Serum and Salivary BP180 NC 16a Enzyme-Linked Immunosorbent Assay in Mucous Membrane Pemphigoid. Analysis of a Cohort of 25 Patients †
1. Introduction
2. Aim
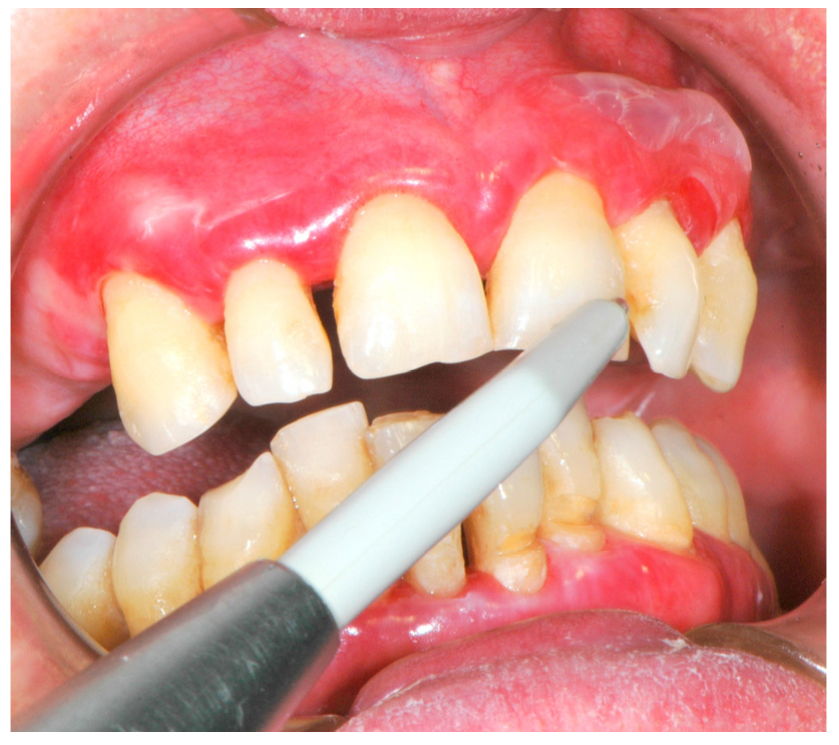
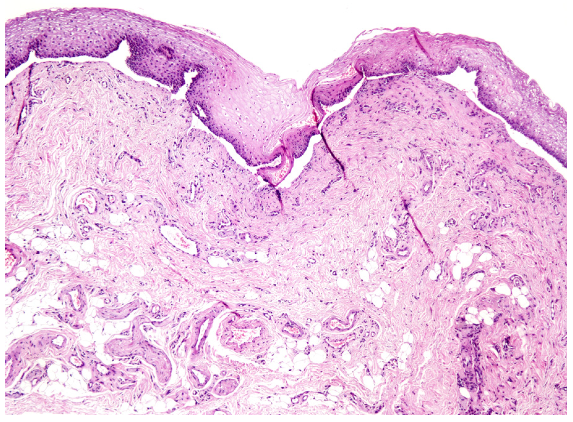
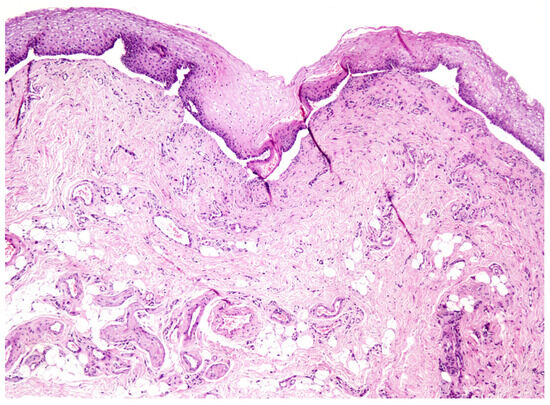
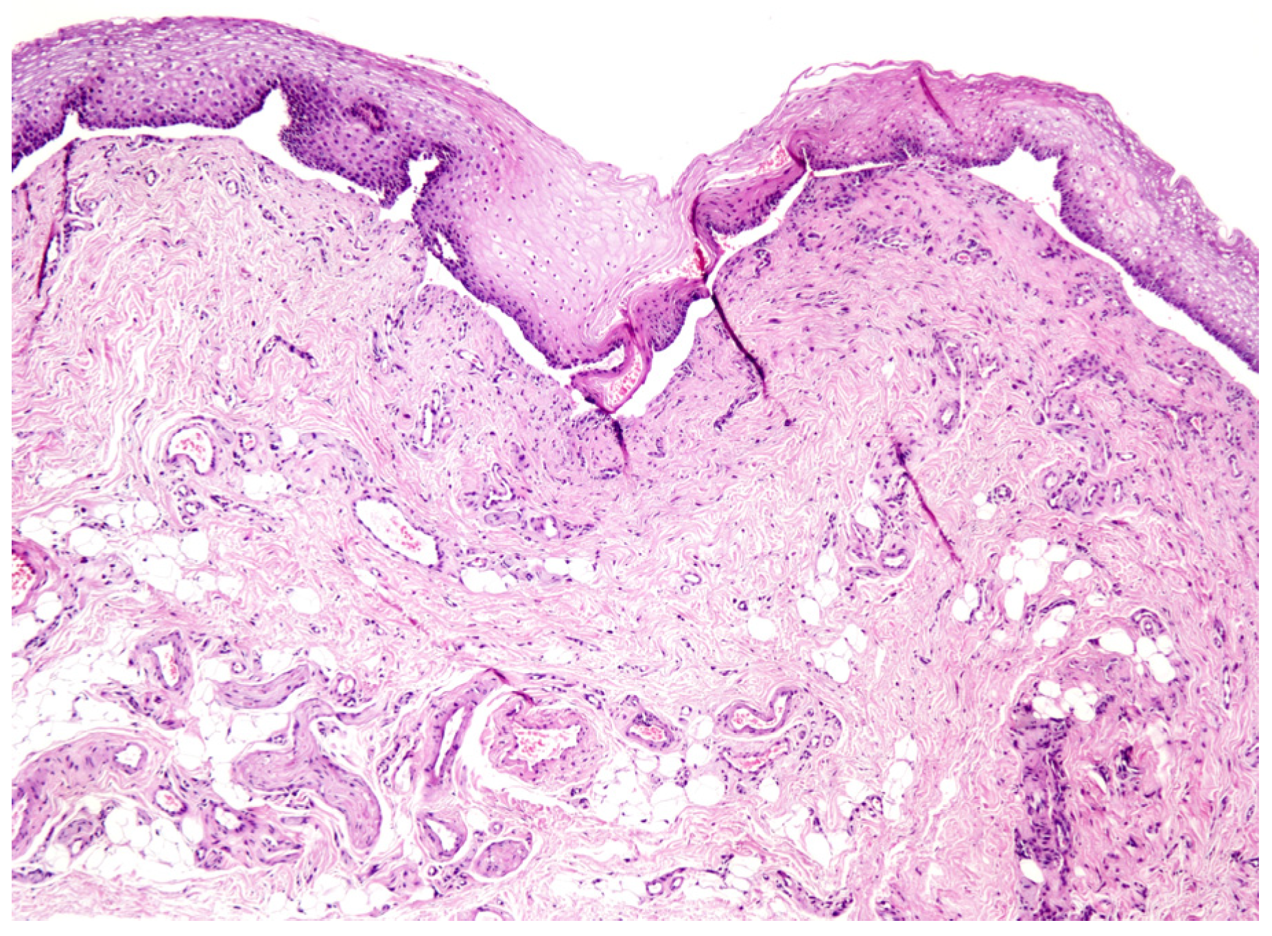
3. Materials & Method
4. Results
5. Discussion
Conflicts of Interest
References
- Koopai, M.; Mortazavi, H.; Khatami, A.; Khodashenas, Z. Salivary and Serum Anti-Desmoglein 1 and 3 ELISA and Indirect Immunofluorescence in Pemphigus Vulgaris: Correlations with Serum ELISA, Indirect Immunofluorescence and Disease Severity. Acta Dermatovenerol. Croat. 2018, 26, 91–99. [Google Scholar] [PubMed]
- Esmaili, N.; Mortazavi, H.; Kamyab-Hesari, K.; Aghazadeh, N.; Daneshpazhooh, M.; Khani, S.; Chams-Davatchi, C. Diagnostic accuracy of BP180 NC16a and BP230-C3 ELISA in serum and saliva of patients with bullous pemphigoid. Clin. Exp. Dermatol. 2015, 40, 324–330. [Google Scholar] [CrossRef] [PubMed]
- Andreadis, D.; Lorenzini, G.; Drakoulakos, D.; Belazi, M.; Mihailidou, E.; Velkos, G.; Mourellou-Tsatsou, O.; Antoniades, D. Detection of pemphigus desmoglein 1 and desmoglein 3 autoantibodies and pemphigoid BP180 autoantibodies in saliva and comparison with serum values. Eur. J. Oral Sci. 2006, 114, 374–380. [Google Scholar] [CrossRef] [PubMed]
