Noise Reduction in Brain CT: A Comparative Study of Deep Learning and Hybrid Iterative Reconstruction Using Multiple Parameters
Abstract
1. Introduction
2. Materials and Methods
2.1. Instruments and Imaging Parameters
2.2. Various Levels of Noise Reduction in Phantom Imaging
2.3. Various Tube Currents in Phantom Imaging
2.4. Image Noise in Patient Imaging
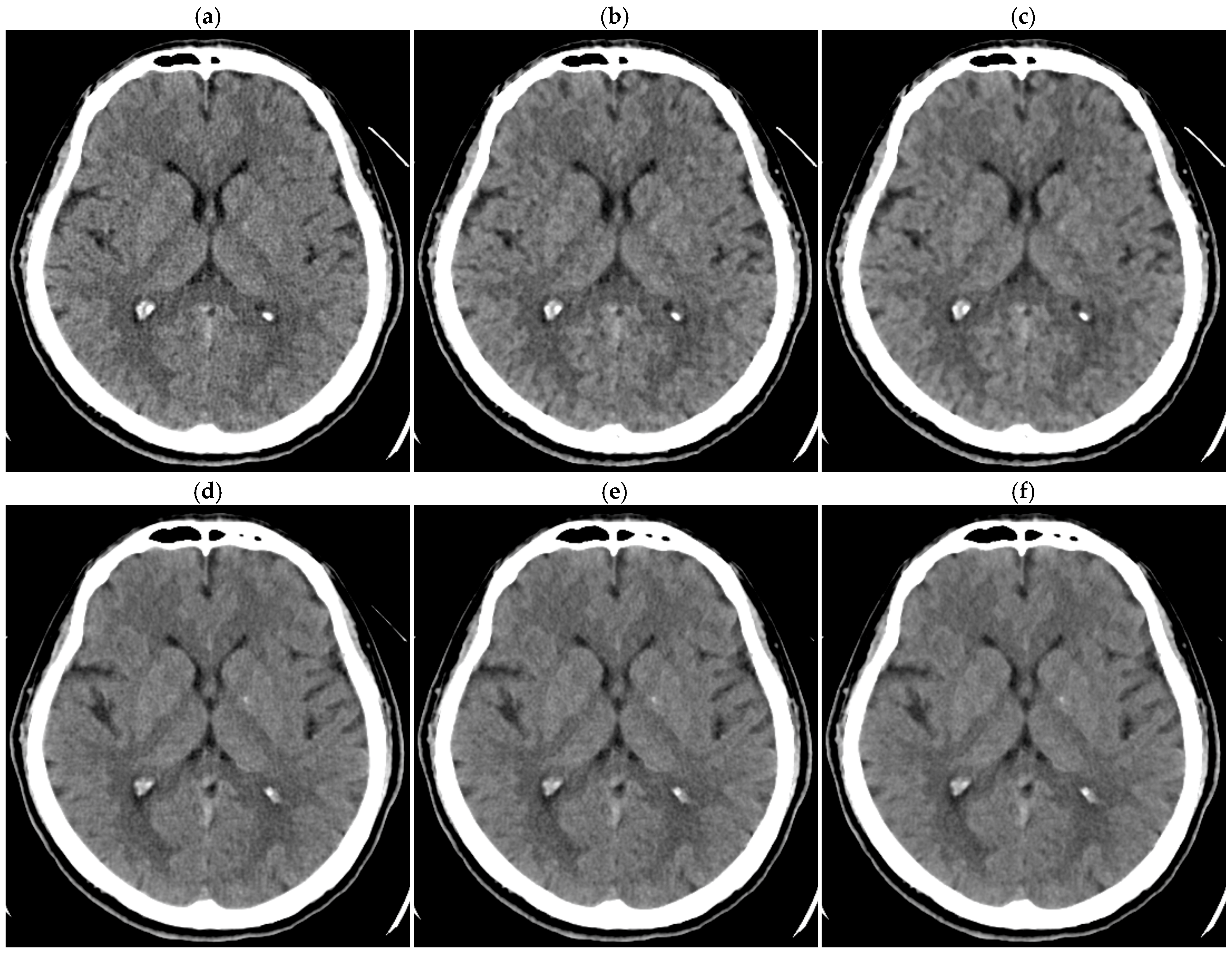
2.5. Visual Assessment of Patient Images
2.6. Statistical Analysis
3. Results
3.1. Various Levels of Noise Reduction in Phantom Imaging
3.2. Various Tube Currents in Phantom Imaging
3.3. Image Noise in Patient Imaging
3.4. Visual Assessment of Patient Images
4. Discussion
5. Conclusions
Author Contributions
Funding
Institutional Review Board Statement
Informed Consent Statement
Data Availability Statement
Conflicts of Interest
References
- Pearce, M.S.; Salotti, J.A.; Little, M.P.; McHugh, K.; Lee, C.; Kim, K.P.; Howe, N.L.; Ronckers, C.M.; Rajaraman, P.; Craft, A.W.; et al. Radiation exposure from CT scans in childhood and subsequent risk of leukaemia and brain tumours: A retrospective cohort study. Lancet 2012, 380, 499–505. [Google Scholar] [CrossRef] [PubMed]
- Mathews, J.D.; Forsythe, A.V.; Brady, Z.; Butler, M.W.; Goergen, S.K.; Byrnes, G.B.; Giles, G.G.; Wallace, A.B.; Anderson, P.R.; Guiver, T.A.; et al. Cancer risk in 680,000 people exposed to computed tomography scans in childhood or adolescence: Data linkage study of 11 million Australians. BMJ 2013, 346, f2360. [Google Scholar] [CrossRef] [PubMed]
- Meulepas, J.M.; Ronckers, C.M.; Smets, A.M.J.B.; Nievelstein, R.A.J.; Gradowska, P.; Lee, C.; Jahnen, A.; van Straten, M.; de Wit, M.Y.; Zonnenberg, B.; et al. Radiation exposure from pediatric CT scans and subsequent cancer risk in The Netherlands. J. Natl. Cancer Inst. 2019, 111, 256–263. [Google Scholar] [CrossRef]
- Hauptmann, M.; Byrnes, G.; Cardis, E.; Bernier, M.O.; Blettner, M.; Dabin, J.; Engels, H.; Istad, T.S.; Johansen, C.; Kaijser, M.; et al. Brain cancer after radiation exposure from CT examinations of children and young adults: Results from the EPI-CT cohort study. Lancet Oncol. 2023, 24, 45–53. [Google Scholar] [CrossRef]
- Kalra, M.K.; Maher, M.M.; Toth, T.L.; Schmidt, B.; Westerman, B.L.; Morgan, H.T.; Saini, S. Techniques and applications of automatic tube current modulation for CT. Radiology 2004, 233, 649–657. [Google Scholar] [CrossRef]
- Lee, C.H.; Goo, J.M.; Ye, H.J.; Ye, S.J.; Park, C.M.; Chun, E.J.; Im, J.G. Radiation dose modulation techniques in the multidetector CT era: From basics to practice. Radiographics 2008, 28, 1451–1459. [Google Scholar] [CrossRef]
- Inoue, Y. Radiation dose modulation of computed tomography component in positron emission tomography/computed tomography. Semin. Nucl. Med. 2022, 52, 157–166. [Google Scholar] [CrossRef]
