Abstract
The incidence of rheumatic fever (RF) has markedly decreased in Europe since the beginning of the 20th century due to improved living conditions, early antibiotic therapy in streptococcal pharyngitis, and changes in serotypes of circulating streptococci. Isolated outbreaks of RF are still found in various parts of the world and the disease has changed its presentation with milder joint symptoms and subclinical carditis that make the correct diagnosis more difficult. Patients can present many years later with severe valve disease and significant disability. This article presents a case of isolated rheumatic tricuspid valve disease that presented with signs and symptoms of right heart failure and severe valve damage. Isolated involvement of the tricuspid valve is rarely found in rheumatic fever and a thorough differential diagnosis is needed.
Introduction
The incidence of rheumatic fever (RF) and rheumatic heart disease has decreased in Europe in the last century due to improved living conditions, proper use of antibiotics in streptococcal pharyngitis, and changes in streptococcal serotypes. RF is a non-suppurative inflammation of connective tissue that occurs as a late complication of a pharyngeal infection caused by group A beta hemolytic streptococcus (GABHS) in predisposed individuals. It is an autoimmune disease, in which an intense humoral and cellular mediated immune response (activated against the streptococci) damages various organs. This is due to a molecular mimicry between M protein and N acetyl glucosamine from the bacterial wall and compounds like vimentin (from synovial tissue), myosin and tropomyosin (from myocardium), laminin (from heart valves), keratin (form skin), or lysogangliosides (found in subthalamic and caudal nuclei) of human host [1]. The disease occurs in young patients typically aged 5-15 years. Individuals expressing B cell alloantigen D8/17 or HLA- DR7 or HLA-D8/17 have an increased risk of RF [2]. The affected organs are represented by heart, joints, central nervous system, and skin. Heart involvement consists of the occurrence of pancarditis. The only long-term sequel of rheumatic fever is valve disease.
The microscopic changes seen in rheumatic valvulitis vary over time; in the first weeks there is inflammatory cell infiltration, breakdown of collagen fibrils, edema, and later granuloma formation. The rheumatic granuloma is named Aschoff body. The Aschoff body has a central area of collagen necrosis surrounded by lymphocytes, macrophages, giant multinuclear cells, and fibroblasts. The granuloma will be replaced by a fibrous scar. Initial valve damage can expose intracellular proteins to the immune cells that will generate autoantibodies and lead to continuing low grade inflammation. Persisting inflammation and the trauma produced by the turbulent blood flow contribute to the severe valve damage seen many years after RF.
Inflammation preferentially affects the mitral and aortic valves, possibly due to higher hemodynamic stress on valve tissue, while tricuspid and pulmonary valves are rarely involved. Although rare, isolated rheumatic tricuspid valve disease can cause severe heart failure.
Case Presentation
A 59-year-old male presented to the emergency department for shortness of breath on mild exertion and palpitations, symptoms that began 3 weeks earlier. He is a chronic alcohol drinker but has no medical history. On physical examination, mild peripheral edema was present, breath sounds were abolished at both lung bases due to pleural effusions, arterial oxygen saturation (SaO2) was 90%, heart rate was 130 beats/min with irregular heart sounds, and a systolic murmur grade III/VI was heard in the 4-5th intercostal spaces on the left sternal border and accentuated with inspiration. Blood pressure was 130/80 mmHg, jugular veins were distended, and the liver was enlarged and tender.
Blood analysis showed a high NT proBNP value of 2853 pg/ml, high D – dimer value of 2.86 µg/ml, normal troponin T, high value of liver enzymes (ASAT=90 U, ALAT= 48 U, gamma glutamyl transpeptidase= 417u), with slight increase in both direct and indirect bilirubin values; hepatic viral antigens were absent. Other blood analyses were in the normal range.
ECG showed atrial fibrillation with fast heart rate (120 bpm), a QRS axis of +900, incomplete right bundle branch block and QRS alternans in V1-V6 leads. Thoracic CT scan found bilateral pleural effusions in moderate amount and excluded pneumonia, lung tumor, or pulmonary embolism.
