Next Article in Journal
Langerhans Cell Histiocytosis-Associated Pulmonary Adenocarcinoma: A Word of Caution during Molecular Determinations
Previous Article in Journal
The Implementation of Laboratory Information Management System in Multi-Site Genetics Study in Africa: The Challenges and Up-Scaling Opportunities
 
 
Font Type:
Arial Georgia Verdana
Font Size:
Aa Aa Aa
Line Spacing:
Column Width:
Background:
Article

Adenosquamous Carcinomas and Mucinous Adenocarcinoma of the Minor Salivary Glands: Immunohistochemical and Molecular Insights

by
Bacem Khalele
1,*,
Juan B. Laforga
2,
Karol Kajo
3 and
Katarína Kajová Macháleková
3
1
Department of Pathology, Cairo University, Giza 12613, Egypt
2
Department of Pathology, Hospital de Dénia, Ptda. Beniadlá, 0700 Denia, Spain
3
Department of Pathology, St. Elisabeth Cancer Institute, 812 50 Bratislava, Slovakia
*
Author to whom correspondence should be addressed.
J. Mol. Pathol. 2022, 3(4), 273-285; https://doi.org/10.3390/jmp3040023
Submission received: 12 September 2022 / Revised: 11 October 2022 / Accepted: 28 October 2022 / Published: 3 November 2022

Abstract

There is confusion about the diagnosis, histogenesis and taxonomical efforts regarding adenosquamous carcinomas (ASCs) and mucinous adenocarcinomas (MACs), especially with calls for reconsidering the nature of high-grade mucoepidermoid carcinoma (MEC). This study aims to compare the genetic profiles of ASCs and MACs that have been previously reported in the literature and investigate if either ASC or MAC is closer in genetic mutations to high-grade MEC. Systematic searches in the NCBI, Web of Science, and Scopus databases were performed between January 2000 and August 2022. The retrieved genetic mutations were processed and annotated. Protein–protein network analysis was conducted for each neoplasm. The results were viewed and discussed in terms of molecular oncogenesis of ASCs and MACs at different topographies. Molecular profile mapping was conducted by annotating all the retrieved genes for each neoplasm using genetic network analysis (Cystoscape software program). The genetic profile of each lesion was compared to that of high-grade MEC. To conclude, both genetic profiles do not tend to intersect specifically with high-grade MEC, except for the generic mutations commonly detected in all high-grade head and neck tumors. However, the availability of data on the molecular profile of each lesion limits the generalizability of the findings of this study.

1. Introduction

Adenosquamous carcinomas (ASCs) of the minor salivary glands elude all taxonomical efforts because their diverse morphologic features, disparate molecular involvement, and histogenesis remain controversial. Mucinous adenocarcinomas (MACs) pose the same challenge because they have no specific immunohistochemical profiles and are diagnosed by excluding other salivary-type mucin-producing carcinomas.
Controversy about the proper classification of these lesions is fierce, especially since they show a strong predilection for affecting minor salivary glands. It has been found recently that ASCs of the lung resemble pulmonary adenocarcinomas genetically; both harbor an EGFR mutation [1]. Additionally, the KRAS mutation characterizes pancreatic ASCs, causing confusion about the impact of topography on the cytogenetic profile of ASCs as a whole. EGFR and KRAS mutation, both characteristic of adenocarcinoma, have been reported in adenosquamous carcinoma (ASC) of the lung. Using microdissection molecular analysis has shown identical mutations in both morphologic components of ASC, leading to a phenotypically heterogeneous but genetically clonal tumor [2,3,4].
The ASC profiles of the oropharynx [5], salivary glands [6], intestines [7], and cervix [8,9], among others [10], are also distinct. The diverse adnexal and parenchymal profiles of ASCs pose fierce taxonomical controversy, especially head and neck ASCs. Like well-differentiated squamous cell carcinomas (SCCs), ASCs tend to affect the surface epithelium more than the glandular epithelium and are often associated with keratin pearl formation and carcinoma in situ [11]. Histologically, ASCs of lung and minor salivary glands show similar morphologic features, as both originate from the surface mucosa and reveal mixed components, separate areas of adenocarcinoma, and squamous cell carcinoma arising from the surface epithelium. Similar to ASC of the lung, the prognosis of ASCs of the minor salivary glands is poor. Furthermore, ASCs express DeltaNp63 and mucin markers differently [12,13,14]. ASCs have even been considered variants of SCCs [5,15].
On the other hand, salivary-type MACs have not been well defined. Their blurry conceptualization relates to the frequently changing taxonomy and to the blurry characterization of their morphologic features. Although the World Health Organization (WHO) has finally officialized a histologic and molecular description of MACs, the reported cases in the medical literature rarely align with the WHO’s definition [16]. Complicating the matter, the expression of mucin markers has confused ASCs with mucoepidermoid carcinomas (MECs), especially MAML2-negative high-grade MECs, mucinous adenocarcinomas, and other mucin-rich carcinomas [17,18,19,20], which demonstrate a remarkable basal component with a squamoid basophilic pattern [21]. This study aims to compare the genetic profiles of ASCs and MACs that have been previously reported in the literature and investigate if either ASC or MAC is closer in genetic mutations to high-grade MEC.

2. Materials and Methods

2.1. Reviewing the Literature

Systematic searches in the PubMed (Medline), Web of Science, and Scopus databases were performed between January 2000 and August 2022. The retrieved genetic mutations were processed and annotated. Protein–protein network analysis was conducted for each neoplasm. The results were viewed and discussed in terms of molecular oncogenesis. The retrieved genetic mutations were processed and annotated. Protein–protein network analysis was conducted for each neoplasm. The results were viewed and discussed in terms of molecular oncogenesis.
Search strategy
The selected databases were searched using a string query, which consisted of “head and neck * carcinoma,” AND “gene”, AND/OR “molecular*, AND/OR “adenosquamous”, AND/OR “adenocarcinoma” AND “mucin*” as medical subject headings.
Criteria of Inclusion
The search results were manually filtered to include the following.
  • All research papers must be original research articles that explore cases empirically.
  • All articles must be published in English.
  • All articles must investigate the diagnosed case molecularly.
  • All articles must justify the diagnosis of the lesion.
  • All published cases must include adequate clinical and histologic descriptions.
  • All published cases must report information about the patient survival.
  • Reporting molecular or immunohistochemical investigations, or both. is recommended.
Criteria of Exclusion
The scope of this review does not include the following:
  • Articles that include an abstract only.
  • Studies that reviewed previous works without reporting new cases.
  • Studies that investigated major salivary gland lesions or extra-salivary neoplasms.

2.2. Collating Molecular Findings in Non-Salivary ASCs and MACs

Molecular profile mapping was conducted by annotating all the retrieved genes to create for each neoplasm using genetic network analysis (Cystoscape software program). The number of molecularly investigated cases of non-salivary ASCs is much greater than that of the ASCs of minor salivary glands. Both of these cases show similar histologic features and diverse molecular profiling. The same holds true with non-salivary and salivary MACs. Therefore, we create a genetic profile for each lesion to infer implications concerning the salivary-type MACs. After conducting the genetic network analysis, we relate the retrieved genes to the corresponding pathways. Finally, the genetic profiles of salivary-type lesions are compared to those of high-grade MECs, which were previously reported by Wang et al. [22].

