Cerebral Venous Sinus Thrombosis Associated with Vaccine-Induced Thrombotic Thrombocytopenia—A Narrative Review
Abstract
:1. Introduction
2. Methods
2.1. Pathophysiological Aspects
2.2. Epidemiology
2.3. Definition and Laboratory Features of VITT
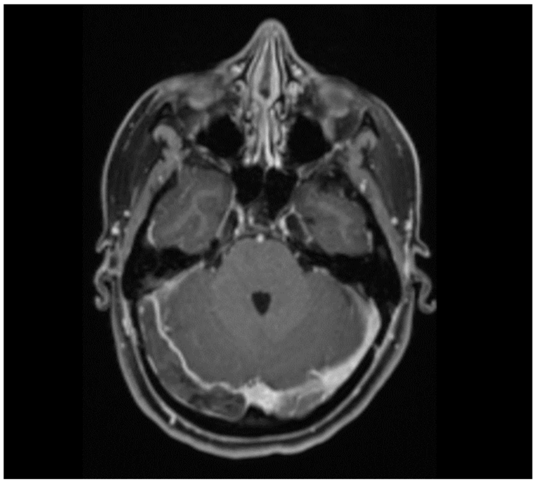
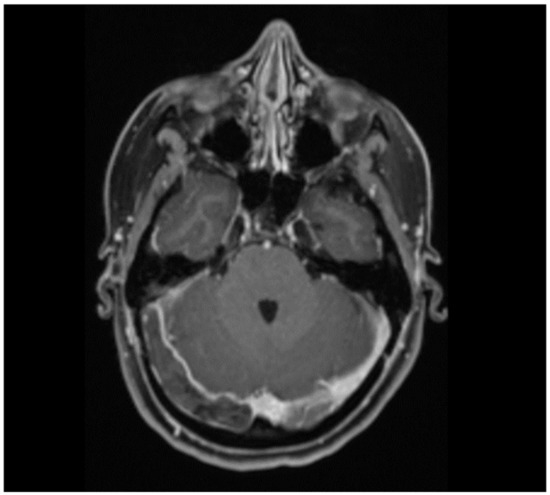
2.4. Location of VITT
2.5. Clinical Features of VITT
2.6. Treatment
2.7. Prognosis
3. Conclusions
Author Contributions
Funding
Institutional Review Board Statement
Informed Consent Statement
Data Availability Statement
Conflicts of Interest
References
- Sacco, R.L.; Kasner, S.E.; Broderick, J.P.; Caplan, L.L.R.; Connors, J.J.; Culebras, A.; Elkind, M.S.; George, M.G.; Hamdan, A.D.; Higashida, R.T.; et al. An updated definition of stroke for the 21st century: A statement for healthcare professionals from the American Heart Association/American Stroke Association. Stroke 2013, 44, 2064–2089. [Google Scholar] [CrossRef] [PubMed] [Green Version]
- Coutinho, J.M.; Zuurbier, S.M.; Aramideh, M.; Stam, J. The incidence of cerebral venous thrombosis: A cross-sectional study. Stroke 2012, 43, 3375–3377. [Google Scholar] [CrossRef] [PubMed] [Green Version]
- Greinacher, A.; Thiele, T.; Warkentin, T.E.; Weisser, K.; Kyrle, P.A.; Eichinger, S. Thrombotic Thrombocytopenia after ChAdOx1 nCov-19 Vaccination. N. Engl. J. Med. 2021, 384, 2092–2101. [Google Scholar] [CrossRef] [PubMed]
- Wiedmann, M.; Skattør, T.; Stray-Pedersen, A.; Antal, E.A.; Marthinsen, P.B.; Sorvoll, I.H.; Leiknes Ernstsen, S.; Lund, C.G.; Holme, P.A.; Johansen, T.O.; et al. Vaccine Induced Immune Thrombotic Thrombocytopenia Causing a Severe Form of Cerebral Venous Thrombosis With High Fatality Rate: A Case Series. Front. Neurol. 2021, 12, 721146. [Google Scholar] [CrossRef] [PubMed]
- Wolf, M.E.; Luz, B.; Niehaus, L.; Bhogal, P.; Bäzner, H.; Henkes, H. Thrombocytopenia and Intracranial Venous Sinus Thrombosis after “COVID-19 Vaccine AstraZeneca” Exposure. J. Clin. Med. 2021, 10, 1599. [Google Scholar] [CrossRef] [PubMed]
- Tiede, A.; Sachs, U.J.; Czwalinna, A.; Werwitzke, S.; Bikker, R.; Krauss, K.J.; Donnerstag, F.; Weissenborn, K.; Höglinger, G.; Maasoumy, B.; et al. Prothrombotic immune thrombocytopenia after COVID-19 vaccination. Blood 2021, 138, 350–353. [Google Scholar] [CrossRef] [PubMed]
- Andraska, E.A.; Kulkarni, R.; Chaudhary, M.; Sachdev, U. Three cases of acute venous thromboembolism in females following vaccination for COVID-19. J. Vasc. Surg. Venous Lymphat. Disord. 2021, 10, 14–17. [Google Scholar] [CrossRef]
- Pavord, S.; Scully, M.; Hunt, B.J.; Lester, W.; Bagot, C.; Craven, B.; Rampotas, A.; Ambler, G.; Makris, M. Clinical Features of Vaccine-Induced Immune Thrombocytopenia and Thrombosis. N. Engl. J. Med. 2021, 385, 1680–1689. [Google Scholar] [CrossRef]
