SARS-CoV-2 Infection and CMV Dissemination in Transplant Recipients as a Treatment for Chagas Cardiomyopathy: A Case Report
Abstract
1. Introduction
2. Case Report
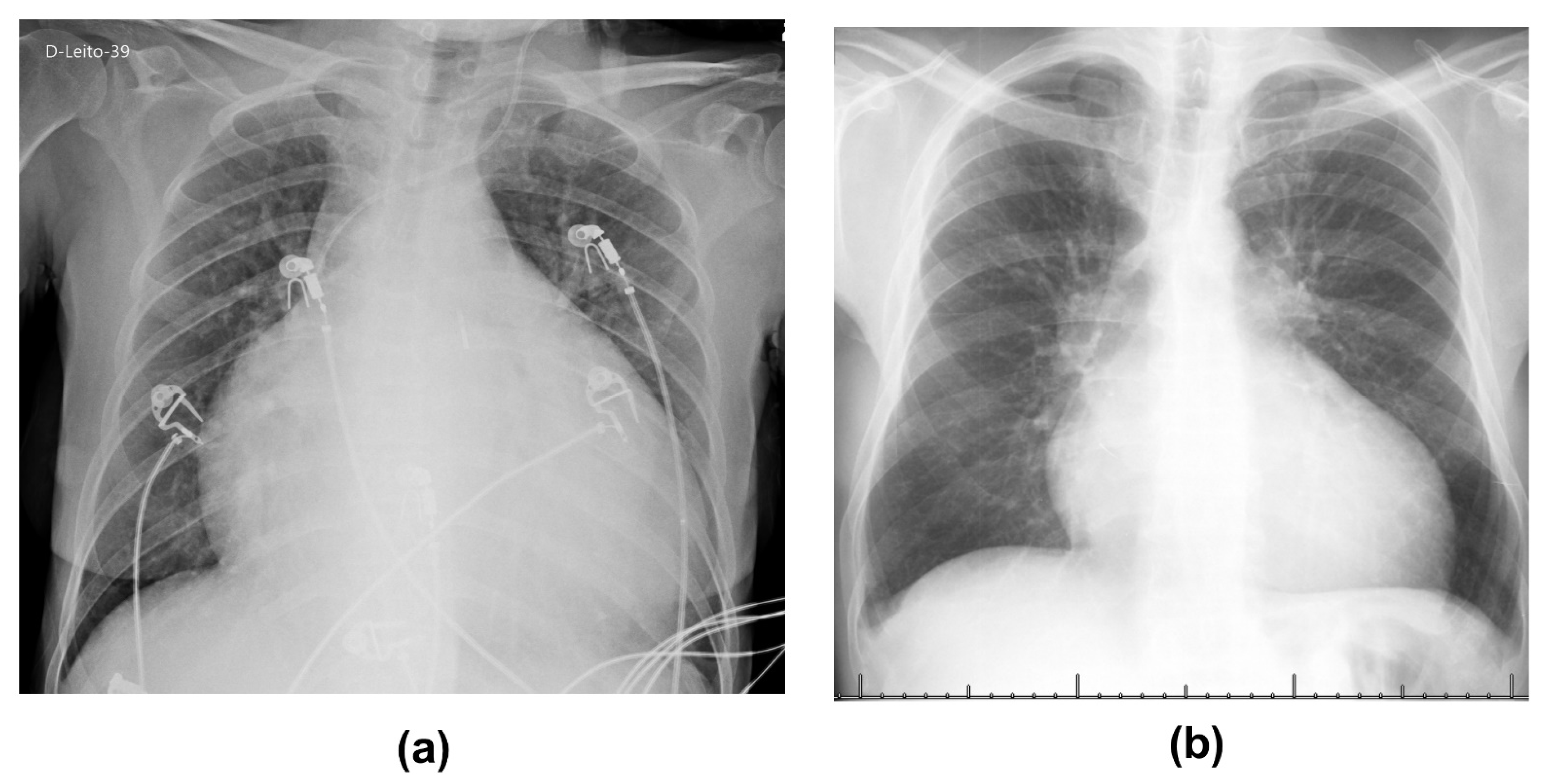
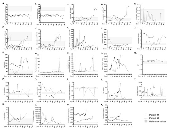
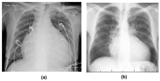
2.1. Patient 1
2.2. Patient 2
3. Discussion
4. Conclusions
Author Contributions
Funding
Institutional Review Board Statement
Informed Consent Statement
Data Availability Statement
Conflicts of Interest
References
- Huang, C.; Wang, Y.; Li, X.; Ren, L.; Zhao, J.; Hu, Y.; Zhang, L.; Fan, G.; Xu, J.; Gu, X.; et al. Clinical Features of Patients Infected with 2019 Novel Coronavirus in Wuhan, China. Lancet 2020, 395, 497–506. [Google Scholar] [CrossRef]
- Cao, X. COVID-19: Immunopathology and Its Implications for Therapy. Nat. Rev. Immunol. 2020, 20, 269–270. [Google Scholar] [CrossRef]
- Yendo, T.M.; Ramos, Y.; Álefe, L.; Fernandes, I.G.; Oliveira, L.D.M.; Teixeira, F.M.E.; Beserra, D.R.; De Oliveira, E.A.; Gozzi-Silva, S.; Andrade, M.M.D.S.; et al. Case Report: COVID-19 and Chagas Disease in Two Coinfected Patients. Am. J. Trop. Med. Hyg. 2020, 103, 2353–2356. [Google Scholar] [CrossRef]
- Netea, M.G.; Giamarellos-Bourboulis, E.J.; Domínguez-Andrés, J.; Curtis, N.; van Crevel, R.; van de Veerdonk, F.L.; Bonten, M. Trained Immunity: A Tool for Reducing Susceptibility to and the Severity of SARS-CoV-2 Infection. Cell 2020, 181, 969–977. [Google Scholar] [CrossRef]
- Qin, C.; Zhou, L.; Hu, Z.; Zhang, S.; Yang, S.; Tao, Y.; Xie, C.; Ma, K.; Shang, K.; Wang, W.; et al. Dysregulation of Immune Response in Patients with COVID-19 in Wuhan, China. Clin. Infect. Dis. 2020, 71, 762–768. [Google Scholar] [CrossRef]
- Álvarez-Hernández, D.-A.; Franyuti-Kelly, G.-A.; Díaz-López-Silva, R.; González-Chávez, A.-M.; González-Hermosillo-Cornejo, D.; Vázquez-López, R. Chagas Disease: Current Perspectives on a Forgotten Disease. Rev. Médica del Hosp. Gen. México 2018, 81, 154–164. [Google Scholar] [CrossRef]
- Pérez-Molina, J.A.; Molina, I. Chagas Disease. Lancet 2018, 391, 82–94. [Google Scholar] [CrossRef]
- Boscardin, S.B.; Torrecilhas, A.C.T.; Manarin, R.; Revelli, S.; Rey, E.G.; Tonelli, R.R.; Silber, A.M. Chagas’ Disease: An Update on Immune Mechanisms and Therapeutic Strategies. J. Cell. Mol. Med. 2010, 14, 1373–1384. [Google Scholar] [CrossRef] [PubMed]