- Inoue, Y.; Itoh, H.; Miyatake, H.; Hata, H.; Sasa, R.; Shiibashi, N.; Mitsui, K. Automatic exposure control attains radiation dose modulation matched with the head size in pediatric brain CT. Tomography 2022, 8, 2929–2938. [Google Scholar] [CrossRef]
- Mitsui, K.; Inoue, Y.; Itoh, H.; Hata, H.; Miyatake, H.; Yamane, T. Relationship between radiation dose indices and patient size in adult brain computed tomography. Radioprotection, 2024; in press. [Google Scholar] [CrossRef]
- Guido, G.; Polici, M.; Nacci, I.; Bozzi, F.; De Santis, D.; Ubaldi, N.; Polidori, T.; Zerunian, M.; Bracci, B.; Laghi, A.; et al. Iterative reconstruction: State-of-the-art and future perspectives. J. Comput. Assist. Tomogr. 2023, 47, 244–254. [Google Scholar] [CrossRef]
- Mileto, A.; Guimaraes, L.S.; McCollough, C.H.; Fletcher, J.G.; Yu, L. State of the Art in Abdominal CT: The limits of iterative reconstruction algorithms. Radiology 2019, 293, 491–503. [Google Scholar] [CrossRef] [PubMed]
- Geyer, L.L.; Schoepf, U.J.; Meinel, F.G.; Nance, J.W., Jr.; Bastarrika, G.; Leipsic, J.A.; Paul, N.S.; Rengo, M.; Laghi, A.; De Cecco, C.N. State of the art: Iterative CT reconstruction techniques. Radiology 2015, 276, 339–357. [Google Scholar] [CrossRef] [PubMed]
- Patino, M.; Fuentes, J.M.; Singh, S.; Hahn, P.F.; Sahani, D.V. Iterative reconstruction techniques in abdominopelvic CT: Technical concepts and clinical implementation. AJR Am. J. Roentgenol. 2015, 205, W19–W31. [Google Scholar] [CrossRef] [PubMed]
- Koetzier, L.R.; Mastrodicasa, D.; Szczykutowicz, T.P.; van der Werf, N.R.; Wang, A.S.; Sandfort, V.; van der Molen, A.J.; Fleischmann, D.; Willemink, M.J. Deep learning image reconstruction for CT: Technical principles and clinical prospects. Radiology 2023, 306, e221257. [Google Scholar] [CrossRef]
- Arndt, C.; Güttler, F.; Heinrich, A.; Bürckenmeyer, F.; Diamantis, I.; Teichgräber, U. Deep learning CT image reconstruction in clinical practice. RoFo 2021, 193, 252–261. [Google Scholar] [CrossRef]
- Mileto, A.; Zamora, D.A.; Alessio, A.M.; Pereira, C.; Liu, J.; Bhargava, P.; Carnell, J.; Cowan, S.M.; Dighe, M.K.; Gunn, M.L.; et al. CT detectability of small low-contrast hypoattenuating focal lesions: Iterative reconstructions versus filtered back projection. Radiology 2018, 289, 443–454. [Google Scholar] [CrossRef]
- Stiller, W. Basics of iterative reconstruction methods in computed tomography: A vendor-independent overview. Eur. J. Radiol. 2018, 109, 147–154. [Google Scholar] [CrossRef]
- Morsbach, F.; Desbiolles, L.; Raupach, R.; Leschka, S.; Schmidt, B.; Alkadhi, H. Noise texture deviation: A measure for quantifying artifacts in computed tomography images with iterative reconstructions. Investig. Radiol. 2017, 52, 87–94. [Google Scholar] [CrossRef]
