Ischemic Bowel Disease Due to Superior Mesenteric Artery Occlusion: A Case Report
Abstract
:1. Introduction
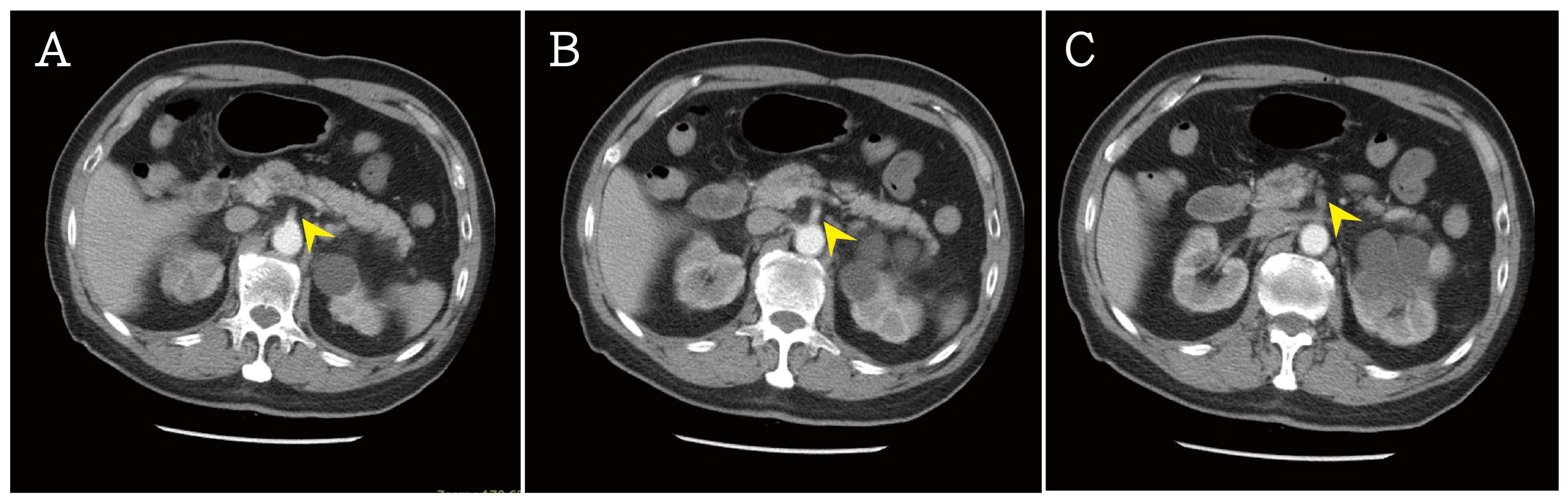
2. Case Presentation Section
3. Discussion
Author Contributions
Conflicts of Interest
References
- Corcos, O.; Castier, Y.; Sibert, A.; Gaujoux, S.; Ronot, M.; Joly, F.; Paugam, C.; Bretagnol, F.; Abdel-Rehim, M.; Francis, F.; et al. Effects of a multimodal management strategy for acute mesenteric ischemia on survival and intestinal failure. Clin. Gastroenterol. Hepatol. 2013, 11, 158–165. [Google Scholar] [CrossRef] [PubMed]
- Acosta, S.; Ögren, M.; Sternby, N.H.; Bergqvist, D.; Björck, M. Clinical implications for the management of acute thromboembolic occlusion of the superior mesenteric artery: Autopsy findings in 213 patients. Ann. Surg. 2005, 241, 516–522. [Google Scholar] [CrossRef] [PubMed]
- Acosta, S.; Nilsson, T.K.; Bjorck, M. D-dimer testing in patients with suspected acute thromboembolic occlusion of the superior mesenteric artery. Br. J. Surg. 2004, 91, 991–994. [Google Scholar] [CrossRef] [PubMed]
- Sun, D.L.; Li, S.M.; Cen, Y.Y.; Xu, Q.W.; Li, Y.J.; Sun, Y.B.; Qi, Y.X.; Lin, Y.Y.; Yang, T.; An, L.Y.; et al. Accuracy of using serum D-dimer for diagnosis of acute intestinal ischemia: A meta-analysis. Medicine 2017, 96, e6380. [Google Scholar] [CrossRef] [PubMed]
- Martin, B. Prevention of gastrointestinal complications in the critically Ill patient. AACN Adv. Crit. Care. 2007, 18, 158–166. [Google Scholar] [PubMed]
- Boley, S.J.; Sprayregen, S.; Veith, F.J.; Siegelman, S.S. An aggressive roentgenologic and surgical approach to acute mesenteric ischemia. Surg. Annu. 1973, 5, 355–378. [Google Scholar] [PubMed]




| Variables | Patient | Normal Range |
|---|---|---|
| White cell count | 10030 /µL | 3500–11000 /µL |
| Band form neutrophils | 0.0% | |
| Segment form neutrophils | 47.7% | |
