Next Article in Journal
Surgical Management of Retroperitoneal Hydatid Cysts—Results on a Group of Six Patients
Previous Article in Journal
Advantages of Mechanical Anastomosis in Rectal Cancer Surgery
 
 
Journal of Mind and Medical Sciences is published by MDPI from Volume 12 Issue 1 (2025). Previous articles were published by another publisher in Open Access under a CC-BY (or CC-BY-NC-ND) licence, and they are hosted by MDPI on mdpi.com as a courtesy and upon agreement with Valparaiso University (ValpoScholar).
Font Type:
Arial Georgia Verdana
Font Size:
Aa Aa Aa
Line Spacing:
Column Width:
Background:
Article

Systematic Surgical Approach to Juvenile Angiofibroma

by
Raluca Oana Pulpă
1,2,
Viorel Zainea
1,2,
Cătălina Voiosu
1,2,*,
Ruxandra Oana Aliuș
2,
Andreea Rusescu
1,2,
Irina-Gabriela Ioniță
1,2,
Veronica Epure
1,3,
Dragoș Octavian Palade
4,5 and
Răzvan Hainăroșie
1,2
1
Department of General Surgery, Carol Davila University of Medicine and Pharmacy, Bucharest, Romania
2
Prof. Dr. Dan Hociota Institute of Phonoaudiology and Functional ENT Surgery, Bucharest, Romania
3
Department of Otorhinolaryngology, M.S. Curie Hospital, Bucharest, Romania
4
Department of Otorhinolaryngology, Grigore T. Popa University of Medicine and Pharmacy, Iasi, Romania
5
Department of Otorhinolaryngology, St. Spiridon Emergency Clinical Hospital, Iasi, Romania
*
Author to whom correspondence should be addressed.
J. Mind Med. Sci. 2024, 11(1), 218-224; https://doi.org/10.22543/2392-7674.1471
Submission received: 4 December 2023 / Revised: 4 January 2024 / Accepted: 16 February 2024 / Published: 30 April 2024

Abstract

Introduction. Juvenile nasopharyngeal angiofibroma is a rare type of benign vascular tumour that affects only young males, especially those between the ages of 9 and 19. Therapeutic management depends on the extent of the lesion, being conditioned by the complexity of the anatomy of the skull base and the risk of massive bleeding due to the abundant vascular supply. The purpose of this article is to describe the modern approach to juvenile nasopharyngeal angiofibroma, starting from the general knowledge on this topic and presenting the experience of our clinic. Materials and Methods. A retrospective study was conducted on 10 male patients with juvenile angiofibroma, with clinical and imaging diagnoses, confirmed by post-ablative histopathological examination. From the 10 juvenile angiofibroma case treated in our clinic, 4 of them were less extensive, 2 with invasion to the pterygopalatine fossa, 3 involving the infratemporal fossa and 1 with minimal intracranial extension. Results. Combined approach (endoscopic trans-nasal approach and Caldwell Luc approach) was necessary in the treatment of a IIC case. Follow-up after surgery was done using MRI scans every 6 months. Recurrence was encountered in one case (9 months from the first surgery), and needed reintervention to remove the residual tumour. Conclusions. Even if it is a rare condition, the development of specific materials and techniques (endoscopic, embolization) has been considerable, allowing the reduction of intraoperative bleeding and residual tumour tissue, in conditions of minimal interference with the facial anatomy of such young patients.

