Unveiling Uncommon: Perforated Peptic Ulcer Mimicking Post-Cesarean Complications—A Case Report
Abstract
1. Introduction and Clinical Significance
2. Case Presentation
3. Discussion
4. Conclusions
Author Contributions
Funding
Institutional Review Board Statement
Informed Consent Statement
Data Availability Statement
Conflicts of Interest
Abbreviations
| COX | Cyclooxygenase |
| EGF | Epidermal Growth Factor |
| ICU | Intensive Care Unit |
| NSAID | Non-Steroidal Anti-Inflammatory Drug |
| PPU | Perforated Peptic Ulcer |
| PUD | Peptic Ulcer Disease |
References
- Wang, S.; Zhang, T.; Li, D.; Cao, X. The global, regional and national burden of peptic ulcer disease attributable to smoking from 1990 to 2021: A population-based study. Prev. Med. Rep. 2025, 51, 103019. [Google Scholar] [CrossRef]
- Kim, S.H. Peptic Ulcer Disease. Korean J. Helicobacter Up. Gastrointest. Res. 2025, 25, 13–16. [Google Scholar]
- Ali, A.; AlHussaini, K.I. Helicobacter pylori: A Contemporary Perspective on Pathogenesis, Diagnosis and Treatment Strategies. Microorganisms 2024, 12, 222. [Google Scholar] [CrossRef] [PubMed]
- Huang, J.-W.; Lin, C.; Lu, C.-J.; Wang, H.-S.; Zou, D.-D. Serum gastrin and Helicobacter pylori infection correlate with tumor aggressiveness and prognosis in gastric cancer. World J. Gastrointest. Oncol. 2025, 17, 110981. [Google Scholar] [CrossRef]
- Ko, K.A.; Lee, D.K. Nonsteroidal Anti-Inflammatory Drug-Induced Peptic Ulcer Disease. Korean J. Helicobacter Up. Gastrointest. Res. 2025, 25, 34–41. [Google Scholar] [CrossRef]
- Monica, O.M.A.; Venter, D.P.; Mihai, S.; Oprescu, C.; Gabriel, A.; Bogdan, D.; Sebastian, V.; Alexandra-Oana, G.; Madalina, I.S. Emergency Management of Perforated Gastro-Duodenal Ulcers: Surgical Strategies, Outcomes, and Prognostic Determinants in a Tertiary Eastern European Center. Medicina 2025, 61, 2029. [Google Scholar] [CrossRef] [PubMed]
- Vidović, S.; Borović, S.; Bašković, M.; Markić, J.; Pogorelić, Z. Perforated peptic ulcers in children: A systematic review. BMC Pediatr. 2025, 25, 363. [Google Scholar] [CrossRef]
- Jidha, T.D.; Umer, K.M.; Beressa, G.; Tolossa, T. Perforated duodenal ulcer in the third trimester of pregnancy, with survival of both the mother and neonate, in Ethiopia: A case report. J. Med. Case Rep. 2022, 16, 322. [Google Scholar] [CrossRef]
- Stiles, E.; Robinson, A.; Fitzgerald, E.; Fleury, M.; Rubenstein, A. Duodenal Peptic Ulcer Perforation in the Puerperium Case Report Series. AJP Rep. 2025, 15, e32–e35. [Google Scholar] [CrossRef]
- Shirazi, M.; Zaban, M.T.; Gummadi, S.; Ghaemi, M. Peptic ulcer perforation after cesarean section; case series and literature review. BMC Surg. 2020, 20, 110. [Google Scholar] [CrossRef]
- Augustin, G.; Krstulović, J.; Tavra, A.; Hrgović, Z. Perforated peptic ulcer in pregnancy and puerperium: A systematic review. World J. Gastrointest. Surg. 2025, 17, 101682. [Google Scholar] [CrossRef]
- Cyuzuzo, T.; Hakorimana, V.; Umugwaneza, G.; Uwitonze, M.C.; Mpirimbanyi, C. Perforated Peptic Ulcer in Rwanda: Epidemiology and Outcomes at a Tertiary Hospital in Kigali, Rwanda—A Retrospective Study. Rwanda Med. J. 2020, 77, 6. [Google Scholar]
- Barnes, L.W. Serum histaminase during pregnancy. Obstet. Gynecol. 1957, 9, 730–732. [Google Scholar] [CrossRef]
- Coquoz, A.; Regli, D.; Stute, P. Impact of progesterone on the gastrointestinal tract: A comprehensive literature review. Climacteric 2022, 25, 337–361. [Google Scholar] [CrossRef]
- Szabo, S. Mechanisms of gastric mucosal injury and protection. J. Clin. Gastroenterol. 1991, 13, S21–S34. [Google Scholar] [CrossRef]
- Bertleff, M.J.; Lange, J.F. Perforated peptic ulcer disease: A review of history and treatment. Dig. Surg. 2010, 27, 161–169. [Google Scholar] [CrossRef]
- Abu Dayyeh, B.K.; Yang, M.; Fuchs, B.C.; Karl, D.L.; Yamada, S.; Sninsky, J.J.; O’BRien, T.R.; Dienstag, J.L.; Tanabe, K.K.; Chung, R.T. A functional polymorphism in the epidermal growth factor gene is associated with risk for hepatocellular carcinoma. Gastroenterology 2011, 141, 141–149. [Google Scholar] [CrossRef]