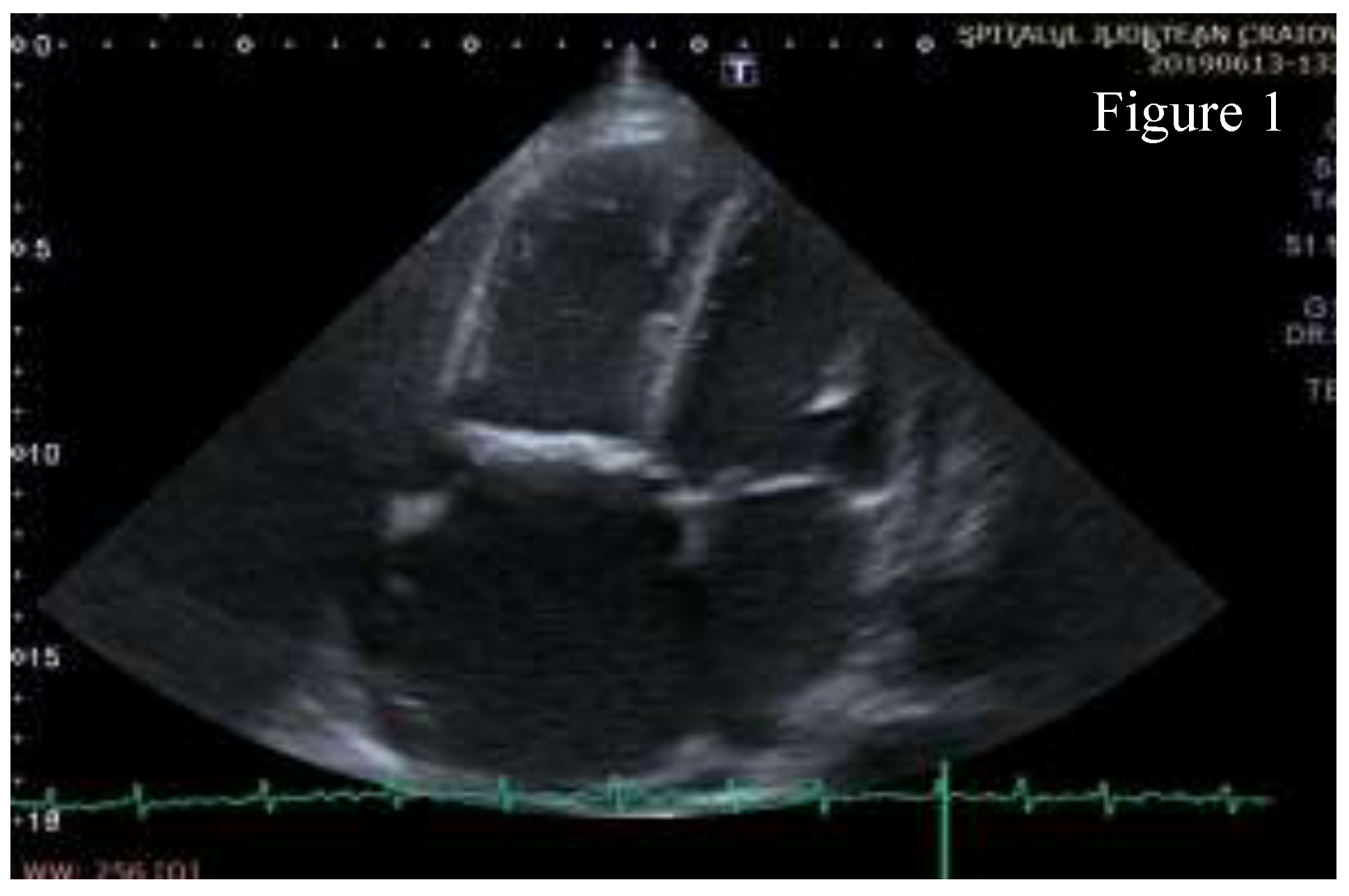
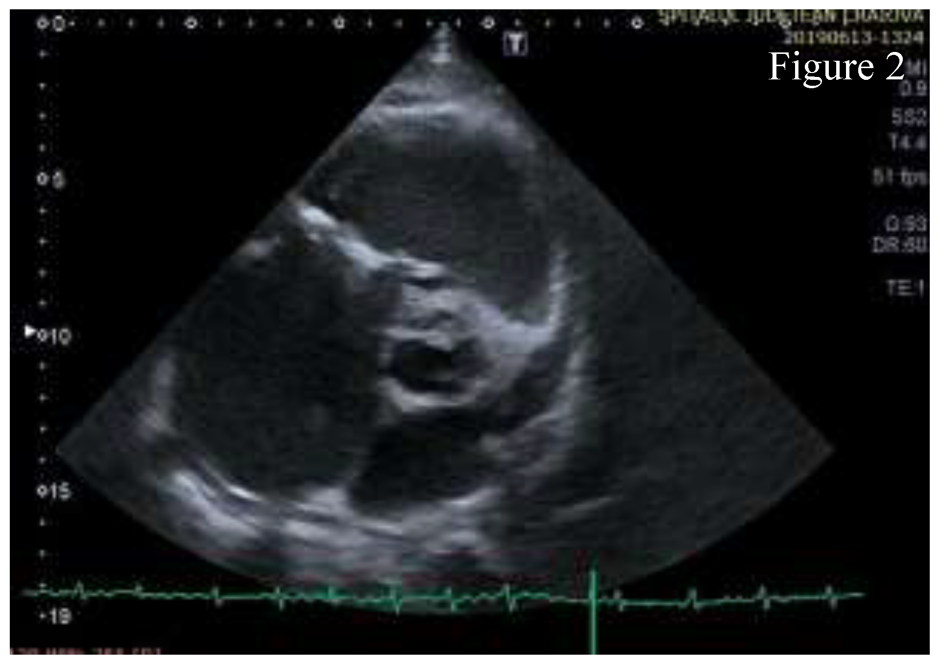
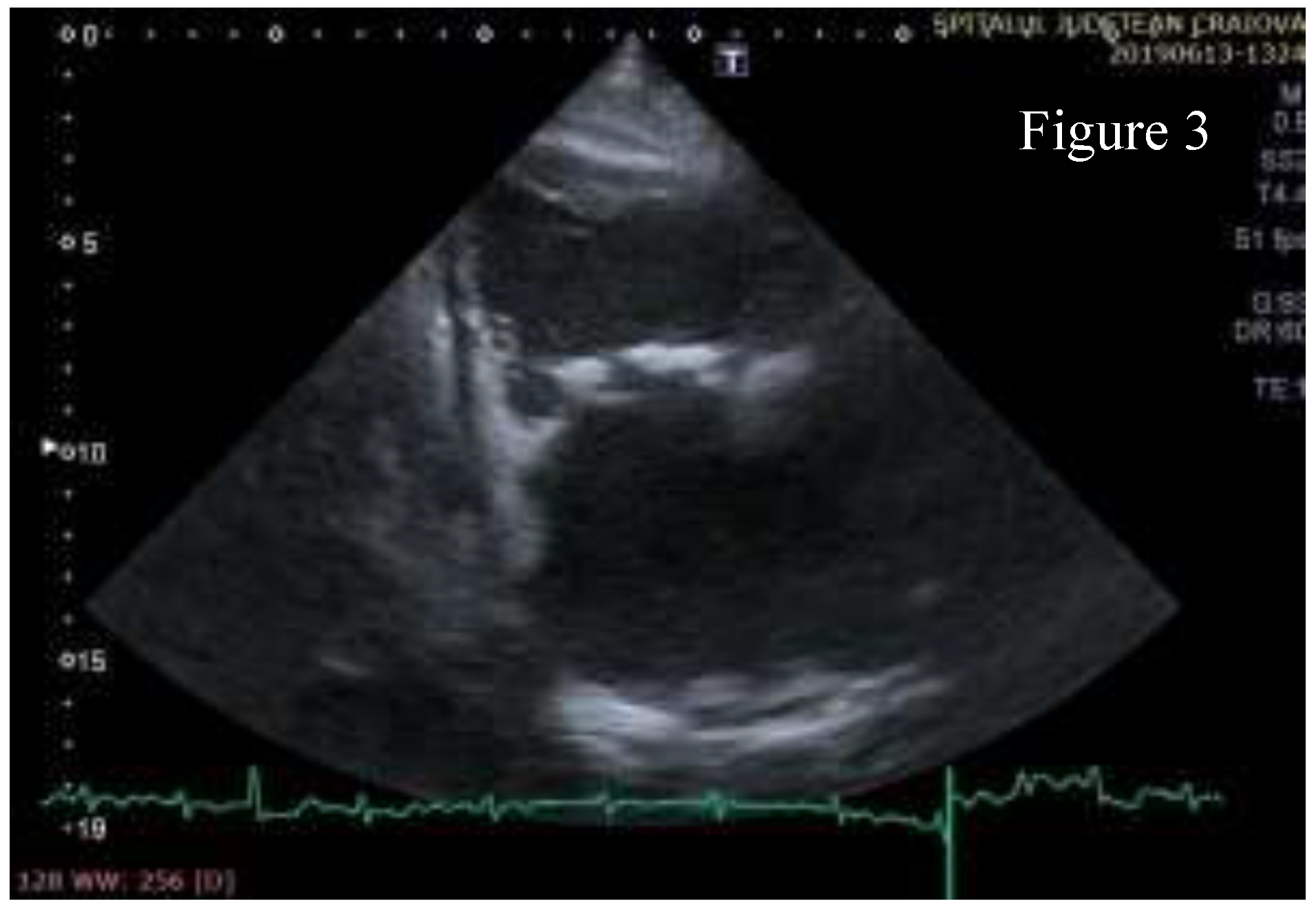
Transthoracic echocardiography (TTE) showed significant structural changes in the tricuspid valve. Anterior and posterior cusps were thickened, calcified, and had restricted motion. Subvalvular chords were thickened. Structural changes caused severe regurgitation (effective regurgitant orifice area= 0.57 cm2, regurgitant volume= 45 ml) and moderate stenosis (high diastolic gradient of 13/6 mmHg which contributed to the high inflow accompanying severe regurgitation). Right