Introduction

Hippocrates made the first references to angiofibroma in the 5th Century B.C., and in 1906 Chaveau used the term juvenile angiofibroma, followed by Friedberg in 1940 [1].
Juvenile nasopharyngeal angiofibroma is a rare, slow-growing, benign vascular tumour encountered exclusively in young adolescent males from 9 to 19 years old [2,3]. The average age. of onset is between 13 and 17 years. Of all the head and neck tumours, it represents only 0,05% [4]. Clinically, patients need medical attention for intermittent, repetitive nasal bleeding, progressive or persistent nasal obstruction, headache, facial pain, rhinorrhoea, and hearing loss. Despite the unilateral expression of the lesion, the clinical expression may be bilateral because of the nasopharyngeal extension and septal deviation produced by the tumour. The predominant symptom is epistaxis, which can vary from a few drops of blood intermittently to catastrophic bleeding with vital risk. In most cases, the first clinical examination is made six months from the onset of the symptoms [1]. Left untreated, juvenile nasopharyngeal angiofibroma expands and causes facial deformities, deformations of the hard and soft palate, and diplopia.
The diagnosis is established on the history, physical examination, nasal video endoscopy and imaging studies, computer tomography (CT) and magnetic resonance imaging (MRI) [5]. As it is an unencapsulated vascular tumour, the biopsy is contraindicated as it may induce important, difficult to stop haemorrhage.
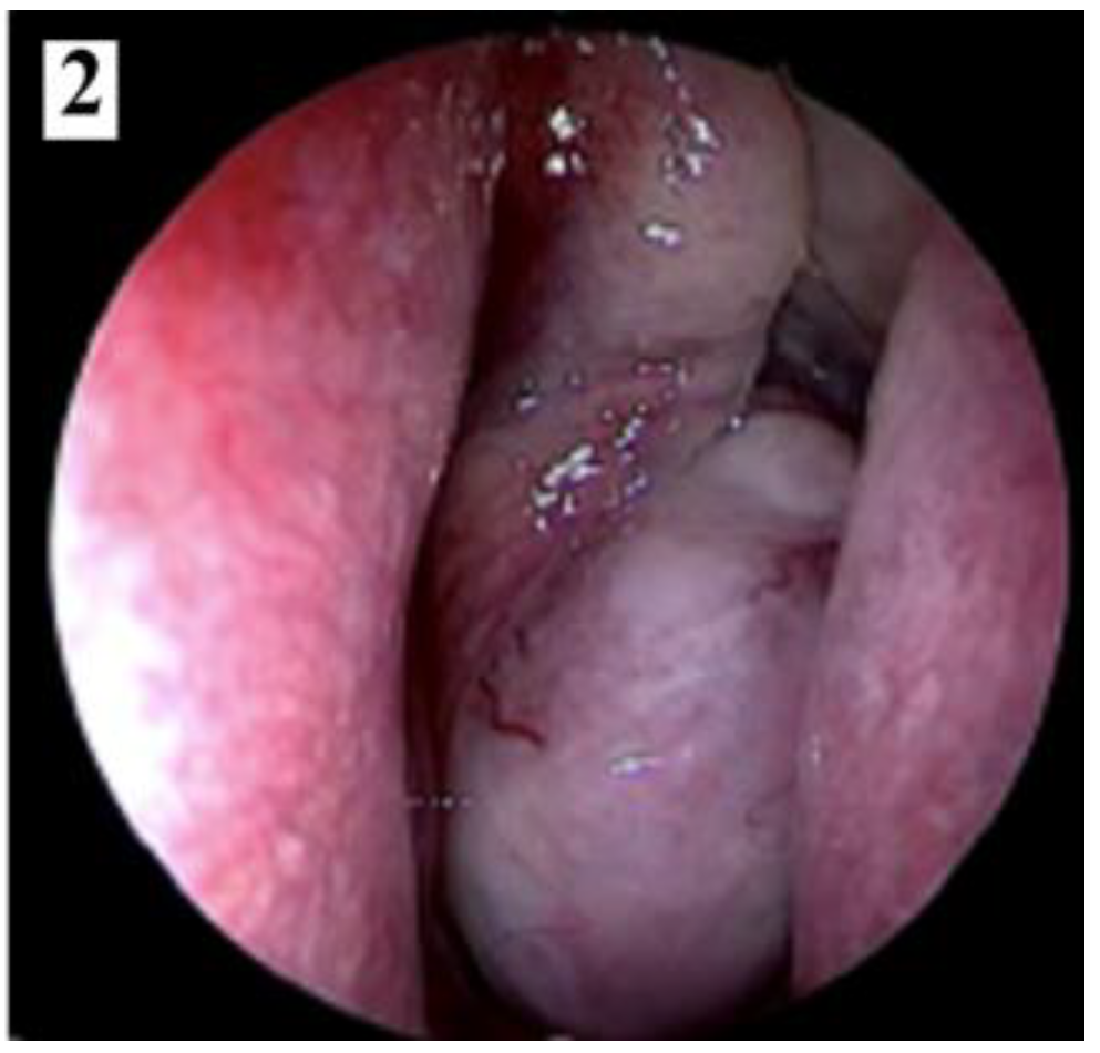
Nasal endoscopy shows a smooth, lobulated mass, pale or grey-red, intensely congestive, compressible, usually originating from behind the tail of the middle turbinate, that may occupy the entire nasal fossa and determine the obstruction of the choana.
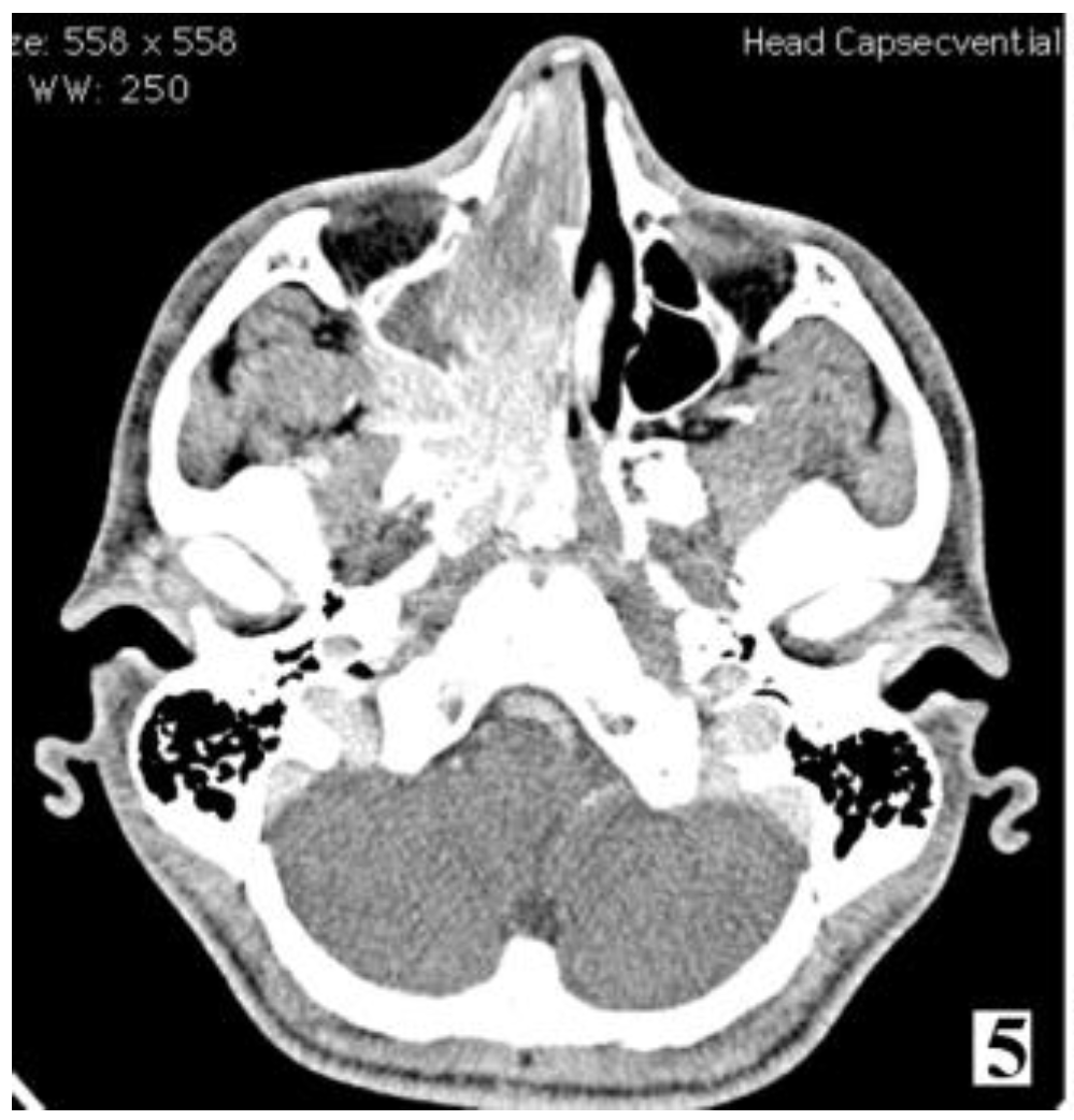
Computer tomograph imaging studies are the ideal investigation when assessing bone involvement, able to identify options for surgical treatment. A pathognomonic sign is the Holman-Miller sign describing the anterior bowing of the posterior maxillary wall in cases with sphenopalatine fossa invasion [6].
Magnetic resonance imaging provides important details about the extension of the tumour. T2 weighted sequences are indicated to differentiate tumour tissue from mucus, while T1 weighted sequences are indicated for better assessment of intracranial extension [5].
From the histological point of view, juvenile angiofibroma is a mass of numerous blood vessels, different in calibres, contained in a fibrous stroma unreached in collagen and fibroblasts. The blood vessels composing the tumour are organized in clusters, are slit, or dilated and lack elastic fibres in their walls. The muscular lining is not complete in large vessels and completely absent in small ones. The absence of muscular lining increases the fragility and easy rupture with massive bleeding when handled [7,8].
The diagnosis is confirmed by angiography. During this manoeuvre, embolization of the feeding vessels may be executed as a first step of the therapeutical plan.
The aim of this article is to present the modern approach to juvenile nasopharyngeal angiofibroma, considering the general knowledge about this pathology and presenting the experience in our clinic.