- Bekiesińska-Figatowska, M.; Pietura, R.; Mądzik, J.; Cnota, W.; Jaczyńska, R. The diagnosis of postcesarean delivery complications with imaging techniques (ultrasound, computed tomography, magnetic resonance imaging, X-ray, and angiography). Am. J. Obstet. Gynecol. 2026, 233, S425–S460. [Google Scholar] [CrossRef]
- Tarasconi, A.; Coccolini, F.; Biffl, W.L.; Tomasoni, M.; Ansaloni, L.; Picetti, E.; Molfino, S.; Shelat, V.; Cimbanassi, S.; Weber, D.G.; et al. Perforated and bleeding peptic ulcer: WSES guidelines. World J. Emerg. Surg. 2020, 15, 3. [Google Scholar] [CrossRef]
- Kameda, T.; Taniguchi, N. Overview of point-of-care abdominal ultrasound in emergency and critical care. J. Intensive Care 2016, 4, 53. [Google Scholar] [CrossRef]
- Di Gioia, C.C.; Alame, A.; Orso, D. The Impact of Point-of-Care Ultrasound on the Diagnosis and Management of Small Bowel Obstruction in the Emergency Department: A Retrospective Observational Single-Center Study. Medicina 2024, 60, 2006. [Google Scholar] [CrossRef] [PubMed]


| Timepoint | Clinical Events | Evaluation/Findings | Management |
|---|---|---|---|
| Day 0 | Cesarean section performed with delivery of a healthy infant | No reported perioperative complications | Routine postoperative recovery |
| Postpartum Week 3 (Day ~21) | Patient developed abdominal pain, vomiting, and fever | Symptoms initially suspected to be gastroenteritis | Managed as outpatient with supportive therapy |
| Days 1–4 after symptom onset | Persistent abdominal pain and gastrointestinal symptoms | Progressive worsening despite outpatient treatment | No clinical improvement |
| Day 4–5 after symptom onset | Significant clinical deterioration | Hypotension (BP 80/40 mmHg), tachycardia (HR 140 bpm), fever (40 °C) | Hospital admission and resuscitation |
| Admission evaluation | Signs of systemic inflammatory response | WBC 36,000/µL; Hgb 10 g/dL; Platelets 101,000/µL; INR 1.84; Cr 1.4 mg/dL; Na 130 mmol/L | Broad-spectrum antibiotics and intravenous fluids initiated |
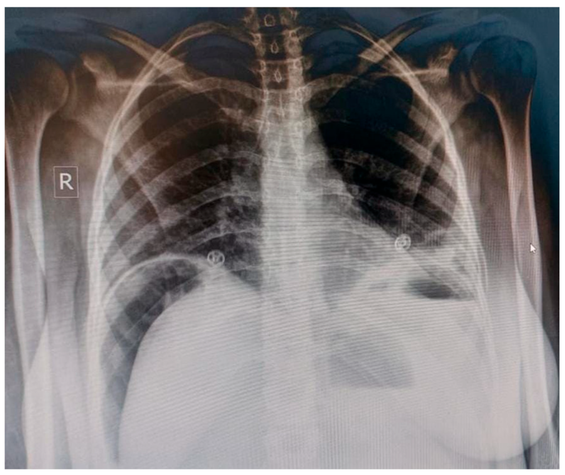
| Imaging | Suspicion for intra-abdominal pathology | Abdominal X-ray showing pneumoperitoneum, dilated bowel loops, and subcutaneous edema | Emergency surgical consultation |
| Emergency surgery | Exploratory laparotomy performed | 3 cm perforated peptic ulcer identified | Peritoneal lavage and Graham omental patch repair |
| Postoperative Day 2 | Clinical stabilization | Platelets improved to 122,000/µL; INR improved to 1.6 | Continued ICU monitoring |
| Postoperative Day 3 | Gradual clinical improvement | Patient tolerated oral fluids | Diet advanced |
| Postoperative Day 5 | Continued recovery | Stable vital signs | Soft diet initiated |
| Postoperative Day 7 | Recovery complete | Stable clinical condition | Discharged home |
Disclaimer/Publisher’s Note: The statements, opinions and data contained in all publications are solely those of the individual author(s) and contributor(s) and not of MDPI and/or the editor(s). MDPI and/or the editor(s) disclaim responsibility for any injury to people or property resulting from any ideas, methods, instructions or products referred to in the content. |
© 2026 by the authors. Licensee MDPI, Basel, Switzerland. This article is an open access article distributed under the terms and conditions of the Creative Commons Attribution (CC BY) license.
Share and Cite
Davis, S.; Rizvi, S.A.; Malik, M.; Nagy, M.E.; Serag, H. Unveiling Uncommon: Perforated Peptic Ulcer Mimicking Post-Cesarean Complications—A Case Report. Reports 2026, 9, 92. https://doi.org/10.3390/reports9010092
Davis S, Rizvi SA, Malik M, Nagy ME, Serag H. Unveiling Uncommon: Perforated Peptic Ulcer Mimicking Post-Cesarean Complications—A Case Report. Reports. 2026; 9(1):92. https://doi.org/10.3390/reports9010092
Chicago/Turabian StyleDavis, Samantha, Samie A. Rizvi, Moosa Malik, Mostafa E. Nagy, and Hani Serag. 2026. "Unveiling Uncommon: Perforated Peptic Ulcer Mimicking Post-Cesarean Complications—A Case Report" Reports 9, no. 1: 92. https://doi.org/10.3390/reports9010092
APA StyleDavis, S., Rizvi, S. A., Malik, M., Nagy, M. E., & Serag, H. (2026). Unveiling Uncommon: Perforated Peptic Ulcer Mimicking Post-Cesarean Complications—A Case Report. Reports, 9(1), 92. https://doi.org/10.3390/reports9010092

