You are currently viewing a new version of our website. To view the old version click .
Therapeutics
  • Case Report
  • Open Access

11 September 2024

Continued Anticomplement Therapy: A Lifeline for Post-Renal-Transplant Patients with Complement-Mediated Hemolytic Uremic Syndrome

,
,
,
and
Penn State Milton S. Hershey Medical Center, Penn State College of Medicine, Hershey, PA 17033, USA
*
Author to whom correspondence should be addressed.

Abstract

Background: Complement-mediated hemolytic uremic syndrome (CM-HUS), formerly known as atypical HUS, is a rare but potentially fatal thrombotic microangiopathy (TMA) characterized by the triad of thrombocytopenia, microangiopathic hemolytic anemia (MAHA), and acute kidney injury. It is primarily caused by complement dysregulation. The condition can progress to end-stage renal disease (ESRD), often necessitating kidney transplant. In rare instances, it can develop in post-renal-transplant patients. Methods: Here, we present the cases of two patients with ESRD status post kidney transplant who presented with thrombocytopenia, anemia, and acute kidney injury. In both cases, work-up was suggestive of CM-HUS, and stabilization was achieved with eculizumab. Discussion: The pathogenesis of CM-HUS involves dysregulation of the complement system, and complement inhibitors such as eculizumab can be used for initial management and relapse. The relapse rate following eculizumab treatment can range from 20 to 67%. Patients with a history of kidney transplant are more prone to relapse than those with native kidneys. Re-treatment with complement inhibitors has proven effective in managing relapses, and long-term continuation of complement inhibitor medications is recommended to prevent recurrence. Conclusions: CM-HUS is rare, especially in post-transplant patients, and can be potentially fatal. It is crucial for clinicians to recognize and treat this condition promptly. Management often involves complement inhibitors. The risk of relapse is particularly high in patients with a history of kidney transplant, but long-term continuation of these medications can prevent relapse.

1. Introduction

Thrombotic microangiopathies (TMAs) are rare but require urgent management to prevent or treat tissue ischemic injury. Symptoms are often nonspecific, with diagnosis established through laboratory evidence of thrombocytopenia, microangiopathic hemolytic anemia (MAHA), and findings of thrombi [1].
The predominant types of TMA are thrombotic thrombocytopenic purpura (TTP) and hemolytic uremic syndrome (HUS) [1]. TTP results from deficiency of the ADAMTS13 enzyme, which is a plasma metalloprotease that cleaves the von Willebrand factor (VWF). VWF is a plasma glycoprotein that stabilizes factor VIII in the clotting cascade, therefore aiding in platelet adhesion and aggregation and clot formation [2]. In TTP, the lack of ADAMTS13, often due to acquired autoantibodies, leads to impaired VWF cleavage, VWF platelet aggregation, and thrombus formation [2]. HUS is typically caused by Shiga toxin-producing E. coli, damaging cells via glycosphingolipid binding, resulting in microthrombi formation due to elevated thrombin and fibrin levels [3]. It commonly manifests as the triad of MAHA, thrombocytopenia, and acute kidney injury [4]. Complement-mediated HUS (CM-HUS), formerly known as atypical HUS (aHUS), shares this clinical triad but stems from complement dysregulation.
The complement system is part of the body’s immune system, acting via proteins to trigger inflammatory responses and clear pathogens [5]. It consists of three pathways: classical, lectin, and alternative [4]. The classical pathway involves the formation of antigen–antibody complexes that lead to eventual phagocytosis [4]. The lectin pathway senses mannose-binding protein on bacterial surfaces and eventually coincides with the classical pathway to lead to phagocytosis [4]. The alternative pathway involves spontaneous hydrolysis of complement component 3 (C3) into complement component 3b (C3b), which interacts with factor B to form the C3 convertase (C3bBb) in order to act further along the pathway and also to continue to cleave C3 into C3b [4]. The C3 convertase combines with C3b to form the C5 convertase (C3bBbC3b), which cleaves complement component 5 (C5) into complement component 5a (C5a) and complement component 5b (C5b). C5b binds to complement component 6 (C6), complement component 7 (C7), complement component 8 (C8), and complement component 9 (C9) to form the cell-lysing membrane attack complex (C5b–C9) [4,5]. The complement system is normally controlled by regulatory proteins [5]. Among the three complement pathways, the alternative pathway is often implicated in the pathogenesis of CM-HUS [5]. CM-HUS develops when the regulatory proteins are inhibited in the setting of mutations or acquired antibodies, resulting in unrestricted activation and subsequent endothelial and microvascular injury, hemolysis, platelet aggregation, and thrombus formation [5]. Re-regulation can improve and even resolve the condition.
As illustrated in Figure 1, eculizumab inhibits the cleavage of C5 into C5a and C5b, thus preventing the deployment of the terminal complement system, including the formation of the membrane attack complex (MAC) [5]. As seen in Table 1, complement inhibition with eculizumab and ravulizumab regulates the complement system, thereby contributing to the management of CM-HUS. We have compiled two case reports that detail patients who, having developed CM-HUS after having kidney transplants, were successfully treated with eculizumab.
Figure 1. Mechanism of action of eculizumab: The mechanism of action of eculizumab involves inhibition of the cleavage of C5 into C5a and C5b, which prevents that pathway from continuing into the membrane attack complex.
Table 1. Complement inhibitors: There are several types of complement inhibitors available, some of which are indicated for the management of complement-mediated hemolytic uremic syndrome (CM-HUS).

