Metastatic Jejunal Adenocarcinoma in the Hepatobiliary Limb Post-Liver Transplant: Diagnostic Challenges in a Patient with Roux-en-Y Gastric Bypass †
Abstract
1. Introduction
2. Case Presentation
3. Discussion
4. Limitations
5. Conclusions
Author Contributions
Funding
Institutional Review Board Statement
Informed Consent Statement
Data Availability Statement
Conflicts of Interest
References
- Aparicio, T.; Pachev, A.; Laurent-Puig, P.; Svrcek, M. Epidemiology, Risk Factors and Diagnosis of Small Bowel Adenocarcinoma. Cancers 2022, 14, 2268. [Google Scholar] [CrossRef] [PubMed]
- Dabaja, B.S.; Suki, D.; Pro, B.; Bonnen, M.; Ajani, J. Adenocarcinoma of the small bowel: Presentation, prognostic factors, and outcome of 217 patients. Cancer 2004, 101, 518–526. [Google Scholar] [CrossRef] [PubMed]
- Khosla, D.; Dey, T.; Madan, R.; Gupta, R.; Goyal, S.; Kumar, N.; Kapoor, R. Small bowel adenocarcinoma: An overview. World J. Gastrointest. Oncol. 2022, 14, 413–422. [Google Scholar] [CrossRef]
- Kang, W.-H. Surveillance and management of de novo malignancy after liver transplantation. Ann. Liver Transplant. 2024, 4, 10–15. [Google Scholar] [CrossRef]
- Haagsma, E.B.; Hagens, V.E.; Schaapveld, M.; van den Berg, A.P.; de Vries, E.G.; Klompmaker, I.J.; Slooff, M.J.; Jansen, P.L. Increased cancer risk after liver transplantation: A population-based study. J. Hepatol. 2001, 34, 84–91. [Google Scholar] [CrossRef] [PubMed]
- Sanchez, W.; Talwalkar, J.A.; Gores, G.J. Will all liver transplantation patients eventually die from cancer? J. Hepatol. 2006, 44, 13–18. [Google Scholar] [CrossRef]
- Chandok, N.; Watt, K.D. Burden of de novo malignancy in the liver transplant recipient. Liver Transplant. 2012, 18, 1277–1289. [Google Scholar] [CrossRef] [PubMed]
- Colmenero, J.; Tabrizian, P.; Bhangui, P.; Pinato, D.J.; Rodríguez-Perálvarez, M.L.; Sapisochin, G.; Bhoori, S.; Pascual, S.; Senzolo, M.; Al-Adra, D.; et al. De Novo Malignancy After Liver Transplantation: Risk Assessment, Prevention, and Management-Guidelines From the ILTS-SETH Consensus Conference. Transplantation 2022, 106, e30–e45. [Google Scholar] [CrossRef]
- Rizzello, M.; Angelis, F.D.; Campanile, F.C.; Silecchia, G. Effect of Gastrointestinal Surgical Manipulation on Metabolic Syndrome: A Focus on Metabolic Surgery. Gastroenterol. Res. Pract. 2012, 2012, 670418. [Google Scholar] [CrossRef][Green Version]