3. Results

3.1. Immunohistochemical and Molecular Findings in Salivary ASCs and MACs

From previously published 34 articles [5,12,15,23,24,25,26,27,28,29,30,31,32,33,34,35,36,37,38,39,40,41,42,43,44,45,46,47,48,49,50,51,52,53], we retrieved the previously reported results on the ASCs and MACs of the minor salivary glands (Table 1). The reported results demonstrate that the diagnosis of ASCs discovered the existence of a neoplastic adenocarcinomatous component in the stroma underlying a surface SCC. However, the depth level of this component, the immunohistochemical findings, and the molecular investigations are not consistent in the reviewed studies. Several authors diagnosed ASCs based on their morphology without further investigations [25,26], while others used a panel of immunohistochemical markers (mainly CEA, CK7, CK20, EMA, CDX2, and CAM5.2) [32]. Less often, findings generated from next-generation sequencing (NGS), fluorescence in situ hybridization (FISH), and cytometry were reported [5,53].
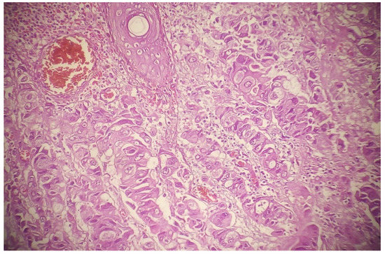
We retrieved the genetic data corresponding to 13 cases of ASCs and 15 cases of MACs of minor salivary glands. The histologic features of ASCs and MAC are shown in Figure 1. Figure 2 shows the genetic analysis of ASCs. What characterized the genetic profile are mutations in BCOR, CDH1, CEP57, ERCC4, GEN1, KLF4, LAMA5, MAC, MET, MN1, MTOR, NF2, PCLO, PRDM1, RB1, RELN, RIK3R1, SMARCB1, SOS1, and TP53 genes. Figure 3 shows the genetic network analysis for the possible interrelations between these genes. Cases of MACs showed mutations in AKT1. Regarding the immunohistochemical profile of ASCs, the squamous component stains with p63, p40, and cytokeratin 5/6.

3.2. Morphologic Difference in Different Sites

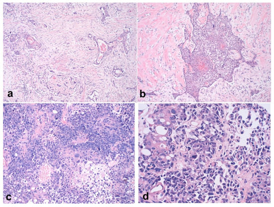
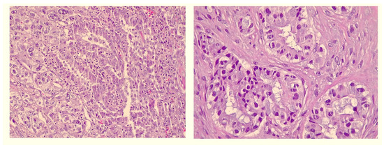
Most of the reported ASCs contained dense squamous congregations intermingled with true duct structures that showed cellular atypia. The stromal adenocarcinomatous component must be neither too superficial and inconspicuous (so as not to be considered an adenoid squamous cell carcinoma) nor very deep (so as not to be considered invasive SCC) (Figure 2). These cases are always considered high-grade. MACs are considered ASCs without an overlying SCC. For example, adnocarcinomatous lesions that secrete mucin and do not align with a particular recognized morphology (e.g., HG-MEC or high-grade mucinous cystadenomacinoma) are considered MACs. The indicated diagnostic immunohistochemical panel is rarely investigated. Figure 4 compares a case of MACs with a high-grade MEC of the minor salivary gland. Figure 5 shows a case of low-grade MAC of the lung. On the other hand, the ASCs of breast show both low-grade and high-grade features (Figure 6).

3.3. Molecular Profiling of ASCs and MACs and Relevant Pathways

The genes in Figure 6 were retrieved from the previously reported cases and the PubMed gene library. The green color encodes higher sensitivity. The continuous and dashed lines indicate that there are previously reported links between these genes. As shown in Figure 4, MAML2 rearrangement is never detected in salivary or non-salivary ASCs.
In Figure 7, AKT1 is shown to have the highest affinity and to be connected to several other genes in MACs. Table 2 relates the involved genes in each lesion to the corresponding pathway(s).
Figure 6. Genetic network analysis of ASCs.
Figure 6. Genetic network analysis of ASCs.
Jmp 03 00023 g006

4. Discussion

Histogenetically, ASCs are considered a transitional stage between classical MACs and SCCs, given that they reveal intermediate expressions of miR-205 [54]. However, they have also been suggested to be a separate entity, based on their different thymidylate synthase protein profiles [55]. Immunohistochemically, the squamous component expresses p63, which is helpful in identifying squamous differentiation in ASCs with an acantholytic growth pattern [56]. ASCs are also positive for 34β12, CEA, CAM5.2, Ki-67 (up to 60%), AE1AE3, CK18, Glut 1, EMA, E-Cadherin, CK19, CD138, and CK7 [57] but negative for CDX2 and CK20 [12].
In our analysis, ASCs differed remarkably from MACs. When compared to the genetic mutations of high-grade MEC, which were reported by Wang et al. [21], ASCs were similar to high-grade MECs, on the one hand, in expressing BRCA2, EPHB1, ERBB2, FGF3, and most importantly, PIK3CA. On the other hand, MET and MTOR were sporadically detected in both MACs and high-grade MECs. TP53 and EGFR mutations were detected in the three tumors.
MECs are epistemically known for their mucinous (goblet) cells and epidermoid components. With varying degrees of intermediate cells, mucin-rich carcinomas are often confused with different grades of MECs. Although MECs lack intercellular bridges and squamous pearls, the wide morphologic spectrum they show between their three grades poses questions about the inclusion of MAML2-negative high-grade invasive MECs [58], especially since, in one study, 147 pancreatic ASCs were natively negative for the MAML2 mutation [1]. In another study, the analysis of 106 head and neck ASCs (salivary-type) revealed their tendency toward affecting the major salivary glands of elderly males, with poor prognosis [59]. ASC tumors have harbored mutations of EGFR [60], KRAS, ERBB2, STK11, PI3KCA [61], and HER2 [62]. Furthermore, eight cases of pancreatic ASC showed KRAS2 gene mutations and homozygous deletions in the p16/CDKN2a gene [56]. These genetic mutations have also been detected in high-grade MECs. Notably, ASCs frequently demonstrate a positive genetic mutation in ALK [63]. In this regard, ASCs resemble MACs. However, MACs lack acinar, myoepithelial, and neuroendocrine phenotypes, and minor salivary gland MACs tend to recur frequently, cause lymph node metastasis, and demonstrate a poor prognosis [44]. Microsecretory adenocarcinoma and mammary analog secretory carcinoma of minor salivary glands resemble MACs morphologically. However, the former lesions show consistent molecular genetic mutations (SS18 [64] and ETV6, respectively [65,66]).
Based on the molecular heterogeneity among the studied tumors, it is difficult to consider ASCs, MACs, or high-grade MEC a subvariant of another tumor. There are sensitive markers for each lesion. Additionally, ASCs and high-grade MECs share more genetic mutations than do MACs and high-grade MECs. However, there is no specific marker that can distinguish each. Moreover, ASCs demonstrate a diverse genetic profile according to the involved site (e.g., breast, lung, pancreas, salivary glands, or gallbladder). The tendency to consider ASCs and high-grade MEC synonymous based on the clinical behavior of both is insufficient. Low-grade and high-grade ASCs were previously diagnosed (Figure 4). Panaccione et al. [67] detected a molecular involvement of FAT1, KDM6A, and KMT2D in studying metastasizing MAC. Kikuchi et al. [68] reported a case of intestinal-type adenocarcinoma of the buccal mucosa, which showed mucinous growth and negative immunoreactivity for CDX2. Our mining revealed that AKT1, ARRB1, BCL2, CDX2, MUC1, MUC16, MUC2, MUC5AC, MUC6, and CHST4 are actively involved in the oncogenesis of MACs.

