Next Article in Journal
Direct PCR for Rapid and Safe Pathogen Detection: Laboratory Evaluation Supporting Field Use in Infectious Disease Outbreak
Previous Article in Journal
Residual Direct Oral Anticoagulant Activity in the Preoperative Setting: Review of the Literature and a Pilot Study Regarding Direct Oral Anticoagulant Preoperative Interruption (Based on Guidelines) and Its Correlation with Patient Characteristics and Blood Product Transfusion
 
 
Font Type:
Arial Georgia Verdana
Font Size:
Aa Aa Aa
Line Spacing:
Column Width:
Background:
Article

Role of Windowing Image Technique to Decipher Soft Tissue Pathologies

1
Royal Orthopaedic Hospital, Birmingham B31 2AP, UK
2
Holy Family Hospital, New Delhi 110025, India
3
Medical School, University of Nottingham, Nottingham NG7 2UH, UK
4
Heath Lodge Clinic, Knowle B93 9LW, UK
5
Southport and Ormskirk Hospital NHS Trust, Southport PR8 6PN, UK
*
Author to whom correspondence should be addressed.
LabMed 2025, 2(3), 11; https://doi.org/10.3390/labmed2030011
Submission received: 27 January 2025 / Revised: 21 May 2025 / Accepted: 9 June 2025 / Published: 30 June 2025

Abstract

Fluid-sensitive sequences on MRI [Magnetic Resonance Imaging] have widely been used to assess soft tissue oedema. Windowing techniques play a significant role in adjusting the contrast to highlight the pathology. The purpose of this study is to establish the impact of modified MRI window parameters, with a narrower window width than window level, in assessing soft tissue oedema in a plethora of musculoskeletal pathologies. Fifty randomly selected patients with a range of musculoskeletal pathologies resulting in soft tissue oedema on MRI were included in the study. Two separate images of each MRI study were taken on a PD fat suppressed sequence, one with default windowing range and another with window width lower than that of window level. Both images were reviewed by two radiologists and were assessed for diagnostic effectiveness in terms of image resolution and depiction of pathology. Assessment was semi-quantitatively compared and graded on the Likert scale, from 1 to 5, with 1 indicating poor quality and 5 indicating excellent quality. Friedman’s test was then conducted to compare the scores of both images. In most of the cases, the image with the modified window/level setting was significantly better in terms of depicting pathology and having better resolution, though some cases showed no clear preference. Friedman’s test showed that the score for images with modified window settings was significantly higher. Images with modified windowing in conjunction with standard imaging protocols help to assess soft tissue oedema.

1. Introduction

Soft tissue oedema can be either localized or generalized, resulting from an excess of fluid in the interstitial spaces of body tissues. Several conditions, including traumatic, inflammatory, infective, vascular aetiologies, and systemic conditions present with oedema, making it a critical feature for diagnosis. Detailed assessment of soft tissue oedema not only helps in reaching a differential diagnosis and planning treatment strategies but also in follow-up of cases [1,2]. Oedema or fluid collections can be seen within the muscles, in intermuscular plane or subcutaneous regions depending on the etiology. The pattern of soft tissue oedema is different in each pathology. The oedema can be myofascial, muscular, or musculotendinous in case of muscles injury. The oedema is centered over the bone muscle interface in patients with contusion injury. In infections, i.e., pyomyositis or necrotizing fasciitis, an abscess with oedema involving multiple muscles can be seen. In patients with compartment syndrome the oedema tends to involve muscles and soft tissues confined to involved compartment with anterior compartment of leg being the commonest site. Denervation pattern of soft tissue oedema involve muscles innervated by the involved nerve. The pattern of soft tissue oedema post radiotherapy is rather diffuse and may have clear demarcation dictated by the radiation field. A varied pattern of oedema can be seen in soft tissue metastasis ranging from diffuse oedema, abscess type, oedema with ossification. Post-traumatic deposition of calcium in soft tissues may present with marked muscle oedema in cases of myositis ossificans. MRI in these cases may be misleading as the small calcium deposits may be masked by the disproportionate oedema. Likewise, calcium deposition in cases of calcific tendinopathy can present with marked oedema in the soft tissues adjacent to involved tendons.
Similarly, osseous oedema can be seen as a plethora of pathologies. Osseous oedema is due to sequela of destruction of fat cells and associated fibrovascular regeneration. Osseous oedema is due to leakage of capillaries, prostaglandins E2 (inflammatory mediators) and impaired vascular drainage. Extent and pattern of oedema can help to differentiate if the process is aggressive or quiescent and benign or malignant. Oedema of soft tissue and bones is commonly seen in infection, i.e., osteomyelitis. The oedema in tumors is centered around the lesion. The extent of osseous oedema around the osseous lesions is classically less in aggressive lesions in comparison to reactive and benign lesions. For instance, oedema in osteoid osteoma, osteoblastoma, and chondroblastoma is disproportionately more in comparison to the size of tumor itself. The same applies in cases of stress fracture, calcific tendinopathy with intraosseous extension, myositis ossificans, and periosteitis ossificans. The same can be applied to see the effect of response to treatment, with resolution of oedema in cases of osteoid osteoma, osteoblastoma, and chondroblastoma, suggesting a response to treatment like radiofrequency ablation, cryotherapy, or surgery.
Imaging plays a crucial role in evaluation of a lesion and adjacent soft tissues. Windowing significantly affects the image quality for depicting pathologies on cross-sectional imaging [3].
On CT [Computed tomography], standardized windowing techniques are routinely used to emphasize the imaging features of various pathologies. Despite its utility, there is a paucity of literature on optimal window/level settings for effectively assessing changes of oedema on MRI. The effect of windowing/level setting in MRI have not been evaluated before. We analyze the role of windowing/level setting in MRI in plethora of pathologies in this pilot study and review the literature.

