Next Article in Journal
Multiple Sclerosis and Subcutaneous Panniculitis-like T Cell Lymphoma with Hemophagocytic Syndrome: The Role of Treatment Sequencing in the Pathogenetic Mechanism
Next Article in Special Issue
Preclinical and Clinical Data on Current Therapeutic Options for Micro- and Macrovascular Abnormalities in Systemic Sclerosis
Previous Article in Journal / Special Issue
A Narrative Review of Therapeutic Options in Systemic Sclerosis Associated Interstitial Lung Disease
 
 
Font Type:
Arial Georgia Verdana
Font Size:
Aa Aa Aa
Line Spacing:
Column Width:
Background:
Review

Insights and Future Perspectives in Calcinosis Cutis Associated with Systemic Sclerosis

by
Luna Lazar
1,
Mette Mogensen
2,3,
Mikael Ploug Boesen
4 and
Anne Braae Olesen
1,*
1
Department of Dermatology, Aarhus University Hospital, 8200 Aarhus, Denmark
2
Department of Dermatology, Bispebjerg Hospital, Copenhagen University Hospitals, 2400 Copenhagen, Denmark
3
Department of Clinical Medicine, University of Copenhagen, 2400 Copenhagen, Denmark
4
Department of Radiology, Bispebjerg Hospital, Copenhagen University Hospitals, 2400 Copenhagen, Denmark
*
Author to whom correspondence should be addressed.
Sclerosis 2024, 2(4), 302-313; https://doi.org/10.3390/sclerosis2040019
Submission received: 30 August 2024 / Revised: 27 September 2024 / Accepted: 2 October 2024 / Published: 10 October 2024
(This article belongs to the Special Issue Recent Advances in Understanding Systemic Sclerosis)

Abstract

Introduction: Calcinosis cutis (CC), the pathological deposition of calcium salts in the skin, is a frequent and challenging complication of systemic sclerosis (SSc). Despite its high prevalence, the underlying pathophysiology remains poorly understood, complicating treatment strategies. Material and Methods: This narrative review synthesizes the literature on CC in the context of SSc. The current understanding and treatment of CC in SSc is reviewed, focusing on the role of hypoxia in its pathogenesis and the therapeutic potential of sodium thiosulfate (STS). Results and Discussion: Research indicates a potential link between hypoxia and the development of CC in SSc, shedding light on novel pathogenic mechanisms. Additionally, promising results from treatments such as STS spurs interest in conducting larger, randomized controlled trials to validate these findings.

1. Introduction

Systemic sclerosis (SSc) is a multisystem autoimmune disease characterized by widespread vasculopathy, fibrosis, and immune dysregulation [1]. Calcinosis cutis (CC), the deposition of insoluble calcium salts in the skin and subcutaneous tissues, is a common yet understudied manifestation of SSc and other autoimmune diseases [2]. These deposits can lead to significant morbidity, including pain, ulcerations, and recurrent infections, severely impacting the quality of life of affected individuals. CC typically presents as firm, palpable nodules or plaques that may be localized or widespread [3]. These deposits are often found in areas of the body subjected to repetitive trauma or pressure, such as the fingers, elbows, knees, and buttocks. The physical burden of calcinosis cutis is profound, causing chronic pain, restricted joint mobility, and recurrent infections due to ulcerations overlying the calcium deposits [4,5]. The psychosocial impact is also significant, as visible lesions can lead to stigmatization and emotional distress [6]. Despite the high prevalence and substantial burden of calcinosis cutis in SSc, the underlying pathophysiology remains poorly understood, complicating efforts to develop effective therapy and preventive measures of CC [7]. Various factors have been implicated in development of CC, including chronic inflammation, immune dysregulation, and vascular abnormalities. However, emerging research suggests that hypoxia, a common feature in SSc due to persistent vascular insufficiency, may play a crucial role in the pathogenesis of this condition [8]. Figure 1. Calcinosis cutis lesions.
Hypoxia, reduced oxygen availability in tissues, is a significant pathological feature in SSc [8,9,10]. The microvascular damage characteristic of SSc leads to chronic hypoxia, resulting from the occlusion and destruction of small blood vessels. This impaired tissue perfusion and oxygen delivery creates a persistent low-oxygen environment. Cells respond to hypoxia through various adaptive mechanisms, often mediated by hypoxia-inducible factors (HIFs). HIFs are transcription factors that activate the expression of genes involved in angiogenesis, metabolism, and cell survival under low oxygen conditions [9,11,12]. In SSc, the chronic activation of these pathways may contribute to pathological processes such as CC [9]. Understanding the role of hypoxia in SSc and its impact on CC provides a framework for exploring targeted therapies.
In the following, we aim to provide a comprehensive overview of the current understanding of CC in SSc, focusing on the potential role of hypoxia in its pathogenesis and the emerging therapeutic potential of sodium thiosulfate (STS). We will discuss the evidence supporting the hypoxia hypothesis, including findings from nailfold capillaroscopy, and explore the mechanisms of action and clinical evidence for STS and other treatment options. Additionally, we highlight the need for larger, well-designed clinical trials to validate these findings and establish evidence-based treatment guidelines for CC in SSc. By advancing our understanding and treatment of this challenging condition, our vision is to improve outcomes and quality of life for patients with SSc.

2. Materials and Methods

This narrative review synthesizes the current literature on CC in the context of SSc. To conduct a comprehensive analysis, we performed a systematic search of three major databases: PubMed, Embase, and Web of Science. The search encompassed studies published from 1980 to the present and focused on capturing all relevant research, reviews, and case reports related to CC in SSc. We used a combination of keywords and Medical Subject Headings (MeSH) to ensure an inclusive search strategy. The primary search terms included “Systemic Sclerosis” and “Calcinosis Cutis”, along with related terms such as “Scleroderma, Systemic”, “Dystrophic Calcification”, “Skin Calcification”, and “Autoimmune Disease”. The search was conducted across all fields, including titles, abstracts, and full texts to identify a broad range of literature addressing the clinical manifestations, pathophysiology, diagnostic approaches, and treatment options for CC in SSc. The search results were carefully reviewed to select peer-reviewed studies, reviews, and case reports that provided insights into the relationship between CC and SSc. We included articles that offered detailed discussions on pathogenesis, clinical features, diagnostic tools, therapeutic interventions, and prognostic factors specific to CC in SSc. Studies unrelated to CC in SSc, or those focusing on other conditions, were excluded from the review. From the selected articles, we extracted relevant information, paying particular attention to the role of immune and vascular dysfunction in the development of CC. We also examined emerging therapeutic approaches and potential correlations between CC localization, disease duration, and exacerbations. The extracted data were synthesized to provide a detailed overview, highlighting established knowledge as well as gaps for future research.