chambers were dilated with right ventricle longitudinal systolic dysfunction (TAPSE= 16mm, S’value = 10 cm/s) and with dilated inferior vena cava indicating increased pressure in the right atrium. These aspects are shown in Figure 1, Figure 2, Figure 3, Figure 4, Figure 5.
Figure 1.
Apical 4 chambers (A4C) view- thickened tricuspid valve leaflets and dilated right heart chambers.
Figure 2.
Parasternal short axis view- the anterior cusp of the tricuspid valve is thickened and calcified, chordae tendinae are thickened, right atrium is dilated and a calcification area is found on the aortic right coronary cusp.
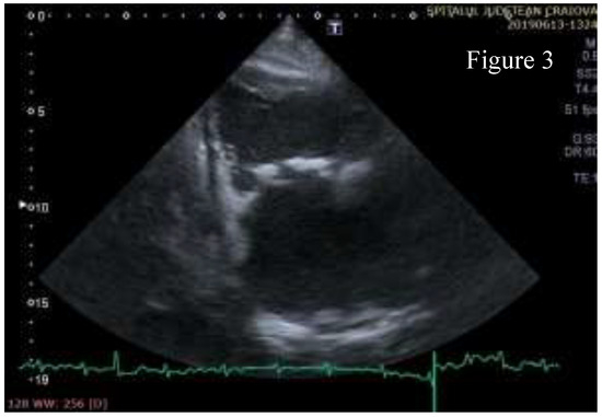
Figure 3.
Right ventricular inflow view- the anterior and posterior cusps of the tricuspid valve have massive calcifications.
Figure 4.
A4C Color Doppler - severe tricuspid regurgitation.
Figure 5.
A4C CWD - the envelope of right ventricular inflow with high gradients indicating severe tricuspid stenosis and the envelope of severe tricuspid regurgitation.
A 3D exam could have better described valve anatomy including commissural fusion and could measure tricuspid valve area by planimetry but was not available.
