Diagnostic and Therapeutic Approach to Thoracic Outlet Syndrome
Abstract
1. Introduction
2. Clinical Presentation and Clinical Evaluation
3. Patho-Physiology
4. Imaging Techniques
4.1. Standard Radiograph
4.2. Ultrasound (US)
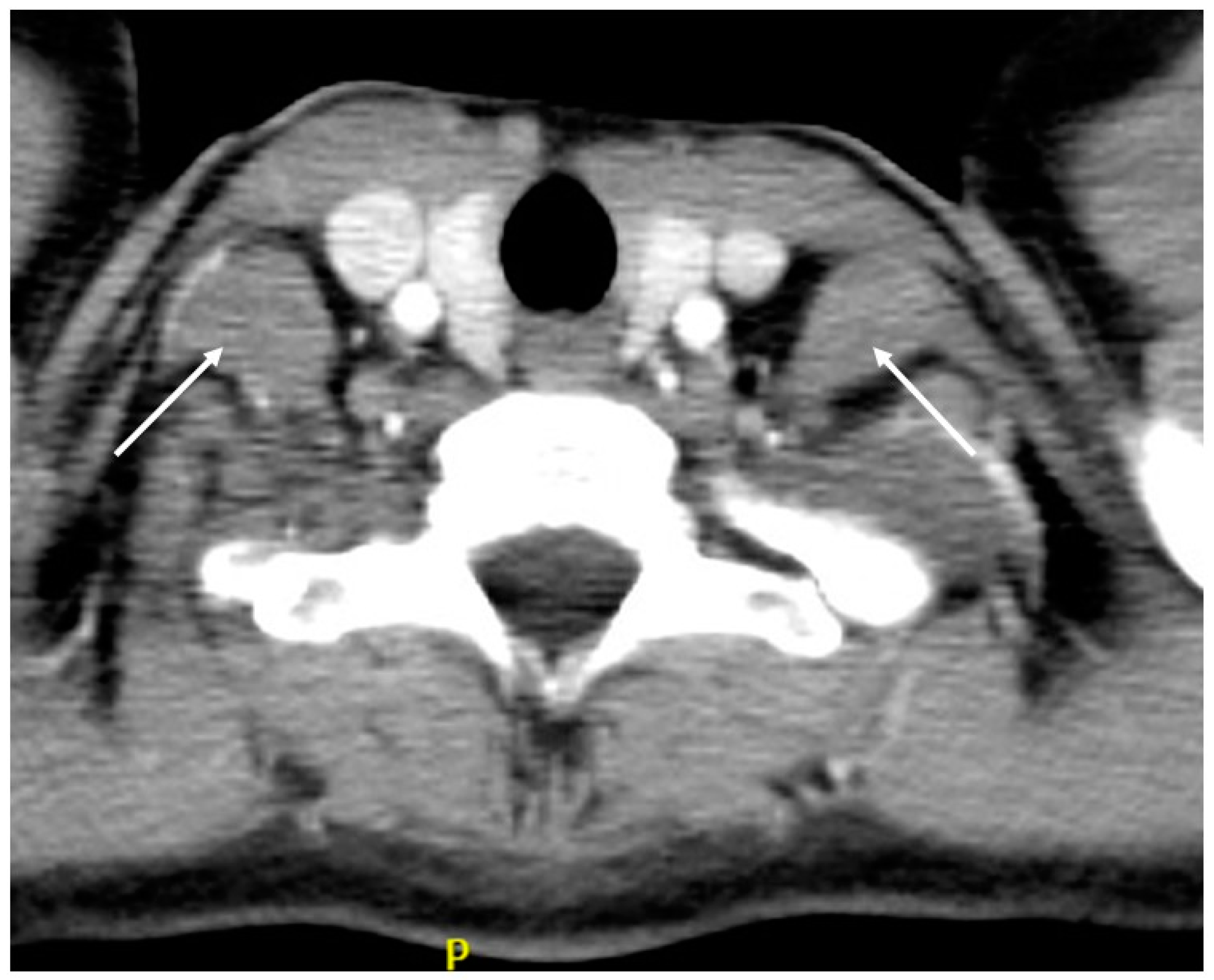
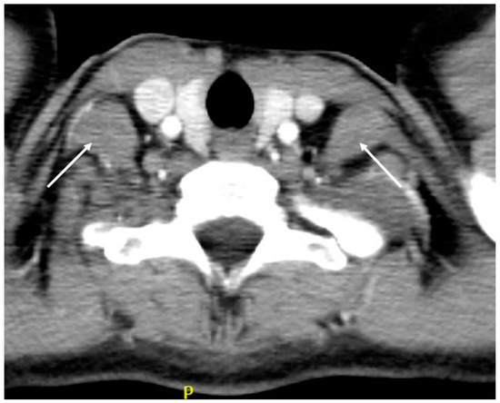
4.3. Computed Tomography (CT)
4.4. Magnetic Resonance Imaging
5. Neuro-Electric Tests
6. Therapeutic Options
6.1. Non-Surgical Approach
6.2. Surgical Approaches
6.2.1. Transaxillary Approach
6.2.2. Infraclavicular Approach
6.2.3. Paraclavicular Approach
6.2.4. Transmanubrial Approach
6.2.5. Scalenotomy
7. Conclusions
Author Contributions
Funding
Acknowledgments
Conflicts of Interest
References
- Panther, E.J.; Reintgen, C.D.; Cueto, R.J.; Hao, K.A.; Chim, H.; King, J.J. Thoracic outlet syndrome: A review. J. Shoulder Elbow Surg. 2022, 31, e545–e561. [Google Scholar] [CrossRef] [PubMed]
- Illig, K.A.; Donahue, D.; Duncan, A.; Freischlag, J.; Gelabert, H.; Johansen, K.; Jordan, S.; Sanders, R.; Thompson, R. Reporting standards of the Society for Vascular Surgery for thoracic outlet syndrome. J. Vasc. Surg. 2016, 64, e23–e35. [Google Scholar] [CrossRef] [PubMed]
- Khalilzadeh, O.; Glover, M.; Torriani, M.; Gupta, R. Imaging Assessment of Thoracic Outlet Syndrome. Thorac. Surg. Clin. 2021, 31, 19–25. [Google Scholar] [CrossRef]
- Wilbourn, A.J. 10 most commonly asked questions about thoracic outlet syndrome. Neurologist 2001, 7, 309–312. [Google Scholar] [CrossRef]
- Altuwaijri, T.A. Comparison of duplex ultrasound and hemodynamic assessment with computed tomography angiography in patients with arterial thoracic outlet syndrome. Medicine 2022, 101, e30360. [Google Scholar] [CrossRef] [PubMed]
- Turrini, A.; De Masi, C.M.; Sacco, C.; Mencarani, C.; Veronesi, V.; Staffa, G.; Capone, C. The role of computed tomography and magnetic resonance imaging in surgical planning for thoracic outlet syndrome: The experience of a single third level reference center for peripheral nerve surgery. Neurol. Res. 2023, 45, 667–675. [Google Scholar] [CrossRef] [PubMed]
- Aljabri, B.; Al-Omran, M. Surgical management of vascular thoracic outlet syndrome: A teaching hospital experience. Ann. Vasc. Dis. 2013, 6, 74–79. [Google Scholar] [CrossRef] [PubMed]
- Cavanna, A.C.; Giovanis, A.; Daley, A.; Feminella, R.; Chipman, R.; Onyeukwu, V. Thoracic outlet syndrome: A review for the primary care provider. J. Osteopath. Med. 2022, 122, 587–599. [Google Scholar] [CrossRef] [PubMed]
- Levine, N.A.; Rigby, B.R. Thoracic Outlet Syndrome: Biomechanical and Exercise Considerations. Healthcare 2018, 6, 68. [Google Scholar] [CrossRef] [PubMed]
