Reversal of Paraneoplastic Non-Bacterial Thrombotic Endocarditis with Heparin and Targeted Cancer Therapy: A Case Report
Abstract
1. Introduction and Clinical Significance
2. Case Presentation
2.1. Patient Information and Clinical Findings
2.2. Diagnostic Assessment
2.3. Therapeutic Intervention
- Anticoagulation: Rivaroxaban was discontinued. Anticoagulation was switched to therapeutic LMWH (nadroparin 0.8 mL twice daily).
- Targeted oncologic therapy: To address both the primary RET fusion and the acquired MET (mesenchymal–epithelial transition) amplification resistance mechanism, combined treatment with selpercatinib (RET inhibitor, continued at 160 mg twice daily) and tepotinib (MET inhibitor, 450 mg once daily) was initiated on 17 July 2025.
- Supportive measures: A pleural catheter was placed for management of the malignant pleural effusion. Empiric broad-spectrum antibiotic therapy (vancomycin and cefotaxime) was started initially but discontinued once infective endocarditis had been reliably excluded.
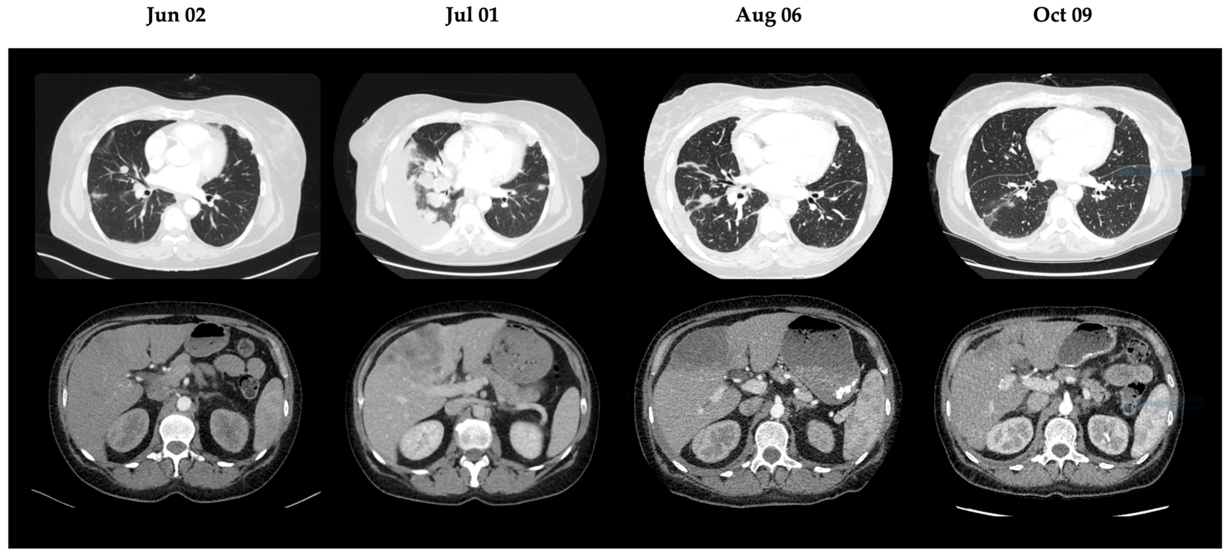
2.4. Follow-Up and Outcomes
3. Discussion
4. Conclusions
Author Contributions
Funding
Institutional Review Board Statement
Informed Consent Statement
Data Availability Statement
Conflicts of Interest
Abbreviations
| NBTE | non-bacterial thrombotic endocarditis |
| DOACs | direct oral anticoagulants |
| LMWH | low-molecular-weight heparin |
| NSCLC | Non-small cell lung cancer |
| CTCAE | Common Terminology Criteria for Adverse Events |
| ECOG | Eastern Cooperative Oncology Group |
| SpO2 | peripheral oxygen saturation |
| CRP | C-reactive protein |
| TEE | transesophageal echocardiography |
| CT | computed tomography |
| RET | rearranged during transfection |
| MET | mesenchymal–epithelial transition |
| TFPI | tissue factor pathway inhibitor |
References
- Asopa, S.; Patel, A.; Khan, O.A.; Sharma, R.; Ohri, S.K. Non-bacterial thrombotic endocarditis. Eur. J. Cardio-Thorac. Surgery 2007, 32, 696–701. [Google Scholar] [CrossRef] [PubMed]
- Campello, E.; Spiezia, L.; Radu, C.M.; Bulato, C.; Castelli, M.; Gavasso, S.; Simioni, P. Endothelial, platelet, and tissue factor-bearing microparticles in cancer patients with and without venous thromboembolism. Thromb. Res. 2011, 127, 473–477. [Google Scholar] [CrossRef] [PubMed]
- Zmaili, M.A.; Alzubi, J.M.; Kocyigit, D.; Bansal, A.; Samra, G.S.; Grimm, R.; Griffin, B.P.; Xu, B. A Contemporary 20-Year Cleveland Clinic Experience of Nonbacterial Thrombotic Endocarditis: Etiology, Echocardiographic Imaging, Management, and Outcomes. Am. J. Med. 2021, 134, 361–369. [Google Scholar] [CrossRef] [PubMed]
- Farge, D.; Debourdeau, P.; Beckers, M.; Baglin, C.; Bauersachs, R.M.; Brenner, B.; Brilhante, D.; Falanga, A.; Gerotzafias, G.T.; Haim, N.; et al. International clinical practice guidelines for the treatment and prophylaxis of venous thromboembolism in patients with cancer. J. Thromb. Haemost. 2013, 11, 56–70. [Google Scholar] [CrossRef] [PubMed]