- Scully, M.; Singh, D.; Lown, R.; Poles, A.; Solomon, T.; Levi, M.; Goldblatt, D.; Kotoucek, P.; Thomas, W.; Lester, W.; et al. Pathologic Antibodies to Platelet Factor 4 after ChAdOx1 nCoV-19 Vaccination. N. Engl. J. Med. 2021, 384, 2202–2211. [Google Scholar] [CrossRef]
- Perry, R.J.; Tamborska, A.; Singh, B.; Craven, B.; Marigold, R.; Arthur-Farraj, P.; Yeo, J.M.; Zhang, L.; Hassan-Smith, G.; Jones, M.; et al. CVT After Immunisation Against COVID-19 (CAIAC) collaborators. Cerebral venous thrombosis after vaccination against COVID-19 in the UK: A multicentre cohort study. Lancet 2021, 398, 1147–1156. [Google Scholar] [CrossRef]
- Sánchez van Kammen, M.; Aguiar de Sousa, D.; Poli, S.; Cordonnier, C.; Heldner, M.R.; van de Munckhof, A.; Krzwycka, K.; van Haaps, T.; Ciccone, A.; Middeldorp, S.; et al. Characteristics and Outcomes of Patients With Cerebral Venous Sinus Thrombosis in SARS-CoV-2 Vaccine-Induced Immune Thrombotic Thrombocytopenia. JAMA Neurol. 2021, 78, e213619. [Google Scholar] [CrossRef] [PubMed]
- Van de Munckhof, A.; Krzywicka, K.; Aguiar de Sousa, D.; Sanchez van Kammen, M.; Heldner, M.R.; Jood, K.; Lindgren, E.; Tatslisumak, T.; Putaala, J.; Kremer Hovinga, J.A.; et al. Declining mortality of cerebral venous sinus thrombosis with thrombocytopenia after SARS-CoV-2 vaccination. Eur. J. Neurol. 2021, 29, 339–344. [Google Scholar] [CrossRef] [PubMed]
- Krzywicka, K.; Heldner, M.R.; Sánchez van Kammen, M.; van Haaps, T.; Hiltunen, S.; Silvis, S.M.; Levi, M.; Kremer Hovinga, J.A.; Jood, K.; Lindgren, E.; et al. Post-SARS-CoV-2-vaccination cerebral venous sinus thrombosis: An analysis of cases notified to the European Medicines Agency. Eur. J. Neurol. 2021, 28, 3656–3662. [Google Scholar] [CrossRef]
- Schultz, N.H.; Sørvoll, I.H.; Michelsen, A.E.; Munthe, L.A.; Lund-Johansen, F.; Ahlen, M.T.; Wiedmann, M.; Aamodt, A.H.; Skattor, T.H.; Tjonnfjord, G.E.; et al. Thrombosis and Thrombocytopenia after ChAdOx1 nCoV-19 Vaccination. N. Engl. J. Med. 2021, 384, 2124–2130. [Google Scholar] [CrossRef] [PubMed]
- Mehta, P.R.; Mangion, S.A.; Benger, M.; Stanton, B.R.; Czuprynska, J.; Arya, R.; Sztriha, L.K. Cerebral venous sinus thrombosis and thrombocytopenia after COVID-19 vaccination—A report of two UK cases. Brain Behav. Immun. 2021, 95, 514–517. [Google Scholar] [CrossRef] [PubMed]
- Ciccone, A.; Zanotti, B. Working group on cerebral venous thrombosis after COVID-19 vaccination. The importance of recognizing cerebral venous thrombosis following anti-COVID-19 vaccination. Eur. J. Intern. Med. 2021, 89, 115–117. [Google Scholar] [CrossRef] [PubMed]
- See, I.; Su, J.R.; Lale, A.; Woo, E.J.; Guh, A.Y.; Shimabukuro, T.T.; Streiff, M.B.; Rao, A.K.; Wheeler, A.P.; Beavers, S.F.; et al. US case reports of cerebral venous sinus thrombosis with thrombocytopenia after Ad26.COV2.S vaccination, March 2 to April 21, 2021. JAMA 2021, 325, e217517. [Google Scholar] [CrossRef] [PubMed]
