Patterns of Signal Intensity in CISS MRI of the Inner Ear and Eye
Abstract
1. Introduction
2. Materials and Methods
2.1. Research Design and Patient Selection
2.2. Image Acquisition and Post-Processing
2.3. Statistical Analyses
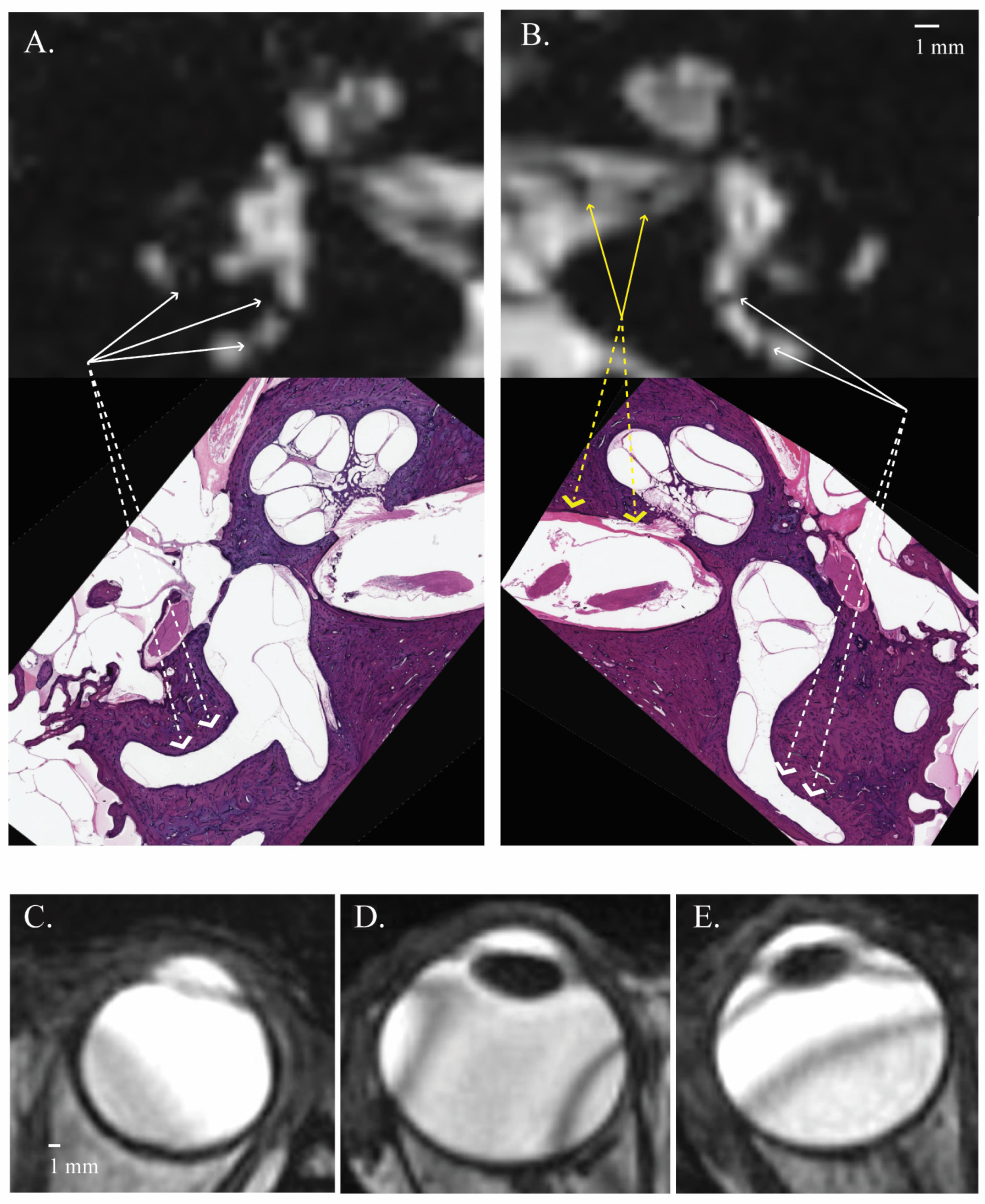
3. Results
3.1. Signal Areas in the Inner Ear
3.2. Signal Areas in the Eye
4. Discussion
Limitations
5. Conclusions
Author Contributions
Funding
Institutional Review Board Statement
Informed Consent Statement
Data Availability Statement
Conflicts of Interest
References
- Benson, J.C.; Carlson, M.L.; Lane, J.I. MRI of the Internal Auditory Canal, Labyrinth, and Middle Ear: How We Do It. Radiology 2020, 297, 252–265. [Google Scholar] [CrossRef] [PubMed]
- Lane, J.I.; Ward, H.; Witte, R.J.; Bernstein, M.A.; Driscoll, C.L.W. 3-T imaging of the cochlear nerve and labyrinth in cochlear-implant candidates: 3D fast recovery fast spin-echo versus 3D constructive interference in the steady state techniques. AJNR Am. J. Neuroradiol. 2004, 25, 618–622. [Google Scholar] [PubMed]
- Ward, B.; Mair, A.; Nagururu, N.; Bauer, M.; Büki, B. Correlation between Histopathology and Signal Loss on Spin-Echo T2-Weighted MR Images of the Inner Ear: Distinguishing Artifacts from Anatomy. Am. J. Neuroradiol. 2022, 43, 1464–1469. [Google Scholar] [CrossRef] [PubMed]
- Glarin, R.K.; Nguyen, B.N.; Cleary, J.O.; Kolbe, S.C.; Ordidge, R.J.; Bui, B.V.; McKendrick, A.M.; Moffat, B.A. MR-EYE: High-Resolution MRI of the Human Eye and Orbit at Ultrahigh Field (7T). Magn. Reson. Imaging Clin. N. Am. 2021, 29, 103–116. [Google Scholar] [CrossRef] [PubMed]
- Fanea, L.; Fagan, A.J. Review: Magnetic resonance imaging techniques in ophthalmology. Mol. Vis. 2012, 18, 2538–2560. [Google Scholar] [PubMed]
- Patz, S.; Bert, R.J.; Frederick, E.; Freddo, T.F. T1 andT2 measurements of the fine structures of the in vivo and enucleated human eye. J. Magn. Reson. Imaging 2007, 26, 510–518. [Google Scholar] [CrossRef] [PubMed]
- Rana, K.; Juniat, V.; Patel, S.; Avey, G.; Lucarelli, M.J.; Selva, D. Orbital Artifacts on MRI. Ophthalmic Plast. Reconstr. Surg. 2023, 39, 328–335. [Google Scholar] [CrossRef] [PubMed]
