The Role of Nuclear Medicine in the Diagnostic Work-Up of Athletes: An Essential Guide for the Sports Cardiologist
Abstract
1. Introduction
2. Causes of Sudden Cardiac Death in Athletes and Potential Role of Nuclear Medicine in Their Diagnostic Work-Up
3. Nuclear Medicine Techniques
3.1. SPECT versus PET
3.2. Radiotracers
3.3. Radiation Exposures
4. Clinical Scenarios of Potential Utility of Nuclear Medicine in Current Sports Cardiology Practice
4.1. Athlete with Positive Exercise Testing and Moderate Coronary Stenosis
4.2. Athlete with Positive Exercise Testing and Myocardial Bridging
4.3. Athlete with Anomalous Origin of the Coronary Arteries with Interarterial Course
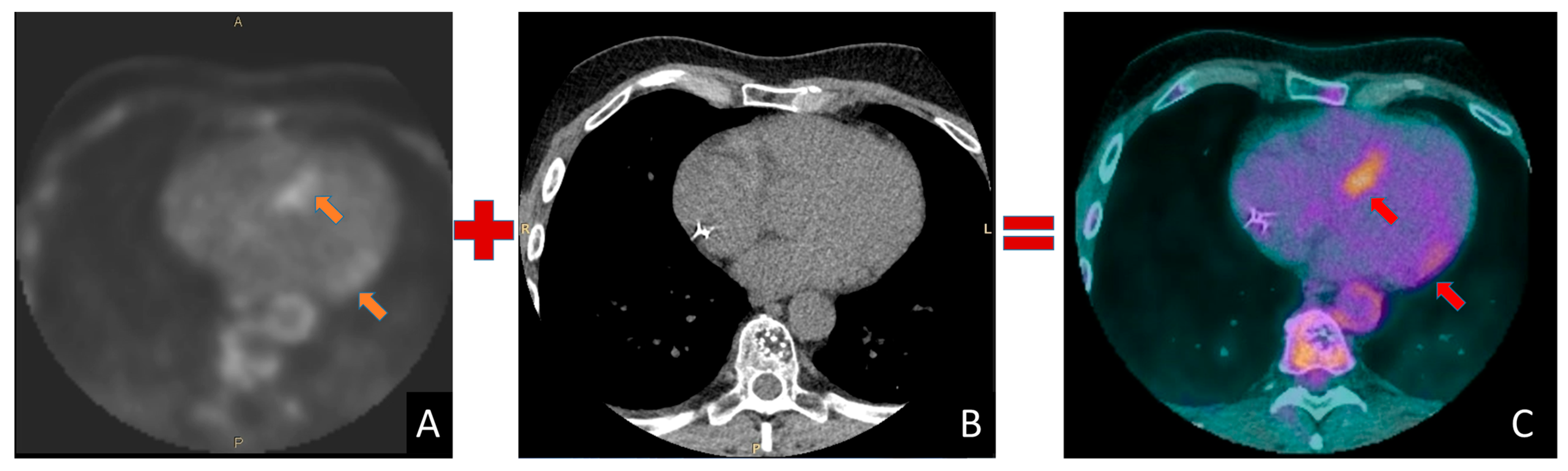
4.4. Athlete with Ventricular Arrhythmias and Late Enhancement on Cardiac MRI Suspected for Cardiac Sarcoidosis
4.5. Senior Athlete with Unexplained Myocardial Hypertrophy and Suspected Cardiac Amyloidosis
5. Future Directions and Innovative Techniques
5.1. Athlete with Distinctly Exercise-Induced Ventricular Arrhythmias
5.2. Athlete with Non-Ischemic Myocardial Scar
5.3. PET for Studying Mitochondrial Activity
6. Conclusions
Author Contributions
Funding
Institutional Review Board Statement
Informed Consent Statement
Data Availability Statement
Conflicts of Interest
References
- Corrado, D.; Basso, C.; Rizzoli, G.; Schiavon, M.; Thiene, G. Does sports activity enhance the risk of sudden death in adolescents and young adults? J. Am. Coll. Cardiol. 2003, 42, 1959–1963. [Google Scholar] [CrossRef] [PubMed]
- Corrado, D.; Zorzi, A. Sudden death in athletes. Int. J. Cardiol. 2017, 237, 67–70. [Google Scholar] [CrossRef] [PubMed]
- Graziano, F.; Juhasz, V.; Brunetti, G.; Cipriani, A.; Szabo, L.; Merkely, B.; Corrado, D.; D’ascenzi, F.; Vago, H.; Zorzi, A. May Strenuous Endurance Sports Activity Damage the Cardiovascular System of Healthy Athletes? A Narrative Review. J. Cardiovasc. Dev. Dis. 2022, 9, 347. [Google Scholar] [CrossRef] [PubMed]
- Zorzi, A.; D’Ascenzi, F.; Andreini, D.; Castelletti, S.; Casella, M.; Cavarretta, E.; Cipriani, A.; Compagnucci, P.; Delise, P.; Russo, A.D.; et al. Interpretation and management of premature ventricular beats in athletes: An expert opinion document of the Italian Society of Sports Cardiology (SICSPORT). Int. J. Cardiol. 2023, 391, 131220. [Google Scholar] [CrossRef] [PubMed]
- Palermi, S.; Cavarretta, E.; D’Ascenzi, F.; Castelletti, S.; Ricci, F.; Vecchiato, M.; Serio, A.; Cavigli, L.; Bossone, E.; Limongelli, G.; et al. Athlete’s Heart: A Cardiovascular Step-By-Step Multimodality Approach. Rev. Cardiovasc. Med. 2023, 24, 151. [Google Scholar]
- Szabo, L.; Brunetti, G.; Cipriani, A.; Juhasz, V.; Graziano, F.; Hirschberg, K.; Dohy, Z.; Balla, D.; Drobni, Z.; Marra, M.P.; et al. Certainties and Uncertainties of Cardiac Magnetic Resonance Imaging in Athletes. J. Cardiovasc. Dev. Dis. 2022, 9, 361. [Google Scholar] [CrossRef]
