Rapidly Growing Aneurysm with Ulcer-like Projection Complicated with Bacteroides ovatus Bacteremia
Abstract
:1. Introduction
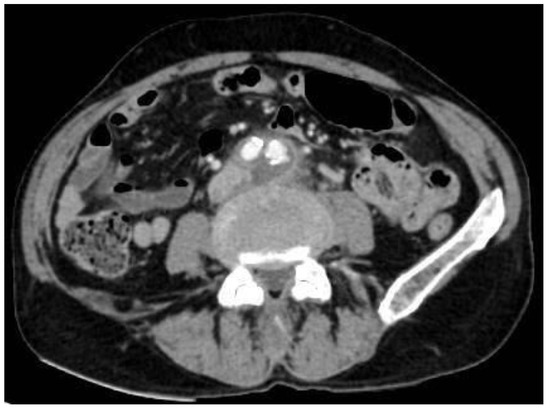
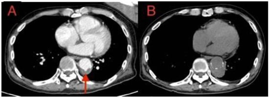
2. Case Presentation
3. Discussion
4. Conclusions
Author Contributions
Funding
Institutional Review Board Statement
Informed Consent Statement
Data Availability Statement
Acknowledgments
Conflicts of Interest
References
- Lassmann, B.; Gustafson, D.R.; Wood, C.M.; Rosenblatt, J.E. Reemergence of Anaerobic Bacteremia. Clin. Infect. Dis. 2007, 44, 895–900. [Google Scholar] [CrossRef] [PubMed]
- Lee, H.-L.; Liu, K.-H.; Yang, Y.-J.; Kan, C.-D. Bacteroides fragilis aortic arch pseudoaneurysm: Case report with review. J. Cardiothorac. Surg. 2008, 3, 29. [Google Scholar] [CrossRef] [PubMed] [Green Version]
- Raman, S.P.; Fishman, E.K. Mycotic aneurysms: A critical diagnosis in the emergency setting. Emerg. Radiol. 2014, 21, 191–196. [Google Scholar] [CrossRef] [PubMed]
- Kim, Y.-W. Infected Aneurysm: Current Management. Ann. Vasc. Dis. 2010, 3, 7–15. [Google Scholar] [CrossRef] [PubMed] [Green Version]
- Steverlynck, L.; Van De Walle, S. Mycotic thoracic aortic aneurysm: Review of the diagnostic and therapeutic options. Acta Clin. Belg. 2013, 68, 193–198. [Google Scholar] [CrossRef] [PubMed]
- Loehe, F.; Bittmann, I.; Weilbach, C.; Lauterjung, L.; Schildberg, F.-W.; Heiss, M.M. Chlamydia pneumoniae in Atherosclerotic Lesions of Patients Undergoing Vascular Surgery. Ann. Vasc. Surg. 2002, 16, 467–473. [Google Scholar] [CrossRef] [PubMed]
- Kakkos, S.K.; Papadoulas, S.; Lampropoulos, G.; Marangos, M.; Kalogeropoulou, C.; A Tsolakis, I. Aorto-iliac aneurysm infected by Brucella: Distinctive presentation patterns of a rare entity. Vascular 2013, 21, 307–315. [Google Scholar] [CrossRef] [PubMed]
- Garrett, W.S.; Onderdonk, A.B. Mandell, Douglas, and Bennett’s Principles and Practice of Infectious Diseases, 8th ed.; Bennett, J.E., Dolin, R., Blaser, M.J., Eds.; W.B. Saunders: Philadelphia, PA, USA, 2015; Volume 2, pp. 2773–2780. ISBN 9781455748013. [Google Scholar]
- Stanson, A.W.; Kazmier, F.J.; Hollier, L.H.; Edwards, W.D.; Pairolero, P.C.; Sheedy, P.F.; Joyce, J.W.; Johnson, M.C. Penetrating atherosclerotic ulcers of the thoracic aorta: Natural history and clinicopathologic correlations. Ann. Vasc. Surg. 1986, 1, 15–23. [Google Scholar] [CrossRef]
- Tsai, T.T.; Nienaber, C.A.; Eagle, K.A. Acute Aortic Syndromes. Circulation 2005, 112, 3802–3813. [Google Scholar] [CrossRef] [PubMed] [Green Version]
- Ganaha, F.; Miller, D.C.; Sugimoto, K.; Do, Y.S.; Minamiguchi, H.; Saito, H.; Mitchell, R.S.; Dake, M.D. Prognosis of Aortic Intramural Hematoma With and Without Penetrating Atherosclerotic Ulcer. Circulation 2002, 106, 342–348. [Google Scholar] [CrossRef] [PubMed]
- Leon, L.R.; Ihnat, D.M.; Mills, J.L. Native Arterial Infections. In Comprehensive Vascular and Endovascular Surgery; Elsevier BV: Amsterdam, The Netherlands, 2009; pp. 714–726. [Google Scholar] [CrossRef]
- Kan, C.-D.; Lee, H.-L.; Yang, Y.-J. Outcome after endovascular stent graft treatment for mycotic aortic aneurysm: A systematic review. J. Vasc. Surg. 2007, 46, 906–912. [Google Scholar] [CrossRef] [PubMed] [Green Version]
- Serban, D.; Spataru, R.; Vancea, G.; Balasescu, S.; Socea, B.; Tudor, C.; Dascalu, A. Informed consent in all surgical specialties: From legal obligation to patient satisfaction. Romanian J. Leg. Med. 2020, 28, 317–321. [Google Scholar] [CrossRef]
- Hecht, D.W. Prevalence of Antibiotic Resistance in Anaerobic Bacteria: Worrisome Developments. Clin. Infect. Dis. 2004, 39, 92–97. [Google Scholar] [CrossRef] [PubMed]


Publisher’s Note: MDPI stays neutral with regard to jurisdictional claims in published maps and institutional affiliations. |
© 2021 by the authors. Licensee MDPI, Basel, Switzerland. This article is an open access article distributed under the terms and conditions of the Creative Commons Attribution (CC BY) license (https://creativecommons.org/licenses/by/4.0/).
Share and Cite
Kusunoki, M.; Ohta, R.; Sawa, J.; Sano, C. Rapidly Growing Aneurysm with Ulcer-like Projection Complicated with Bacteroides ovatus Bacteremia. Reports 2021, 4, 28. https://doi.org/10.3390/reports4030028
Kusunoki M, Ohta R, Sawa J, Sano C. Rapidly Growing Aneurysm with Ulcer-like Projection Complicated with Bacteroides ovatus Bacteremia. Reports. 2021; 4(3):28. https://doi.org/10.3390/reports4030028
Chicago/Turabian StyleKusunoki, Masayoshi, Ryuichi Ohta, Jumpei Sawa, and Chiaki Sano. 2021. "Rapidly Growing Aneurysm with Ulcer-like Projection Complicated with Bacteroides ovatus Bacteremia" Reports 4, no. 3: 28. https://doi.org/10.3390/reports4030028
APA StyleKusunoki, M., Ohta, R., Sawa, J., & Sano, C. (2021). Rapidly Growing Aneurysm with Ulcer-like Projection Complicated with Bacteroides ovatus Bacteremia. Reports, 4(3), 28. https://doi.org/10.3390/reports4030028