- Fiorelli, A.I.; Santos, R.H.B.; Oliveira, J.L.; Lourenço-Filho, D.D.; Dias, R.R.; Oliveira, A.S.; Da Silva, M.F.A.; Ayoub, F.L.; Bacal, F.; Souza, G.E.C.; et al. Heart Transplantation in 107 Cases of Chagas’ Disease. Transplant. Proc. 2011, 43, 220–224. [Google Scholar] [CrossRef] [PubMed]
- Gray, E.B.; La Hoz, R.M.; Green, J.S.; Vikram, H.R.; Benedict, T.; Rivera, H.; Montgomery, S.P. Reactivation of Chagas Disease among Heart Transplant Recipients in the United States, 2012–2016. Transpl. Infect. Dis. 2018, 20, e12996. [Google Scholar] [CrossRef]
- Azevedo, L.S.; Pierrotti, L.C.; Abdala, E.; Costa, S.F.; Strabelli, T.M.V.; Campos, S.V.; Ramos, J.F.; Latif, A.Z.A.; Litvinov, N.; Maluf, N.Z.; et al. Cytomegalovirus Infection in Transplant Recipients. Clinics 2015, 70, 515–523. [Google Scholar] [CrossRef]
- Stern, L.; Withers, B.; Avdic, S.; Gottlieb, D.; Abendroth, A.; Blyth, E.; Slobedman, B. Human Cytomegalovirus Latency and Reactivation in Allogeneic Hematopoietic Stem Cell Transplant Recipients. Front. Microbiol. 2019, 10, 1186. [Google Scholar] [CrossRef] [PubMed]
- Nacif, L.S.; Zanini, L.Y.; Waisberg, D.R.; Pinheiro, R.S.; Galvão, F.; Andraus, W.; D’albuquerque, L.C. COVID-19 in Solid Organ Transplantation Patients: A Systematic Review. Clinics 2020, 75, e1983. [Google Scholar] [CrossRef] [PubMed]
- Pereira, M.R.; Mohan, S.; Cohen, D.J.; Husain, S.A.; Dube, G.K.; Ratner, L.E.; Arcasoy, S.; Aversa, M.M.; Benvenuto, L.J.; Dadhania, D.M.; et al. COVID-19 in Solid Organ Transplant Recipients: Initial Report from the US Epicenter. Am. J. Transplant. 2020, 20, 1800–1808. [Google Scholar] [CrossRef] [PubMed]
- Heimbach, J.K.; Taner, T. SARS-CoV-2 Infection in Liver Transplant Recipients: Collaboration in the Time of COVID-19. Lancet Gastroenterol. Hepatol. 2020, 5, 958–960. [Google Scholar] [CrossRef]
- Lin, L.; Lu, L.; Cao, W.; Li, T. Hypothesis for Potential Pathogenesis of SARS-CoV-2 Infection-a Review of Immune Changes in Patients with Viral Pneumonia. Emerg. Microbes Infect. 2020, 9, 727–732. [Google Scholar] [CrossRef]
- Jose, R.J.; Manuel, A. COVID-19 Cytokine Storm: The Interplay between Inflammation and Coagulation. Lancet Respir. Med. 2020, 8, e46–e47. [Google Scholar] [CrossRef]
- Schrem, H.; Barg-Hock, H.; Strassburg, C.P.; Schwarz, A.; Klempnauer, J. Aftercare for Patients with Transplanted Organs. Dtsch. Aerzteblatt Online 2009, 106, 148–156. [Google Scholar] [CrossRef] [PubMed]