- Sakae, H.; Kanzaki, H.; Nasu, J.; Akimoto, Y.; Matsueda, K.; Yoshioka, M.; Nakagawa, M.; Hori, S.; Inoue, M.; Inaba, T.; et al. The characteristics and outcomes of small bowel adenocarcinoma: A multicentre retrospective observational study. Br. J. Cancer 2017, 117, 1607–1613. [Google Scholar] [CrossRef] [PubMed]
- Zaanan, A.; Costes, L.; Gauthier, M.; Malka, D.; Locher, C.; Mitry, E.; Tougeron, D.; Lecomte, T.; Gornet, J.M.; Sobhani, I.; et al. Chemotherapy of advanced small-bowel adenocarcinoma: A multicenter AGEO study. Ann. Oncol. 2010, 21, 1786–1793. [Google Scholar] [CrossRef] [PubMed]
- Overman, M.J.; Hu, C.-Y.; Wolff, R.A.; Chang, G.J. Prognostic value of lymph node evaluation in small bowel adenocarcinoma: Analysis of the surveillance, epidemiology, and end results database. Cancer 2010, 116, 5374–5382. [Google Scholar] [CrossRef]
- Cronin, C.G.; Scott, J.; Kambadakone, A.; Catalano, O.A.; Sahani, D.; Blake, M.A.; McDermott, S. Utility of positron emission tomography/CT in the evaluation of small bowel pathology. Br. J. Radiol. 2012, 85, 1211–1221. [Google Scholar] [CrossRef] [PubMed]
- Campos, S.; Poley, J.-W.; Driel L van Bruno, M.J. The role of EUS in diagnosis and treatment of liver disorders. Endosc. Int. Open. 2019, 7, E1262. [Google Scholar] [CrossRef] [PubMed]
- Pineda, J.J.; Diehl, D.L.; Miao, C.L.; Johal, A.S.; Khara, H.S.; Bhanushali, A.; Chen, E.Z. EUS-guided liver biopsy provides diagnostic samples comparable with those via the percutaneous or transjugular route. Gastrointest Endosc. 2016, 83, 360–365. [Google Scholar] [CrossRef] [PubMed]
- Minaga, K.; Kitano, M.; Nakai, A.; Omoto, S.; Kamata, K.; Yamao, K.; Takenaka, M.; Tsurusaki, M.; Chikugo, T.; Matsumoto, I.; et al. Improved detection of liver metastasis using Kupffer-phase imaging in contrast-enhanced harmonic EUS in patients with pancreatic cancer (with video). Gastrointest. Endosc. 2021, 93, 433–441. [Google Scholar] [CrossRef] [PubMed]
- Mitchell, B.G.; Gupta, N. Roux-en-Y Gastric Bypass. In StatPearls; StatPearls Publishing: Treasure Island, FL, USA, 2024. [Google Scholar]
- Morrell, D.; Pauli, E.; Juza, R. Endoscopy in surgically altered anatomy. Ann. Laparosc. Endosc. Surg. 2019, 4, 41. [Google Scholar] [CrossRef]
