Assessment of Paranasal Sinus Growth with 3D Volumetric Measurements and the Effect of Anatomic Variations on Sinus Volume in a Pediatric Population
Simple Summary
Abstract
1. Introduction
2. Materials and Methods
2.1. Study Design and Group
2.2. CT Acquisition and Volumetric Measurements
2.3. Statistical Analysis
3. Results
3.1. Paranasal Sinus Pneumatization and Volume
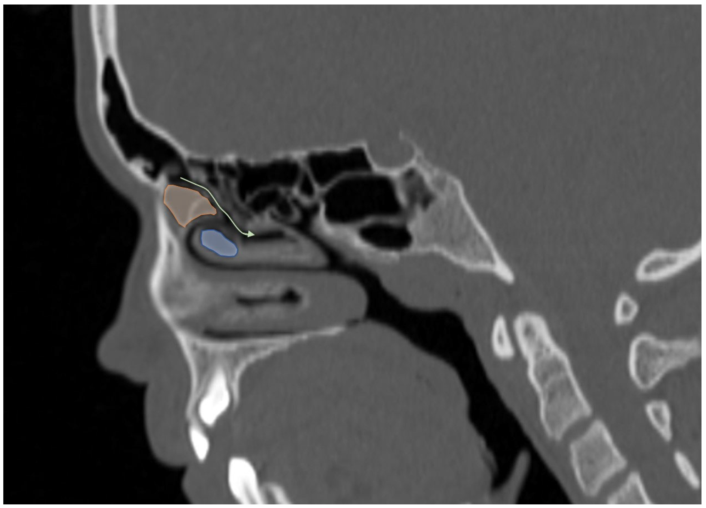
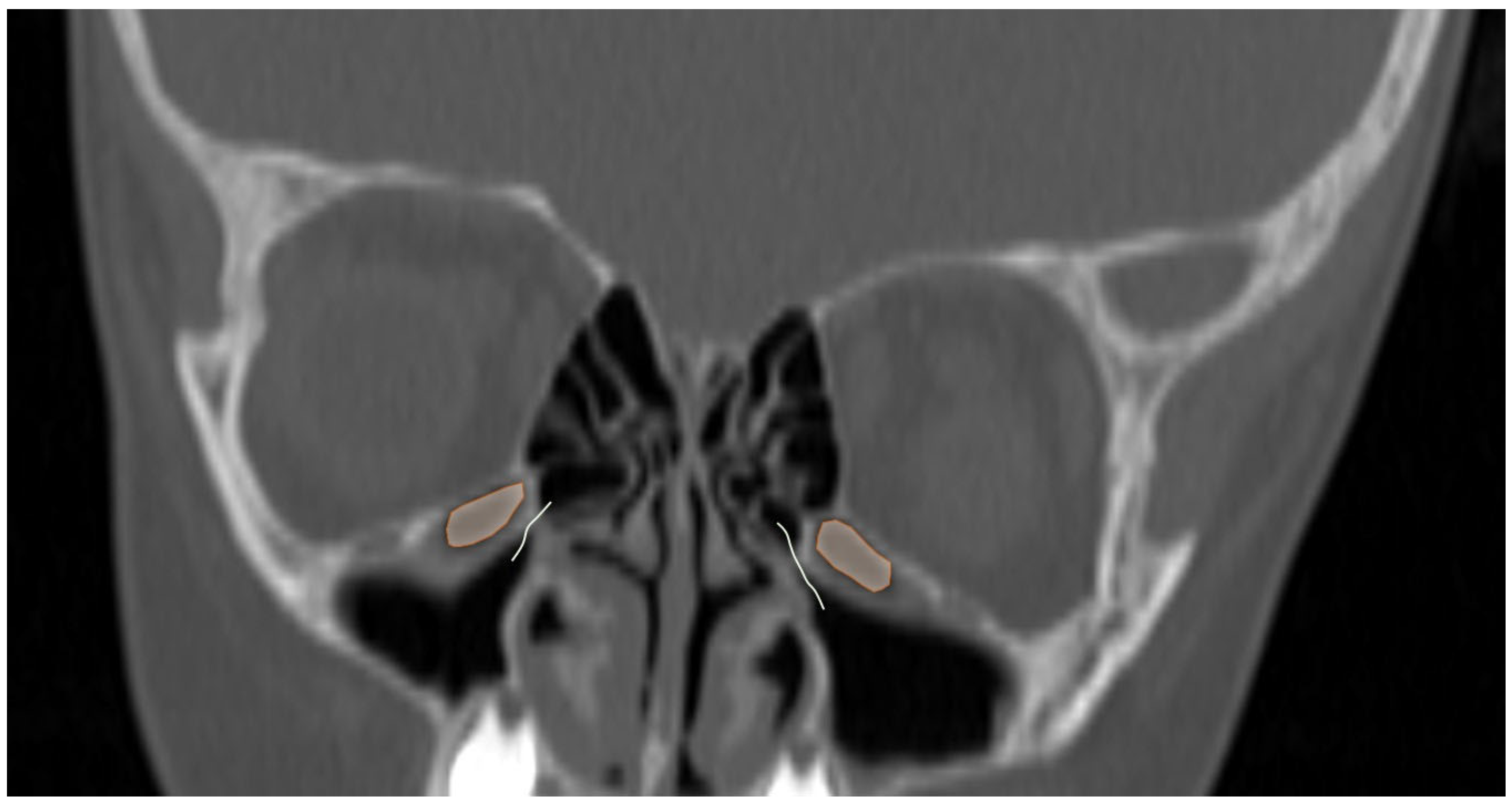
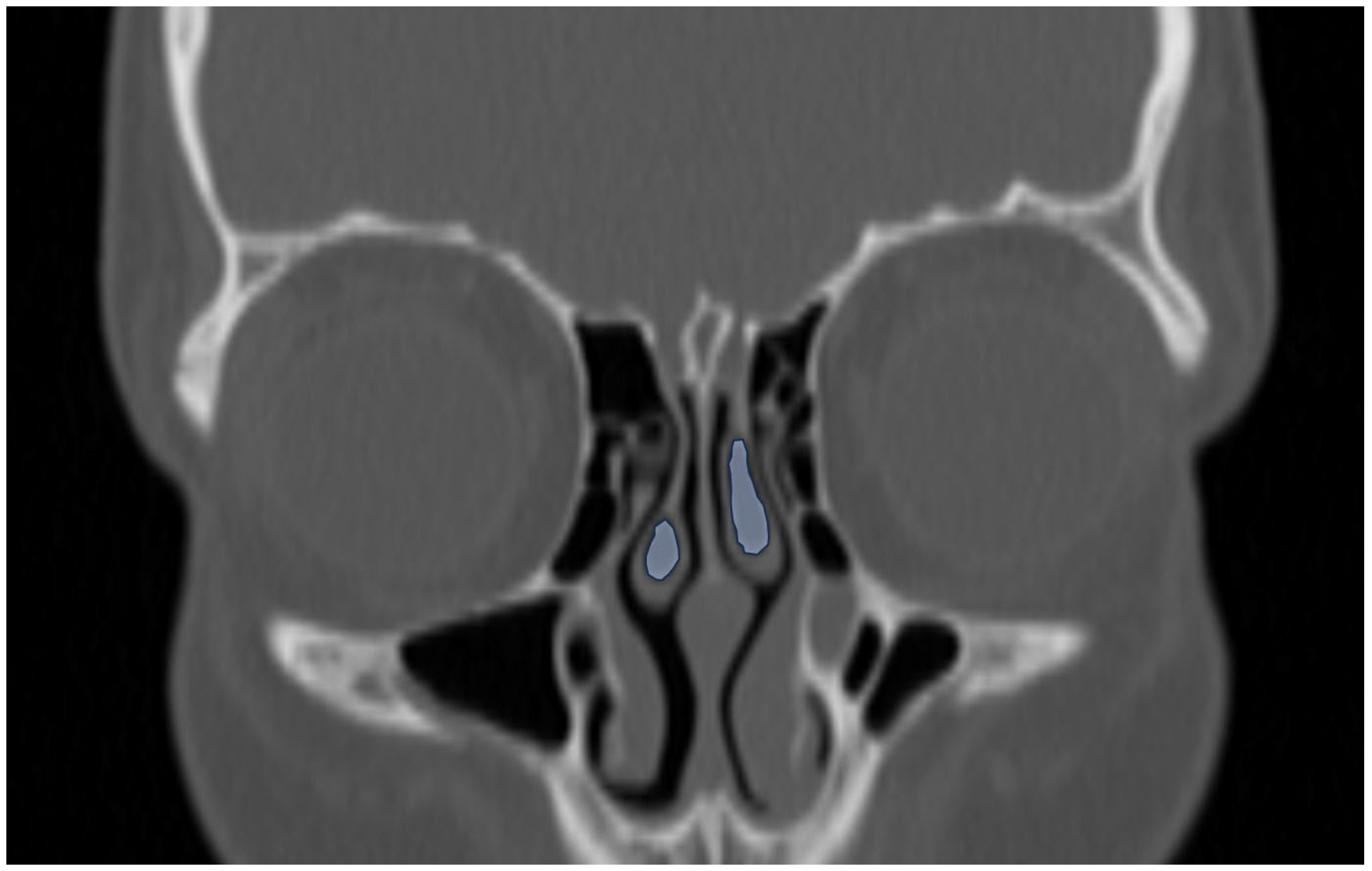
3.2. Sinonasal Variations
3.3. Correlation Between Sinus Development and Variations
4. Discussion
5. Conclusions
Supplementary Materials
Author Contributions
Funding
Institutional Review Board Statement
Informed Consent Statement
Data Availability Statement
Acknowledgments
Conflicts of Interest
Abbreviations
| PACS | Picture Archiving and Communication System |
| SD | Standard Deviation |
| PNS | Paranasal Sinus |
| ANs | Agger Nasi cells |
References
- Iturralde-Garrote, A.; Sanz, J.L.; Forner, L.; Melo, M.; Puig-Herreros, C. Volumetric Changes of the Paranasal Sinuses with Age: A Systematic Review. J. Clin. Med. 2023, 12, 3355. [Google Scholar] [CrossRef] [PubMed]
- Oliveira, J.M.; Alonso, M.B.; de Sousa, E.; Tucunduva, M.J.; Fuziy, A.; Scocate, A.C.; Costa, A.L. Volumetric study of sphenoid sinuses: Anatomical analysis in helical computed tomography. Surg. Radiol. Anat. 2017, 39, 367–374. [Google Scholar] [CrossRef]
- Tatlisumak, E.; Ovali, G.Y.; Asirdizer, M.; Aslan, A.; Ozyurt, B.; Bayindir, P.; Tarhan, S. CT study on morphometry of frontal sinus. Clin. Anat. 2008, 21, 287–293. [Google Scholar] [CrossRef] [PubMed]
- Jasso-Ramírez, N.G.; Elizondo-Omaña, R.E.; Treviño-González, J.L.; Quiroga-Garza, A.; Garza-Rico, I.A.; Aguilar-Morales, K.; Elizondo-Riojas, G.; Guzmán-Lopez, S. Morphometric variants of the paranasal sinuses in a Mexican population: Expected changes according to age and gender. Folia Morphol. 2023, 82, 339–345. [Google Scholar] [CrossRef] [PubMed]
- Alkire, B.C.; Bhattacharyya, N. An assessment of sinonasal anatomic variants potentially associated with recurrent acute rhinosinusitis. Laryngoscope 2010, 120, 631–634. [Google Scholar] [CrossRef]