- Varani, S.; Landini, M. Cytomegalovirus-Induced Immunopathology and Its Clinical Consequences. Herpesviridae 2011, 2, 6. [Google Scholar] [CrossRef]
- Paulsen, G.C.; Danziger-Isakov, L. Respiratory Viral Infections in Solid Organ and Hematopoietic Stem Cell Transplantation. Clin. Chest Med. 2017, 38, 707–726. [Google Scholar] [CrossRef] [PubMed]
- Ning, L.; Liu, L.; Li, W.; Liu, H.; Wang, J.; Yao, Z.; Zhang, S.; Zhao, D.; Nashan, B.; Shen, A.; et al. Novel Coronavirus (SARS-CoV-2) Infection in a Renal Transplant Recipient: Case Report. Am. J. Transplant. 2020, 20, 1864–1868. [Google Scholar] [CrossRef] [PubMed]
- Fernández-Ruiz, M.; Andrés, A.; Loinaz, C.; Delgado, J.F.; López-Medrano, F.; San Juan, R.; González, E.; Polanco, N.; Folgueira, M.D.; Lalueza, A.; et al. COVID-19 in Solid Organ Transplant Recipients: A Single-Center Case Series from Spain. Am. J. Transplant. 2020, 20, 1849–1858. [Google Scholar] [CrossRef]
- Godoy, H.L.; Guerra, C.M.; Viegas, R.F.; Dinis, R.Z.; Branco, J.N.; Neto, V.A.; Almeida, D.R. Infections in Heart Transplant Recipients in Brazil: The Challenge of Chagas’ Disease. J. Heart Lung Transplant. 2010, 29, 286–290. [Google Scholar] [CrossRef] [PubMed]
- Inga, L.A.C.; Olivera, M.J. Reactivation of Chagas Disease in a Heart Transplant Patient Infected by Sylvatic Trypanosoma Cruzi Discrete Typing Unit I. Rev. Soc. Bras. Med. Trop. 2019, 52, e20180512. [Google Scholar] [CrossRef] [PubMed]
- Leemans, S.; Maillart, E.; Van Noten, H.; Oliveira Dos Santos, L.; Leahu, L.M.; Kamgang, P.; Gallerani, A.; Clevenbergh, P. Cytomegalovirus Haemorrhagic Colitis Complicating COVID-19 in an Immunocompetent Critically Ill Patient: A Case Report. Clin. Case Rep. 2020. [Google Scholar] [CrossRef]
- Romanelli, A.; Mascolo, S. Immunosuppression Drug-Related and Clinical Manifestation of Coronavirus Disease 2019: A Therapeutical Hypothesis. Am. J. Transplant. 2020, 20, 1947–1948. [Google Scholar] [CrossRef] [PubMed]
- Cavagna, L.; Seminari, E.; Zanframundo, G.; Gregorini, M.; Di Matteo, A.; Rampino, T.; Montecucco, C.; Pelenghi, S.; Cattadori, B.; Pattonieri, E.F.; et al. Calcineurin Inhibitor-Based Immunosuppression and COVID-19: Results from a Multidisciplinary Cohort of Patients in Northern Italy. Microorganisms 2020, 8, 977. [Google Scholar] [CrossRef] [PubMed]