- Greinacher, A. Heparin-induced thrombocytopenia. N. Engl. J. Med. 2015, 373, 252–261. [Google Scholar] [CrossRef]
- McGonagle, D.; De Marco, G.; Bridgewood, C. Mechanisms of Immunothrombosis in Vaccine-Induced Thrombotic Thrombocytopenia (VITT) Compared to Natural SARS-CoV-2 Infection. J. Autoimmun. 2021, 121, 102662. [Google Scholar] [CrossRef]
- Greinacher, A.; Selleng, K.; Palankar, R.; Wesche, J.; Handtdke, S.; Wolff, M.; Aurich, K.; Lalk, M.; Methling, K.; Völker, U.; et al. Insights in ChAdOx1 nCov-19 Vaccine-induced Immune Thrombotic Thrombocytopenia (VITT). Blood 2021, 138, 2256–2268. [Google Scholar] [CrossRef]
- Hippisley-Cox, J.; Patone, M.; Mei, X.W.; Saatci, D.; Dixon, S.; Khunti, K.; Zaccardi, F.; Watkinson, P.; Shankar-Hari, M.; Doidge, J.; et al. Risk of thrombocytopenia and thromboembolism after COVID-19 vaccination and SARS-CoV-2 positive testing: Self-controlled case series study. BMJ 2021, 374, n1931. [Google Scholar] [CrossRef] [PubMed]
- Zakaria, Z.; Sapiai, N.A.; Ghani, A.R.I. Cerebral venous sinus thrombosis 2 weeks after the first dose of mRNA SARS-CoV-2 vaccine. Acta Neurochir. 2021, 163, 2359–2362. [Google Scholar] [CrossRef] [PubMed]
- Syed, K.; Chaudhary, H.; Donato, A. Central Venous Sinus Thrombosis with Subarachnoid Hemorrhage Following an mRNA COVID-19 Vaccination: Are These Reports Merely Co-Incidental? Am. J. Case Rep. 2021, 22, e933397. [Google Scholar] [CrossRef]
- Dias, L.; Soares-Dos-Reis, R.; Meira, J.; Ferrao, D.; Soares, P.R.; Pastor, A.; Gama, G.; Fonseca, L.; Fagundes, V.; Carvalho, M. Cerebral Venous Thrombosis after BNT162b2 mRNA SARS-CoV-2 vaccine. J. Stroke Cereb. Dis. 2021, 30, 105906. [Google Scholar] [CrossRef]
- Fan, B.E.; Shen, J.Y.; Lim, X.R.; Tu, T.M.; Chang, C.C.R.; Khin, H.S.W.; Koh, J.S.; Rao, J.P.; Lau, S.L.; Tan, G.B.; et al. Cerebral venous thrombosis post BNT162b2 mRNA SARS-CoV-2 vaccination: A black swan event. Am. J. Hematol. 2021, 96, E357–E361. [Google Scholar] [CrossRef] [PubMed]
- Talotta, R. Do COVID-19 RNA-based vaccines put at risk of immune-mediated diseases? In reply to “potential antigenic cross-reactivity between SARS-CoV-2 and human tissue with a possible link to an increase in autoimmune diseases”. Clin. Immunol. 2021, 224, 108665. [Google Scholar] [CrossRef]
- Voysey, M.; Clemens, S.A.C.; Madhi, S.A.; Weckx, L.Y.; Folegatti, P.M.; Aley, P.K.; Angus, B.; Baillie, V.L.; Barnabas, S.L.; Bhorat, Q.E.; et al. Oxford COVID Vaccine Trial Group. Safety and efficacy of the ChAdOx1 nCoV-19 vaccine (AZD1222) against SARS-CoV-2: An interim analysis of four randomised controlled trials in Brazil, South Africa, and the UK. Lancet 2021, 397, 99–111. [Google Scholar] [CrossRef]