- Povlsen, S.; Povlsen, B. Diagnosing Thoracic Outlet Syndrome: Current Approaches and Future Directions. Diagnostics 2018, 8, 21. [Google Scholar] [CrossRef] [PubMed]
- Ohman, J.W.; Thompson, R.W. Thoracic Outlet Syndrome in the Overhead Athlete: Diagnosis and Treatment Recommendations. Curr. Rev. Musculoskelet. Med. 2020, 13, 457–471. [Google Scholar] [CrossRef] [PubMed]
- Ahmed, A.S.; Lafosse, T.; Graf, A.R.; Karzon, A.L.; Gottschalk, M.B.; Wagner, E.R. Modern Treatment of Neurogenic Thoracic Outlet Syndrome: Pathoanatomy, Diagnosis, and Arthroscopic Surgical Technique. J. Hand Surg. Glob. Online. 2023, 5, 561–576. [Google Scholar] [CrossRef] [PubMed]
- Huber, F.A.; Del Grande, F.; Rizzo, S.; Guglielmi, G.; Guggenberger, R. MRI in the assessment of adipose tissues and muscle composition: How to use it. Quant. Imaging Med. Surg. 2020, 10, 1636–1649. [Google Scholar] [CrossRef] [PubMed]
- Satta, S.; Dolciami, M.; Celli, V.; Di Stadio, F.; Perniola, G.; Palaia, I.; Pernazza, A.; Della Rocca, C.; Rizzo, S.; Catalano, C.; et al. Quantitative diffusion and perfusion MRI in the evaluation of endometrial cancer: Validation with histopathological parameters. Br. J. Radiol. 2021, 94, 20210054. [Google Scholar] [CrossRef]
- Basat, H.Ç.; Özyurt, F.; Kodak, M.İ.; Özsoy, G.; Kararti, C. Cross-cultural adaptation of the Thoracic Outlet Syndrome Index for Turkish-speaking patients with thoracic outlet syndrome. Turk. J. Med. Sci. 2024, 54, 572–578. [Google Scholar] [CrossRef] [PubMed]
- Expert Panels on Vascular Imaging, Thoracic Imaging, and Neurological Imaging; Zurkiya, O.; Ganguli, S.; Kalva, S.P.; Chung, J.H.; Shah, L.M.; Majdalany, B.S.; Bykowski, J.; Carter, B.W.; Chandra, A.; et al. ACR Appropriateness Criteria® Thoracic Outlet Syndrome. J. Am. Coll. Radiol. 2020, 17, S323–S334. [Google Scholar] [CrossRef]
- Kuhn, J.E.; Lebus, G.F.V.; Bible, J.E. Thoracic Outlet Syndrome. J. Am. Acad. Orthop. Surg. 2015, 23, 222–232. [Google Scholar] [CrossRef] [PubMed]
- Martelli, E.; Enea, I.; Zamboni, M.; Federici, M.; Bracale, U.M.; Sangiorgi, G.; Martelli, A.R.; Messina, T.; Settembrini, A.M. Focus on the Most Common Paucisymptomatic Vasculopathic Population, from Diagnosis to Secondary Prevention of Complications. Diagnostics 2023, 13, 2356. [Google Scholar] [CrossRef]
- Gillard, J.; Perez-Cousin, M.; Hachulla, E.; Remy, J.; Hurtevent, J.F.; Vinckier, L.; Thévenon, A.; Duquesnoy, B. Diagnosing thoracic outlet syndrome: Contribution of provocative tests, ultrasonography, electrophysiology, and helical computed tomography in 48 patients. Jt. Bone Spine 2001, 68, 416–424. [Google Scholar] [CrossRef]
