Traumatic Ulcerative Granuloma with Stromal Eosinophilia Treated with Intralesional Injections of Triamcinolone Acetonide: A Case Report
Abstract
1. Introduction
2. Materials and Methods
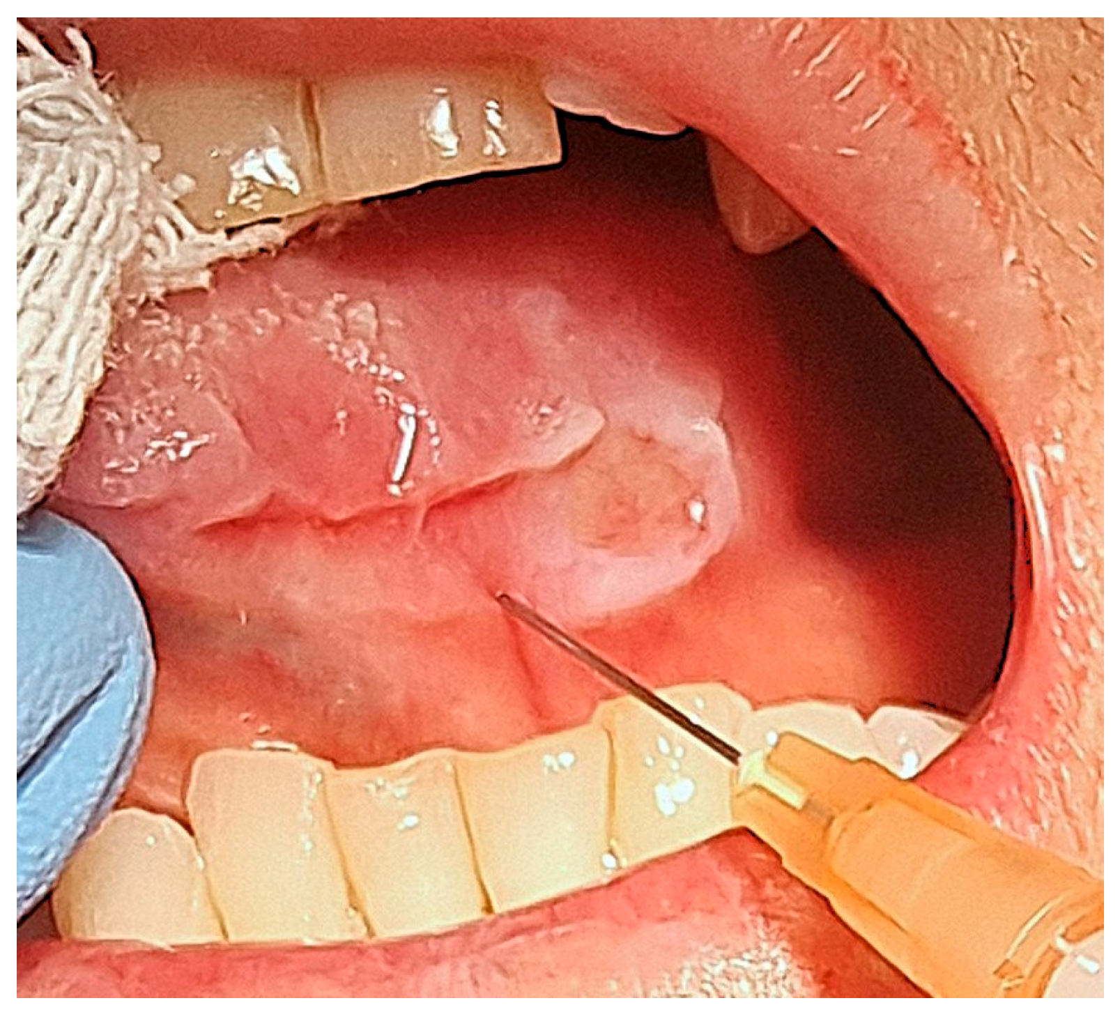
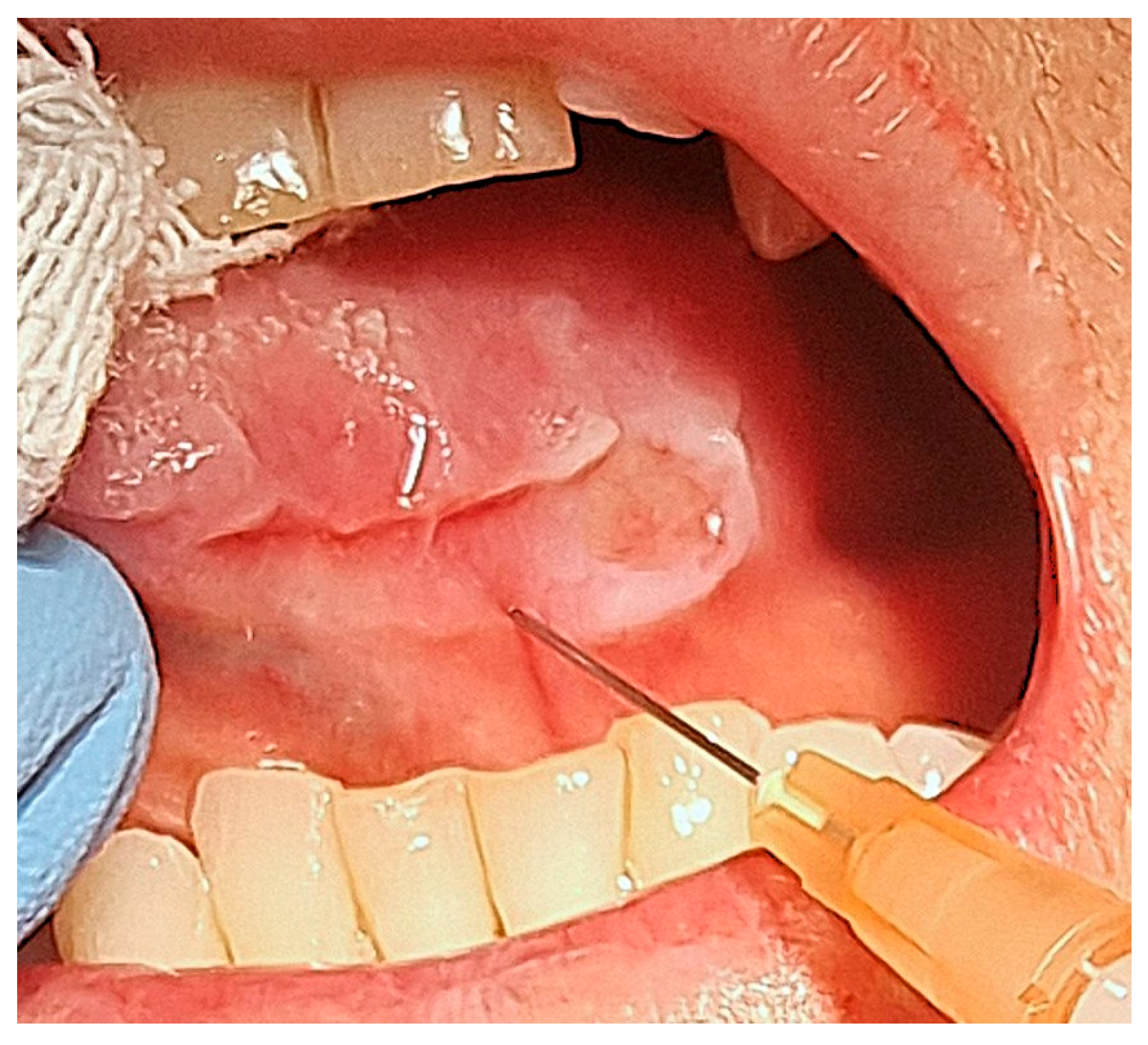
Case Treatment
3. Results
4. Discussion
4.1. Histology and Immunohistochemistry
4.2. Differential Diagnosis
4.3. Treatment
5. Conclusions
Author Contributions
Funding
Institutional Review Board Statement
Informed Consent Statement
Data Availability Statement
Conflicts of Interest
References
- Sah, K.; Chandra, S.; Singh, A.; Singh, S. Eosinophilic ulcer of the tongue masquerading as malignant ulcer: An unexplored distinct pathology. J. Oral Maxillofac. Pathol. 2017, 21, 321. [Google Scholar] [CrossRef] [PubMed] [PubMed Central]
- Didona, D.; Paolino, G.; Donati, M.; Didona, B.; Calvieri, S. Eosinophilic ulcer of the tongue--Case report. An. Bras. Dermatol. 2015, 90 (3 Suppl. S1), 88–90. [Google Scholar] [CrossRef] [PubMed] [PubMed Central]
- Prabhu Venkatesh, D.; Ramalingam, K.; Ramani, P.; Bhaskaran, R. Traumatic Ulcerative Granuloma With Stromal Eosinophilia (TUGSE): A Case Report. Cureus 2024, 16, e71579. [Google Scholar] [CrossRef] [PubMed] [PubMed Central]
- Dhanrajani, P.; Cropley, P.W. Oral eosinophilic or traumatic ulcer: A case report and brief review. Natl. J. Maxillofac. Surg. 2015, 6, 237–240. [Google Scholar] [CrossRef] [PubMed] [PubMed Central]
- Sidana, S.O.; Chavan, S.R.; Baviskar, P.S.; Natarajan, S. Traumatic ulcerative granuloma with stromal eosinophilia (TUGSE): A rare pathology with unusual behavior. J. Oral Maxillofac. Pathol. 2023, 27, 605. [Google Scholar] [CrossRef] [PubMed] [PubMed Central]
- Hannan, T.A.; Umer, M.; Syed, L.; Anis-Alavi, M.A. A case report of traumatic ulcerative granuloma with stromal eosinophilia (TUGSE) in a 21-year-old. Clin. Case Rep. 2020, 8, 2214–2216. [Google Scholar] [CrossRef] [PubMed] [PubMed Central]
