TRPC6 in Human Peripheral Nerves—An Investigation Using Immunohistochemistry
Abstract
1. Introduction
2. Methods
2.1. Donors
2.2. Samples
2.3. Immunostaining
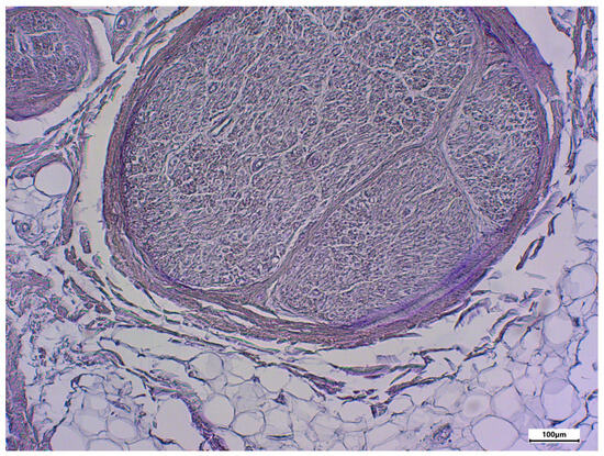
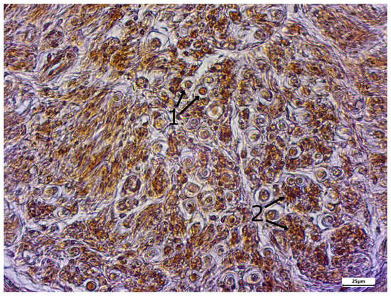
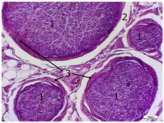
3. Results
4. Discussion
5. Conclusions
Author Contributions
Funding
Institutional Review Board Statement
Informed Consent Statement
Data Availability Statement
Acknowledgments
Conflicts of Interest
References
- Venkatachalam, K.; Montell, C. TRP channels. Annu. Rev. Biochem. 2007, 76, 387–417. [Google Scholar] [CrossRef]
- Wu, L.-J.; Sweet, T.-B.; Clapham, D.E. International Union of Basic and Clinical Pharmacology. LXXVI. Current progress in the Mammalian TRP ion channel family. Pharmacol. Rev. 2010, 62, 381–404. [Google Scholar] [CrossRef] [PubMed]
- Zhang, M.; Ma, Y.; Ye, X.; Zhang, N.; Pan, L.; Wang, B. TRP (transient receptor potential) ion channel family: Structures, biological functions and therapeutic interventions for diseases. Signal Transduct. Target. Ther. 2023, 8, 261. [Google Scholar] [CrossRef]
- Boulay, G.; Zhu, X.; Peyton, M.; Jiang, M.; Hurst, R.; Stefani, E.; Birnbaumer, L. Cloning and expression of a novel mammalian homolog of Drosophila Transient receptor potential (Trp) involved in calcium entry secondary to activation of receptors coupled by the G (q) class of g protein. J. Biol. Chem. 1997, 272, 29672–29680. [Google Scholar] [CrossRef]
- Gees, M.; Owsianik, G.; Nilius, B.; Voets, T. TRP channels. Compr. Physiol. 2012, 2, 563–608. [Google Scholar] [CrossRef] [PubMed]
- Strübing, C.; Krapivinsky, G.; Krapivinsky, L.; Clapham, D.E. Formation of novel TRPC channels by complex subunit interactions in embryonic brain. J. Biol. Chem. 2003, 278, 39014–39019. [Google Scholar] [CrossRef] [PubMed]
- Chen, X.; Sooch, G.; Demaree, I.S.; White, F.A.; Obukhov, A.G. Transient Receptor Potential Canonical (TRPC) Channels: Then and Now. Cells 2020, 9, 1983. [Google Scholar] [CrossRef]
- Riccio, A.; Medhurst, A.D.; Mattei, C.; Kelsell, R.E.; Calver, A.R.; Randall, A.D.; Benham, C.D.; Pangalos, M.N. mRNA distribution analysis of human TRPC family in CNS and peripheral tissues. Mol. Brain Res. 2002, 109, 95–104. [Google Scholar] [CrossRef]
- Liu, L.; Chen, M.; Lin, K.; Xiang, X.; Yang, J.; Zheng, Y.; Xiong, X.; Zhu, S. TRPC6 Attenuates Cortical Astrocytic Apoptosis and Inflammation in Cerebral Ischemic/Reperfusion Injury. Front. Cell Dev. Biol. 2021, 8, 594283. [Google Scholar] [CrossRef]
