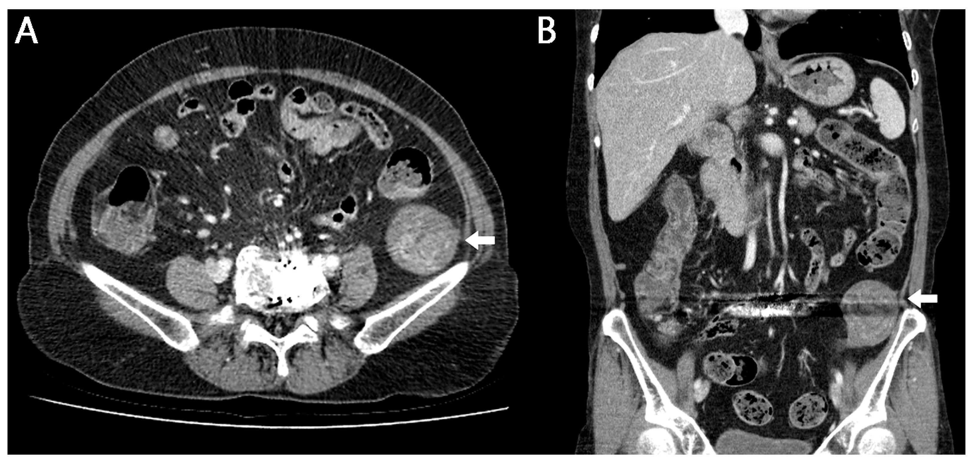
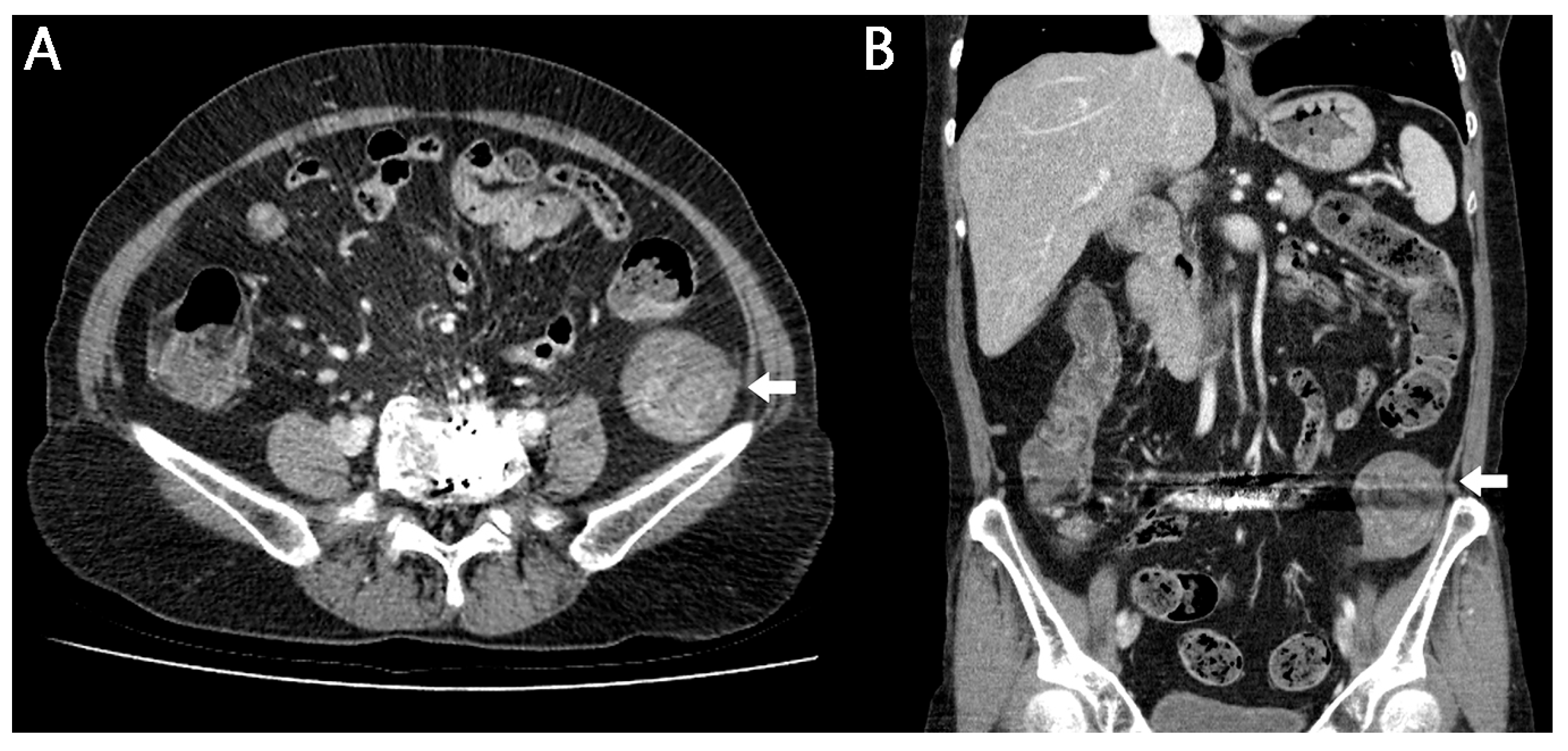
Gossypiboma, a Rare Cause of Abdominal Pain: A Case Report
Abstract


Author Contributions
Funding
Institutional Review Board Statement
Informed Consent Statement
Data Availability Statement
Conflicts of Interest
Abbreviations
| CT | Computed Tomography |
References
- Williams, R.G.; Bragg, D.G.; Nelson, J.A. Gossypiboma—The problem of the retained surgical sponge. Radiology 1978, 129, 323–326. [Google Scholar] [CrossRef] [PubMed]
- Kim, H.D.; Kim, J.H.; Cha, C.K.; Kim, D.K.; Song, J.Y.; Cho, I.H.; Lim, H.S.; Kim, J.H.; Ko, K.H.; Kim, W.W.; et al. A Case of a Retained Surgical Sponge Diagnosed by Colonoscopy. Korean J. Gastrointest. Endosc. 2001, 23, 515–519. [Google Scholar]
- Park, J.S.; Park, D.I. Gossypiboma (Textiloma) due to Retained Surgical Gauze. Korean J. Gastroenterol. 2006, 48, 143–144. [Google Scholar] [PubMed]
- Lata, I.; Kapoor, D.; Sahu, S. Gossypiboma, a rare cause of acute abdomen: A case report and review of literature. Int. J. Crit. Illn. Inj. Sci. 2011, 1, 157–160. [Google Scholar] [CrossRef] [PubMed]
- Gawande, A.A.; Studdert, D.M.; Orav, E.J.; Brennan, T.A.; Zinner, M.J. Risk factors for retained instruments and sponges after surgery. N. Engl. J. Med. 2003, 348, 229–235. [Google Scholar] [CrossRef] [PubMed]
- Hempel, S.; Maggard-Gibbons, M.; Nguyen, D.K.; Dawes, A.J.; Miake-Lye, I.; Beroes, J.M.; Booth, M.J.; Miles, J.N.; Shanman, R.; Shekelle, P.G. Wrong-Site Surgery, Retained Surgical Items, and Surgical Fires: A Systematic Review of Surgical Never Events. JAMA Surg. 2015, 150, 796–805. [Google Scholar] [CrossRef] [PubMed]
- Rappaport, W.; Haynes, K. The retained surgical sponge following intra-abdominal surgery. A continuing problem. Arch. Surg. 1990, 125, 405–407. [Google Scholar] [CrossRef] [PubMed]
- Stawicki, S.P.; Cook, C.H.; Anderson, H.L., 3rd; Chowayou, L.; Cipolla, J.; Ahmed, H.M.; Coyle, S.M.; Gracias, V.H.; Evans, D.C.; Marchigiani, R.; et al. Natural history of retained surgical items supports the need for team training, early recognition, and prompt retrieval. Am. J. Surg. 2014, 208, 65–72. [Google Scholar] [CrossRef] [PubMed]
