Previous Article in Journal
Difluprednate and Loratadine in the Treatment of Pachychoroid Disease Spectrum
 
 
Font Type:
Arial Georgia Verdana
Font Size:
Aa Aa Aa
Line Spacing:
Column Width:
Background:
Case Report

Inaugural Sixth Nerve Palsy in a Patient with Neuroborreliosis: A Case Report

by
Yasmine Lahrichi
*,
Jean-Marie Rakic
and
Anne-Catherine Chapelle
*
Department of Ophthalmology, Centre Hospitalier Universitaire de Liege, 4000 Liege, Belgium
*
Authors to whom correspondence should be addressed.
J. Clin. Transl. Ophthalmol. 2026, 4(1), 3; https://doi.org/10.3390/jcto4010003 (registering DOI)
Submission received: 1 September 2025 / Revised: 13 January 2026 / Accepted: 14 January 2026 / Published: 17 January 2026

Abstract

Background: We report an uncommon presentation of Lyme disease and highlight the importance of a detailed history in a patient with new-onset sixth nerve palsy. Methods: Case report and literature review. Results: A 46-year-old man receiving infliximab presented to the ophthalmology emergency department with horizontal binocular diplopia. History revealed a diffuse headache that had begun three weeks earlier. Ophthalmologic examination demonstrated a left sixth cranial nerve palsy. The workup showed positive Borrelia serum IgG, which was interpreted as a likely false-positive result given the limited specificity of serologic testing. At follow-up, the patient reported left-sided peripheral facial palsy, and worsening headache and diplopia. Further history revealed prior erythema migrans treated with doxycycline four months earlier. Considering these new findings, a lumbar puncture was performed and demonstrated intrathecal production of Borrelia antibodies. Neuroborreliosis, a neurologic involvement secondary to systemic infection by the spirochete Borrelia burgdorferi, was diagnosed. The patient was treated with oral doxycycline for 28 days with complete resolution of symptoms. Conclusions: Lyme disease may present with progressive neuro-ophthalmologic symptoms, underscoring the crucial role of ophthalmologists in its diagnosis. Moreover, immunosuppression may delay diagnosis and allow neurological progression, highlighting the need for careful history taking and close follow-up.

1. Introduction

Sixth cranial nerve palsy is the most common type of ocular motor nerve palsy. Its etiology includes neoplastic, traumatic, infectious, microvascular disease, and giant cell arteritis [1,2]. Some of these causes are fatal and require prompt neurological evaluation and urgent treatment to avoid irreversible complications. Lyme disease—a multisystem infection caused by the spirochete Borrelia burgdorferi—is transmitted to humans thorough the bite of infected ticks or nymphs. The prevalence of this bacterium in ticks in Belgium is estimated at 9.9%. The risk of contracting Lyme disease increases during the period of tick activity typically from May to October [3]. Although many infections remain localized to the skin, early dissemination may occur. Early neuroborreliosis usually develops within two to three weeks of infection. In adults, the most frequent neurological manifestation is Bannwarth syndrome which is characterized by lymphocytic meningitis, painful radiculoneuritis and cranial nerve involvement, most often affecting the facial nerve but potentially involving other cranial nerves as well [4]. We report the case of a 46-year-old man receiving infliximab who presented to the ophthalmology emergency department with new onset of binocular horizontal diplopia ultimately diagnosed as Lyme neuroborreliosis.