- Shehata, M.A.; Saad, A.M.; Kamel, S.; Stanietzky, N.; Roman-Colon, A.M.; Morani, A.C.; Elsayes, K.M.; Jensen, C.T. Deep-learning CT reconstruction in clinical scans of the abdomen: A systematic review and meta-analysis. Abdom. Radiol. 2023, 48, 2724–2756. [Google Scholar] [CrossRef]
- Okimoto, N.; Yasaka, K.; Fujita, N.; Watanabe, Y.; Kanzawa, J.; Abe, O. Deep learning reconstruction for improving the visualization of acute brain infarct on computed tomography. Neuroradiology 2024, 66, 63–71. [Google Scholar] [CrossRef]
- Nagayama, Y.; Iwashita, K.; Maruyama, N.; Uetani, H.; Goto, M.; Sakabe, D.; Emoto, T.; Nakato, K.; Shigematsu, S.; Kato, Y.; et al. Deep learning-based reconstruction can improve the image quality of low radiation dose head CT. Eur. Radiol. 2023, 33, 3253–3265. [Google Scholar] [CrossRef] [PubMed]
- Cozzi, A.; Cè, M.; De Padova, G.; Libri, D.; Caldarelli, N.; Zucconi, F.; Oliva, G.; Cellina, M. Deep learning-based versus iterative image reconstruction for unenhanced brain CT: A quantitative comparison of image quality. Tomography 2023, 9, 1629–1637. [Google Scholar] [CrossRef] [PubMed]
- Pula, M.; Kucharczyk, E.; Zdanowicz, A.; Guzinski, M. Image quality improvement in deep learning image reconstruction of head computed tomography examination. Tomography 2023, 9, 1485–1493. [Google Scholar] [CrossRef] [PubMed]
- Alagic, Z.; Diaz Cardenas, J.; Halldorsson, K.; Grozman, V.; Wallgren, S.; Suzuki, C.; Helmenkamp, J.; Koskinen, S.K. Deep learning versus iterative image reconstruction algorithm for head CT in trauma. Emerg. Radiol. 2022, 29, 339–352. [Google Scholar] [CrossRef]
- Oostveen, L.J.; Meijer, F.J.A.; de Lange, F.; Smit, E.J.; Pegge, S.A.; Steens, S.C.A.; van Amerongen, M.J.; Prokop, M.; Sechopoulos, I. Deep learning-based reconstruction may improve non-contrast cerebral CT imaging compared to other current reconstruction algorithms. Eur. Radiol. 2021, 31, 5498–5506. [Google Scholar] [CrossRef]
- Sun, J.; Li, H.; Wang, B.; Li, J.; Li, M.; Zhou, Z.; Peng, Y. Application of a deep learning image reconstruction (DLIR) algorithm in head CT imaging for children to improve image quality and lesion detection. BMC Med. Imaging 2021, 21, 108. [Google Scholar] [CrossRef]
- Kim, I.; Kang, H.; Yoon, H.J.; Chung, B.M.; Shin, N.Y. Deep learning-based image reconstruction for brain CT: Improved image quality compared with adaptive statistical iterative reconstruction-Veo (ASIR-V). Neuroradiology 2021, 63, 905–912. [Google Scholar] [CrossRef]
- Samei, E.; Bakalyar, D.; Boedeker, K.L.; Brady, S.; Fan, J.; Leng, S.; Myers, K.J.; Popescu, L.M.; Ramirez Giraldo, J.C.; Ranallo, F.; et al. Performance evaluation of computed tomography systems: Summary of AAPM Task Group 233. Med. Phys. 2019, 46, e735–e756. [Google Scholar] [CrossRef]