5. Conclusions

We retrieved genetic data corresponding to 13 cases of ASC and 15 cases of MAC of minor salivary glands. Both genetic profiles do not tend to intersect with high-grade MEC except for the generic mutations commonly detected in all high-grade head and neck tumors. However, the availability of data on the molecular profile of each lesion limits the generalizability of the findings of this study.
Questions around the different molecular markers of ASCs and MACs according to the site involved remain unanswered. Furthermore, it is unclear if ASCs, SCCs (superficial or invasive), and solid MAML2-negative MECs of the minor salivary glands that are natively composed of squamoid/squamous cells are different lesions.
The immunohistochemical expression of some duct structures in SCC and the detection of mucin in adenocarcinomatous lesions should not be considered sufficient for the diagnosis of ASCs and MACs, respectively. This raises the following questions: Are high-grade transformations in salivary gland neoplasia attributed to a particular genetic deletion (e.g., STK11, INI-1, KRAS, AKT1, ROR2, FZD1, PTEN, or CD274)? Are MACs overreported? Should high-grade MECs be reconsidered with MACs or ASCs? Are low-grade and high-grade ASCs confined to the breast? Are pancreatic ASCs different from other ASCs? Large-scale studies involving high-quality multi-institutional cohorts with adequate molecular descriptions are required for further investigating these queries.

Author Contributions

All authors contributed equally to the manuscript. All authors have read and agreed to the published version of the manuscript.

Funding

This research received no external funding.

Institutional Review Board Statement

Not applicable.

Informed Consent Statement

Not applicable.

Data Availability Statement

Not applicable.

Conflicts of Interest

The authors declare no conflict of interest.