- Cavarretta, E.; D’Ascenzi, F.; Bianco, M.; Castelletti, S.; Cavigli, L.; Cecchi, F.; D’Andrea, A.; De Luca, A.; Di Salvo, G.; Nistri, S.; et al. The role of echocardiography in sports cardiology: An expert opinion statement of the Italian Society of Sports Cardiology (SIC sport). Int. J. Cardiol. 2024, 410, 132230. [Google Scholar] [CrossRef]
- Moliterno, E.; Rovere, G.; Giarletta, L.; Brancasi, A.; Larici, A.R.; Savino, G.; Bianco, M.; Meduri, A.; Palmieri, V.; Natale, L.; et al. The role of coronary CT angiography in athletes. Radiol. Med. 2024, 129, 1008–1024. [Google Scholar] [CrossRef]
- Powers, S.K.; Deminice, R.; Ozdemir, M.; Yoshihara, T.; Bomkamp, M.P.; Hyatt, H. Exercise-induced oxidative stress: Friend or foe? J. Sport Health Sci. 2020, 9, 415–425. [Google Scholar] [CrossRef]
- Adameova, A.; Shah, A.K.; Dhalla, N.S. Role of Oxidative Stress in the Genesis of Ventricular Arrhythmias. Int. J. Mol. Sci. 2020, 21, 4200. [Google Scholar] [CrossRef]
- Dhalla, N.S.; Adameova, A.; Kaur, M. Role of catecholamine oxidation in sudden cardiac death. Fundam. Clin. Pharmacol. 2010, 24, 539–546. [Google Scholar] [CrossRef]
- Ferreira, M.J.; Cerqueira, M.D. Clinical Applications of Nuclear Cardiology. In Clinical Nuclear Medicine; Ahmadzadehfar, H., Biersack, H.J., Freeman, L., Zuckier, L., Eds.; Springer: Berlin/Heidelberg, Germany, 2020. [Google Scholar]
- Cullen, A.; O’Connell, M. Tutorial 14: Introduction to Nuclear Medicine. In Tutorials in Diagnostic Radiology for Medical Students; Redmond, C., Lee, M., Eds.; Springer: Berlin/Heidelberg, Germany, 2020. [Google Scholar]
- Dilsizian, V.; Bacharach, S.L. Cardiac SPECT Imaging; Springer: Berlin/Heidelberg, Germany, 2021. [Google Scholar]
- Das, B.K. Positron Emission Tomography: An Overview. In Positron Emission Tomography; Das, B., Ed.; Springer: Berlin/Heidelberg, Germany, 2015. [Google Scholar]
- Henzlova, M.J.; Cerqueira, M.D.; Mahmarian, J.J.; Yao, S.S. ASNC imaging guidelines for nuclear cardiology procedures: Stress protocols and tracers. J. Nucl. Cardiol. 2016, 23, 606–639. [Google Scholar] [CrossRef] [PubMed]
- Campi, C.; Briani, C.; Salvalaggio, A.; Giraudo, C.; Cipriani, A.; Zorzi, A.; Zucchetta, P.; Vettor, R.; Cecchin, D. Semi-Quantification of Myocardial Uptake of Bone-Seeking Agents in Suspected Cardiac Amyloidosis. J. Cardiovasc. Dev. Dis. 2023, 10, 184. [Google Scholar] [CrossRef]
- Ritchie, J.L.; Trobaugh, G.B.; Hamilton, G.W.; Gould, K.L.; Naraharn, K.A.; Williams, D.L. Myocardial imaging with thalli-um-201 at rest and during exercise: Comparison with coronary arteriography and resting and stress electrocardiography. Circulation 1977, 56, 66–71. [Google Scholar] [CrossRef] [PubMed]