2. Case Report

A 46-year-old man presented to the ophthalmology emergency department with a five-day history of horizontal binocular diplopia that he described constant and more pronounced when looking to the left. He also reported mild holocranial headaches that had been progressively radiating bilaterally to the cervical region for approximately three weeks. His past medical history included Crohn’s disease for which he received infliximab—tumor necrosis factor-α (TNF-α) blockers—infusions every two months. He denied any recent gastro-intestinal manifestation or current systemic infection. He reported no prior neurologic disorder and no recent travel outside Europe.
Ophthalmological examination revealed a corrected visual acuity of 10/10 Parinaud 2 in both eyes, with normal anterior segment and fundus examinations. Orthoptic examination showed 30 diopters of left esotropia with markedly limited abduction in the left eye on primary gaze. In the left gaze, the esotropia was beyond 35 diopters. In the right gaze, esotropia was measured at 4 diopters (Figure 1). A comprehensive neurologic examination revealed no additional motor or sensory deficits. To relieve his symptoms, the patient was temporarily fitted with Fresnel prisms.
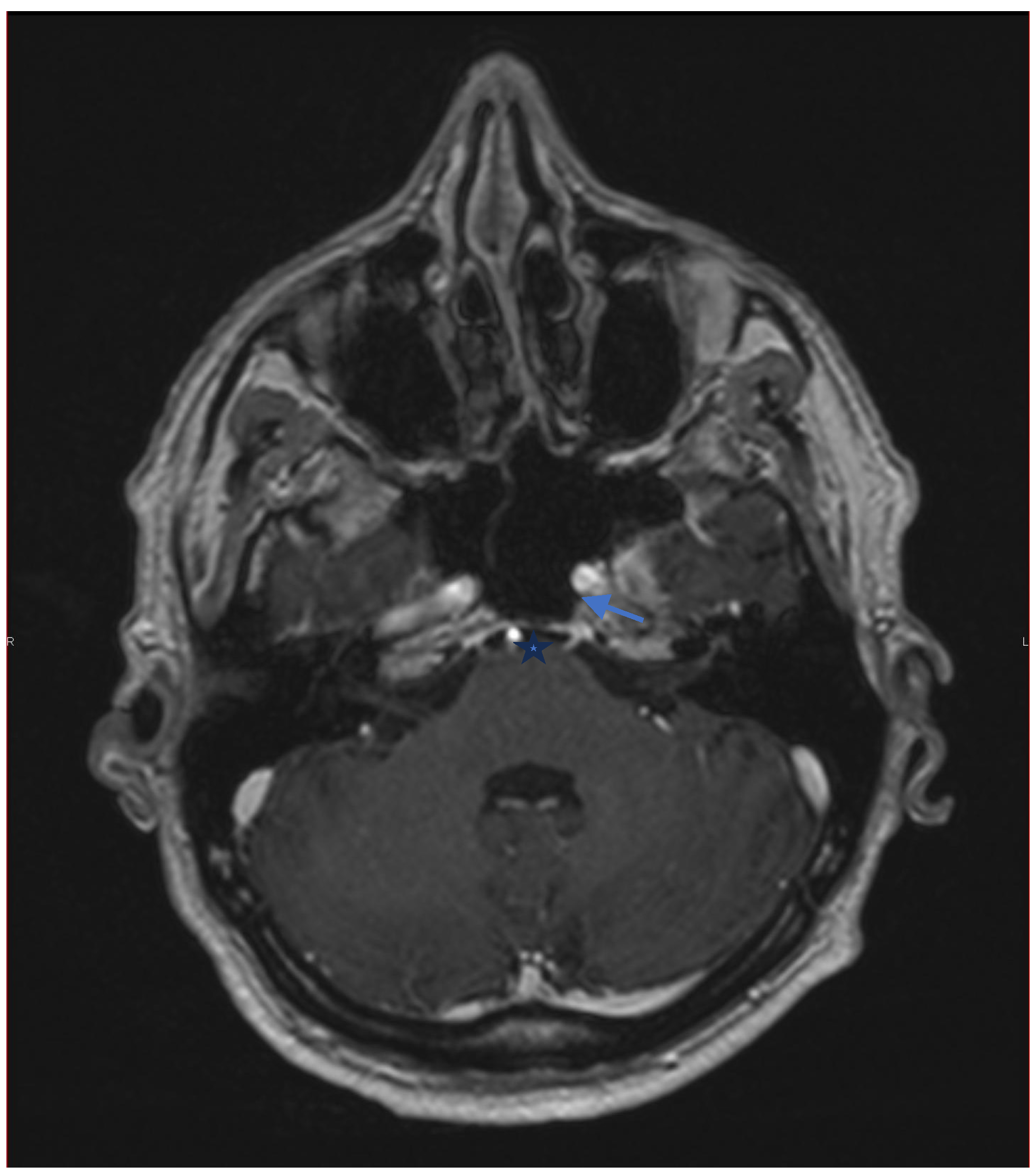
Peripapillary retinal nerve fiber layer optical coherence tomography (OCT) (Figure 2), ganglion cell complex (inner nuclear layer + ganglion cells layer) OCT (Figure 3), and automated visual field examinations (Figure 4) were normal. A gadolinium-enhanced magnetic resonance imaging (MRI) was performed and was reported normal (Figure 5). General laboratory tests, including complete blood count, C-reactive protein (CRP), erythrocyte sedimentation rate (ESR), angiotensin-converting enzyme, syphilis, Human Immunodeficiency Virus (HIV) serologies, and tuberculosis testing were normal. Borrelia Serologic testing for Borrelia showed negative IgM antibodies and positive IgG antibodies (111.8 UA/mL) on enzyme-linked immunosorbent assay (ELISA). These findings were confirmed by Western blot analysis.