2. Methods and Materials

Following local hospital committee ethics approval, a retrospective evaluation of our Radiology Information System and Picture Archiving and Communication System was performed using keywords such as “oedema”, “soft tissue oedema”, and “muscle oedema” for the period from January 2024 to August 2024. These reports were then read to randomly identify fifty patients with various musculoskeletal pathologies showing changes in soft tissue oedema on MRI by a fellowship-trained musculoskeletal radiologist with over 10 years of experience.
Exclusion criteria: Patients who had only osseous oedema were excluded. Patients who did not have fluid-sensitive sequences on MRI were excluded from the study. Additionally, those with history of surgeries and those with artefacts and metal were excluded.
MRI was performed on 3 Tesla Philips Achieva MRI (Philips, Eindhoven, The Netherlands). PD sequences with fat saturation were obtained, with a TE of 30 ms, TR ranging from 2500 to 3500 ms and slice thickness of 3 mm.
Two images of the pathology were taken on this sequence, one using the default windowing with a wider window width compared to the window level, and the other using modified window settings with the window width being narrower than the window level.

2.1. Image Analysis

Two independent musculoskeletal radiologists, ‘Radiologist A’ and ‘Radiologist B’ with 10 years and 2 years of experience, respectively, evaluated both the images for their depiction of pathology as well as image resolution and graded the images on a 5-point Likert scale, coded as follows:
1.
Poor quality
2.
Fair quality
3.
Good quality
4.
Very good quality
5.
Excellent quality
Differences in interpretation were resolved by consensus. The scores for all the cases were tabulated on Microsoft Excel and analyzed.

2.2. Statistical Analysis

Inter-rater intra-class coefficient (ICC) was calculated for the observed data to assess the inter-rater reliability [4]. A Shapiro–Wilk test was performed to evaluate whether the data followed a normal distribution [5]. Friedman’s test was conducted to compare the scores of both images [6].

3. Results

Images of fifty patients were included for final analysis. The Likert scores for default and modified window settings are summarized in the graph below (Figure 1).
Both images showed 100 per cent sensitivity in detecting soft tissue oedema [Figure 1, Figure 2, Figure 3, Figure 4, Figure 5 and Figure 6]. The mode value for responses for modified windowing and default windowing technique was ‘4—very good quality’ and ‘3—good quality’, respectively. There are significantly higher ‘excellent quality’ responses for images with modified setting as compared to images with default settings by both the radiologists.
However, images with default window settings were perceived to be of better quality than corresponding images with modified window settings in 10% of cases and in 14% of cases as assessed by Radiologist A and Radiologist B, respectively.
The diagnostic quality of images with default window settings and corresponding images with modified window settings was rated to be alike in 16% of cases and 24% of cases by Radiologist A and Radiologist B, respectively.
Also, there was no ‘fair quality’ response for modified window settings by either radiologist, indicating a shift to higher quality of images compared to default settings.
The inter-rater reliability between both the readers was moderate, with an ICC score of 0.56 for images with default windowing and 0.60 for images with modified windowing.
A Shapiro–Wilk test was conducted to assess the normality of the data. The results showed that the data deviated significantly from a normal distribution, with W = 0.850, p < 0.001 and W = 0.807, p < 0.001 for the scores of images using default settings by ‘Radiologist A’ and ‘Radiologist B’, respectively. For images with modified settings, W = 0.688, p < 0.001 and W = 0.656, p < 0.001 for scores by ‘Radiologist A’ and ‘Radiologist B’, respectively. Given that the p-value is less than 0.05, the null hypothesis of normality was rejected, indicating that the data is not normally distributed.
Hence, Friedman’s test was conducted to compare the scores of both the images. The results indicate a significant effect, with a chi-squared statistic (X2) of 29.538. The sample size was 50, and the p-value obtained was less than 0.00001, indicating a highly significant result. This confirms that modified window settings have significantly outperformed default window settings in perceived quality of images. Modified window setting can help to enhance and augment the abnormality in particular fluid signal change like oedema or hematoma in comparison to traditionally acquired MRI images.

