Next Article in Journal
Firearm Injuries: A Review of Wound Ballistics and Related Emergency Management Considerations
Previous Article in Journal
Anthropometric Characteristics and Fitness Status of Emergency Medical Services (EMS) Personnel
 
 
Font Type:
Arial Georgia Verdana
Font Size:
Aa Aa Aa
Line Spacing:
Column Width:
Background:
Case Report

Bilateral Parietal Lobe Infarcts Presenting with Gerstmann Syndrome

Department of Stroke, Bishop Auckland Hospital, Cockton Hill Rd., Bishop Auckland DL14 6AD, UK
*
Author to whom correspondence should be addressed.
Emerg. Care Med. 2025, 2(4), 51; https://doi.org/10.3390/ecm2040051
Submission received: 15 August 2025 / Revised: 14 October 2025 / Accepted: 6 November 2025 / Published: 8 November 2025

Abstract

Background: Gerstmann syndrome (GS) is characterised by the tetrad of agraphia, acalculia, finger agnosia, and right-left disorientation, which was first described by Josef Gerstmann in 1924 and is conventionally linked to lesions of the dominant angular gyrus. Contemporary neuroimaging and lesion mapping research indicates that a more dispersed parietal and occipito-temporal network may be involved. Bilateral parietal lobe infarcts are uncommon and usually arise from embolic events or small artery pathology, frequently resulting in multifocal cognitive and perceptual impairments. Method: This case report describes a 52-year-old male presented with acute confusion, perseverative speech, and an inability to follow commands. The neurological examination indicated the presence of the complete Gerstmann tetrad. The Magnetic Resonance Imaging (MRI brain) revealed bilateral parieto-occipital infarcts, with greater severity on the left, indicative of ischaemia in the territory of the posterior cerebral artery (PCA). The medical team provided supportive care and implemented secondary stroke prevention, leading to partial neurocognitive recovery over a period of three weeks. Results: This case highlights a rare presentation of Gerstmann syndrome due to bilateral parieto-occipital infarcts and emphasises that the syndrome can arise from bilateral or widespread parietal injury rather than lesions limited to the angular gyrus. Conclusions: The prompt identification of the Gerstmann constellation helps localise the lesion, enhances diagnostic accuracy, and aids in rehabilitation planning.

1. Introduction

Gerstmann syndrome is a rare neurocognitive disorder defined by a specific set of four deficits: agraphia (or dysgraphia), acalculia, finger agnosia, and right–left disorientation [1,2]. Josef Gerstmann first described the syndrome in the early 20th century, and clinicians traditionally associate it with lesions in the dominant inferior parietal lobule, especially the left angular gyrus [3,4]. Cognitive impairments are believed to result from the disruption of multimodal association areas that are engaged in language, arithmetic processing, body schema, and spatial orientation [5].
Gerstmann syndrome, while traditionally linked to focal lesions like ischaemic strokes, has also been documented in instances of brain tumours, traumatic brain injury, demyelinating diseases, and epileptic activity impacting the parietal cortex [6,7,8,9]. A developmental variant of the syndrome has been identified in children exhibiting learning disabilities and structural anomalies in the parietal lobe [10].
In adults, Gerstmann syndrome typically arises from vascular events, especially infarctions affecting the parietal lobe. The parieto-occipital region, located at the convergence of the parietal and occipital lobes, plays a crucial role in the integration of sensory perception, visuospatial awareness, and symbolic processing [11]. Damage to this region can result in complex neurocognitive syndromes that exceed typical stroke manifestations. Emerging evidence indicates that Gerstmann syndrome represents a disconnection syndrome, resulting from disruption of white matter tracts connecting the angular gyrus with adjacent parietal and frontal regions, rather than stemming from an isolated cortical lesion [12,13]. The syndrome is rare, with a reported prevalence of 0.04–0.3% among stroke patients, predominantly those with involvement of the dominant parietal lobe [14,15].
Recent studies indicate an increasing incidence of stroke among younger and middle-aged individuals, linked to modifiable risk factors including sedentary lifestyle, poor diet, hypertension, and psychological stress [16]. The patient in this report exceeds the conventional “young stroke” threshold of 50 years; however, his case exemplifies the increasing incidence of lifestyle-related cerebrovascular disease across a wider age demographic.
This case report describes an atypical presentation of Gerstmann syndrome associated with bilateral parietal infarctions. This study illustrates how lesions impacting both hemispheres can mimic or amplify the classical tetrad initially described by Gerstmann, while also emphasising the evolving comprehension of the syndrome’s neuroanatomical foundation. A comprehensive evaluation of this case could assist clinicians in identifying subtle cognitive deficits after parietal strokes and encourage more extensive neuropsychological evaluations in stroke patients.