- Dong, Y.; Wang, Y.; Ma, R.L.; Liu, M.; Gao, J.Z.; Su, W.Y.; Yan, L.; Sun, J.J. Efficacy and safety of direct oral anticoagulants versus low-molecular-weight heparin in patients with cancer: A systematic review and meta-analysis. J. Thromb. Thrombolysis 2019, 48, 400–412. [Google Scholar] [CrossRef] [PubMed]
- Frere, C.; Farge, D.; Schrag, D.; Prata, P.H.; Connors, J.M. Direct oral anticoagulant versus low molecular weight heparin for the treatment of cancer-associated venous thromboembolism: 2022 updated systematic review and meta-analysis of randomized controlled trials. J. Hematol. Oncol. 2022, 15, 69. [Google Scholar] [CrossRef] [PubMed]
- Benjelloun, M.; Jottrand, E.; Joly, E.; Leone, A.; Van De Borne, P. Failure of oral anti-Xa to prevent non-bacterial thrombotic endocarditis in cancer: Case report and literature review. Eur. Heart J. Case Rep. 2025, 9, ytaf463. [Google Scholar] [CrossRef]
- Young, E. The anti-inflammatory effects of heparin and related compounds. Thromb. Res. 2008, 122, 743–752. [Google Scholar] [CrossRef] [PubMed]
- el-Shami, K.; Griffiths, E.; Streiff, M. Nonbacterial thrombotic endocarditis in cancer patients: Pathogenesis, diagnosis, and treatment. Oncologist 2007, 12, 518–523. [Google Scholar] [CrossRef] [PubMed]
- Schneider-Reigbert, M.; Zach, V.; Frydas, A.; Morris, D.A. Non-bacterial thrombotic endocarditis: A highly dynamic entity with rapid response to initiation and discontinuation of heparin. Eur. Heart J. Cardiovasc. Imaging 2023, 24, e41. [Google Scholar] [CrossRef] [PubMed]
- Xie, Z.; Zhong, R.; Lin, X.; Xie, X.; Ouyang, M.; Liu, M.; Qin, Y.; Zhang, J.; Zhou, C. Management of nonbacterial thrombotic endocarditis (NBTE) in advanced non-small cell lung cancer (NSCLC) patients with driver mutation: Two case reports. Ann. Palliat. Med. 2021, 10, 3475–3482. [Google Scholar] [CrossRef] [PubMed]
- Schneider, M.; Frydas, A.; Grubitzsch, H.; Pieske, B.; Morris, D.A. The marantic kiss: Potential novel pathognomonic echocardiographic sign of non-bacterial thrombotic endocarditis. Eur. Heart J. Cardiovasc. Imaging 2022, 24, e19. [Google Scholar] [CrossRef] [PubMed]
- Sack, G.H., Jr.; Levin, J.; Bell, W.R. Trousseau’s syndrome and other manifestations of chronic disseminated coagulopathy in patients with neoplasms: Clinical, pathophysiologic, and therapeutic features. Medicine 1977, 56, 1–37. [Google Scholar] [CrossRef] [PubMed]
- Rogers, L.R.; Cho, E.S.; Kempin, S.; Posner, J.B. Cerebral infarction from non-bacterial thrombotic endocarditis. Clinical and pathological study including the effects of anticoagulation. Am. J. Med. 1987, 83, 746–756. [Google Scholar] [CrossRef] [PubMed]
- Mousa, S.A. Heparin and low-molecular weight heparins in thrombosis and beyond. Methods Mol. Biol. 2010, 663, 109–132. [Google Scholar] [CrossRef] [PubMed]



| Date | Event/Investigation | Key Findings |
|---|---|---|
| NSCLC diagnosis | Stage IVB lung adenocarcinoma; KIF5B–RET fusion-positive tumor, start selpercatinib | |