- Fadda, G.L.; Rosso, S.; Aversa, S.; Petrelli, A.; Ondolo, C.; Succo, G. Multiparametric statistical correlations between paranasal sinus anatomic variations and chronic rhinosinusitis. Acta Otorhinolaryngol. Ital. 2012, 32, 244–251. [Google Scholar]
- Shpilberg, K.A.; Daniel, S.C.; Doshi, A.H.; Lawson, W.; Som, P.M. CT of Anatomic Variants of the Paranasal Sinuses and Nasal Cavity: Poor Correlation With Radiologically Significant Rhinosinusitis but Importance in Surgical Planning. AJR Am. J. Roentgenol. 2015, 204, 1255–1260. [Google Scholar] [CrossRef]
- Al-Qudah, M. The relationship between anatomical variations of the sino-nasal region and chronic sinusitis extension in children. Int. J. Pediatr. Otorhinolaryngol. 2008, 72, 817–821. [Google Scholar] [CrossRef]
- Comer, B.T.; Kincaid, N.W.; Smith, N.J.; Wallace, J.H.; Kountakis, S.E. Frontal sinus septations predict the presence of supraorbital ethmoid cells. Laryngoscope 2013, 123, 2090–2093. [Google Scholar] [CrossRef]
- Smith, K.D.; Edwards, P.C.; Saini, T.S.; Norton, N.S. The prevalence of concha bullosa and nasal septal deviation and their relationship to maxillary sinusitis by volumetric tomography. Int. J. Dent. 2010, 2010, 404982. [Google Scholar] [CrossRef]
- Cohen, O.; Adi, M.; Shapira-Galitz, Y.; Halperin, D.; Warman, M. Anatomic variations of the paranasal sinuses in the general pediatric population. Rhinology 2019, 57, 206–212. [Google Scholar] [CrossRef]
- Yamakawa, K.; Nishijima, H.; Koizumi, M.; Kondo, K. Assessing volume growth of paranasal sinuses and nasal cavity in children using three-dimensional imaging software. Auris Nasus Larynx 2024, 51, 917–921. [Google Scholar] [CrossRef] [PubMed]
- von Elm, E.; Altman, D.G.; Egger, M.; Pocock, S.J.; Gøtzsche, P.C.; Vandenbroucke, J.P.; STROBE Initiative. The Strengthening the Reporting of Observational Studies in Epidemiology (STROBE) statement: Guidelines for reporting observational studies. J. Clin. Epidemiol. 2008, 61, 344–349. [Google Scholar] [CrossRef] [PubMed]