- Bordignon, N.C.; Correia-Neto, I.J.; Gondak, R.; de Albuquerque-Júnior, R.L. Traumatic ulcerative granuloma with stromal eosinophilia mimicking a squamous cell carcinoma. J. Clin. Exp. Dent. 2024, 16, e377–e382. [Google Scholar] [CrossRef] [PubMed] [PubMed Central]
- Taghi, A.; Motamedi, M.H. Riga-Fede disease: A histological study and case report. Indian J. Dent. Res. 2009, 20, 227–229. [Google Scholar] [CrossRef] [PubMed]
- SahanaPushpa, T.; Balamurugan, R. Traumatic ulcerative granuloma with stromal eosinophilia (TUGSE): A rare presentation and case report. Can. J. Dent. Hyg. 2022, 56, 39–41. [Google Scholar] [PubMed] [PubMed Central]
- Kacar, S.; Duprez, T.; Gheysens, O.; Schmitz, S.; Van Eeckhout, P. Traumatic ulcerative granuloma with stromal eosinophilia (TUGSE): Case report of a 63-year-old male patient with a rare self-healing oral mucosal lesion. J. Stomatol. Oral Maxillofac. Surg. 2024, 125 (12 Suppl. S2), 101514. [Google Scholar] [CrossRef] [PubMed]
- Wolk, R.; Trochesset, D. Traumatic Ulcerative Granuloma with Stromal Eosinophilia: From Reactive Process to Low Grade CD30 + lymphoproliferative Disorder. Head Neck Pathol. 2025, 19, 70. [Google Scholar] [CrossRef] [PubMed] [PubMed Central]
- Akhavan, A.; Mosavi, A.; Jarrahi, M.; Navabii, H. Eosinophilic ulcer of the tongue in an 80-year-old Iranian woman after a psychologically stressful event. BMJ Case Rep. 2013, 2013, bcr2012008487. [Google Scholar] [CrossRef] [PubMed] [PubMed Central]
- Bortoluzzi, M.C.; Passador-Santos, F.; Capella, D.L.; Manfro, G.; Nodari RJJr Presta, A.A. Eosinophilic ulcer of oral mucosa: A case report. Ann. Stomatol. 2012, 3, 11–13. [Google Scholar] [PubMed] [PubMed Central]
- Khaleel Ahmed, M.; Jafer, M.; Nayeem, M.; Hussain Moafa, I.; Quadri, M.F.A.; Gopalaiah, H.; Ali Quadri, M.F. Low-Level Laser Therapy and Topical Medications for Treating Aphthous Ulcers: A Systematic Review. J. Multidiscip. Healthc. 2020, 13, 1595–1605. [Google Scholar] [CrossRef] [PubMed] [PubMed Central]
- Aizic, A.; Raiser, V.; Solar, I.; Aharon, Z.; Shlomi, B.; Kaplan, I. Traumatic Ulcerative Granuloma with Stromal Eosinophilia: CD30 analysis and clonality for T cell receptor gene re-arrangement. Acta Histochem. 2019, 121, 151450. [Google Scholar] [CrossRef] [PubMed]
