Three-Dimensional Volumetric Iodine Mapping of the Liver Segment Derived from Contrast-Enhanced Dual-Energy CT for the Assessment of Hepatic Cirrhosis
Abstract
1. Introduction
2. Materials and Methods
2.1. Study Population
2.2. CT Technique
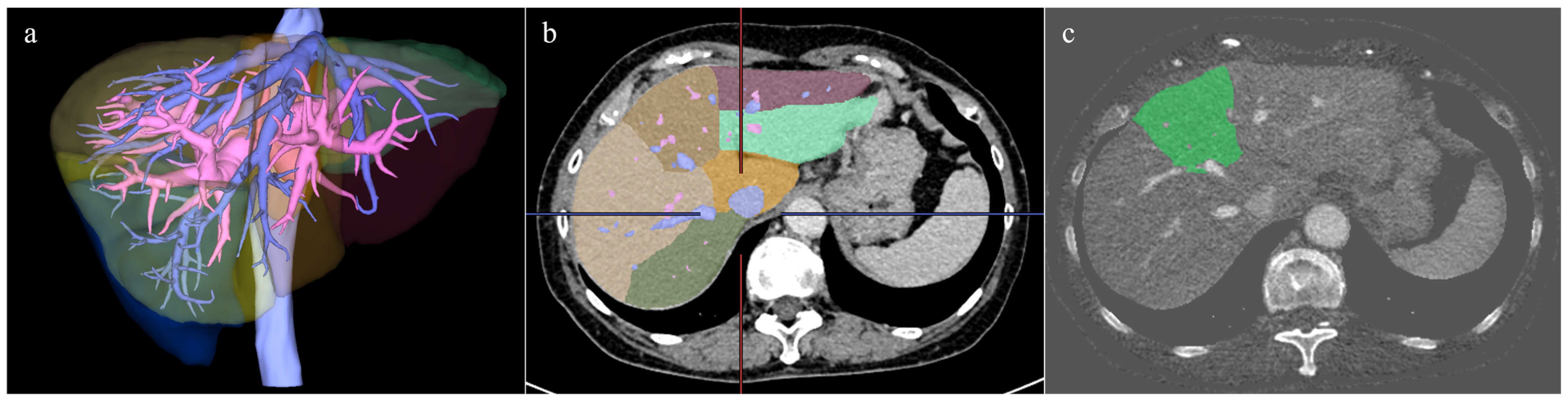
2.3. Image Analyses
2.4. Statistical Analyses
3. Results
4. Discussion
5. Conclusions
Author Contributions
Funding
Institutional Review Board Statement
Informed Consent Statement
Data Availability Statement
Conflicts of Interest
Abbreviations
| ALBI | albumin–bilirubin |
| AP | arterial phase |
| APRI | aspartate aminotransferase to platelet ratio index |
| CT | computed tomography |
| DECT | dual-energy computed tomography |
| ECV | extracellular volume |
| EP | equilibrium phase |
| FIB-4 | fibrosis-4 |
| PVP | portal venous phase |
| 3D | three-dimensional |
References
- Gines, P.; Krag, A.; Abraldes, J.G.; Sola, E.; Fabrellas, N.; Kamath, P.S. Liver cirrhosis. Lancet 2021, 398, 1359–1376. [Google Scholar] [CrossRef] [PubMed]
- Friedman, S.L. Hepatic Fibrosis: Emerging Therapies. Dig. Dis. 2015, 33, 504–507. [Google Scholar] [CrossRef] [PubMed]
- Ozaki, K.; Kozaka, K.; Kosaka, Y.; Kimura, H.; Gabata, T. Morphometric changes and imaging findings of diffuse liver disease in relation to intrahepatic hemodynamics. Jpn. J. Radiol. 2020, 38, 833–852. [Google Scholar] [CrossRef] [PubMed]
- Higaki, A.; Kanki, A.; Yamamoto, A.; Ueda, Y.; Moriya, K.; Sanai, H.; Sotozono, H.; Tamada, T. Liver cirrhosis: Relationship between fibrosis-associated hepatic morphological changes and portal hemodynamics using four-dimensional flow magnetic resonance imaging. Jpn. J. Radiol. 2023, 41, 625–636. [Google Scholar] [CrossRef] [PubMed]
- Jeon, S.K.; Joo, I.; Park, J.; Yoo, J. Automated hepatic steatosis assessment on dual-energy CT-derived virtual non-contrast images through fully-automated 3D organ segmentation. Radiol. Med. 2024, 129, 967–976. [Google Scholar] [CrossRef] [PubMed]
- Bak, S.; Kim, J.E.; Bae, K.; Cho, J.M.; Choi, H.C.; Park, M.J.; Choi, H.Y.; Shin, H.S.; Lee, S.M.; Kim, H.O. Quantification of liver extracellular volume using dual-energy CT: Utility for prediction of liver-related events in cirrhosis. Eur. Radiol. 2020, 30, 5317–5326. [Google Scholar] [CrossRef] [PubMed]
- McCollough, C.H.; Leng, S.; Yu, L.; Fletcher, J.G. Dual- and Multi-Energy CT: Principles, Technical Approaches, and Clinical Applications. Radiology 2015, 276, 637–653. [Google Scholar] [CrossRef] [PubMed]
- Sofue, K.; Tsurusaki, M.; Mileto, A.; Hyodo, T.; Sasaki, K.; Nishii, T.; Chikugo, T.; Yada, N.; Kudo, M.; Sugimura, K.; et al. Dual-energy computed tomography for non-invasive staging of liver fibrosis: Accuracy of iodine density measurements from contrast-enhanced data. Hepatol. Rrs. 2018, 48, 1008–1019. [Google Scholar] [CrossRef] [PubMed]
- Ito, K.; Mitchell, D.G. Hepatic morphologic changes in cirrhosis: MR imaging findings. Abdom. Imaging 2000, 25, 456–461. [Google Scholar] [CrossRef] [PubMed]