- Jacobson, A.F.; Senior, R.; Cerqueira, M.D.; Wong, N.D.; Thomas, G.S.; Lopez, V.A.; Agostini, D.; Weiland, F.; Chandna, H.; Narula, J. Myocardial iodine-123 me-ta-iodobenzylguanidine imaging and cardiac events in heart failure. J. Am. Coll. Cardiol. 2010, 55, 2212–2221. [Google Scholar] [CrossRef]
- Dahdal, J.; Jukema, R.A.; Harms, H.J.; Cramer, M.J.; Raijmakers, P.G.; Knaapen, P.; Danad, I. PET Myocardial Perfusion Imaging: Trends, Challenges, and Opportunities. J. Nucl. Cardiol. 2024, 102011. [Google Scholar] [CrossRef] [PubMed]
- Gimelli, A.; Achenbach, S.; Buechel, R.R.; Edvardsen, T.; Francone, M.; Gaemperli, O.; Hacker, M.; Hyafil, F.; Kaufmann, P.A.; Lancellotti, P.; et al. Strategies for radiation dose reduction in nuclear cardiology and cardiac computed tomography imaging: A report from the European Association of Cardiovascular Imaging (EACVI), the Cardiovascular Committee of European Association of Nuclear Medicine (EANM), and the European Society of Cardiovascular Radiology (ESCR). Eur. Heart J. 2018, 39, 286–296. [Google Scholar]
- Dillon, H.T.; Dausin, C.; Claessen, G.; Lindqvist, A.; Mitchell, A.; Wright, L.; Willems, R.; La Gerche, A.; Howden, E.J. The effect of posture on maximal oxygen uptake in active healthy individuals. Eur. J. Appl. Physiol. 2021, 121, 1487–1498. [Google Scholar] [CrossRef] [PubMed]
- Graziano, F.; Bondarev, S.; Corrado, D.; Zorzi, A. The Challenges of Screening Master Athletes. Cardiology 2024, 4, 1–4. [Google Scholar] [CrossRef]
- Safonicheva, O.; Kryuchkova, K.; Lazareva, I.; Chekulaev, P.; Ovchinnikova, M.; Kurshev, V.; Budanova, E.; Gameeva, V.; Gavrilov, V.; Epishev, V.; et al. Study of Morpho-Functional Characteristics of the Cardiovascular System According to Electrocardiography, Phonocardiography, Echocardiography in Masters Athletics. Clin. Interv. Aging 2023, 18, 2079–2092. [Google Scholar] [CrossRef]
- Merghani, A.; Maestrini, V.; Rosmini, S.; Cox, A.T.; Dhutia, H.; Bastiaenan, R.; David, S.; Yeo, T.J.; Narain, R.; Malhotra, A.; et al. Prevalence of Subclinical Coronary Artery Disease in Masters Endurance Athletes with a Low Atherosclerotic Risk Profile. Circulation 2017, 136, 126–137. [Google Scholar] [CrossRef]
- De Bosscher, R.; Dausin, C.; Claus, P.; Bogaert, J.; Dymarkowski, S.; Goetschalckx, K.; Ghekiere, O.; Van De Heyning, C.M.; Van Herck, P.; Paelinck, B.; et al. Lifelong endurance exercise and its relation with coronary atherosclerosis. Eur. Heart J. 2023, 44, 2388–2399. [Google Scholar] [CrossRef] [PubMed]
- Aengevaeren, V.L.; Claessen, G.; Eijsvogels, T.M. Coronary atherosclerosis in athletes: Recent insights and clinical considera-tions. Br. J. Sports Med. 2024, 58, 574–576. [Google Scholar] [CrossRef] [PubMed]
- Morrison, B.N.; McKinney, J.; Isserow, S.; Lithwick, D.; Taunton, J.; Nazzari, H.; De Souza, A.M.; Heilbron, B.; Cater, C.; MacDonald, M.; et al. Assessment of cardiovascular risk and preparticipation screening protocols in masters athletes: The Masters Athlete Screening Study (MASS): A cross-sectional study. BMJ Open Sport. Exerc. Med. 2018, 4, e000370. [Google Scholar] [CrossRef] [PubMed]