- D’Antiga, L. Coronaviruses and Immunosuppressed Patients: The Facts During the Third Epidemic. Liver Transplant. 2020, 26, 832–834. [Google Scholar] [CrossRef]
- Liang, W.; Guan, W.; Chen, R.; Wang, W.; Li, J.; Xu, K.; Li, C.; Ai, Q.; Lu, W.; Liang, H.; et al. Cancer Patients in SARS-CoV-2 Infection: A Nationwide Analysis in China. Lancet Oncol. 2020, 21, 335–337. [Google Scholar] [CrossRef]
- Li, X.; Xu, S.; Yu, M.; Wang, K.; Tao, Y.; Zhou, Y.; Shi, J.; Zhou, M.; Wu, B.; Yang, Z.; et al. Risk Factors for Severity and Mortality in Adult COVID-19 Inpatients in Wuhan. J. Allergy Clin. Immunol. 2020, 146, 110–118. [Google Scholar] [CrossRef] [PubMed]
- Jin, S.X.; Juthani, V.V. Acute Corneal Endothelial Graft Rejection with Coinciding COVID-19 Infection. Cornea 2021, 40, 123–124. [Google Scholar] [CrossRef] [PubMed]
- Neurath, M.F. COVID-19 and Immunomodulation in IBD. Gut 2020, 69, 1335–1342. [Google Scholar] [CrossRef] [PubMed]
- Zaidel, E.J.; Forsyth, C.J.; Novick, G.; Marcus, R.; Ribeiro, A.L.P.; Pinazo, M.J.; Morillo, C.A.; Echeverría, L.E.; Shikanai-Yasuda, M.A.; Buekens, P.; et al. COVID-19: Implications for People with Chagas Disease. Glob. Heart 2020, 15, 69. [Google Scholar] [CrossRef] [PubMed]


| Patient 1 | Patient 2 | |
|---|---|---|
| Sex | Female | Male |
| Age | 55 | 62 |
| Positive SARS-CoV-2 RT-PCR date | 1 June 2020 | 29 June 2020 |
| Heart transplant date | 2 May 2020 | 5 December 2019 |
| Death date | 30 days | 207 days |
| Days between positive SARS-CoV-2 diagnosis and death | 47 days | 21 days |
| Complications during ICU stay | ARDS due to COVID–19; heart transplant rejection, disseminated cytomegalovirus; aggravated chronic kidney disease and pressure ulcer | ARDS due to COVID–19, disseminated cytomegalovirus and pancytopenia due to hemophagocytosis |
| Previous comorbidities | Dilated cardiomyopathy of Chagas etiology, hypothyroidism by thyroidectomy by nodule 10 years ago | Cardiomyopathy of Chagas etiology, disseminated cytomegalovirus, deep vein thrombosis, systemic arterial hypertension, diabetes, dyslipidemia, and chronic renal failure |
| Previous use of medications | Carvedilol, losartan, furosemide, levothyroxine, isosorbide, and hydralazine | Unknown |