- Wan, W.; Le, T.; Riskin, L.; Macario, A. Improving safety in the operating room: A systematic literature review of retained surgical sponges. Curr. Opin. Anaesthesiol. 2009, 22, 207–214. [Google Scholar] [CrossRef]
- Dossett, L.A.; Dittus, R.S.; Speroff, T.; May, A.K.; Cotton, B.A. Cost-effectiveness of routine radiographs after emergent open cavity operations. Surgery 2008, 144, 317–321. [Google Scholar] [CrossRef] [PubMed]
- Manzella, A.; Filho, P.B.; Albuquerque, E.; Farias, F.; Kaercher, J. Imaging of gossypibomas: Pictorial review. AJR Am. J. Roentgenol. 2009, 193, S94–S101. [Google Scholar] [CrossRef]
- Lu, Y.Y.; Cheung, Y.C.; Ko, S.F.; Ng, S.H. Calcified reticulate rind sign: A characteristic feature of gossypiboma on computed tomography. World J. Gastroenterol. 2005, 11, 4927–4929. [Google Scholar] [CrossRef]
Disclaimer/Publisher’s Note: The statements, opinions and data contained in all publications are solely those of the individual author(s) and contributor(s) and not of MDPI and/or the editor(s). MDPI and/or the editor(s) disclaim responsibility for any injury to people or property resulting from any ideas, methods, instructions or products referred to in the content. |
© 2025 by the authors. Licensee MDPI, Basel, Switzerland. This article is an open access article distributed under the terms and conditions of the Creative Commons Attribution (CC BY) license (https://creativecommons.org/licenses/by/4.0/).
Share and Cite
Son, D.Y.; Choi, M.H. Gossypiboma, a Rare Cause of Abdominal Pain: A Case Report. Reports 2025, 8, 242. https://doi.org/10.3390/reports8040242
Son DY, Choi MH. Gossypiboma, a Rare Cause of Abdominal Pain: A Case Report. Reports. 2025; 8(4):242. https://doi.org/10.3390/reports8040242
Chicago/Turabian StyleSon, Doo Yong, and Moon Han Choi. 2025. "Gossypiboma, a Rare Cause of Abdominal Pain: A Case Report" Reports 8, no. 4: 242. https://doi.org/10.3390/reports8040242
APA StyleSon, D. Y., & Choi, M. H. (2025). Gossypiboma, a Rare Cause of Abdominal Pain: A Case Report. Reports, 8(4), 242. https://doi.org/10.3390/reports8040242