References

  1. White, V.; Hyrcza, M.; Lennerz, J.K.; Thierauf, J.; Lokuhetty, D.; Cree, I.A.; Indave, B. Mucoepidermoid carcinoma (MEC) and adenosquamous carcinoma (ASC), the same or different entities? Mod. Pathol. 2022, 35, 1484–1493. [Google Scholar] [CrossRef] [PubMed]
  2. Toyooka, S.; Yatabe, Y.; Tokumo, M.; Ichimura, K.; Asano, H.; Tomii, K.; Aoe, M.; Yanai, H.; Date, H.; Mitsudomi, T.; et al. Mutations of epidermal growth factor receptor and K-ras genes in adenosquamous carcinoma of the lung. Int. J. Cancer 2006, 118, 1588–1590. [Google Scholar] [CrossRef] [PubMed]
  3. Tochigi, N.; Dacic, S.; Nikiforova, M.; Cieply, K.M.; Yousem, S.A. Adenosquamous carcinoma of the lung a microdissection study of KRAS and EGFR mutational and amplification status in a Western patient population. Am. J. Clin. Pathol. 2011, 135, 783–789. [Google Scholar] [CrossRef] [PubMed]
  4. Kang, S.M.; Kang, H.J.; Shin, J.H.; Kim, H.; Shin, D.H.; Kim, S.K.; Kim, J.H.; Chung, K.Y.; Kim, S.K.; Chang, J. Identical epidermal growth factor receptor mutations in adenocarcinomatous and squamous cell carcinomatous components of adenosquamous carcinoma of the lung. Cancer 2007, 109, 581–587. [Google Scholar] [CrossRef]
  5. Kass, J.I.; Lee, S.C.; Abberbock, S.; Seethala, R.R.; Duvvuri, U. Adenosquamous carcinoma of the head and neck: Molecular analysis using CRTC-MAML FISH and survival comparison with paired conventional squamous cell carcinoma. Laryngoscope 2015, 125, E371–E376. [Google Scholar] [CrossRef]
  6. Clauditz, T.S.; Gontarewicz, A.; Bokemeyer, C.; Sauter, G.; Knecht, R.; Münscher, A.; Wilczak, W. Abundant expression of mTOR kinase in salivary gland tumors–potentials as therapy target? J. Oral Pathol. Med. 2013, 42, 769–773. [Google Scholar] [CrossRef]
  7. Parente, P.; Covelli, C.; Parrella, P.; Latiano, T.P.; Fiordelisi, F.; Pellico, M.T.; Maiello, E.; Graziano, P. Intestinal adenosquamous carcinoma with a synchronous skin metastasis: A immunohistochemical and molecular analysis. Int. J. Color. Dis. 2020, 35, 337–341. [Google Scholar] [CrossRef]
  8. Martinho, O.; Gonçalves, A.; Moreira, M.A.R.; Ribeiro, L.F.J.; Queiroz, G.S.; Schmitt, F.C.; Reis, R.M.; Longatto-Filho, A. KIT activation in uterine cervix adenosquamous carcinomas by KIT/SCF autocrine/paracrine stimulation loops. Gynecol. Oncol. 2008, 111, 350–355. [Google Scholar] [CrossRef]
  9. Solakoglu Kahraman, D.; Diniz, G.; Sayhan, S.; Ayaz, D.; Uncel, M.; Karadeniz, T.; Akman, T.; Ozdemir, A. Differences in the ARID-1 alpha expressions in squamous and adenosquamous carcinomas of uterine cervix. APMIS 2015, 123, 847–850. [Google Scholar] [CrossRef]
  10. Bataillon, G.; Fuhrmann, L.; Girard, E.; Menet, E.; Laé, M.; Capovilla, M.; Treilleux, I.; Arnould, L.; Penault-Llorca, F.; Rouzier, R.; et al. High rate of PIK3CA mutations but no TP53 mutations in low-grade adenosquamous carcinoma of the breast. Histopathology 2018, 73, 273–283. [Google Scholar] [CrossRef]
  11. Stolnicu, S.; Hoang, L.; Hanko-Bauer, O.; Barsan, I.; Terinte, C.; Pesci, A.; Aviel-Ronen, S.; Kiyokawa, T.; Alvarado-Cabrero, I.; Oliva, E.; et al. Cervical adenosquamous carcinoma: Detailed analysis of morphology, immunohistochemical profile, and clinical outcomes in 59 cases. Mod. Pathol. 2019, 32, 269–279. [Google Scholar] [CrossRef] [PubMed]
  12. Alos, L.; Castillo, M.; Nadal, A.; Caballero, M.; Mallofre, C.; Palacin, A.; Cardesa, A. Adenosquamous carcinoma of the head and neck: Criteria for diagnosis in a study of 12 cases. Histopathology 2004, 44, 570–579. [Google Scholar] [CrossRef] [PubMed]
  13. Huo, Z.; Wu, H.; Li, J.; Li, S.; Wu, S.; Liu, Y.; Luo, Y.; Cao, J.; Zeng, X.; Liang, Z. Primary pulmonary mucoepidermoid carcinoma: Histopathological and moleculargenetic studies of 26 cases. PLoS ONE 2015, 10, e0143169. [Google Scholar] [CrossRef] [PubMed]
  14. Uramoto, H.; Yamada, S.; Hanagiri, T. Immunohistochemical staining with DeltaNp63 is useful for distinguishing the squamous cell component of adenosquamous cell carcinoma of the lung. Anticancer Res. 2010, 30, 4717–4720. [Google Scholar] [PubMed]
  15. Prabhakar, M.C.; Sabarinath, B.K.; Sivapathasundharam, B.; Vasanthakumar, V. Adenosquamous carcinoma of the tongue: A case report and an overview of histogenetic concepts. J. Oral Maxillofac. Pathol. 2020, 24, S110–S114. [Google Scholar] [CrossRef]
  16. WHO. WHO Classification of Tumours Editorial Board. Head and Neck Tumours, 5th ed.; WHO classification of tumours series; International Agency for Research on Cancer: Lyon, France, 2022; Volume 9.
  17. Simpson, R.H.W. Salivary Duct Carcinoma: New Developments-Morphological Variants Including Pure In Situ High Grade Lesions; Proposed Molecular Classification. Head Neck Pathol. 2013, 7, 48–58. [Google Scholar] [CrossRef]
  18. Wong, F.K.; Zumsteg, Z.S.; Langevin, C.-J.; Ali, N.; Maclary, S.; Balzer, B.L.; Ho, A.S. Mucinous Carcinoma with Neuroendocrine Differentiation of Salivary Gland Origin. Head Neck Pathol. 2017, 11, 249–255. [Google Scholar] [CrossRef]
  19. Simpson, R.H.W.; Prasad, A.R.; Lewis, J.E.; Skálová, A.; David, L. Mucin-rich variant of salivary duct carcinoma: A clinicopathologic and immunohistochemical study of four cases. Am. J. Surg. Pathol. 2003, 27, 1070–1079. [Google Scholar] [CrossRef]
  20. Lastra, R.R.; Park, K.J.; Kenneth Schoolmeester, J. Invasive stratified mucin-producing carcinoma and stratified mucin-producing intraepithelial lesion (SMILE) 15 cases presenting a spectrum of cervical neoplasia with description of a distinctive variant of invasive adenocarcinoma. Am. J. Surg. Pathol. 2016, 40, 262–269. [Google Scholar] [CrossRef]
  21. Agaimy, A.; Baněčková, M.; Ihrler, S.; Mueller, S.K.; Franchi, A.; Hartmann, A.; Stoehr, R.; Skálová, A. ALK Rearrangements Characterize 2 Distinct Types of Salivary Gland Carcinomas: Clinicopathologic and Molecular Analysis of 4 Cases and Literature Review. Am. J. Surg. Pathol. 2021, 45, 1166–1178. [Google Scholar] [CrossRef]
  22. Wang, K.; McDermott, J.D.; Schrock, A.B.; Elvin, J.A.; Gay, L.; Karam, S.D.; Raben, D.; Somerset, H.; Ali, S.M.; Ross, J.S.; et al. Comprehensive genomic profiling of salivary mucoepidermoid carcinomas reveals frequent BAP1, PIK3CA, and other actionable genomic alterations. Ann. Oncol. 2017, 28, 748–753. [Google Scholar] [CrossRef] [PubMed]