| Medicines used during ICU stay | Methylprednisolone, azathioprine, anti-thymocyte globulin, cyclosporine, tacrolimus, meropenem, linezolid, micafungin, vancomycin, polymyxin B, tigecycline, amikacin, fluconazole, ganciclovir, and hydrocortisone | Meropenem, colistin, linezolid fluconazole, amikacin, cyclosporine, azathioprine, and prednisone |
Publisher’s Note: MDPI stays neutral with regard to jurisdictional claims in published maps and institutional affiliations. |
© 2021 by the authors. Licensee MDPI, Basel, Switzerland. This article is an open access article distributed under the terms and conditions of the Creative Commons Attribution (CC BY) license (http://creativecommons.org/licenses/by/4.0/).
Share and Cite
Gozzi-Silva, S.C.; Benard, G.; Alberca, R.W.; Yendo, T.M.; Teixeira, F.M.E.; Oliveira, L.d.M.; Beserra, D.R.; Pietrobon, A.J.; Oliveira, E.A.d.; Branco, A.C.C.C.; et al. SARS-CoV-2 Infection and CMV Dissemination in Transplant Recipients as a Treatment for Chagas Cardiomyopathy: A Case Report. Trop. Med. Infect. Dis. 2021, 6, 22. https://doi.org/10.3390/tropicalmed6010022
Gozzi-Silva SC, Benard G, Alberca RW, Yendo TM, Teixeira FME, Oliveira LdM, Beserra DR, Pietrobon AJ, Oliveira EAd, Branco ACCC, et al. SARS-CoV-2 Infection and CMV Dissemination in Transplant Recipients as a Treatment for Chagas Cardiomyopathy: A Case Report. Tropical Medicine and Infectious Disease. 2021; 6(1):22. https://doi.org/10.3390/tropicalmed6010022
Chicago/Turabian StyleGozzi-Silva, Sarah Cristina, Gil Benard, Ricardo Wesley Alberca, Tatiana Mina Yendo, Franciane Mouradian Emidio Teixeira, Luana de Mendonça Oliveira, Danielle Rosa Beserra, Anna Julia Pietrobon, Emily Araujo de Oliveira, Anna Cláudia Calvielli Castelo Branco, and et al. 2021. "SARS-CoV-2 Infection and CMV Dissemination in Transplant Recipients as a Treatment for Chagas Cardiomyopathy: A Case Report" Tropical Medicine and Infectious Disease 6, no. 1: 22. https://doi.org/10.3390/tropicalmed6010022
APA StyleGozzi-Silva, S. C., Benard, G., Alberca, R. W., Yendo, T. M., Teixeira, F. M. E., Oliveira, L. d. M., Beserra, D. R., Pietrobon, A. J., Oliveira, E. A. d., Branco, A. C. C. C., Andrade, M. M. d. S., Fernandes, I. G., Pereira, N. Z., Ramos, Y. Á. L., Lima, J. C., Provenci, B., Mangini, S., Duarte, A. J. d. S., & Sato, M. N. (2021). SARS-CoV-2 Infection and CMV Dissemination in Transplant Recipients as a Treatment for Chagas Cardiomyopathy: A Case Report. Tropical Medicine and Infectious Disease, 6(1), 22. https://doi.org/10.3390/tropicalmed6010022