- Lee, N.; Cho, H.H.; Lee, S.M.; You, S.K. Adaptation of deep learning image reconstruction for pediatric head CT: A focus on the image quality. J. Korean Soc. Radiol. 2023, 84, 240–252. [Google Scholar] [CrossRef]
- Szczykutowicz, T.P.; Nett, B.; Cherkezyan, L.; Pozniak, M.; Tang, J.; Lubner, M.G.; Hsieh, J. Protocol optimization considerations for implementing deep learning CT reconstruction. AJR Am. J. Roentgenol. 2021, 216, 1668–1677. [Google Scholar] [CrossRef]
- Gandhi, D.; Crotty, D.J.; Stevens, G.M.; Schmidt, T.G. Technical Note: Phantom study to evaluate the dose and image quality effects of a computed tomography organ-based tube current modulation technique. Med. Phys. 2015, 42, 6572–6578. [Google Scholar] [CrossRef] [PubMed]
- Dixon, M.T.; Loader, R.J.; Stevens, G.C.; Rowles, N.P. An evaluation of organ dose modulation on a GE optima CT660-computed tomography scanner. J. Appl. Clin. Med. Phys. 2016, 17, 380–391. [Google Scholar] [CrossRef] [PubMed]
- Kanda, R.; Akahane, M.; Koba, Y.; Chang, W.; Akahane, K.; Okuda, Y.; Hosono, M. Developing diagnostic reference levels in Japan. J. Radiol. 2021, 39, 307–314. [Google Scholar] [CrossRef] [PubMed]
- Oostveen, L.J.; Smit, E.J.; Dekker, H.M.; Buckens, C.F.; Pegge, S.A.H.; de Lange, F.; Sechopoulos, I.; Prokop, M. Abdominopelvic CT image quality: Evaluation of thin (0.5-mm) slices using deep learning reconstruction. AJR Am. J. Roentgenol. 2023, 220, 381–388. [Google Scholar] [CrossRef] [PubMed]
- Cao, J.; Mroueh, N.; Pisuchpen, N.; Parakh, A.; Lennartz, S.; Pierce, T.T.; Kambadakone, A.R. Can 1.25 mm thin-section images generated with deep learning image reconstruction technique replace standard-of-care 5 mm images in abdominal CT? Abdom. Radiol. 2023, 48, 3253–3264. [Google Scholar] [CrossRef]
- Wang, H.; Li, X.; Wang, T.; Li, J.; Sun, T.; Chen, L.; Cheng, Y.; Jia, X.; Niu, X.; Guo, J. The value of using a deep learning image reconstruction algorithm of thinner slice thickness to balance the image noise and spatial resolution in low-dose abdominal CT. Quant. Imaging Med. Surg. 2023, 13, 1814–1824. [Google Scholar] [CrossRef]







| Phantom | Image Noise | |||
|---|---|---|---|---|
| 5 mm | 2.5 mm | 1.25 mm | 0.625 mm | |
| Dosimetry | 3.98 | 5.60 | 7.88 | 11.25 |
| Head | 5.41 | 7.39 | 11.34 | 12.39 |
| Tube Current (mA) | Image Noise | |||||||
|---|---|---|---|---|---|---|---|---|
| Dosimetry Phantom | Head Phantom | |||||||
| 5 mm | 2.5 mm | 1.25 mm | 0.625 mm | 5 mm | 2.5 mm | 1.25 mm | 0.625 mm | |
| 10 | 23.69 | 34.59 | 47.24 | 66.52 | 31.21 | 42.18 | 56.72 | 57.83 |
| 20 | 16.12 | 23.49 | 34.10 | 47.70 | 21.27 | 28.32 | 38.51 | 39.91 |
| 40 | 11.16 | 16.10 | 23.26 | 34.45 | 15.73 | 20.73 | 28.82 | 30.19 |
| 80 | 7.73 | 11.05 | 15.82 | 23.43 | 10.71 | 14.63 | 20.81 | 21.93 |
| 160 | 5.57 | 7.82 | 11.04 | 16.32 | 7.26 | 10.10 | 15.44 | 16.98 |
| 320 | 3.98 | 5.60 | 7.88 | 11.25 | 5.41 | 7.39 | 11.34 | 12.39 |
