How to Prevent Peritoneal Dialysis Catheter Tip Migration: A Japanese Perspective
Abstract
1. Introduction
2. The Procedures to Prevent PD Catheter Tip Migration
2.1. Surgical Technique in Laparotomy
2.1.1. Modification of Deep Cuff Fixation
2.1.2. Insert Position
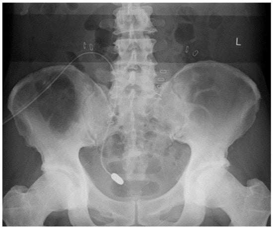
2.2. Laparoscopic Catheter Placement
2.3. Peritoneal Wall Anchor Technique (PWAT)
2.4. Catheter Type Selection
3. Conclusions
Author Contributions
Funding
Acknowledgments
Conflicts of Interest
References
- Segall, L.; Nistor, I.; Van Biesen, W.; Brown, E.A.; Heaf, J.G.; Lindley, E.; Farrington, K.; Covic, A. Dialysis modality choice in elderly patients with end-stage renal disease: A narrative review of the available evidence: Table 1. Nephrol. Dial. Transplant. 2015, 32, gfv411. [Google Scholar] [CrossRef] [PubMed]
- Chang, Y.-K.; Hsu, C.-C.; Hwang, S.-J.; Chen, P.-C.; Huang, C.-C.; Li, T.-C.; Sung, F.-C. A Comparative Assessment of Survival Between Propensity Score-Matched Patients With Peritoneal Dialysis and Hemodialysis in Taiwan. Medicine 2012, 91, 144–151. [Google Scholar] [CrossRef] [PubMed]
- Yeates, K.; Zhu, N.; Vonesh, E.; Trpeski, L.; Blake, P.; Fenton, S. Hemodialysis and peritoneal dialysis are associated with similar outcomes for end-stage renal disease treatment in Canada. Nephrol. Dial. Transplant. 2012, 27, 3568–3575. [Google Scholar] [CrossRef]
- Lukowsky, L.R.; Mehrotra, R.; Kheifets, L.; Arah, O.A.; Nissenson, A.R.; Kalantar-Zadeh, K. Comparing Mortality of Peritoneal and Hemodialysis Patients in the First 2 Years of Dialysis Therapy: A Marginal Structural Model Analysis. Clin. J. Am. Soc. Nephrol. 2013, 8, 619–628. [Google Scholar] [CrossRef]
- Kumar, V.A.; Sidell, M.A.; Jones, J.P.; Vonesh, E.F. Survival of propensity matched incident peritoneal and hemodialysis patients in a United States health care system. Kidney Int. 2014, 86, 1016–1022. [Google Scholar] [CrossRef]
- Tam, P. Peritoneal Dialysis and Preservation of Residual Renal Function. Perit. Dial. Int. 2009, 29, 108–110. [Google Scholar] [CrossRef]
- Osako, K.; Sakurada, T.; Koitabashi, K.; Sueki, S.; Shibagaki, Y. Early Postoperative Complications of Peritoneal Dialysis Catheter Surgery Conducted by Nephrologists: A Single-Center Experience Over an Eight-Year Period. Adv. Perit. Dial. Conf. Perit. Dial. 2017, 33, 26–30. [Google Scholar]
- Washida, N.; Aikawa, K.; Inoue, S.; Kasai, T.; Shinozuka, K.; Morimoto, K.; Hosoya, K.; Hayashi, K.; Itoh, H. Impact of Peritoneal Dialysis Catheter Insertion by a Nephrologist: Results of a Questionnaire Survey of Patients and Nurses. Adv. Perit. Dial. Conf. Perit. Dial. 2015, 31, 59–68. [Google Scholar]
- Asif, A.; Pflederer, T.A.; Vieira, C.F.; Diego, J.M.; Roth, D.A.; Agarwal, A. American Society of Diagnostic and Interventional Nephrology Section Editor: Stephen Ash: Does Catheter Insertion by Nephrologists Improve Peritoneal Dialysis Utilization? A Multicenter Analysis. Semin. Dial. 2008, 18, 157–160. [Google Scholar] [CrossRef]
- Crabtree, J. Selected best demonstrated practices in peritoneal dialysis access. Kidney Int. 2006, 70, S27–S37. [Google Scholar] [CrossRef][Green Version]
- Crabtree, J.H. Peritoneal Dialysis Catheter Implantation: Avoiding Problems and Optimizing Outcomes. Semin. Dial. 2014, 28, 12–15. [Google Scholar] [CrossRef] [PubMed]