- Elizabeth, H.D.; Borjesson, M. Stable Coronary Artery Disease in the Masters Athlete: Comparison between European and American Guidelines and the Importance of Shared Decision Making. American College of Cardiology. 2020. Available online: https://www.acc.org/latest-in-cardiology/articles/2020/12/11/13/08/stable-coronary-artery-disease-in-the-masters-athlete (accessed on 1 August 2024).
- Knuuti, J.; Ballo, H.; Juarez-Orozco, L.E.; Saraste, A.; Kolh, P.; Rutjes, A.W.S.; Jüni, P.; Windecker, S.; Bax, J.J.; Wijns, W. The performance of non-invasive tests to rule-in and rule-out significant coronary artery stenosis in patients with stable angina: A meta-analysis focused on post-test disease prob-ability. Eur. Heart J. 2018, 39, 3322–3330. [Google Scholar] [CrossRef]
- Vrints, C.; Andreotti, F.; Koskinas, K.C.; Rossello, X.; Adamo, M.; Ainslie, J.; Banning, A.P.; Budaj, A.; Buechel, R.R.; Chiariello, G.A.; et al. 2024 ESC Guidelines for the management of chronic coronary syndromes. Eur. Heart J. 2024, 45, 3415–3537. [Google Scholar]
- Karády, J.; Taron, J.; Kammerlander, A.A.; Hoffmann, U. Outcomes of anatomical vs. functional testing for coronary artery disease: Lessons from the major trials. Herz 2020, 45, 421–430. [Google Scholar] [CrossRef] [PubMed]
- Pelliccia, A.; Sharma, S.; Gati, S.; Bäck, M.; Börjesson, M.; Caselli, S.; Collet, J.P.; Corrado, D.; Drezner, J.A.; Halle, M.; et al. 2020 ESC Guidelines on sports cardiology and exercise in patients with cardiovascular disease. Eur. Heart J. 2021, 42, 17–96. [Google Scholar] [CrossRef]
- Tarantini, G.; Migliore, F.; Cademartiri, F.; Fraccaro, C.; Iliceto, S. Left Anterior Descending Artery Myocardial Bridging: A Clinical Approach. J. Am. Coll. Cardiol. 2016, 68, 2887–2899. [Google Scholar] [CrossRef]
- Hostiuc, S.; Negoi, I.; Rusu, M.C.; Hostiuc, M. Myocardial Bridging: A Meta-Analysis of Prevalence. J. Forensic Sci. 2018, 63, 1176–1185. [Google Scholar] [CrossRef]
- Kim, S.S.; Jeong, M.H.; Kim, H.K.; Kim, M.C.; Cho, K.H.; Lee, M.G.; Ko, J.S.; Park, K.H.; Sim, D.S.; Yoon, N.S.; et al. Long-term clinical course of patients with myocardial bridging detected by coronary angiography. J. Am. Coll. Cardiol. 2010, 56, 1703–1710. [Google Scholar]
- Angelini, P.; Uribe, C. Critical update and discussion of the prevalence, nature, mechanisms of action, and treatment options in potentially serious coronary anomalies. Trends Cardiovasc. Med. 2023, 33, 518–528. [Google Scholar] [CrossRef] [PubMed]
- Baumgartner, H.; De Backer, J.; Babu-Narayan, S.V.; Budts, W.; Chessa, M.; Diller, G.-P.; Lung, B.; Kluin, J.; Lang, I.M.; Meijboom, F.; et al. 2020 ESC Guidelines for the management of adult congenital heart disease. Eur. Heart J. 2021, 42, 563–645. [Google Scholar] [CrossRef] [PubMed]