4. Discussion

Soft tissue oedema is a commonly observed finding in diagnostic imaging. The nature of oedema may provide information about the diagnosis, severity of a condition, and potential outcomes for the patient [7]. It reflects the degree of inflammation and tissue damage and, hence, can guide treatment as well as staging [8]. It arises in a variety of medical conditions, spanning traumatic, inflammatory, vascular, systemic, and neoplastic causes. It frequently accompanies injuries such as fractures, ligament tears, or surgical trauma [9]. Vascular issues, including venous insufficiency, deep vein thrombosis, and lymphedema, often result in swelling from oedema, as do systemic illnesses like heart failure, kidney disease, or hypothyroidism [10]. In muscle denervation, subtle muscle oedema is the only feature seen in the early stages, and it can lead to muscle atrophy if left untreated [11]. Peritumoral oedema is a common feature, seen in benign or malignant tumors, caused due to compression or invasion of surrounding structures by the tumor and, hence, can guide biopsies for histopathological diagnosis [12]. In inflammatory conditions such as polymyositis and dermatomyositis, the presence of muscle oedema parallels the disease activity [13]. Allergic reactions like angioedema and neurological conditions such as peripheral neuropathy also contribute to soft tissue oedema [14]. However, soft tissue oedema can be an incidental finding in a few cases with varied clinical applications such as in the study by Mallio et al. on posterior subcutaneous oedemas at the level of lumbar spine [15].
Soft tissue oedema may range from subtle increase in fluid content to pronounced fluid accumulation, depending on the underlying pathology [16].
While various imaging techniques such as MRI, CT, and ultrasound are employed to evaluate various pathologies with changes of oedema, MRI is the most sensitive to detect oedematous changes in soft tissues as it provides excellent soft tissue contrast [17].
On MRI, contrast or the differences in signal intensities between anatomical structures and between normal anatomy and pathologies forms the basis for imaging diagnosis. In absence of this contrast, it is not possible to diagnose pathologies [18].
The MR images usually have a data depth of 12-bits or 4096 intensity levels. Most standard monitors and displays are designed to handle images with 8-bits depth or 256 intensity levels [19]. To suit the imaging displays, 12-bit images are converted to 8-bit images by remapping the pixel intensity range of the MR image. This typical remapping process is known as ‘windowing’ [20]. Windowing is the most commonly used image processing operation in digital diagnostic imaging [21].
On CT, standard windowing parameters have been proposed and are routinely in use to assess the various pathologies [22]. There are several studies on the significant impact of windowing in improving the accuracy of CT. For example, Arsava et al. showed narrower window width settings significantly improved the accuracy of Alberta Stroke Program Early Computed Tomography Scoring (ASPECTS) performed on non-contrast CT and CT angiography imaging in 44 patients [23].
In contrast, MR imaging lacks standardized windowing parameters for the evaluating of common pathologies in clinical practice.
The windowing process in MRI allows us to set a level and a window width for those gray values that we want to visualize. It involves mapping the pixel signal intensity from the selected subrange of signal intensities [yc − yw, yc- + yw]. yc represents the ‘window level’ (WL) whereas yw represents the ‘window width’ (WW) [24]. By definition, the range of the numbers in the image is the window width, and the center of the range is defined as the window level. Values outside the subrange are either black (left side of the window) or white (right side of the window). Only values inside the defined range are placed into the grayscale, allowing focus on specific tissue contrast [25].
The window width controls image contrast, and the window level controls the brightness of the image. While a narrow window width provides improved image contrast, a wider window width will show an image with less contrast by spreading out the intensity values (Figure 7). On the other hand, when the window level is increased, the image becomes darker, focusing more on mid-range or darker intensities [25,26].
Having this flexibility in visualization allows the radiologist to optimize the windowing settings of the image for viewing a particular region. There is not only one window/level setting used for the analysis rather it is a wide range.
Improper adjustment of these parameters can affect the diagnostic value of the MR image and may conceal valuable diagnostic information [27].
Recognizing the importance of this process, several studies have been conducted to predict the optimal adjustment of these two parameters. Several techniques using advanced operations have been developed for automatically adjusting these windowing parameters of images in diagnostic imaging [27,28,29].
For example, the deep neural networks, which had success in massive engineering technologies, are being used for adaptive intensity windowing in magnetic resonance imaging [30].
However, automatic adjustment of these two parameters is usually a complicated problem for various objective or/and subjective reasons, such as the computational complexity, quality, and diversity of data set, spatial distribution of pixel intensity, different image types, individual differences in human experts, and varying observation conditions [20,24].
In clinical practice, medical imaging software allows one to easily adjust the window level for the best contrast, often performed by moving the pressed cursor in different directions.
This simpler process, although effective, has its limitations. The values that radiologists may choose for windowing are often unstable as they depend heavily on individual preferences, observer experience, and the specific viewing conditions at the time of analysis [31]. This can lead to inconsistencies in how images are interpreted across different observers or sessions, which can affect diagnostic reliability. Our study aimed to standardize the window width/window level ratios for assessing soft tissue oedema on MRI.
It involved changing the window width/window level from its default wider window width/narrower window level to narrower width/wider window level. A narrower window width narrows down the range the signal intensities displayed, while the broader window level shifts the grayscale towards a broader central intensity, ensuring that darker and brighter areas are better balanced [25,26]. This to decipher subtle variations in tissue density, such as those associated with oedema.
Soft tissue oedemas are usually evaluated on fluid sensitive sequences- either images with chemically selective fat suppression or STIR sequences. On both these sequences soft tissue oedema appears as high signal intensity.
On PDW sequence with fat suppression of MRI, the window width is more than the window level as a default setting. This study assessed the impact of changing the window width/window level from its default wider width/narrower level to a modified narrower width/wider level.
The results of our study align with the hypothesis that windowing adjustments, with a narrowed window width to a wider window level added significant value to diagnostic imaging by effectively visualizing and distinguishing oedema changes.
Our study yielded significant findings that could potentially influence the diagnostic approach in evaluating soft tissue oedema. Utilizing this simple approach is valuable for identifying subtle early signs of oedema that might otherwise be overlooked unless effectively highlighted.
Our study had few limitations. This was a retrospective pilot study and involved patients with soft tissue oedema alone. The numbers were relatively low, limiting the generalization of the results of the study. The spectrum of cases included in this study was also limited by number and confined to musculoskeletal radiology. Observer variability is another limitation, as the assessment of image quality and diagnostic accuracy is influenced by individual radiologist preferences, experience, and subjective interpretation. The default window settings of different vendors may vary from one another and have not been evaluated in our study.