- Benitez, B.; Mülli, J.; Tzankov, A.; Kunz, C. Traumatic ulcerative granuloma with stromal eosinophilia—Clinical case report, literature review, and differential diagnosis. World J. Surg. Oncol. 2019, 17, 184. [Google Scholar] [CrossRef] [PubMed] [PubMed Central]
- Misra, S.R.; Banerjee, A.; Das, R. Traumatic ulcer, TUGSE and malignant ulcer on lateral tongue: A trio of similar clinical entities confounding the oral diagnostician! Oral Oncol. 2022, 125, 105679. [Google Scholar] [CrossRef] [PubMed]
- Fonseca, F.P.; de Andrade, B.A.; Coletta, R.D.; Vargas, P.A.; Lopes, M.A.; de Almeida, O.P.; Santos-Silva, A.R. Clinicopathological and immunohistochemical analysis of 19 cases of oral eosinophilic ulcers. Oral Surg. Oral Med. Oral Pathol. Oral Radiol. 2013, 115, 532–540. [Google Scholar] [CrossRef] [PubMed]
- Pergolini, D.; Mohsen, M.; Basile, F.; Marini Grassetti, F.; Palaia, G.; Tenore, G.; Romeo, U. Clinical Correlation Between Antihypercholesterolemic and Antihypertensive Drugs with Oral Lichenoid Lesions: Literature Review and Preliminary Retrospective Analysis. Appl. Sci. 2025, 15, 3750. [Google Scholar] [CrossRef]
- Kachlan, M.O.; Brooks, J.K.; Fantozzi, P.J.; Tenore, G.; Romeo, U.; Pergolini, D.; Sultan, A.S. Oral mucosal adverse events following administration of an immune checkpoint inhibitor: A case report. Gen. Dent. 2025, 73, 10–14. [Google Scholar] [PubMed]
- Del Vecchio, A.; Tenore, G.; Luzi, M.C.; Palaia, G.; Mohsen, A.; Pergolini, D.; Romeo, U. Laser Photobiomodulation (PBM)-A Possible New Frontier for the Treatment of Oral Cancer: A Review of In Vitro and In Vivo Studies. Healthcare 2021, 9, 134. [Google Scholar] [CrossRef] [PubMed] [PubMed Central]
- Falivene, G.; Pergolini, D.; Purrazzella, A.; Todescato, L.; Mohsen, M.; Cozzolino, P.; Palaia, G. Autotrapianto di un canino incluso adiuvato da L-PRF e PBM: Case report. Dent. Cadmos 2025, 93, 2–21. [Google Scholar] [CrossRef]