- Marti-Bonmati, L.; Delgado, F. MR imaging in liver cirrhosis: Classical and new approaches. Insights Imaging 2010, 1, 233–244. [Google Scholar] [CrossRef]
- Tsukuda, T.; Ito, K.; Koike, S.; Sasaki, K.; Shimizu, A.; Fujita, T.; Miyazaki, M.; Kanazawa, H.; Jo, C.; Matsunaga, N. Pre- and postprandial alterations of portal venous flow: Evaluation with single breath-hold three-dimensional half-Fourier fast spin-echo MR imaging and a selective inversion recovery tagging pulse. J. Magn. Reson. Imaging 2005, 22, 527–533. [Google Scholar] [CrossRef] [PubMed]
- Hwang, J.A.; Min, J.H.; Kang, T.W.; Jeong, W.K.; Kim, Y.K.; Ko, S.E.; Choi, S.Y. Assessment of factors affecting washout appearance of hepatocellular carcinoma on CT. Eur. Radiol. 2021, 31, 7760–7770. [Google Scholar] [CrossRef] [PubMed]
- Yoon, J.H.; Lee, J.M.; Kim, J.H.; Lee, K.B.; Kim, H.; Hong, S.K.; Yi, N.J.; Lee, K.W.; Suh, K.S. Hepatic fibrosis grading with extracellular volume fraction from iodine mapping in spectral liver CT. Eur. J. Radiol. 2021, 137, 109604. [Google Scholar] [CrossRef] [PubMed]
- Nagayama, Y.; Kato, Y.; Inoue, T.; Nakaura, T.; Oda, S.; Kidoh, M.; Ikeda, O.; Hirai, T. Liver fibrosis assessment with multiphasic dual-energy CT: Diagnostic performance of iodine uptake parameters. Eur. Radiol. 2021, 31, 5779–5790. [Google Scholar] [CrossRef] [PubMed]
- Ito, E.; Sato, K.; Yamamoto, R.; Sakamoto, K.; Urakawa, H.; Yoshimitsu, K. Usefulness of iodine-blood material density images in estimating degree of liver fibrosis by calculating extracellular volume fraction obtained from routine dual-energy liver CT protocol equilibrium phase data: Preliminary experience. Jpn. J. Radiol. 2020, 38, 365–373. [Google Scholar] [CrossRef] [PubMed]
- Morita, K.; Nishie, A.; Ushijima, Y.; Takayama, Y.; Fujita, N.; Kubo, Y.; Ishimatsu, K.; Yoshizumi, T.; Maehara, J.; Ishigami, K. Noninvasive assessment of liver fibrosis by dual-layer spectral detector CT. Eur. J. Radiol. 2021, 136, 109575. [Google Scholar] [CrossRef] [PubMed]
- Zissen, M.H.; Wang, Z.J.; Yee, J.; Aslam, R.; Monto, A.; Yeh, B.M. Contrast-enhanced CT quantification of the hepatic fractional extracellular space: Correlation with diffuse liver disease severity. AJR Am. J. Roentgenol. 2013, 201, 1204–1210. [Google Scholar] [CrossRef] [PubMed]
- Bottari, A.; Silipigni, S.; Carerj, M.L.; Cattafi, A.; Maimone, S.; Marino, M.A.; Mazziotti, S.; Pitrone, A.; Squadrito, G.; Ascenti, G. Dual-source dual-energy CT in the evaluation of hepatic fractional extracellular space in cirrhosis. Radiol. Med. 2020, 125, 7–14. [Google Scholar] [CrossRef] [PubMed]
- Bandula, S.; Punwani, S.; Rosenberg, W.M.; Jalan, R.; Hall, A.R.; Dhillon, A.; Moon, J.C.; Taylor, S.A. Equilibrium contrast-enhanced CT imaging to evaluate hepatic fibrosis: Initial validation by comparison with histopathologic sampling. Radiology 2015, 275, 136–143. [Google Scholar] [CrossRef] [PubMed]