  23. Fukuda, M.; Tanaka, A.; Hamao, A.; Kitada, M.; Fukuda, F.; Suzuki, S.; Kebusa, Y.; Yamamoto, Y.; Sakashita, H.; Kusama, K. Expression of cytokeratins in oral adenosquamous carcinoma: Specific detection of individual cytokeratins by monoclonal antibodies. Asian J. Oral Maxillofac. Surg. 2002, 14, 232–239. [Google Scholar] [CrossRef]
  24. Keelawat, S.; Liu, C.Z.; Roehm, P.C.; Barnes, L. Adenosquamous carcinoma of the upper aerodigestive tract: A clinicopathologic study of 12 cases and review of the literature. Am. J. Otolaryngol.-Head Neck Med. Surg. 2002, 23, 160–168. [Google Scholar] [CrossRef] [PubMed]
  25. Sheahan, P.; Fitzgibbon, J.; Lee, G.; O’Leary, G. Adenosquamous carcinoma of the tongue in a 22-year-old female: Report of a case with immunohistochemistry. Eur. Arch. Oto-Rhino-Laryngol. 2003, 260, 509–512. [Google Scholar] [CrossRef] [PubMed]
  26. Morita, N.; Yabuta, T.; Todo, K.; Kimoto, N. Adenosquamous carcinoma of the tongue. Asian J. Oral Maxillofac. Surg. 2005, 17, 277–279. [Google Scholar] [CrossRef]
  27. Shinhar, S.Y.; Heckathorn, C.L. Adenosquamous carcinoma of the nasal cavity. Ear Nose Throat J. 2008, 87, 612–614. [Google Scholar] [CrossRef]
  28. Masand, R.P.; El-Mofty, S.K.; Ma, X.J.; Luo, Y.; Flanagan, J.J.; Lewis, J.S. Adenosquamous Carcinoma of the Head and Neck: Relationship to Human Papillomavirus and Review of the Literature. Head Neck Pathol. 2011, 5, 108–116. [Google Scholar] [CrossRef] [PubMed]
  29. Fonseca, F.P.; Ramos, L.M.A.; Vargas, P.A.; de Almeida, O.P.; Lopes, M.A.; Santos-Silva, A.R. Oral adenosquamous carcinoma: Evidence that it arises from the surface mucosal epithelium. Histopathology 2012, 61, 321–323. [Google Scholar] [CrossRef]
  30. Pandilla, R.; Kotapalli, V.; Gowrishankar, S.; Chigurupati, M.; Patnaik, S.; Uppin, S.; Rao, S.; Kalidindi, N.; Regulagadda, S.; Sundaram, C.; et al. Distinct genetic aberrations in oesophageal adeno and squamous carcinoma. Eur. J. Clin. Investig. 2013, 43, 1233–1239. [Google Scholar] [CrossRef]
  31. Ishida, M.; Iwai, M.; Kagotani, A.; Iwamoto, N.; Okabe, H. Adenosquamous carcinoma of the tongue: A case report with review of the literature. Int. J. Clin. Exp. Pathol. 2014, 7, 1809–1813. [Google Scholar]
  32. Bhattacharyya, I.; Chehal, H.K.; McNally, S.J.; Cohen, D.M.; Islam, N.M. Adenosquamous carcinoma of the oral cavity: An unusual epithelial malignancy. A report of two cases and review of literature. J. Oral Maxillofac. Surg. Med. Pathol. 2015, 27, 126–130. [Google Scholar] [CrossRef]
  33. Magalhaes, M.A.O.; Irish, J.C.; Weinreb, I.; Perez-Ordonez, B. Adenosquamous Carcinoma of Hypopharynx with Intestinal-Phenotype. Head Neck Pathol. 2015, 9, 114–118. [Google Scholar] [CrossRef] [PubMed]
  34. Sravya, T.; Rao, G.; Kumar, M.; Sudheerkanth, K. Oral adenosquamous carcinoma: Report of a rare entity with a special insight on its histochemistry. J. Oral Maxillofac. Pathol. 2016, 20, 548. [Google Scholar] [CrossRef] [PubMed]
  35. Miura, K.I.; Shiraishi, T.; Ohba, S.; Asahina, I. Importance of diagnosis and initial treatment strategy for adenosquamous carcinoma of the tongue: A case report and literature review. Oral Maxillofac. Surg. Cases 2017, 3, 102–106. [Google Scholar] [CrossRef]
  36. Satomi, T.; Kohno, M.; Hasagawa, O.; Enomoto, A.; Abukawa, H.; Chikazu, D.; Yoshida, M.; Matsubayashi, J.; Nagao, T. Adenosquamous carcinoma of the tongue: Clinicopathologic study and review of the literature. Odontology 2017, 105, 127–135. [Google Scholar] [CrossRef]
  37. Kikuta, S.; Todoroki, K.; Seki, N.; Kusukawa, J. Adenosquamous Carcinoma in the Midline Dorsum of the Tongue: A Rare Case Report. J. Oral Maxillofac. Surg. 2018, 76, 2131–2135. [Google Scholar] [CrossRef]
  38. Rawal, Y.; Anderson, K. Adenosquamous Carcinoma of the Tongue. Head Neck Pathol. 2018, 12, 576–579. [Google Scholar] [CrossRef]
  39. Eguchi, T.; Basugi, A.; Kanai, I.; Miyata, Y.; Suzuki, T.; Hamada, Y. Adenosquamous carcinoma development as a recurrence of squamous cell carcinoma in the oral floor: A case report. Medicine 2019, 98, e17688. [Google Scholar] [CrossRef]
  40. Gao, Y.; Di, P.; Peng, X.; Yu, G.; Sun, K. Mucinous adenocarcinoma of salivary glands. Zhonghua Kou Qiang Yi Xue Za Zhi = Zhonghua Kouqiang Yixue Zazhi = Chin. J. Stomatol. 2002, 37, 356–358. [Google Scholar]
  41. Notani, K.-I.; Iizuka, T.; Yamazaki, Y.; Henmi, T.; Sugiura, C.; Kohgo, T.; Fukuda, H. Mucinous adenocarcinoma of probable minor salivary gland origin. Oral Surg. Oral Med. Oral Pathol. Oral Radiol. Endodontol. 2002, 94, 738–740. [Google Scholar] [CrossRef]
  42. Abecasis, J.; Viana, G.; Pissarra, C.; Pereira, T.; Fonseca, I.; Soares, J. Adenocarcinomas of the nasal cavity and paranasal sinuses: A clinicopathological and immunohistochemical study of 14 cases. Histopathology 2004, 45, 254–259. [Google Scholar] [CrossRef] [PubMed]
  43. Shumway, A.; Kalmar, J.; Steiner, R.; Allen, C. Mucinous Adenocarcinoma of the Palate: Report of a Case and Review of the Literature. Oral Surg. Oral Med. Oral Pathol. Oral Radiol. Endodontol. 2007, 103, e23–e24. [Google Scholar] [CrossRef]
  44. Ide, F.; Mishima, K.; Tanaka, A.; Saito, I.; Kusama, K. Mucinous adenocarcinoma of minor salivary glands: A high-grade malignancy prone to lymph node metastasis. Virchows Arch. A Pathol. Anat. Histopathol. 2009, 454, 55–60. [Google Scholar] [CrossRef]
  45. Seoane, J.; Varela-Centelles, P.; López-Niño, J.; Vazquez, I.; Abdulkader, I.; García-Caballero, T. Gingival mucinous adenocarcinoma of a minor salivary gland. J. Periodontol. 2010, 81, 626–631. [Google Scholar] [CrossRef] [PubMed]
  46. Uchida, K.; Oga, A.; Mano, T.; Nagatsuka, H.; Ueyama, Y.; Sasaki, K. Screening for DNA copy number aberrations in mucinous adenocarcinoma arising from the minor salivary gland: Two case reports. Cancer Genet. Cytogenet. 2010, 203, 324–327. [Google Scholar] [CrossRef] [PubMed]
  47. Slova, D.; Mondolfi, A.P.; Moisini, I.; Levi, G.; Urken, M.; Zevallos, J.; Mansoor, S.; Khorsandi, A.; Bloch, D.; Vidhun, R.; et al. Colonic-Type Adenocarcinoma of the Base of the Tongue: A Case Report of a Rare Neoplasm. Head Neck Pathol. 2012, 6, 250–254. [Google Scholar] [CrossRef][Green Version]