2. Case Presentations

2.1. Case 1

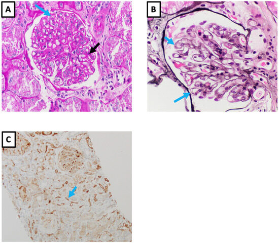
A 44-year-old male with a significant past medical history of hypertension, hyperlipidemia, and end-stage renal disease (ESRD) secondary to hypertensive nephrosclerosis requiring peritoneal dialysis and complicated by peritonitis underwent a deceased donor kidney transplant for ESRD six years prior to presentation. At the time of transplantation, anti-rejection therapies of mycophenolate mofetil, tacrolimus, and prednisone were initiated. Following the transplant, he developed chronic allograft nephropathy, characterized by a baseline serum creatinine level of 1.5–1.9 mg/dL. At presentation for evaluation, the patient had evidence of proteinuria, hematuria, and mild-to-moderate pancytopenia, attributed to renal allograft rejection, prompting referral to hematology. Renal biopsy demonstrated positive complement component 4d (C4d) staining consistent with antibody-mediated rejection (Figure 2).
Figure 2. Renal pathology of patient one. (A) The majority of the non-sclerotic glomeruli show segmental-to-global mesangial hypercellularity (black arrow) and capillary wall thickening with basement membrane duplication (blue arrow) (PAS; 400×). (B) A Jones silver stain highlights chronic changes characterized by extensive basement membrane duplication (arrows) compatible with transplant glomerulopathy (Jones, 600×). (C) C4d staining is positive along >50% peritubular capillaries (arrow) compatible with antibody-mediated rejection (C4d3). The chronic changes along with the positive C4d staining are best classified as chronic active antibody-mediated rejection (C4d IHC; 200×).
Initially, the patient’s pancytopenia was suspected to be due to mycophenolate toxicity, and the mycophenolate dose was reduced, leading to improved pancytopenia and resolution of leukopenia. However, after a few months, the anemia and thrombocytopenia worsened progressively, with a hemoglobin nadir of 6.3 g/dL and a platelet nadir of 51 K/uL. Additionally, renal function declined, with serum creatinine level peaking at 4.3 mg/dL. Further investigation revealed a low tacrolimus level, prompting a dosage increase.
The patient underwent treatment with intravenous immune globulin (IVIG), with plans for subsequent rituximab therapy for antibody-mediated rejection. However, after two doses of IVIG, the patient developed hypertensive emergency and was subsequently taken to the emergency department. Laboratory results showed a hemoglobin level of 6.4 g/dL, thrombocytopenia with platelet count dropping to 67 K/uL, serum creatinine level elevated to 3.24 mg/dL, elevated lactate dehydrogenase (LDH) to 553 unit/L, and haptoglobin less than 10 g/dL. A direct antiglobulin test returned negative. Peripheral smear examination revealed macrocytic, normochromic red blood cells, increased reticulocytosis, increased schistocytes (5–6/high power field), neutrophils with normal morphology, and decreased platelet count; findings were consistent with MAHA.
Due to the thrombocytopenia, MAHA, and renal failure, TMA was suspected. Further workup included an ADAMTS13 activity assay, which was 77 U/dL (normal value ≥ 70 U/dL). Additionally, Shiga toxin PCR was negative, and stool culture returned negative for Salmonella, Shigella, and Campylobacter. As a result, TTP and HUS were ruled out.
Moreover, serum C3 was low, at 84 mg/dL (90–180 mg/dL), serum complement component 4 (C4) was normal, at 34 mg/dL (10–40 mg/dL), antinuclear antibody (ANA) was negative at <1:80, and anti-double-stranded DNA antibody was negative at 10.9 IU/mL (<30 IU/mL). The differential diagnosis for TMA included hypertensive emergency, CM-HUS, antibody-mediated rejection, and medication-induced TMA from calcineurin inhibitor (tacrolimus). Complement factors B, H, and I, Factor H autoantibody results were normal, and a TMA genetic susceptibility panel demonstrated a heterozygous variant CFH c.2171C>A (p.Thr724Lys) and homozygous variant CFH c.2171C>A (p.Thr724Lys) of uncertain significance in complement factor H (CFH) and a heterozygous variant CFHR1 c.59-14T>C of uncertain significance in complement factor H receptor 1 (CFHR1) but did not reveal any known pathogenic variants.
With a suspected diagnosis of complement-mediated HUS, eculizumab induction therapy was initiated, consisting of 900 mg intravenous (IV) weekly for four doses, followed by maintenance therapy at 1200 mg IV every two weeks. Eculizumab carries a black box warning for meningococcal meningitis if not vaccinated. Since the patient’s meningitis vaccination status was unclear, we initiated a meningococcal vaccination regimen of three doses over three months alongside prophylactic oral amoxicillin 500 mg twice daily, which was continued for an additional 2 weeks after completing the vaccination series. After two doses of maintenance eculizumab, the patient’s hematological parameters, including hemoglobin, platelets, and LDH normalized, and his serum creatinine level stabilized around 4.0 mg/dL (Figure 3). Additionally, his blood pressure was effectively controlled with antihypertensive medications.
Figure 3. Trend of serum creatinine in patient one: serum creatinine level at baseline, at initial diagnosis of complement-mediated HUS and start of eculizumab therapy, discontinuation of eculizumab, re-initiation of eculizumab due to relapse, and transition to ravulizumab.
After interdisciplinary discussion with nephrology, eculizumab was discontinued after two months, and the patient was monitored for relapse. Shortly after, the patient was hospitalized for acute kidney injury due to a relapse of CM-HUS. Eculizumab was resumed, leading to the resolution of thrombotic microangiopathy markers. Subsequently, the patient was transitioned to ravulizumab every eight weeks. Since resuming anticomplement therapy, the patient has remained stable without evidence of another CM-HUS relapse. The decision was made to continue treatment indefinitely.