- Lerch, J.P.; van der Kouwe, A.J.W.; Raznahan, A.; Paus, T.; Johansen-Berg, H.; Miller, K.L.; Smith, S.M.; Fischl, B.; Sotiropoulos, S.N. Studying neuroanatomy using MRI. Nat. Neurosci. 2017, 20, 314–326. [Google Scholar] [CrossRef] [PubMed]
- Giesemann, A.; Hofmann, E. Some Remarks on Imaging of the Inner Ear: Options and Limitations. Clin. Neuroradiol. 2015, 25, 197–203. [Google Scholar] [CrossRef] [PubMed]
- Wang, H.; Northrop, C.; Burgess, B.; Liberman, M.C.; Merchant, S.N. Three-dimensional virtual model of the human temporal bone: A stand-alone, downloadable teaching tool. Otol. Neurotol. 2006, 27, 452. [Google Scholar] [PubMed]
- Park, S.-H.; Wang, D.J.; Duong, T.Q. Balanced steady state free precession for arterial spin labeling MRI: Initial experience for blood flow mapping in human brain, retina, and kidney. Magn. Reson. Imaging 2013, 31, 1044–1050. [Google Scholar] [CrossRef] [PubMed]
- Benkert, T.; Ehses, P.; Blaimer, M.; Jakob, P.M.; Breuer, F.A. Dynamically phase-cycled radial balanced SSFP imaging for efficient banding removal. Magn. Reson. Med. 2014, 73, 182–194. [Google Scholar] [CrossRef] [PubMed]
- Xiang, Q.; Hoff, M.N. Banding artifact removal for bSSFP imaging with an elliptical signal model. Magn. Reson. Med. 2014, 71, 927–933. [Google Scholar] [CrossRef] [PubMed]
- Li, Z.; Chen, Y.A.; Chow, D.; Talbott, J.; Glastonbury, C.; Shah, V. Practical applications of CISS MRI in spine imaging. Eur. J. Radiol. Open 2019, 6, 231–242. [Google Scholar] [CrossRef] [PubMed]
- Björk, M.; Ingle, R.R.; Gudmundson, E.; Stoica, P.; Nishimura, D.G.; Barral, J.K. Parameter estimation approach to banding artifact reduction in balanced steady-state free precession. Magn. Reson. Med. 2014, 72, 880–892. [Google Scholar] [CrossRef] [PubMed]
- Elliott, A.M.; Bernstein, M.A.; Ward, H.A.; Lane, J.; Witte, R.J. Nonlinear averaging reconstruction method for phase-cycle SSFP. Magn. Reson. Imaging 2007, 25, 359–364. [Google Scholar] [CrossRef] [PubMed]
- Gouw, A.A.; Seewann, A.; van der Flier, W.M.; Barkhof, F.; Rozemuller, A.M.; Scheltens, P.; Geurts, J.J.G. Heterogeneity of small vessel disease: A systematic review of MRI and histopathology correlations. J. Neurol. Neurosurg. Psychiatry 2010, 82, 126–135. [Google Scholar] [CrossRef] [PubMed]
