Evaluation of the Biocompatibility and Osteoconduction of the Carbon Nanotube, Chitosan and Hydroxyapatite Nanocomposite with or without Mesenchymal Stem Cells as a Scaffold for Bone Regeneration in Rats
Abstract
1. Introduction
2. Materials and Methods
2.1. Carbon Nanotube, Chitosan, and Hydroxyapatite Nanocomposite (CNCHN)
2.2. Cultivation and Differentiation of Sheep Bone Marrow Mesenchymal Stem Cells (BM-MSCs)
2.3. Experimental Design
2.4. Surgical Procedures
2.5. Post-Surgical and Euthanasia Procedures
2.6. Preparation of Specimens for Histological Evaluation
2.7. Statistical Analysis
3. Results
3.1. Cultivation and Differentiation of Sheep Bone Marrow Mesenchymal Stem Cells (BM-MSCs)
3.2. Animals
3.3. Descriptive Histology of the Subcutaneous Tissue
3.4. Histomorphological Analysis of Calvaria
4. Discussion
5. Conclusions
Author Contributions
Funding
Institutional Review Board Statement
Informed Consent Statement
Data Availability Statement
Acknowledgments
Conflicts of Interest
References
- Oryan, A.; Alidadi, S.; Moshiri, A.; Maffulli, N. Bone regenerative medicine: Classic options, novel strategies, and future directions. J. Orthop. Surg. Res. 2014, 9, 18. [Google Scholar] [CrossRef]
- Wang, W.; Yeung, K. Bone grafts and biomaterials substitutes for bone defect repair: A review. Bioact. Mater. 2017, 2, 224–247. [Google Scholar] [CrossRef]
- Lopez, M.J. Bone biology and fracture healing. In Equine Surgery, 5th ed.; Auer, J.A., Stick, J.A., Kümmerle, J.M., Prange, T., Eds.; Elsevier Saunders: St Louis, MI, USA, 2018; Volume 1, pp. 1255–1270. [Google Scholar]
- Gaihre, B.; Jayasuriya, A.C. Comparative investigation of porous nano-hydroxyapatite/chitosan, nanozirconia/chitosan and novel nano-calcium zirconate/chitosan composite scaffolds for their potential applications in bone regeneration. Mat. Sci. Eng. C-Mater. 2018, 91, 330–339. [Google Scholar] [CrossRef]
- Marcondes, G.M.; Nóbrega, F.S.; Correa, L.; Arana-Chavez, V.E.; Plepis, A.M.G.; Martins, V.C.A.; Zoppa, A.L.V. Avaliação da interação biológica entre compósito de quitosana, colágeno e hidroxiapatita e tecido ósseo ovino. Arq. Bras. Med. Vet. Zootec. 2016, 68, 1531–1538. [Google Scholar] [CrossRef]
- Saravanan, S.; Leena, R.S.; Selvamurugan, N. Chitosan based biocomposite scaffolds for bone tissue engineering. Int. J. Biol. Macromol. 2016, 93, 1354–1365. [Google Scholar] [CrossRef] [PubMed]
- Paretsis, N.F.; Arana-Chavez, V.E.; Correa, L.; Plepis, A.M.G.; Martins, V.C.A.; Cortopassi, S.R.G.; Zoppa, A.L.V. Avaliação histológica e histomorfométrica da regeneração óssea a partir da utilização de biomateriais em tíbias de ovinos. Pesq. Vet. Bras. 2017, 37, 1537–1544. [Google Scholar] [CrossRef][Green Version]
- Liu, X.; George, M.N.; Park, S.; Miller II, A.L.; Gaihre, B.; Li, L.; Walettzki, B.E.; Terzix, A.; Yaszemski, M.J.; Lu, L. 3D-printed scaffolds with carbon nanotubes for bone tissue engineering: Fast and homogeneous on-step functionalization. Acta Biomater. 2020, 111, 129–140. [Google Scholar] [CrossRef]