2.2. Case 2

A 58-year-old male with history of chronic kidney disease secondary to hypertensive nephrosclerosis underwent a deceased donor renal transplant. Anti-rejection therapies of tacrolimus, sirolimus, and prednisone were initiated. One week post transplantation, he was hospitalized with abnormal laboratory parameters, including elevated serum creatinine level, thrombocytopenia, and anemia. Allograft biopsy revealed acute antibody-mediated rejection. Therapeutic plasma exchange and IVIG were initiated. Due to concerns about CM-HUS in the context of immune-mediated thrombocytopenia and hemolytic anemia, eculizumab 900 mg IV weekly for four doses was started while the patient was hospitalized, followed by maintenance therapy at 1200 mg IV every two weeks. A single dose of rituximab was administered, and high-dose steroids were continued. Tacrolimus and sirolimus were discontinued, replaced by belatacept, mycophenolic acid, and prednisone for immunosuppression. Immunization status was reviewed to ensure the patient was up to date on his meningococcal vaccine. The patient responded well to eculizumab. Genetic mutation testing revealed a homozygous complement factor H related 3 (CFHR3-1) deletion, depletion of total complement test (CH50) and Alternative Pathway Functional Assay (APFA), and normal levels of C3 and C4, suggesting CM-HUS secondary to tacrolimus and renal transplant. Eculizumab was continued for approximately six years until the patient’s visit to our hematology clinic. Subsequently, he was transitioned to long-acting anticomplement therapy, ravulizumab, with infusions every eight weeks and plan to continue therapy indefinitely. Follow-up laboratory assessments showed no evidence of MAHA, and the patient has been tolerating the treatment well without side effects.