- Lee, S.; Fernandez, J.; Mirjalili, S.A.; Kirkpatrick, J. Pediatric paranasal sinuses-Development, growth, pathology, & functional endoscopic sinus surgery. Clin. Anat. 2022, 35, 745–761. [Google Scholar] [PubMed]
- Değermenci, M.; Ertekin, T.; Ülger, H.; Acer, N.; Coşkun, A. The Age-Related Development of Maxillary Sinus in Children. J. Craniofac Surg. 2016, 27, e38–e44. [Google Scholar] [CrossRef]
- Park, I.H.; Song, J.S.; Choi, H.; Kim, T.H.; Hoon, S.; Lee, S.H.; Lee, H.M. Volumetric study in the development of paranasal sinuses by CT imaging in Asian: A pilot study. Int. J. Pediatr. Otorhinolaryngol. 2010, 74, 1347–1350. [Google Scholar] [CrossRef]
- Barghouth, G.; Prior, J.O.; Lepori, D.; Duvoisin, B.; Schnyder, P.; Gudinchet, F. Paranasal sinuses in children: Size evaluation of maxillary, sphenoid, and frontal sinuses by magnetic resonance imaging and proposal of volume index percentile curves. Eur. Radiol. 2002, 12, 1451–1458. [Google Scholar] [CrossRef]
- Lorkiewicz-Muszyńska, D.; Kociemba, W.; Rewekant, A.; Sroka, A.; Jończyk-Potoczna, K.; Patelska-Banaszewska, M.; Przystańska, A. Development of the maxillary sinus from birth to age 18. Postnatal growth pattern. Int. J. Pediatr. Otorhinolaryngol. 2015, 79, 1393–1400. [Google Scholar] [CrossRef]
- Lund, V.J.; Stammberger, H.; Fokkens, W.J.; Beale, T.; Brenal-Spreksen, M.; Eloy, P.; Georgalas, C.; Gerstenberger, C.; Hellings, P.; Herman, P.; et al. European position paper on the anatomical terminology of the internal nose and paranasal sinuses-a free resource. Rhinol. Suppl. 2014, 24, 1–34. [Google Scholar]
- Kim, H.J.; Jung Cho, M.; Lee, J.W.; Tae Kim, Y.; Kahng, H.; Sung Kim, H.; Hahm, K.H. The relationship between anatomic variations of paranasal sinuses and chronic sinusitis in children. Acta Otolaryngol. 2006, 126, 1067–1072. [Google Scholar]
- Gruszka, K.; Aksoy, S.; Rozylo-Kalinowska, I.; Gülbeş, M.M.; Kalinowski, P.; Orhan, K. A comparative study of paranasal sinus and nasal cavity anatomic variations between the Polish and Turkish Cypriot Population with CBCT. Head. Face Med. 2022, 18, 37. [Google Scholar] [CrossRef] [PubMed]