- Clarke, S.E.; Hammond, J.; Mitchell, R.; Rutt, B.K. Quantitative assessment of carotid plaque composition using multicontrast MRI and registered histology. Magn. Reson. Med. 2003, 50, 1199–1208. [Google Scholar] [CrossRef] [PubMed]
- Cho, Y.S.; Kim, J.S.; Kim, M.B.; Koh, S.M.; Lee, C.H.; Kim, Y.-K.; Kim, H.-J.; Chung, W.-H. Validation of inner ear MRI in patients with Ménière’s disease by comparing endolymphatic hydrops from histopathologic specimens. Sci. Rep. 2021, 11, 17738. [Google Scholar] [CrossRef] [PubMed]
- Quesnel, A.M.; Moonis, G.; Appel, J.; O’Malley, J.T.; McKenna, M.J.; Curtin, H.D.; Merchant, S.N. Correlation of computed tomography with histopathology in otosclerosis. Otol. Neurotol. 2013, 34, 22–28. [Google Scholar] [CrossRef] [PubMed]








| Patients (N = 30) | ||
|---|---|---|
| Age, Median ± SD | 51.1 ± 19.5 Years | |
| Sex (n) | Male | 12 (40%) |
| Female | 18 (60%) | |
| Initial diagnosis for imaging | Pituitary adenoma | 9 (30.0%) |
| Pituitary tumor | 4 (13.4%) | |
| Sellar/clival mass | 4 (13.4%) | |
| Meningioma | 2 (6.7%) | |
| Craniopharyngioma in the third ventricle | 1 (3.4%) | |
| Skull base squamous cell carcinoma | 1 (3.4%) | |
| Right-sided head and face pain | 1 (3.4%) | |
| 6th nerve paralysis, left eye ptosis, left-sided dysmetria | 1 (3.4%) | |
| 6th nerve palsy | 1 (3.4%) | |
| Trigeminal neuralgia | 1 (3.4%) | |
| Calvarial metastatic disease | 1 (3.4%) | |
| Pain behind right ear with headache and vertigo | 1 (3.4%) | |
| Skull base chondrosarcoma | 1 (3.4%) | |
| Sellar/suprasellar arachnoid cyst | 1 (3.4%) | |
| Skull base tumor | 1 (3.4%) | |
| Regions of Low Signal Intensity within the Inner Ear (n) | ||||||||||
|---|---|---|---|---|---|---|---|---|---|---|
| A | B | C | D | E | F | G | H | I | ||
| Right ear | Reader 1 | 8 | 6 | 6 | 7 | 9 | 9 | 8 | 10 | 10 |
| Reader 2 | 8 | 6 | 5 | 7 | 9 | 9 | 8 | 9 | 10 | |
| Left ear | Reader 1 | 10 | 7 | 4 | 7 | 10 | 10 | 8 | 10 | 10 |
| Reader 2 | 10 | 7 | 4 | 7 | 10 | 10 | 8 | 10 | 10 | |
| Regions of Low Signal Intensity (n) | |||||||||