- Stapleton, C.; Herrington, L.; George, K. Sonographic evaluation of the subclavian artery during thoracic outlet syndrome shoulder manoeuvres. Man. Ther. 2009, 14, 19–27. [Google Scholar] [CrossRef]
- Stegemann, E.; Larbig, J.; Stegemann, B.; Portig, I.; Prescher, H.; Bürger, T. Validity of Ultrasound for the Diagnosis of Arterial Thoracic Outlet Syndrome. EJVES Vasc. Forum 2024, 61, 92–98. [Google Scholar] [CrossRef] [PubMed]
- Lapegue, F.; Faruch-Bilfeld, M.; Demondion, X.; Apredoaei, C.; Bayol, M.A.; Artico, H.; Chiavassa-Gandois, H.; Railhac, J.J.; Sans, N. Ultrasonography of the brachial plexus, normal appearance and practical applications. Diagn. Interv. Imaging 2014, 95, 259–275. [Google Scholar] [CrossRef] [PubMed]
- Arányi, Z.; Csillik, A.; Böhm, J.; Schelle, T. Ultrasonographic Identification of Fibromuscular Bands Associated with Neurogenic Thoracic Outlet Syndrome: The “Wedge-Sickle” Sign. Ultrasound Med. Biol. 2016, 42, 2357–2366. [Google Scholar] [CrossRef]
- Cassano, E.; Rizzo, S.; Bozzini, A.; Menna, S.; Bellomi, M. Contrast enhanced ultrasound of breast cancer. Cancer Imaging 2006, 6, 4–6. [Google Scholar] [CrossRef]
- Squires, J.H.; Fetzer, D.T.; Dillman, J.R. Practical Contrast Enhanced Liver Ultrasound. Radiol. Clin. N. Am. 2022, 60, 717–730. [Google Scholar] [CrossRef] [PubMed]
- Thakrar, D.B.; Sultan, M.J. The Role of Contrast-Enhanced Ultrasound in Managing Vascular Pathologies. J. Med. Imaging Radiat. Sci. 2019, 50, 590–595. [Google Scholar] [CrossRef] [PubMed]
- Torriani, M.; Gupta, R.; Donahue, D.M. Botulinum toxin injection in neurogenic thoracic outlet syndrome: Results and experience using a ultrasound-guided approach. Skeletal Radiol. 2010, 39, 973–980. [Google Scholar] [CrossRef]
- Illig, K.A.; Donahue, D.; Duncan, A.; Freischlag, J.; Gelabert, H.; Johansen, K.; Jordan, S.; Sanders, R.; Thompson, R. Reporting standards of the Society for Vascular Surgery for thoracic outlet syndrome: Executive summary. J. Vasc. Surg. 2016, 64, 797–802. [Google Scholar] [CrossRef]
- Raptis, C.A.; Sridhar, S.; Thompson, R.W.; Fowler, K.J.; Bhalla, S. Imaging of the Patient with Thoracic Outlet Syndrome. Radiographics 2016, 36, 984–1000. [Google Scholar] [CrossRef]
- Remy-Jardin, M.; Remy, J.; Masson, P.; Bonnel, F.; Debatselier, P.; Vinckier, L.; Duhamel, A. Helical CT angiography of thoracic outlet syndrome: Functional anatomy. AJR Am. J. Roentgenol. 2000, 174, 1667–1674. [Google Scholar] [CrossRef]
- Sadek, M.; Roger, C.; Bastide, S.; Jeannes, P.; Solecki, K.; de Jong, A.; Buzançais, G.; Elotmani, L.; Ripart, J.; Lefrant, J.Y.; et al. The Influence of Arm Positioning on Ultrasonic Visualization of the Subclavian Vein: An Anatomical Ultrasound Study in Healthy Volunteers. Anesth. Analg. 2016, 123, 129–132. [Google Scholar] [CrossRef] [PubMed]