- Eweiss, A.Z.; Khalil, H.S. The prevalence of frontal cells and their relation to frontal sinusitis: A radiological study of the frontal recess area. ISRN Otolaryngol. 2013, 2013, 687582. [Google Scholar] [CrossRef] [PubMed]
- Ricardo, A.L.F.; Ogawa, C.M.; Gomes, J.P.P.; De Rosa, C.S.; Lopes, S.L.P.d.C.; Braz-Silva, P.H.; Orhan, K.; Costa, A.L.F. Three-Dimensional Volumetric Analysis of Frontal Ethmoidal Cells and Evaluation of Influential Factors: A Helical Computed Tomography Study. Tomography 2022, 8, 2796–2805. [Google Scholar] [CrossRef] [PubMed]
- Nouraei, S.A.; Elisay, A.R.; Dimarco, A.; Abdi, R.; Majidi, H.; Madani, S.A.; Andrews, P.J. Variations in paranasal sinus anatomy: Implications for the pathophysiology of chronic rhinosinusitis and safety of endoscopic sinus surgery. J. Otolaryngol. Head. Neck Surg. 2009, 38, 32–37. [Google Scholar]
- Borges Tanaka, L.E.; Franco, A.; Abib, R.F.; Manhães-Junior, L.R.C.; de Castro Lopes, S.L.P. Age- and sex-related changes of the volume of maxillary sinuses quantified via cone beam computed tomography. Res. Soc. Dev. 2021, 10, e312101422220. [Google Scholar] [CrossRef]
- Ozsoy, S.C.; Bahrilli, S.; Altiparmak, F.; Yilmaz, H.; Yuksel, I.B.; Arslan, M.E.; Altindag, A. Volumetric evaluation of the maxillary sinus using cone-beam computed tomography. BMC Oral Health 2025, 25, 1800. [Google Scholar] [CrossRef]
- Lee, S.; Fernandez, J.W.; Mahadevan, M.; Tarr, G.; Mirjalili, A. Using 3D-reconstruction to analyse typical growth trends of the maxillary sinus in children. Int. J. Pediatr. Otorhinolaryngol. 2020, 138, 110334. [Google Scholar] [CrossRef]
- Rennie, C.O.; Haffajee, M.R.; Satyapal, K.S. Development of the paranasal air sinuses in a South African population utilising three dimensional (3D) reconstructed models. Eur. J. Anat. 2017, 21, 197–209. [Google Scholar]
- Adibelli, Z.H.; Songu, M.; Adibelli, H. Paranasal sinus development in children: A magnetic resonance imaging analysis. Am. J. Rhinol. Allergy 2011, 25, 30–35. [Google Scholar] [CrossRef]
- Karakas, S.; Kavakli, A. Morphometric examination of the paranasal sinuses and mastoid air cells using computed tomography. Ann. Saudi Med. 2005, 25, 41–45. [Google Scholar] [CrossRef]