  48. Bhat, S.P.; Prasad, K.H.L.; Bhat, V.S.; Aroor, R. Primary Mucinous Carcinoma of Buccal Mucosa: A Rare Case Report. Indian J. Surg. Oncol. 2014, 5, 249–251. [Google Scholar] [CrossRef]
  49. Mezmezian, M.; Spreafico, H.; Glembocki, A.; Carassai, M. Primary mucinous adenocarcinoma of minor salivary glands of the palate: Case report and literature review. J. Oral Maxillofac. Surg. Med. Pathol. 2015, 27, 446–449. [Google Scholar] [CrossRef]
  50. De Benedittis, M.; Palmiotto, A.; Turco, M.; Petruzzi, M.; Cortelazzi, R. Salivary mucinous adenocarcinoma of the mandible. Odontology 2017, 105, 257–261. [Google Scholar] [CrossRef]
  51. Petersson, F.; Michal, M.; Ptáková, N.; Skalova, A.; Michal, M. Salivary gland mucinous adenocarcinoma with minor (Mammary Analogue) secretory and low-grade in situ carcinoma components sharing the same ETV6-RET translocation and with no other molecular genetic aberrations detected on NGS analysis. Appl. Immunohistochem. Mol. Morphol. 2020, 28, E54–E57. [Google Scholar] [CrossRef]
  52. Aoki, T.; Kondo, Y.; Karakida, K.; Naito, H.; Kajiwara, H.; Ota, Y. A mucinous adenocarcinoma of the lip with elevated serum carcinoembryonic antigen levels: A case report. Oral Maxillofac. Surg. 2020, 24, 127–132. [Google Scholar] [CrossRef] [PubMed]
  53. Rooper, L.M.; Argyris, P.P.; Thompson, L.D.R.; Gagan, J.; Westra, W.H.; Jordan, R.C.; Koutlas, I.G.; Bishop, J.A. Salivary Mucinous Adenocarcinoma Is a Histologically Diverse Single Entity with Recurrent AKT1 E17K Mutations: Clinicopathologic and Molecular Characterization with Proposal for a Unified Classification. Am. J. Surg. Pathol. 2021, 45, 1337–1347. [Google Scholar] [CrossRef] [PubMed]
  54. Vassella, E.; Langsch, S.; Dettmer, M.S.; Schlup, C.; Neuenschwander, M.; Frattini, M.; Gugger, M.; Schäfer, S.C. Molecular profiling of lung adenosquamous carcinoma: Hybrid or genuine type? Oncotarget 2015, 6, 23905–23916. [Google Scholar] [CrossRef] [PubMed]
  55. Shu, C.; Cheng, H.; Wang, A.; Mansukhani, M.M.; Powell, C.A.; Halmos, B.; Borczuk, A.C. Thymidylate synthase expression and molecular alterations in adenosquamous carcinoma of the lung. Mod. Pathol. 2013, 26, 239–246. [Google Scholar] [CrossRef][Green Version]
  56. Brody, J.R.; Costantino, C.L.; Potoczek, M.; Cozzitorto, J.; McCue, P.; Yeo, C.J.; Hruban, R.H.; Witkiewicz, A.K. Adenosquamous carcinoma of the pancreas harbors KRAS2, DPC4 and TP53 molecular alterations similar to pancreatic ductal adenocarcinoma. Mod. Pathol. 2009, 22, 651–659. [Google Scholar] [CrossRef]
  57. Fonseca-Silva, T.; de Oliveira Santos, C.C.; Bonan, P.R.F.; Martelli-Junior, H.; de Almeida, O.P.; Roy, A.; De-Paula, A.M.B.; Guimarães, A.L.S. Primary Oral Mucinous Adenocarcinoma in minor salivary gland. Indian J. Dent. 2013, 4, 237–240. [Google Scholar] [CrossRef]
  58. Cipriani, N.A.; Lusardi, J.J.; Mcelherne, J.; Pearson, A.T.; Olivas, A.D.; Fitzpatrick, C.; Lingen, M.W.; Blair, E.A. Mucoepidermoid Carcinoma: A Comparison of Histologic Grading Systems and Relationship to MAML2 Rearrangement and Prognosis. Am. J. Surg. Pathol. 2019, 43, 885–897. [Google Scholar] [CrossRef]
  59. Han, H.; Luo, X.D.; Shao, L.Q. A population-based analysis of adenosquamous carcinoma of the salivary gland. Gland Surg. 2021, 10, 645–655. [Google Scholar] [CrossRef]
  60. Kenmotsu, H.; Serizawa, M.; Koh, Y.; Isaka, M.; Takahashi, T.; Taira, T.; Ono, A.; Maniwa, T.; Takahashi, S.; Mori, K.; et al. Prospective genetic profiling of squamous cell lung cancer and adenosquamous carcinoma in Japanese patients by multitarget assays. BMC Cancer 2014, 14, 786. [Google Scholar] [CrossRef]
  61. Hirose, S.; Murakami, N.; Takahashi, K.; Kuno, I.; Takayanagi, D.; Asami, Y.; Matsuda, M.; Shimada, Y.; Yamano, S.; Sunami, K.; et al. Genomic alterations in STK11 can predict clinical outcomes in cervical cancer patients. Gynecol. Oncol. 2020, 156, 203–210. [Google Scholar] [CrossRef]
  62. Cros, J.; Sbidian, E.; Hans, S.; Roussel, H.; Scotte, F.; Tartour, E.; Brasnu, D.; Laurent-Puig, P.; Bruneval, P.; Blons, H.; et al. Expression and mutational status of treatment-relevant targets and key oncogenes in 123 malignant salivary gland tumours. Ann. Oncol. 2013, 24, 2624–2629. [Google Scholar] [CrossRef] [PubMed]
  63. Ma, H.; Song, B.; Guo, S.; Li, G.; Jin, G. Identification of germline and somatic mutations in pancreatic adenosquamous carcinoma using whole exome sequencing. Cancer Biomark. 2020, 27, 389–397. [Google Scholar] [CrossRef] [PubMed]
  64. Bishop, J.A.; Koduru, P.; Veremis, B.M.; Oliai, B.R.; Weinreb, I.; Rooper, L.M.; Dickson, B.C.; Demicco, E.G. SS18 Break-Apart Fluorescence In Situ Hybridization is a Practical and Effective Method for Diagnosing Microsecretory Adenocarcinoma of Salivary Glands. Head Neck Pathol. 2021, 15, 723–726. [Google Scholar] [CrossRef]
  65. Luo, W.; Lindley, S.W.; Lindley, P.H.; Krempl, G.A.; Seethala, R.R.; Fung, K.M. Mammary analog secretory carcinoma of salivary gland with high-grade histology arising in hard palate, report of a case and review of literature. Int. J. Clin. Exp. Pathol. 2014, 7, 9008–9022. [Google Scholar]
  66. Skalova, A.; Vanecek, T.; Martinek, P.; Weinreb, I.; Stevens, T.M.; Simpson, R.H.W.; Hyrcza, M.; Rupp, N.J.; Baneckova, M.; Michal, M.; et al. Molecular profiling of mammary analog secretory carcinoma revealed a subset of tumors harboring a novel ETV6-RET translocation: Report of 10 cases. Am. J. Surg. Pathol. 2018, 42, 234–246. [Google Scholar] [CrossRef]
  67. Panaccione, A.; Zhang, Y.; Mi, Y.; Yarbrough, W.G.; Ivanov, S.V.; Mitani, Y.; El-Naggar, A.K.; Yan, G.; Prasad, M.L.; McDonald, W.H.; et al. Chromosomal abnormalities and molecular landscape of metastasizing mucinous salivary adenocarcinoma. Oral Oncol. 2017, 66, 38–45. [Google Scholar] [CrossRef] [PubMed]
  68. Kikuchi, K.; Fukunaga, S.; Ide, F.; Hoshino, M.; Inoue, H.; Miyazaki, Y.; Li, T.J.; Kusama, K. Primary intestinal-type adenocarcinoma of the buccal mucosa: A case report and literature review. Oral Surg. Oral Med. Oral Pathol. Oral Radiol. Endodontol. 2019, 127, e61–e70. [Google Scholar] [CrossRef] [PubMed]