3. Results

3.1. Pathophysiology: The Hypoxia Hypothesis

The exact mechanisms leading to CC in SSc remain elusive. However, recent studies suggest that hypoxia, a hallmark of SSc due to chronic vascular insufficiency, may play a crucial role [4,5,7,13]. Under hypoxic conditions, HIFs stabilize and activate the transcription of various genes involved in angiogenesis, metabolism, and cell survival [12]. In SSc, chronic hypoxia and the resultant upregulation of HIFs could promote the expression of pro-osteogenic factors such as vascular endothelial growth factor (VEGF) [11,14]. These factors might induce the differentiation of fibroblasts and vascular smooth muscle cells into osteoblast-like cells, potentially leading to the deposition of calcium in the skin and subcutaneous tissues, characteristic of CC. However, the direct role of HIFs in this specific context needs further investigation to confirm their contribution to CC in SSc.
Nailfold capillaroscopy (NFC) is a non-invasive imaging technique that allows for the direct observation of the microcirculation in the nailfold area [15,16]. It is particularly useful in SSc for assessing microvascular changes and has been instrumental in linking vascular abnormalities to the development of CC. Studies have shown that certain NFC patterns, particularly severe capillary loss and extensive avascular areas, are significantly associated with the presence of CC in SSc patients [17,18,19]. The reduced capillary density and avascular areas observed in NFC reflect a state of chronic tissue hypoxia. The presence of giant capillaries and microhemorrhages indicates ongoing attempts at vascular repair and remodeling. These findings support the hypothesis that chronic hypoxia due to microvascular damage plays a critical role in the pathogenesis of CC.
In addition to hypoxia, chronic inflammation and immune dysregulation are central to the pathogenesis of SSc. Cytokines such as interleukin-6 and tumor necrosis factor-alpha are elevated in SSc and have been implicated in promoting CC [20,21,22]. These pro-inflammatory cytokines can enhance the osteogenic differentiation of mesenchymal cells and stimulate the production of extracellular matrix components that facilitate calcification.
CC, while present in both SSc and dermatomyositis (DM), likely arises from different pathological mechanisms in each disease. In SSc, the hypoxia hypothesis suggests that chronic low oxygen conditions due to microvascular damage lead to calcium deposition in tissues. In contrast, CC in DM may involve distinct pathophysiological processes not primarily driven by tissue hypoxia. DM is an inflammatory myopathy characterized by muscle weakness and skin manifestations occurring also in a juvenile form [23]. The development of CC in DM is thought to be linked more closely to chronic inflammation and immune complex deposition rather than to ischemia and hypoxia. Inflammatory cytokines and immune complexes may contribute to CC by damaging tissues and creating a local environment conducive to calcium salt precipitation. In DM, the release of calcium from damaged muscle cell mitochondria is a significant contributor [8]. Studies report a decrease in CC when patients are treated with anti-inflammatory treatments [24,25,26].

3.2. Diagnosis and Characteristics

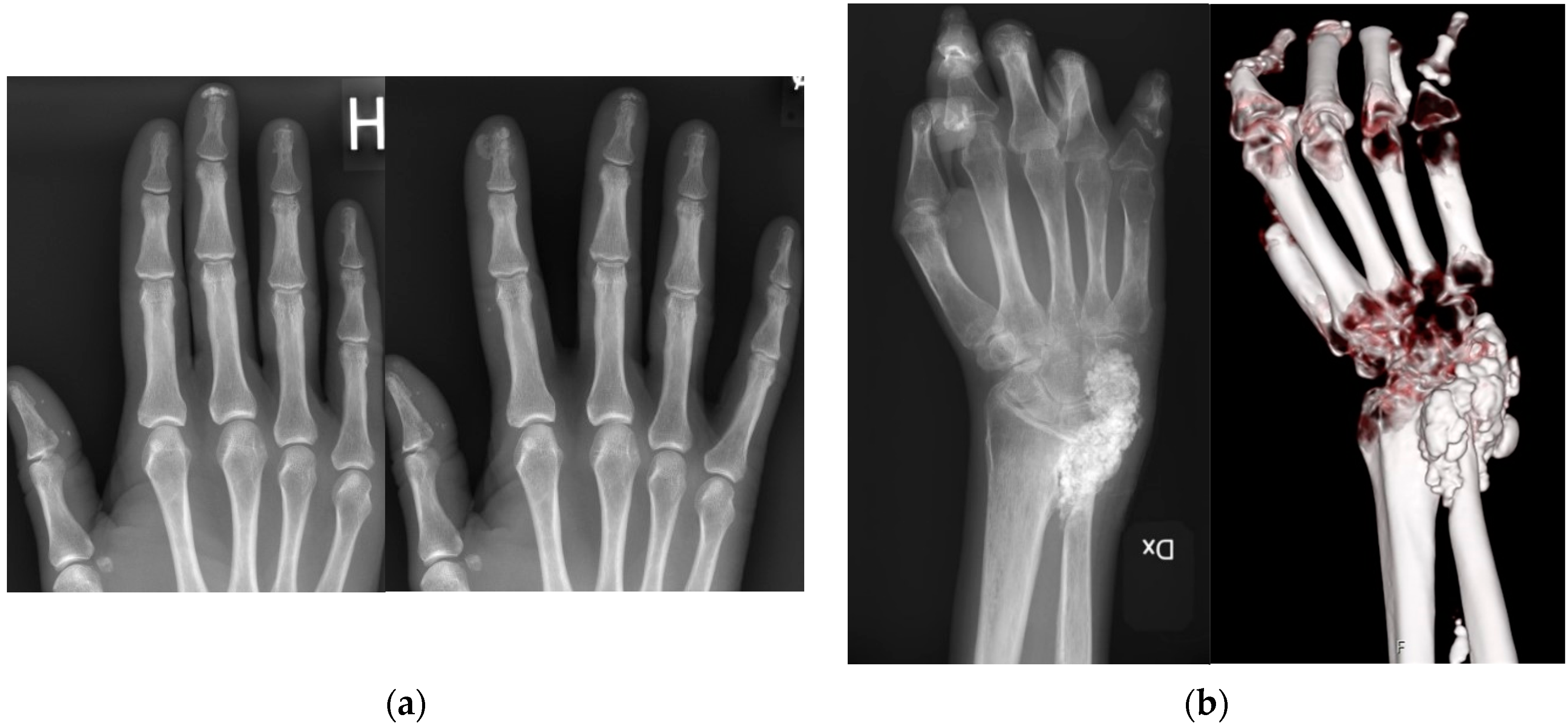
CC is diagnosed based on clinical examination supported by imaging techniques. While guidelines are sparse, the imaging gold standard is radiography, and other types of imaging such as ultrasound, computed tomography and magnetic resonance could provide extended information such as involvement of underlying structures. Larger studies comparing diagnostic accuracy are lacking. Diagnosis is occasionally confirmed through biopsy to identify calcium deposits in the skin or underlying tissues [27,28,29,30,31]. Figure 2. Calcinosis cutis imaging.
Calcinosis is present in several autoimmune connective tissue diseases. Certain patient profiles are more predisposed to developing CC, particularly those with SSc and DM. In SSc, CC is more frequently seen in patients with limited cutaneous involvement, and the presence of anti-centromere antibodies has been strongly associated with its development [32]. Anti-PM/Scl, an autoantibody present in SSc, DM, and more common in patients with overlap syndromes have been found to be associated with calcinosis consistently [33,34].
Regarding clinical manifestations, CC is often observed in patients with long-standing Raynaud’s phenomenon, digital ulcers, and sclerodactyly [35,36]. The calcifications in DM are generally more extensive and can be associated with muscle weakness and skin rashes, distinguishing them from the more limited CC in SSc [37]. CC occurs more frequently in SSc patients with longer disease duration [36]. CC severity is not predicted by the severity of the underlying autoimmune connective tissue disease [3]. CC in SSc predominantly follow patterns of trauma and ischemia affecting the hands, fingers, elbows, and knees. In contrast, DM-related CC typically involves the trunk and extremities. The primary mineral component of these deposits also differs. Hydroxyapatite is predominant in SSc, while carbonate apatite is more common in DM [38,39].