Two weeks after his first visit, during a follow-up appointment, the patient reported new symptoms of incomplete left eyelid closure and a drooping of the left oral commissure on the same side indicating a deficit of the homolateral seventh cranial nerve. He also complained of progressively intensifying headaches radiating to the neck that became intolerable. Ophthalmologic examination was similar to that of the first visit. Further history-taking revealed that the patient had sustained a tick bite four months earlier during a hike in the woods. His general practitioner had documented an erythema migrans (EM) rash and prescribed doxycycline 100 mg twice daily for 10 days, which the patient completed.
Given the new cranial nerve seven involvement and the history of tick exposure, further testing was undertaken. The appearance of this symptom served as the key diagnostic trigger. Laboratory testing and lumbar puncture were performed. No systemic inflammatory syndrome was detected. However, serum IgG antibodies against Borrelia increased at a level of 146.7 UA/mL. Cerebrospinal fluid analysis (CSF) demonstrated marked hyperproteinorachia (1970 mg/mL), lymphocytic pleocytosis (324 cells/mm3, 93% lymphocytes), and elevated Borrelia-specific IgG levels (209.3 UA/mL). The intrathecal IgG secretion index was 53, exceeding the positivity threshold of 15. IgG positivity with intrathecal synthesis was compatible with neuroborreliosis due to an infection evolving for weeks, consistent with the patient’s reported tick exposure. No oligoclonal bands were observed in the CSF.
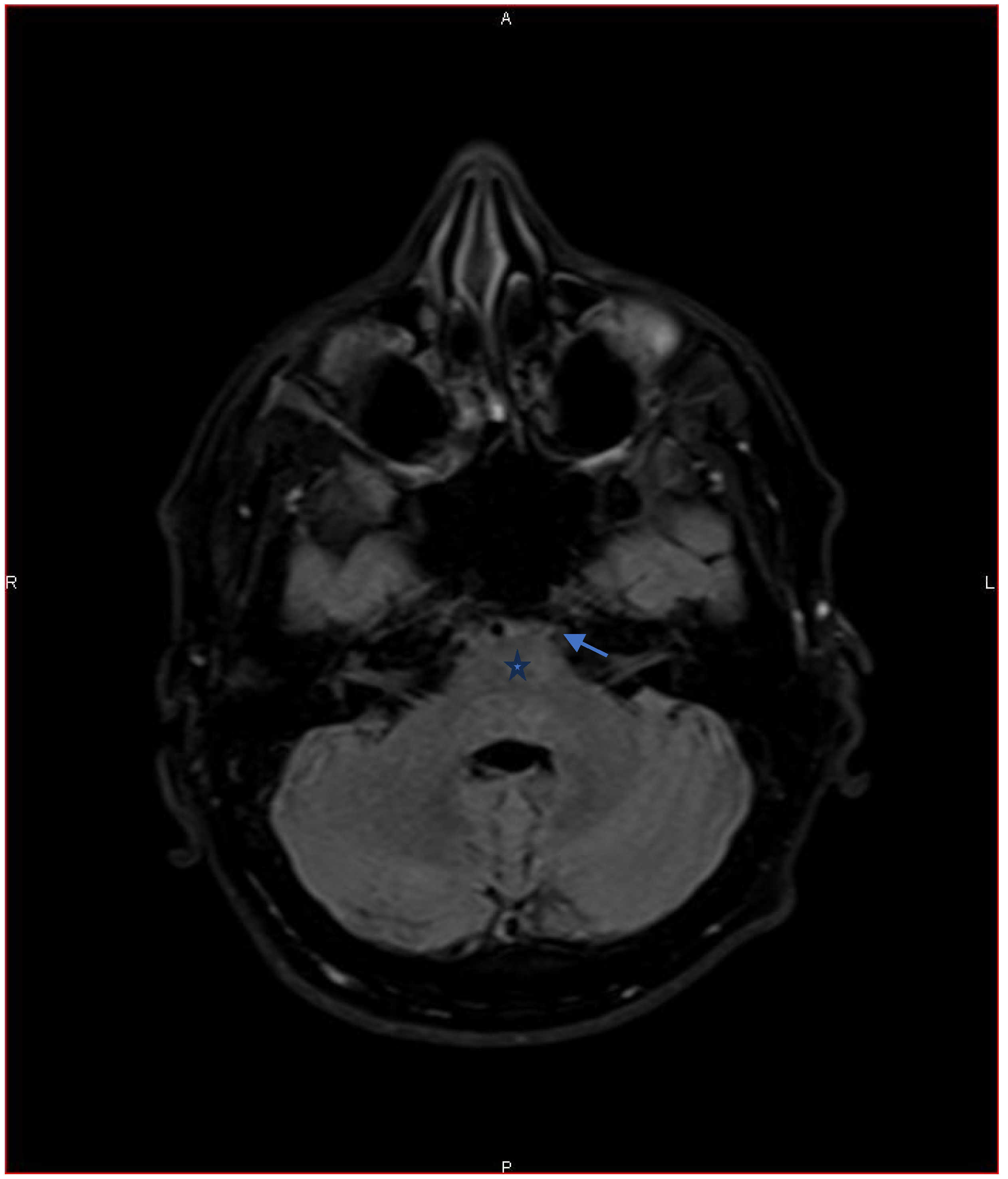
A review of the brain MRI was requested, focusing on the region between the pons and the petro-clinoid ligament. Imaging revealed signs of neuritis of the left sixth cranial nerve. The seventh cranial nerve could not be clearly visualized (Figure 6).
Cranial multineuritis and meningitis with positive serum and intrathecal Borrelia serologies confirmed the diagnosis of neuroborreliosis. The patient was treated with oral doxycycline 100 mg twice a day for 28 days. By the end of the antibiotic course, the patient was free of symptoms. Follow-up orthoptic assessment (Figure 7) showed a recovery of left eye abduction, with only a minimal residual esotropia of one prism diopter in the left gaze, which was asymptomatic.
The timeline of the case report is illustrated in Figure 8.