5. Conclusions

In addition to standard imaging protocols, adjusting the window settings to a narrower window width and wider window level could be the more effective approach for the accurate characterization of soft tissue oedema.
Familiarity of radiologists with effective utilization of windowing techniques can help them better identify early or subtle signs of oedema and other abnormalities, improving their diagnostic accuracy. Radiologists should not only be proficient in standard imaging protocols but also be capable of tailoring imaging parameters to suit specific clinical scenarios, ultimately enhancing patient care.
Utilizing such optimized window settings on MRI should be considered to highlight various other pathologies and address the gaps in existing knowledge. Future research with larger cohort and prospective studies including cases from other subspecialities of radiology can help address these limitations of our study and validate the findings further.

Author Contributions

Conception and design, or acquisition of data, or analysis and interpretation of data, S.R.P., K.P.I. and R.B.; Design, or acquisition of data, or analysis and interpretation of data, S.R.P., N.N., N.J., K.P.I. and R.B. Drafting the article or revising it critically for important intellectual content, S.R.P., N.N., H.U., N.J., A.F., D.B., K.P.I. and R.B. Final approval of the version to be published, S.R.P., N.N., H.U., N.J., A.F., D.B., K.P.I. and R.B. All authors have read and agreed to the published version of the manuscript.

Funding

This research received no external funding.

Institutional Review Board Statement

The study was conducted in accordance with the Declara-tion of Helsinki, and the protocol was approved by the Ethics Committee of Ethics Committee of Heath Lodge Clinic, Knowle, England, (HLC may 2024) on 6 May 2024.