3.3. Promising Treatments

CC in SSc presents a significant clinical challenge due to its complex pathogenesis and limited treatment options. Current therapeutic strategies aim to reduce symptoms, prevent complications, and decrease the burden of calcium deposits. Recent excellent systematic reviews provide an organized and comprehensive overview of the various treatments and their level of evidence [40,41]. This section reviews the various treatments for CC, their known or expected mechanism of action, and focuses on STS, the risk profile, and different administration methods.

3.3.1. Potential Preventive Actions

Vasodilation plays a key role in reducing tissue hypoxia. By improving blood flow to affected areas, vasodilators can help alleviate the ischemic conditions that promote calcium deposition. This therapeutic approach aims to enhance oxygen delivery to tissues, potentially mitigating the factors that enhance calcification. Calcium channel blockers, such as nifedipine or diltiazem, are among the most frequently used treatments for CC in SSc [41]. These medications are believed to inhibit the influx of calcium ions into cells, potentially reducing calcium deposition in tissues. The effectiveness of calcium channel blockers is variable; while some patients report a reduction in the size and number of calcium deposits, others do not experience any significant benefits [42]. Common side effects include hypotension, dizziness, and gastrointestinal disturbances [3,41]. Phosphodiesterase type 5 (PDE5) inhibitors, such as sildenafil, have also been explored as a potential treatment for CC in SSc. These medications work by promoting vasodilation and improving blood flow, similar to calcium channel blockers, but through a different mechanism—by increasing the levels of cyclic guanosine monophosphate (cGMP) in blood vessels [43]. PDE5 inhibitors may help reduce tissue hypoxia, thereby decreasing the conditions that favor calcium deposition. While their use in treating CC is less common, they have shown early promise in improving vascular function [36,44].
For patients prone to CC, minimizing trauma to the skin and soft tissues is crucial in preventing the development or worsening of calcium deposits. The gentle handling of the skin, avoiding repetitive pressure or friction, and protecting vulnerable areas from injury can reduce the risk of trauma-induced calcification. Educating patients about these preventive measures is essential. Using cushioned supports or specialized protective gear in daily activities may further help mitigate the impact on areas prone to CC, thereby minimizing the formation of new calcified lesions or the aggravation of existing ones [4].

3.3.2. Mechanical Destruction/Removal of CC

Surgical Interventions
The surgical removal of calcinosis deposits can provide symptomatic relief, especially in cases where the deposits are causing significant pain, recurrent infections, or ulcerations [3,45]. However, surgery is often considered a last resort due to the risks associated with the procedure, including infection/delayed healing, nerve damage, scarring, and, in particular, the potential recurrence of CC in the same anatomical location. Surgical interventions range from minimally invasive techniques to more extensive excisions, depending on the size and location of the deposits [40,46].
Lithotripsy
Extracorporeal shock wave lithotripsy (ESWL) is a non-invasive medical procedure used for treating CC, generating high-energy shock waves onto the targeted CC lesions. These shock waves are delivered to the skin surface using a device that is placed over the affected area. Previous results demonstrated some effect on CC lesion size and a great effect on pain reduction [47,48,49,50].

3.3.3. Chemical Destruction/Removal of CC

Sodium Thiosulfate
STS, traditionally used intravenous to treat calciphylaxis in chronic kidney disease, has emerged as a promising therapeutic option for CC in SSc. STS is a water-soluble salt and reducing agent that reacts with oxidizing agents and has been used to treat CC since 2005. Preliminary studies and case reports have demonstrated significant reductions in calcium deposits and associated symptoms following treatment with STS [40,41,51,52,53,54,55,56,57,58]. Although the exact mechanism of action is unknown, STS is believed to work primarily by forming soluble complexes with calcium, facilitating the dissolution and excretion of calcium deposits [2]. Additionally, its antioxidant properties help reduce oxidative stress, which may mitigate inflammation and vascular damage contributing to CC. Furthermore, STS may improve vascular function and tissue oxygenation, counteracting the hypoxic environment that promotes calcification [59].
Administration of Sodium Thiosulfate
STS can be administered in various ways, including intravenous, topical, and intralesional methods. The topical application of STS may be beneficial for localized calcinosis deposits, providing direct treatment to affected areas with potentially fewer systemic side effects [40,58,60,61,62,63]. Intralesional injections involve directly administering the drug upon the calcium deposits, which may be effective for treating isolated, symptomatic lesions. The administration of intralesional STS for treating CC in SSc involves a regimen designed to gradually soften and reduce calcium deposits. Our approach recommends multiple treatments, administered at 1–2-week intervals, with a total of 4–8 sessions depending on the severity and extent of the CC lesions. Dosage increases during the sessions as more room is gradually allowed ranging from 0.05 mL to 10 mL using a preferred concentration of 150 mg/mL [51,56]. This repeated administration is necessary as the calcinosis deposits gradually soften over the course of the treatment, transitioning from a rock-hard consistency to a more toothpaste-like texture. Some studies have reported using a single administration of STS [51] and some very low concentrations (0.1 mg/mL), but the outcomes have generally been less effective compared to the repeated treatment regimen [40].
While STS is an inexpensive treatment, a significant challenge in using STS is its availability as a magistral (compounded) preparation. The compounded nature of the drug means that its availability can vary widely between different countries and even within regions. This variability in access can hinder the consistent application of this treatment modality, making it less reliable for patients who may benefit from it. Moreover, STS is officially registered only as an intravenous medication in most countries, presenting additional challenges. When used intravenously, STS acts systemically, which has a different risk profile compared to topical or intralesional administration. Systemic treatment is generally more extensive and should typically be reserved for cases with widespread calcinosis, such as when a SSc patient has 100 or more lesions. The systemic approach can be more appropriate in such severe cases due to the extensive nature of the disease, but it also requires careful monitoring for potential systemic side effects and complications. Studies report mixed effectiveness of intravenous STS in SSc patients [41].
Risk Profile of Sodium Thiosulfate
Topical and intralesional STS treatments are generally associated with only mild side effects and are considered safe. Infection occurred in 9% (5/53) of patients after intralesional STS administration [51,53,56], which was managed with antibiotics [53]. Injection-associated pain was reported in more than 11% of patients receiving intralesional STS and was transient in all cases [56]. Blistering is rare and tends to occur with higher STS concentrations. We observed blistering of the skin 4–7 days after switching from injection with STS 150 mg/mL to injection with 250 mg/mL [56]. Skin irritation, inflammation, or redness occurred and resolved without intervention [51]. One study noted skin discoloration, but the prevalence was not reported [40]. Allergic reactions to STS are a rare, potential risk. No published results document this adverse reaction. Similarly, skin necrosis is a potential risk, but no published results have shown this adverse reaction.
Sodium Thiosulfate in the Context of Hypoxia
If the hypoxia hypothesis is correct, STS could address CC through several mechanisms. The calcium-chelating properties of STS may dissolve and soften calcified deposits, making them easier to resorb. Additionally, its antioxidant effects could reduce oxidative stress caused by hypoxia, interrupting the cycle of tissue damage and calcium buildup [8].
The response to STS treatment appears to differ slightly between SSc and DM, likely due to the distinct pathophysiological mechanisms in each disease [41]. In SSc, where vascular dysfunction and hypoxia play a significant role in calcinosis formation, the ability of STS to improve tissue oxygenation and reduce oxidative stress may explain its more pronounced effectiveness. In contrast, calcinosis in DM is often linked to chronic inflammation and immune dysregulation rather than hypoxia, and lesions decrease in response to anti-inflammatory treatments, which differs from SSc [24,25,26]. Figure 3. Calcinosis cutis treatment.