- Gräni, C.; Stark, A.W.; Rito, M.L.; Siepe, M.; Tchana, B.; Cipriani, A.; Zorzi, A.; Pergola, V.; Crea, D.; Sarris, G.; et al. First report from the European registry for anomalous aortic origin of coronary artery (EURO-AAOCA). Interdiscip. Cardiovasc. Thorac. Surg. 2024, 38, ivae074. [Google Scholar] [CrossRef]
- Adam, E.L.; Generoso, G.; Bittencourt, M.S. Anomalous Coronary Arteries: When to Follow-up, Risk Stratify, and Plan Intervention. Curr. Cardiol. Rep. 2021, 23, 102. [Google Scholar] [CrossRef]
- Gentile, F.; Castiglione, V.; De Caterina, R. Coronary Artery Anomalies. Circulation 2021, 144, 983–996. [Google Scholar] [CrossRef]
- Vangorsel, B.; Voskuil, M.; Ijsselmuiden, A.J.J.; Meuwissen, M. Case report: Dobutamine stress intracoronary physiology and imaging to examine the functional and dynamic properties of an apparent malignant intra-arterial right coronary artery. Eur. Heart J. Case Rep. 2021, 5, ytab296. [Google Scholar] [CrossRef] [PubMed]
- Brunetti, G.; Cipriani, A.; Perazzolo Marra, M.; De Lazzari, M.; Bauce, B.; Calore, C.; Rigato, I.; Graziano, F.; Vio, R.; Corrado, D.; et al. Role of Cardiac Magnetic Resonance Im-aging in the Evaluation of Athletes with Premature Ventricular Beats. J. Clin. Med. 2022, 11, 426. [Google Scholar] [CrossRef]
- Zorzi, A.; Marra, M.P.; Rigato, I.; De Lazzari, M.; Susana, A.; Niero, A.; Pilichou, K.; Migliore, F.; Rizzo, S.; Giorgi, B.; et al. Nonischemic Left Ventricular Scar as a Substrate of Life-Threatening Ventricular Arrhythmias and Sudden Cardiac Death in Competitive Athletes. Circ. Arrhythmia Electrophysiol. 2016, 9, e004229. [Google Scholar] [CrossRef]
- Vita, T.; Okada, D.R.; Veillet-Chowdhury, M.; Bravo, P.E.; Mullins, E.; Hulten, E.; Agrawal, M.; Madan, R.; Taqueti, V.R.; Steigner, M.; et al. Complementary Value of Cardiac Magnetic Resonance Imaging and Positron Emission Tomography/Computed Tomography in the Assessment of Cardiac Sarcoidosis. Circ. Cardiovasc. Imaging 2018, 11, e007030. [Google Scholar] [CrossRef]
- Ueberham, L.; Hagendorff, A.; Klingel, K.; Paetsch, I.; Jahnke, C.; Kluge, T.; Ebbinghaus, H.; Hindricks, G.; Laufs, U.; Dinov, B. Pathophysiological Gaps, Diagnostic Challenges, and Uncertainties in Cardiac Sarcoidosis. J. Am. Heart Assoc. 2023, 12, e027971. [Google Scholar] [CrossRef]
- Madiraju, A.; Bhattaru, A.; Pham, T.; Pundyavana, A.; Rojulpote, K.V.; Raynor, W.Y.; Werner, T.J.; Alavi, A. Current uses and understanding of PET imaging in cardiac sarcoidosis. Am. J. Nucl. Med. Mol. Imaging 2024, 14, 161–174. [Google Scholar] [CrossRef] [PubMed]
- De Michieli, L.; Cipriani, A.; Iliceto, S.; Dispenzieri, A.; Jaffe, A.S. Cardiac Troponin in Patients With Light Chain and Trans-thyretin Cardiac Amyloidosis: JACC: CardioOncology State-of-the-Art Review. JACC CardioOncol. 2024, 6, 1–15. [Google Scholar] [CrossRef] [PubMed]