Materials and Methods

We conducted a retrospective study, analysing the data from January 2018 to January 2022 regarding patients with the diagnosis of juvenile angiofibroma. We had a total of 10 patients with clinical and imaging diagnosis, confirmed by post-ablative histopathological examination. All of them were young males. The average age of the patients was 16.2 years, the youngest being 11 years old, the oldest 28 years old.
For all the subjects, the clinical aspects consisted of recurrent epistaxis, nasal obstruction and facial pain or headache for the advanced stages.
The delay between the onset of the symptoms and the first medical check-up varied from 3 to 12 month, with an average of 6.7 months; from the debut to the surgery, between 4 and 24 months passed, with an average of 9.5 months.
Preoperative imaging studies have been performed for all patients, including MRI and/or CT scan. According to the Radkowsky classification, the tumours were staged IA—IIIA. All of them were surgically treated using the trans-nasal or combined approach 24–48 h after embolization.

Results

From the 10 juvenile angiofibroma case treated in our clinic, 4 of them were less extensive (1-IA, 1-IB, 2-IIA with minimal extension to the pterygopalatine fossa), 2-IIB—with invasion to the pterygopalatine fossa, 3—involved the infratemporal fossa and 1 had minimal intracranial extension. Combined approach (endoscopic trans-nasal approach and Caldwell Luc approach) was needed in treating a IIC case (Table 1).
Follow-up after surgery was done using MRI scans every 6 months. Recurrence was encountered in one case, 9 months from the first surgery, and needed reintervention to remove the residual tumour.
The staging, according to the Radkowsky classification, dictates the optimal approach. For stages IA-IB, specialists recommend preoperative embolization and septoplasty when needed, identify the vascular source.
Figure 1. Smooth, lobulated, pale or grey-red, intensely congestive, compressible mass (part 1).
Figure 1. Smooth, lobulated, pale or grey-red, intensely congestive, compressible mass (part 1).
Jmms 11 00028 g001
Figure 2. Smooth, lobulated, pale or grey-red, intensely congestive, compressible mass (part 2).
Figure 2. Smooth, lobulated, pale or grey-red, intensely congestive, compressible mass (part 2).
Jmms 11 00028 g002
Complete tumour resection is done, either on block trans-nasal resection or piecemeal trans-nasal resection. Subperiosteal dissection and excessive drilling of the basisphenoid and other bone areas are recommended to remove residual disease and prevent its regrowth. The final step of surgery is haemostasis.
Figure 3. IA—Limited to posterior nares and/or nasopharyngeal vault; IB—IA + involvement of at least one paranasal sinus (part 1).
Figure 3. IA—Limited to posterior nares and/or nasopharyngeal vault; IB—IA + involvement of at least one paranasal sinus (part 1).
Jmms 11 00028 g003
Figure 4. IA—Limited to posterior nares and/or nasopharyngeal vault; IB—IA + involvement of at least one paranasal sinus (part 2).
Figure 4. IA—Limited to posterior nares and/or nasopharyngeal vault; IB—IA + involvement of at least one paranasal sinus (part 2).
Jmms 11 00028 g004
For stages IIA-IIB, the trans-nasal surgery is indicated, following the same steps as for stages IA and IB.
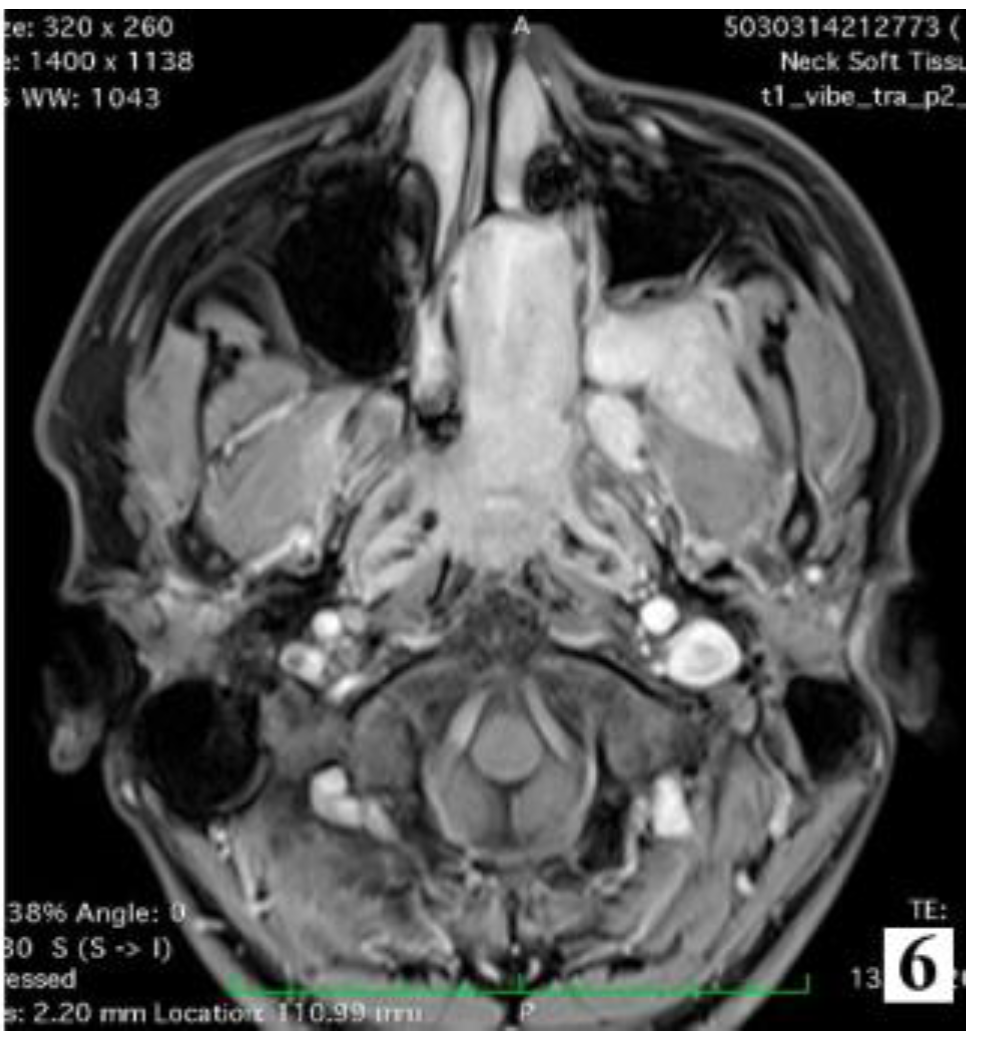
Figure 5. IIA—Minimal lateral extension into the pterygopalatine fossa; IIBFull occupation of pterygopalatine fossa with or without superior erosion orbital bones (part 1).
Figure 5. IIA—Minimal lateral extension into the pterygopalatine fossa; IIBFull occupation of pterygopalatine fossa with or without superior erosion orbital bones (part 1).
Jmms 11 00028 g005
Figure 6. IIA—Minimal lateral extension into the pterygopalatine fossa; IIB—Full occupation of pterygopalatine fossa with or without superior erosion orbital bones (part 2).
Figure 6. IIA—Minimal lateral extension into the pterygopalatine fossa; IIB—Full occupation of pterygopalatine fossa with or without superior erosion orbital bones (part 2).
Jmms 11 00028 g006