- Tanno, A. Peritoneal Dialysis Catheter Insertion Surgery. In Text Book of Peritoneal Dialysis; Jun, M., Ed.; Japanese Society for Peritoneal Dialysis: Tokyo, Japan, 2020; pp. 48–53. [Google Scholar]
- Zhang, L.; Liu, J.; Shu, J.; Hu, J.; Yu, X.; Mao, H.; Ren, H.; Hong, H.; Xing, C. Low-site peritoneal catheter implantation decreases tip migration and omental wrapping. Perit. Dial. Int. 2011, 31, 202–204. [Google Scholar] [CrossRef] [PubMed]
- Gong, L.-F.; Lu, J.-K.; Tang, W.-G.; Xu, W.; Xu, M.; Ma, G.-X. Peritoneal dialysis catheter insertion using a very-low-site approach: A 5-year experience. Int. Urol. Nephrol. 2019, 51, 1053–1058. [Google Scholar] [CrossRef]
- Gong, L.; Xu, W.; Tang, W.; Lu, J.; Li, Y.; Jiang, H.; Li, H. Low-site versus traditional peritoneal dialysis catheterization. Medicine 2020, 99, e23311. [Google Scholar] [CrossRef]
- Ogawa, K.; Maruyama, Y.; Matsuo, N.; Tanno, Y.; Ohkido, I.; Hirano, K.; Ikeda, M.; Yokoo, T. The efficacy and safety of a novel method of peritoneal dialysis catheter insertion from the McBurney point. Ren. Replace. Ther. 2020, 6, 1–6. [Google Scholar] [CrossRef]
- Kume, H.; Miyazaki, H.; Nagata, M.; Ishikawa, A.; Ishibashi, Y.; Fujita, T.; Homma, Y. Peritoneal Fixation Prevents Dislocation of Tenckhoff Catheter. Perit. Dial. Int. 2011, 31, 694–697. [Google Scholar] [CrossRef]
- Chen, Y.; Shao, Y.; Xu, J. The Survival and Complication Rates of Laparoscopic Versus Open Catheter Placement in Peritoneal Dialysis Patients. Surg. Laparosc. Endosc. Percutaneous Tech. 2015, 25, 440–443. [Google Scholar] [CrossRef]
- Sakurada, T.; Ueda, A.; Komukai, D.; Uchiyama, K.; Tsujimoto, Y.; Yuasa, H.; Ryuzaki, M.; Ito, Y.; Tomo, M.; Nakamoto, H. Outcomes after peritoneal dialysis catheter placement by laparoscopic surgery versus open surgery: Systematic review and meta-analysis. Ren. Replace. Ther. 2019, 5, 1–13. [Google Scholar] [CrossRef]
- Shrestha, B.M.; Shrestha, D.; Kumar, A.; Shrestha, A.; Boyes, S.A.; Wilkie, M. Advanced Laparoscopic Peritoneal Dialysis Catheter Insertion: Systematic Review and Meta-Analysis. Perit. Dial. Int. 2018, 38, 163–171. [Google Scholar] [CrossRef]
- Working Group on Revision of Peritoneal Dialysis Guidelines, J.; Therapy, S. for D. Part 2. In 2019 JSDT Giudelines for Peritoneal Dialysis; Japanese Society for Dialysis Therapy, Ed.; Igakutosho Syuppann: Tokyo, Japan, 2019; pp. 115–128. (In Japanese) [Google Scholar]
- Fukasawa, M.; Matsushita, K.; Kamiyama, M.; Mochizuki, T.; Mikami, Y.; Zakouji, H.; Araki, I.; Takeda, M. A new peritoneal wall anchor technique (PWAT) for peritoneal catheter malposition. Nihon Toseki Igakkai Zasshi 2006, 39, 235–242. [Google Scholar] [CrossRef][Green Version]
- Fukasawa, M.; Matsushita, K.; Teramoto, S.; Miyamoto, T.; Zakouji, H.; Araki, I.; Tanabe, N.; Takeda, M. Two Catheter Case Reports of Peritoneal by Wall Anchor Technique for Peritoneal Tip Translocation Using Laparoscopy; Department of Urology, Faculty of Medicine, Nihon Toseki Igakkai Zasshi: Tokyo, Japan, 2003; pp. 1567–1572. [Google Scholar]
- Oka, H.; Yamada, S.; Kamimura, T.; Hara, M.; Hirashima, Y.; Matsueda, S.; Shukuri, T.; Aihara, S.; Koresawa, M.; Eriguchi, M.; et al. Modified Simple Peritoneal Wall Anchor Technique (Pwat) in Peritoneal Dialysis. Perit. Dial. Int. 2017, 37, 103–108. [Google Scholar] [CrossRef]