2. Case Report

A 52-year-old right-handed male engineer with no significant prior medical history presented to the Accident and Emergency (A&E) department after his general practitioner referred him due to new-onset palpitations. On presentation, his blood pressure was markedly elevated at 228/147 mmHg, and electrocardiogram confirmed fast atrial fibrillation (AF). Laboratory investigations revealed mild hypokalaemia (serum potassium 3.2 mmol/L); blood count, renal and liver function, and inflammatory markers were normal.
The cardiology team reviewed the patient and started him on bisoprolol, bendroflumethiazide, and apixaban, with plans for outpatient transthoracic echocardiogram and elective direct current cardioversion (DCCV). He was discharged within 24 h with safety-netting advice.
Four hours post-discharge, the patient’s family observed acute onset of confusion, agitation, repetitive speech (“yes/no”), and autonomic symptoms such as sweating and clamminess. He was urgently readmitted. On re-examination, his blood pressure was 260/140 mmHg with a heart rate of 130 bpm. Neurological examination showed disorientation, impaired command following, expressive and receptive dysphasia, and right-sided hemineglect, but no focal motor deficits. The initial NIH Stroke Scale (NIHSS) score was 8. Due to increasing agitation, lorazepam was administered and intravenous antihypertensive therapy initiated using labetalol and glyceryl trinitrate (GTN) infusion.
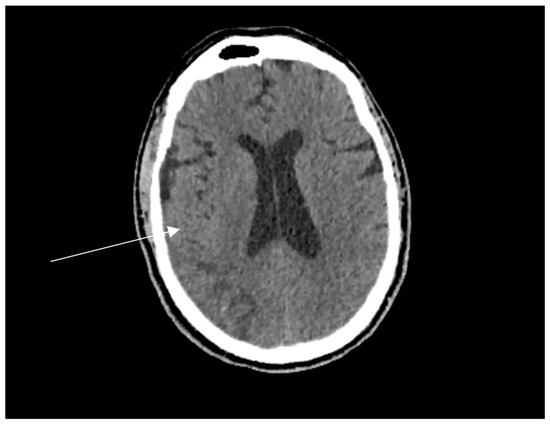
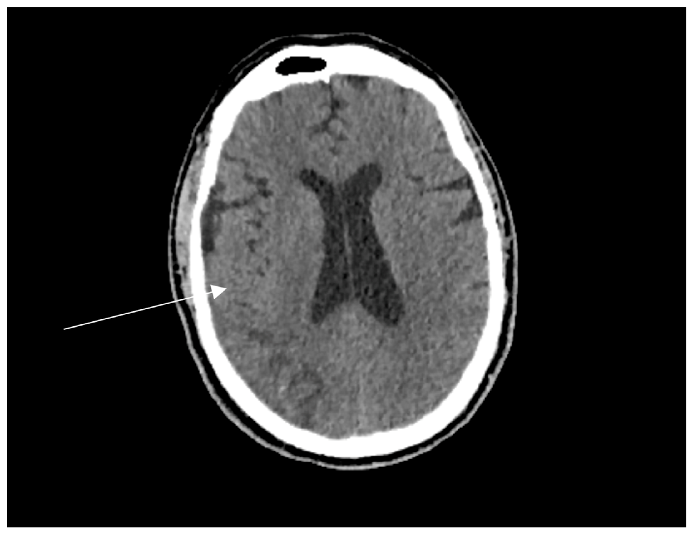