3.3.4. Other Treatments

Bisphosphonates, including alendronate and pamidronate, work by inhibiting osteoclast-mediated bone resorption, which may help reduce calcification in soft tissues, but is mainly used for osteoporosis treatment. The clinical evidence for their effectiveness in treating CC is mixed. Side effects associated with bisphosphonates include gastrointestinal issues, osteonecrosis of the jaw, and hypocalcemia [41,64]. Warfarin, an anticoagulant, has been used in some cases based on the hypothesis that it can inhibit calcium deposition by preventing the formation of insoluble calcium salts. However, the evidence supporting the use of warfarin for CC is limited, and it is not widely recommended due to the risk of bleeding complications [41,65]. Colchicine, an anti-inflammatory agent, has been used to treat CC, particularly when inflammation is a prominent feature. Anecdotal evidence suggests that colchicine may provide some benefit in reducing inflammation and pain associated with CC. However, gastrointestinal upset and neutropenia are potential side effects [3,41].

4. Discussion

CC in SSc remains a medically challenging condition with limited effective treatment options. Conventional therapies, including calcium channel blockers, bisphosphonates, warfarin, colchicine, and surgical interventions, have shown variable effectiveness, and are often associated with significant side effects. STS is as a promising treatment, with early evidence suggesting it may effectively reduce calcium deposits and alleviate symptoms in patients who already have developed CC. However, a limitation of STS treatment is that, even when effective in reducing existing CC in some patients, it does not prevent the formation of new lesions.
The hypoxia hypothesis provides a compelling explanation for the efficacy of STS in treating CC. Hypoxia, or reduced oxygen availability, is a significant factor in the pathogenesis of SSc. It promotes the formation of reactive oxygen species, leading to oxidative stress, inflammation, and subsequent tissue damage. These conditions favor the deposition of calcium in the skin and soft tissues. STS appears to counteract these processes through several mechanisms. Its calcium-chelating properties increase the solubility of calcium salts, facilitating the dissolution and excretion of calcified deposits. This action can transform hard deposits into a softer consistency, aiding in their resorption over time. Additionally, STS may reduce oxidative stress and protect tissues from further damage. By improving vascular function and tissue oxygenation, STS possibly mitigates the ischemic conditions that favor calcinosis, promoting a healthier tissue environment less prone to calcification. Furthermore, its potential anti-inflammatory effects may disrupt the cycle of tissue damage and calcification, reducing the inflammatory environment that supports calcium deposition. These multifaceted actions make STS a promising therapeutic option for managing CCs in SSc, addressing multiple pathways implicated in the formation and persistence of CC.
CC in SSc shares similarities with calcinosis observed in other autoimmune diseases, but distinct differences exist in terms of localization, disease progression, and treatment options. Treatment options for CC in SSc are largely focused on addressing the underlying vascular damage and hypoxia, with calcium channel blockers, STS, and surgical removal being commonly explored [41]. In DM, however, treatment often revolves around controlling inflammation and muscle involvement, with immunosuppressive agents like corticosteroids or methotrexate playing a more central role [66]. While surgical interventions may be considered in both diseases, they may be more challenging in SSc due to the fibrosis and poorer wound healing associated with the disease [44].
Comparatively, CC in overlap syndromes, such as patients with features of both SSc and DM, can present a hybrid pattern of CC, with more extensive skin and soft tissue involvement, often complicating treatment and leading to variable outcomes [3]. This highlights the need for personalized treatment strategies tailored to the specific autoimmune profile and disease presentation.

Future Research Directions

Future research should aim to confirm the efficacy and safety of STS in treating CC through larger, randomized controlled trials. These studies should explore optimal dosing regimens, long-term outcomes, and potential side effects. Understanding the long-term safety profile of STS is crucial for ensuring sustained patient safety and treatment efficacy. Additionally, further investigations are needed to elucidate the precise mechanisms by which STS exerts its therapeutic effects. Understanding how STS interacts with the biochemical pathways involved in calcinosis formation will help optimize its use and potentially lead to the development of more efficient treatments. Furthermore, future research must further explore the underlying pathophysiology to better understand the different types of CC.
The accurate diagnosis and assessment of CC are essential for effective treatment. Diagnostic challenges include differentiating CC from other skin and soft tissue conditions and determining the extent and activity of calcified deposits. Advanced imaging techniques, such as high-resolution ultrasound, CT scans, and MRI, can significantly improve diagnostic accuracy and monitor treatment response [27,28,29,30,31]. Future research should focus on standardizing imaging protocols and establishing reliable biomarkers to assess disease activity and treatment efficacy.
Conducting placebo-controlled studies with STS presents significant challenges. One major issue is the burning pain associated with STS injections, which results from its tissue toxicity. This pain can make it difficult to blind patients and physicians to the treatment being administered, potentially introducing bias into the study results. Effective blinding is critical in clinical trials to ensure that the outcomes are not influenced by participant and physician expectations. Therefore, meticulously planned study designs or alternative methods to manage pain and maintain blinding are necessary to ensure the reliability of clinical trial data. Further research should also explore combination therapies that may enhance the efficacy of STS or target additional pathways involved in CC formation. Through comprehensive studies, international cooperation, and continued innovation, we hope to provide more effective and safer treatment options for patients suffering from this rare debilitating condition.