3. Discussion

3.1. Sixth Nerve Palsy: Causes, Diagnostics, and Management

Most sixth nerve palsies are unilateral and acquired. They typically present with new-onset horizontal diplopia and impaired abduction of the affected eye. Immunologic or viral injury to the sixth cranial nerve can occur at any point along its course. As illustrated in Figure 9, the sixth cranial nerve, also known as the abducens nerve, has a long course extending from the sixth nerve nucleus in the dorsal pons to the lateral rectus muscle within the orbit. Its anatomy makes it vulnerable to injury at numerous points. Sixth nerve palsies can be classified into distinct syndromes based on the anatomical location of the nerve involvement: brainstem syndrome, petrous apex syndrome, cavernous sinus syndrome, orbital syndrome, and isolated sixth nerve palsy. Each of these regions has characteristic associated signs that can help localize it.
The brainstem syndrome can involve the fifth, seventh, and eighth cranial nerves, as well as the pyramidal tract on the anterior aspect of the pons and the cerebellum behind it. The petrous apex syndrome concerns the course of the sixth cranial nerve under the petro-clinoid ligament. In this area, the ipsilateral fifth, seventh, and eighth cranial nerves can become involved. When the injury is located within the cavernous sinus, the sixth nerve palsy is often associated with a dysfunction of the third, fourth, and fifth (ophthalmic and maxillary divisions) cranial nerves. Involvement of the internal carotid artery and the carotid sympathetic plexus is also possible. Finally, if the sixth cranial nerve is injured within its orbital course, the optic nerve and the ophthalmic and maxillary division of the fifth cranial nerve may be affected. Proptosis is an early sign of the orbital syndrome and is frequently accompanied by conjunctival hyperemia and chemosis [1,2].
Isolated sixth nerve palsy in adults is most commonly caused by microvascular ischemia, often related to systemic pathologies such as diabetes mellitus, arteriosclerosis or systemic hypertension. However, it may also occur secondary to elevated intracranial pressure. In fact, approximately 19% of patients with idiopathic intracranial hypertension have been diagnosed with sixth cranial nerve palsy [5]. Infectious causes such as Lyme disease or syphilis are uncommon and account for only a small proportion of cases [6]. A retrospective study found that trauma is responsible for about 3% of isolated sixth nerve palsy [7]. Demyelinating disorders such as multiple sclerosis have been reported in 8% of nontraumatic, isolated sixth cranial nerve palsies in a retrospective population-based case series [8]. In this context, our patient’s treatment with infliximab raised concern. In fact, TNF-α blockers have been associated with central and peripheral nervous system (CNS) demyelination. [9]. In addition, in this young patient with an isolated sixth nerve palsy, infectious etiologies were also a primary consideration due to immunosuppression.
It is important to consider other conditions that can mimic sixth nerve palsy, including thyroid eye disease and myasthenia gravis [1,2]. Prompt differentiation of these entities is essential to avoid unnecessary imaging and to detect potentially more serious underlying diseases.
A thorough ophthalmologic examination is mandatory in any patient presenting with acute diplopia or suspected sixth nerve dysfunction. This examination should include the assessment of visual acuity, intraocular pressure, pupillary light reflexes, and motility deficits to document the degree of lateral rectus weakness. Examination of the anterior and posterior segments of the eye, including a dilated fundus evaluation, is important to detect papilledema or other retinal and choroidal findings that might signal raised intracranial pressure or a systemic inflammatory disease. A complete cranial nerve and neurologic examination should also be conducted since additional nerve involvement can redirect the diagnostic workup toward brainstem, petrous apex, cavernous sinus, or orbital apex pathology [2].
The workup should include laboratory tests such as complete blood count, erythrocyte sedimentation rate (ESR), CRP, syphilis testing, Lyme antibody testing, glucose levels or hemoglobin A1c, thyroid function tests, and myasthenia gravis antibodies [2].
Neuroimaging is recommended in patients with an atypical clinical presentation, age under 50 years, or persistent symptoms beyond three months to rule out compressive, inflammatory, or demyelinating lesions. Brain MRI with gadolinium is preferred, as it can detect small enhancing lesions of individual cranial nerves [10]. Computed tomography of the orbits and skull base may also be considered if bone or sinus pathology is suspected. In our case, MRI ruled out a demyelinating disorder related to TNF-α inhibitor therapy. Careful review of the gadolinium-enhanced images showed neuritis affecting the sixth cranial nerve.
As previously discussed, sixth cranial nerve palsy can have multiple etiologies and the underlying cause largely determines the extent of recovery which may be complete or, in some cases, absent. Persistent paresis can result in chronic esotropia and diplopia, causing significant functional impairment and reduced quality of life in affected patients.
To alleviate the patient’s discomfort during the diagnostic workup, interim measures such as Fresnel prisms may be proposed. Fresnel prisms, thin and flexible plastic lenses affixed to the patient’s glasses, can provide temporary optical compensation for a defined angle of ocular misalignment [2]. The use of prism correction was highly effective in managing the binocular diplopia in our patient.
In the early stages, the use of botulinum toxin can also be useful. Injection of botulinum toxin into the ipsilateral medial rectus (MR) weakens its contractile force, preventing secondary contracture and improving the effectiveness of prismatic correction in cases of marked deviation [2].
For long-term management, ground-in prisms—prisms permanently incorporated into the spectacle lenses—offer a cosmetically superior alternative to Fresnel prisms, albeit at a greater expense. If the palsy does not resolve after 6 to 10 months, a surgical intervention is indicated. The primary objectives are to expand the binocular diplopia-free field, improve abduction, and restore primary-position alignment. Patients with partial left rectus function typically undergo horizontal muscle surgery, whereas complete left rectus palsy requires a distinct strategy such as vertical rectus muscle transposition [11,12].