Discussions

At first, starting with the 19th Century, there were debates about whether it was a fibrous tumour, a vascular tumour, or a vascular malformation. From 1954 to 1959, Sternberg [9] and Hubbard [10] considered juvenile angiofibroma to be a type of haemangioma. Schiff published the theory of proliferating ectopic vascular tissue [11]. Modern electron microscopic studies and immunohistological investigations brought new data in favour of the vascular malformation theory versus the tumour theory [12].
Another hypothesis was raised by Schick and colleagues, namely that juvenile angiofibroma may form because of an incomplete regression of the first branchial artery [13]. Between days 22 and 24 of embryogenesis, this arterial branch forms a temporary connection between the dorsal and ventral aorta. Until the birth time, this communication regresses to form a vascular plexus that involutes. This involution is not complete in some patients, and the remaining tissue can develop into a juvenile angiofibroma. The discovery of laminil alpha-2 (a marker of early embryological angiogenesis) in the vessels inside the angiofibroma supports the theory [14].
Management of stage IIC cases, with extension into the infratemporal fossa or extension posteriorly to the pterygoid plates, can be done by transnasal approach alone or by a combined approach. Preoperative embolization is mandatory for identifying the vascular feeding source and reducing intraoperative bleeding.
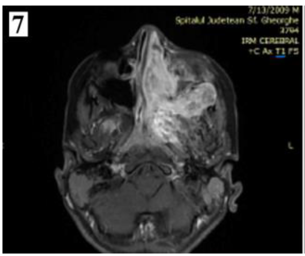
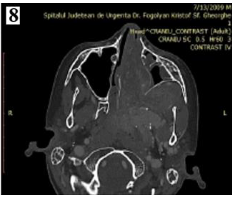
Figure 7. Preoperative MRI of a stage IIC juvenile angiofibroma. The Holman-Miller sign (the anterior bowing of the posterior maxillary wall) on the CT scan (part 1).
Figure 7. Preoperative MRI of a stage IIC juvenile angiofibroma. The Holman-Miller sign (the anterior bowing of the posterior maxillary wall) on the CT scan (part 1).
Jmms 11 00028 g007
Figure 8. Preoperative MRI of a stage IIC juvenile angiofibroma. The Holman-Miller sign (the anterior bowing of the posterior maxillary wall) on the CT scan (part 2).
Figure 8. Preoperative MRI of a stage IIC juvenile angiofibroma. The Holman-Miller sign (the anterior bowing of the posterior maxillary wall) on the CT scan (part 2).
Jmms 11 00028 g008
Figure 9. Complete tumour ablation (~15/8 cm).
Figure 9. Complete tumour ablation (~15/8 cm).
Jmms 11 00028 g009
The specificity for male gender is explained by the presence of immunohistochemical expression of testosterone, androgen, and dihydrotestosterone receptors, while estrogenic and progesterone receptors are generally negative [15,16,17,18].
Good knowledge of anatomy, site of origin and spreading patterns are essential tools in approaching juvenile angiofibroma. The site of origin of juvenile angiofibroma is the area of the sphenopalatine foramen, at the junction of the sphenoid process of the palatine bone and the pterygoid base and the horizontal ala of the vomer, at the superior margin of the sphenopalatine foramen. The extension tendency is to advance submucosal and subperiosteal, crossing through minimal resistance regions like bone sutures and fissures and invading the cancellous bone of the sphenoid [19]. The site of origin is constant, and the tumour behaviour to the surrounding tissues is well known, thus making the spreading patterns highly predictable [20,21].
There are two main directions of spreading from the nasopharynx and nasal cavity: anterolaterally, to the pterygopalatine fossa, anterior to the pterygoid plates (the most common, 70% of the cases) and posterolateral, to the pharyngeal recess, the pterygoid fossa, as well as the parapharyngeal space [22,23,24].
Laterally, it extends to the sphenopalatine and infratemporal fossa through the pterygo-maxilary fissure, causing anterior displacement of the posterior maxillary wall, sometimes contacting the soft tissue of the cheek and masticatory muscles. Erosion and expansion of the vidian canal leads to the invasion of the sphenoid sinus. Superiorly, the orbit is involved by the spread through the inferior orbital fissure, and through the superior orbital fissure and foramen rotundum, it can reach the cavernous sinus.

