Open versus Laparoscopic Appendectomy: A Literature Review
Abstract
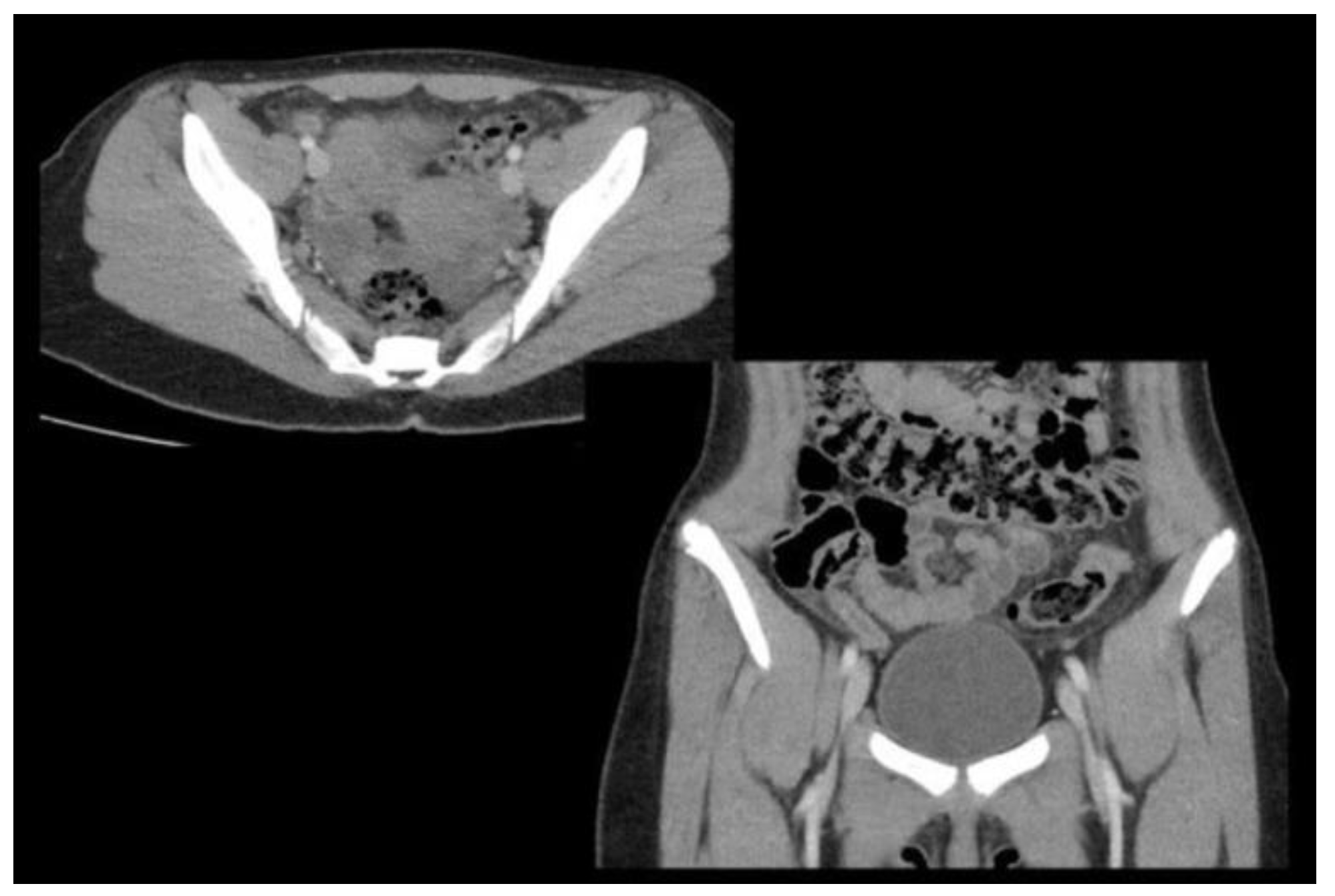
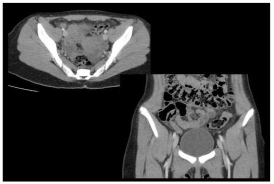
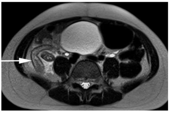
Introduction
Discussions


Complications
Conclusions
- ✓ Laparoscopic appendectomy results in better patient outcomes and is more cost-effective compared to open appendectomy.
- ✓ Overall, laparoscopic appendectomy has shorter hospital stay and recovery times, requires less analgesics, and results in fewer postoperative complications.