3. Discussion

TMA is characterized by MAHA, thrombocytopenia, and end organ failure. TMA syndromes include TTP and HUS. HUS is further sub-categorized as typical/Shiga-like toxin-producing E. coli (STEC) HUS, and CM-HUS [6]. CM-HUS is rare, with an incidence ranging from 0.23 to 1.9 per million [7]. It is more commonly observed in children, and when it occurs in adulthood, it tends to affect females more frequently. The initial presentation of CM-HUS in the post-renal-transplant period is even rarer and carries a worse prognosis [8].
The pathogenesis of CM-HUS involves a dysregulation of the complement system, resulting in uncontrolled activation [4]. The complement system triggers inflammatory responses as part of the body’s immune system [5]. The alternative pathway, which is the pathway most commonly involved with CM-HUS, involves the cleavage and combination of complement component proteins, resulting in the formation of the MAC [4,5]. Regulatory proteins control the activity of the pathway, preventing overactivation [5]. In CM-HUS, pathogenic mutations of these regulatory proteins or acquired antibodies against the proteins inhibit the proteins’ function and, therefore, result in uninhibited action of the pathway [5]. The overactivity leads to the deposition of complement proteins on endothelial cells, leading to endothelial injury [5]. Additional complications include hemolysis, platelet aggregation, and thrombus formation [5]. In the kidney, swelling of the endothelium and thrombus formation can result in glomerular capillary wall thickening, glomerular capillary occlusion, and fibrinoid necrosis and lead to renal insufficiency [4]. For patients who are post-transplant, CM-HUS can result in allograft loss due to thrombotic microangiopathy in the renal allograft [9].
Diagnosis of CM-HUS requires exclusion of TTP and HUS [1]. Accordingly, TTP and HUS can be ruled out by determining ADAMTS13 activity and testing for Shiga toxin, respectively [1]. In our patients, the ADAMTS13 activity assay showed normal enzyme activity, and stool culture testing for Salmonella, Shigella, and Campylobacter, as well as Shiga toxin polymerase chain reaction (PCR), were negative. To support the diagnosis of CM-HUS, complement levels can be evaluated. A genetic susceptibility panel is also useful in the diagnosis of complement-mediated HUS [1]. Gain-of-function mutations in the genes encoding complement proteins C3, complement factor B (CFB), loss-of-function mutations in the complement regulators CFH, cluster of differentiation 46 (CD46), and Factor I, as well as the presence of autoantibodies against CFH, have been found to result in the activation of the alternative complement pathway [10]. CFHR3 proteins act as cofactors for converting C3b to its inactive form [10]. As such, the CFHR3-1 deletion in Case 2 would lead to complement dysregulation and is suggestive of CM-HUS. Mutations in other molecules indirectly linked to the complement system include diacylglycerol kinase epsilon (ε) and thrombomodulin [10]. These mutations contribute to a prothrombotic state by promoting the activation of protein kinase C (PKC) [10]. Among these, CFH gene mutations are noted in 24–28% of CM-HUS cases [11]. The CFH variant impairs binding to C3b on host cells, resulting in increased terminal complement deposition and microthrombus formation, especially in the kidneys [12]. CH50, which evaluates total complement activity, is usually normal in patients with CM-HUS [12]. Additionally, CM-HUS is often associated with low C3 and normal C4, although 35% of diagnosed patients have normal levels of both C3 and C4 [12]. The Alternative Pathway Functional Assay (APFA), which evaluates the alternative complement pathway activity, is often reduced in patients with CM-HUS due to the consumption of proteins in the pathway in the setting of dysregulation [12].
Eculizumab inhibits the cleavage of C5 into C5a and C5b, thereby preventing the deployment of the terminal complement system, including the formation of MAC [5]. Ravulizumab is a long-acting, anticomplement C5 monoclonal antibody [13]. Hence, as demonstrated in these two reported patient cases, anticomplement therapy can be employed in cases of CM-HUS to address the complement dysregulation underlying the patient’s clinical condition in a post-renal-transplant setting. Based on the limited data available, the relapse rate of CM-HUS following treatment with eculizumab can range from 20 to 67% [11]. Relapse is less likely in patients with native kidneys, and these patients may respond well to re-treatment with eculizumab if they do experience a relapse [14]. Conversely, those with a history of renal transplant are more likely to experience relapse, which can occur days to years after transplant [14]. As such, studies have been conducted to determine the efficacy of eculizumab as prophylaxis prior to or immediately after renal transplant rather than only starting it in the setting of diagnosed relapsed. A systematic review in 2019 reported a relapse rate of 5.5% on prophylactic eculizumab, with a 5.3% incidence of allograft loss in those patients [9]. For post-transplant patients treated with eculizumab for a relapse, the estimated rate of allograft loss was 24.4% [9].
The effects of eculizumab and ravulizumab on the complement system can lead to improvement in the condition of patients with CM-HUS, but this action can also have adverse effects [15]. By inhibiting the terminal complement pathway, the medication consequently diminishes bactericidal activity [14]. The black box warning of eculizumab includes an increase in the risk of contracting meningococcal infections by 1000-fold [15]. Therefore, it is crucial for patients to receive appropriate vaccination to prevent them from contracting potentially fatal infections as a result of the treatment for their CM-HUS. Our patient received a regimen of the meningococcal B vaccine, with a dose administered every month over a three-month period. Additionally, amoxicillin was prescribed for prophylaxis to prevent unvaccinated patients from contracting meningococcal infections while they are in the process of completing the vaccination series. Even after vaccination, the risk of the development of meningococcal illness remains, prompting some providers to continue antibiotic prophylaxis throughout the duration of the anticomplement therapy, which can be life-long [16]. One study noted an increased time to onset of illness in patients who continued prophylactic antibiotic therapy but also increased penicillin non-susceptibility in those patients [17]. These findings highlight the importance of tailoring prophylactic strategies to the individual patient, balancing the benefits of complement inhibition with infection risks and the benefits of long-term antibiotic prophylaxis with the development of antibiotic resistance.

