Locked Intramedullary Nailing versus Compression Plating for Stable Ulna Fractures: A Comparative Study
Abstract
1. Introduction
2. Materials and Methods
2.1. Demographic Data
2.2. Surgical Techniques
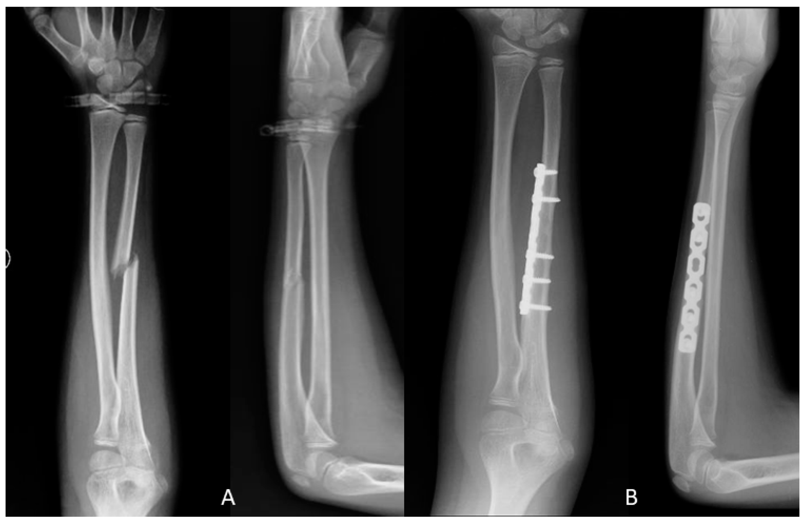
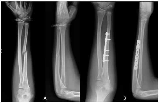
2.2.1. Open Reduction and Internal Fixation (ORIF)
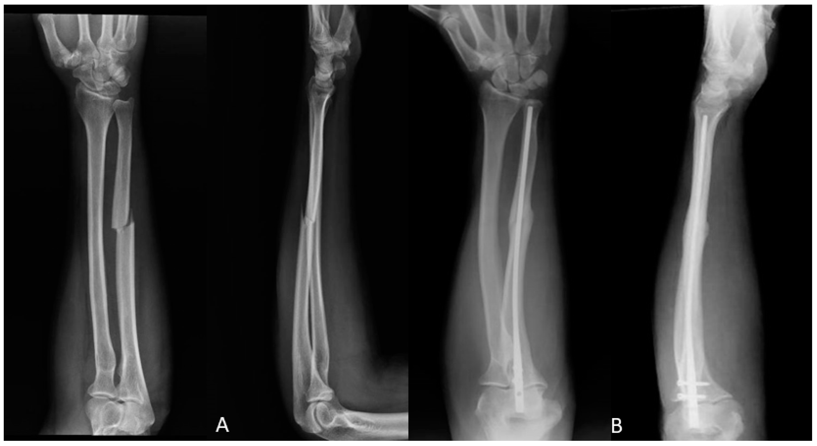
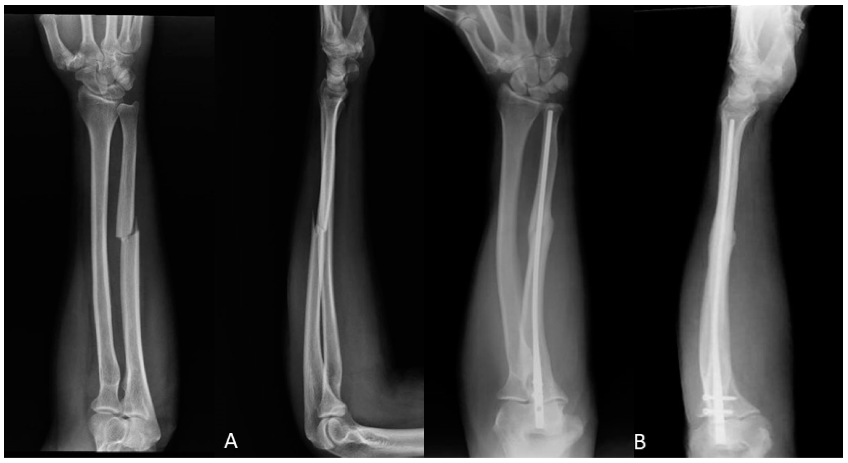
2.2.2. Intramedullary Nail (IMN)
2.3. Outcome Measures
2.4. Statistical Analysis
3. Results
4. Discussion
5. Conclusions
Author Contributions
Funding
Institutional Review Board Statement
Informed Consent Statement
Data Availability Statement
Acknowledgments
Conflicts of Interest
References
- Handoll, H.H.; Pearce, P.K. Interventions for isolated diaphyseal fractures of the ulna in adults. Cochrane Database Syst. Rev. 2004, 2, CD000523. [Google Scholar]
- Dymond, I.W. The treatment of isolated fractures of the distal ulna. J. Bone Joint Surg. Br. 1984, 66, 408–410. [Google Scholar] [CrossRef] [PubMed]
- Sauder, D.J.; Athwal, G.S. Management of isolated ulnar shaft fractures. Hand Clin. 2007, 23, 179–184. [Google Scholar] [CrossRef]
- Coulibaly, M.O.; Jones, C.B.; Sietsema, D.L.; Schildhauer, T.A. Results of 70 consecutive ulnar nightstick fractures. Injury 2015, 46, 1359–1366. [Google Scholar] [CrossRef]
- Corea, J.R.; Brakenbury, P.H.; Blakemore, M.E. The treatment of isolated fractures of the ulnar shaft in adults. Injury 1981, 12, 365–370. [Google Scholar] [CrossRef]
- Brakenbury, P.H.; Corea, J.R.; Blakemore, M.E. Non-union of the isolated fracture of the ulnar shaft in adults. Injury 1981, 12, 371–375. [Google Scholar] [CrossRef]
- Hooper, G. Isolated fractures of the shaft of the ulna. Injury 1974, 6, 180–184. [Google Scholar] [CrossRef]
- Pollock, F.H.; Pankovich, A.M.; Prieto, J.J.; Lorenz, M. The isolated fracture of the ulnar shaft. Treatment without immobilization. J. Bone Joint Surg. Am. 1983, 65, 339–342. [Google Scholar] [CrossRef]
- Lil, N.A.; Makkar, D.S.; Aleem, A.A. Results of Closed Intramedullary Nailing using Talwarkar Square Nail in Adult Forearm Fractures. Malays. Orthop. J. 2012, 6, 7–12. [Google Scholar] [CrossRef]
- Beaton, D.E.; Katz, J.N.; Fossel, A.H.; Wright, J.G.; Tarasuk, V.; Bombardier, C. Measuring the whole or the parts? Validity, reliability, and responsiveness of the Disabilities of the Arm, Shoulder and Hand outcome measure in different regions of the upper extremity. J. Hand. Ther. 2001, 14, 128–146. [Google Scholar] [CrossRef]