Informed Consent Statement

Research was approved by local committee hence they said not applciable to take consent again as it was retrospective.

Data Availability Statement

The raw data supporting the conclusions of this article will be made available by the authors on request.

Conflicts of Interest

The authors declare no conflicts of interest.

References

  1. McMahon, C.J.; Wu, J.S.; Eisenberg, R.L. Muscle edema. Am. J. Roentgenol. 2010, 194, W284–W292. [Google Scholar] [CrossRef] [PubMed]
  2. Alaia, E.F.; Chhabra, A.; Simpfendorfer, C.S.; Cohen, M.; Mintz, D.N.; Vossen, J.A.; Zoga, A.C.; Fritz, J.; Spritzer, C.E.; Armstrong, D.G.; et al. MRI nomenclature for musculoskeletal infection. Skelet. Radiol. 2021, 50, 2319–2347. [Google Scholar] [CrossRef] [PubMed]
  3. Turner, P.J.; Holdsworth, G. CT stroke window settings: An unfortunate misleading misnomer? Br. J. Radiol. 2011, 84, 1061–1066. [Google Scholar] [CrossRef] [PubMed]
  4. Cole, R. Inter-rater reliability methods in qualitative case study research. Sociol. Methods Res. 2024, 53, 1944–1975. [Google Scholar] [CrossRef]
  5. Ghasemi, A.; Zahediasl, S. Normality tests for statistical analysis: A guide for non-statisticians. Int. J. Endocrinol. Metab. 2012, 10, 486. [Google Scholar] [CrossRef]
  6. Pereira, D.G.; Afonso, A.; Medeiros, F.M. Overview of Friedman’s test and post-hoc analysis. Commun. Stat.-Simul. Comput. 2015, 44, 2636–2653. [Google Scholar] [CrossRef]
  7. Cho, S.; Atwood, J.E. Peripheral edema. Am. J. Med. 2002, 113, 580–586. [Google Scholar] [CrossRef]
  8. Flores, D.V.; Mejía Gómez, C.; Estrada-Castrillón, M.; Smitaman, E.; Pathria, M.N. MR imaging of muscle trauma: Anatomy, biomechanics, pathophysiology, and imaging appearance. Radiographics 2018, 38, 124–148. [Google Scholar] [CrossRef]
  9. May, D.A.; Disler, D.G.; Jones, E.A.; Balkissoon, A.A.; Manaster, B.J. Abnormal signal intensity in skeletal muscle at MR imaging: Patterns, pearls, and pitfalls. Radiographics 2000, 20 (Suppl. 1), S295–S315. [Google Scholar] [CrossRef]
  10. Evans, G.F.; Haller, R.G.; Wyrick, P.S.; Parkey, R.W.; Fleckenstein, J.L. Submaximal delayed-onset muscle soreness: Correlations between MR imaging findings and clinical measures. Radiology 1998, 208, 815–820. [Google Scholar] [CrossRef]
  11. Kamath, S.; Venkatanarasimha, N.; Walsh, M.A.; Hughes, P.M. MRI appearance of muscle denervation. Skelet. Radiol. 2008, 37, 397–404. [Google Scholar] [CrossRef]
  12. White, L.M.; Wunder, J.S.; Bell, R.S.; O’Sullivan, B.; Catton, C.; Ferguson, P.; Blackstein, M.; Kandel, R.A. Histologic assessment of peritumoral edema in soft tissue sarcoma. Int. J. Radiat. Oncol. Biol. Phys. 2005, 61, 1439–1445. [Google Scholar] [CrossRef]
  13. Schulze, M.; Kötter, I.; Ernemann, U.; Fenchel, M.; Tzaribatchev, N.; Claussen, C.D.; Horger, M. MRI findings in inflammatory muscle diseases and their noninflammatory mimics. Am. J. Roentgenol. 2009, 192, 1708–1716. [Google Scholar] [CrossRef] [PubMed]
  14. Undem, B.J.; Taylor-Clark, T. Mechanisms underlying the neuronal-based symptoms of allergy. J. Allergy Clin. Immunol. 2014, 133, 1521–1534. [Google Scholar] [CrossRef] [PubMed]
  15. Mallio, C.A.; Volterrani, C.; Stiffi, M.; Mancuso, V.; Bernetti, C.; Greco, F.; Quattrocchi, C.C.; Parizel, P.M.; Van Goethem, J.; Zobel, B.B. Posterior Subcutaneous Edema at Lumbar Spine MRI: A Systematic Review. Acad. Radiol. 2024, 31, 4568–4574. [Google Scholar] [CrossRef] [PubMed]
  16. Lent-Schochet, D.; Jialal, I. Physiology, Edema; StatPearls: Bethesda, MD, USA, 2023. [Google Scholar]