- Zorzi, A.; Pelliccia, A.; Corrado, D. Inherited cardiomyopathies and sports participation. Neth. Heart J. 2018, 26, 154–165. [Google Scholar] [CrossRef]
- Martini, N.; Sinigiani, G.; De Michieli, L.; Mussinelli, R.; Marra, M.P.; Iliceto, S.; Zorzi, A.; Perlini, S.; Corrado, D.; Cipriani, A. Electrocardiographic features and rhythm disorders in cardiac amyloidosis. Trends Cardiovasc. Med. 2024, 34, 257–264. [Google Scholar] [CrossRef] [PubMed]
- Pelliccia, A.; Drezner, J.A.; Zorzi, A.; Corrado, D. Prevalence and clinical significance of low QRS voltages in healthy individuals, athletes, and patients with cardiomyopathy: Implications for sports pre-participation cardiovascular screening. Eur. J. Prev. Cardiol. 2024, 31, 1106–1114. [Google Scholar] [CrossRef] [PubMed]
- Saad, J.M.; Al-Mallah, M.H. Nuclear imaging techniques for cardiac amyloidosis. Curr. Opin. Cardiol. 2024, 39, 389–394. [Google Scholar] [CrossRef]
- Bandyopadhyay, D.; Gerard, P.; Jain, D. Significance of 123I-mIBG SPECT cardiac imaging in heart failure. J. Nucl. Cardiol. 2022, 29, 1810–1812. [Google Scholar] [CrossRef]
- Corrado, D.; Graziano, F.; Zorzi, A. Commentary—Neurogenic mechanisms in arrhythmogenic cardiomyopathy. Int. J. Cardiol. 2024, 404, 131976. [Google Scholar] [CrossRef]
- Tahir, E.; Starekova, J.; Muellerleile, K.; von Stritzky, A.; Münch, J.; Avanesov, M.; Weinrich, J.M.; Stehning, C.; Bohnen, S.; Radunski, U.K.; et al. Myocardial Fibrosis in Competitive Triathletes Detected by Contrast-Enhanced CMR Correlates with Exercise-Induced Hypertension and Competition History. JACC Cardiovasc. Imaging 2018, 11, 1260–1270. [Google Scholar] [CrossRef]
- Settelmeier, S.; Kessler, L.; Varasteh, Z.; Mahabadi, A.A.; Michel, L.; Papathanasiou, M.; Laschinsky, C.; Rischpler, C.; Fendler, W.P.; Schlosser, T.; et al. FAPI PET Imaging Supports Clinical Decision Making in Academic Cardiology Practice: A Pictorial Imaging Vignette. JACC Cardiovasc. Imaging 2024, 17, 811–823. [Google Scholar] [CrossRef]
- Higuchi, T.; Serfling, S.E.; Leistner, D.M.; Speer, T.; Werner, R.A. FAPI-PET in Cardiovascular Disease. Semin. Nucl. Med. 2024, 54, 747–752. [Google Scholar] [CrossRef] [PubMed]
- Kessler, L.; Kupusovic, J.; Ferdinandus, J.; Hirmas, N.; Umutlu, L.; Zarrad, F.; Nader, M.; Fendler, W.P.; Totzeck, M.; Wakili, R.; et al. Visualization of Fibroblast Activation after Myocardial Infarction using 68Ga-FAPI PET. Clin. Nucl. Med. 2021, 46, 807–813. [Google Scholar] [CrossRef] [PubMed]
- Saad, J.M.; Al-Mallah, M.H. Nuclear myocardial perfusion imaging using thallium-201 with a novel multifocal collimator SPECT/CT: IQ-SPECT versus conventional protocols in normal subjects. Ann. Nucl. Med. 2023, 29, 452–459. [Google Scholar]
- San-Millán, I. The Key Role of Mitochondrial Function in Health and Disease. Antioxidants 2023, 12, 782. [Google Scholar] [CrossRef]