- Ali, S.; Kelly, C.; Challacombe, S.J.; Donaldson, A.N.; Dart, J.K.; Gleeson, M.; MMP Study Group 2009–14; Setterfield, J.F. Salivary IgA and IgG antibodies to bullous pemphigoid 180 noncollagenous domain 16a as diagnostic biomarkers in mucous membrane pemphigoid. Br. J. Dermatol. 2016, 174, 1022–1029. [Google Scholar] [CrossRef] [PubMed]


| Patient | Sex | Age | Anti-BP180 Serum Titer | Anti-BP180 Saliva Titer | Herman Score |
|---|---|---|---|---|---|
| 1 | F | 66 | 6.6 | 4.5 | 2 |
| 2 | F | 82 | 43.2 | 26 | 3 |
| 3 | F | 67 | 13.6 | 19.7 | 3 |
| 4 | M | 50 | 28.8 | 44.3 | 1 |
| 5 | M | 59 | 30 | 9.1 | 1 |
| 6 | F | 46 | 3 | 11.2 | 1 |
| 7 | M | 45 | 0.8 | 2.9 | 1 |
| 8 | F | 65 | 2.3 | 40.9 | 2 |
| 9 | F | 82 | 26.3 | 11.2 | 1 |
| 10 | F | 62 | 3.8 | 3.3 | 3 |
| 11 | F | 73 | 5 | 42.1 | 2 |
| 12 | F | 59 | 8.2 | 0.5 | 1 |
| 13 | F | 78 | 19.4 | 66.1 | 3 |
| 14 | F | 56 | 1.1 | 2.4 | 1 |
| 15 | M | 74 | 6.5 | 7.2 | 3 |
| 16 | F | 59 | 14.3 | 17.3 | 1 |
| 17 | F | 48 | 16.4 | 2.5 | 3 |
| 18 | M | 61 | 12.7 | 60 | 1 |
| 19 | F | 74 | 2 | 10 | 3 |
| 20 | F | 77 | 27.1 | 13 | 2 |
| 21 | F | 69 | 8.3 | 31.8 | 1 |
| 22 | F | 65 | 12.7 | 46.2 | 2 |
| 23 | F | 66 | 0.3 | 11.7 | 2 |
| 24 | F | 58 | 34.8 | 7.4 | 2 |
| 25 | M | 47 | 3.9 | 7.4 | 2 |
Publisher’s Note: MDPI stays neutral with regard to jurisdictional claims in published maps and institutional affiliations. |