3.2. Lyme Disease: An Overview

There are three stages of Lyme disease: early localized, early disseminated, and late disseminated. Early localized infection typically occurs days to weeks after the tick bite. It manifests with an expanding erythematous rash called EM that appears at the site of the tick bite and is often accompanied by flu-like symptoms. If left untreated, weeks to months later, the infection can spread hematogenously, leading to early disseminated Lyme disease, which can manifest as multiple EM lesions, facial palsy, meningitis, or carditis. Cranial nerve seven is the most common cranial nerve affected by Lyme disease [13]. Some authors suggest that inflammatory edema may easily damage the facial nerve due to its long intraosseous course [14]. Late disseminated disease occurs months to years after an untreated infection and can lead to encephalomyelitis, encephalopathy, chronic arthritis, or chronic atrophying acrodermatitis [13].
Lyme disease can also produce a wide array of ocular findings. The literature describes follicular conjunctivitis, which may be unilateral or bilateral and occasionally severe enough to cause marked eyelid edema. Other reported presentations include interstitial or ulcerative keratitis, episcleritis, scleritis, orbital myositis, uveitis (anterior, intermediate, or posterior), optic neuritis, and oculomotor palsies affecting the third, fourth, or sixth cranial nerves [15]. These diverse signs underscore the need for ophthalmologists to maintain a high index of suspicion in endemic areas, especially when conventional causes of cranial nerve palsy are not apparent.
Lyme neuroborreliosis encompasses all the neurologic manifestations caused by Borrelia burgdorferi. Early neuroborreliosis manifests during the first two stages of Lyme disease, with Bannwarth syndrome being the most frequent presentation. This syndrome is characterized by the triad of lymphocytic meningitis, cranial nerve damage, and radiculoneuritis. Late neuroborreliosis develops in 5% of untreated patients and can lead to irreversible nerve damage, headache, fatigue, paresthesia, chronic neuropathic pain, and cognitive impairment [4].
Diagnostic criteria for early neuroborreliosis comprise a typical clinical presentation (cranial nerve involvement, meningitis), positive serological testing (ELISA with confirmatory Western blot showing abnormal IgM and/or IgG antibodies), and an inflammatory CSF profile with lymphocytic pleocytosis, evidence of blood–CSF barrier dysfunction, and intrathecal immunoglobulin synthesis. The antibody index, which is the ratio of specific antibodies in CSF compared with serum, has a high specificity (97%) but only moderate sensitivity (40–89%) [16,17].
Borrelia-specific IgM and IgG antibodies typically become detectable approximately 3 weeks and 6 weeks, respectively, after symptoms onset [16]. IgM antibody levels usually decline after one month and may be absent in reinfections. IgG antibodies may remain positive for years and may increase with longer disease duration. Seropositivity can also persist after subclinical Borrelia infection. This persistence likely contributes to the high rate of false positive serologies in endemic areas [16,18]. Furthermore, serum antibody specificity is low [4]. This explains why the patient’s initial positive IgG was initially overlooked.
In neuroborreliosis, intrathecal production of Borrelia-specific antibodies begin around 2 weeks after symptom onset. It is detectable in more than 99% of patients after 6 to 8 weeks [16]. In our case, all diagnostic criteria were met. He presented with early onset neuroborreliosis.
The patient’s headaches warrant careful consideration. Headache is very common, especially in young adults. In the absence of focal neurological signs or systemic symptoms, it usually does not prompt further investigation. However, in this case, the headaches could indicate early central nervous system involvement and may represent the first symptom of neuroborreliosis. They were likely caused by early neuroborreliosis-related meningitis. They may also have been partially related to gradual onset of diplopia, which can induce patient’s discomfort.
Neurologic symptoms worsened over time. Serum IgM antibodies were absent from the beginning, while IgG levels rose between the first and second workups. Lymphocytic pleocytosis with intrathecal antibody synthesis was present. Together, these findings indicate an early onset neuroborrelioses following the initial erythema migrans episode. In this immunocompromised patient, the first doxycycline course was likely insufficient, allowing disease progression. Considering the timeline, patient history and immunologic findings, reinfection seems unlikely.
The treatment for patients with acute neurological disease due to Borrelia infection is based on one of the following regimens for 14 to 21 days: oral doxycycline (100 mg twice daily for adults), ceftriaxone (2 g IV once a day), cefotaxime (2 g IV every eight hours) [16]. According to the EFNS (European Federation of Neurological Societies), the outcomes with the use of oral doxycycline (200 mg daily) and IV ceftriaxone (2 g daily) for 14 days were the same [4].
Treatment depends on disease severity, patient tolerance, comorbidities, and local resistance patterns. In our case, the patient was receiving infliximab for Crohn’s disease and was therefore immunocompromised. Several case reports have described early Lyme borreliosis in immunocompromised patients [19]. His immunocompromised state may have contributed to the atypical presentation and to disease progression despite appropriately treated erythema migrans.
Given the risks of discontinuing infliximab and the severity of the condition, we continued the immunosuppressive therapy and extended the antibiotic therapy to 28 days. Similarly, a case report of erythema migrans in a patient treated with infliximab and methotrexate suggested that TNF-α blockers do not need to be discontinued if antibiotic therapy is prolonged and close follow-up is ensured [20].
In contrast to the more typical involvement of the facial nerve in Lyme disease, our patient presented initially with a sixth nerve palsy. Such an initial presentation is uncommon and highlights both the broad spectrum of manifestations of neuroborreliosis and the importance of maintaining a broad differential diagnostic when evaluating cranial nerve palsies especially in immunocompromised patients. For ophthalmologists and neurologists practicing in endemic regions, maintaining awareness of Lyme disease as a potential cause is critical. Early recognition and appropriate antibiotic therapy not only resolve acute symptoms but also prevent chronic complications.

4. Conclusions

The severity of etiologies for sixth cranial nerve paralysis varies greatly, ranging from relatively benign microvascular ischemia to life-threatening intracranial masses or infectious causes. When confronted with an acquired sixth nerve palsy, ophthalmologists must perform a thorough and detailed medical history and comprehensive examination including cranial nerve assessment. Neuroimaging is mandatory in patients under 50 years old. Additional workup including serologic testing for infectious etiologies should be considered. Results of the workup should be reviewed if they do not match the clinical picture.
Close collaboration between neuroradiologists, laboratories, neurologists and ophthalmologists is essential. Lyme disease should be considered as a differential diagnosis in isolated or multiple cranial neuropathies, especially with headaches or meningitis. Careful history-taking, including chronic medications and tick exposure, can prevent diagnostic delays.
Immunosuppressed patients may present with atypical cranial neuropathies or altered disease progression; therefore, it is important to broaden the differential diagnosis and ensure close clinical follow-up. Especially in this population, early diagnosis and prompt initiation of appropriate antibiotic treatment are crucial to prevent disease progression and neurologic sequelae, including chronic complications. Our patient fully recovered after a modified course of doxycycline, highlighting the importance of timely recognition and individualized treatment. Positive Lyme serologies should not be dismissed as false positives without considering the clinical context, the patient’s immunologic status and regional epidemiology.

Author Contributions

Conceptualization, Y.L. and A.-C.C.; methodology, A.-C.C. and J.-M.R.; resources, Y.L. and A.-C.C.; writing—original draft preparation, Y.L.; writing—review and editing, Y.L. and A.-C.C.; supervision A.-C.C. and J.-M.R. All authors have read and agreed to the published version of the manuscript.

Funding

This research received no external funding.

Institutional Review Board Statement

Ethical review and approval were waived for this study due to its nature as a single-patient case report describing standard-of-care treatment, which does not require prior Ethics Committee/IRB approval under local regulations and institutional policy.

Informed Consent Statement

Written informed consent has been obtained from the patient to publish this paper.

Data Availability Statement

The original contributions presented in this case report are included in the article. Further inquiries can be directed to the corresponding authors.