Author Contributions

Conceptualization, L.L., M.M. and A.B.O.; methodology, L.L., M.M. and A.B.O.; validation, L.L., M.M., M.P.B. and A.B.O.; formal analysis, L.L., M.M. and A.B.O.; investigation, L.L., M.M. and A.B.O.; resources, L.L., M.M., M.P.B. and A.B.O.; data curation, L.L., M.M. and A.B.O.; writing—original draft preparation, L.L., M.M. and A.B.O.; writing—review and editing, L.L., M.M., M.P.B. and A.B.O.; visualization, L.L., M.M., M.P.B. and A.B.O.; supervision, M.M., M.P.B. and A.B.O.; project administration, L.L.; funding acquisition, L.L., M.M., M.P.B. and A.B.O. All authors have read and agreed to the published version of the manuscript.

Funding

Our ongoing clinical CC research project was funded by an unrestricted grant from LEO Foundation, Denmark, 2023, EU clinical trial no.: 2023-510255-34-00.

Institutional Review Board Statement

Not applicable.

Data Availability Statement

No new data were created or analyzed in this study. Data sharing is not applicable to this article. Further inquiries can be directed to the corresponding author.

Conflicts of Interest

The authors declare no conflicts of interest. All grants received are unrestricted. The funders had no role in the design of the study; in the collection, analyses, or interpretation of data; in the writing of the manuscript; or in the decision to publish the results.