Staging

Tumour staging, based on its extension, determined the creation of different classifications in order to have a common language and to draw up approach protocols. In 1981, Sessions et al. introduced the first staging system, followed by many others [25]. At present, the most used classifications are the Radkowski one [26] and the one proposed by Andrews et al. [27]. In our clinic, we decide on the surgical plan according to the Radkowski classification.

Management

The management of juvenile angiofibroma is challenging, involving preoperative embolization for selected cases and surgical management. Preoperative embolization is now considered mandatory for all juvenile angiofibroma, except the very small ones. The development of recent embolization techniques and materials led to a major reduction in intraoperative bleeding. Although some surgeons reported safe resection without embolization [28,29], at present, it is considered the standard care in most centres [30,31,32].
The first step when deciding the surgical strategy is to identify the blood supply of the lesion preoperatively. Angio-magnetic-resonance is a great imaging tool in vascular assessment, but the complete map of all feeding arteries needs digital subtraction angiography.
The external carotid system is the most frequent vascular source of juvenile angiofibroma, mostly the internal maxillary artery, the ascending pharyngeal artery, the sphenopalatine artery, and the descending palatine artery [4]. In cases of large lesions that interest the skull base and are in contact with the internal carotid artery, arteriographic studies frequently detect vascular components from branches of the internal carotid artery (inferior hypophyseal artery or the inferomedial trunk, the vidian artery, ophthalmic artery). When the angiofibroma extends to the sphenoid sinus, the parapharyngeal space, the orbit or intracranial, vascular supply from the internal carotid artery is detected in 30% of cases [30,33]. Angiographic studies for both carotid systems are required because bilateral vascular supply was identified frequently in large angiofibroma [34].
Studies published by Glad et al. in 2007 revealed that preoperative embolization reduces intraoperative bleeding by approximately 60–70%, thus reducing the need for blood transfusions [35]. There is a downside of embolization, as it was shown to produce modification within the tumour and contribute to incomplete excision of the lesion [36]. New techniques and materials used for embolization, in the present, reduced the risk of residual tissue.
Most surgeons recommend tumour embolization to be done 24–48 h before surgery to reduce the risk of revascularization [4]. In selected cases, when the feeding vessels come from both external carotid systems, bilateral embolization of the internal maxillary artery is indicated.
The preferred approach for embolization is the trans-arterial one. Neurological complications, including stroke, and ophthalmological ones, like central retinal artery occlusion, are nowadays rare due to the use of small embolic particles introduced through microcatheters that facilitate the reach of terminal and collateral branches of the external carotid artery. The most frequently used materials are polyvinyl-alcohol microspheres. Intratumorally, intraoperative embolization may be used with ethylene-vinyl-alcohol copolymer (Onyx) and different types of glues and coils, but the method will be developed in future years to come.
The management of juvenile angiofibroma is complex as the surgeon must take into consideration the complexity of the anatomy of the skull base, the young age of the patient, and the risk of massive bleeding caused by the abundant vascular blood supply of the lesion. Preoperative staging is a key part of deciding the management steps to have minimal blood loss, complete tumour resection, minimal interference with the visceral anatomy of a still-developing young patient and no recurrence.
Staging is made based on clinical and endoscopic evaluation, imagistic studies (computer tomography and magnetic resonance imaging), and angiographic evaluation. As the tumour is a highly vascularized one, with a high risk of profuse bleeding, biopsies are absolutely contraindicated [37,38,39,40].
The surgical approach is chosen depending on the extension of the tumour, the vascular source, the effectiveness of embolization, facial skeleton maturity, and surgical team experience. The chosen approach must provide good visualization in a bloody surgical field as well as satisfying control of vascular supply. Different techniques can be used, like external, endoscopic, or combined approaches. When dealing with voluminous extended tumours, the external approach may be the only one that can assure the complete removal of the angiofibroma. The external approaches can be trans-palatal, trans-pharyngeal, lateral rhinotomy, Le Fort I osteotomies, facial translocation, midfacial degloving, anterior craniofacial, and lateral infratemporal/subtemporal approaches [41,42,43]. Trans-nasal endoscopic resection is preferred whenever possible. Throughout the last two decades, the evolution of the surgical approach has helped surgeons take adequate decisions in relation to the indication of endoscopic techniques.
Classic external approaches are known to have high rates of morbidity. They involve extensive osteotomies associated with increased operative time and abundant blood loss and interfere with normal facial growth in young patients. Complications such as facial nerve damage, cerebrospinal fluid leak, facial deformities, lacrimal dysfunction, and dental malocclusion have been reported.
Trans-nasal endoscopic resection of juvenile angiofibroma was applied for the first time in the 1990’s for early stages and provided similar recurrence rates to the ones operated with external techniques but with lower risks and morbidity [44]. Nicolai et al. published in 2003 studies revealing successful endoscopic management when dealing with lesions extending to the nasal cavities, sphenoid, ethmoid and maxillary sinus, as well as to the pterygopalatine fossa [45]. Indications for an endoscopic approach widened from early stages to Radkowsky IIC (the infratemporal fossa/the pterygoid plates). Some authors highly recommend endoscopic resection as the first surgical step for tumours up to stage Radkowsky IIIA [46].
Trans-nasal endoscopic resection, as opposed to classic techniques, offers significantly lower intraoperative blood loss, lower recurrence rate and shorter hospitalization. When approaching endoscopically, a juvenile angiofibroma is important to assure maximal exposure by using a middle turbinectomy, wide antrostomy, ethmoidectomy, sphenoidotomy, sometimes resection of the posterior third of the nasal septum is required to enhance the exposure of the nasopharyngeal end of the tumour. The lateral extension of the lesion to the pterygopalatine and/or infratemporal fossae dictates how much the lateral resection must be extended through the ablation of the posterior wall of the maxillary sinus and/or pterygoid processes resection.
Cases classified as IIIA Radkowski with the erosion of the skull base followed by minimal intracranial extension need neutralization of the vascular pedicle by clipping or bipolar cauterization and tumour fragmentation by coblation. The endonasal and endo-sinusal segments can be ablated the trans-nasal way but a multidisciplinary team with a neurosurgeon specialist is needed to deal with the intracranial segment. The tumour is removed trans-nasal, and a Haddad flap reconstruction is used to close up the cerebrospinal fluid leak.
Surgical complications may appear, such as haemorrhage, recurrence rates of 25–40%, long-time nasal crusts that may lead to nasal obstruction, sensitive deficits of the infraorbital nerve, nasal vestibule stenosis, eyeball misalignment, ophthalmoplegia and decreased visual acuity.
As alternative treatments, there can be used radiotherapy and hormonal treatment—estrogens.
Radiotherapy has a large range of side effects: hypopituitarism, growth retardation, temporal lobe necrosis, cataract, keratopathy, and skin malignancies. The estrogenic treatment may produce gynecomastia and nausea, but both disappear once the treatment is stopped. On the other hand, estrogens used preoperatively for large tumours with intracranial extension reduce the tumour volume by 7–44%.
Follow-up is made clinically and by endoscopic evaluation every six months. Magnetic resonance imaging investigation is indicated every year.