- Sadoff, J.; Gray, G.; Vandebosch, A.; Cardenas, V.; Shukarev, G.; Grinsztejn, B.; Gpeüfert, P.A.; Truyers, C.; Fennema, H.; Spiessens, B.; et al. ENSEMBLE Study Group. Safety and Efficacy of Single-Dose Ad26.COV2.S Vaccine against COVID-19. N. Engl. J. Med. 2021, 384, 2187–2201. [Google Scholar] [CrossRef]
- Bloomberg. Vaccine Tracker. Available online: www.bloomberg.com/graphics/covid-vaccine-tracker-global-distribution/#global (accessed on 2 February 2022).
- Abbattista, M.; Martinelli, I.; Peyvandi, F. Comparison of adverse drug reactions among four COVID-19 vaccines in Europe using the EudraVigilance database: Thrombosis at unusual sites. J. Thromb. Haemost. 2021, 19, 2554–2558. [Google Scholar] [CrossRef]
- Bikdeli, B.; Chatterjee, S.; Arora, S.; Monreal, M.; Jimenez, D.; Krumholz, H.M.; Goldhaber, S.Z.; Elkind, M.S.V.; Piazza, G. Cerebral Venous Sinus Thrombosis in the U.S. Population, After Adenovirus-Based SARS-CoV-2 Vaccination, and After COVID-19. J. Am. Coll. Cardiol. 2021, 78, 408–411. [Google Scholar] [CrossRef]
- Euronews. Finland Suspends AstraZeneca Vaccine despite European Regulator Saying It Is Safe and Effective. Available online: https://www.euronews.com/2021/03/18/norway-sweden-denmark-wait-before-restarting-astrazeneca-vaccinations (accessed on 2 February 2022).
- BfArM-Startseite. Available online: https://www.bfarm.de/DE/Home/_node.html (accessed on 2 February 2022).
- Ferro, J.M.; Aguiar de Sousa, A.; Coutinho, J.M.; Martinelli, I. European stroke organization interim expert opinion on cerebral venous thrombosis occuring after SARS-CoV-2 vaccination. Eur. J. Stroke 2021, 6, 116–121. [Google Scholar] [CrossRef] [PubMed]
- Brighton Collaboration. Updated Proposed Brighton Collaboration Process for Developing a Standard Case Definition for Study of New Clinical Syndrome X, as Applied to Thrombosis with Thrombocytopenia Syndrome (TTS). Available online: https://brightoncollaboration.us/wp-content/uploads/2021/05/TTS-Interim-Case-Definition-v10.16.3-May-23-2021.pdf (accessed on 2 February 2022).
- British Society for Haematology. Available online: https://www.hantshealthcarelibrary.nhs.uk/assets/files/guidelines%20updated%20November%202021%201.pdf (accessed on 2 February 2022).
- Oldenburg, J.; Klamroth, R.; Langer, F.; Albisetti, M.; von Auer, C.; Ay, C.; Korte, W.; Scharf, R.E.; Pötsch, B.; Greinacher, A. Diagnosis and Management of Vaccine-Related Thrombosis following AstraZeneca COVID-19 Vaccination: Guidance Statement from the GTH. Hamostaseologie 2021, 41, 184–189. [Google Scholar] [CrossRef] [PubMed]
- International Society on Thrombosis and Haemostasis. Vaccine-Induced Immune Thrombotic Thrombocytopenia(VITT) Diagnostic Flow Chart (Updated 20 April, 2021). Available online: https://cdn.ymaws.com/www.isth.org/resource/resmgr/news/ISTH_VITT_Flow_Chart_Final.pdf (accessed on 2 February 2022).