- Ahuja, A.S. Understanding mitochondrial myopathies: A review. PeerJ 2018, 6, e4790. [Google Scholar] [CrossRef]






| Tracer | Physical Half Life | Uptake | First Pass Maximum Extraction Fraction, % |
|---|---|---|---|
| 82Rubidium | 73 s | Active, Na/K ATPase | 65 |
| 13N-Ammonia | 9.9 min | Enzimatic conversion to glutamate | 82 |
| [18F]Fluorodeoxyglucose | 110 min | GLUT transporters | NA |
| [18F]Flurpiridaz | 110 min | Passive; mitochondrial complex1 | 94 |
| 201Thallium | 73 h | Active, Na/K ATPase | 85 |
| [99mTc]sestamibi | 6 h | Passive; mitochondrial membrane potential | 55–65 |
| [99mTc]tetrofosmin | 6 h | Passive; mitochondrial membrane potential | 50–55 |
| [99mTc]pyrophosphate | 6 h | Extracellular calcium | NA |
| [123I]MIBG | 13 h | Active | NA |
Disclaimer/Publisher’s Note: The statements, opinions and data contained in all publications are solely those of the individual author(s) and contributor(s) and not of MDPI and/or the editor(s). MDPI and/or the editor(s) disclaim responsibility for any injury to people or property resulting from any ideas, methods, instructions or products referred to in the content. |
© 2024 by the authors. Licensee MDPI, Basel, Switzerland. This article is an open access article distributed under the terms and conditions of the Creative Commons Attribution (CC BY) license (https://creativecommons.org/licenses/by/4.0/).
Share and Cite
Zorzi, A.; Bondarev, S.; Graziano, F.; Cecere, A.; Giordani, A.; Turk, L.; Corrado, D.; Zucchetta, P.; Cecchin, D. The Role of Nuclear Medicine in the Diagnostic Work-Up of Athletes: An Essential Guide for the Sports Cardiologist. J. Cardiovasc. Dev. Dis. 2024, 11, 306. https://doi.org/10.3390/jcdd11100306
Zorzi A, Bondarev S, Graziano F, Cecere A, Giordani A, Turk L, Corrado D, Zucchetta P, Cecchin D. The Role of Nuclear Medicine in the Diagnostic Work-Up of Athletes: An Essential Guide for the Sports Cardiologist. Journal of Cardiovascular Development and Disease. 2024; 11(10):306. https://doi.org/10.3390/jcdd11100306
Chicago/Turabian StyleZorzi, Alessandro, Sergei Bondarev, Francesca Graziano, Annagrazia Cecere, Andrea Giordani, Luka Turk, Domenico Corrado, Pietro Zucchetta, and Diego Cecchin. 2024. "The Role of Nuclear Medicine in the Diagnostic Work-Up of Athletes: An Essential Guide for the Sports Cardiologist" Journal of Cardiovascular Development and Disease 11, no. 10: 306. https://doi.org/10.3390/jcdd11100306
APA StyleZorzi, A., Bondarev, S., Graziano, F., Cecere, A., Giordani, A., Turk, L., Corrado, D., Zucchetta, P., & Cecchin, D. (2024). The Role of Nuclear Medicine in the Diagnostic Work-Up of Athletes: An Essential Guide for the Sports Cardiologist. Journal of Cardiovascular Development and Disease, 11(10), 306. https://doi.org/10.3390/jcdd11100306