- Chandarana, H.; Shanbhogue, K. Noninvasive Staging of Liver Fibrosis with Dual-Energy CT: Close but No Cigar. Radiology 2021, 298, 609–610. [Google Scholar] [CrossRef] [PubMed]



| Variable | All Patients (n = 66) | Cirrhosis Group (n = 34) | Non-Cirrhosis Group (n = 32) | p Value |
|---|---|---|---|---|
| Age (years) | 65.2 ± 11.6 | 65.2 ± 12.9 | 65.3 ± 10.2 | 0.662 |
| Sex * | 0.800 | |||
| Male | 34 | 17 | 17 | |
| Female | 32 | 17 | 15 | |
| AST | 46.4 ± 78.5 | 57.3 ± 91.2 | 34.8 ± 61.6 | <0.001 |
| PLT | 19.1 ± 7.9 | 14.8 ± 7.4 | 23.7 ± 5.7 | <0.001 |
| FIB-4 index | 3.2 ± 3.4 | 4.6 ± 4.2 | 1.7 ± 1.1 | <0.001 |
| ALBI score | −2.6 ± 0.5 | −2.5 ± 0.7 | −2.8 ± 0.3 | 0.359 |
| ALBI grade * | 1 = 23, 2 = 7, 3 = 4 | 1 = 24, 2 = 8, 3 = 0 | ||
| Child-Pugh * | A = 27, B = 7, C = 0 | N/A | ||
| APRI | 1.01 ± 1.61 | 1.47 ± 1.94 | 0.52 ± 0.97 | <0.001 |
| Cirrhosis Group (n = 34) | Non-Cirrhosis Group (n = 32) | p Value | |
|---|---|---|---|
| Left lateral segment | 259 ± 133 | 188 ± 49 | 0.021 |
| Left medial segment | 114 ± 43 | 137 ± 34 | 0.010 |
| Right anterior segment | 337 ± 128 | 405 ± 118 | 0.019 |
| Right posterior segment | 316 ± 122 | 305 ± 80 | 0.964 |
| AUC (95% CI) | Cutoff | Sensitivity | Specificity | |
|---|---|---|---|---|
| Left lateral segment | 0.759 (0.641–0.878) | 5.95 | 0.50 | 1.00 |
| Left medial segment | 0.764 (0.644–0.883) | 6.64 | 0.62 | 0.94 |
| Right anterior segment | 0.758 (0.639–0.878) | 6.17 | 0.56 | 0.97 |
| Right posterior segment | 0.737 (0.611–0.863) | 6.87 | 0.59 | 0.94 |
| Left Lateral Segment (LL) | Left Medial Segment (LM) | Right Anterior Segment (RA) | Right Posterior Segment (RP) | p Value | |||||||
|---|---|---|---|---|---|---|---|---|---|---|---|
| Overall | Pairwise | ||||||||||
| LL vs. LM | LL vs. RA | LL vs. RP | LM vs. RA | LM vs. RP | RA vs. RP | ||||||
| Cirrhosis group (n = 34) | 23.4 ± 5.8 | 22.4 ± 5.8 | 21.2 ± 6.0 | 21.7 ± 6.2 | <0.001 | 0.051 | <0.001 | <0.001 | 0.029 | 0.545 | 1.000 |
| Non-cirrhosis group (n = 32) | 25.1 ± 4.4 | 24.0 ± 4.6 | 22.7 ± 4.5 | 23.6 ± 4.4 | <0.001 | 0.022 | <0.001 | 0.006 | 0.001 | 1.000 | 0.006 |
| Left Lateral Segment (LL) | Left Medial Segment (LM) | Right Anterior Segment (RA) | Right Posterior Segment (RP) | p Value | |||||||
|---|---|---|---|---|---|---|---|---|---|---|---|
| Overall | Pairwise | ||||||||||
| LL vs. LM | LL vs. RA | LL vs. RP | LM vs. RA | LM vs. RP | RA vs. RP | ||||||
| Cirrhosis group (n = 34) | 17.3 ± 4.9 | 16.8 ± 4.8 | 15.0 ± 5.0 | 15.2 ± 4.9 | <0.001 | 1.000 | <0.001 | <0.001 | <0.001 | 0.001 | 0.362 |
| Non-cirrhosis group (n = 32) | 15.9 ± 2.8 | 14.8 ± 2.9 | 13.5 ± 2.8 | 14.2 ± 2.7 | <0.001 | 0.006 | <0.001 | <0.001 | <0.001 | 0.878 | 0.012 |
| Left Lateral Segment (LL) | Left Medial Segment (LM) | Right Anterior Segment (RA) | Right Posterior Segment (RP) | p Value | |||||||
|---|---|---|---|---|---|---|---|---|---|---|---|