- Tariq, M.; Jalli, V.V.; Dhurubatha, J.; Medhi, R.; Malawat, K.; Gowdar, I.M.; Arya, S. Clinical Efficacy of Topical Kenacort and Aloe Vera Gel in Minor Aphthous Stomatitis: A Comparative Study. J. Pharm. Bioallied Sci. 2024, 16 (Suppl. S1), S570–S573. [Google Scholar] [CrossRef] [PubMed] [PubMed Central]
- Monteiro, R.C.; Bhat, M.R.; Martis, J.; Kamath, H.G. A Comparative Study of the Efficacy of Intralesional 5 Fluorouracil vs Combination of 5 Fluorouracil with Triamcinolone Acetonide in Keloids. Indian J. Dermatol. 2022, 67, 211–215. [Google Scholar] [CrossRef] [PubMed] [PubMed Central]
- Fantozzi, P.J.; Treister, N.; Shekar, R.; Woo, S.B.; Villa, A. Intralesional triamcinolone acetonide therapy for inflammatory oral ulcers. Oral Surg. Oral Med. Oral Pathol. Oral Radiol. 2019, 128, 485–490, Erratum in: Oral Surg. Oral Med. Oral Pathol. Oral Radiol. 2020, 129, 549. https://doi.org/10.1016/j.oooo.2020.02.007. [Google Scholar] [CrossRef] [PubMed]
- Xia, J.; Li, C.; Hong, Y.; Yang, L.; Huang, Y.; Cheng, B. Short-term clinical evaluation of intralesional triamcinolone acetonide injection for ulcerative oral lichen planus. J. Oral. Pathol. Med. 2006, 35, 327–331. [Google Scholar] [CrossRef] [PubMed]
- Qu, X.; Guo, X.; Zhu, T.; Zhang, Z.; Wang, W.; Hao, Y. Microneedle patches containing mesoporous polydopamine nanoparticles loaded with triamcinolone acetonide for the treatment of oral mucositis. Front. Bioeng. Biotechnol. 2023, 11, 1203709. [Google Scholar] [CrossRef] [PubMed] [PubMed Central]
- Kuo, R.C.; Lin, H.P.; Sun, A.; Wang, Y.P. Prompt healing of erosive oral lichen planus lesion after combined corticosteroid treatment with locally injected triamcinolone acetonide plus oral prednisolone. J. Formos. Med. Assoc. 2013, 112, 216–220. [Google Scholar] [CrossRef] [PubMed]
- Kang, K.H.; Byun, J.S.; Jung, J.K.; Kim, J.R. Mucosal deposit after triamcinolone injection: A case report. BMC Oral Health 2025, 25, 561. [Google Scholar] [CrossRef] [PubMed] [PubMed Central]