- Burra, P.; Rodriguez-Castro, K.I. Neoplastic disease after liver transplantation: Focus on de novo neoplasms. World J. Gastroenterol. 2015, 21, 8753–8768. [Google Scholar] [CrossRef]
- Martin, P.; DiMartini, A.; Feng, S.; Brown, R.J.; Fallon, M. Evaluation for liver transplantation in adults: 2013 practice guideline by the American Association for the Study of Liver Diseases and the American Society of Transplantation. Hepatology 2014, 59, 1144. [Google Scholar] [CrossRef] [PubMed]





| Laboratory Test | Before Admission | During Admission | Day of Discharge |
|---|---|---|---|
| Alkaline Phosphatase (units/L) | 395 | 483 | 323 |
| Aspartate Transaminase (units/L) | 60 | 104 | 24 |
| Alanine Transaminase (units/L) | 38 | 100 | 19 |
| Gamma-glutamyl Transferase (units/L) | 183 | 209 | 165 |
| Lactate Dehydrogenase (units/L) | 341 | - | - |
| Total Bilirubin (mg/dL) | 2.4 | 0.9 | 0.5 |
| Creatinine (mg/dL) | 2.5 | 1.6 | 1.6 |
| Hemoglobin (g/dL) | 5.3 | 6 | 7.6 |
| Platelets (K/mcL) | 186 | 233 | 296 |
| White Blood Cells (K/mcL) | 2.99 | 2.57 | 3.69 |
| Alpha-fetoprotein (ng/mL) | - | 2.3 | - |
| CA-19-9 (unit/mL) | - | 133.7 | - |
| Carcinoembryonic Antigen (ng/mL) | - | 1.3 | - |
| Hospitalization Day | Procedure Name | Findings |
|---|---|---|
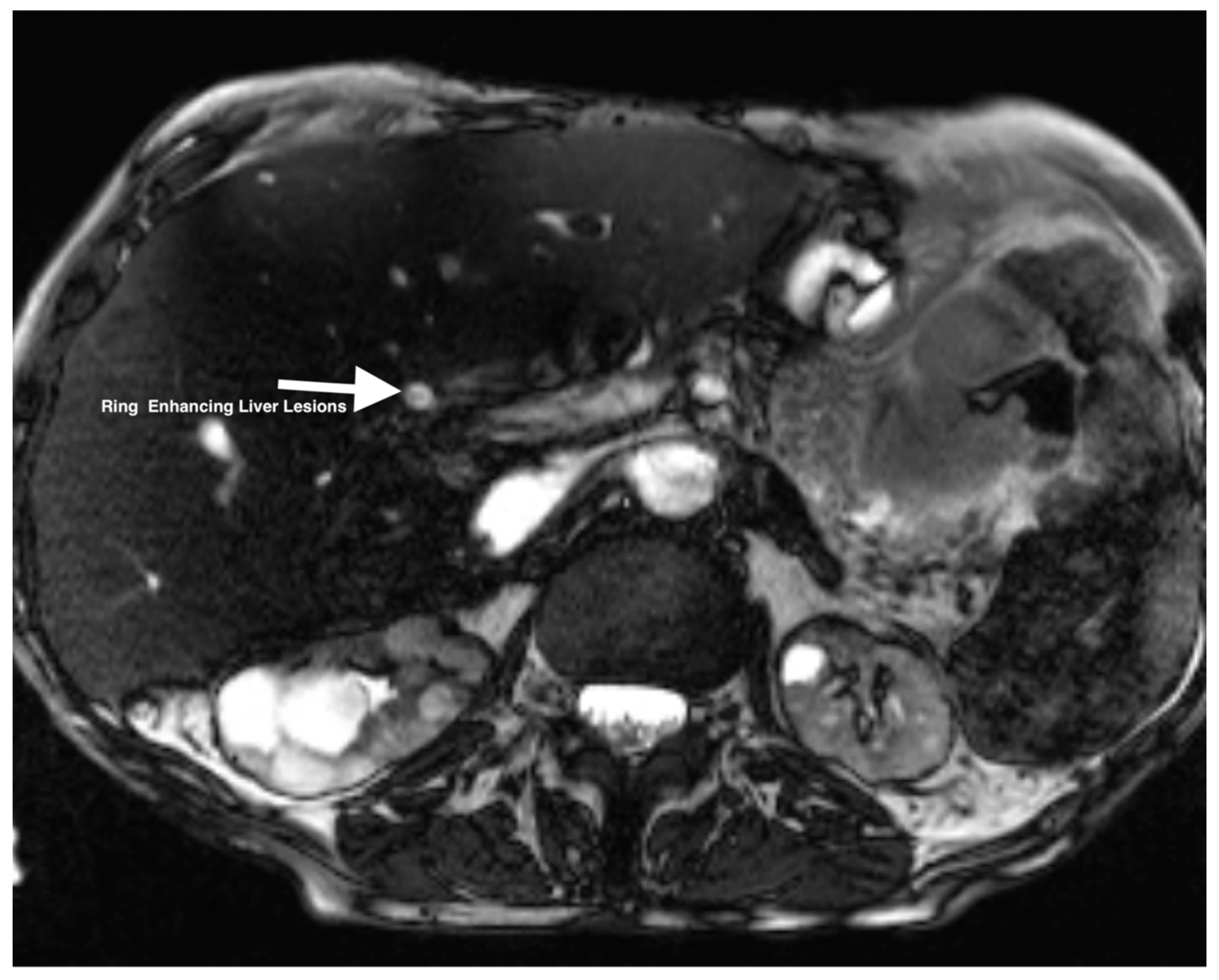
| 2 | CTA abdomen/pelvis | Focus of hyperintensity on the venous phase in the loop of jejunum suggestive of active bleeding without evidence of arterial extravasation. Multiple hypodense lesions throughout the transplanted liver. |
| 2 | Endoscopy via G-tube site using a bronchoscope | No evidence of active or prior bleeding in the visualized areas of the remnant stomach. The scope was not passed across the pylorus due to technical difficulties. |
| 2 | US-guided liver biopsy | Consistent with adenocarcinoma with abundant necrosis and multiple clusters of bacteria within the areas of necrosis. |
| 3, 4 | EGD and colonoscopy | Unremarkable in localizing primary site. |
| 4 | Capsule endoscopy | Unremarkable evaluation of the small intestine. |
| 6 | Tagged red blood cell gastrointestinal scan | Positive for the focus of increased tagged red blood cells along the splenic flexure and extending inferiorly towards the midline. |