References

  1. Cutolo, M.; Sulli, A.; Pizzorni, C.; Paolino, S.; Smith, V. Systemic sclerosis: Markers and targeted treatments. Acta Reumatol. Port. 2016, 41, 18–25. [Google Scholar] [PubMed]
  2. Davuluri, S.; Lood, C.; Chung, L. Calcinosis in systemic sclerosis. Curr. Opin. Rheumatol. 2022, 34, 319–327. [Google Scholar] [CrossRef] [PubMed]
  3. Balin, S.J.; Wetter, D.A.; Andersen, L.K.; Davis, M.D. Calcinosis cutis occurring in association with autoimmune connective tissue disease: The Mayo Clinic experience with 78 patients, 1996–2009. Arch. Dermatol. 2012, 148, 455–462. [Google Scholar] [CrossRef]
  4. Valenzuela, A.; Song, P.; Chung, L. Calcinosis in scleroderma. Curr. Opin. Rheumatol. 2018, 30, 554–561. [Google Scholar] [CrossRef]
  5. Valenzuela, A.; Chung, L. Calcinosis: Pathophysiology and management. Curr. Opin. Rheumatol. 2015, 27, 542–548. [Google Scholar] [CrossRef]
  6. Hughes, M.; Herrick, A.L. Diagnosis and management of systemic sclerosis-related calcinosis. Expert Rev. Clin. Immunol. 2023, 19, 45–54. [Google Scholar] [CrossRef]
  7. Burgess, K.A.; Herrick, A.L.; Watson, R.E.B. Systemic sclerosis skin is a primed microenvironment for soft tissue calcification-a hypothesis. Rheumatology 2021, 60, 2517–2527. [Google Scholar] [CrossRef] [PubMed]
  8. Valenzuela, A.; Chung, L. Subcutaneous calcinosis: Is it different between systemic sclerosis and dermatomyositis? J. Scleroderma Relat. Disord. 2022, 7, 7–23. [Google Scholar] [CrossRef]
  9. Beyer, C.; Schett, G.; Gay, S.; Distler, O.; Distler, J.H. Hypoxia. Hypoxia in the pathogenesis of systemic sclerosis. Arthritis Res. Ther. 2009, 11, 220. [Google Scholar] [CrossRef]
  10. Siao-Pin, S.; Damian, L.O.; Muntean, L.M.; Rednic, S. Acroosteolysis in systemic sclerosis: An insight into hypoxia-related pathogenesis. Exp. Ther. Med. 2016, 12, 3459–3463. [Google Scholar] [CrossRef][Green Version]
  11. Maciejewska, M.; Sikora, M.; Stec, A.; Zaremba, M.; Maciejewski, C.; Pawlik, K.; Rudnicka, L. Hypoxia-Inducible Factor-1alpha (HIF-1alpha) as a Biomarker for Changes in Microcirculation in Individuals with Systemic Sclerosis. Dermatol. Ther. 2023, 13, 1549–1560. [Google Scholar] [CrossRef] [PubMed]
  12. Copur, S.; Ucku, D.; Cozzolino, M.; Kanbay, M. Hypoxia-inducible factor signaling in vascular calcification in chronic kidney disease patients. J. Nephrol. 2022, 35, 2205–2213. [Google Scholar] [CrossRef]
  13. Marjanovic, E.; Moore, T.L.; Manning, J.B.; Dinsdale, G.; Wilkinson, S.; Dickinson, M.R.; Herrick, A.L.; Murray, A.K. Systemic sclerosis-related digital calcinosis; a pilot study of cutaneous oxygenation and perfusion. Rheumatology 2020, 59, 3573–3575. [Google Scholar] [CrossRef] [PubMed]
  14. Davies, C.A.; Jeziorska, M.; Freemont, A.J.; Herrick, A.L. The differential expression of VEGF, VEGFR-2, and GLUT-1 proteins in disease subtypes of systemic sclerosis. Hum. Pathol. 2006, 37, 190–197. [Google Scholar] [CrossRef]
  15. Smith, V.; Ickinger, C.; Hysa, E.; Snow, M.; Frech, T.; Sulli, A.; Cutolo, M. Nailfold capillaroscopy. Best Pract. Res. Clin. Rheumatol. 2023, 37, 101849. [Google Scholar] [CrossRef]
  16. Lazar, L.T.; Guldberg-Moller, J.; Lazar, B.T.; Mogensen, M. Nailfold capillaroscopy as diagnostic test in patients with psoriasis and psoriatic arthritis: A systematic review. Microvasc. Res. 2023, 147, 104476. [Google Scholar] [CrossRef]
  17. Valentini, G.; Vettori, S.; Cuomo, G.; Iudici, M.; D’Abrosca, V.; Capocotta, D.; Del Genio, G.; Santoriello, C.; Cozzolino, D. Early systemic sclerosis: Short-term disease evolution and factors predicting the development of new manifestations of organ involvement. Arthritis Res. Ther. 2012, 14, R188. [Google Scholar] [CrossRef]
  18. Samoes, B.; Guimaraes da Fonseca, D.; Beirao, T.; Costa, F.; Vieira, R.; Terroso, G.; Ferreira, R.M.; Nicolau, R.; Saraiva, A.; Salvador, M.J.; et al. Assessment of calcinosis in Portuguese patients with systemic sclerosis—A multicenter study. Clin. Rheumatol. 2023, 42, 2125–2134. [Google Scholar] [CrossRef] [PubMed]
  19. Morardet, L.; Avouac, J.; Sammour, M.; Baron, M.; Kahan, A.; Feydy, A.; Allanore, Y. Late Nailfold Videocapillaroscopy Pattern Associated with Hand Calcinosis and Acro-Osteolysis in Systemic Sclerosis. Arthritis Care Res. 2016, 68, 366–373. [Google Scholar] [CrossRef]
  20. Ibrahim-Achi, Z.; de Vera-Gonzalez, A.; Gonzalez-Delgado, A.; Lopez-Mejias, R.; Gonzalez-Gay, M.A.; Ferraz-Amaro, I. Interleukin-6 serum levels are associated with disease features and cardiovascular risk in patients with systemic sclerosis. Clin. Exp. Rheumatol. 2023, 42, 1564–1570. [Google Scholar] [CrossRef]
  21. Kosalka-Wegiel, J.; Licholai, S.; Pacholczak-Madej, R.; Dziedzina, S.; Milewski, M.; Kuszmiersz, P.; Korona, A.; Gasior, J.; Matyja-Bednarczyk, A.; Kwiatkowska, H.; et al. Serum IL-17 and TNFalpha as prognostic biomarkers in systemic sclerosis patients: A prospective study. Rheumatol. Int. 2024, 44, 119–128. [Google Scholar] [CrossRef]
  22. Masri, M.F.B.; Ng, S.A.; Chin, C.W.; Low, A.H. Biomarkers in the evaluation of cardiac involvement in systemic sclerosis. Rheumatol. Immunol. Res. 2024, 5, 99–106. [Google Scholar] [CrossRef]
  23. Pandya, R.; Kleitsch, J.; Lim, D.; Werth, V.P. Clinical characteristics and symptom progression of dermatomyositis subtypes: A retrospective analysis of a prospective database. J. Am. Acad. Dermatol. 2024, 91, 31–36. [Google Scholar] [CrossRef]
  24. Rodriguez-Lozano, A.L.; Mata-Aguilera, X.; Rivas-Larrauri, F.; Bustamante-Ogando, J.C.; Gutierrez-Hernandez, A.; Bojalil-Cabildo, A.; Scheffler-Mendoza, S.; Yamazaki-Nakashimada, M. Subcutaneous immunoglobulin for the treatment of calcinosis associated with juvenile dermatomyositis. Int. J. Rheum. Dis. 2024, 27, e15239. [Google Scholar] [CrossRef]
  25. Shobha, V.; Kodali, R.; Amin, S.N.; Srivastava, P.; Sharma, B.; Goel, R.; Ganapati, A.; Dhote, S.; Janardana, R.; Rajasekhar, L.; et al. Effectiveness of generic tofacitinib in idiopathic inflammatory myositis (IIM)-a retrospective analysis from Indian Myositis Registry (MyoIN). Clin. Rheumatol. 2024, 43, 2245–2252. [Google Scholar] [CrossRef]
  26. Shiari, R.; Khalili, M.; Zeinali, V.; Shashaani, N.; Samami, M.; Moghaddamemami, F.H. Local injection of infliximab into calcinosis lesions in patients with juvenile dermatomyositis (JDM): A clinical trial. Pediatr. Rheumatol. Online J. 2024, 22, 2. [Google Scholar] [CrossRef]
  27. Rowe, S.P.; Fritz, J.; Fishman, E.K. Soft Tissue Calcinosis Universalis Visualized with Novel 3-D Computed Tomography Cinematic Rendering. J. Rheumatol. 2019, 46, 539–540. [Google Scholar] [CrossRef]
  28. Atzeni, I.M.; Hogervorst, E.M.; Stel, A.J.; de Leeuw, K.; Bijl, M.; Bos, R.; Westra, J.; van Goor, H.; Bolling, M.C.; Slart, R.; et al. [(18)F]Sodium Fluoride PET has the potential to identify active formation of calcinosis cutis in limited cutaneous systemic sclerosis. Semin. Arthritis Rheum. 2022, 55, 152027. [Google Scholar] [CrossRef]