- Kuriyama, Y.; Shimizu, A.; Toki, S.; Endo, Y.; Yasuda, M.; Motegi, S.I.; Ishikawa, O. Two cases of chronic oral ulcers effectively treated with systemic corticosteroid therapy: Circumorificial plasmacytosis and traumatic ulcerative granuloma with stromal eosinophilia. J. Dermatol. 2019, 46, 48–51. [Google Scholar] [CrossRef] [PubMed]





Disclaimer/Publisher’s Note: The statements, opinions and data contained in all publications are solely those of the individual author(s) and contributor(s) and not of MDPI and/or the editor(s). MDPI and/or the editor(s) disclaim responsibility for any injury to people or property resulting from any ideas, methods, instructions or products referred to in the content. |
© 2025 by the authors. Licensee MDPI, Basel, Switzerland. This article is an open access article distributed under the terms and conditions of the Creative Commons Attribution (CC BY) license (https://creativecommons.org/licenses/by/4.0/).
Share and Cite
Pergolini, D.; Purrazzella, A.; Mohsen, M.; Di Gioia, C.R.T.; Polimeni, A.; Palaia, G. Traumatic Ulcerative Granuloma with Stromal Eosinophilia Treated with Intralesional Injections of Triamcinolone Acetonide: A Case Report. Reports 2025, 8, 254. https://doi.org/10.3390/reports8040254
Pergolini D, Purrazzella A, Mohsen M, Di Gioia CRT, Polimeni A, Palaia G. Traumatic Ulcerative Granuloma with Stromal Eosinophilia Treated with Intralesional Injections of Triamcinolone Acetonide: A Case Report. Reports. 2025; 8(4):254. https://doi.org/10.3390/reports8040254
Chicago/Turabian StylePergolini, Daniele, Angelo Purrazzella, Mohamed Mohsen, Cira Rosaria Tiziana Di Gioia, Antonella Polimeni, and Gaspare Palaia. 2025. "Traumatic Ulcerative Granuloma with Stromal Eosinophilia Treated with Intralesional Injections of Triamcinolone Acetonide: A Case Report" Reports 8, no. 4: 254. https://doi.org/10.3390/reports8040254
APA StylePergolini, D., Purrazzella, A., Mohsen, M., Di Gioia, C. R. T., Polimeni, A., & Palaia, G. (2025). Traumatic Ulcerative Granuloma with Stromal Eosinophilia Treated with Intralesional Injections of Triamcinolone Acetonide: A Case Report. Reports, 8(4), 254. https://doi.org/10.3390/reports8040254