| 640 | 2.82 | 3.89 | 5.37 | 7.78 | 3.73 | 5.12 | 7.92 | 8.78 |
| Region | Image Noise | |||
|---|---|---|---|---|
| 5 mm | 2.5 mm | 1.25 mm | 0.625 mm | |
| Lenticular Nucleus | 4.71 ± 0.29 | 6.56 ± 0.40 | 9.57 ± 0.57 | 10.41 ± 0.70 |
| Centrum Semiovale | 4.07 ± 0.16 | 5.80 ± 0.19 | 8.50 ± 0.39 | 10.47 ± 0.71 |
| Comparison | Number of Judgments | |||||||
|---|---|---|---|---|---|---|---|---|
| 5 mm | 2.5 mm | 1.25 mm | 0.625 mm | |||||
| Ob #1 | Ob #2 | Ob #1 | Ob #2 | Ob #1 | Ob #2 | Ob #1 | Ob #2 | |
| DLR-M > HIR-L | 1 | 1 | 8 b | 1 | 11 a | 11 a | 9 b | 7 b |
| DLR-M = HIR-L | 10 | 10 | 3 | 10 | 0 | 0 | 2 | 4 |
| DLR-M < HIR-L | 0 | 0 | 0 | 0 | 0 | 0 | 0 | 0 |
| DLR-M > HIR-H | 6 | 4 | 6 | 5 | 11 a | 11 a | 6 | 8 b |
| DLR-M = HIR-H | 5 | 7 | 5 | 5 | 0 | 0 | 5 | 3 |
| DLR-M < HIR-H | 0 | 0 | 0 | 1 | 0 | 0 | 0 | 0 |
| HIR-L > HIR-H | 5 | 2 | 2 | 3 | 8 b | 9 b | 0 | 7 b |
| HIR-L = HIR-H | 5 | 8 | 7 | 8 | 3 | 2 | 5 | 4 |
| HIR-L < HIR-H | 1 | 1 | 2 | 0 | 0 | 0 | 6 | 0 |
Disclaimer/Publisher’s Note: The statements, opinions and data contained in all publications are solely those of the individual author(s) and contributor(s) and not of MDPI and/or the editor(s). MDPI and/or the editor(s) disclaim responsibility for any injury to people or property resulting from any ideas, methods, instructions or products referred to in the content. |
© 2024 by the authors. Licensee MDPI, Basel, Switzerland. This article is an open access article distributed under the terms and conditions of the Creative Commons Attribution (CC BY) license (https://creativecommons.org/licenses/by/4.0/).
Share and Cite
Inoue, Y.; Itoh, H.; Hata, H.; Miyatake, H.; Mitsui, K.; Uehara, S.; Masuda, C. Noise Reduction in Brain CT: A Comparative Study of Deep Learning and Hybrid Iterative Reconstruction Using Multiple Parameters. Tomography 2024, 10, 2073-2086. https://doi.org/10.3390/tomography10120147
Inoue Y, Itoh H, Hata H, Miyatake H, Mitsui K, Uehara S, Masuda C. Noise Reduction in Brain CT: A Comparative Study of Deep Learning and Hybrid Iterative Reconstruction Using Multiple Parameters. Tomography. 2024; 10(12):2073-2086. https://doi.org/10.3390/tomography10120147
Chicago/Turabian StyleInoue, Yusuke, Hiroyasu Itoh, Hirofumi Hata, Hiroki Miyatake, Kohei Mitsui, Shunichi Uehara, and Chisaki Masuda. 2024. "Noise Reduction in Brain CT: A Comparative Study of Deep Learning and Hybrid Iterative Reconstruction Using Multiple Parameters" Tomography 10, no. 12: 2073-2086. https://doi.org/10.3390/tomography10120147
APA StyleInoue, Y., Itoh, H., Hata, H., Miyatake, H., Mitsui, K., Uehara, S., & Masuda, C. (2024). Noise Reduction in Brain CT: A Comparative Study of Deep Learning and Hybrid Iterative Reconstruction Using Multiple Parameters. Tomography, 10(12), 2073-2086. https://doi.org/10.3390/tomography10120147