- International Society on Thrombosis and Haemostasis. The ISTH Releases Interim Guidance on Vaccine-Induced Immune Thrombotic Thrombocytopenia (VITT). Available online: https://www.isth.org/news/561406/The-ISTH-Releases-Interim-Guidance-on-Vaccine-Induced-Immune-Thrombotic-Thrombocytopenia-VITT-.htm (accessed on 2 February 2022).
- Cerebral Venous Thrombosis (thrombosiscanada.ca). Available online: https://thrombosiscanada.ca/wp-uploads/uploads/2021/01/43.-Cerebral-Vein-Thrombosis_17Jan2020.pdf (accessed on 2 February 2022).
- Thiele, T.; Weisser, K.; Schönborn, L.; Funk, M.B.; Weber, G.; Greinacher, A.; Keller-Stanislawski, B. Laboratory confirmed vaccine-induced immune thrombotic thrombocytopenia: Retrospective analysis of reported cases after vaccination with ChAdOx-1 nCoV-19 in Germany. Lancet Reg. Health Eur. 2022, 12, 100270. [Google Scholar] [CrossRef] [PubMed]
- Lavin, M.; Elder, P.T.; O’Keeffe, D.; Enright, E.; Ryan, E.; Kelly, A.; Benson, G.; Le, G.N.; Byrne, M.; Ryan, K.; et al. Vaccine-induced immune thrombotic thrombocytopenia (VITT)—A novel clinico-pathological entity with heterogeneous clinical presentations. Br. J. Haematol. 2021, 195, 76–84. [Google Scholar] [CrossRef]
- Salih, F.; Schönborn, L.; Kohler, S.; Franke, C.; Pille, C.; Graw, J.; Alonso, A.; Pelz, J.; Bayas, A.; Kuramatsu, J.; et al. Vaccine-Induced Thrombocytopenia with Severe Headache. N. Engl. J. Med. 2021, 385, 2103–2105. [Google Scholar] [CrossRef]
- García-Azorín, D.; Do, T.P.; Gantenbein, A.R.; Hansen, J.M.; Souza, M.N.P.; Obermann, M.; Pohl, H.; Schankin, C.J.; Schytz, H.W.; Sinclair, A.; et al. Delayed headache after COVID-19 vaccination: A red flag for vaccine induced cerebral venous thrombosis. J. Headache Pain. 2021, 22, 108. [Google Scholar] [CrossRef]
- De Michele, M.; Iacobucci, M.; Chistolini, A.; Nicolini, E.; Pulcinelli, F.; Cerbelli, B.; Merenda, E.; Schiavo, O.G.; Sbardella, E.; Berto, I.; et al. Malignant cerebral infarction after ChAdOx1 nCov-19 vaccination: A catastrophic variant of vaccine-induced immune thrombotic thrombocytopenia. Nat. Commun. 2021, 12, 4663. [Google Scholar] [CrossRef]
- Sánchez van Kammen, M.; Heldner, M.R.; Brodard, J.; Scutelnic, A.; Silvis, S.; Schroeder, V.; Kremer Hovinga, J.A.; Middeldorp, S.; Levi, M.; Hiltunen, S.; et al. Frequency of Thrombocytopenia and Platelet Factor 4/Heparin Antibodies in Patients With Cerebral Venous Sinus Thrombosis Prior to the COVID-19 Pandemic. JAMA 2021, 326, 332–338. [Google Scholar] [CrossRef]
- Thiele, T.; Ulm, L.; Holtfreter, S.; Schönborn, L.; Kuhn, S.O.; Scheer, C.; Warketin, T.E.; Bröker, B.M.; Becker, K.; Aurich, K.; et al. Frequency of positive anti-PF4/polyanion antibody tests after COVID-19 vaccination with ChAdOx1 nCoV-19 and BNT162b2. Blood 2021, 138, 299–303. [Google Scholar] [CrossRef]
- Palaiodimou, L.; Stefanou, M.I.; Katsanos, A.H.; Aguiar de Sousa, D.; Coutinho, J.M.; Lagiou, P.; Michopoulos, I.; Naska, A.; Giannopoulos, S.; Vadikolias, K.; et al. Cerebral venous sinus thrombosis and thrombotic events after vector-based COVID-19 vaccines: A systematic review and meta-analysis. Neurology 2021, 97, e2136–e2147. [Google Scholar] [CrossRef]