Conclusions

Studies that compared the blood loss between the endoscopic approach and the external approach showed the advantages of endoscopic techniques. The endoscopic trans-nasal approach is preferred to external techniques because of the higher rates of morbidity, important blood loss and interference with normal facial growth in young patients.
The development of the preoperative embolization technique reduced the amount of blood loss and the need for whole blood transfusion importantly. Embolization reduces intraoperative bleeding by 60–70% and lowers the need for blood transfusion.
Surgical techniques evolved during the last two decades, and safer strategies have been established in order to lower the haemorrhage and obtain complete resection with no residual lesion.
The external approach combined with the endoscopic one is useful in selected cases with massive intracranial extension.

Informed Consent Statement

Any aspect of the work covered in this manuscript has been conducted with the ethical approval of all relevant bodies and that such approvals are acknowledged within the manuscript. Informed consent was obtained from all subjects involved in the study.

Conflicts of Interest

There are no known conflicts of interest in the publication of this article. The manuscript was read and approved by all authors.

References

  1. Gullane, P.J.; Davidson, J.; O’Dwyer, T.; Forte, V. Juvenile angiofibroma: A review of the literature and a case series report. Laryngoscope 1992, 102, 928–933. [Google Scholar] [CrossRef] [PubMed]
  2. Nicolai, P.; Schreiber, A.; Villaret, A.B. Juvenile Angiofibroma: Evolution of Management. Int. J. Pediatr. 2011, 2012, 412545. [Google Scholar] [CrossRef] [PubMed]
  3. Scholtz, A.W.; Appenroth, E.; Kammen-Jolly, K.; Scholtz, L.U.; Thumfart, W.F. Juvenile Nasopharyngeal Angiofibroma: Management and Therapy. Laryngoscope 2001, 111, 681–687. [Google Scholar] [CrossRef] [PubMed]
  4. Lund, V.J.; Stammberger, H.; Nicolai, P.; Castelnuovo, P.; Beal, T.; Beham, A.; Bernal-Sprekelsen, M.; Braun, H.; Cappabianca, P.; Carrau, R.; et al. European position paper on endoscopic management of tumours of the nose, paranasal sinuses and skull base. Rhinol. Suppl. 2010, 22, 1–143. [Google Scholar]
  5. Lloyd, G.; Howard, D.; Phelps, P.; Cheesman, A. Juvenile angiofibroma: The lessons of 20 years of modern imaging. J. Laryngol. Otol. 1999, 113, 127–134. [Google Scholar] [CrossRef]
  6. Schick, B.; Kahle, G. Radiological findings in angiofibroma. Acta Radiol. 2000, 41, 585–593. [Google Scholar] [CrossRef]
  7. Schuon, R.; Brieger, J.; Heinrich, U.R.; Roth, Y.; Szyfter, W.; Mann, W.J. Immunohistochemical analysis of growth mechanisms in juvenile nasopharyngeal angiofibroma. Eur. Arch. Otorhinolaryngol. 2006, 264, 389–394. [Google Scholar] [CrossRef]
  8. Stiller, D.; Küttner, K. Wachstumsmuster juveniler Nasenrachenfibrome. Eine histologische Analyse an Hand von 40 Fällen [Growth patterns of juvenile nasopharyngeal fibromas. A histological analysis on the basis of 40 cases]. Zentralbl. Allg. Pathol. 1988, 134, 409–422. [Google Scholar]
  9. Sternberg, S.S. Pathology of juvenile nasopharyngeal angiofibroma—A lesion of adolescent males. Cancer 1954, 7, 15–28. [Google Scholar] [CrossRef]
  10. Hubbard, E.M. Nasopharyngeal angiofibromas. AMA Arch. Pathol. 1958, 65, 192–204. [Google Scholar]
  11. Schiff, M. Juvenile nasopharyngeal angiofibroma. a theory of pathogenesis. Laryngoscope 1959, 69, 981–1016. [Google Scholar] [CrossRef] [PubMed]
  12. Beham, A.; Beham-Schmid, C.; Regauer, S.; Auböck, L.; Stammberger, H. Nasopharyngeal Angiofibroma: True Neoplasm or Vascular Malformation? Adv. Anat. Pathol. 1999, 7, 36–46. [Google Scholar] [CrossRef] [PubMed]
  13. Schick, B.; Plinkert, P.K.; Prescher, A. Die vaskuläre Komponente: Gedanken zur Entstehung des Angiofibroms. Laryngo-Rhino-Otologie 2002, 81, 280–284. [Google Scholar] [CrossRef]
  14. Starlinger, V.; Wendler, O.; Gramann, M.; Schick, B. Laminin expression in juvenile angiofibroma indicates vessel’s early developmental stage. Acta Oto-Laryngologica 2007, 127, 1310–1315. [Google Scholar] [CrossRef]
  15. Tiu, V.E.; Popescu, B.O.; Enache, I.I.; Tiu, C.; Terecoasa, E.; Panea, C.A. Serum and CSF Biomarkers Predict Active Early Cognitive Decline Rather Than Established Cognitive Impairment at the Moment of RRMS Diagnosis. Diagnostics 2022, 12, 2571. [Google Scholar] [CrossRef] [PubMed]
  16. Farag, M.M.; Ghanimah, S.E.; Ragaie, A.; Saleem, T.H. Hormonal receptors in juvenile nasopharyngeal angiofibroma. Laryngoscope 1987, 97, 208–211. [Google Scholar] [CrossRef]
  17. Hwang, H.C.; E Mills, S.; Patterson, K.; Gown, A.M. Expression of androgen receptors in nasopharyngeal angiofibroma: An immunohistochemical study of 24 cases. Mod. Pathol. 1998, 11, 1122–1126. [Google Scholar]
  18. Saylam, G.; Yücel, O.T.; Sungur, A.; Önerci, M. Proliferation, angiogenesis and hormonal markers in juvenile nasopharyngeal angiofibroma. Int. J. Pediatr. Otorhinolaryngol. 2006, 70, 227–234. [Google Scholar] [CrossRef]
  19. Safadi, A.; Schreiber, A.; Fliss, D.M.; Nicolai, P. Juvenile Angiofibroma: Current Management Strategies. J. Neurol. Surg. Part B Skull Base 2018, 79, 021–030. [Google Scholar] [CrossRef]
  20. Lloyd, G.; Howard, D.; Lund, V.; Savy, L. Imaging for juvenile angiofibroma. J. Laryngol. Otol. 2000, 114, 727–730. [Google Scholar] [CrossRef]
  21. Longacre, M.M.; Seshadri, S.C.; Adil, E.; Baird, L.C.; Goobie, S.M. Perioperative management of pediatric patients undergoing juvenile angiofibroma resection. A case series and educational review highlighting patient blood management. Pediatr. Anesthesia 2023, 33, 510–519. [Google Scholar] [CrossRef] [PubMed]
  22. Antonelli, A.R.; Cappiello, J.; Di Lorenzo, D.; Donajo, C.A.; Nicolai, P.; Orlandini, A. Diagnosis, staging, and treatment of juvenile nasopharyngeal angiofibroma (JNA). Laryngoscope 1987, 97, 1319–1325. [Google Scholar] [CrossRef] [PubMed]