- Premkumar, L.S.; Abooj, M. TRP Channels and Analgesia. Life Sci. 2012, 92, 415–424. [Google Scholar] [CrossRef]
- Roa-Coria, J.E.; Pineda-Farias, J.B.; Barragán-Iglesias, P.; Quiñonez-Bastidas, G.N.; Zúñiga-Romero, Á.; Huerta-Cruz, J.C.; Reyes-García, J.G.; Flores-Murrieta, F.J.; Granados-Soto, V.; Rocha-González, H.I. Possible involvement of peripheral TRP channels in the hydrogen sulfide-induced hyperalgesia in diabetic rats. BMC Neurosci. 2019, 20, 1. [Google Scholar] [CrossRef] [PubMed]
- Sun, Z.; Han, W.; Dou, Z.; Lu, N.; Wang, X.; Wang, F.; Ma, S.; Tian, Z.; Xian, H.; Liu, W.; et al. TRPC3/6 Channels Mediate Mechanical Pain Hypersensitivity via Enhancement of Nociceptor Excitability and of Spinal Synaptic Transmission. Adv. Sci. 2024, 11, e2404342. [Google Scholar] [CrossRef]
- Miao, B.; Yin, Y.; Mao, G.; Zhao, B.; Wu, J.; Shi, H.; Fei, S. The implication of transient receptor potential canonical 6 in BDNF-induced mechanical allodynia in rat model of diabetic neuropathic pain. Life Sci. 2021, 273, 119308. [Google Scholar] [CrossRef] [PubMed]
- Geuna, S.; Raimondo, S.; Ronchi, G.; Di Scipio, F.; Tos, P.; Czaja, K.; Fornaro, M. Chapter 3: Histology of the peripheral nerve and changes occurring during nerve regeneration. Int. Rev. Neurobiol. 2009, 87, 27–46. [Google Scholar] [CrossRef] [PubMed]
- Kress, M.; Karasek, J.; Ferrer-Montiel, A.V.; Scherbakov, N.; Haberberger, R.V. TRPC channels and diacylglycerol dependent calcium signaling in rat sensory neurons. Histochem. Cell Biol. 2008, 130, 655–667. [Google Scholar] [CrossRef]
- Wang, J.; Zhao, M.; Jia, P.; Liu, F.-F.; Chen, K.; Meng, F.-Y.; Hong, J.-H.; Zhang, T.; Jin, X.-H.; Shi, J. The analgesic action of larixyl acetate, a potent TRPC6 inhibitor, in rat neuropathic pain model induced by spared nerve injury. J. Neuroinflamm. 2020, 17, 118. [Google Scholar] [CrossRef]
- Alessandri-Haber, N.; Dina, O.A.; Chen, X.; Levine, J.D. TRPC1 and TRPC6 channels cooperate with TRPV4 to mediate mechanical hyperalgesia and nociceptor sensitization. J. Neurosci. 2009, 29, 6217–6228. [Google Scholar] [CrossRef]
- True, L.D. Quality control in molecular immunohistochemistry. Histochem. Cell Biol. 2008, 130, 473–480. [Google Scholar] [CrossRef]
- Walz, M.; Tschernig, T.; Schmidt, P.; Federspiel, J.M. TRPC6-protein expression in the elderly and in liver disease. Ann. Anat.-Anat. Anz. 2023, 245, 152016. [Google Scholar] [CrossRef]
- Abdinghoff, J.; Servello, D.; Jacobs, T.; Beckmann, A.; Tschernig, T. Evaluation of the presence of TRPC6 channels in human vessels: A pilot study using immunohistochemistry. Biomed. Rep. 2022, 16, 42. [Google Scholar] [CrossRef]