Non-contrast computed tomography (CT) of the head demonstrated an evolving acute infarct in the right posterior parieto-occipital region with poorly defined hypodensity, white matter oedema, and mild mass effect (Figure 1). Apixaban was immediately withheld, and aspirin was commenced after coagulation screening. MRI brain was requested to rule out a space-occupying lesion.
On day 2, further neurological signs evolved including cortical visual loss, persistent dysphasia, and neurocognitive impairment. By day 3, the patient demonstrated visual inattention, inability to follow two-step commands, and absent visual threat on the left. Diffusion-weighted MRI revealed a large acute infarct in the left parietal lobe and a subacute infarct in the right parietal region (Figure 2a). Fast field echo sequences indicated haemorrhagic transformation of the left-sided infarct (Figure 2b). Aspirin was discontinued, with plans for repeat imaging to guide anticoagulation restart.
The medical team transferred the patient to the stroke rehabilitation unit on day 5. Repeat CT showed stable findings, and apixaban was re-initiated. During his rehabilitation admission, clinicians observed persistent visual and cognitive deficits. He was unable to localise objects in his visual field, misidentified finger positions, and demonstrated right–left disorientation.
Two weeks into rehabilitation, a neurology review identified classical features of Gerstmann syndrome—acalculia, finger agnosia, right–left disorientation, and alexia without agraphia. The patient was unable to perform basic arithmetic (e.g., 2 + 2), could write but not read simple words, and showed preserved colour perception. His Mini-Addenbrooke’s Cognitive Examination (M-ACE) score was 13/30, consistent with moderate cognitive impairment. Orthoptic evaluation confirmed he has right homonymous hemianopia. These findings were consistent with dominant (left) parietal lobe involvement. To further characterise his cognitive profile, a structured bedside neuropsychological assessment was undertaken by the multidisciplinary team. For acalculia, the patient was asked to solve simple arithmetic problems (e.g., 2 + 2, 5 − 3), all of which he answered incorrectly despite preserved verbal comprehension. Finger agnosia was assessed using a finger identification task on both hands; the patient could correctly name only 3 out of 10 fingers. Right–left disorientation was demonstrated during a command-following task that required the patient to touch his left ear with his right hand, which he repeatedly failed. For writing, he was able to copy and write single words with support, indicating partial preservation of graphomotor skills. Reading tasks however revealed marked alexia, with the patient unable to read printed or handwritten words. These findings were consistent with classical Gerstmann syndrome, alongside alexia and visual neglect.
The patient completed a total of 56 days in the stroke rehabilitation unit, receiving multidisciplinary input from speech and language therapy and occupational therapy supported neuropsychology. While mild improvements in orientation and speech were observed, key features of Gerstmann syndrome persisted. He was discharged home with community-based rehabilitation and referred to a specialised neurocognitive rehabilitation facility. Outpatient cardiology follow-up led to the addition of digoxin for further rate control, with ongoing monitoring.
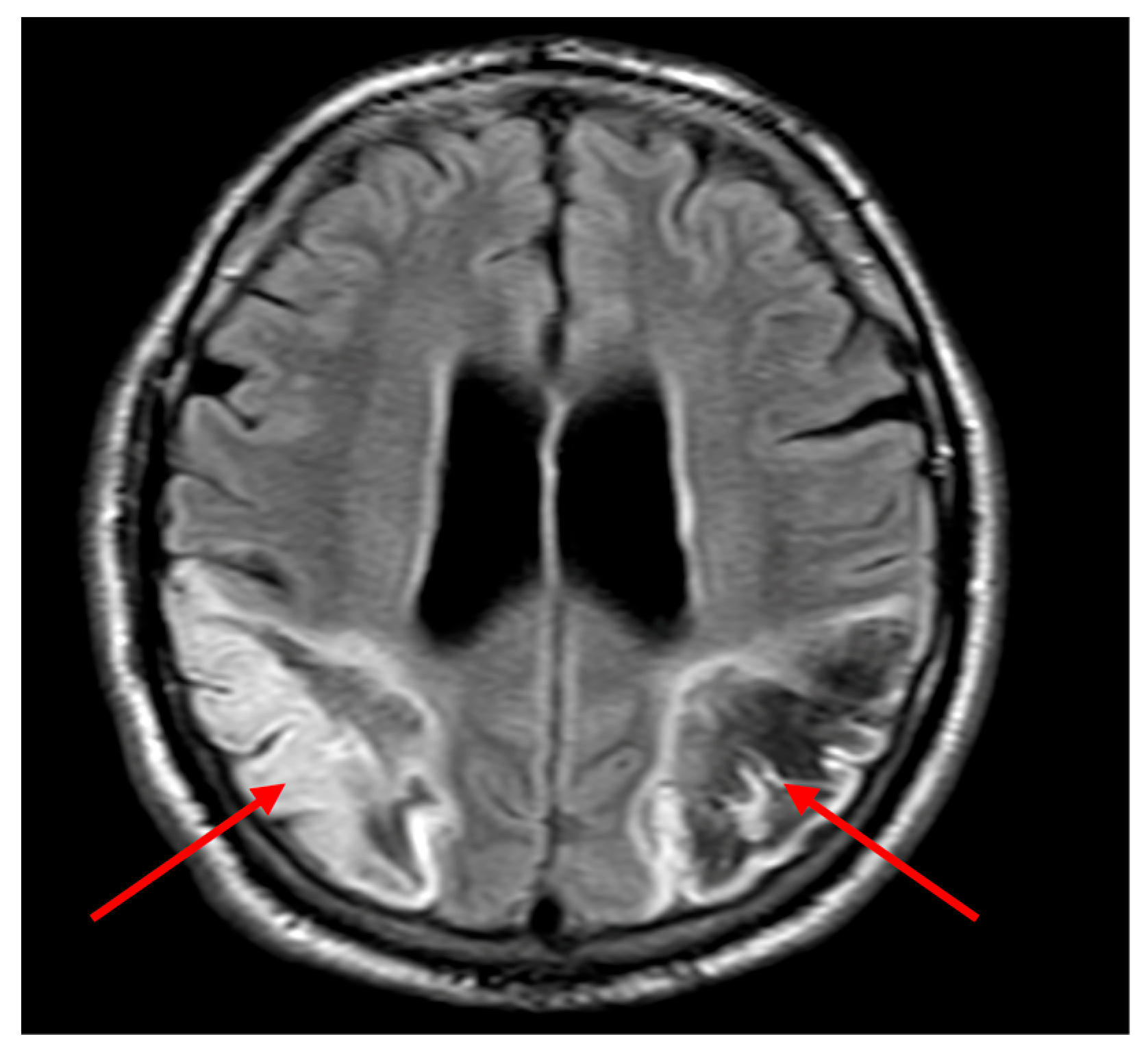
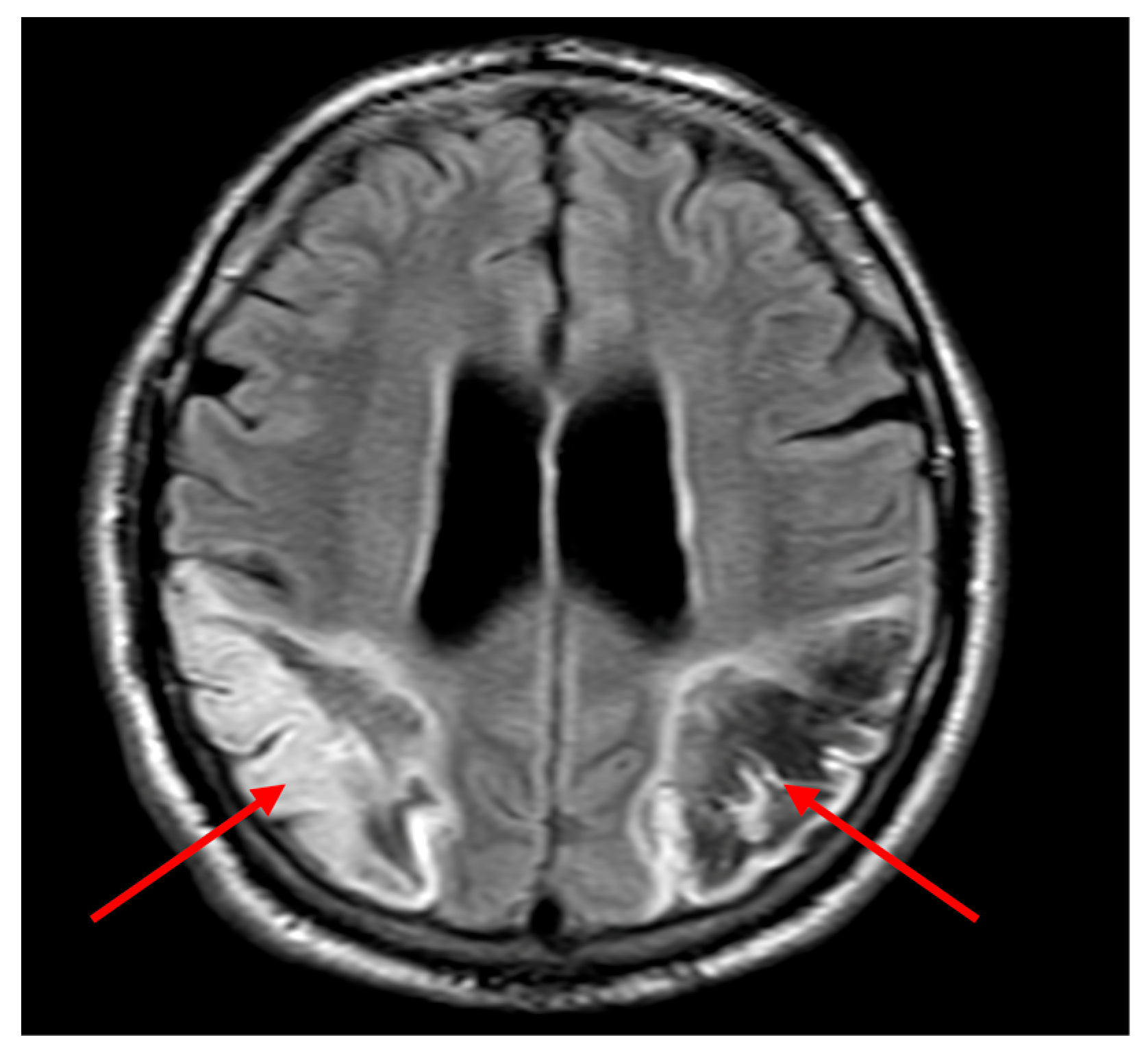
Follow-up contrast-enhanced MRI confirmed stable bilateral parietal infarcts with no evidence of new lesions (Figure 3).