Acknowledgments

During the preparation of this manuscript, the authors used ChatGPT-5.2 (GenAI) to generate Figure 9. The authors have reviewed and edited the output and take full responsibility for the content of this publication.

Conflicts of Interest

The authors declare no conflicts of interest.

Abbreviations

The following abbreviations are used in this manuscript:
CFSCerebrospinal fluid
CRPC-reactive protein
CNCranial nerve
EFNSEuropean Federation of Neurological Societies
EMErythema migrans
ESRErythrocyte sedimentation rate
HIVHuman Immunodeficiency Virus
TNF-αTumor necrosis factor-α

References

  1. Thomas, C.; Dawood, S. Cranial Nerve VI Palsy (Abducens Nerve). Disease-a-Month 2021, 67, 101133. [Google Scholar] [CrossRef] [PubMed]
  2. Azarmina, M.; Azarmina, H. The Six Syndromes of the Sixth Cranial Nerve. J. Ophthalmic Vis. Res. 2013, 8, 160. [Google Scholar] [PubMed]
  3. Philippe, C.; Geebelen, L.; Hermy, M.R.G.; Dufrasne, F.E.; Tersago, K.; Pellegrino, A.; Fonville, M.; Sprong, H.; Mori, M.; Lernout, T. The Prevalence of Pathogens in Ticks Collected from Humans in Belgium, 2021, versus 2017. Parasites Vectors 2024, 17, 380. [Google Scholar] [CrossRef] [PubMed]
  4. Mygland, Å.; Ljøstad, U.; Fingerle, V.; Rupprecht, T.; Schmutzhard, E.; Steiner, I. EFNS Guidelines on the Diagnosis and Management of European Lyme Neuroborreliosis. Eur. J. Neurol. 2010, 17, 8. [Google Scholar] [CrossRef] [PubMed]
  5. Wall, M.; George, D. Idiopathic Intracranial Hypertension. A Prospective Study of 50 Patients. Brain 1991, 114, 155–180. [Google Scholar] [PubMed]
  6. Jung, E.H.; Kim, S.-J.; Lee, J.Y.; Cho, B.-J. The Incidence and Etiology of Sixth Cranial Nerve Palsy in Koreans: A 10-Year Nationwide Cohort Study. Sci. Rep. 2019, 9, 18419. [Google Scholar] [CrossRef]
  7. Shrader, E.C.; Schlezinger, N.S. Neuro-Ophthalmologic Evaluation of Abducens Nerve Paralysis. Arch. Ophthalmol. 1960, 63, 84–91. [Google Scholar] [CrossRef]
  8. Patel, S.V.; Mutyala, S.; Leske, D.A.; Hodge, D.O.; Holmes, J.M. Incidence, Associations, and Evaluation of Sixth Nerve Palsy Using a Population-Based Method. Ophthalmology 2004, 111, 369–375. [Google Scholar] [CrossRef] [PubMed]
  9. Kemanetzoglou, E.; Andreadou, E. CNS Demyelination with TNF-α Blockers. Curr. Neurol Neurosci. Rep. 2017, 17, 36. [Google Scholar] [CrossRef] [PubMed]
  10. Elder, C.; Hainline, C.; Galetta, S.L.; Balcer, L.J.; Rucker, J.C. Isolated Abducens Nerve Palsy: Update on Evaluation and Diagnosis. Curr. Neurol Neurosci. Rep. 2016, 16, 69. [Google Scholar] [CrossRef] [PubMed]
  11. Akbari, M.R.; Masoomian, B.; Mirmohammadsadeghi, A.; Sadeghi, M. A Review of Transposition Techniques for Treatment of Complete Abducens Nerve Palsy. J. Curr. Ophthalmol. 2021, 33, 236–246. [Google Scholar] [CrossRef] [PubMed]
  12. Hakimeh, C.; Shahraki, K.; Courtois, L.; Suh, D.W. Surgical Management of Chronic Sixth Cranial Nerve Palsy: Case Report and Literature Review. Med. Hypothesis Discov. Innov. Ophthalmol. 2024, 13, 55–62. [Google Scholar] [CrossRef] [PubMed]
  13. Sriram, A.; Lessen, S.; Hsu, K.; Zhang, C. Lyme Neuroborreliosis Presenting as Multiple Cranial Neuropathies. Neuro-Ophthalmology 2022, 46, 131–135. [Google Scholar] [CrossRef] [PubMed]
  14. Eiffert, H.; Karsten, A.; Schlott, T.; Ohlenbusch, A.; Laskawi, R.; Hoppert, M.; Christen, H.-J. Acute Peripheral Facial Palsy in Lyme Disease—A Distal Neuritis at the Infection Site. Neuropediatrics 2004, 35, 267–273. [Google Scholar] [CrossRef] [PubMed]
  15. Lesser, R.L. Ocular Manifestations of Lyme Disease. Am. J. Med. 1995, 98, 60S–62S. [Google Scholar] [CrossRef] [PubMed]
  16. Rauer, S.; Kastenbauer, S.; Hofmann, H.; Fingerle, V.; Huppertz, H.-I.; Hunfeld, K.-P.; Krause, A.; Ruf, B.; Dersch, R.; Consensus Group. Guidelines for Diagnosis and Treatment in Neurology—Lyme Neuroborreliosis. GMS Ger. Med. Sci. 2020, 18, Doc03. [Google Scholar] [CrossRef] [PubMed]
  17. Chaturvedi, A.; Baker, K.; Jeanmonod, D.; Jeanmonod, R. Lyme Disease Presenting with Multiple Cranial Nerve Deficits: Report of a Case. Case Rep. Emerg. Med. 2016, 2016, 7218906. [Google Scholar] [CrossRef] [PubMed]
  18. Hammers-Berggren, S.; Lebech, A.M.; Karlsson, M.; Svenungsson, B.; Hansen, K.; Stiernstedt, G. Serological Follow-up after Treatment of Patients with Erythema Migrans and Neuroborreliosis. J. Clin. Microbiol. 1994, 32, 1519–1525. [Google Scholar] [CrossRef] [PubMed]
  19. Merkac, M.I.; Tomazic, J.; Strle, F. Lyme Neuroborreliosis in a Patient Treated with TNF-Alpha Inhibitor. Infection 2015, 43, 759–762. [Google Scholar] [CrossRef] [PubMed]
  20. Bonnet, N.; Guis, S.; Drancourt, M.; Brouqui, P.; Berbis, P. Borreliosis in a Patient Treated with anti-TNFα Therapy: First Case. Acad. Dermatol. Venereol. 2011, 25, 367–368. [Google Scholar] [CrossRef] [PubMed]