|---|---|---|---|---|---|---|---|---|---|
| A | B | C | D | E | F | G | H | I | |
| Right ear | 27 (90.0%) | 21 (70.0%) | 10 (30.3%) | 22 (73.3%) | 28 (93.3%) | 29 (96.7%) | 24 (80.0%) | 29 (96.7%) | 30 (100%) |
| Left ear | 28 (93.3%) | 21 (70.0%) | 14 (46.7%) | 25 (83.3%) | 26 (86.7%) | 29 (96.7%) | 26 (86.7%) | 30 (100%) | 30 (100%) |
| Banding Artifacts of the Eye | |||
|---|---|---|---|
| Mean (SD) Number of Bands in the Eye (n) | Mean (SD) Internal Angle of the Banding Artifacts (°) | Mean (SD) Angle of Banding Artifacts in Relation to the Optic Nerve Plane (°) | |
| Right eye | * 1.47 (1.41) | * 142.60 (13.76) | 58.01 (24.66) |
| Left eye | * 1.27 (0.64) | * 148.10 (14.21) | 54.47 (24.46) |
Disclaimer/Publisher’s Note: The statements, opinions and data contained in all publications are solely those of the individual author(s) and contributor(s) and not of MDPI and/or the editor(s). MDPI and/or the editor(s) disclaim responsibility for any injury to people or property resulting from any ideas, methods, instructions or products referred to in the content. |
© 2024 by the authors. Licensee MDPI, Basel, Switzerland. This article is an open access article distributed under the terms and conditions of the Creative Commons Attribution (CC BY) license (https://creativecommons.org/licenses/by/4.0/).
Share and Cite
Mair, A.; Song, C.I.; Büki, B.; Ward, B.K. Patterns of Signal Intensity in CISS MRI of the Inner Ear and Eye. Tomography 2024, 10, 203-214. https://doi.org/10.3390/tomography10020016
Mair A, Song CI, Büki B, Ward BK. Patterns of Signal Intensity in CISS MRI of the Inner Ear and Eye. Tomography. 2024; 10(2):203-214. https://doi.org/10.3390/tomography10020016
Chicago/Turabian StyleMair, Antonia, Christopher I. Song, Bela Büki, and Bryan K. Ward. 2024. "Patterns of Signal Intensity in CISS MRI of the Inner Ear and Eye" Tomography 10, no. 2: 203-214. https://doi.org/10.3390/tomography10020016
APA StyleMair, A., Song, C. I., Büki, B., & Ward, B. K. (2024). Patterns of Signal Intensity in CISS MRI of the Inner Ear and Eye. Tomography, 10(2), 203-214. https://doi.org/10.3390/tomography10020016