3. Discussion

This case illustrates the complex clinical and neuroanatomical interplay underpinning bilateral parieto-occipital infarcts and their association with Gerstmann syndrome (GS), a rare and multifaceted neuropsychological disorder traditionally linked to lesions in the dominant inferior parietal lobule. Bilateral involvement of parieto-occipital regions remains uncommon, typically resulting from embolic events, hypoxic–ischemic injury, or systemic causes [17]. In this patient, a cardioembolic stroke secondary to atrial fibrillation was the presumed aetiology, highlighting the critical role of anticoagulation therapy in preventing recurrent embolic cerebrovascular events [17]. Bilateral parietal lobe infarcts presenting with Gerstmann syndrome are exceptionally rare. Notably, a large clinical series of 1000 consecutive patients with acute cerebrovascular disease did not report any cases of bilateral parietal involvement manifesting as Gerstmann syndrome [18]. This underscores the unique and educational value of the current case in expanding our understanding of atypical stroke presentations.
Notably, this patient—aged 52—reflects an increasing incidence of stroke among younger adults, a trend attributed to both traditional vascular risk factors and emerging lifestyle influences. Early recognition and preventive strategies, including lifestyle modification and public health initiatives, are essential to mitigate this growing burden [17].
Clinically, the patient presented with an atypical and rapidly evolving neurological syndrome. Initial confusion and agitation, coupled with impaired command following, likely delayed recognition of the cerebrovascular insult. Neuroimaging subsequently revealed bilateral parieto-occipital infarctions, accounting for the constellation of cognitive, sensory, and visual disturbances observed. Imaging revealed infarcts predominantly involving the left angular gyrus (Brodmann area 39) and adjacent inferior parietal lobule, regions classically associated with Gerstmann syndrome. The right parieto-occipital lesion affected the non-dominant hemisphere’s homologous areas, contributing to spatial neglect and impaired visual awareness. On diffusion-weighted MRI (Figure 2a), the infarcted regions aligned with cortical areas subserving symbolic representation and spatial mapping. Notably, the haemorrhagic transformation (Figure 2b) likely limited early re-initiation of anticoagulation, underscoring the clinical utility of sequential imaging. These anatomical correlates correspond well to the observed deficits and support a network-based model of cognitive disruption.
The classical GS tetrad—finger agnosia, agraphia, acalculia, and right-left disorientation—was fully manifested alongside additional deficits including alexia without agraphia, homonymous hemianopia, and persistent visuospatial impairments. This combination underscores the extensive involvement of not only the dominant parietal cortex but also adjacent occipital regions, emphasising the integrated nature of multimodal cognitive processing within this cortical network [16,19]. Beyond cortical damage, the bilateral parietal infarcts likely disrupted key white matter association tracts critical for multimodal integration. The left-sided lesion may have interrupted the superior longitudinal fasciculus (SLF), which connects parietal areas to the frontal cortex and is implicated in arithmetic processing and spatial attention. Damage to the inferior longitudinal fasciculus (ILF) and inferior fronto-occipital fasciculus (IFOF) may have contributed to the patient’s alexia by impairing visual word form processing. The right hemisphere lesion, although subacute, may have compounded deficits through interhemispheric disconnection, particularly involving the splenium of the corpus callosum. These patterns support recent theories conceptualising Gerstmann syndrome as a disconnection syndrome rather than a focal cortical phenomenon [12,20].
Recent theoretical and imaging studies provide further support for this network-based perspective. Rusconi et al. (2009) proposed a “disconnection account” of GS, showing that lesions interrupting communication between distinct parietal-frontal-occipital subnetworks can produce the classical tetrad even without a single focal lesion [21]. More recently, Ranzini et al. (2023) used diffusion MRI and tractography to demonstrate that disruption of long association bundles—particularly segments of the SLF and IFOF—correlates with the co-occurrence of acalculia, agraphia, finger agnosia, and right–left disorientation [13]. These observations align with broader reviews emphasising GS as a distributed network disorder rather than a focal lesion syndrome [12].
The initial discrepancy between impaired writing ability and the later diagnosis of alexia without agraphia may reflect evolving cognitive recovery or the complex interplay of overlapping deficits. Early in the course, expressive and receptive dysphasia likely contributed to writing difficulties, while subsequent improvement in motor coordination and language output revealed relatively preserved agraphia. Meanwhile, persistent visual word form deficits were consistent with alexia. This evolution suggests the presence of a mixed or partial variant, possibly related to bilateral cortical and subcortical involvement. Such heterogeneity is well-documented in the literature and reinforces the need for formal, repeated cognitive assessments over time to delineate true dissociations.
Anatomically, GS is conventionally attributed to lesions of the dominant angular gyrus, integral to numerical cognition and writing processes [22,23]. Yet, emerging evidence suggests that GS should be conceptualised as a disconnection syndrome resulting from interruption of association fibre tracts linking the parietal cortex with frontal and occipital areas [12,20]. Functional imaging and cortical stimulation studies have identified discrete cortical regions responsible for individual GS components, supporting limited anatomical overlap and implicating white matter pathways in the syndrome’s pathogenesis [5,20,24]. This network-based view accounts for the diverse symptomatology and atypical presentations seen in bilateral or non-angular lesions, as observed in this case.
The early identification of GS facilitated a tailored, multidisciplinary rehabilitation approach encompassing cognitive, motor, and speech therapies, essential for addressing the complex symptom constellation. Neuroimaging played a pivotal role not only in confirming the diagnosis but also in guiding treatment decisions, particularly anticoagulation management in the context of haemorrhagic transformation.
Despite therapeutic efforts, the patient demonstrated persistent visuospatial deficits and residual features of GS at discharge, consistent with the syndrome’s often chronic and debilitating nature. This underscores the need for ongoing cognitive assessment and long-term rehabilitation in similar patients.
From a research perspective, this case highlights the importance of advancing our understanding of GS within the framework of large-scale brain networks rather than isolated cortical loci. Future studies employing functional MRI and diffusion tensor imaging hold promise in elucidating the precise neural mechanisms underlying GS, particularly in bilateral and atypical presentations. Furthermore, systematic investigation into the heterogeneity of alexia and agraphia manifestations within GS is warranted to refine diagnostic criteria and therapeutic approaches. This case report pertains to a single patient, which limits the generalizability of the findings. Continued documentation and analysis of similar cases will be necessary to deepen our understanding of the spectrum and neuroanatomical correlates of Gerstmann syndrome following bilateral parietal infarcts.
In summary, Gerstmann syndrome remains a challenging diagnostic entity characterised by diverse clinical and neuroanatomical profiles. Integrating comprehensive neuropsychological assessment with advanced neuroimaging enhances diagnostic accuracy and informs rehabilitation, ultimately improving patient outcomes in this rare but impactful syndrome.