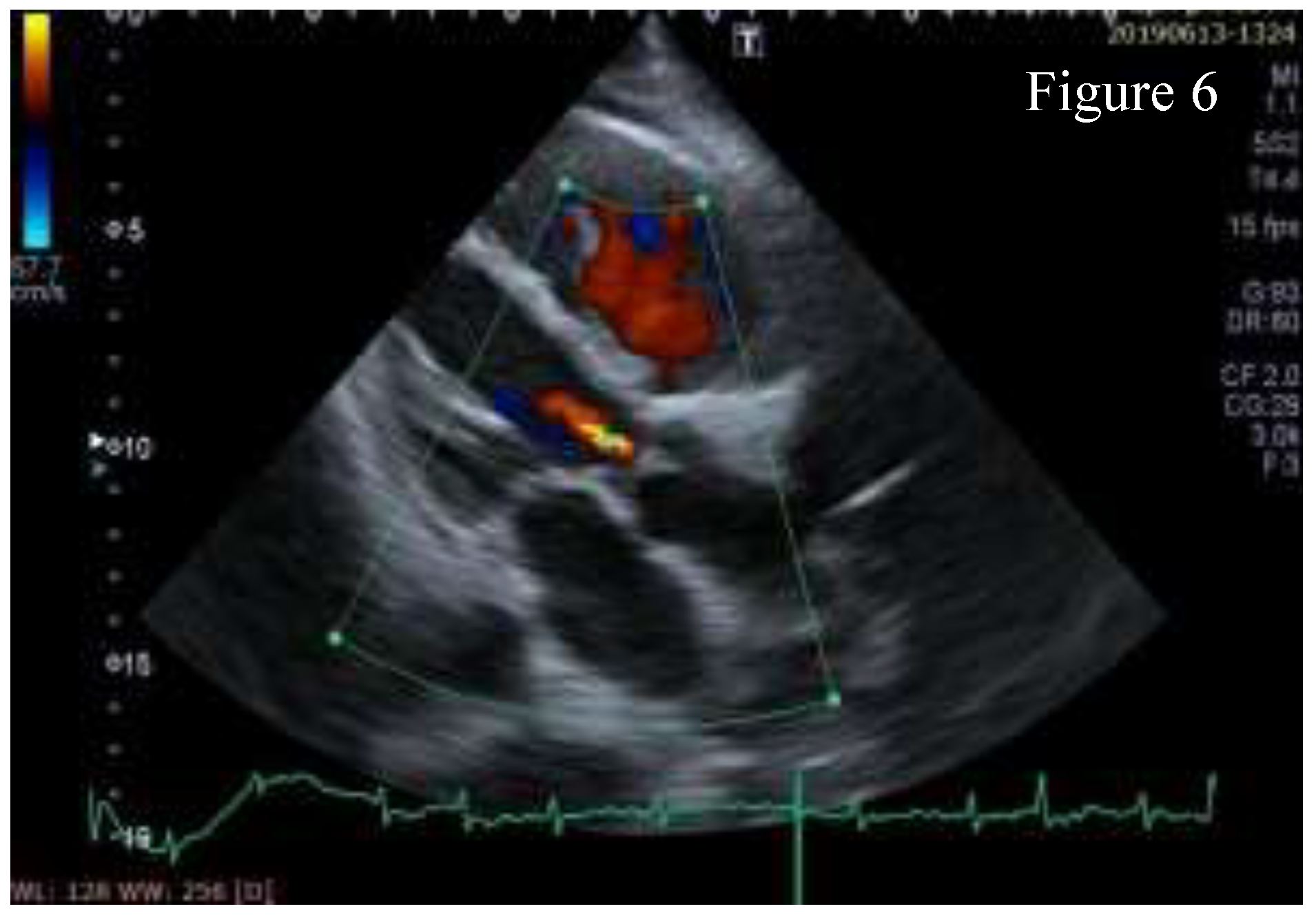
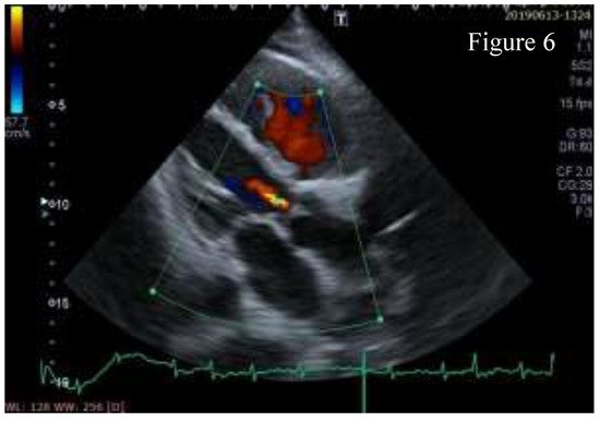
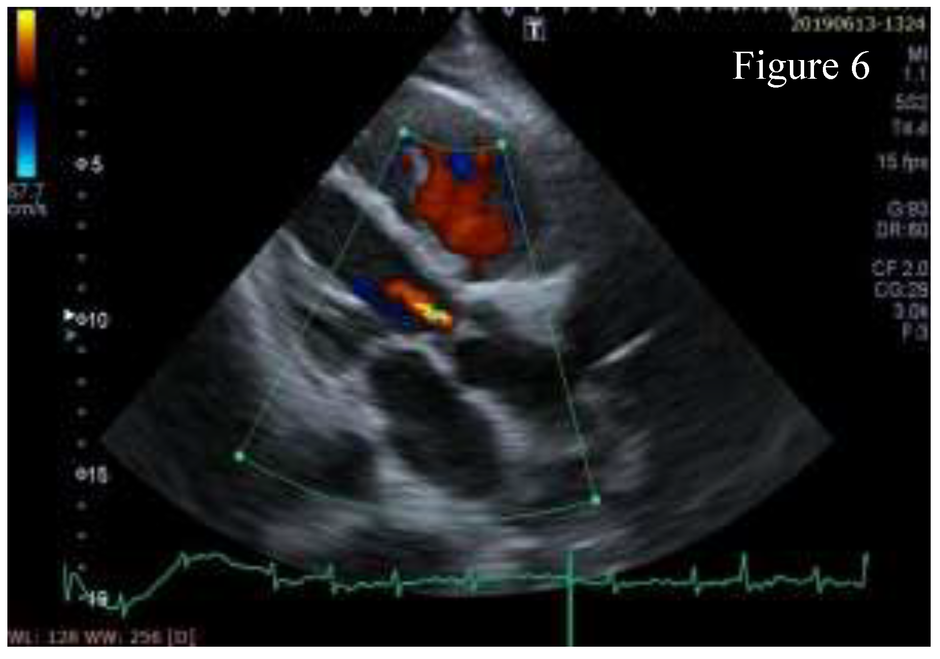
Small calcification spots were found on aortic cusps causing mild aortic regurgitation, aspect shown in Figure 6.
Figure 6.
Mild aortic regurgitation.
Mitral valve had no structural changes. The left ventricle had normal dimensions but diffuse hypokinesis and reduced ejection fraction (35%). A small amount of pericardial fluid was noticed.
The patient was diagnosed with isolated rheumatic tricuspid valve disease (severe regurgitation and stenosis) and heart failure. Left ventricle systolic dysfunction could be toxic (alcohol) or due to tachycardia; other etiologies like myocarditis or ischemia were improbable. He was treated with beta-blocker, digoxin, diuretics, and anti-coagulants. Edema and pleural effusions disappeared and patient’s condition improved; also, the value of liver enzymes became normal. The patient required surgical correction of the tricuspid valve disease.
Rheumatic tricuspid valve disease should be differentiated from other diseases like carcinoid syndrome (which causes valve thickening with “frozen” aspect), congenital tricuspid regurgitation/stenosis (due to various anomalies of cusps like cleft or hypoplasia, anomalies of chordae like short, elongated or abnormally inserted, or anomalies of commissures COMMISSURAL ANOMALIES etc.), or valve damage due to drugs (which cause valve fibrosis), but calcifications are not seen in these etiologies [3]. Radiation therapy causes valve fibrosis and calcification but not commissural fusion.