Figure 1. PRISMA flowchart showing the search method.
Figure 1. PRISMA flowchart showing the search method.
Jmp 03 00023 g001
Figure 2. ASC of minor salivary gland.
Figure 2. ASC of minor salivary gland.
Jmp 03 00023 g002
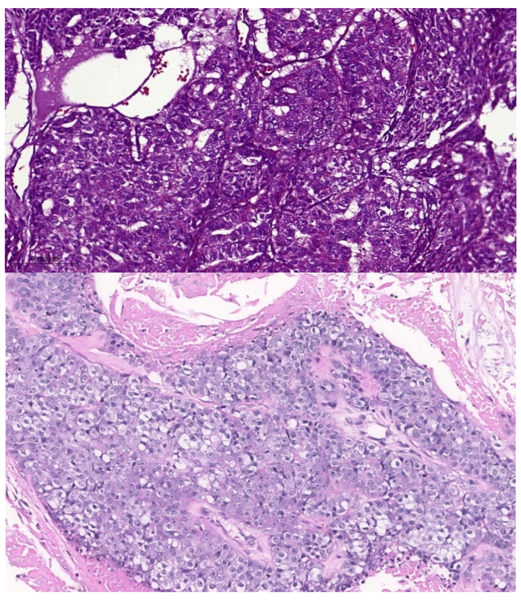
Figure 3. (Top) MAC of the minor salivary gland. (Bottom) MEC of the minor salivary gland.
Figure 3. (Top) MAC of the minor salivary gland. (Bottom) MEC of the minor salivary gland.
Jmp 03 00023 g003
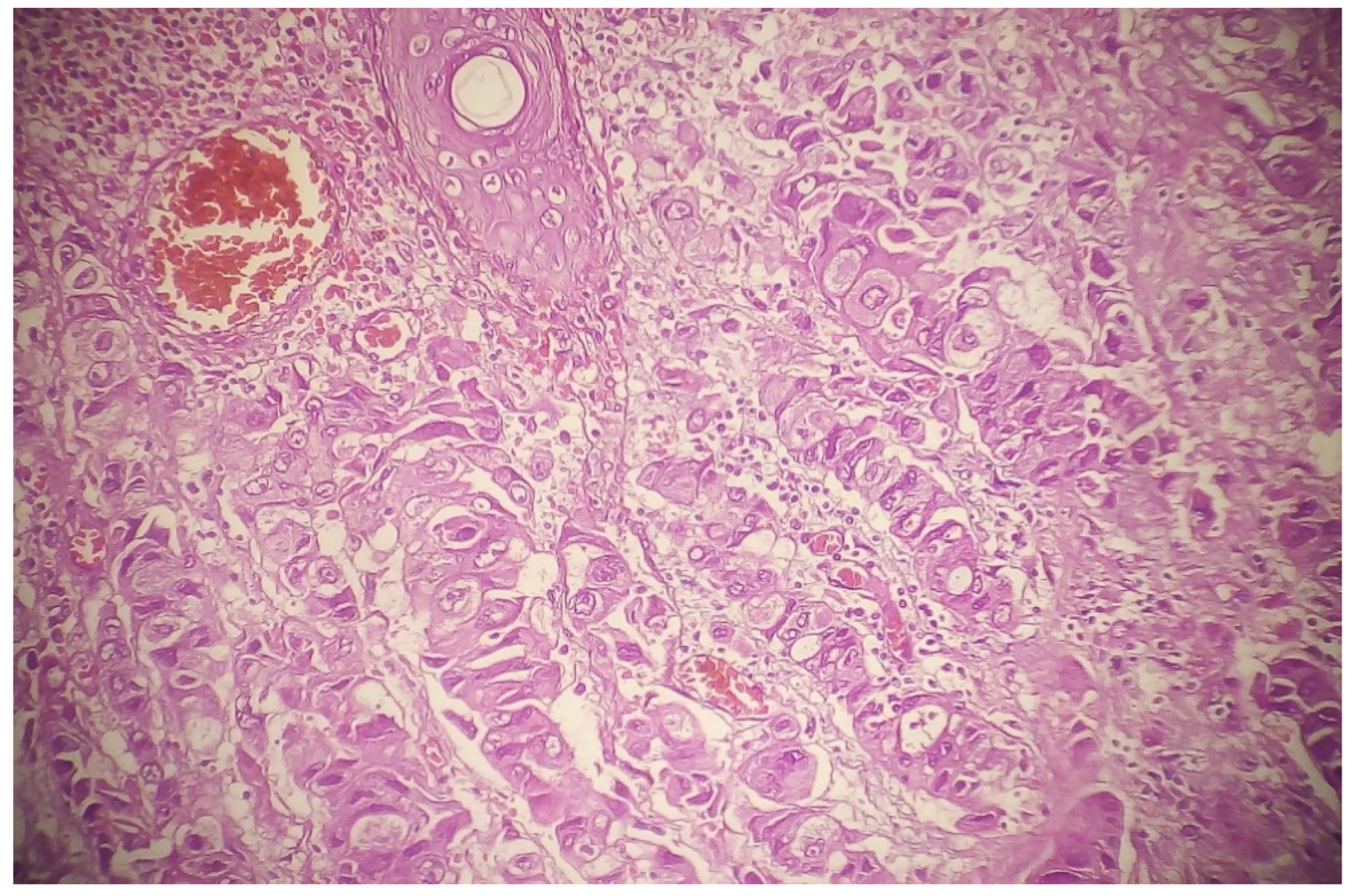
Figure 4. MAC of the lung.
Figure 4. MAC of the lung.
Jmp 03 00023 g004
Figure 5. (a,b) Low-grade ASC of breast; (c,d) high-grade ASC of breast (for illustrative purposes).
Figure 5. (a,b) Low-grade ASC of breast; (c,d) high-grade ASC of breast (for illustrative purposes).
Jmp 03 00023 g005
Figure 7. Genetic network analysis of MACs.
Figure 7. Genetic network analysis of MACs.
Jmp 03 00023 g007
Table 1. Summary of the reviewed case of ASCs and MACs of the minor salivary glands.
Table 1. Summary of the reviewed case of ASCs and MACs of the minor salivary glands.
Author, YearRefs.DxCasesMorphologyMucinPositive IHCMolecularExclusion
Fukudaet al., 2002[23]ASC4AC + SCCYCK14NoNot Adenoid SCC
Keelawatet al., 2002[24]ASC5AC + SCCYNoNoNot Adenoid SCC, not MEC
Sheahanet al., 2003[25]ASC1AC + SCCYCK7 CAM5.2NoNot given
Alos et al., 2004[12]ASC5AC + SCCYCEA, CK7 CAM5.2Aneuploid ASCsNot MEC
Moritaet al., 2005[26]ASC1AC + SCCYNoNoNot given
Shinharet al., 2008[27]ASC1AC + SCCYNoNoNot given
Masand et al., 2011 [28]ASC4AC + SCCYNoFor HPVAdenoid SCC included
Fonsecaet al., 2012[29]ASC1AC + SCCYCEA, CK7/8/18NoNot given
Pandilla et al., 2013[30]ASC1AC + SCCYβ-cateninAPC c.4315delC mutationNot given
Ishidaet al., 2014[31]ASC1AC + SCCYCEA, HCK, CK7, CA19-9NoNot given
Bhattacharyya et al., 2015[32]ASC2AC + SCCYNoNoNot MEC, not SCC with mucoserous invasion, not adenoid SCC
Kass et al., 2015[5]ASC42AC + SCCYNo-ve for MAML2Not MEC
Magalhaeset al., 2015[33]ASC1AC + SCCYCEA, CK7/20, EMA, CDX2 CAM5.2NoNot AC, NOS
Sravyaet al., 2016[34]ASC1AC + SCCY34βE12NoNot MEC, not basaloid SCC, not adenoid SCC
Miuraet al., 2017[35]ASC1AC + SCCY34βE12, CK7, CAM5.2NoNot given
Satomiet al., 2017[36]ASC1AC + SCCYCEA, CK7NoNot given
Kikutaet al., 2018[37]ASC1AC + SCCYCK7/CK20No? Cribriform AC *
Rawal et al., 2018[38]ASC1AC + SCCYCEA, CK7, CAM5.2NoNot given
Eguchi et al., 2019[39]ASC1AC + SCCYCEA, CK7, p53NoNot given
Prabhakar et al., 2020[15]ASC1AC + recurrent SCCYPancytokeratinNoNot adenoid SCC
Gao et al., 2002[40]MAC1MAC + featuresYCK7NoNot given
Notani et al., 2002[41]MAC1Classic MACYCK7NoNot given
Abecasis et al., 2004[42]MAC2Classic MACYCK7, CK20, synaptophysin; NoNot given
Shumway et al., 2007[43]MAC1Classic MACYCK7NoNot given
Ide et al., 2009[44]MAC1Classic MACYCEA, HCK, CK7/20, EMANoNot given
Seoane et al., 2010[45]MAC1Classic MACYCK AE1/AE3/CK8, CK18, S100NoNot given
Uchida et al., 2010[46]MAC4Classic MACYNoMDM2 AURKANot given
Slova et al., 2012[47]MAC1Colonic type adenocarcinoma + mucinYAE1/AE3, CAM5.2, CK7, CK20, EMA NoNot given
Bhat et al., 2014[48]MAC1MAC YNoNoNot given
Mezmezian et al., 2015[49]MAC1MAC + eosinophilYCK7, CK19, EMA, CEANoMucinous metastatic carcinoma
De Benedittis et al., 2017[50]MAC1MAC + featuresYCK7/8NoNot given
Petersson et al., 2020[51]MAC1In a hybrid tumorYMammaglobinETV6 RETMASC dominant
Aoki et al., 2020[52]MAC1Classic MACYCK7, CEANoNot given
Rooper et al., 2021[53]MAC4MAC + featuresYCK7AKT1 E17KNot intraductal papillary mucinous ca.
(*) should be viewed with caution.
Table 2. ASCs, MACs, and HG-MEC mutated genes and corresponding pathway(s).
Table 2. ASCs, MACs, and HG-MEC mutated genes and corresponding pathway(s).
ASCMACHG-MECCorresponding Pathway
ABCB1 + Energy Metabolism
ACE2+ A-beta Uptake and Degradation
AKT1 + Energy Metabolism; PI3K/Akt Signaling
ARRB1 + Tyrosine Kinases; Wnt/Hedgehog/Notch
BCL2 + Apoptosis Signaling Pathway
CA9 + Angiogenesis
CD274+ NF-kappaB Signaling
CDX2 + Wnt/Hedgehog/Notch
CHST4 + O-linked Glycosylation of Mucins
EGFR++ Akt Signaling Pathway; Jak/STAT Signaling Pathway; MAPK Signaling: Mitogens; mTOR Signaling
EPHB1+ ErbB2-ErbB3 Heterodimers Pathway
ERBB2 ++Akt Pathway Apoptosis Pathway MAPK Pathway NF-kappaB Pathway
FZD1+ Neural Stem Cells and Lineage-Specific Markers; Wnt Signaling Pathways
HNF4A + TGF-beta Signaling Pathways
IGF1 + IGF1R Signaling Cascade
IGF1R + IGF1R Signaling Cascade
KDR+ Akt Pathway Apoptosis Pathway NF-kappaB Pathway VEGF Pathway
KIT++ NF-kappaB Signaling; Tyrosine Kinases
KRAS+++PI3K-Akt-mTOR Pathway TGF-beta Pathway Insulin Pathway
KRT5+ Cytoskeletal Signaling
MIR205 + miRNA-Mediated Gene Silencing
MIR373 + Endoderm Differentiation Pathways
MLH1 + Cell Cycle/DNA Damage
MUC1++ EGF Pathway; ILK Signaling
MUC16++ O-linked Glycosylation of Mucins
MUC2 + NTHi-Induced Signaling
MUC4+ Cell Adhesion
MUC5AC + Mucin Expression in CF
MUC6 + C-type Lectin Receptors (CLRs)
NRG1 + Apoptosis and Survival Role of CDK5 in Neuronal Death and Survival
PDGFRA+ Akt Pathway; Apoptosis Pathway
PIK3CA+ +EMT Pathway PI3K-Akt-mTOR Pathway TLR Pathway
PMS1 + DNA Mismatch Repair
PMS2 + DNA Mismatch Repair
PTEN+ +Cytoskeleton Remodeling FAK Signaling; Apoptosis Pathway PI3K-Akt-mTOR Pathway
RET+ +G-protein Signaling_H-RAS Regulation Pathway
ROR2+ Wnt Pathway
SLC3A2 + Energy Metabolism
SMAD4+ TGF-beta Signaling Pathways; Th17 Differentiation
SMARCB1 + AMPK Enzyme Complex Pathway; BRCA1 Pathway; Chromatin Remodeling (Acetylation); Glucocorticoid Receptor Signaling
STK11 + mTOR Signaling
TGFA + Angiogenesis; Tyrosine Kinases
TGFBR2 + Akt Pathway Apoptosis Pathway NF-kappaB Pathway TGF-beta Pathway
TP53+ Akt Pathway Apoptosis Pathway MAPK Pathway mTOR Pathway
TP63+ +Development Notch Signaling Pathway; DNA Damage
TRAK1 + O-linked glycosylation
UPF1+ Translational Control
VEGFA + Cell adhesion_Plasmin Signaling; Cytoskeleton Remodeling FAK Signaling; VEGF Signaling and Activation
WNT5A+ EMT Pathway; Wnt Pathway; GSK3 Signaling
Publisher’s Note: MDPI stays neutral with regard to jurisdictional claims in published maps and institutional affiliations.