4. Conclusions

This case illustrates a rare presentation of Gerstmann syndrome following bilateral parieto-occipital infarcts. Recognition of the classical tetrad—agraphia, acalculia, finger agnosia, and right–left disorientation—can aid early lesion localization, even in atypical or bilateral strokes. Additional cognitive and visual deficits may occur, highlighting the need for comprehensive neuropsychological assessment. Early multidisciplinary rehabilitation and evaluation for underlying aetiologies, including cardioembolic sources, are crucial for optimising recovery and preventing recurrence. Awareness of this syndrome’s network-based pathophysiology can enhance diagnostic accuracy and guide targeted patient care and future studies should refine neuroanatomical correlates and standardised cognitive screening tools.

Author Contributions

Conceptualization, A.K. and R.T.; data curation, A.K.; writing—original draft preparation, A.K.; writing—review and editing, A.K. and R.T.; supervision, R.T. All authors have read and agreed to the published version of the manuscript.

Funding

This research received no external funding.

Institutional Review Board Statement

This case report did not require IRB approval.

Informed Consent Statement

Informed consent for participation was obtained from all subjects involved in the study.

Data Availability Statement

No new data were created or analyzed in this study. Data sharing is not applicable to this article.

Conflicts of Interest

The authors declare no conflicts of interest.