  23. Szymańska, A.; Szymański, M.; Czekajska-Chehab, E.; Szczerbo-Trojanowska, M. Two types of lateral extension in juvenile nasopharyngeal angiofibroma: Diagnostic and therapeutic management. Eur. Arch. Oto-Rhino-Laryngology 2014, 272, 159–166. [Google Scholar] [CrossRef]
  24. Zanation, A.M.; Mitchell, C.A.; Rose, A.S. Endoscopic Skull Base Techniques for Juvenile Nasopharyngeal Angiofibroma. Otolaryngol. Clin. N. Am. 2012, 45, 711–730. [Google Scholar] [CrossRef]
  25. Sessions, R.B.; Bryan, R.N.; Naclerio, R.M.; Alford, B.R. Radiographic staging of juvenile angiofibroma. Head Neck Surg. 1981, 3, 279–283. [Google Scholar] [CrossRef]
  26. Radkowski, D.; McGill, T.; Healy, G.B.; Ohlms, L.; Jones, D.T. Angiofibroma: Changes in Staging and Treatment. Arch. Otolaryngol. Neck Surg. 1996, 122, 122–129. [Google Scholar] [CrossRef]
  27. Andrews, J.C.; Fisch, U.; Aeppli, U.; Valavanis, A.; Makek, M.S. The surgical management of extensive nasopharyngeal angiofibromas with the infratemporal fossa approach. Laryngoscope 1989, 99, 429–437. [Google Scholar] [CrossRef] [PubMed]
  28. El Sharkawy, A.A. Endonasal endoscopic management of juvenile nasopharyngeal angiofibroma without angiographic embolization. Eur. Arch. Otorhinolaryngol. 2012, 270, 2051–2055. [Google Scholar] [CrossRef]
  29. El-Banhawy, O.A.; Ragab, A.; El-Sharnoby, M.M. Surgical resection of type III juvenile angiofibroma without preoperative embolization. Int. J. Pediatr. Otorhinolaryngol. 2006, 70, 1715–1723. [Google Scholar] [CrossRef]
  30. Nicolai, P.; Villaret, A.B.; Farina, D.; Nadeau, S.; Yakirevitch, A.; Berlucchi, M.; Galtelli, C. Endoscopic Surgery for Juvenile Angiofibroma: A Critical Review of Indications after 46 Cases. Am. J. Rhinol. Allergy 2010, 24, e67–e72. [Google Scholar] [CrossRef]
  31. Hackman, T.; Snyderman, C.H.; Carrau, R.; Vescan, A.; Kassam, A. Juvenile Nasopharyngeal Angiofibroma: The Expanded Endonasal Approach. Am. J. Rhinol. Allergy 2009, 23, 95–99. [Google Scholar] [CrossRef]
  32. Roger, G.; Huy, P.T.B.; Froehlich, P.; Abbeele, T.V.D.; Klossek, J.-M.; Serrano, E.; Garabedian, E.-N.; Herman, P. Exclusively Endoscopic Removal of Juvenile Nasopharyngeal Angiofibroma. Arch. Otolaryngol. Neck Surg. 2002, 128, 928–935. [Google Scholar] [CrossRef]
  33. Santos-Franco, J.A.; Lee, A.; Campos-Navarro, L.A.; Tenorio-Sánchez, J.; Zenteno, M.; Osorio-Alvarado, A.R. Bilateral Non-Superselective Embolization With Particles Under Transient Occlusion of the Internal Carotid Artery in the Management of Juvenile Nasopharyngeal Angiofibroma. Vasc. Endovasc. Surg. 2012, 46, 559–564. [Google Scholar] [CrossRef] [PubMed]
  34. Wu, A.W.; Mowry, S.E.; Vinuela, F.; Abemayor, E.; Wang, M.B. Bilateral vascular supply in juvenile nasopharyngeal angiofibromas. Laryngoscope 2010, 121, 639–643. [Google Scholar] [CrossRef]
  35. Glad, H.; Vainer, B.; Buchwald, C.; et al. Juvenile nasopharyngeal angiofibromas in Denmark 1981–2003: Diagnosis, incidence, and treatment. Acta Otolaryngol. 2007, 127, 292–299. [Google Scholar] [CrossRef] [PubMed]
  36. McCombe, A.; Lund, V.J.; Howard, D.J. Recurrence in juvenile angiofibroma. Rhinology 1990, 28, 97–102. [Google Scholar]
  37. Alius, R.O.; Zainea, V.; Voiosu, C.; Ionita, I.G.; Rusescu, A.; Balalau, O.D.; Alius, C.; Pulpa, R.O.; Hainarosie, R. Nasal surgery versus pharyngeal surgery in the treatment of obstructive sleep apnea. J. Mind Med. Sci. 2022, 9, 318–323. [Google Scholar] [CrossRef]
  38. Liu, Q.; Xia, Z.; Hong, R.; Pan, Y.; Xue, K.; Liu, Q.; Sun, X.; Li, H.; Sha, Y.; Yu, H.; et al. Preoperative Embolization of Primary Juvenile Nasopharyngeal Angiofibroma: Is Embolization of Internal Carotid Artery Branches Necessary? Cardiovasc. Interv. Radiol. 2023, 46, 1038–1045. [Google Scholar] [CrossRef] [PubMed]
  39. Motofei, I.G. Biology of cancer; from cellular and molecular mechanisms to developmental processes and adaptation. Semin. Cancer Biol. 2021, 86, 600–615. [Google Scholar] [CrossRef]
  40. Baba, A.; Kurokawa, R.; Kurokawa, M.; Srinivasan, A. MRI features of sinonasal tract angiofibroma/juvenile nasopharyngeal angiofibroma: Case series and systematic review. J. Neuroimaging 2023, 33, 675–687. [Google Scholar] [CrossRef]
  41. Midilli, R.; Karci, B.; Akyildiz, S. Juvenile nasopharyngeal angiofibroma: Analysis of 42 cases and important aspects of endoscopic approach. Int. J. Pediatr. Otorhinolaryngol. 2009, 73, 401–408. [Google Scholar] [CrossRef] [PubMed]
  42. Hoeltgen, L.; Tessonnier, T.; Meixner, E.; Hoegen, P.; Kim, J.-Y.; Deng, M.; Seidensaal, K.; Held, T.; Herfarth, K.; Debus, J.; et al. Proton Therapy for Advanced Juvenile Nasopharyngeal Angiofibroma. Cancers 2023, 15, 5022. [Google Scholar] [CrossRef] [PubMed]
  43. Yiotakis, I.; Eleftheriadou, A.; Davilis, D.; Giotakis, E.; Ferekidou, E.; Korres, S.; Kandiloros, D. Juvenile nasopharyngeal angiofibroma stages I and II: A comparative study of surgical approaches. Int. J. Pediatr. Otorhinolaryngol. 2008, 72, 793–800. [Google Scholar] [CrossRef]
  44. Carrau, R.L.; Snyderman, C.H.; Kassam, A.B.; Jungreis, C.A. Endoscopic and Endoscopic-Assisted Surgery for Juvenile Angiofibroma. Laryngoscope 2001, 111, 483–487. [Google Scholar] [CrossRef] [PubMed]
  45. Nicolai, P.; Berlucchi, M.; Tomenzoli, D.; Cappiello, J.; Trimarchi, M.; Maroldi, R.; Battaglia, G.; Antonelli, A.R. Endoscopic Surgery for Juvenile Angiofibroma: When and How. Laryngoscope 2003, 113, 775–782. [Google Scholar] [CrossRef]
  46. Ardehali, M.M.; Ardestani, S.-H.S.; Yazdani, N.; Goodarzi, H.; Bastaninejad, S. Endoscopic approach for excision of juvenile nasopharyngeal angiofibroma: Complications and outcomes. Am. J. Otolaryngol. 2010, 31, 343–349. [Google Scholar] [CrossRef]
Table 1. Study data summary.
Table 1. Study data summary.
Jmms 11 00028 i001