- Patel, K.D.; Kim, T.; Mandakhbayar, N.; Singh, R.K.; Jang, J.; Lee, J.; Kim, H. Coating biopolymer nanofibers with carbon nanotubes accelerates tissue healing and bone regeneration through orchestrated cell-and tissue-regulatory responses. Acta Biomater. 2020, 108, 97–110. [Google Scholar] [CrossRef]
- Gao, C.; Feng, P.; Peng, S.; Shuai, C. Carbon nanotube, graphene and boron nitride nanotube reinforced bioactive ceramics for bone repair. Acta Biomater. 2017, 61, 1–20. [Google Scholar] [CrossRef]
- Eivazzadeh-Keihan, R.; Maleki, A.; de la Guardia, M.; Bani, M.S.; Chenab, K.K.; Pashazadeh-Panahi, P.; Baradaran, B.; Mokhtarzadeh, A.; Hamblin, M.R. Carbon based nanomaterials for tissue engineering of bone: Building new bone on small black scaffolds. J. Adv. Res. 2019, 18, 185–201. [Google Scholar] [CrossRef]
- Tayton, E.; Purcell, M.; Smith, J.O.; Lanham, S.; Howdle, S.M.; Shakesheff, K.M.; Goodship, A.; Blunn, G.; Fowler, D.; Dunlop, D.G.; et al. The scale-up of a tissue engineered porous hydroxyapatite polymer composite scaffold for use in bone repair: An ovine femoral condyle defect study. J. Biomed. Mater. Res. A 2015, 103, 1346–1356. [Google Scholar] [CrossRef]
- Blanco, J.F.; García-Briñon, J.; Benito-Garzón, L.; Pescador, D.; Muntión, S.; Sánchez-Guijo, F. Human bone marrow mesenchymal stromal cells promote bone regeneration in a xenogeneic rabbit model: A preclinical study. Stem Cells Int. 2018, 2018, 7089484. [Google Scholar] [CrossRef]
- Kjærgaard, K.; Dreyer, C.H.; Ditzel, N.; Andreasen, C.M.; Chen, L.; Sheikh, S.P.; Overgaard, S.; Ding, M. Bone formation by sheep stem cells in an ectopic mouse model: Comparison of adipose and bone marrow derived cells and identification of donor-derived bone by antibody staining. Stem Cells Int. 2016, 2016, 3846971. [Google Scholar] [CrossRef]
- Berner, A.; Henkel, J.; Woodruff, M.A.; Saifzadeh, S.; Kirby, G.; Zaiss, S.; Gohlke, J.; Reichert, J.C.; Nerlich, M.; Schuetz, M.A.; et al. Scaffold-cell bone engineering in a validated preclinical animal model: Precursors vs differentiated cell source. J. Tissue Eng. Reg. Med. 2017, 11, 2081–2089. [Google Scholar] [CrossRef] [PubMed]
- Roseti, L.; Parisi, V.; Petretta, M.; Cavallo, C.; Desando, G.; Bartolotti, I.; Grigolo, B. Scaffolds for bone tissue engineering: State of the art and new perspectives. Mater. Sci. Eng. C Mater. Biol. Appl. 2017, 78, 1246–1262. [Google Scholar] [CrossRef]
- Zhang, R.; Li, X.; Liu, Y.; Gao, X.; Zhu, T.; Lu, L. Acceleration of bone regeneration in critical-size defect using bmp-9-loaded nha/coli/mwcnts scaffolds seeded with bone marrow mesenchymal stem cells. Bio. Med. Res. Int. 2019, 2019, 7343957. [Google Scholar] [CrossRef]
- Oréfice, R.L.; Pereira, M.M.; Mansur, H.S. Biomateriais: Fundamentos e Aplicações, 1st ed.; Reimpr. Cultura Médica, Guanabara Koogan: Rio de Janeiro, Brazil, 2012; pp. 212–538. [Google Scholar]
- Li, Y.; Chen, S.K.; Li, L.; Qin, L.; Wang, X.L.; Lai, Y.X. Bone defect animal models for testing efficacy of bone substitute biomaterials. J. Orthop. Translat. 2015, 3, 95–104. [Google Scholar] [CrossRef]