| February 2024 | Venous thromboembolism | Bilateral pulmonary embolism and deep vein thrombosis |
| Anticoagulation initiated | Rivaroxaban 20 mg once daily | |
| 12 November 2024 | CT thorax/abdomen | Progressive disease NGS testing: MET amplification as secondary resistance Start cisplatin/pemetrexed |
| 1 July 2025 | CT thorax/abdomen | Progression of pulmonary tumors and hepatic metastases |
| 9 July 2025 | Hospital admission | Dyspnea (CTCAE grade 3), pleural effusion, digital ischemia |
| 17 July 2025 | Targeted tumor therapy | Selpercatinib + tepotinib (off-label combination) |
| 23 July 2025 | TEE | Diagnosis of NBTE under DOAC therapy |
| Anticoagulation switch | Rivaroxaban discontinued; nadroparin initiated | |
| 30 July 2025 | TEE | Echocardiographic NBTE unchanged |
| 6 August 2025 | CT thorax/abdomen | Regression of pulmonary tumors and hepatic metastases |
| 7 August 2025 | TEE | Partial regression of aortic valve vegetations |
| 21 August 2025 | TEE | Single residual vegetation on the right coronary cusp |
| 17 September 2025 | TEE | Complete resolution of aortic valve vegetations |
| 9 October 2025 | CT thorax/abdomen | Further regression of pulmonary tumors and hepatic metastases |
| 21 October 2025 | TEE | Persistent absence of vegetations |
| 18 December 2025 | TEE | Persistent absence of vegetations |
Disclaimer/Publisher’s Note: The statements, opinions and data contained in all publications are solely those of the individual author(s) and contributor(s) and not of MDPI and/or the editor(s). MDPI and/or the editor(s) disclaim responsibility for any injury to people or property resulting from any ideas, methods, instructions or products referred to in the content. |
© 2026 by the authors. Licensee MDPI, Basel, Switzerland. This article is an open access article distributed under the terms and conditions of the Creative Commons Attribution (CC BY) license.
Share and Cite
Goetze, C.; Frost, N.; Hilgendorf, I.; Morris, D.A.; Schneider-Reigbert, M. Reversal of Paraneoplastic Non-Bacterial Thrombotic Endocarditis with Heparin and Targeted Cancer Therapy: A Case Report. Reports 2026, 9, 74. https://doi.org/10.3390/reports9010074
Goetze C, Frost N, Hilgendorf I, Morris DA, Schneider-Reigbert M. Reversal of Paraneoplastic Non-Bacterial Thrombotic Endocarditis with Heparin and Targeted Cancer Therapy: A Case Report. Reports. 2026; 9(1):74. https://doi.org/10.3390/reports9010074
Chicago/Turabian StyleGoetze, Collin, Nikolaj Frost, Ingo Hilgendorf, Daniel Armando Morris, and Matthias Schneider-Reigbert. 2026. "Reversal of Paraneoplastic Non-Bacterial Thrombotic Endocarditis with Heparin and Targeted Cancer Therapy: A Case Report" Reports 9, no. 1: 74. https://doi.org/10.3390/reports9010074
APA StyleGoetze, C., Frost, N., Hilgendorf, I., Morris, D. A., & Schneider-Reigbert, M. (2026). Reversal of Paraneoplastic Non-Bacterial Thrombotic Endocarditis with Heparin and Targeted Cancer Therapy: A Case Report. Reports, 9(1), 74. https://doi.org/10.3390/reports9010074

