]
- Michael, M.; Bagga, A.; Sartain, S.E.; Smith, R.J.H. Haemolytic uraemic syndrome. Lancet 2022, 400, 1722–1740. [Google Scholar] [CrossRef] [PubMed]
- Falup-Pecurariu, O.; Lixandru, R.I.; Cojocaru, E.; Csutak, K.; Monescu, V.; Muhsen, K.; Falup-Pecurariu, C.; Cohen, D. Shiga toxin producing Escherichia coli-associated diarrhea and hemolytic uremic syndrome in young children in Romania. Gut Pathog. 2019, 11, 46. [Google Scholar] [CrossRef] [PubMed]
- Peron, E.; Zaharia, A.; Zota, L.C.; Severi, E.; Mårdh, O.; Usein, C.; Bălgrădean, M.; Espinosa, L.; Jansa, J.; Scavia, G.; et al. Early findings in outbreak of haemolytic uraemic syndrome among young children caused by Shiga toxin-producing Escherichia coli, Romania, January to February 2016. Eurosurveillance 2016, 21, 30170. [Google Scholar] [CrossRef] [PubMed][Green Version]




| Day 1 | Day 3 | Day 6 | Day 8 | Day 10 | |
|---|---|---|---|---|---|
| WBC (103/mm3) | 21.1 | 18 | 12.5 | 9.5 | 8.3 |
| Neutrophils (%) | 77.9 | 81.4 | 76 | 71 | 60 |
| Platelets (103/mm3) | 331 | 238 | 238 | 255 | 326 |
| Hemoglobin (g/dL) | 14.9 | 12 | 11.8 | 11.4 | 11.8 |
| Fibrinogen (mg/dL) | 483 | 641 | 469 | 363 | |
| CRP (mg/dL) | 1.4 | 98.9 | 69.82 | 30 | |
| BUN (mg/dL) | 25 | 37 | |||
| Creatinine (mg/dL) | 0.5 | 0.5 | 0.6 | 0.68 | 0.5 |
| Na (mmol/L) | 133 | 132 | 140 | ||
| K (mmol/L) | 3.48 | 3.56 | 4.06 | 4.67 | |
| BT (mg/dL) | 1.0 | 0.17 | |||
| BD (mg/dL) | 0.2 | 0.06 | |||
| BI (mg/dL) | 0.8 | ||||
| AST (U/L) | 18 | 41 | 19 | ||
| ALT (U/L) | 23 | 15 | 28 | 17 | |
| GGT (U/L) | 27 | 59 | |||
| ALP (U/L) | 74 | ||||
| Amylase (U/L) | 68 | 27 | 23 | ||
| Lipase (U/L) | 13 | ||||
| Albumin (g/dL) | 2.67 | 3.34 | |||
| Glucose (mg/dL) | 146 | 73 | 65 | ||
| LDH (U/L) | 192 | ||||
| CK (U/L) | 22 | ||||
| D-DIMER (ng/mL) | 1665 | ||||
| PCT (ng/mL) | <0.5 |
| Reference | Cases (Sex, Age) | Clinical Findings | Biological Changes | Microbiological Tests | Imagistic Investigations | Histological Findings | Management | HUS | Other Complications |
|---|---|---|---|---|---|---|---|---|---|
| Kravitz 2022 [16] | F, 48 | Pain, fever, vomiting, non-bloody diarrhea | Leucocytosis, low sodium and potassium levels | Negative stool culture; antibodies to E. coli O157 LPS with positive dynamics | Ileus and free subdiaphragmatic air on radiography | Bowel wall rupture, acute hemorrhagic colitis with ischemic features | Imipenem–cilastatin; piperacillin–tazobactam; fluconazole; surgical intervention | No | Colon perforation |
| Kendrick 2007 [17] | M, 59 | Pain, fever, bloody diarrhea | Mild leukocytosis | E. coli O157:H7 isolated in stool culture | Wall thickening through the entire colon at CT scan | Inflammatory pseudo-membranes, mucosal ischemia, and ulceration | Metronidazole, surgical intervention | No | Colon necrosis |
| Tominaga 2014 [18] | M, 81 | Pain, febrile, bloody diarrhea, | Inflammatory syndrome, thrombocytopenia | E. coli O157 isolated in stool culture; positive verotoxin | Thickening of the entire colon wall and ascites at CT scan | Hemorrhagic necrosis into mucosa with subjacent oedema | Cefotiam, levofloxacin, surgical intervention | Yes | Colon necrosis, septic shock |
| Radhakrishnan 2019 [19] | M, 17 | Pain, fever, bloody diarrhea | Mild leukocytosis, | Positive STEC antibodies | Wall thickening in the ascending colon at CT scan | Hemorrhagic lesions, inflammatory exudate, and atrophic crypts | Cefuroxime, metronidazole, eculizumab | Yes | Thrombocytopenia, partial-complex seizures |