Figure 1. Orthoptic examination at the first visit: (A). Hess–Weiss chart showing a decreased function of the left lateral rectus muscle and a marked overaction (Red arrows) of the medial rectus in the right eye. (B). Ocular deviation figure of the paretic left eye.
Figure 1. Orthoptic examination at the first visit: (A). Hess–Weiss chart showing a decreased function of the left lateral rectus muscle and a marked overaction (Red arrows) of the medial rectus in the right eye. (B). Ocular deviation figure of the paretic left eye.
Jcto 04 00003 g001
Figure 2. Peripapillary retinal nerve fiber layer optical coherence tomography (Cirrhus OCT, Carl Zeiss Méditec, Dublin, CA, USA) showing normal values for the patient’s age. OD: Oculus Dexter (Right Eye); OS: Oculus sinister (Left Eye); OU: Oculus Uterque (Both Eyes); ONH: Optic Nerve Head; RNFL: Retinal Nerve Fiber Layer; TEMP: Temporal; SUP: Superior; NAS: Nasal; INF: Inferior; T: Temporal; S: Superior; N: Nasal; I: Inferior.
Figure 2. Peripapillary retinal nerve fiber layer optical coherence tomography (Cirrhus OCT, Carl Zeiss Méditec, Dublin, CA, USA) showing normal values for the patient’s age. OD: Oculus Dexter (Right Eye); OS: Oculus sinister (Left Eye); OU: Oculus Uterque (Both Eyes); ONH: Optic Nerve Head; RNFL: Retinal Nerve Fiber Layer; TEMP: Temporal; SUP: Superior; NAS: Nasal; INF: Inferior; T: Temporal; S: Superior; N: Nasal; I: Inferior.
Jcto 04 00003 g002
Figure 3. Ganglion cell complex (inner nuclear layer + ganglion cells layer) optical coherence tomography (Cirrhus OCT, Carl Zeiss Méditec, Dublin, CA, USA) showing normal values for the patient’s age. OD: Oculus Dexter (Right Eye); OS: Oculus sinister (Left Eye); OU: Oculus Uterque (Both Eyes); GCL: Ganglion Cell Layer; IPL: Internal Plexus Layer.
Figure 3. Ganglion cell complex (inner nuclear layer + ganglion cells layer) optical coherence tomography (Cirrhus OCT, Carl Zeiss Méditec, Dublin, CA, USA) showing normal values for the patient’s age. OD: Oculus Dexter (Right Eye); OS: Oculus sinister (Left Eye); OU: Oculus Uterque (Both Eyes); GCL: Ganglion Cell Layer; IPL: Internal Plexus Layer.
Jcto 04 00003 g003
Figure 4. Automated 24-2 visual field (Humphrey, Carl Zeiss, Méditec, Dublin, CA, USA) showing normal results. OD: Oculus Dexter (Right Eye); OS: Oculus sinister (Left Eye); VFI: Visual Field Index; MD: Mean Deviation; PSD: Pattern Standard Deviation.
Figure 4. Automated 24-2 visual field (Humphrey, Carl Zeiss, Méditec, Dublin, CA, USA) showing normal results. OD: Oculus Dexter (Right Eye); OS: Oculus sinister (Left Eye); VFI: Visual Field Index; MD: Mean Deviation; PSD: Pattern Standard Deviation.
Jcto 04 00003 g004
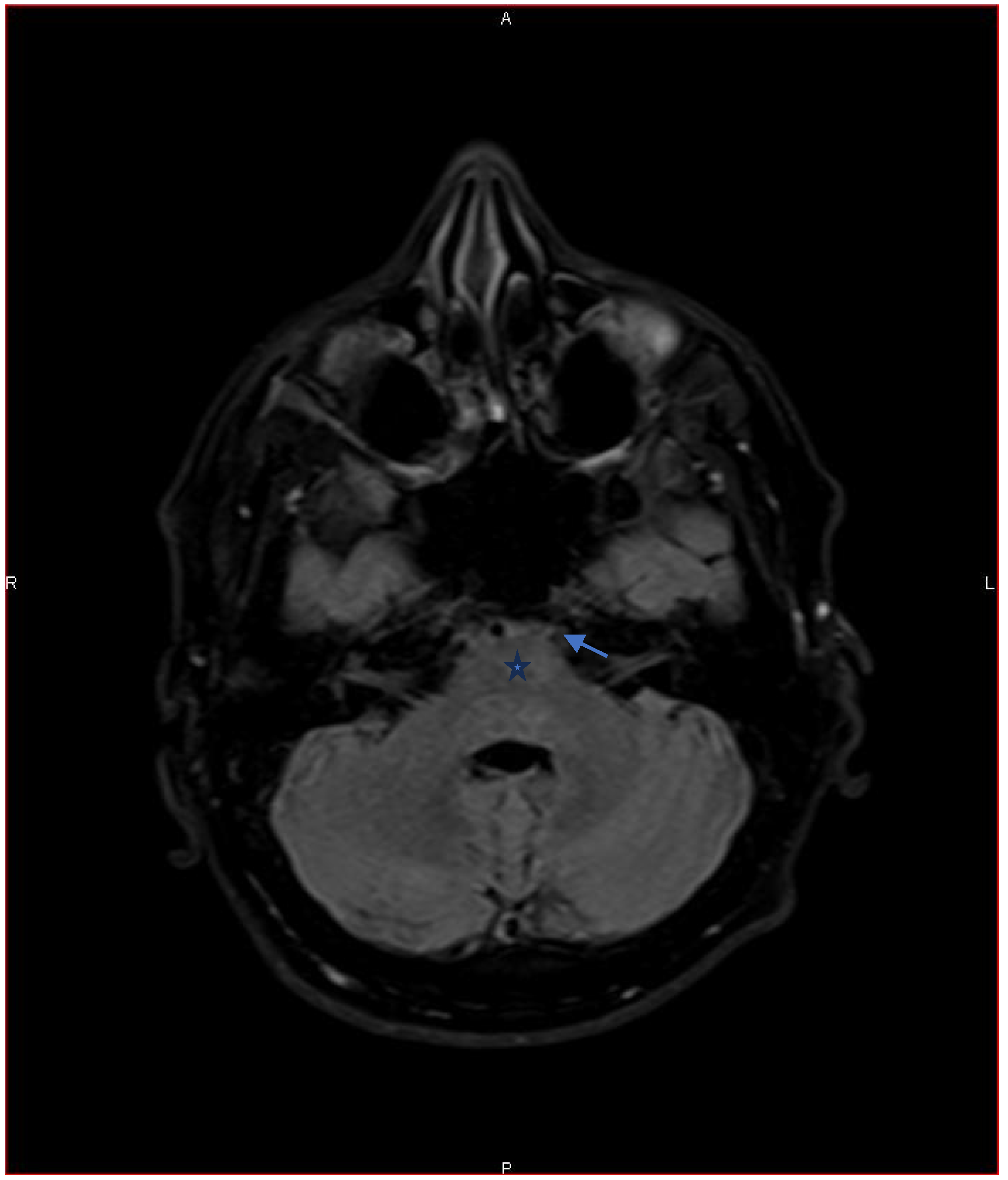
Figure 5. Axial FLAIR T2 without gadolinium MRI focusing on the region of the pons and reported normal. The arrow shows the emergence of the sixth left cranial nerve. The star shows the pons.
Figure 5. Axial FLAIR T2 without gadolinium MRI focusing on the region of the pons and reported normal. The arrow shows the emergence of the sixth left cranial nerve. The star shows the pons.
Jcto 04 00003 g005
Figure 6. Axial T1 with gadolinium MRI focused on the region of the pons. The arrow shows the emergence of the enhanced sixth left cranial nerve. The star shows the pons.
Figure 6. Axial T1 with gadolinium MRI focused on the region of the pons. The arrow shows the emergence of the enhanced sixth left cranial nerve. The star shows the pons.
Jcto 04 00003 g006
Figure 7. Orthoptic examination at the follow-up visit after completing doxycycline: (A). Hess–Weiss chart showing normalization of the left eye abduction. (B). Ocular deviation figure of the former paretic left eye.
Figure 7. Orthoptic examination at the follow-up visit after completing doxycycline: (A). Hess–Weiss chart showing normalization of the left eye abduction. (B). Ocular deviation figure of the former paretic left eye.
Jcto 04 00003 g007
Figure 8. Timeline illustrating disease evolution.
Figure 8. Timeline illustrating disease evolution.
Jcto 04 00003 g008
Figure 9. Course of the sixth cranial nerve. During the preparation of this manuscript, the authors used ChatGPT-5.2 (GenAI) to generate this figure.
Figure 9. Course of the sixth cranial nerve. During the preparation of this manuscript, the authors used ChatGPT-5.2 (GenAI) to generate this figure.
Jcto 04 00003 g009
Disclaimer/Publisher’s Note: The statements, opinions and data contained in all publications are solely those of the individual author(s) and contributor(s) and not of MDPI and/or the editor(s). MDPI and/or the editor(s) disclaim responsibility for any injury to people or property resulting from any ideas, methods, instructions or products referred to in the content.

