Echoes of Dormancy: Anomic Aphasia Unveils Neurocysticercosis Reactivation in a Patient on Semaglutide
Abstract
1. Introduction
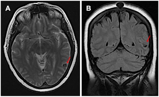
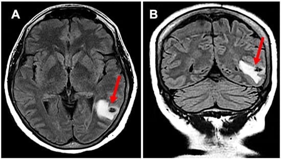
2. Case Presentation
3. Discussion
4. Conclusions
Author Contributions
Funding
Institutional Review Board Statement
Informed Consent Statement
Data Availability Statement
Acknowledgments
Conflicts of Interest
References
- Serpa, J.A.; White, A.C., Jr. Neurocysticercosis in the United States. Pathog. Glob. Health 2012, 106, 256–260. [Google Scholar] [CrossRef] [PubMed]
- Garcia, H.H.; Nash, T.E.; Del Brutto, O.H. Clinical symptoms, diagnosis, and treatment of neurocysticercosis. Lancet Neurol. 2014, 12, 1202–1215. [Google Scholar] [CrossRef] [PubMed]
- Pineda-Reyes, R.; White, A.C., Jr. Neurocysticercosis: An update on diagnosis, treatment, and prevention. Curr. Opin. Infect. Dis. 2022, 35, 246–254. [Google Scholar] [CrossRef] [PubMed]
- White, C.A., Jr.; Coyle, C.M.; Rajshekhar, V.; Singh, G.; Hauser, W.A.; Mohanty, A.; Garcia, H.H.; Nash, T.E. Guidelines by the Infectious Diseases Society of America (IDSA) and the American Society of Tropical Medicine and Hygiene (ASTMH). Clin. Infect. Dis. 2018, 66, 49–75. [Google Scholar] [CrossRef]
- Del Brutto, O.H. Neurocysticercosis. Handb. Clin. Neurol. 2014, 121, 1445–1459. [Google Scholar] [CrossRef]
- Coyle, C.M.; Mahanty, S.; Zunt, J.R.; Wallin, M.T.; Cantey, P.T.; White, A.C.; Nash, T.E. Neurocysticercosis: Neglected but not forgotten. PLoS Neglected Trop. Dis. 2012, 6, e1500. [Google Scholar] [CrossRef]
- O’Neal, S.E.; Flecker, R.H. Hospitalization frequency and charges for neurocysticercosis, United States, 2003–2012. Emerg. Infect. Dis. 2015, 21, 969–976. [Google Scholar] [CrossRef]
- Nash, T.E.; Garcia, H.H. Diagnosis and treatment of neurocysticercosis. Nat. Rev. Neurol. 2011, 7, 584–594. [Google Scholar] [CrossRef]
- World Health Organization (WHO). Taenia Solium: WHO Roadmap on Neglected Tropical Diseases 2021–2030. Available online: https://www.who.int/health-topics/taeniasis-and-cysticercosis#tab=tab_1 (accessed on 22 March 2025).