- Ferrante, M.A. The thoracic outlet syndromes. Muscle Nerve 2012, 45, 780–795. [Google Scholar] [CrossRef] [PubMed]
- Tender, G.C.; Thomas, A.J.; Thomas, N.; Kline, D.G. Gilliatt-Sumner hand revisited: A 25-year experience. Neurosurgery 2004, 55, 883–890. [Google Scholar] [CrossRef]
- Matsubara, T.; Kurokawa, K.; Sakurai, K.; Yasutomi, H.; Yamawaki, T. The Gilliatt-Sumner hand: A diagnostic clue of neurogenic thoracic outlet syndrome. QJM 2018, 111, 831–832. [Google Scholar] [CrossRef]
- Baumer, P.; Kele, H.; Kretschmer, T.; Koenig, R.; Pedro, M.; Bendszus, M.; Pham, M. Thoracic outlet syndrome in 3T MR neurography-fibrous bands causing discernible lesions of the lower brachial plexus. Eur. Radiol. 2014, 24, 756–761. [Google Scholar] [CrossRef]
- Kim, S.W.; Jeong, J.S.; Kim, B.J.; Choe, Y.H.; Yoon, Y.C.; Sung, D.H. Clinical, electrodiagnostic and imaging features of true neurogenic thoracic outlet syndrome: Experience at a tertiary referral center. J. Neurol. Sci. 2019, 404, 115–123. [Google Scholar] [CrossRef]
- Crosby, C.A.; Wehbé, M.A. Conservative treatment for thoracic outlet syndrome. Hand Clin. 2004, 20, 43–49. [Google Scholar] [CrossRef] [PubMed]
- Vanti, C.; Natalini, L.; Romeo, A.; Tosarelli, D.; Pillastrini, P. Conservative treatment of thoracic outlet syndrome. Eura Medicophys 2007, 43, 55–70. [Google Scholar]
- Doyle, A.; Wolford, H.Y.; Davies, M.G.; Adams, J.T.; Singh, M.J.; Saad, W.E.; Waldman, D.L.; Deweese, J.A.; Illig, K.A. Management of effort thrombosis of the subclavian vein: Today’s treatment. Ann. Vasc. Surg. 2007, 21, 723–729. [Google Scholar] [CrossRef]
- Roos, D.B. Transaxillary approach for first rib resection to relieve thoracic outlet syndrome. Ann. Surg. 1966, 163, 354–358. [Google Scholar] [CrossRef]
- Illig, K.A. Surgical Techniques: Operative Decompression Using the Transaxillary Approach for VTOS. In Thoracic Outlet Syndrome; Illig, K., Thompson, R., Freischlag, J., Donahue, D., Jordan, S., Edgelow, P., Eds.; Springer: London, UK, 2013; Chapter 61; pp. 423–428 . [Google Scholar]
- Gol, G.; Patrick, D.W.; McNeel, D.P. Relief of costoclavicular syndrome by infraclavicular removal of fi rst rib. J. Neurosurg. 1968, 28, 81–84. [Google Scholar] [CrossRef] [PubMed]
- Thompson, R.W. Surgical Techniques: Operative Decompression Using the Paraclavicular Approach for VTOS. In Thoracic Outlet Syndrome; Illig, K., Thompson, R., Freischlag, J., Donahue, D., Jordan, S., Edgelow, P., Eds.; Springer: London, UK, 2013; Chapter 63; pp. 433–446. [Google Scholar]