Share and Cite

MDPI and ACS Style

Lahrichi, Y.; Rakic, J.-M.; Chapelle, A.-C. Inaugural Sixth Nerve Palsy in a Patient with Neuroborreliosis: A Case Report. J. Clin. Transl. Ophthalmol. 2026, 4, 3. https://doi.org/10.3390/jcto4010003

AMA Style

Lahrichi Y, Rakic J-M, Chapelle A-C. Inaugural Sixth Nerve Palsy in a Patient with Neuroborreliosis: A Case Report. Journal of Clinical & Translational Ophthalmology. 2026; 4(1):3. https://doi.org/10.3390/jcto4010003

Chicago/Turabian Style

Lahrichi, Yasmine, Jean-Marie Rakic, and Anne-Catherine Chapelle. 2026. "Inaugural Sixth Nerve Palsy in a Patient with Neuroborreliosis: A Case Report" Journal of Clinical & Translational Ophthalmology 4, no. 1: 3. https://doi.org/10.3390/jcto4010003

APA Style

Lahrichi, Y., Rakic, J.-M., & Chapelle, A.-C. (2026). Inaugural Sixth Nerve Palsy in a Patient with Neuroborreliosis: A Case Report. Journal of Clinical & Translational Ophthalmology, 4(1), 3. https://doi.org/10.3390/jcto4010003

Article Metrics

Article metric data becomes available approximately 24 hours after publication online.
Back to TopTop