- Hagen, S.M.; Lafranca, J.; Ijzermans, J.N.; Dor, F.J. A systematic review and meta-analysis of the influence of peritoneal dialysis catheter type on complication rate and catheter survival. Kidney Int. 2014, 85, 920–932. [Google Scholar] [CrossRef]
- Chow, K.M.; Wong, S.S.M.; Ng, J.K.C.; Cheng, Y.L.; Leung, C.B.; Pang, W.F.; Fung, W.W.S.; Szeto, C.C.; Li, P.K.T. Straight Versus Coiled Peritoneal Dialysis Catheters: A Randomized Controlled Trial. Am. J. Kidney Dis. 2020, 75, 39–44. [Google Scholar] [CrossRef]
- Xie, J.; Kiryluk, K.; Ren, H.; Zhu, P.; Huang, X.; Shen, P.; Xu, T.; Chen, X.; Chen, N. Coiled Versus Straight Peritoneal Dialysis Catheters: A Randomized Controlled Trial and Meta-analysis. Am. J. Kidney Dis. 2011, 58, 946–955. [Google Scholar] [CrossRef]
- Di Paolo, N.; Petrini, G.; Garosi, G.; Buoncristiani, U.; Brardi, S.; Monaci, G. A New Self-Locating Peritoneal Catheter. Perit. Dial. Int. 1996, 16, 623–627. [Google Scholar] [CrossRef]
- Di Paolo, N.; Capotondo, L.; Brardi, S.; Nicolai, G. The Self-Locating Peritoneal Catheter: Fifteen Years of Experience. Perit. Dial. Int. 2010, 30, 504–505. [Google Scholar] [CrossRef] [PubMed]
- Bergamin, B.; Senn, O.; Corsenca, A.; Dutkowski, P.; Weber, M.; Wüthrich, R.P.; Segerer, S.; Thut, M.P. Finding the Right Position: A Three-Year, Single-Center Experience with the “Self-Locating” Catheter. Perit. Dial. Int. 2010, 30, 519–523. [Google Scholar] [CrossRef]
- Ito, M. Experimetal Use of Self-Locating Catheter. Kidney Dial. 2012, 73, 184–185. [Google Scholar]



| Methods | Difficulty Level for Nephrologist | Specialized Equipment | Reference |
|---|---|---|---|
| Surgical technique in laparotomy | |||
| Modification of deep cuff fixation | Easy | Not required | [12] |
| Low site approach | Slightly difficult | Not required | [13,14,15,16,17] |
| Laparoscopic catheter placement | Difficult | Required | [18,19] |
| Peritoneal wall anchor technique (PWAT) | |||
| Original PWAT | Difficult | Required | [22,23] |
| Modified PWAT | Easy | Not required | [24] |
| Catheter type selection | |||
| Self-locating catheter | Easy | Required | [28,29,30,31] |
Publisher’s Note: MDPI stays neutral with regard to jurisdictional claims in published maps and institutional affiliations. |
© 2021 by the authors. Licensee MDPI, Basel, Switzerland. This article is an open access article distributed under the terms and conditions of the Creative Commons Attribution (CC BY) license (https://creativecommons.org/licenses/by/4.0/).
Share and Cite
Ito, M.; Koshika, M. How to Prevent Peritoneal Dialysis Catheter Tip Migration: A Japanese Perspective. Kidney Dial. 2021, 1, 29-34. https://doi.org/10.3390/kidneydial1010005
Ito M, Koshika M. How to Prevent Peritoneal Dialysis Catheter Tip Migration: A Japanese Perspective. Kidney and Dialysis. 2021; 1(1):29-34. https://doi.org/10.3390/kidneydial1010005
Chicago/Turabian StyleIto, Minoru, and Masataka Koshika. 2021. "How to Prevent Peritoneal Dialysis Catheter Tip Migration: A Japanese Perspective" Kidney and Dialysis 1, no. 1: 29-34. https://doi.org/10.3390/kidneydial1010005
APA StyleIto, M., & Koshika, M. (2021). How to Prevent Peritoneal Dialysis Catheter Tip Migration: A Japanese Perspective. Kidney and Dialysis, 1(1), 29-34. https://doi.org/10.3390/kidneydial1010005