- Servello, D.; Abdinghoff, J.; Grissmer, A.; Tschernig, T. Transient receptor potential channel 6 in human skeletal muscle fibers: Investigation in fresh and conserved tissue samples. Biomed. Rep. 2022, 17, 60. [Google Scholar] [CrossRef] [PubMed]
- Federspiel, J.M.; Gartner, J.; Lipp, P.; Schmidt, P.; Tschernig, T. Elderly with Varying Extents of Cardiac Disease Show Interindividual Fluctuating Myocardial TRPC6-Immunoreactivity. J. Cardiovasc. Dev. Dis. 2023, 10, 26. [Google Scholar] [CrossRef]
- Daum, F.; Flockerzi, F.; Bozzato, A.; Schick, B.; Tschernig, T. TRPC6 is ubiquitously present in lymphatic tissues: A study using samples from body donors. Med. Int. 2024, 4, 62. [Google Scholar] [CrossRef]
- Zissler, A.; Stoiber, W.; Geissenberger, J.; Steinbacher, P.; Monticelli, F.C.; Pittner, S. Influencing factors on postmortem protein degradation for pmi estimation: A systematic review. Diagnostics 2021, 11, 1146. [Google Scholar] [CrossRef]
- Pelstring, R.J.; Allred, D.; Esther, R.J.; Lampkin, S.R.; Banks, P.M. Differential antigen preservation during tissue autolysis. Hum. Pathol. 1991, 22, 237–241. [Google Scholar] [CrossRef]
- Werner, M.; Chott, A.; Fabiano, A.; Battifora, H. Effect of formalin tissue fixation and processing on immunohistochemistry. Am. J. Surg. Pathol. 2000, 24, 1016–1019. [Google Scholar] [CrossRef] [PubMed]
- Webster, J.D.; Miller, M.A.; DuSold, D.; Ramos-Vara, J. Effects of Prolonged Formalin Fixation on Diagnostic Immunohistochemistry in Domestic Animals. J. Histochem. Cytochem. 2009, 57, 753–761. [Google Scholar] [CrossRef] [PubMed]
- Boenisch, T. Effect of heat-induced antigen retrieval following inconsistent formalin fixation. Appl. Immunohistochem. Mol. Morphol. 2005, 13, 283–286. [Google Scholar] [CrossRef]
- Bordeaux, J.; Welsh, A.; Agarwal, S.; Killiam, E.; Baquero, M.; Hanna, J.; Anagnostou, V.; Rimm, D.L. Antibody validation. Biotechniques 2010, 48, 197–209. [Google Scholar] [CrossRef]
- Kistler, A.D.; Singh, G.; Altintas, M.M.; Yu, H.; Fernandez, I.C.; Gu, C.; Wilson, C.; Srivastava, S.K.; Dietrich, A.; Walz, K.; et al. Transient receptor potential channel 6 (TRPC6) protects podocytes during complement-mediated glomerular disease. J. Biol. Chem. 2013, 288, 36598–36609. [Google Scholar] [CrossRef]
- Anti-TRPC6 Antibody. KO Validated. Alomone Labs. Available online: https://www.alomone.com/p/anti-trpc6/ACC-017?gad_source=1&gclid=Cj0KCQjw-r-vBhC-%20ARIsAGgUO2CFeRTvIqbme9D66w7FrGaYj_IVAcPPJb9qXI8jCXOM5ijV_raoSw4aAqyWE%20ALw_wcB#citation (accessed on 9 January 2025).