© 2019 by the authors. Licensee MDPI, Basel, Switzerland. This article is an open access article distributed under the terms and conditions of the Creative Commons Attribution (CC BY) license (https://creativecommons.org/licenses/by/4.0/).
Share and Cite
Vella, F.D.; Galleggiante, S.; Laudadio, C.; Contaldo, M.; Stasio, D.D.; Tampoia, M.; Petruzzi, M. Serum and Salivary BP180 NC 16a Enzyme-Linked Immunosorbent Assay in Mucous Membrane Pemphigoid. Analysis of a Cohort of 25 Patients. Proceedings 2019, 35, 21. https://doi.org/10.3390/proceedings2019035021
Vella FD, Galleggiante S, Laudadio C, Contaldo M, Stasio DD, Tampoia M, Petruzzi M. Serum and Salivary BP180 NC 16a Enzyme-Linked Immunosorbent Assay in Mucous Membrane Pemphigoid. Analysis of a Cohort of 25 Patients. Proceedings. 2019; 35(1):21. https://doi.org/10.3390/proceedings2019035021
Chicago/Turabian StyleVella, Fedora Della, Sara Galleggiante, Claudia Laudadio, Maria Contaldo, Dario Di Stasio, Marilina Tampoia, and Massimo Petruzzi. 2019. "Serum and Salivary BP180 NC 16a Enzyme-Linked Immunosorbent Assay in Mucous Membrane Pemphigoid. Analysis of a Cohort of 25 Patients" Proceedings 35, no. 1: 21. https://doi.org/10.3390/proceedings2019035021
APA StyleVella, F. D., Galleggiante, S., Laudadio, C., Contaldo, M., Stasio, D. D., Tampoia, M., & Petruzzi, M. (2019). Serum and Salivary BP180 NC 16a Enzyme-Linked Immunosorbent Assay in Mucous Membrane Pemphigoid. Analysis of a Cohort of 25 Patients. Proceedings, 35(1), 21. https://doi.org/10.3390/proceedings2019035021