- Polack, F.P.; Thomas, S.J.; Kitchin, N.; Absalon, J.; Gurtman, A.; Lockhart, S.; Perez, J.L.; Perez Marc, G.; Moreira, E.D.; Zerbini, C.; et al. C4591001 Clinical Trial Group. Safety and Efficacy of the BNT162b2 mRNA COVID-19 Vaccine. N. Engl. J. Med. 2020, 383, 2603–2615. [Google Scholar] [CrossRef] [PubMed]
- Baden, L.R.; El Sahly, H.M.; Essink, B.; Kotloff, K.; Frey, S.; Novak, R.; Diemert, D.; Spector, S.A.; Rouphael, N.; Creech, B.; et al. COVE Study Group. Efficacy and Safety of the mRNA-1273 SARS-CoV-2 Vaccine. N. Engl. J. Med. 2021, 384, 403–416. [Google Scholar] [CrossRef]
- Göbel, C.H.; Heinze, A.; Karstedt, S.; Morscheck, M.; Tashiro, L.; Cirkel, A.; Hamid, Q.; Halwani, R.; Temsah, M.H.; Ziemann, M.; et al. Headache Attributed to Vaccination Against COVID-19 (Coronavirus SARS-CoV-2) with the ChAdOx1 nCoV-19 (AZD1222) Vaccine: A Multicenter Observational Cohort Study. Pain Ther. 2021, 27, 1–22. [Google Scholar] [CrossRef] [PubMed]
- Ikenberg, B.; Demleitner, A.F.; Thiele, T.; Wiestler, B.; Götze, K.; Mössmer, G.; Lingor, P. Cerebral venous sinus thrombosis after ChAdOx1 nCov-19 vaccination with a misleading first cerebral MRI scan. Stroke Vasc. Neurol. 2021, 6, 668–670. [Google Scholar] [CrossRef]
- Uzun, G.; Althaus, K.; Singh, A.; Möller, P.; Ziemann, U.; Mengel, A.; Rosenberger, P.; Guthoff, M.; Petzold, G.C.; Müller, J.; et al. The use of IV immunoglobulin in the treatment of vaccine-induced immune thrombotic thrombocytopenia. Blood 2021, 138, 992–996. [Google Scholar] [CrossRef] [PubMed]
- Schell, A.M.; Petras, M.; Szczepiorkowski, Z.M.; Ornstein, D.L. Refractory heparin induced thrombocytopenia with thrombosis (HITT) treated with therapeutic plasma exchange and rituximab as adjuvant therapy. Transfus. Apher. Sci. 2013, 49, 185–188. [Google Scholar] [CrossRef]
- Mastellos, D.C.; Skendros, P.; Lambris, J.D. Is complement the culprit behind COVID-19 vaccine-related adverse reactions? J. Clin. Invest. 2021, 131, 151092. [Google Scholar] [CrossRef]
- Mantadakis, E.; Farmaki, E.; Buchanan, G.R. Thrombocytopenic purpura after measles-mumps-rubella vaccination: A systematic review of the literature and guidance for management. J. Pediatr. 2010, 156, 623–628. [Google Scholar] [CrossRef]

| Authors/Society | Criteria | Additional Considerations |
|---|---|---|
| Brighton Collaboration Criteria | Definite TTS: Platelets < 150,000/uL without heparin exposure within last 100 days AND imaging, surgical and/or pathology evidence of venous and/or arterial thrombosis Probable TTS: Platelets < 150,000/uL without heparin exposure within last 100 days AND specific clinical syndromes of venous and/or arterial thrombosis AND supporting imaging or laboratory findings suggestive but not definitive of thrombosis/thromboembolism (chest X-ray, echocardiogram, CT without contrast) OR elevated D-dimer levels Possible TTS: Platelets < 150,000/uL without heparin exposure within last 100 days AND specific clinical syndromes of venous and/or arterial thrombosis | For definite TTS: when present, laboratory findings can be supportive of the diagnosis, including: D-dimer levels elevated above the upper limit of normal for age, shortened PT, PTT below the lower limit of normal for age |