| Lymphocytes | 39.3% | |
| Eosinophils | 8.2% | |
| Monocytes | 4.0% | |
| Hemoglobin | 15.8 g/dL | 12–16 g/dL |
| Platelet counts | 184000 /uL | 150000–400000 /uL |
| Blood urine nitrogen (BUN) | 26 mg/dL | 7–18 mg/dL |
| Creatinine | 2.0 mg/dL | 0.55–1.02 mg/dL |
| Sodium | 142 mmole/L | 136–145 mmole/L |
| Potassium | 3.2 mmole/L | 3.5–5.1 mmole/L |
| Glucose | 143 mg/dL | 70–100 mg/dL |
| Alanine aminotransferase | 23 U/L | 14–59 U/L |
| Lipase | 345 IU/L | 73–393 IU/L |
| Total bilirubin | 0.73 mg/dL | 0.0–1.0 mg/dL |
| Troponin I | <0.01 ug/L | <0.01 ug/L |
| FDP-D-dimer | 3548.18 ng/mL | <500 ng/mL |
| C-reactive protein | 0.24 mg/dL | 0–0.33 mg/dL |
© 2018 by the authors. Licensee MDPI, Basel, Switzerland. This article is an open access article distributed under the terms and conditions of the Creative Commons Attribution (CC BY) license (http://creativecommons.org/licenses/by/4.0/).
Share and Cite
Wu, M.-Y.; Lee, L.-C.; Chen, Y.-L.; Chien, Y.-C.; Ni, B.-Y.; Hou, Y.-T.; Yiang, G.-T. Ischemic Bowel Disease Due to Superior Mesenteric Artery Occlusion: A Case Report. Reports 2018, 1, 10. https://doi.org/10.3390/reports1010010
Wu M-Y, Lee L-C, Chen Y-L, Chien Y-C, Ni B-Y, Hou Y-T, Yiang G-T. Ischemic Bowel Disease Due to Superior Mesenteric Artery Occlusion: A Case Report. Reports. 2018; 1(1):10. https://doi.org/10.3390/reports1010010
Chicago/Turabian StyleWu, Meng-Yu, Ling-Chi Lee, Yu-Long Chen, Yung-Chang Chien, Bo-Yang Ni, Yueh-Tseng Hou, and Giou-Teng Yiang. 2018. "Ischemic Bowel Disease Due to Superior Mesenteric Artery Occlusion: A Case Report" Reports 1, no. 1: 10. https://doi.org/10.3390/reports1010010
APA StyleWu, M.-Y., Lee, L.-C., Chen, Y.-L., Chien, Y.-C., Ni, B.-Y., Hou, Y.-T., & Yiang, G.-T. (2018). Ischemic Bowel Disease Due to Superior Mesenteric Artery Occlusion: A Case Report. Reports, 1(1), 10. https://doi.org/10.3390/reports1010010