- Garg, R.K. Neurocysticercosis. Postgrad. Med. J. 1998, 872, 321–326. [Google Scholar] [CrossRef]
- Ribeiro, L.G.S.; Marcusso, H.C.; Abud, L.G. Reactivation of neurocysticercosis: Calcified nodular lesion and perilesional edema. Rev. Soc. Bras. Med. Trop. 2022, 55, 0560. [Google Scholar] [CrossRef]
- do Amaral, L.L.; Ferreira, R.M.; da Rocha, A.J.; Ferreira, N.P. Neurocysticercosis: Evaluation with advanced magnetic resonance techniques and atypical forms. Top. Magn. Reson. Imaging 2005, 16, 127–144. [Google Scholar] [CrossRef] [PubMed]
- Garcia, H.H. Neurocysticercosis. Neurol. Clin. 2018, 36, 851–864. [Google Scholar] [CrossRef] [PubMed]
- Drucker, D.J. Mechanisms of Action and Therapeutic Application of Glucagon-like Peptide-1. Cell Metab. 2018, 27, 740–756. [Google Scholar] [CrossRef] [PubMed]
- Hamamoto Filho, P.T.; Fragoso, G.; Sciutto, E.; Fleury, A. Inflammation in neurocysticercosis: Clinical relevance and impact on treatment decisions. Expert. Rev. Anti Infect. Ther. 2021, 19, 1503–1518. [Google Scholar] [CrossRef]
- Castelão, F.; Pais, M.; Marques, D.; Sequeira, M.; Marques, C.; Rios, A.C. Racemose neurocysticercosis presenting with thalamic stroke: A case report and literature review. Radiol. Case Rep. 2023, 18, 3881–3883. [Google Scholar] [CrossRef]
- Tan, H.C.; Dampil, O.A.; Marquez, M.M. Efficacy and Safety of Semaglutide for Weight Loss in Obesity Without Diabetes: A Systematic Review and Meta-Analysis. J. ASEAN Fed. Endocr Soc. 2022, 37, 65–72. [Google Scholar] [CrossRef]
- Marso, S.P.; Bain, S.C.; Consoli, A.; Eliaschewitz, F.G.; Jódar, E.; Leiter, L.A.; Lingvay, I.; Rosenstock, J.; Seufert, J.; Warren, M.L.; et al. SUSTAIN-6 Investigators. Semaglutide and Cardiovascular Outcomes in Patients with Type 2 Diabetes. N. Engl. J. Med. 2016, 375, 1834–1844. [Google Scholar] [CrossRef]
- Østergaard, J.A.; Cooper, M.E. Treatment of Type 2 Diabetes With GLP-1 Receptor Agonists Among Patients With CKD. Kidney Int. Rep. 2022, 7, 2323–2324. [Google Scholar] [CrossRef]
- Garcia, H.H.; Gonzalez, A.E.; Gilman, R.H. Taenia solium Cysticercosis and Its Impact in Neurological Disease. Clin. Microbiol. Rev. 2020, 33, e00085-19. [Google Scholar] [CrossRef]
- Uddin, J.; Garcia, H.H.; Gilman, R.H.; Gonzalez, A.E.; Friedland, J.S. Monocyte-astrocyte networks and the regulation of chemokine secretion in neurocysticercosis. J. Immunol. 2005, 175, 3273–3281. [Google Scholar] [CrossRef]
- Sikasunge, C.S.; Johansen, M.V.; Phiri, I.K.; Willingham, A.L.; Leifsson, P.S. The immune response in Taenia solium neurocysticercosis in pigs is associated with astrogliosis, axonal degeneration and altered blood-brain barrier permeability. Vet. Parasitol. 2009, 160, 242–250. [Google Scholar] [CrossRef] [PubMed]
- Zhang, Q.; Liu, C.; Shi, R.; Zhou, S.; Shan, H.; Deng, L.; Chen, T.; Guo, Y.; Zhang, Z.; Yang, G.Y.; et al. Blocking C3d+/GFAP+ A1 Astrocyte Conversion with Semaglutide Attenuates Blood-Brain Barrier Disruption in Mice after Ischemic Stroke. Aging Dis. 2022, 13, 943–959. [Google Scholar] [CrossRef] [PubMed]
- Tipa, R.O.; Balan, D.; Georgescu, M.; Ignat, L.A.; Vacaroiu, I.A.; Georgescu, D.E.; Raducu, L.; Mihai, D.A.; Chiperi, L. A Systematic Review of Semaglutide’s Influence on Cognitive Function in Preclinical Animal Models and Cell-Line Studies. Int. J. Mol. Sci. 2024, 25, 4972. [Google Scholar] [CrossRef]