  29. Cosedis Enevoldsen, F.; Therkildsen, J.; Klose-Jensen, R.; Lynggaard Elkjaer, A.; Uggerby Naeser, E.; Klicman, R.F.; Thorup Aaen, K.; Sondergaard, K.H.; Hauge, E.M. High-resolution peripheral quantitative computed tomography for the assessment of acro-osteolysis and calcinosis in patients with systemic sclerosis. Jt. Bone Spine 2024, 91, 105699. [Google Scholar] [CrossRef]
  30. Fairchild, R.; Chung, M.; Sharpless, L.; Li, S.; Chung, L. Ultrasound Detection of Calcinosis and Association with Ulnar Artery Occlusion in Patients with Systemic Sclerosis. Arthritis Care Res. 2021, 73, 1332–1337. [Google Scholar] [CrossRef]
  31. Hughes, M.; Hodgson, R.; Harris, J.; Porter, N.; Jackson, S.; Kirwadi, A.; Manning, J.; Peytrignet, S.; Herrick, A.L. Imaging calcinosis in patients with systemic sclerosis by radiography, computerised tomography and magnetic resonance imaging. Semin. Arthritis Rheum. 2019, 49, 279–282. [Google Scholar] [CrossRef]
  32. Sakata, K.; Kaneko, Y.; Yasuoka, H.; Takeuchi, T. Association of radiographic findings in hand X-ray with clinical features and autoantibodies in patients with systemic sclerosis. Clin. Rheumatol. 2020, 39, 113–118. [Google Scholar] [CrossRef]
  33. Lazzaroni, M.-G.; Marasco, E.; Campochiaro, C.; DeVries-Bouwstra, J.; Gonzalez-Perez, M.-I.; Rojas-Serrano, J.; Hachulla, E.; Zanatta, E.; Barsotti, S.; Furini, F.; et al. The clinical phenotype of systemic sclerosis patients with anti-PM/Scl antibodies: Results from the EUSTAR cohort. Rheumatology 2021, 60, 5028–5041. [Google Scholar] [CrossRef]
  34. Cavazzana, I.; Vojinovic, T.; Airo, P.; Fredi, M.; Ceribelli, A.; Pedretti, E.; Lazzaroni, M.G.; Garrafa, E.; Franceschini, F. Systemic Sclerosis-Specific Antibodies: Novel and Classical Biomarkers. Clin. Rev. Allergy Immunol. 2023, 64, 412–430. [Google Scholar] [CrossRef]
  35. Morrisroe, K.; Stevens, W.; Sahhar, J.; Ngian, G.-S.; Ferdowsi, N.; Hill, C.L.; Roddy, J.; Walker, J.; Proudman, S.; Nikpour, M. Digital ulcers in systemic sclerosis: Their epidemiology, clinical characteristics, and associated clinical and economic burden. Arthritis Res. Ther. 2019, 21, 299. [Google Scholar] [CrossRef]
  36. Valenzuela, A.; Baron, M.; Herrick, A.L.; Proudman, S.; Stevens, W.; Rodriguez-Reyna, T.S.; Vacca, A.; Medsger, T.A.; Hinchcliff, M.; Hsu, V.; et al. Calcinosis is associated with digital ulcers and osteoporosis in patients with systemic sclerosis: A Scleroderma Clinical Trials Consortium study. Semin. Arthritis Rheum. 2016, 46, 344–349. [Google Scholar] [CrossRef]
  37. Chung, M.P.; Richardson, C.; Kirakossian, D.; Orandi, A.B.; Saketkoo, L.A.; Rider, L.G.; Schiffenbauer, A.; von Mühlen, C.A.; Chung, L. Calcinosis Biomarkers in Adult and Juvenile Dermatomyositis. Autoimmun. Rev. 2020, 19, 102533. [Google Scholar] [CrossRef]
  38. Lee, P.; Green, L.; Marzec, B.; Meldrum, F.; Del Galdo, F.; Alcacer-Pitarch, B. Dystrophic calcinosis: Structural and morphological composition, and evaluation of ethylenediaminetetraacetic acid (‘EDTA’) for potential local treatment. Arthritis Res. Ther. 2024, 26, 102. [Google Scholar] [CrossRef]
  39. Eidelman, N.; Boyde, A.; Bushby, A.J.; Howell, P.G.; Sun, J.; Newbury, D.E.; Miller, F.W.; Robey, P.G.; Rider, L.G. Microstructure and mineral composition of dystrophic calcification associated with the idiopathic inflammatory myopathies. Arthritis Res. Ther. 2009, 11, R159. [Google Scholar] [CrossRef]
  40. Nowaczyk, J.; Zawistowski, M.; Fiedor, P. Local, non-systemic, and minimally invasive therapies for calcinosis cutis: A systematic review. Arch. Dermatol. Res. 2022, 314, 515–525. [Google Scholar] [CrossRef]
  41. Traineau, H.; Aggarwal, R.; Monfort, J.B.; Senet, P.; Oddis, C.V.; Chizzolini, C.; Barbaud, A.; Francès, C.; Arnaud, L.; Chasset, F. Treatment of calcinosis cutis in systemic sclerosis and dermatomyositis: A review of the literature. J. Am. Acad. Dermatol. 2020, 82, 317–325. [Google Scholar] [CrossRef] [PubMed]
  42. Vayssairat, M.; Hidouche, D.; Abdoucheli-Baudot, N.; Gaitz, J.P. Clinical significance of subcutaneous calcinosis in patients with systemic sclerosis. Does diltiazem induce its regression? Ann. Rheum. Dis. 1998, 57, 252–254. [Google Scholar] [CrossRef]
  43. Seftel, A.D. Phosphodiesterase type 5 inhibitor differentiation based on selectivity, pharmacokinetic, and efficacy profiles. Clin. Cardiol. 2004, 27, I14–I19. [Google Scholar] [CrossRef]
  44. Valenzuela, A.; Chung, L. Management of Calcinosis Associated with Systemic Sclerosis. Curr. Treat. Options Rheumatol. 2016, 2, 85–96. [Google Scholar] [CrossRef]
  45. Bender, T.; Burt, M. A case report and review of calcinosis cutis. J. Surg. Case Rep. 2024, 2024, rjae068. [Google Scholar] [CrossRef]
  46. Merlino, G.; Germano, S.; Carlucci, S. Surgical management of digital calcinosis in CREST syndrome. Aesthetic Plast. Surg. 2013, 37, 1214–1219. [Google Scholar] [CrossRef]
  47. Sultan-Bichat, N.; Menard, J.; Perceau, G.; Staerman, F.; Bernard, P.; Reguiaï, Z. Treatment of calcinosis cutis by extracorporeal shock-wave lithotripsy. J. Am. Acad. Dermatol. 2012, 66, 424–429. [Google Scholar] [CrossRef]
  48. Beatty, P.; Killion, L.; Power, R.; Roche, M. Dystrophic calcinosis cutis successfully treated with extracorporeal shockwave lithotripsy. Clin. Exp. Dermatol. 2021, 46, 1656–1658. [Google Scholar] [CrossRef]
  49. Delgado-Márquez, A.M.; Carmona, M.; Vanaclocha, F.; Postigo, C. Effectiveness of extracorporeal shock wave lithotripsy to treat dystrophic calcinosis cutis ulcers. Actas Dermosifiliogr. 2015, 106, 140–143. [Google Scholar] [CrossRef]
  50. Chan, A.Y.; Li, E. Electric shock wave lithotripsy (ESWL) as a pain control measure in dermatomyositis with calcinosis cutis-old method, new discovery. Clin. Rheumatol. 2005, 24, 172–173. [Google Scholar] [CrossRef]
  51. Baumgartner-Nielsen, J.; Olesen, A.B. Treatment of Skin Calcifications with Intra-lesional Injection of Sodium Thiosulphate: A Case Series. Acta Derm. Venereol. 2016, 96, 257–258. [Google Scholar] [CrossRef]
  52. Darrieurtort-Laffite, C.; Bertrand-Vasseur, A.; Garraud, T.; Planche, L.; Le Goff, B. Tolerance and effect of sodium thiosulfate in calcific tendinitis of the rotator cuff. Clin. Rheumatol. 2020, 39, 561–569. [Google Scholar] [CrossRef]
  53. Goossens, J.; Courbebaisse, M.; Caudron, E.; Bahans, C.; Vacquerie, V.; Melchior, J.; Salle, P.V.; Moesch, C.; Daudon, M.; Frocht, V.; et al. Efficacy of intralesional sodium thiosulfate injections for disabling tumoral calcinosis: Two cases. Semin. Arthritis Rheum. 2017, 47, 451–455. [Google Scholar] [CrossRef]
  54. Granja, B.V.; De Matos, P.R.; Azevedo, F.; Baudrier, T.; Mota, A. Intralesional sodium thiosulfate for the treatment of calciphylaxis: A case report and review of the literature. Int. J. Dermatol. 2024, 63, 132–134. [Google Scholar] [CrossRef]