- Anderson, J.M. Biological responses to materials. Anuu. Rev. Mater. Res. 2001, 31, 81–110. [Google Scholar] [CrossRef]
- Spicer, P.P.; Kretlow, J.D.; Young, S.; Jansen, J.A.; Kasper, F.K.; Mikos, A.G. Evaluation of bone regeneration using the rat critical size calvarial defect. Nat. Protoc. 2012, 7, 1918–1929. [Google Scholar] [CrossRef]
- Ferreira, L.B.; Bradaschia-Correa, V.; Moreira, M.M.; Marques, N.D.; Arana-Chavez, V.E. Evaluation of bone repair of critical size defects treated with simvastatin-loaded poly(lactic-co-glycolic acid) microspheres in rat calvaria. J. Biomater. Appl. 2015, 29, 965–976. [Google Scholar] [CrossRef]
- Wang, J.; Hao, S.; Luo, T.; Zhou, T.; Yang, X.; Wang, B. Keratose/poly (vinyl alcohol) blended nanofibers: Fabrication and biocompatibility assessment. Mater. Sci. Eng. C Mater. Biol. Appl. 2017, 72, 212–219. [Google Scholar] [CrossRef]
- Hernandes, L.; Ramos, A.L.; Micheletti, K.R.; Santi, A.P.; Cuoghi, O.A.; Salazar, M. Densitometry, radiography, and histological assessment of collagen as methods to evaluate femoral bones in an experimental model of osteoporosis. Osteoporos. Int. 2012, 23, 467–473. [Google Scholar] [CrossRef]
- Yaneva-Deliverska, M.; Deliversky, J.; Lyapina, M. Biocompatibility of biomedical devices-legal regulations in the Europe union. J. IMAB 2015, 21, 705–708. [Google Scholar] [CrossRef]
- Khorramirouz, R.; Go, J.L.; Noble, C.; Jana, S.; Maxson, E.; Lerman, A.; Young, M.D. A novel surgical technique for a rat subcutaneous implantation of a tissue engineered scaffold. Acta Histochem. 2018, 120, 282–291. [Google Scholar] [CrossRef]
- Paretsis, N.F.; Gonçalves, V.J.; Hazarbassanov, G.T.Q.; Marcondes, G.M.; Plepis, A.M.G.; Arana-Chavez, V.E.; Zoppa, A.L.V. In Vitro evaluation of hydroxyapatite, chitosan and carbon nanotube composite biomaterial for support bone healing. Braz. J. Vet. Res. Anim. Sci. 2021, 58. in press. [Google Scholar] [CrossRef]
- Smith, J.O.; Tayton, E.R.; Khan, F.; Aarvold, A.; Cook, R.B.; Goodship, A.; Bradley, M.; Oreffo, R.O. Large animal in vivo evaluation of a binary blend polymer scaffold for skeletal tissue-engineering strategies; translational issues. J. Tissue Eng. Regen. Med. 2017, 11, 1065–1076. [Google Scholar] [CrossRef]
- Feitosa, M.L.; Fadel, L.; Beltrão-Braga, P.C.; Wenceslau, C.V.; Kerkis, I.; Kerkis, A.; Birgel Júnior, E.H.; Martins, J.F.; Martins, D.; Miglino, M.A.; et al. Successful transplant of mesenchymal stem cells in induced osteonecrosis of the ovine femoral head: Preliminary results. Acta Cir. Bras. 2010, 25, 416–422. [Google Scholar] [CrossRef]
- Reichert, J.C.; Gohlke, J.; Friis, T.E.; Quent, V.M.; Hutmacher, D.W. Mesodermal and neural crest derived ovine tibial and mandibular osteoblasts display distinct molecular differences. Gene 2013, 525, 99–106. [Google Scholar] [CrossRef]