- Hussain, A.; Nema, S.K.; Sharma, D.; Akkilagunta, S.; Balaji, G. Does operative fixation of isolated fractures of ulna shaft results in different outcomes than non-operative management by long arm cast? J. Clin. Orthop. Trauma 2018, 9, S86–S91. [Google Scholar] [CrossRef]
- Saka, G.; Sağlam, N.; Kurtulmuş, T.; Özer, C.; Uğurlar, M.; Akpınar, F. Interlocking intramedullary ulna nails in isolated ulna diaphyseal fractures: A retrospective study. Acta Orthop. Traumatol. Turc. 2013, 47, 236–243. [Google Scholar] [CrossRef] [PubMed]
- Visńa, P.; Beitl, E.; Pilný, J.; Cizmár, I.; Vlcek, M.; Kalvach, J.; Valcha, M. Interlocking nailing of forearm fractures. Acta Chir. Belg. 2008, 108, 333–338. [Google Scholar] [CrossRef] [PubMed]
- Köse, A.; Aydın, A.; Ezirmik, N.; Yıldırım, Ö.S. A comparison of the treatment results of open reduction internal fixation and intramedullary nailing in adult forearm diaphyseal fractures. Ulus Travma Acil. Cerrahi Derg. 2017, 23, 235–244. [Google Scholar]
- Bartoníček, J.; Kozánek, M.; Jupiter, J.B. History of operative treatment of forearm diaphyseal fractures. J. Hand Surg. Am. 2014, 39, 335–342. [Google Scholar] [CrossRef] [PubMed]
- Ozkaya, U.; Kiliç, A.; Ozdoğan, U.; Beng, K.; Kabukçuoğlu, Y. Comparison between locked intramedullary nailing and plate osteosynthesis in the management of adult forearm fractures. Acta Orthop. Traumatol. Turc. 2009, 43, 14–20. [Google Scholar] [CrossRef]
- Köse, A.; Aydın, A.; Ezirmik, N.; Can, C.E.; Topal, M.; Tipi, T. Alternative treatment of forearm double fractures: New design intramedullary nail. Arch. Orthop. Trauma Surg. 2014, 134, 1387–1396. [Google Scholar] [CrossRef] [PubMed]
- Dehghan, N.; Schemitsch, E.H. Intramedullary nail fixation of non-traditional fractures: Clavicle, forearm, fibula. Injury 2017, 48, S41–S46. [Google Scholar] [CrossRef]
- Lee, Y.H.; Lee, S.K.; Chung, M.S.; Baek, G.H.; Gong, H.S.; Kim, K.H. Interlocking contoured intramedullary nail fixation for selected diaphyseal fractures of the forearm in adults. J. Bone Joint. Surg. Am. 2008, 90, 1891–1898. [Google Scholar] [CrossRef]
- Bansal, H. Intramedullary fixation of forearm fractures with new locked nail. Indian J. Orthop. 2011, 45, 410–416. [Google Scholar] [CrossRef]
- De Pedro, J.A.; Garcia-Navarrete, F.; Garcia De Lucas, F.; Otero, R.; Oteo, A.; Lopez-Duran Stern, L. Internal fixation of ulnar fractures by locking nail. Clin. Orthop. Relat. Res. 1992, 283, 81–85. [Google Scholar] [CrossRef]


| ORIF GROUP | IMN GROUP | Total | |
|---|---|---|---|
| Patients | 14 | 9 | 23 |