4. Conclusions

In conclusion, complement-mediated HUS is rare, particularly in post-renal-transplant patients, and can potentially be fatal. There may be multiple features contributing to the development of CM-HUS after renal transplant, including genetic susceptibility, anti-rejection treatments, and probable immune dysregulation. It is crucial for clinicians to promptly recognize and treat this condition. Management often involves anticomplement therapy. The risk of relapse is particularly high in patients with a history of renal transplant, but long-term continuation of these medications can prevent relapse as demonstrated in these two cases.

Author Contributions

Conceptualization, N.V., H.V.P. and E.F.; methodology, N.V., H.V.P., E.W. and E.F.; writing—original draft preparation, N.V., H.V.P., J.S., E.W. and E.F.; writing—review and editing, N.V., H.V.P., J.S. and E.F.; supervision, H.V.P. and E.F. All authors have read and agreed to the published version of the manuscript.

Funding

This research received no external funding.

Institutional Review Board Statement

Not applicable.

Data Availability Statement

The original contributions presented in this study are included in the article; further inquiries can be directed to the corresponding author.

Conflicts of Interest

The authors declare no conflicts of interest.

References

  1. Arnold, D.M.; Patriquin, C.J.; Nazy, I. Thrombotic microangiopathies: A general approach to diagnosis and management. Can. Med. Assoc. J. 2016, 189, E153–E159. [Google Scholar] [CrossRef] [PubMed]
  2. Tsai, H.M. Pathophysiology of thrombotic thrombocytopenic purpura. Int. J. Hematol. 2010, 91, 1–19. [Google Scholar] [CrossRef] [PubMed]
  3. Bhandari, J.; Sedhai, Y.R. Hemolytic Uremic Syndrome-StatPearls-NCBI Bookshelf. National Center for Biotechnology Information. Available online: https://www.ncbi.nlm.nih.gov/books/NBK556038/ (accessed on 10 August 2022).
  4. Kavanagh, D.; Goodship, T.H.; Richards, A. Atypical Hemolytic Uremic Syndrome. Semin. Nephrol. 2013, 33, 508–530. [Google Scholar] [CrossRef] [PubMed]
  5. Wijnsma, K.L.; Ter Heine, R.; Moes, D.J.; Langemeijer, S.; Schols, S.E.; Volokhina, E.B.; van den Heuvel, L.P.; Wetzels, J.F.; van de Kar, N.C.; Brüggemann, R.J. Pharmacology, pharmacokinetics and pharmacodynamics of Eculizumab, and possibilities for an individualized approach to Eculizumab. Clin. Pharmacokinet. 2019, 58, 859–874. [Google Scholar] [CrossRef] [PubMed]
  6. Tsai, H. Physiologic cleavage of von Willebrand factor by a plasma protease is dependent on its conformation and requires calcium ion. Blood 1996, 87, 4235–4244. [Google Scholar] [CrossRef] [PubMed]
  7. Yan, K.; Desai, K.; Gullapalli, L.; Druyts, E.; Balijepalli, C. Epidemiology of atypical hemolytic uremic syndrome: A Systematic Literature Review. Clin. Epidemiol. 2020, 12, 295–305. [Google Scholar] [CrossRef] [PubMed]