  17. Manaster, B.J. Soft-tissue masses: Optimal imaging protocol and reporting. Am. J. Roentgenol. 2013, 201, 505–514. [Google Scholar] [CrossRef]
  18. Grover, V.P.; Tognarelli, J.M.; Crossey, M.M.; Cox, I.J.; Taylor-Robinson, S.D.; McPhail, M.J. Magnetic resonance imaging: Principles and techniques: Lessons for clinicians. J. Clin. Exp. Hepatol. 2015, 5, 246–255. [Google Scholar] [CrossRef]
  19. Kimpe, T.; Tuytschaever, T. Increasing the number of gray shades in medical display systems—How much is enough? J. Digit. Imaging 2007, 20, 422–432. [Google Scholar] [CrossRef]
  20. Lai, S.-H.; Fang, M. A hierarchical neural network algorithm for robust and automatic windowing of MR images. Artif. Intell. Med. 2000, 19, 97–119. [Google Scholar] [CrossRef]
  21. Seeram, E. Computed Tomography: Physical Principles, Clinical Applications, and Quality Control; WB Saunders: Philadelphia, PA, USA, 2001. [Google Scholar]
  22. Seeram, E. Computed tomography: Physical principles and recent technical advances. J. Med. Imaging Radiat. Sci. 2010, 41, 87–109. [Google Scholar] [CrossRef]
  23. Arsava, E.M.; Saarinen, J.T.; Unal, A.; Akpinar, E.; Oguz, K.K.; Topcuoglu, M.A. Impact of window setting optimization on accuracy of computed tomography and computed tomography angiography source image-based Alberta Stroke Program Early Computed Tomography Score. J. Stroke Cerebrovasc. Dis. 2014, 23, 12–16. [Google Scholar] [CrossRef] [PubMed]
  24. Zhao, X.; Zhang, T.; Liu, H.; Zhu, G.; Zou, X. Automatic windowing for mri with convolutional neural network. IEEE Access 2019, 7, 68594–68606. [Google Scholar] [CrossRef]
  25. Seeram, E.; Seeram, D. Image postprocessing in digital radiology—A primer for technologists. J. Med. Imaging Radiat. Sci. 2008, 39, 23–41. [Google Scholar] [CrossRef]
  26. Maidment, A.D.; Fahrig, R.; Yaffe, M.J. Dynamic range requirements in digital mammography. Med. Phys. 1993, 20, 1621–1633. [Google Scholar] [CrossRef][Green Version]
  27. Sugimoto, K.; Oita, M.; Kuroda, M. Bayesian statistical modeling to predict observer-specific optimal windowing parameters in magnetic resonance imaging. Heliyon 2023, 9, e19038. [Google Scholar] [CrossRef] [PubMed]
  28. Albiol, A.; Corbi, A.; Albiol, F. Automatic intensity windowing of mammographic images based on a perceptual metric. Med. Phys. 2017, 44, 1369–1378. [Google Scholar] [CrossRef]
  29. Sahidan, S.I.; Mashor, M.Y.; Wahab, A.S.; Salleh, Z.; Ja’afar, H. Local and global contrast stretching for color contrast enhancement on ziehl-neelsen tissue section slide images. In Proceedings of the 4th Kuala Lumpur International Conference on Biomedical Engineering 2008: BIOMED 2008, Kuala Lumpur, Malaysia, 25–28 June 2008; Springer: Berlin/Heidelberg, Germany, 2008; pp. 583–586. [Google Scholar]
  30. Chen, Z.; Li, Q.; Zhang, Z. Towards robust neural networks via close-loop control. arXiv 2021, arXiv:2102.01862. [Google Scholar]
  31. Reinhold, J.C.; Dewey, B.E.; Carass, A.; Prince, J.L. Evaluating the impact of intensity normalization on MR image synthesis. In Proceedings of the SPIE—The International Society for Optical Engineering, Silverton, Australia, 4 March 2019; NIH Public Access: Bethesda, MD, USA, 2019; Volume 10949. [Google Scholar]
Figure 1. Graphical representation of Likert scores for default and modified window settings by Radiologist A and Radiologist B.
Figure 1. Graphical representation of Likert scores for default and modified window settings by Radiologist A and Radiologist B.
Labmed 02 00011 g001
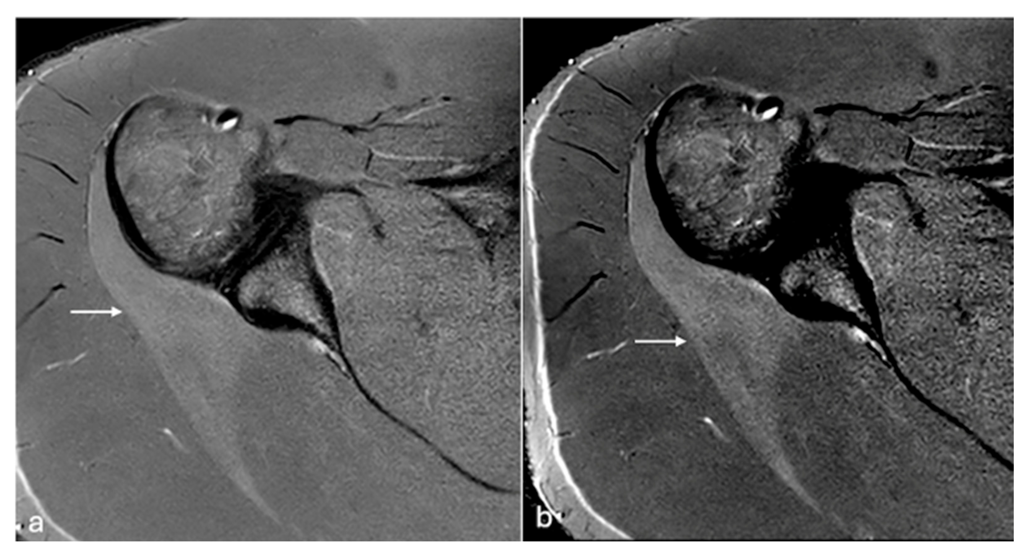
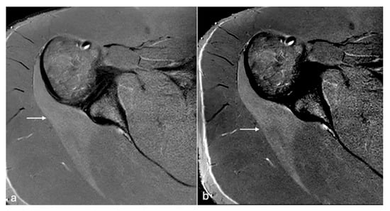