- Barberini, D.J.; Freitas, N.P.; Magnoni, M.S.; Maia, L.; Listoni, A.J.; Heckler, M.C.; Sudano, M.J.; Golim, M.A.; da Cruz Landim-Alvarenga, F.; Amorim, R.M. Equine mesenchymal stem cells from bone marrow, adipose tissue and umbilical cord: Immunophenotypic characterization and differentiation potential. Stem Cell Res. Ther. 2014, 5, 25. [Google Scholar] [CrossRef]
- Fülber, J.; Maria, D.A.; da Silva, L.C.; Massoco, C.O.; Agreste, F.; Baccarin, R.Y.A. Comparative study of equine mesenchymal stem cells from healthy and injured synovial tissues: An in vitro assessment. Stem Cell Res. Ther. 2016, 7, 35. [Google Scholar] [CrossRef]
- Burim, R.A.; Sendyk, D.I.; Hernandes, L.S.; de Souza, D.F.; Correa, L.; Deboni, M.C. Repair of critical calvarias defects with systemic epimedium sagittatum extract. J. Craniofac. Surg. 2016, 27, 799–804. [Google Scholar] [CrossRef]
- Nóbrega, F.S.; Selim, M.B.; Arana-Chavez, V.E.; Correa, L.; Ferreira, M.P.; Zoppa, A.L.V. Histologic and immunohistochemical evaluation of biocompatibility of castor oil polyurethane polymer with calcium carbonate in equine bone tissue. Am. J. Vet. Res. 2017, 78, 1210–1214. [Google Scholar] [CrossRef]
- Oliveira, H.L.; Da Rosa, W.; Cuevas-Suárez, C.E.; Carreño, N.; da Silva, A.F.; Guim, T.N.; Dellagostin, O.A.; Piva, E. Histological evaluation of bone repair with hydroxyapatite: A systematic review. Calcif. Tissue Int. 2017, 101, 341–354. [Google Scholar] [CrossRef] [PubMed]
- Türk, S.; Altınsoy, I.; Çelebi, E.G.; Ipek, M.; Özacar, M.; Bindal, C. 3D porous collagen/functionalized multiwalled carbon nanotube/chitosan/hydroxyapatite composite scaffolds for bone tissue engineering. Mater. Sci. Eng. C Mater. Biol. Appl. 2018, 92, 757–768. [Google Scholar] [CrossRef] [PubMed]
- Gomes, P.S.; Fernandes, M.H. Rodent models in bone-related research: The relevance of calvarial defects in the assessment of bone regeneration strategies. Lab. Anim. 2011, 45, 14–24. [Google Scholar] [CrossRef] [PubMed]
- Muschler, G.F.; Raut, V.P.; Patterson, T.E.; Wenke, J.C.; Hollinger, J.O. The design and use of animal models for translational research in bone tissue engineering and regenerative medicine. Tissue Eng. Part B Rev. 2010, 16, 123–145. [Google Scholar] [CrossRef]
- Kim, J.; Kim, H. Rat defect models for bone grafts and tissue engineered bone constructs. Tissue Eng. Regen. Med. 2013, 10, 310–316. [Google Scholar] [CrossRef]
- McGovern, J.A.; Griffin, M.; Hutmacher, D.W. Animal models for bone tissue engineering and modelling disease. Dis. Model. Mech. 2018, 11, 1–14. [Google Scholar] [CrossRef]
- Auer, J.A.; Goodship, A.; Arnoczky, S.; Pearce, S.; Price, J.; Claes, L.; von Rechenberg, B.; Hofmann-Amtenbrinck, M.; Schneider, E.; Müller-Terpitz, R.; et al. Refining animal models in fracture research: Seeking consensus in optimising both animal welfare and scientific validity for appropriate biomedical use. BMC Musculoskelet. Disord. 2007, 8, 72. [Google Scholar] [CrossRef]
- Peric, M.; Dumic-Cule, I.; Grcevic, D.; Matijasic, M.; Verbanac, D.; Paul, R.; Grgurevic, L.; Trkulja, V.; Bagi, C.M.; Vukicevic, S. The rational use of animal models in the evaluation of novel bone regenerative therapies. Bone 2015, 70, 73–86. [Google Scholar] [CrossRef]