- Bradbury, A.; Plückthun, A. Reproducibility: Standardize antibodies used in research. Nature 2015, 518, 27–29. [Google Scholar] [CrossRef]
- Ramos-Vara, J.A.; Kiupel, M.; Baszler, T.; Bliven, L.; Brodersen, B.; Chelack, B.; West, K.; Czub, S.; Del Piero, F.; Dial, S.; et al. Suggested guidelines for immunohistochemical techniques in veterinary diagnostic laboratories. J. Vet. Diagn. Investig. 2008, 20, 393–413. [Google Scholar] [CrossRef]
- Ramos-Vara, J.A.; Miller, M.A. When Tissue Antigens and Antibodies Get Along: Revisiting the Technical Aspects of Immunohistochemistry-The Red, Brown, and Blue Technique. Vet Pathol. 2014, 51, 42–87. [Google Scholar] [CrossRef] [PubMed]
- Libard, S.; Cerjan, D.; Alafuzoff, I. Characteristics of the tissue section that influence the staining outcome in immunohistochemistry. Histochem. Cell Biol. 2019, 151, 91–96. [Google Scholar] [CrossRef] [PubMed]
- Varghese, F.; Bukhari, A.B.; Malhotra, R.; De, A. IHC Profiler: An Open Source Plugin for the Quantitative Evaluation and Automated Scoring of Immunohistochemistry Images of Human Tissue Samples. PLoS ONE 2014, 9, e96801. [Google Scholar] [CrossRef] [PubMed]
- Choudhury, K.R.; Yagle, K.J.; Swanson, P.E.; Krohn, K.A.; Rajendran, J.G. A robust automated measure of average antibody staining in immunohistochemistry images. J. Histochem. Cytochem. 2010, 58, 95–107. [Google Scholar] [CrossRef] [PubMed]
- Zehntner, S.P.; Chakravarty, M.M.; Bolovan, R.J.; Chan, C.; Bedell, B.J. Synergistic tissue counterstaining and image segmentation techniques for accurate, quantitative immunohistochemistry. J. Histochem. Cytochem. 2008, 56, 873–880. [Google Scholar] [CrossRef]
- Brookoff, D. Chronic pain: 1. A new disease? Hosp. Pract. 2000, 35, 45–59. [Google Scholar] [CrossRef]
- Encyclopedia of Pain. In Encyclopedia of Pain; Willis, W.D., Schmidt, R.F., Eds.; Springer: Berlin, Germany, 2007; Volume 1, p. 952. [Google Scholar] [CrossRef]
- Reed-Geaghan, E.G.; Maricich, S.M. Peripheral somatosensation: A touch of genetics. Curr. Opin. Genet. Dev. 2011, 21, 240–248. [Google Scholar] [CrossRef]
- Sun, W.; Miao, B.; Wang, X.-C.; Duan, J.-H.; Wang, W.-T.; Kuang, F.; Xie, R.-G.; Xing, J.-L.; Xu, H.; Song, X.-J.; et al. Reduced conduction failure of the main axon of polymodal nociceptive C-fibres contributes to painful diabetic neuropathy in rats. Brain 2012, 135, 359–375. [Google Scholar] [CrossRef]
- Saborido, A.; Molano, F.; Moro, G.; Megías, A. Regulation of dihydropyridine receptor levels in skeletal and cardiac muscle by exercise training. Pflug. Arch. 1995, 429, 364–369. [Google Scholar] [CrossRef] [PubMed]
- Zampieri, S.; Mammucari, C.; Romanello, V.; Barberi, L.; Pietrangelo, L.; Fusella, A.; Mosole, S.; Gherardi, G.; Höfer, C.; Löfler, S.; et al. Physical exercise in aging human skeletal muscle increases mitochondrial calcium uniporter expression levels and affects mitochondria dynamics. Physiol. Rep. 2016, 4, e13005. [Google Scholar] [CrossRef] [PubMed]
- Wakefield, B.; Penuela, S. Potential Implications of Exercise Training on Pannexin Expression and Function. J. Vasc. Res. 2023, 60, 114–124. [Google Scholar] [CrossRef]
- Woodrow, L.; Sheppard, P.; Gardiner, P. Transcriptional changes in rat α-motoneurons resulting from increased physical activity. Neuroscience 2013, 255, 45–54. [Google Scholar] [CrossRef]