Share and Cite

MDPI and ACS Style

Khalele, B.; Laforga, J.B.; Kajo, K.; Kajová Macháleková, K. Adenosquamous Carcinomas and Mucinous Adenocarcinoma of the Minor Salivary Glands: Immunohistochemical and Molecular Insights. J. Mol. Pathol. 2022, 3, 273-285. https://doi.org/10.3390/jmp3040023

AMA Style

Khalele B, Laforga JB, Kajo K, Kajová Macháleková K. Adenosquamous Carcinomas and Mucinous Adenocarcinoma of the Minor Salivary Glands: Immunohistochemical and Molecular Insights. Journal of Molecular Pathology. 2022; 3(4):273-285. https://doi.org/10.3390/jmp3040023

Chicago/Turabian Style

Khalele, Bacem, Juan B. Laforga, Karol Kajo, and Katarína Kajová Macháleková. 2022. "Adenosquamous Carcinomas and Mucinous Adenocarcinoma of the Minor Salivary Glands: Immunohistochemical and Molecular Insights" Journal of Molecular Pathology 3, no. 4: 273-285. https://doi.org/10.3390/jmp3040023

APA Style

Khalele, B., Laforga, J. B., Kajo, K., & Kajová Macháleková, K. (2022). Adenosquamous Carcinomas and Mucinous Adenocarcinoma of the Minor Salivary Glands: Immunohistochemical and Molecular Insights. Journal of Molecular Pathology, 3(4), 273-285. https://doi.org/10.3390/jmp3040023

Article Metrics

Back to TopTop