- Fonseca, T.S.; da Silva, G.F.; Tanomaru-Filho, M.; Sasso-Cerri, E.; Guerreiro-Tanomaru, J.M.; Cerri, P.S. In vivo evaluation of the inflammatory response and IL-6 immunoexpression promoted by Biodentine and MTA Angelus. Int. Endod. J. 2016, 49, 145–153. [Google Scholar] [CrossRef]
- Amaral, M.B.; Viana, R.B.; Viana, K.B.; Diagone, C.A.; Denis, A.B.; Plepis, A.M.G. In vitro and in vivo response of composites based on chitosan, hydroxyapatite and collagen. Acta Scient. Tech. 2019, 42, e41102. [Google Scholar] [CrossRef]
- Sheikh, Z.; Brooks, P.J.; Barzilay, O.; Fine, N.; Glogauer, M. Macrophages, foreign body giant cells and their response to implantable biomaterials. Materials 2015, 8, 5671–5701. [Google Scholar] [CrossRef] [PubMed]
- Brennan, M.A.; Renaud, A.; Amiaud, J.; Rojewski, M.T.; Schrezenmeier, H.; Heymann, D.; Trichet, V.; Layrolle, P. Pre-clinical studies of bone regeneration with human bone marrow stromal cells and biphasic calcium phosphate. Stem Cells Res. Ther. 2014, 5, 114. [Google Scholar] [CrossRef]
- Berner, A.; Henkel, J.; Woodruff, M.A.; Steck, R.; Nerlich, M.; Schuetz, M.A.; Hutmacher, D.W. Delayed minimally invasive injection of allogenic bone marrow stromal cell sheets regenerates large bone defects in an ovine preclinical animal model. Stem Cells Transl. Med. 2015, 4, 503–512. [Google Scholar] [CrossRef] [PubMed]
- Yousefi, A.M.; James, P.F.; Akbarzadeh, R.; Subramanian, A.; Flavin, C.; Oudadesse, H. Prospect of stem cells in bone tissue engineering: A review. Stem Cells Int. 2016, 2016, 6180487. [Google Scholar] [CrossRef]
- Zhang, W.; Zhu, C.; Ye, D.; Xu, L.; Zhang, X.; Wu, Q.; Zhang, X.; Kaplan, D.L.; Jiang, X. Porous silk scaffolds for delivery of growth factors and stem cells to enhance bone regeneration. PLoS ONE 2014, 9, e102371. [Google Scholar] [CrossRef]
- Osugi, M.; Katagiri, W.; Yoshimi, R.; Inukai, T.; Hibi, H.; Ueda, M. Conditioned media from mesenchymal stem cells enhanced bone regeneration in rat calvarial bone defects. Tissue Eng. Part A 2012, 18, 1479–1489. [Google Scholar] [CrossRef]








| Group | Histopathologic Findings |
|---|---|
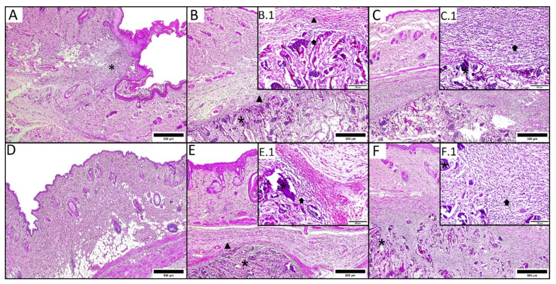
| Control 7 days | The represented fragments have a focal ulcerated area; the dermis and hypodermis have a mild to moderate inflammatory infiltrate that is predominantly histiocytic/lymphocytic, with few multinucleated giant cells phagocyting structures of a circular morphology, presenting a refringent external layer and an eosinophilic center (500 micra, compatible with suture). In one case, the foreign body was smaller in size (50–100 micra) (Figure 7A) |
| CNCHN 7 days | The represented fragments have a mineralized matrix structure (CNCHN) measuring approximately 1.5 × 0.3 cm in the hypodermis; a mild degree of the mononuclear (lymphocytic-plasmacytic and histiocytic) inflammatory response as well as mild areas of hemorrhage is observed inside the structure. The structure is surrounded by a matrix of fibrous tissue and a mild–moderate mononuclear (lymphocytic-plasmacytic and histiocytic) inflammatory infiltrate. Minimal multifocal angiogenesis is observed. No noticeable changes are observed in the epidermis or in the internal muscular layers (Figure 7B) |