- Nisson, P.L.; Francis, J.; Michel, M.; Patil, S.; Uchikawa, H.; Veeravagu, A.; Bonda, D. Focal motor weakness and recovery following chronic subdural hematoma evacuation. J. Neurosurg. 2024, 141, 1739–1746. [Google Scholar] [CrossRef] [PubMed]
- Namer, B.; Barta, B.; Ørstavik, K.; Schmidt, R.; Carr, R.; Schmelz, M.; Handwerker, H.O. Microneurographic assessment of C-fibre function in aged healthy subjects. J. Physiol. 2009, 587, 419–428. [Google Scholar] [CrossRef]
- Jung, S.-C.; Zhou, T.; Ko, E.-A. Age-dependent expression of ion channel genes in rat. Korean J. Physiol. Pharmacol. 2023, 27, 85–94. [Google Scholar] [CrossRef]
- Saqib, U.; Munjuluri, S.; Sarkar, S.; Biswas, S.; Mukherjee, O.; Satsangi, H.; Baig, M.S.; Obukhov, A.G.; Hajela, K. Transient Receptor Potential Canonical 6 (TRPC6) Channel in the Pathogenesis of Diseases: A Jack of Many Trades. Inflammation 2023, 46, 1144–1160. [Google Scholar] [CrossRef]
- Sun, Y.; Sukumaran, P.; Bandyopadhyay, B.C.; Singh, B.B. Physiological Function and Characterization of TRPCs in Neurons. Cells 2014, 3, 455–475. [Google Scholar] [CrossRef]







| Donor No. | Age | Days Until Fixation | Sex | Cause of Death |
|---|---|---|---|---|
| 1 | 79 | 1 | female | Multiple organ failure |
| 2 | 89 | 6 | female | Kidney failure |
| 3 | 90 | 2 | female | Disseminated intravascular coagulation |
| 4 | 91 | 1 | female | Aortic stenosis |
| 5 | 95 | 2 | female | Multiple organ failure |
| 6 | 104 | 2 | female | Cardiac failure |
| 7 | 86 | 2 | female | Kidney failure |
| 8 | 97 | 2 | female | Multiple organ failure |
| Donor No. | Ulnar Nerve | Sciatic Nerve | ||||||
|---|---|---|---|---|---|---|---|---|
| Longitudinal Section | Cross Section | Longitudinal Section | Cross Section | |||||
| Right | Left | Right | Left | Right | Left | Right | Left | |
| 1 | ++ | + | +++ | +++ | +++ | +++ | ||
| 2 | ++ | +++ | ++ | − | + | − | ||
| 3 | ++ | ++ | + | − | ++ | ++ | ++ | + |
| 4 | ++ | ++ | − | + | ||||
| 5 | + | ++ | + | + | ||||
| 6 | ++ | + | ++ | + | ||||
| 7 | + | +++ | − | ++ | ++ | ++ | +++ | +++ |
| 8 | +++ | +++ | +++ | +++ | +++ | +++ | +++ | +++ |
Disclaimer/Publisher’s Note: The statements, opinions and data contained in all publications are solely those of the individual author(s) and contributor(s) and not of MDPI and/or the editor(s). MDPI and/or the editor(s) disclaim responsibility for any injury to people or property resulting from any ideas, methods, instructions or products referred to in the content. |
© 2025 by the authors. Licensee MDPI, Basel, Switzerland. This article is an open access article distributed under the terms and conditions of the Creative Commons Attribution (CC BY) license (https://creativecommons.org/licenses/by/4.0/).
Share and Cite
Raming, C.; Meier, C.; Tschernig, T. TRPC6 in Human Peripheral Nerves—An Investigation Using Immunohistochemistry. NeuroSci 2025, 6, 44. https://doi.org/10.3390/neurosci6020044
Raming C, Meier C, Tschernig T. TRPC6 in Human Peripheral Nerves—An Investigation Using Immunohistochemistry. NeuroSci. 2025; 6(2):44. https://doi.org/10.3390/neurosci6020044
Chicago/Turabian StyleRaming, Cedric, Carola Meier, and Thomas Tschernig. 2025. "TRPC6 in Human Peripheral Nerves—An Investigation Using Immunohistochemistry" NeuroSci 6, no. 2: 44. https://doi.org/10.3390/neurosci6020044
APA StyleRaming, C., Meier, C., & Tschernig, T. (2025). TRPC6 in Human Peripheral Nerves—An Investigation Using Immunohistochemistry. NeuroSci, 6(2), 44. https://doi.org/10.3390/neurosci6020044