Figure 2. PDFS coronal MR images of the left shoulder (a,b). Soft tissue oedema changes (arrow) seen in adhesive capsulitis of the shoulder joint are better delineated on the image with modified windowing (image (b)) when compared to default windowing (image (a)). (Image (a) W/L-2000/1151; image (b)—W/L-1030/1130).
Figure 2. PDFS coronal MR images of the left shoulder (a,b). Soft tissue oedema changes (arrow) seen in adhesive capsulitis of the shoulder joint are better delineated on the image with modified windowing (image (b)) when compared to default windowing (image (a)). (Image (a) W/L-2000/1151; image (b)—W/L-1030/1130).
Labmed 02 00011 g002
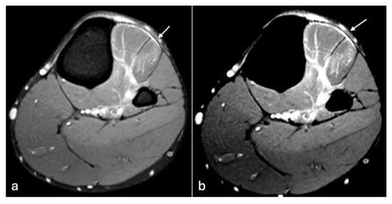
Figure 3. PDFS axial MR images of left leg (a,b). Changes in muscle oedema in tear of tibialis anterior (arrow) are better detected on the image with modified windowing (b) when compared to default windowing (a). W/L of the image (a)—1516/872, (b)—831/836.
Figure 3. PDFS axial MR images of left leg (a,b). Changes in muscle oedema in tear of tibialis anterior (arrow) are better detected on the image with modified windowing (b) when compared to default windowing (a). W/L of the image (a)—1516/872, (b)—831/836.
Labmed 02 00011 g003
Figure 4. PDFS axial MR images of the right shoulder (a,b). Subtle early changes in muscle oedema in the infraspinatus muscle (arrow) are better detected on the image with modified windowing (b) when compared to default windowing (a). W/L of image (a)—1820/972, (b)—931/936.
Figure 4. PDFS axial MR images of the right shoulder (a,b). Subtle early changes in muscle oedema in the infraspinatus muscle (arrow) are better detected on the image with modified windowing (b) when compared to default windowing (a). W/L of image (a)—1820/972, (b)—931/936.
Labmed 02 00011 g004
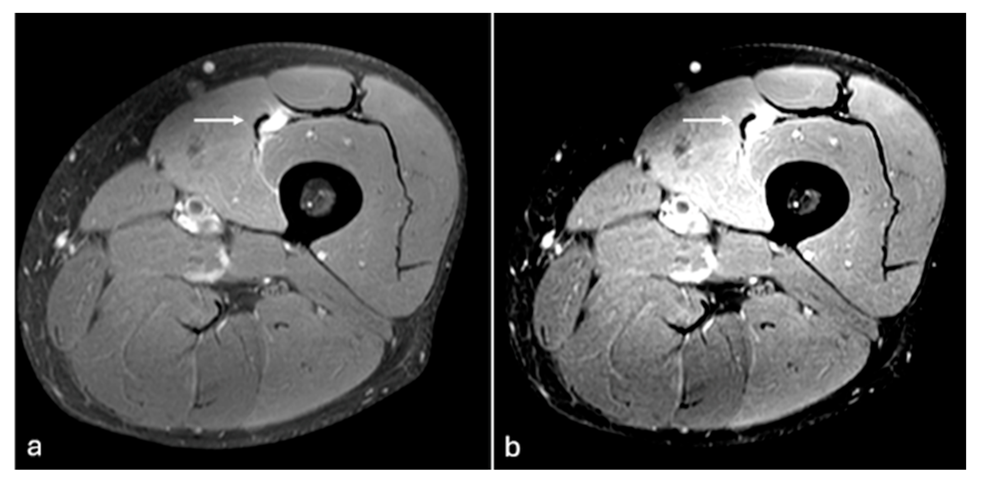
Figure 5. PDFS axial MR images of the left thigh (a,b). Soft tissue oedema changes seen in vastus medialis (arrow) are better delineated on default window image (a) in comparison to modified windowing (b). W/L of the image (a)—1804/851, (b)—902/930.
Figure 5. PDFS axial MR images of the left thigh (a,b). Soft tissue oedema changes seen in vastus medialis (arrow) are better delineated on default window image (a) in comparison to modified windowing (b). W/L of the image (a)—1804/851, (b)—902/930.
Labmed 02 00011 g005
Figure 6. PDFS sagittal images of chest wall (a,b). Soft tissue oedema changes seen in intercostal muscle (arrow) are better delineated with modified windowing (b) in comparison to the default window (a). W/L of image (a)—1704/961, (b)—932/956.
Figure 6. PDFS sagittal images of chest wall (a,b). Soft tissue oedema changes seen in intercostal muscle (arrow) are better delineated with modified windowing (b) in comparison to the default window (a). W/L of image (a)—1704/961, (b)—932/956.
Labmed 02 00011 g006
Figure 7. A graphical representation demonstrating the impact of narrowing the window width in relation to the window level on the contrast of signal intensities in an MR image. Arrow shows edema in teres minor muscle.
Figure 7. A graphical representation demonstrating the impact of narrowing the window width in relation to the window level on the contrast of signal intensities in an MR image. Arrow shows edema in teres minor muscle.
Labmed 02 00011 g007
Disclaimer/Publisher’s Note: The statements, opinions and data contained in all publications are solely those of the individual author(s) and contributor(s) and not of MDPI and/or the editor(s). MDPI and/or the editor(s) disclaim responsibility for any injury to people or property resulting from any ideas, methods, instructions or products referred to in the content.