- Grunenwald, D.; Spaggiari, L. Transmanubrial osteomuscular sparing approach for apical chest tumors. Ann. Thorac. Surg. 1997, 63, 563–566. [Google Scholar] [CrossRef] [PubMed]
- Molina, J.E. A new surgical approach to the innominateand subclavian vein. J. Vasc. Surg. 1998, 27, 576–581. [Google Scholar] [CrossRef] [PubMed]
- Petrella, F.; Rossi, L.; Gatto, A.; Segramora, V.M.; Del Bene, M.; Froio, A. Modified transmanubrial approach for complicated type 1 cervical rib resection requiring subclavian artery reconstruction. Eur. J. Cardiothorac. Surg. 2024, 65, ezae019. [Google Scholar] [CrossRef] [PubMed]
- Yoshizumi, T.; Murata, H.; Kanno, H.; Shinonaga, M. Efficacy of Supraclavicular Scalenotomy Followed by External Neurolysis without Rib Resection for Post-traumatic Neurogenic Thoracic Outlet Syndrome. Spine 2021, 46, E632–E638. [Google Scholar] [CrossRef]





Disclaimer/Publisher’s Note: The statements, opinions and data contained in all publications are solely those of the individual author(s) and contributor(s) and not of MDPI and/or the editor(s). MDPI and/or the editor(s) disclaim responsibility for any injury to people or property resulting from any ideas, methods, instructions or products referred to in the content. |
© 2024 by the authors. Licensee MDPI, Basel, Switzerland. This article is an open access article distributed under the terms and conditions of the Creative Commons Attribution (CC BY) license (https://creativecommons.org/licenses/by/4.0/).
Share and Cite
Rizzo, S.; Talei Franzesi, C.; Cara, A.; Cassina, E.M.; Libretti, L.; Pirondini, E.; Raveglia, F.; Tuoro, A.; Vaquer, S.; Degiovanni, S.; et al. Diagnostic and Therapeutic Approach to Thoracic Outlet Syndrome. Tomography 2024, 10, 1365-1378. https://doi.org/10.3390/tomography10090103
Rizzo S, Talei Franzesi C, Cara A, Cassina EM, Libretti L, Pirondini E, Raveglia F, Tuoro A, Vaquer S, Degiovanni S, et al. Diagnostic and Therapeutic Approach to Thoracic Outlet Syndrome. Tomography. 2024; 10(9):1365-1378. https://doi.org/10.3390/tomography10090103
Chicago/Turabian StyleRizzo, Stefania, Cammillo Talei Franzesi, Andrea Cara, Enrico Mario Cassina, Lidia Libretti, Emanuele Pirondini, Federico Raveglia, Antonio Tuoro, Sara Vaquer, Sara Degiovanni, and et al. 2024. "Diagnostic and Therapeutic Approach to Thoracic Outlet Syndrome" Tomography 10, no. 9: 1365-1378. https://doi.org/10.3390/tomography10090103
APA StyleRizzo, S., Talei Franzesi, C., Cara, A., Cassina, E. M., Libretti, L., Pirondini, E., Raveglia, F., Tuoro, A., Vaquer, S., Degiovanni, S., Cavalli, E. M., Marchesi, A., Froio, A., & Petrella, F. (2024). Diagnostic and Therapeutic Approach to Thoracic Outlet Syndrome. Tomography, 10(9), 1365-1378. https://doi.org/10.3390/tomography10090103