| Expert Hematology Panel, UK | Definite VITT: Onset of symptoms 5–30 days after vaccination against SARS-CoV-2 (or ≤42 days in patients with isolated deep-vein thrombosis or pulmonary embolism) Presence of thrombosis Thrombocytopenia (platelet count < 150,000 per cubic millimeter) D-dimer levels > 4000 FEU Positive anti-PF4 antibodies on ELISA Probable VITT: D-dimer levels > 4000 FEU but one criterion not met (timing, thrombosis, thrombocytopenia or anti-PF4 antibodies), or D-dimer levels unknown or 2000–4000 FEU and all other criteria met Possible VITT: D-dimer levels unknown or 2000–4000 FEU with one other criterion not met, or two other criteria not met (timing, thrombosis, thrombocytopenia or anti-PF4 antibodies) Unlikely VITT: Platelet count < 150,000 per cubic millimeter without thrombosis with D-dimer levels <2000 FEU, or thrombosis with platelet count > 150,000 per cubic millimeter and D-dimer levels < 2000 FEU, regardless of anti-PF4 antibody result, and alternative diagnosis more likely | n/a |
| German Society of Thrombosis and Haemostasis | Definite VITT: Vaccination with AstraZeneca 4-16 days prior AND confirmed thrombosis and/or thrombocytopenia; positive anti-PF4 antibodies (ELISA), positive modified HIPA assay Suspected VITT: Vaccination with AstraZeneca 4–16 days prior AND confirmed thrombosis and/or thrombocytopenia | n/a |
| International Society of Thrombosis and Hemostasis | Definite VITT: SARS-CoV-2 vaccination 4 to 28 days ago; acute signs/symptoms of thromboembolism AND platelet count <150,000/uL AND positive anti-PF4 antibodies (ELISA) OR (when ELISA not available) D-dimer levels > 4x threshold for VTE exclusion Suspected VITT: COVID-19-vaccination 4 to 28 days ago; acute signs/symptoms of thromboembolism AND platelet < 150,000/uL | n/a |
| Thrombosis Canada | Suspected VITT: Clinical signs of thrombosis AND SARS-CoV-2 vaccination within past 4–20 days AND platelet count <150,000/uL | Negative imaging does not rule out CVST |
Publisher’s Note: MDPI stays neutral with regard to jurisdictional claims in published maps and institutional affiliations. |
© 2022 by the authors. Licensee MDPI, Basel, Switzerland. This article is an open access article distributed under the terms and conditions of the Creative Commons Attribution (CC BY) license (https://creativecommons.org/licenses/by/4.0/).
Share and Cite
Scutelnic, A.; Brodard, J.; Kremer Hovinga, J.A.; Arnold, M.; Heldner, M.R. Cerebral Venous Sinus Thrombosis Associated with Vaccine-Induced Thrombotic Thrombocytopenia—A Narrative Review. Clin. Transl. Neurosci. 2022, 6, 11. https://doi.org/10.3390/ctn6020011
Scutelnic A, Brodard J, Kremer Hovinga JA, Arnold M, Heldner MR. Cerebral Venous Sinus Thrombosis Associated with Vaccine-Induced Thrombotic Thrombocytopenia—A Narrative Review. Clinical and Translational Neuroscience. 2022; 6(2):11. https://doi.org/10.3390/ctn6020011
Chicago/Turabian StyleScutelnic, Adrian, Justine Brodard, Johanna A. Kremer Hovinga, Marcel Arnold, and Mirjam R. Heldner. 2022. "Cerebral Venous Sinus Thrombosis Associated with Vaccine-Induced Thrombotic Thrombocytopenia—A Narrative Review" Clinical and Translational Neuroscience 6, no. 2: 11. https://doi.org/10.3390/ctn6020011
APA StyleScutelnic, A., Brodard, J., Kremer Hovinga, J. A., Arnold, M., & Heldner, M. R. (2022). Cerebral Venous Sinus Thrombosis Associated with Vaccine-Induced Thrombotic Thrombocytopenia—A Narrative Review. Clinical and Translational Neuroscience, 6(2), 11. https://doi.org/10.3390/ctn6020011