| Male (%) | 10 | 6 | 16 (69.6%) |
| Female (%) | 4 | 3 | 7 (30.4%) |
| Mean age (Range) | 44.8 years (18–67 y) | 47.2 years (22–83) | 46.4 years (18–83) |
| Fracture side (%) | 8 left | 5 left | 13 left (56.5%) |
| 6 right | 4 right | 10 right (43.5%) |
| ORIF GROUP (14 Patients) | IMN GROUP (9 Patients) | p-Value (95% C.I.) | ||
|---|---|---|---|---|
| Mean DASH score | 1 month | 71.19 ± 13.53 | 36.54 ± 19.91 | <0.01 (20.2–49.1) |
| 3 months | 57.82 ± 12.33 | 26.57 ± 18.35 | <0.01 (18.0–44.5) | |
| 6 months | 22.03 ± 6.23 | 17.67 ± 2.82 | 0.06 (−0.26–8.98) | |
| 12 months | 5.21 ± 2.21 | 4.68 ± 1.66 | 0.54 (−1.26–2.32) | |
| Radiological healing | 1 month | 2 | 8 | <0.01 |
| 3 months | 4 | 0 | ||
| 6 months | 8 | 1 | ||
| 12 months | 0 | 0 | ||
| Mean physical therapy (days) | 85.6 ± 16.74 | 23.33 ± 13.22 | <0.01 (48.5–76.0) | |
| Return to work or sport (months) | 5.8 ± 2.11 | 2.3 ± 2.59 | <0.01 (1.45–5.54) | |
Publisher’s Note: MDPI stays neutral with regard to jurisdictional claims in published maps and institutional affiliations. |
© 2021 by the authors. Licensee MDPI, Basel, Switzerland. This article is an open access article distributed under the terms and conditions of the Creative Commons Attribution (CC BY) license (https://creativecommons.org/licenses/by/4.0/).
Share and Cite
Pavone, V.; Ganci, M.; Papotto, G.; Mobilia, G.; Sueri, U.; Kothari, A.; Vescio, A.; Testa, G. Locked Intramedullary Nailing versus Compression Plating for Stable Ulna Fractures: A Comparative Study. J. Funct. Morphol. Kinesiol. 2021, 6, 46. https://doi.org/10.3390/jfmk6020046
Pavone V, Ganci M, Papotto G, Mobilia G, Sueri U, Kothari A, Vescio A, Testa G. Locked Intramedullary Nailing versus Compression Plating for Stable Ulna Fractures: A Comparative Study. Journal of Functional Morphology and Kinesiology. 2021; 6(2):46. https://doi.org/10.3390/jfmk6020046
Chicago/Turabian StylePavone, Vito, Marco Ganci, Giacomo Papotto, Giuseppe Mobilia, Umberto Sueri, Alpesh Kothari, Andrea Vescio, and Gianluca Testa. 2021. "Locked Intramedullary Nailing versus Compression Plating for Stable Ulna Fractures: A Comparative Study" Journal of Functional Morphology and Kinesiology 6, no. 2: 46. https://doi.org/10.3390/jfmk6020046
APA StylePavone, V., Ganci, M., Papotto, G., Mobilia, G., Sueri, U., Kothari, A., Vescio, A., & Testa, G. (2021). Locked Intramedullary Nailing versus Compression Plating for Stable Ulna Fractures: A Comparative Study. Journal of Functional Morphology and Kinesiology, 6(2), 46. https://doi.org/10.3390/jfmk6020046