Compliance with ethical standards
Conflicts of Interest disclosure
References
- Stewart, B.; Khanduri, P.; McCord, C.; et al. Global disease burden of conditions requiring emergency surgery. Br J Surg. 2014, 101, e9–e22. [Google Scholar] [CrossRef]
- Bhangu, A.; Søreide, K.; Di Saverio, S.; et al. Acute appendicitis: Modern understanding of pathogenesis, diagnosis, and management. Lancet 2015, 386, 1278–1287. [Google Scholar] [CrossRef] [PubMed]
- Siam, B.; Al-Kurd, A.; Simanovsky, N.; et al. Comparison of Appendectomy Outcomes Between Senior General Surgeons and General Surgery Residents. JAMA Surg. 2017, 152, 679–685. [Google Scholar] [CrossRef]
- Sartelli, M.; Baiocchi, G.L.; Di Saverio, S.; et al. Prospective Observational Study on acute Appendicitis Worldwide (POSAW). World J Emerg Surg. 2018, 13, 19. [Google Scholar] [CrossRef] [PubMed]
- Nguyen, N.T.; Zainabadi, K.; Mavandadi, S.; et al. Trends in utilization and outcomes of laparoscopic versus open appendectomy. Am J Surg. 2004, 188, 813–820. [Google Scholar] [CrossRef] [PubMed]
- Semm, K. Endoscopic appendectomy. Endoscopy. 1983, 15, 59–64. [Google Scholar] [CrossRef]
- Biondi, A.; Di Stefano, C.; Ferrara, F.; Bellia, A.; Vacante, M.; Piazza, L. Laparoscopic versus open appendectomy: A retrospective cohort study assessing outcomes and cost-effectiveness. World J Emerg Surg. 2016, 11, 44. [Google Scholar] [CrossRef]
- Shaikh, A.R.; Sangrasi, A.K.; Shaikh, G.A. Clinical outcomes of laparoscopic versus open appendectomy. JSLS 2009, 13, 574–580. [Google Scholar] [CrossRef]
- Yau, K.K.; Siu, W.T.; Tang, C.N.; Yang, G.P.; Li, M.K. Laparoscopic versus open appendectomy for complicated appendicitis. J Am Coll Surg. 2007, 205, 60–65. [Google Scholar] [CrossRef]
- Wang, X.; Zhang, W.; Yang, X.; et al. Complicated appendicitis in children: Is laparoscopic appendectomy appropriate? A comparative study with the open appendectomy--our experience. J Pediatr Surg. 2009, 44, 1924–1927. [Google Scholar] [CrossRef]
- Wray, C.J.; Kao, L.S.; Millas, S.G.; Tsao, K.; Ko, T.C. Acute appendicitis: Controversies in diagnosis and management. Curr Probl Surg. 2013, 50, 54–86. [Google Scholar] [CrossRef] [PubMed]
- Old, J.L.; Dusing, R.W.; Yap, W.; Dirks, J. Imaging for suspected appendicitis. Am Fam Physician. 2005, 71, 71–78. [Google Scholar] [PubMed]
- Raja, A.S.; Wright, C.; Sodickson, A.D.; et al. Negative appendectomy rate in the era of CT: An 18-year perspective. Radiology 2010, 256, 460–465. [Google Scholar] [CrossRef] [PubMed]
- Wonski, S.; Ranzenberger, L.R.; Carter, K.R. Appendix Imaging. In StatPearls [Internet]; StatPearls Publishing: Treasure Island, FL, USA; Available online: https://www.ncbi.nlm.nih.gov/books/NBK549903/ (accessed on 17 April 2023).