  8. Fayek, S.A.; Allam, S.R.; Martinez, E.; Pan, G.; Dao, A.; Rofaiel, G. Atypical hemolytic uremic syndrome after kidney transplantation: Lessons learned from the good, the bad, and the ugly. A case series with literature review. Transplant. Proc. 2020, 52, 146–152. [Google Scholar] [CrossRef] [PubMed]
  9. Gonzalez Suarez, M.L.; Thongprayoon, C.; Mao, M.A.; Leeaphorn, N.; Bathini, T.; Cheungpasitporn, W. Outcomes of kidney transplant patients with atypical hemolytic uremic syndrome treated with Eculizumab: A systematic review and meta-analysis. J. Clin. Med. 2019, 8, 919. [Google Scholar] [CrossRef] [PubMed]
  10. Noris, M.; Caprioli, J.; Bresin, E.; Mossali, C.; Pianetti, G.; Gamba, S.; Daina, E.; Fenili, C.; Castelletti, F.; Sorosina, A. Relative role of genetic complement abnormalities in sporadic and familial aHUS and their impact on clinical phenotype. Clin. J. Am. Soc. Nephrol. 2010, 5, 1844–1859. [Google Scholar] [CrossRef] [PubMed]
  11. Nester, C.M.; Barbour, T.; De Cordoba, S.R.; Dragon-Durey, M.A.; Fremeaux-Bacchi, V.; Goodship, T.H.; Kavanagh, D.; Noris, M.; Pickering, M.; Sanchez-Corral, P. Atypical aHUS: State of the art. Mol. Immunol. 2015, 67, 31–42. [Google Scholar] [CrossRef] [PubMed]
  12. Afshar-Kharghan, V. Atypical hemolytic uremic syndrome. Hematol. Am. Soc. Hematol. Educ. Program 2016, 2016, 217–225. [Google Scholar] [CrossRef] [PubMed]
  13. Lexicomp Online. Pediatric and Neonatal Lexi-Drugs Online; UpToDate, Inc.: Waltham, MA, USA, 2024; Available online: https://online.lexi.com (accessed on 11 February 2024).
  14. Duineveld, C.; Bouwmeester, R.; Van der Heijden, J.W.; Berger, S.P.; van de Kar, N.C.; Wetzels, J.F.; Dutch aHUS Working Group. Outcome of atypical haemolytic uraemic syndrome relapse after eculizumab withdrawal. Clin. Kidney J. 2020, 14, 1939–1945. [Google Scholar] [CrossRef] [PubMed]
  15. Konar, M.; Lujan, E.; Granoff, D. Effect of complement inhibition by Anti-C5 (Eculizumab) or a small molecule inhibitor of factor D (ACH-4471) on survival of meningococci in blood from vaccinated adults. Blood 2016, 128, 2429. [Google Scholar] [CrossRef]
  16. McNamara, L.A.; Topaz, N.; Wang, X.; Hariri, S.; Fox, L.; MacNeil, J.R. High risk for invasive meningococcal disease among patients receiving Eculizumab (Soliris) despite receipt of meningococcal vaccine. Am. J. Transplant. 2017, 17, 2481–2484. [Google Scholar] [CrossRef]
  17. Crew, P.E.; McNamara, L.; Waldron, P.E.; McCulley, L.; Jones, S.C.; Bersoff-Matcha, S.J. Antibiotic prophylaxis in vaccinated eculizumab recipients who developed meningococcal disease. J. Infect. 2020, 80, 350–371. [Google Scholar] [CrossRef] [PubMed]
Disclaimer/Publisher’s Note: The statements, opinions and data contained in all publications are solely those of the individual author(s) and contributor(s) and not of MDPI and/or the editor(s). MDPI and/or the editor(s) disclaim responsibility for any injury to people or property resulting from any ideas, methods, instructions or products referred to in the content.

Article Metrics

Citations

Article Access Statistics

Multiple requests from the same IP address are counted as one view.