References

  1. Ardila, A. Gerstmann Syndrome. Curr. Neurol. Neurosci. Rep. 2020, 20, 48. [Google Scholar] [CrossRef] [PubMed]
  2. Nichols, C.; Merritt, M.; Janda, P.; Vickers, A. Simultaneous Anton, Balint, Anosognosia, and Hemianopsia From Bilateral Ischemic Infarct: A Case Report. 2023. Available online: https://doi.org/10.21203/rs.3.rs-3125983/v1 (accessed on 18 March 2025).
  3. Whitlock, J.R. Posterior parietal cortex. Curr. Biol. 2017, 27, R691–R695. [Google Scholar] [CrossRef] [PubMed]
  4. Ismail, A.K. A Tetrad Cognitive Presentation of Gerstmann Syndrome: A Rare Manifestation of Stroke. Med. Health 2022, 17, 288–294. [Google Scholar] [CrossRef]
  5. João, R.B.; Filgueiras, R.M.; Mussi, M.L.; Adriano, J. Transient Gerstmann syndrome as manifestation of stroke: Case report and brief literature review. Dement. Neuropsychol. 2017, 11, 202–205. [Google Scholar] [CrossRef] [PubMed]
  6. Huang, S.-Y.; Chen Chen Yen Kuo Yeh Chang, S. Acute parietal lobe infarction presenting as Gerstmann’s syndrome and cognitive decline mimicking senile dementia. Neuropsychiatr. Dis. Treat. 2013, 2013, 937–940. [Google Scholar] [CrossRef] [PubMed][Green Version]
  7. McCarthy, L.; Rubinsztein, J.S.; Lowry, E.; Flanagan, E.; Menon, V.; Vearncombe, S.; Mioshi, E.; Hornberger, M. Cut-off scores for mild and moderate dementia on the Addenbrooke’s Cognitive Examination-III and the Mini-Addenbrooke’s Cognitive Examination compared with the Mini-Mental State Examination. BJPsych Bulletin 2024, 48, 12–18. [Google Scholar] [CrossRef] [PubMed]
  8. Satija, L.; Singh, A.; Khanna, S.; Baijal, V.; Verma, B. Rare Cause of Complete Blindness: Bilateral Occipital Cortical Infarction. Med. J. Armed Forces India 1999, 55, 149–150. [Google Scholar] [CrossRef] [PubMed]
  9. Altabakhi, I.W.; Liang, J.W. Gerstmann Syndrome. 2023. Available online: https://www.ncbi.nlm.nih.gov/books/NBK519528 (accessed on 13 March 2025).
  10. Mayer, E.; Martory, M.-D.; Pegna, A.J.; Landis, T.; Delavelle, J.; Annoni, J.-M. A pure case of Gerstmann syndrome with a subangular lesion. Brain 1999, 122, 1107–1120. [Google Scholar] [CrossRef] [PubMed][Green Version]
  11. Cleveland Clinic. Parietal Lobe: What It Is, Function, Location & Damage. 2023. Available online: https://my.clevelandclinic.org/health/body/24628-parietal-lobe (accessed on 18 March 2025).[Green Version]
  12. Yoon, S.H.; Lee, J.I.; Kang, M.J.; Lee, H.I.; Pyun, S.-B. Gerstmann Syndrome as a Disconnection Syndrome: A Single Case Diffusion Tensor Imaging Study. Brain Neurorehabilit. 2023, 16, e3. [Google Scholar] [CrossRef] [PubMed]
  13. Ranzini, M.; Ferrazzi, G.; D’IMperio, D.; Giustiniani, A.; Danesin, L.; D’ANtonio, V.; Rigon, E.; Cacciante, L.; Rigon, J.; Meneghello, F.; et al. White matter tract disconnection in Gerstmann’s syndrome: Insights from a single case study. Cortex 2023, 166, 322–337. [Google Scholar] [CrossRef] [PubMed]
  14. Zukic, S.; Mrkonjic, Z.; Sinanovic, O.; Vidovic, M.; Kojic, B. Gerstmann’s Syndrome in Acute Stroke Patients. Acta Inform. Medica 2012, 20, 242–243. [Google Scholar] [CrossRef] [PubMed]
  15. Rusconi, E.; Pinel, P.; Dehaene, S.; Kleinschmidt, A. The enigma of Gerstmann’s syndrome revisited: A telling tale of the vicissitudes of neuropsychology. Brain 2009, 133, 320–332. [Google Scholar] [CrossRef] [PubMed]
  16. Guo, L. Occipital Lobe: What Is It, Its Function, and More|Osmosis. 2023. Available online: www.osmosis.org. (accessed on 18 March 2025).
  17. Sič, A.; Andrejić, N.; Ivanović, J.; Ristanović, V.K.; Gajić, S.; Bjelić, D.; Baralić, M.; Stojanovic, N. Stroke in Young Adults: An Overview and Non-Pharmacological Preventive Strategies. Brain Sci. 2025, 15, 375. [Google Scholar] [CrossRef] [PubMed]
  18. Arboix, A.; Massons, J.; Oliveres, M.; García, L.; Titus, F. An analysis of 1000 consecutive patients with acute cerebrovascular disease. The registry of cerebrovascular disease of La Alianza-Hospital Central of Barcelona. Med. Clin. 1993, 101, 281–285. Available online: https://pubmed.ncbi.nlm.nih.gov/8377532/ (accessed on 10 October 2025).
  19. Toader, C.; Covache-Busuioc, R.-A.; Rădoi, P.M.; Covlea, C.-A.; Popa, A.A.; Dumitrascu, D.-I.; Ciurea, A.V. Gerstmann Syndrome in an Elderly Patient: A Case Report Presented with a Complete Tetrad of Symptoms. Medicina 2024, 60, 1640. [Google Scholar] [CrossRef] [PubMed]