| Tanquilut 2019 [13] | F, 32 | Pain, afebrile, non-bloody diarrhea | Intense leukocytosis, low sodium | GI panel stool positive for STEC, negative stool culture | ND | Superficial mucosal necrosis, hemorrhages into lamina propria | Ciprofloxacin, metronidazole, piperacillin–tazobactam, | No | No |
| Caldis 2021 [14] | F, 59 | Pain, afebrile, non-bloody emesis, dark stool | Moderate leukocytosis | E coli O111 isolated in stool culture | Severe colitis, without evidence of large vessel occlusion on CT angiogram | Ischemic colitis in appearance | Ceftriaxone, metronidazole | No | No |
| Cocca 2022 [15] | M, 44 | Asthenia, fever, melena | Mild inflammation (CRP) | GI panel stool positive for STEC O157 | Thickened wall of terminal ileum at angio-CT | Inflamed and ulcerated mucosa | Azithromycin | No | No |
| Al-Smadi 2023 [7] | M, 21 | Pain, afebrile, bloody diarrhea | Mild leukocytosis | Stool positive for STEC | Normal CT scan of large intestine | Erosion and necrosis of mucosa, crypt atrophy | Ceftriaxone, metronidazole | No | No |
| No | Reference | Cases (Sex, Age) | Ileum | Ascending Colon | Descending Colon | Rectum |
|---|---|---|---|---|---|---|
| 1. | Kravitz 2022 [16] | F, 48 | ND | ND | ND | ND |
| 2. | Kendrick 2007 [17] | M, 59 | − | ++ | ++ | ++ |
| 3. | Tominaga 2014 [18] | M, 81 | − | ++ | + | − |
| 4. | Radhakrishnan 2019 [19] | M, 17 | − | + | + | + |
| 5. | Tanquilut 2019 [13] | F, 32 | ND | ND | +++ | + |
| 6. | Caldis 2021 [14] | F, 59 | − | ++ | + | + |
| 7. | Cocca 2022 [15] | M, 44 | +++ | − | − | − |
| 8. | Al−Smadi 2023 [7] | M, 21 | − | + | ++ | − |
Disclaimer/Publisher’s Note: The statements, opinions and data contained in all publications are solely those of the individual author(s) and contributor(s) and not of MDPI and/or the editor(s). MDPI and/or the editor(s) disclaim responsibility for any injury to people or property resulting from any ideas, methods, instructions or products referred to in the content. |
© 2024 by the authors. Licensee MDPI, Basel, Switzerland. This article is an open access article distributed under the terms and conditions of the Creative Commons Attribution (CC BY) license (https://creativecommons.org/licenses/by/4.0/).
Share and Cite
Melinte, V.; Radu, A.M.; Văcăroiu, C.M.; Cismaru, M.I.; Oprescu Macovei, A.M.; Mihăilă, D.E.; Gheorghiță, V. A Successful Approach to Diagnosing Shiga-like Toxin-Producing Escherichia coli-Induced Colitis. Diagnostics 2024, 14, 801. https://doi.org/10.3390/diagnostics14080801
Melinte V, Radu AM, Văcăroiu CM, Cismaru MI, Oprescu Macovei AM, Mihăilă DE, Gheorghiță V. A Successful Approach to Diagnosing Shiga-like Toxin-Producing Escherichia coli-Induced Colitis. Diagnostics. 2024; 14(8):801. https://doi.org/10.3390/diagnostics14080801
Chicago/Turabian StyleMelinte, Violeta, Adelina M. Radu, Cristina M. Văcăroiu, Miriana I. Cismaru, Anca M. Oprescu Macovei, Daniela E. Mihăilă, and Valeriu Gheorghiță. 2024. "A Successful Approach to Diagnosing Shiga-like Toxin-Producing Escherichia coli-Induced Colitis" Diagnostics 14, no. 8: 801. https://doi.org/10.3390/diagnostics14080801
APA StyleMelinte, V., Radu, A. M., Văcăroiu, C. M., Cismaru, M. I., Oprescu Macovei, A. M., Mihăilă, D. E., & Gheorghiță, V. (2024). A Successful Approach to Diagnosing Shiga-like Toxin-Producing Escherichia coli-Induced Colitis. Diagnostics, 14(8), 801. https://doi.org/10.3390/diagnostics14080801