- Tuang, G.J.; Zahedi, F.D.; Husain, S.; Hamizan, A.K.W.; Kew, T.Y.; Thanabalan, J. Volumetric evaluation of the sphenoid sinus among different races in the Southeast Asian (SEA) population: A computerized tomography study. Int. J. Med. Sci. 2023, 20, 211–218. [Google Scholar] [CrossRef]








| Age Groups | Maxillary Sinus | Sphenoid Sinus | Frontal Sinus | ||||||
|---|---|---|---|---|---|---|---|---|---|
| ♂ (Mean ± SD) (cm3) | ♀ (Mean ± SD) (cm3) | Min–Max (cm3) | ♂ (Mean ± SD) (cm3) | ♀ (Mean ± SD) (cm3) | Min–Max (cm3) | ♂ (Mean ± SD) (cm3) | ♀ (Mean ± SD) (cm3) | Min–Max (cm3) | |
| 0–6 months | 0.30 ± 0.09 | 0.33 ± 0.15 | 0.13–0.60 | 0.01 ± 0.03 | 0.01 ± 0.03 | 0–0.11 | - | - | - |
| 6–12 months | 0.95 ± 0.30 | 0.67 ± 0.38 | 0.27–1.72 | 0.08 ± 0.08 | 0.05 ± 0.04 | 0–0.25 | - | - | - |
| 12–18 months | 1.33 ± 0.41 | 1.37 ± 0.34 | 0.5–2.06 | 0.09 ± 0.08 | 0.10 ± 0.10 | 0–0.31 | - | - | - |
| 18–23.99 months | 1.72 ± 0.44 | 1.64 ± 0.33 | 1.17–2.72 | 0.19 ± 0.18 | 0.16 ± 0.15 | 0–0.61 | - | - | - |
| 2–3 years | 3.20 ± 0.82 | 2.63 ± 0.77 | 1.67–4.84 | 0.22 ± 0.14 | 0.19 ± 0.11 | 0–0.52 | 0.01 ± 0.05 | - | 0–0.22 |
| 3–4 years | 5.54 ± 1.60 | 4.25 ± 1.22 | 2.61–9.09 | 0.79 ± 0.73 | 0.80 ± 0.76 | 0–2.7 | 0.16 ± 0.32 | 0.09 ± 0.13 | 0–1.4 |
| 4–5 years | 5.36 ± 1.75 | 5.27 ± 1.48 | 2.27–8.26 | 1.14 ± 0.81 | 0.95 ± 0.69 | 0–3.07 | 0.21 ± 0.25 | 0.28 ± 0.35 | 0–1.14 |
| 5–6 years | 5.90 ± 1.77 | 6.19 ± 1.49 | 3.12–9.98 | 1.13 ± 0.75 | 1.52 ± 0.95 | 0–4.49 | 0.37 ± 0.49 | 0.41 ± 0.49 | 0–2.11 |
| 6–8 years | 8.95 ± 2.32 | 7.83 ± 1.82 | 4.27–15.78 | 2.24 ± 1.25 | 2.07 ± 2.04 | 0–8.27 | 0.81 ± 0.67 | 0.63 ± 0.58 | 0–2.45 |
| 8–10 years | 10.48 ± 0.99 | 9.53 ± 1.73 | 6.44–13.57 | 2.66 ± 1.23 | 3.61 ± 1.65 | 0.32–6.34 | 1.21 ± 1.04 | 1.06 ± 0.53 | 0–4.2 |
| 10–12 years | 11.16 ± 2.85 | 10.34 ± 3.21 | 1.96–17.37 | 4.08 ± 1.66 | 3.59 ± 1.29 | 0.41–10.48 | 1.78 ± 1.32 | 2.02 ± 1.29 | 0–5.62 |
| 12–14 years | 12.92 ± 2.21 | 14.46 ± 3.09 | 10.17–20.37 | 4.41 ± 1.39 | 4.25 ± 1.31 | 0.59–7.24 | 2.99 ± 1.79 | 2.43 ± 1.26 | 0–6.7 |