  55. Lopez-Sundh, A.E.; Quintana-Sancho, A.; Duran-Vian, C.; Reguero-DelCura, L.; Corrales-Martinez, A.F.; Gomez-Fernandez, C.; Gonzalez-Lopez, M.A. Clinical and ultrasound response to intralesional sodium thiosulfate for the treatment of calcinosis cutis in the setting of systemic sclerosis. A case-based review. Clin. Rheumatol. 2021, 40, 2985–2989. [Google Scholar] [CrossRef]
  56. Olesen, A.B.; Fage, S. Dysthrophic calcification in Systemic Sclerosis—Intralesional Injections of Sodium Thiosulfate may have significant Positive Effects on your patients. Med. Res. Arch. 2020, 8, 8. [Google Scholar] [CrossRef]
  57. Paula, E.; Denys, P.; Anama, D.P.; Maria, D.; Carolina, V.; Ana, T.; Luis, M.; Guido, M.C. Intralesional Sodium Thiosulfate as Adjuvant Therapy in Severe Calciphylaxis. J. Drugs Dermatol. 2023, 22, e28–e30. [Google Scholar] [CrossRef]
  58. Ricardo, J.W.; Sun, H.Y.; Gorji, M.; Sebaratnam, D.F. Topical sodium thiosulfate as treatment of calcinosis cutis: Case series and systematic review. J. Am. Acad. Dermatol. 2022, 87, 443–444. [Google Scholar] [CrossRef]
  59. Cicone, J.S.; Petronis, J.B.; Embert, C.D.; Spector, D.A. Successful treatment of calciphylaxis with intravenous sodium thiosulfate. Am. J. Kidney Dis. 2004, 43, 1104–1108. [Google Scholar] [CrossRef]
  60. Del Barrio-Diaz, P.; Moll-Manzur, C.; Alvarez-Veliz, S.; Vera-Kellet, C. Topical sodium metabisulfite for the treatment of calcinosis cutis: A promising new therapy. Br. J. Dermatol. 2016, 175, 608–611. [Google Scholar] [CrossRef]
  61. Gauffenic, A.; Ratsimbazafy, V.; Ostertag, A.; Linglart, A.; Bourrat, E.; Leroy, C.; Liote, F.; Latourte, A.; Richette, P.; Ea, H.K.; et al. Effectiveness of topical sodium thiosulfate for ectopic calcifications and ossifications. Results of the CATSS-O study. Semin. Arthritis Rheum. 2023, 63, 152306. [Google Scholar] [CrossRef] [PubMed]
  62. von Hodenberg, C.; Neufeld, M.; Wohlrab, J.; Meyer, D.; Ehrchen, J.; Sunderkotter, C. Topical sodium thiosulfate: A reliable treatment for digital calcinosis cutis—A case series with six patients. J. Dtsch. Dermatol. Ges. 2020, 18, 1181–1183. [Google Scholar] [CrossRef]
  63. Wolf, E.K.; Smidt, A.C.; Laumann, A.E. Topical sodium thiosulfate therapy for leg ulcers with dystrophic calcification. Arch. Dermatol. 2008, 144, 1560–1562. [Google Scholar] [CrossRef]
  64. Rauch, L.; Hein, R.; Biedermann, T.; Eyerich, K.; Lauffer, F. Bisphosphonates for the Treatment of Calcinosis Cutis-A Retrospective Single-Center Study. Biomedicines 2021, 9, 1698. [Google Scholar] [CrossRef]
  65. Lassoued, K.; Saiag, P.; Anglade, M.C.; Roujeau, J.C.; Touraine, R.L. Failure of warfarin in treatment of calcinosis universalis. Am. J. Med. 1988, 84, 795–796. [Google Scholar] [CrossRef]
  66. Gutierrez, A., Jr.; Wetter, D.A. Calcinosis cutis in autoimmune connective tissue diseases. Dermatol. Ther. 2012, 25, 195–206. [Google Scholar] [CrossRef]
Figure 1. Multiple calcinosis cutis (CC) lesions in two female SSc patients: (a) linear CC lesions on the upper arm; (b) nodular CC lesion on the elbow with ulcerations. Photos shown with permission from patients.
Figure 1. Multiple calcinosis cutis (CC) lesions in two female SSc patients: (a) linear CC lesions on the upper arm; (b) nodular CC lesion on the elbow with ulcerations. Photos shown with permission from patients.
Sclerosis 02 00019 g001
Figure 2. (a) Radiographic and computed tomography (CT) image of the same hand and wrist in a 48-year-old female Ssc patient. Conventional radiography showing multilobulated calcifications in the distal radioulnar joint and ulnar side of the wrist, measuring 3 × 5 × 2 cm. To the right, a CT 3D multiplanar visualization with bone algorithm. (b) Radiographic image of the hand of a 65-year-old female SSc patient showing calcinosis observed in the distal parts of the first, third, and fourth fingers of the right hand. On the right side, a new radiography examination four years later shows new calcinosis formation at the distal part of the second finger, with some deposits measuring up to 4 mm. Furthermore, reduced density of calcinosis at the distal end of the third finger.
Figure 2. (a) Radiographic and computed tomography (CT) image of the same hand and wrist in a 48-year-old female Ssc patient. Conventional radiography showing multilobulated calcifications in the distal radioulnar joint and ulnar side of the wrist, measuring 3 × 5 × 2 cm. To the right, a CT 3D multiplanar visualization with bone algorithm. (b) Radiographic image of the hand of a 65-year-old female SSc patient showing calcinosis observed in the distal parts of the first, third, and fourth fingers of the right hand. On the right side, a new radiography examination four years later shows new calcinosis formation at the distal part of the second finger, with some deposits measuring up to 4 mm. Furthermore, reduced density of calcinosis at the distal end of the third finger.
Sclerosis 02 00019 g002
Figure 3. Calcinosis cutis lesions in relation to treatment: (a) extensive, widespread lesions on both forearms with inflammation, making treatment difficult; (b) intralesional sodium thiosulfate treatment being performed on a severely ulcerated lesion on the foot. Photos shown with permission from patients.
Figure 3. Calcinosis cutis lesions in relation to treatment: (a) extensive, widespread lesions on both forearms with inflammation, making treatment difficult; (b) intralesional sodium thiosulfate treatment being performed on a severely ulcerated lesion on the foot. Photos shown with permission from patients.
Sclerosis 02 00019 g003
Disclaimer/Publisher’s Note: The statements, opinions and data contained in all publications are solely those of the individual author(s) and contributor(s) and not of MDPI and/or the editor(s). MDPI and/or the editor(s) disclaim responsibility for any injury to people or property resulting from any ideas, methods, instructions or products referred to in the content.

Share and Cite

MDPI and ACS Style

Lazar, L.; Mogensen, M.; Boesen, M.P.; Olesen, A.B. Insights and Future Perspectives in Calcinosis Cutis Associated with Systemic Sclerosis. Sclerosis 2024, 2, 302-313. https://doi.org/10.3390/sclerosis2040019

AMA Style

Lazar L, Mogensen M, Boesen MP, Olesen AB. Insights and Future Perspectives in Calcinosis Cutis Associated with Systemic Sclerosis. Sclerosis. 2024; 2(4):302-313. https://doi.org/10.3390/sclerosis2040019

Chicago/Turabian Style

Lazar, Luna, Mette Mogensen, Mikael Ploug Boesen, and Anne Braae Olesen. 2024. "Insights and Future Perspectives in Calcinosis Cutis Associated with Systemic Sclerosis" Sclerosis 2, no. 4: 302-313. https://doi.org/10.3390/sclerosis2040019

APA Style

Lazar, L., Mogensen, M., Boesen, M. P., & Olesen, A. B. (2024). Insights and Future Perspectives in Calcinosis Cutis Associated with Systemic Sclerosis. Sclerosis, 2(4), 302-313. https://doi.org/10.3390/sclerosis2040019

Article Metrics

Back to TopTop