Share and Cite

MDPI and ACS Style

Pulpă, R.O.; Zainea, V.; Voiosu, C.; Aliuș, R.O.; Rusescu, A.; Ioniță, I.-G.; Epure, V.; Palade, D.O.; Hainăroșie, R. Systematic Surgical Approach to Juvenile Angiofibroma. J. Mind Med. Sci. 2024, 11, 218-224. https://doi.org/10.22543/2392-7674.1471

AMA Style

Pulpă RO, Zainea V, Voiosu C, Aliuș RO, Rusescu A, Ioniță I-G, Epure V, Palade DO, Hainăroșie R. Systematic Surgical Approach to Juvenile Angiofibroma. Journal of Mind and Medical Sciences. 2024; 11(1):218-224. https://doi.org/10.22543/2392-7674.1471

Chicago/Turabian Style

Pulpă, Raluca Oana, Viorel Zainea, Cătălina Voiosu, Ruxandra Oana Aliuș, Andreea Rusescu, Irina-Gabriela Ioniță, Veronica Epure, Dragoș Octavian Palade, and Răzvan Hainăroșie. 2024. "Systematic Surgical Approach to Juvenile Angiofibroma" Journal of Mind and Medical Sciences 11, no. 1: 218-224. https://doi.org/10.22543/2392-7674.1471

APA Style

Pulpă, R. O., Zainea, V., Voiosu, C., Aliuș, R. O., Rusescu, A., Ioniță, I.-G., Epure, V., Palade, D. O., & Hainăroșie, R. (2024). Systematic Surgical Approach to Juvenile Angiofibroma. Journal of Mind and Medical Sciences, 11(1), 218-224. https://doi.org/10.22543/2392-7674.1471

Article Metrics

Back to TopTop