| 14–16 years | 15.52 ± 5.31 | 14.52 ± 2.85 | 5.55–23.53 | 6.13 ± 1.65 | 4.91 ± 1.56 | 2.01–10.5 | 4.36 ± 1.63 | 2.51 ± 1.08 | 0–8.37 |
| Age Groups | Maxillary Sinus | Sphenoid Sinus | Frontal Sinus | |||||||||
|---|---|---|---|---|---|---|---|---|---|---|---|---|
| Right (Mean ± SD) (cm3) | Right (Min–Max) (cm3) | Left (Mean ± SD) (cm3) | Left (Min–Max) (cm3) | Right (Mean ± SD) (cm3) | Right (Min–Max) (cm3) | Left (Mean ± SD) (cm3) | Left (Min–Max) (cm3) | Right (Mean ± SD) (cm3) | Right (Min–Max) (cm3) | Left (Mean ± SD) (cm3) | Left (Min–Max) (cm3) | |
| 0–5.99 months | 0.31 ± 0.13 | 0.13–0.60 | 0.32 ± 0.14 | 0.13–0.55 | 0.01 ± 0.02 | 0–0.06 | 0.01 ± 0.02 | 0–0.11 | - | - | - | - |
| 6–11.99 months | 0.82 ± 0.42 | 0.27–1.72 | 0.79 ± 0.32 | 0.31–1.46 | 0.06 ± 0.06 | 0–0.16 | 0.07 ± 0.07 | 0–0.25 | - | - | - | - |
| 12–17.99 months | 1.33 ± 0.36 | 0.55–2.01 | 1.37 ± 0.39 | 0.5–2.06 | 0.1 ± 0.1 | 0–0.31 | 0.09 ± 0.09 | 0–0.29 | - | - | - | - |
| 18–23.99 months | 1.62 ± 0.35 | 1.17–2.42 | 1.75 ± 0.47 | 0.94–2.72 | 0.18 ± 0.18 | 0–0.58 | 0.17 ± 0.15 | 0–0.61 | - | - | - | - |
| 2–3 years | 2.92 ± 0.92 | 1.67–4.84 | 2.91 ± 0.79 | 1.72–4.62 | 0.21 ± 0.14 | 0.03–0.52 | 0.19 ± 0.13 | 0–0.38 | 0.01 ± 0.05 | 0–0.22 | - | - |
| 3–4 years | 5.03 ± 1.61 | 2.88–9.09 | 4.76 ± 1.54 | 2.61–8.75 | 0.73 ± 0.72 | 0–2.29 | 0.87 ± 0.78 | 0–2.7 | 0.06 ± 0.13 | 0–0.49 | 0.19 ± 0.39 | 0–1.4 |
| 4–5 years | 5.23 ± 1.60 | 2.30–8.07 | 5.39 ± 1.63 | 2.27–8.26 | 0.92 ± 0.77 | 0–3.07 | 1.17 ± 0.94 | 0.04–3.07 | 0.22 ± 0.31 | 0–1.09 | 0.28 ± 0.35 | 0–1.14 |
| 5–6 years | 5.96 ± 1.63 | 3.12–9.98 | 6.14 ± 1.65 | 3.57–9.76 | 1.15 ± 0.83 | 0–2.56 | 1.51 ± 1.08 | 0–4.49 | 0.29 ± 0.41 | 0–1.22 | 0.50 ± 0.64 | 0–2.11 |
| 6–8 years | 8.53 ± 2.31 | 5.07–15.78 | 8.26 ± 2.07 | 4.27–14.12 | 2.29 ± 1.96 | 0–8.27 | 2.02 ± 1.53 | 0–5.94 | 0.63 ± 0.69 | 0–2.45 | 0.81 ± 0.71 | 0–2.37 |
| 8–10 years | 10.07 ± 1.63 | 6.44–13.57 | 9.95 ± 1.47 | 7.56–13.4 | 2.89 ± 1.95 | 0.32–6.34 | 3.39 ± 1.75 | 0.5–5.96 | 1.09 ± 0.84 | 0–2.99 | 1.18 ± 0.99 | 0–4.2 |