| CNCHN and BM-MSCs 7 days | The represented fragments have a mineralized matrix structure measuring approximately 1.5 × 0.3 cm in the hypodermis; a moderate mononuclear (lymphocytic-plasmacytic and histiocytic) inflammatory response as well as moderate areas of hemorrhage is observed inside the structure; immature hematopoietic tissue is observed inside the structure (stem cells). The structure is surrounded by a matrix of fibrous tissue and a moderate mononuclear (lymphocytic-plasmacytic and histiocytic) inflammatory infiltrate. However, some multinucleated giant cells of foreign body type are observed. Moderate to marked areas of hemorrhage and angiogenesis are observed. No noticeable changes are observed in the epidermis or in the internal muscular layers (Figure 7C) |
| Control 30 days | The represented fragments have no noteworthy changes (Figure 7D) |
| CNCHN 30 days | The represented fragments have a mineralized matrix structure measuring approximately 1.5 × 0.3 cm in the hypodermis; a mild mononuclear (lymphocytic-plasmacytic and histiocytic) inflammatory response with few multinucleated giant cells is observed inside the structure. The structure is surrounded by a thin matrix of fibrous tissue and a minimal mononuclear (lymphocytic-plasmacytic and histiocytic) inflammatory infiltrate as well as minimal areas of hemorrhage. CNCHN is observed in the lumen inside the blood vessels of the peripheral region. Multiple areas of histiocytic infiltrate with the formation of multinucleated giant cells with intracytoplasmic brown pigment are observed in the dermis and hypodermis (Figure 7E) |
| CNCHN and BM-MSCs 30 days | The represented fragments have a structure of the mineralized matrix measuring approximately 1.5 × 0.3 cm in the hypodermis; a moderate mononuclear (lymphocytic-plasmacytic and histiocytic) inflammatory response with multinucleated giant cells (foreign body type) is observed inside the structure. There are marked areas of hemorrhage. The structure is surrounded by a thin matrix of fibrous tissue and a mild mononuclear (lymphocytic-plasmacytic and histiocytic) inflammatory infiltrate. No noticeable changes are observed in the epidermis or in the internal muscle layer (Figure 7F) |
| Control | CNCHN | CNCHN and BM-MSC | ||||||||
|---|---|---|---|---|---|---|---|---|---|---|
| Median | Percentile | Median | Percentile | Median | Percentile | p | ||||
| 25 | 75 | 25 | 75 | 25 | 75 | |||||
| Inflammatory infiltrate | 0.0 a | 0.0 | 1.5 | 1.0 a | 1.0 | 1.0 | 3.0 b | 3.0 | 4.0 | 0.005 |
| Granulation tissue | 3.0 a | 3.0 | 3.0 | 4.0 b | 4.0 | 4.0 | 4.0 b | 3.5 | 4.0 | 0.004 |
| Necrosis | 0.0 | 0.0 | 0.0 | 0.0 | 0.0 | 0.0 | 0.0 | 0.0 | 0.0 | 0.999 |
| Osteoclasts | 1.0 a | 0.0 | 1.5 | 3.0 b | 3.0 | 3.0 | 4.0 b | 3.0 | 4.0 | 0.003 |