Share and Cite

MDPI and ACS Style

Pellakuru, S.R.; Nischal, N.; Uldin, H.; Jenko, N.; Firake, A.; Beale, D.; Iyengar, K.P.; Botchu, R. Role of Windowing Image Technique to Decipher Soft Tissue Pathologies. LabMed 2025, 2, 11. https://doi.org/10.3390/labmed2030011

AMA Style

Pellakuru SR, Nischal N, Uldin H, Jenko N, Firake A, Beale D, Iyengar KP, Botchu R. Role of Windowing Image Technique to Decipher Soft Tissue Pathologies. LabMed. 2025; 2(3):11. https://doi.org/10.3390/labmed2030011

Chicago/Turabian Style

Pellakuru, Saavi Reddy, Neha Nischal, Hasaam Uldin, Nathan Jenko, Anshu Firake, David Beale, Karthikeyan P. Iyengar, and Rajesh Botchu. 2025. "Role of Windowing Image Technique to Decipher Soft Tissue Pathologies" LabMed 2, no. 3: 11. https://doi.org/10.3390/labmed2030011

APA Style

Pellakuru, S. R., Nischal, N., Uldin, H., Jenko, N., Firake, A., Beale, D., Iyengar, K. P., & Botchu, R. (2025). Role of Windowing Image Technique to Decipher Soft Tissue Pathologies. LabMed, 2(3), 11. https://doi.org/10.3390/labmed2030011

Article Metrics

Back to TopTop