- Lee, T.S.; Park, E.J.; Choi, M.; Oh, H.S.; An, Y.; Kim, T.; Kim, T.H.; Shin, B.S.; Shin, S. Novel LC-MS/MS analysis of the GLP-1 analog semaglutide with its application to pharmacokinetics and brain distribution studies in rats. J. Chromatogr. B Anal. Technol. Biomed. Life Sci. 2023, 1221, 123688. [Google Scholar] [CrossRef]
- Mahapatra, M.K.; Karuppasamy, M.; Sahoo, B.M. Therapeutic Potential of Semaglutide, a Newer GLP-1 Receptor Agonist, in Abating Obesity, Non-Alcoholic Steatohepatitis and Neurodegenerative diseases: A Narrative Review. Pharm. Res. 2022, 39, 1233–1248. [Google Scholar] [CrossRef]
- Mollan, S.P. Semaglutide and Nonarteritic Anterior Ischemic Optic Neuropathy. JAMA Ophthalmol. 2024, 142, 740–741. [Google Scholar] [CrossRef]


| Sodium | 137 (135–145) | 
| Potassium | 3.8 (3.5–5.3) | 
| Chloride | 105 (96–106) | 
| Carbon dioxide | 27 (35–45) | 
| BUN | 8 (<20) | 
| Creatinine | 0.63 (<1) | 
| Glomerular filtration rate (GFR) | >90 | 
| Glucose | 85 | 
| Lactic acid | 0 | 
| Calcium | 8.9 (8.5–10.2) | 
| Magnesium | 1.8 (1.7–2.2) | 
| Total bilirubin | 0.5 (<1.2) | 
| Aspartate aminotransferase (AST) | 26 (<35) | 
| Alanine aminotransferase (ALT) | 17 (<40) | 
| Alkaline phosphatase | 84 (44–147) | 
| Triglycerides | 62 (<150) | 
| Cholesterol | 169 (<200) | 
| Low density lipoprotein (LDL) | 81 (<100) | 
| High density lipoprotein (HDL) | 76 (>45) | 
| White blood cell (WBC) | 6.0 (4–10) | 
| Red blood cell (RBC) | 4.21 (4.3–5.6) | 
| Hemoglobin | 12.4 (11.6–15) | 
| Hematocrit | 37.1 (36–44) | 
| Platelets | 228 (150–450) | 
| Prothrombin time (PT) | 12.8 (11–13.5) | 
| Partial thromboplastin time (PTT) | 31 (25–35) | 
| International normalization rate (INR) | 1.1 (0.8–1.1) | 
| Erythrocytes sedimentation rate | 35 (<20) | 
| C-reactive protein | 3 (0.3–1) | 
| Disclaimer/Publisher’s Note: The statements, opinions and data contained in all publications are solely those of the individual author(s) and contributor(s) and not of MDPI and/or the editor(s). MDPI and/or the editor(s) disclaim responsibility for any injury to people or property resulting from any ideas, methods, instructions or products referred to in the content. | 
© 2025 by the authors. Licensee MDPI, Basel, Switzerland. This article is an open access article distributed under the terms and conditions of the Creative Commons Attribution (CC BY) license (https://creativecommons.org/licenses/by/4.0/).
Share and Cite
Osorio Borjas, M.; Hernandez, R.J.; Lopez-Lacayo, A.; Laffita Perez, D.; Oliva, Y.; Mercado, J.; Hussain, H. Echoes of Dormancy: Anomic Aphasia Unveils Neurocysticercosis Reactivation in a Patient on Semaglutide. NeuroSci 2025, 6, 40. https://doi.org/10.3390/neurosci6020040
Osorio Borjas M, Hernandez RJ, Lopez-Lacayo A, Laffita Perez D, Oliva Y, Mercado J, Hussain H. Echoes of Dormancy: Anomic Aphasia Unveils Neurocysticercosis Reactivation in a Patient on Semaglutide. NeuroSci. 2025; 6(2):40. https://doi.org/10.3390/neurosci6020040
Chicago/Turabian StyleOsorio Borjas, Marcos, Robert J. Hernandez, Angelo Lopez-Lacayo, Dalina Laffita Perez, Yanie Oliva, Julio Mercado, and Hussain Hussain. 2025. "Echoes of Dormancy: Anomic Aphasia Unveils Neurocysticercosis Reactivation in a Patient on Semaglutide" NeuroSci 6, no. 2: 40. https://doi.org/10.3390/neurosci6020040
APA StyleOsorio Borjas, M., Hernandez, R. J., Lopez-Lacayo, A., Laffita Perez, D., Oliva, Y., Mercado, J., & Hussain, H. (2025). Echoes of Dormancy: Anomic Aphasia Unveils Neurocysticercosis Reactivation in a Patient on Semaglutide. NeuroSci, 6(2), 40. https://doi.org/10.3390/neurosci6020040
 
        

 
       