Discussions
The incidence of rheumatic fever has decreased since the 1900s in many regions including Europe, due to improved living conditions, early diagnosis and therapy of pharyngitis, and change in streptococcal virulence. The disease has shown an unexpected revival as isolated outbreaks of RF caused by virulent serotypes reported worldwide. A recent review shows an increasing trend in RF incidence in the Americas and Western Pacific, in Eastern Mediterranean and Asia, a constant decrease in Africa, and a decrease in Europe. The prevalence of rheumatic heart disease is increasing in all parts of the world with the exception of Europe [2,3].
Only 0.3-3% of patients with pharyngitis develop rheumatic fever, 40-60% of them will have carditis, and 60% will develop rheumatic heart disease and have an increased risk of arrhythmia, embolic complications and heart failure [4].
The diagnosis of rheumatic fever is done using the Jones criteria that have been modified several times over the last 6 decades. There are both major criteria (migratory polyarthritis, clinical or subclinical carditis, chorea, erythema marginatum and subcutaneous nodules) and minor criteria (polyarthralgia, fever, long PR interval, high value of inflammation markers, history of previous episode of RF or rheumatic heart disease). The third criterion is the proof of preceding GABHS infection provided by increasing titers of anti-streptococcal antibodies or isolation of GABHS in throat culture or positive rapid GABHS carbohydrate antigen test in a child. Echocardiography has a substantial contribution to the diagnosis of subclinical carditis.
The 2015 AHA revision of Jones criteria clarified specific parameters. Low risk population is considered if there are fewer than 2 cases of RF per 100,000 school aged children per year and less than 1 case with rheumatic heart disease per 1000 population per year [5]. The classical algorithm for the diagnosis of RF remains unchanged for low risk populations: the need for the presence 2 major criteria, or 1 major and 2 minor criteria, together with the evidence of recent streptococcal infection. For recurrent RF, the presence of 3 minor criteria is also diagnostic. In moderate and high-risk populations, monoarthritis and polyarthralgia are major criteria, while monoarthralgia is considered a minor criteria. Fever should be more than 38.50C in low risk and more than 380C in high risk populations. ESR should be more than 60 mm/h in low risk and more than 30 mm/h in moderate and high risk populations, while C reactive protein should be more than 3mg/dl in all patients [5].
RF rarely affects right heart valves. Primary right heart valve disease is found in 1.2% of patients with valve disease according to Euro Heart Survey [6] and rheumatic etiology can comprise up to a third of cases. The prevalence of rheumatic tricuspid valve disease varies in different parts of the world. In India tricuspid valve disease was diagnosed in 9% of patients with rheumatic disease, the mean age of patients was 24.2± 13.6 years [7]. Half of the cases had combined stenosis and regurgitation and half had isolated regurgitation.
In Europe, Bernal evaluated 328 patients with rheumatic tricuspid valve disease referred for surgery during a 30 year period and found that only 3.65% of cases had isolated tricuspid valve disease, while the majority had triple valve disease (60%) or double valve disease (33%), most commonly mitral and tricuspid disease [8]. Patients had a mean age of 51.3 ± 13.6years. The majority (72%) had tricuspid regurgitation. Valve repair was achieved in most cases (90.5%), and the in-hospital mortality was 7.6% [8].
Our case is unusual because the patient did not have a classical episode of RF, the diagnosis was late when complications occurred and because of isolated tricuspid damage. The patient needed tricuspid valve replacement with a prosthesis. Data in the literature show that tricuspid valve replacement has a higher immediate and midterm mortality compared with valve repair (consisting of commissurotomy and flexible or suture annuloplasty). Recurrent tricuspid regurgitation is more common after valve repair. A recent review found similar percentages of patients with rheumatic tricuspid valve disease treated with valve repair or replacement [9].
Both biological and mechanical prosthesis are good choices for the tricuspid valve, patients having similar early and late survival and similar re-operation rates. According to Rizzoli, the tricuspid valve makes no exception to the rule that patients older than 65-70 years benefit more from bio-prosthesis while younger ones from mechanical valves [10,11].