  20. Vaddiparti, A.; McGrath, H.; Benjamin, C.A.F.; Sivaraju, A.; Spencer, D.D.; Hirsch, L.J.; Damisah, E.; Quraishi, I.H. Gerstmann Syndrome Deconstructed by Cortical Stimulation. Neurology 2021, 31, 420–422. [Google Scholar] [CrossRef] [PubMed]
  21. Rusconi, E.; Pinel, P.; Eger, E.; LeBihan, D.; Thirion, B.; Dehaene, S.; Kleinschmidt, A. A disconnection account of Gerstmann syndrome: Functional neuroanatomy evidence. Ann. Neurol. 2009, 66, 654–662. [Google Scholar] [CrossRef] [PubMed]
  22. Basagni, B.; Luzzatti, C.; De Tanti, A.; Bozzetti, F.; Crisi, G.; Pinardi, C.; Errante, A.; Fogassi, L. Some evidence on Gerstmann’s syndrome: A case study on a variant of the clinical disorder. Brain Cogn. 2021, 148, 105679. [Google Scholar] [CrossRef] [PubMed]
  23. Mazzoni, M.; Pardossi, L.; Cantini, R.; Giorgetti, V.; Arena, R. Gerstmann Syndrome: A Case Report. Cortex 1990, 26, 459–467. [Google Scholar] [CrossRef] [PubMed]
  24. Bhattacharyya, S.; Cai, X.; Klein, J.P. Dyscalculia, Dysgraphia, and Left-Right Confusion from a Left Posterior Peri-Insular Infarct. Behav. Neurol. 2014, 2014, 823591. [Google Scholar] [CrossRef] [PubMed]
Figure 1. Non-contrast axial Computed Tomography (CT) of the brain showing an evolving infarct in the right posterior parietal lobe (white arrow), characterised by ill-defined hypodensity and loss of grey-white matter differentiation, consistent with acute ischaemic stroke. There is no significant midline shift or haemorrhage noted.
Figure 1. Non-contrast axial Computed Tomography (CT) of the brain showing an evolving infarct in the right posterior parietal lobe (white arrow), characterised by ill-defined hypodensity and loss of grey-white matter differentiation, consistent with acute ischaemic stroke. There is no significant midline shift or haemorrhage noted.
Ecm 02 00051 g001
Figure 2. Bilateral Parietal infarcts on MRI (a) Diffusion weighted imaging (DWI) shows a large acute cortical infarct in the left parietal lobe (yellow arrow), with a subacute infarct in the right parietal lobe (red arrow), correlating with the patients cognitive and visuospatial deficits. (b) Fast field echo (FFE) sequence demonstrates haemorrhagic transformation within the left parietal infarct (blue arrow), which informed temporary anticoagulation management.
Figure 2. Bilateral Parietal infarcts on MRI (a) Diffusion weighted imaging (DWI) shows a large acute cortical infarct in the left parietal lobe (yellow arrow), with a subacute infarct in the right parietal lobe (red arrow), correlating with the patients cognitive and visuospatial deficits. (b) Fast field echo (FFE) sequence demonstrates haemorrhagic transformation within the left parietal infarct (blue arrow), which informed temporary anticoagulation management.
Ecm 02 00051 g002
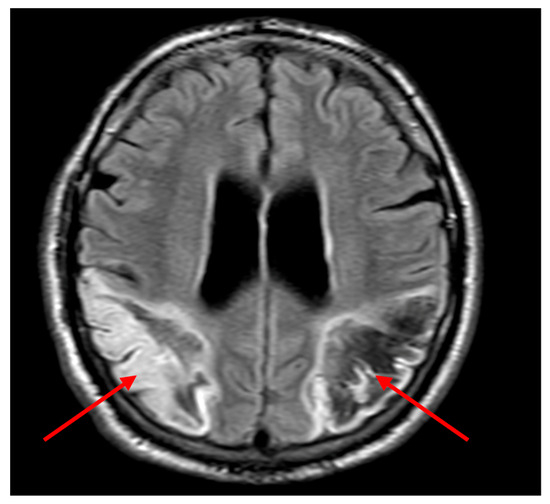
Figure 3. Fluid-attenuated inversion recovery (FLAIR) MRI images showing extensive bilateral parietal ischaemic infarcts, with haemorrhagic transformation (red arrows), confirming the chronicity and bilateral nature of the lesions.
Figure 3. Fluid-attenuated inversion recovery (FLAIR) MRI images showing extensive bilateral parietal ischaemic infarcts, with haemorrhagic transformation (red arrows), confirming the chronicity and bilateral nature of the lesions.
Ecm 02 00051 g003
Disclaimer/Publisher’s Note: The statements, opinions and data contained in all publications are solely those of the individual author(s) and contributor(s) and not of MDPI and/or the editor(s). MDPI and/or the editor(s) disclaim responsibility for any injury to people or property resulting from any ideas, methods, instructions or products referred to in the content.

Share and Cite

MDPI and ACS Style

Kaur, A.; Thomas, R. Bilateral Parietal Lobe Infarcts Presenting with Gerstmann Syndrome. Emerg. Care Med. 2025, 2, 51. https://doi.org/10.3390/ecm2040051

AMA Style

Kaur A, Thomas R. Bilateral Parietal Lobe Infarcts Presenting with Gerstmann Syndrome. Emergency Care and Medicine. 2025; 2(4):51. https://doi.org/10.3390/ecm2040051

Chicago/Turabian Style

Kaur, Amandeep, and Revin Thomas. 2025. "Bilateral Parietal Lobe Infarcts Presenting with Gerstmann Syndrome" Emergency Care and Medicine 2, no. 4: 51. https://doi.org/10.3390/ecm2040051

APA Style

Kaur, A., & Thomas, R. (2025). Bilateral Parietal Lobe Infarcts Presenting with Gerstmann Syndrome. Emergency Care and Medicine, 2(4), 51. https://doi.org/10.3390/ecm2040051

Article Metrics

Back to TopTop