| 10 | PET-CT (Figure 2 and Figure 3) | Focal intense FDG uptake in the left upper quadrant in the small bowel loop and multifocal FDG avid hepatic metastasis. |
| 11 | Repeat endoscopy (via G-tube) (Figure 4) | A partially obstructing lesion of 5 cm noted in the jejunum in the pancreaticobiliary limb of the remnant pouch with evidence of bleeding. |
Disclaimer/Publisher’s Note: The statements, opinions and data contained in all publications are solely those of the individual author(s) and contributor(s) and not of MDPI and/or the editor(s). MDPI and/or the editor(s) disclaim responsibility for any injury to people or property resulting from any ideas, methods, instructions or products referred to in the content. |
© 2024 by the authors. Licensee MDPI, Basel, Switzerland. This article is an open access article distributed under the terms and conditions of the Creative Commons Attribution (CC BY) license (https://creativecommons.org/licenses/by/4.0/).
Share and Cite
Shah, Y.R.; Cezar, C.; Khan, H.; Inamdar, S.; Garcia Saenz De Sicilia, M.; Deneke, M.G.; Rude, M.K. Metastatic Jejunal Adenocarcinoma in the Hepatobiliary Limb Post-Liver Transplant: Diagnostic Challenges in a Patient with Roux-en-Y Gastric Bypass. Gastrointest. Disord. 2025, 7, 2. https://doi.org/10.3390/gidisord7010002
Shah YR, Cezar C, Khan H, Inamdar S, Garcia Saenz De Sicilia M, Deneke MG, Rude MK. Metastatic Jejunal Adenocarcinoma in the Hepatobiliary Limb Post-Liver Transplant: Diagnostic Challenges in a Patient with Roux-en-Y Gastric Bypass. Gastrointestinal Disorders. 2025; 7(1):2. https://doi.org/10.3390/gidisord7010002
Chicago/Turabian StyleShah, Yash R., Carensa Cezar, Heena Khan, Sumant Inamdar, Mauricio Garcia Saenz De Sicilia, Matthew G. Deneke, and Mary K. Rude. 2025. "Metastatic Jejunal Adenocarcinoma in the Hepatobiliary Limb Post-Liver Transplant: Diagnostic Challenges in a Patient with Roux-en-Y Gastric Bypass" Gastrointestinal Disorders 7, no. 1: 2. https://doi.org/10.3390/gidisord7010002
APA StyleShah, Y. R., Cezar, C., Khan, H., Inamdar, S., Garcia Saenz De Sicilia, M., Deneke, M. G., & Rude, M. K. (2025). Metastatic Jejunal Adenocarcinoma in the Hepatobiliary Limb Post-Liver Transplant: Diagnostic Challenges in a Patient with Roux-en-Y Gastric Bypass. Gastrointestinal Disorders, 7(1), 2. https://doi.org/10.3390/gidisord7010002