| Neoformed vessels | 1.0 a | 1.0 | 2.5 | 3.0 a,b | 3.0 | 3.0 | 4.0 b | 2.5 | 4.0 | 0.021 |
| Bone neoformation | 2.0 a | 1.5 | 2.0 | 3.0 b | 3.0 | 3.0 | 3.0 b | 2.0 | 3.5 | 0.021 |
| Control | CNCHN | CNCHN and BM-MSC | ||||||||
|---|---|---|---|---|---|---|---|---|---|---|
| Median | Percentile | Median | Percentile | Median | Percentile | p | ||||
| 25 | 75 | 25 | 75 | 25 | 75 | |||||
| Inflammatory infiltrate | 0.0 | 0.0 | 1.0 | 0.0 | 0.0 | 1.5 | 1.0 | 1.0 | 1.0 | 0.212 |
| Granulation tissue | 2.0 a | 1.5 | 2.0 | 3.0 b | 3.0 | 3.0 | 3.0 b | 3.0 | 3.0 | 0.001 |
| Necrosis | 0.0 | 0.0 | 0.0 | 0.0 | 0.0 | 0.0 | 0.0 | 0.0 | 0.0 | 0.999 |
| Osteoclasts | 0.0 a | 0.0 | 1.0 | 2.0 b | 1.0 | 2.0 | 1.0 a,b | 1.0 | 1.0 | 0.015 |
| Neoformed vessels | 1.0 a | 1.0 | 1.0 | 2.0 b | 1.0 | 2.0 | 1.0 a | 1.0 | 1.0 | 0.030 |
| Bone neoformation | 2.0 a | 2.0 | 2.0 | 3.0 b | 3.0 | 3.0 | 3.0 b | 3.0 | 3.0 | 0.001 |
Publisher’s Note: MDPI stays neutral with regard to jurisdictional claims in published maps and institutional affiliations. |
© 2021 by the authors. Licensee MDPI, Basel, Switzerland. This article is an open access article distributed under the terms and conditions of the Creative Commons Attribution (CC BY) license (https://creativecommons.org/licenses/by/4.0/).
Share and Cite
Marcondes, G.M.; Paretsis, N.F.; Fülber, J.; Navas-Suárez, P.E.; Mori, C.M.C.; Plepis, A.M.G.; Martins, V.C.A.; Fantoni, D.T.; Zoppa, A.L.V. Evaluation of the Biocompatibility and Osteoconduction of the Carbon Nanotube, Chitosan and Hydroxyapatite Nanocomposite with or without Mesenchymal Stem Cells as a Scaffold for Bone Regeneration in Rats. Osteology 2021, 1, 118-131. https://doi.org/10.3390/osteology1030013
Marcondes GM, Paretsis NF, Fülber J, Navas-Suárez PE, Mori CMC, Plepis AMG, Martins VCA, Fantoni DT, Zoppa ALV. Evaluation of the Biocompatibility and Osteoconduction of the Carbon Nanotube, Chitosan and Hydroxyapatite Nanocomposite with or without Mesenchymal Stem Cells as a Scaffold for Bone Regeneration in Rats. Osteology. 2021; 1(3):118-131. https://doi.org/10.3390/osteology1030013
Chicago/Turabian StyleMarcondes, Geissiane M., Nicole F. Paretsis, Joice Fülber, Pedro Enrique Navas-Suárez, Claudia M. C. Mori, Ana Maria G. Plepis, Virginia C. A. Martins, Denise T. Fantoni, and André L. V. Zoppa. 2021. "Evaluation of the Biocompatibility and Osteoconduction of the Carbon Nanotube, Chitosan and Hydroxyapatite Nanocomposite with or without Mesenchymal Stem Cells as a Scaffold for Bone Regeneration in Rats" Osteology 1, no. 3: 118-131. https://doi.org/10.3390/osteology1030013
APA StyleMarcondes, G. M., Paretsis, N. F., Fülber, J., Navas-Suárez, P. E., Mori, C. M. C., Plepis, A. M. G., Martins, V. C. A., Fantoni, D. T., & Zoppa, A. L. V. (2021). Evaluation of the Biocompatibility and Osteoconduction of the Carbon Nanotube, Chitosan and Hydroxyapatite Nanocomposite with or without Mesenchymal Stem Cells as a Scaffold for Bone Regeneration in Rats. Osteology, 1(3), 118-131. https://doi.org/10.3390/osteology1030013