| 10–12 years | 10.87 ± 2.80 | 6.51–17.37 | 10.63 ± 3.36 | 1.96–16.77 | 3.18 ± 1.81 | 1.04–6.82 | 4.50 ± 2.27 | 0.41–10.48 | 1.48 ± 1.26 | 0–4.46 | 2.32 ± 1.63 | 0–5.62 |
| 12–14 years | 13.53 ± 2.67 | 10.17–18.96 | 13.85 ± 3.00 | 10.19–20.37 | 4.03 ± 1.46 | 0.59–6.64 | 4.64 ± 2.01 | 1.35–7.24 | 2.76 ± 1.52 | 0.46–6.7 | 2.67 ± 1.74 | 0–6.7 |
| 14–16 years | 14.74 ± 4.18 | 7.23–22.13 | 15.32 ± 4.43 | 5.55–23.53 | 5.63 ± 2.68 | 2.01–9.88 | 5.42 ± 2.10 | 2.81–10.5 | 3.70 ± 2.01 | 1.01–8.37 | 3.18 ± 1.71 | 0–6.73 |
| Age | Agger Nasi Cell | Haller Cell | Onodi Cell | Concha Bullosa | ||||
|---|---|---|---|---|---|---|---|---|
| Groups | Unilateral-R/L, (%) Bilateral n (%) | Unilateral-R/L (%) Bilateral n (%) | Unilateral-R/L (%) Bilateral n (%) | Unilateral-R/L (%) Bilateral n(%) | ||||
| 0–5.99 months | 2/4 (30%) | 5 (25%) | 0/0 | 1 (5%) | 0/0 | 0 | 0/0 | 0 |
| 6–11.99 months | 0/4 (20%) | 6 (30%) | 1/2 (15%) | 0 | 0/0 | 0 | 2/0 (10%) | 2 (10%) |
| 12–17.99 months | 4/4 (40%) | 5 (25%) | 1/1 (10%) | 1 (5%) | 0/0 | 0 | 0/2 (10%) | 0 |
| 18–23.99 months | 3/1 (20%) | 6 (30%) | 1/2 (15%) | 3 (15%) | 0/0 | 0 | 1/1 (10%) | 1 (5%) |
| 2–3 years | 3/4 (35%) | 3 (15%) | 5/0 (25%) | 2 (10%) | 0/0 | 0 | 0/0 | 0 |
| 3–4 years | 3/2 (25%) | 8 (40%) | 1/4 (25%) | 4 (20%) | 0/0 | 0 | 2/4 (30%) | 1 (5%) |
| 4–5 years | 4/3 (35%) | 4 (20%) | 1/2 (15%) | 5 (25%) | 0/0 | 0 | 0/1 (5%) | 4 (20%) |
| 5–6 years | 1/2 (15%) | 10 (50%) | 1/1 (10%) | 3 (15%) | 0/1 (5%) | 0 | 0/0 | 2 (10%) |
| 6–8 years | 4/3 (35%) | 6 (30%) | 1/3 (20%) | 5 (25%) | 0/1 (5%) | 0 | 1/2 (15%) | 5 (25%) |
| 8–10 years | 2/2 (20%) | 6 (30%) | 2/0 (10%) | 8 (40%) | 1/2 (15%) | 2 (10%) | 0/1 (5%) | 4 (20%) |
| 10–12 years | 3/1 (20%) | 8 (40%) | 1/2 (15%) | 3 (15%) | 1/0 (5%) | 2 (10%) | 1/0 (5%) | 8 (40%) |
| 12–14 years | 0/4 (20%) | 8 (40%) | 0/4 (20%) | 5 (25%) | 1/2 (15%) | 5 (20%) | 2/4 (30%) | 4 (20%) |
| 14–16 years | 6/2 (40%) | 7 (35%) | 1/1 (10%) | 3 (15%) | 2/3 (20%) | 3 (15%) | 2/0 (10%) | 4 (20%) |
| Total | 35/36 (27.3%) | 82 (31.5%) | 16/22 (14.6%) | 43 (16.5%) | 5/9 (5.4%) | 12 (4.6%) | 11/15 (10%) | 35 (13.5%) |
| Age Range | Maxillary Sinus [Mean (Min–Max)] (cm3) | Sphenoid Sinus [Mean (Min–Max)] (cm3) | Frontal Sinus [Mean (Min–Max)] (cm3) |