- Foley, W.D. CT Features for Complicated versus Uncomplicated Appendicitis: What Is the Evidence? Radiology 2018, 287, 116–118. [Google Scholar] [CrossRef]
- Moore, M.M.; Kulaylat, A.N.; Brian, J.M.; et al. Alternative diagnoses at paediatric appendicitis MRI. Clin Radiol. 2015, 70, 881–889. [Google Scholar] [CrossRef]
- Van Hove, C.; Hardiman, K.; Diggs, B.; Deveney, C.; Sheppard, B. Demographic and socioeconomic trends in the use of laparoscopic appendectomy from 1997 to 2003. Am J Surg. 2008, 195, 580–584. [Google Scholar] [CrossRef]
- Mueller, J.L.; Rozman, N.; Sunassee, E.D.; et al. An Accessible Laparoscope for Surgery in Lowand MiddleIncome Countries. Ann Biomed Eng. 2021, 49, 1657–1669. [Google Scholar] [CrossRef]
- Chao, T.E.; Mandigo, M.; Opoku-Anane, J.; Maine, R. Systematic review of laparoscopic surgery in lowand middle-income countries: Benefits, challenges, and strategies. Surg Endosc. 2016, 30, 1–10. [Google Scholar] [CrossRef]
- Lin, K.B.; Chan, C.L.; Yang, N.P.; et al. Epidemiology of appendicitis and appendectomy for the low-income population in Taiwan, 2003-2011. BMC Gastroenterol. 2015, 15, 18. [Google Scholar] [CrossRef]
- Haas, L.; Stargardt, T.; Schreyoegg, J. Cost-effectiveness of open versus laparoscopic appendectomy: A multilevel approach with propensity score matching. Eur J Health Econ. 2012, 13, 549–560. [Google Scholar] [CrossRef]
- Yu, M.C.; Feng, Y.J.; Wang, W.; et al. Is laparoscopic appendectomy feasible for complicated appendicitis ?A systematic review and metaanalysis. Int J Surg. 2017, 40, 187–197. [Google Scholar] [CrossRef] [PubMed]
- Cipe, G.; Idiz, O.; Hasbahceci, M.; et al. Laparoscopic versus open appendectomy: Where are we now? Chirurgia (Bucur). 2014, 109, 518–522. [Google Scholar] [PubMed]
- Dai, L.; Shuai, J. Laparoscopic versus open appendectomy in adults and children: A meta-analysis of randomized controlled trials. United European Gastroenterol J. 2017, 5, 542–553. [Google Scholar] [CrossRef]
- Cheng, H.; Clymer, J.W.; Po-Han Chen, B.; et al. Prolonged operative duration is associated with complications: A systematic review and metaanalysis. J Surg Res. 2018, 229, 134–144. [Google Scholar] [CrossRef]
- Minutolo, V.; Licciardello, A.; Di Stefano, B.; Arena, M.; Arena, G.; Antonacci, V. Outcomes and cost analysis of laparoscopic versus open appendectomy for treatment of acute appendicitis: 4-years experience in a district hospital. BMC Surg. 2014, 14, 14. [Google Scholar] [CrossRef]
- Smink, D.S.; Finkelstein, J.A.; Garcia Peña, B.M.; Shannon, M.W.; Taylor, G.A.; Fishman, S.J. Diagnosis of acute appendicitis in children using a clinical practice guideline. J Pediatr Surg. 2004, 39, 458–463. [Google Scholar] [CrossRef]
- Sizar, O.; Genova, R.; Gupta, M. Opioid-Induced Constipation. In In StatPearls; StatPearls Publishing: Treasure Island, FL, USA; Available online: https://pubmed.ncbi.nlm.nih.gov/29630236/ (accessed on 7 August 2023).
- Hayat, S.; Riaz, O.; Usman, M.; Lodhi, M.F.B.; Khan, A.A. Comparative of postoperative pain and operative duration in cases of open versus laparoscopic appendectomy. Professional Med J. 2019, 26, 1706–1711. [Google Scholar] [CrossRef]
- de Wijkerslooth, E.M.L.; Bakas, J.M.; van Rosmalen, J.; van den Boom, A.L.; Wijnhoven, B.P.L. Same-day discharge after appendectomy for acute appendicitis: A systematic review and meta-analysis. Int J Colorectal Dis. 2021, 36, 1297–1309. [Google Scholar] [CrossRef]
- Jaschinski, T.; Mosch, C.G.; Eikermann, M.; Neugebauer, E.A.; Sauerland, S. Laparoscopic versus open surgery for suspected appendicitis. Cochrane Database Syst Rev. 2018, 11, CD001546. [Google Scholar] [CrossRef]
- Kehagias, I.; Karamanakos, S.N.; Panagiotopoulos, S.; et al. Laparoscopic versus open appendectomy: Which way to go? World J Gastroenterol. 2008, 14, 4909–4914. [Google Scholar] [CrossRef]