Highlights
- ✓ Although the incidence of rheumatic heart disease is decreasing, in practice rheumatic valve damage still presents in a variety of scenarios and the management of cases remains a challenge.
- ✓ Transthoracic echocardiography has a key role in diagnosing tricuspid valve disease.
Conclusions
Rheumatic valve disease continues to cause significant morbidity despite health programs of early diagnosis and therapy of streptococcal infections. Isolated rheumatic tricuspid valve damage can cause severe heart failure.
Conflict of interest disclosure
There are no known conflicts of interest in the publication of this article. The manuscript was read and approved by all authors.
Compliance with ethical standards
Any aspect of the work covered in this manuscript has been conducted with the ethical approval of all relevant bodies and that such approvals are acknowledged within the manuscript.
Acknowledgments
All authors have contributed equally to this paper.
References
- Soma Raju, B.; Turi, Z.G. Rheumatic fever, Braunwald’s Heart Disease, A textbook of cardiovascular medicine, 8th ed.; 2008. [Google Scholar]
- Seckeler, M.D.; Hoke, T.R. The worldwide epidemiology of acute rheumatic fever and rheumatic heart disease. Clin Epidemiol. 2011, 3, 67–84. [Google Scholar] [CrossRef] [PubMed]
- Gupta, A.; Grover, V.; Gupta, V.K. Congenital tricuspid regurgitation: review and a proposed new classification. Cardiol Young. 2011, 21, 121–129. [Google Scholar] [CrossRef] [PubMed]
- Essop, M.R.; Peters, F. Contemporary issues in rheumatic fever and chronic rheumatic heart disease. Circulation. 2014, 130, 2181–2188. [Google Scholar] [CrossRef] [PubMed]
- Gewitz, M.H.; Baltimore, R.S.; Tani, L.Y.; Sable, C.A.; et al. Revision of the Jones criteria for the diagnosis of acute rheumatic fever in the era of Doppler Echocardiography, A scientific statement from the American Heart Association. Circulation. 2015, 131, 1806–1818. [Google Scholar] [CrossRef] [PubMed]
- Iung, B.; Baron, G.; Butchart, E.G.; et al. A prospective survey of patients with valvular heart disease in Europe: The Euro Heart Survey on Valvular Heart Disease. Eur Heart J. 2003, 24, 1231–1243. [Google Scholar] [CrossRef] [PubMed]
- Goswami, K.C.; Rao, M.B.; Dev, V.; Shrivastava, S. Juvenile tricuspid stenosis and rheumatic tricuspid valve disease: an echocardiographic study. Int J Cardiol. 1999, 72, 83–86. [Google Scholar] [CrossRef] [PubMed]
- Bernal, J.M.; Pontón, A.; Diaz, B.; et al. Surgery for rheumatic tricuspid valve disease: a 30-year experience. J Thorac Cardiovasc Surg. 2008, 136, 476–481. [Google Scholar] [CrossRef]
- Georgescu, S.R.; Tampa, M.; Paunica, S.; Balalau, C.; Constantin, V.; Paunica, G.; Motofei, I. Distribution of post-finasteride syndrome in men with androgenic alopecia; ESDR-Congress 2015. Journal of Investigative Dermatology (In abstract). 2015, 135, S40. [Google Scholar]
- Sultan, F.A.; Moustafa, S.E.; Tajik, J.; et al. Rheumatic tricuspid valve disease: an evidence-based systematic overview. J Heart Valve Dis. 2010, 19, 374–382. [Google Scholar] [PubMed]
- Rizzoli, G.; Vendramin, I.; Nesseris, G.; Bottio, T.; Guglielmi, C.; Schiavon, L. Biological or mechanical prostheses in tricuspid position? A meta-analysis of intra-institutional results. Ann Thorac Surg. 2004, 77, 1607–1614. [Google Scholar] [CrossRef] [PubMed]
© 2020 by the author. 2020 Edme R. Mustafa, Octavian Istrătoaie, Roxana Mandia, Georgică C. Târtea, Cristina Florescu