|---|---|---|---|
| 0–18 months | 0.82 (<1.7) | 0.11 (<0.4) | 0.10 (<1.4) |
| 18–36 months | 2.29 (1.3–3.7) | ||
| 3–6 years | 5.42 (3.3–8) | 1.05 (0.1–2.2) | |
| 6–9 years | 9.20 (5.5–11.5) | 2.64 (0.6–4.7) | 0.92 (0.1–2.5) |
| 9–10 years | 10.38 (8.5–14) | ||
| 10–12 years | 4.56 (2.4–7.2) | 1.90 (0.7–4.1) | |
| 12–14 years | 14.35 (11–20) | 2.71 (1.2–5.5) | |
| 14–16 years | 3.44 (1.8–5.9) |
Disclaimer/Publisher’s Note: The statements, opinions and data contained in all publications are solely those of the individual author(s) and contributor(s) and not of MDPI and/or the editor(s). MDPI and/or the editor(s) disclaim responsibility for any injury to people or property resulting from any ideas, methods, instructions or products referred to in the content. |
© 2026 by the authors. Licensee MDPI, Basel, Switzerland. This article is an open access article distributed under the terms and conditions of the Creative Commons Attribution (CC BY) license.
Share and Cite
Ayaz, E.; Kavukoglu, I.; Akyel, N.G. Assessment of Paranasal Sinus Growth with 3D Volumetric Measurements and the Effect of Anatomic Variations on Sinus Volume in a Pediatric Population. Tomography 2026, 12, 15. https://doi.org/10.3390/tomography12020015
Ayaz E, Kavukoglu I, Akyel NG. Assessment of Paranasal Sinus Growth with 3D Volumetric Measurements and the Effect of Anatomic Variations on Sinus Volume in a Pediatric Population. Tomography. 2026; 12(2):15. https://doi.org/10.3390/tomography12020015
Chicago/Turabian StyleAyaz, Ercan, Irem Kavukoglu, and Nazli Gulsum Akyel. 2026. "Assessment of Paranasal Sinus Growth with 3D Volumetric Measurements and the Effect of Anatomic Variations on Sinus Volume in a Pediatric Population" Tomography 12, no. 2: 15. https://doi.org/10.3390/tomography12020015
APA StyleAyaz, E., Kavukoglu, I., & Akyel, N. G. (2026). Assessment of Paranasal Sinus Growth with 3D Volumetric Measurements and the Effect of Anatomic Variations on Sinus Volume in a Pediatric Population. Tomography, 12(2), 15. https://doi.org/10.3390/tomography12020015