| Overall | Pairwise | ||||||||||
| LL vs. LM | LL vs. RA | LL vs. RP | LM vs. RA | LM vs. RP | RA vs. RP | ||||||
| Cirrhosis group (n = 34) | 6.1 ± 3.6 | 5.6 ± 4.1 | 6.2 ± 3.6 | 6.5 ± 3.9 | <0.001 | 1.000 | <0.001 | 0.016 | <0.001 | 0.016 | 0.797 |
| Non-cirrhosis group (n = 32) | 9.2 ± 2.1 | 9.2 ± 2.1 | 9.2 ± 2.2 | 9.4 ± 2.2 | <0.001 | 0.121 | <0.001 | 0.001 | 0.001 | 0.728 | 0.121 |
| Left Lateral Segment (LL) | Left Medial Segment (LM) | Right Anterior Segment (RA) | Right Posterior Segment (RP) | p Value | |||||||
|---|---|---|---|---|---|---|---|---|---|---|---|
| Overall | Pairwise | ||||||||||
| LL vs. LM | LL vs. RA | LL vs. RP | LM vs. RA | LM vs. RP | RA vs. RP | ||||||
| Cirrhosis group (n = 34) | 27.1 ± 7.0 | 26.4 ± 7.6 | 23.5 ± 7.1 | 23.7 ± 6.5 | <0.001 | <0.001 | <0.001 | <0.001 | 0.446 | 0.003 | 0.545 |
| Non-cirrhosis group (n = 32) | 24.8 ± 4.9 | 23.1 ± 5.1 | 21.0 ± 4.6 | 22.1 ± 4.5 | <0.001 | <0.001 | <0.001 | 0.030 | 0.878 | 0.878 | 0.022 |
Disclaimer/Publisher’s Note: The statements, opinions and data contained in all publications are solely those of the individual author(s) and contributor(s) and not of MDPI and/or the editor(s). MDPI and/or the editor(s) disclaim responsibility for any injury to people or property resulting from any ideas, methods, instructions or products referred to in the content. |
© 2025 by the authors. Licensee MDPI, Basel, Switzerland. This article is an open access article distributed under the terms and conditions of the Creative Commons Attribution (CC BY) license (https://creativecommons.org/licenses/by/4.0/).
Share and Cite
Kawano, Y.; Tanabe, M.; Higashi, M.; Kiyoyama, H.; Kamamura, N.; Ishii, J.; Furutani, H.; Ito, K. Three-Dimensional Volumetric Iodine Mapping of the Liver Segment Derived from Contrast-Enhanced Dual-Energy CT for the Assessment of Hepatic Cirrhosis. Tomography 2025, 11, 109. https://doi.org/10.3390/tomography11100109
Kawano Y, Tanabe M, Higashi M, Kiyoyama H, Kamamura N, Ishii J, Furutani H, Ito K. Three-Dimensional Volumetric Iodine Mapping of the Liver Segment Derived from Contrast-Enhanced Dual-Energy CT for the Assessment of Hepatic Cirrhosis. Tomography. 2025; 11(10):109. https://doi.org/10.3390/tomography11100109
Chicago/Turabian StyleKawano, Yosuke, Masahiro Tanabe, Mayumi Higashi, Haruka Kiyoyama, Naohiko Kamamura, Jo Ishii, Haruki Furutani, and Katsuyoshi Ito. 2025. "Three-Dimensional Volumetric Iodine Mapping of the Liver Segment Derived from Contrast-Enhanced Dual-Energy CT for the Assessment of Hepatic Cirrhosis" Tomography 11, no. 10: 109. https://doi.org/10.3390/tomography11100109
APA StyleKawano, Y., Tanabe, M., Higashi, M., Kiyoyama, H., Kamamura, N., Ishii, J., Furutani, H., & Ito, K. (2025). Three-Dimensional Volumetric Iodine Mapping of the Liver Segment Derived from Contrast-Enhanced Dual-Energy CT for the Assessment of Hepatic Cirrhosis. Tomography, 11(10), 109. https://doi.org/10.3390/tomography11100109