- Wei, B.; Qi, C.L.; Chen, T.F.; et al. Laparoscopic versus open appendectomy for acute appendicitis: A metaanalysis. Surg Endosc. 2011, 25, 1199–1208. [Google Scholar] [CrossRef] [PubMed]
- Kaplan, M.; Salman, B.; Yilmaz, T.U.; Oguz, M. A quality of life comparison of laparoscopic and open approaches in acute appendicitis: A randomised prospective study. Acta Chir Belg. 2009, 109, 356–363. [Google Scholar] [CrossRef] [PubMed]
- Lintula, H.; Kokki, H.; Vanamo, K.; et al. The costs and effects of laparoscopic appendectomy in children. Arch Pediatr Adolesc Med. 2004, 158, 34–37. [Google Scholar] [CrossRef] [PubMed]
- Markar, S.R.; Blackburn, S.; Cobb, R.; et al. Laparoscopic versus open appendectomy for complicated and uncomplicated appendicitis in children. J Gastrointest Surg. 2012, 16, 1993–2004. [Google Scholar] [CrossRef]
- Low, Z.X.; Bonney, G.K.; So, J.B.Y.; Loh, D.L.; Ng, J.J. Laparoscopic versus open appendectomy in pediatric patients with complicated appendicitis: A meta-analysis. Surg Endosc. 2019, 33, 4066–4077. [Google Scholar] [CrossRef]
- Bliss, D.; Mckee, J.; Cho, D.; et al. Discordance of the pediatric surgeon’s intraoperative assessment of pediatric appendicitis with the pathologists report. J Pediatr Surg. 2010, 45, 1398–1403. [Google Scholar] [CrossRef]
- Taweerutchana, V.; Suwatthanarak, T.; Methasate, A.; et al. Laparoscopic surgery produced less surgical smoke and contamination comparing with open surgery: The pilot study in fresh cadaveric experiment in COVID-19 pandemic. BMC Surg. 2021, 21, 422. [Google Scholar] [CrossRef]
- Kimura, T.; Toyoki, Y.; Ichisawa, A.; et al. Aiming for minimally invasive treatment of pediatric acute appendicitis in a district hospital. Ann Pediatr Surg. 2021, 17. [Google Scholar] [CrossRef]
- Zhang, J.; Wang, M.; Xin, Z.; Li, P.; Feng, Q. Updated Evaluation of Laparoscopic vs. Open Appendicectomy During Pregnancy: A Systematic Review and Meta-Analysis. Front Surg. 2021, 8, 720351. [Google Scholar] [CrossRef]
- Di Saverio, S.; Podda, M.; De Simone, B.; et al. Diagnosis and treatment of acute appendicitis: 2020 update of the WSES Jerusalem guidelines. World J Emerg Surg. 2020, 15, 27. [Google Scholar] [CrossRef]
- Sallinen, V.; Akl, E.A.; You, J.J.; et al. Meta-analysis of antibiotics versus appendicectomy for non-perforated acute appendicitis. Br J Surg. 2016, 103, 656–667. [Google Scholar] [CrossRef] [PubMed]
- Flum, D.R.; Davidson, G.H.; et al.; CODA Collaborative A Randomized Trial Comparing Antibiotics with Appendectomy for Appendicitis. N Engl J Med. 2020, 383, 1907–1919. [Google Scholar] [CrossRef] [PubMed]
- Georgiou, R.; Eaton, S.; Stanton, M.P.; et al. Efficacy and Safety of Nonoperative Treatment for Acute Appendicitis: A Meta-analysis. Pediatrics. 2017, 139, e20163003. [Google Scholar] [CrossRef] [PubMed]
© 2024 by the author. 2024 Nicole Kiril Nikolov, Hannah Theresa Reimer, Alvin Sun, Benjamin David Bunnell, Zachary Isaac Merhavy
Share and Cite
Nikolov, N.K.; Reimer, H.T.; Sun, A.; Bunnell, B.D.; Merhavy, Z.I. Open versus Laparoscopic Appendectomy: A Literature Review. J. Mind Med. Sci. 2024, 11, 4-9. https://doi.org/10.22543/2392-7674.1472
Nikolov NK, Reimer HT, Sun A, Bunnell BD, Merhavy ZI. Open versus Laparoscopic Appendectomy: A Literature Review. Journal of Mind and Medical Sciences. 2024; 11(1):4-9. https://doi.org/10.22543/2392-7674.1472
Chicago/Turabian StyleNikolov, Nicole Kiril, Hannah Theresa Reimer, Alvin Sun, Benjamin David Bunnell, and Zachary Isaac Merhavy. 2024. "Open versus Laparoscopic Appendectomy: A Literature Review" Journal of Mind and Medical Sciences 11, no. 1: 4-9. https://doi.org/10.22543/2392-7674.1472
APA StyleNikolov, N. K., Reimer, H. T., Sun, A., Bunnell, B. D., & Merhavy, Z. I. (2024). Open versus Laparoscopic Appendectomy: A Literature Review. Journal of Mind and Medical Sciences, 11(1), 4-9. https://doi.org/10.22543/2392-7674.1472