Neural Functioning in Late-Life Depression: An Activation Likelihood Estimation Meta-Analysis
Abstract
1. Introduction
2. Methods
3. Results
4. Discussion
4.1. Cortical Areas
4.2. Limbic Areas
4.3. Striatum
4.4. Cerebellum
5. Conclusions
Author Contributions
Funding
Institutional Review Board Statement
Informed Consent Statement
Data Availability Statement
Conflicts of Interest
References
- Nebes, R.D.; Pollock, B.G.; Houck, P.R.; Butters, M.A.; Mulsant, B.H.; Zmuda, M.D.; Reynolds, C.F. Persistence of Cognitive Impairment in Geriatric Patients Following Antidepressant Treatment: A Randomized, Double-Blind Clinical Trial with Nortriptyline and Paroxetine. J. Psychiatr. Res. 2003, 37, 99–108. [Google Scholar] [CrossRef]
- O’Brien, J.T.; Lloyd, A.; McKeith, I.; Gholkar, A.; Ferrier, N. A Longitudinal Study of Hippocampal Volume, Cortisol Levels, and Cognition in Older Depressed Subjects. Am. J. Psychiatry 2004, 161, 2081–2090. [Google Scholar] [CrossRef]
- Jeuring, H.W.; Stek, M.L.; Huisman, M.; Oude Voshaar, R.C.; Naarding, P.; Collard, R.M.; van der Mast, R.C.; Kok, R.M.; Beekman, A.T.F.; Comijs, H.C. A Six-Year Prospective Study of the Prognosis and Predictors in Patients with Late-Life Depression. Am. J. Geriatr. Psychiatry Off. J. Am. Assoc. Geriatr. Psychiatry 2018, 26, 985–997. [Google Scholar] [CrossRef]
- Riedel-Heller, S.G.; Luppa, M. Depression in late life—What does epidemiology add? Psychiatr. Prax. 2013, 40, 173–175. [Google Scholar] [CrossRef]
- Grayson, L.; Thomas, A. A systematic review comparing clinical features in early age at onset and late age at onset late-life depression. J. Aff. Disord. 2013, 150, 161–170. [Google Scholar] [CrossRef]
- Szymkowicz, S.M.; Gerlach, A.R.; Homiack, D.; Taylor, W.D. Biological factors influencing depression in later life: Role of aging processes and treatment implications. Transl. Psychiatry 2023, 13, 160. [Google Scholar] [CrossRef]
- Luppa, M.; König, H.-H.; Heider, D.; Leicht, H.; Motzek, T.; Schomerus, G.; Riedel-Heller, S.G. Direct Costs Associated with Depressive Symptoms in Late Life: A 4.5-Year Prospective Study. Int. Psychogeriatr. 2013, 25, 292–302. [Google Scholar] [CrossRef] [PubMed]
- da Silva, J.; Gonçalves-Pereira, M.; Xavier, M.; Mukaetova-Ladinska, E.B. Affective Disorders and Risk of Developing Dementia: Systematic Review. Br. J. Psychiatry J. Ment. Sci. 2013, 202, 177–186. [Google Scholar] [CrossRef]
- Diniz, B.S.; Butters, M.A.; Albert, S.M.; Dew, M.A.; Reynolds, C.F. Late-Life Depression and Risk of Vascular Dementia and Alzheimer’s Disease: Systematic Review and Meta-Analysis of Community-Based Cohort Studies. Br. J. Psychiatry J. Ment. Sci. 2013, 202, 329–335. [Google Scholar] [CrossRef]
- Takamiya, A.; Vande Casteele, T.; Koole, M.; De Winter, F.-L.; Bouckaert, F.; Van den Stock, J.; Sunaert, S.; Dupont, P.; Vandenberghe, R.; Van Laere, K.; et al. Lower Regional Gray Matter Volume in the Absence of Higher Cortical Amyloid Burden in Late-Life Depression. Sci. Rep. 2021, 11, 15981. [Google Scholar] [CrossRef] [PubMed]
- Alexopoulos, G.S. Depression in the Elderly. Lancet 2005, 365, 1961–1970. [Google Scholar] [CrossRef] [PubMed]
- Steffens, D.C.; Otey, E.; Alexopoulos, G.S.; Butters, M.A.; Cuthbert, B.; Ganguli, M.; Geda, Y.E.; Hendrie, H.C.; Krishnan, R.R.; Kumar, A.; et al. Perspectives on Depression, Mild Cognitive Impairment, and Cognitive Decline. Arch. Gen. Psychiatry 2006, 63, 130–138. [Google Scholar] [CrossRef] [PubMed]
- Maier, A.; Riedel-Heller, S.G.; Pabst, A.; Luppa, M. Risk Factors and Protective Factors of Depression in Older People 65+. A Systematic Review. PLoS ONE 2021, 16, e0251326. [Google Scholar] [CrossRef] [PubMed]
- Alexopoulos, G.S. Mechanisms and treatment of late-life depression. Transl. Psychiatry 2019, 9, 188. [Google Scholar] [CrossRef] [PubMed]
- Saberi, A.; Mohammadi, E.; Zarei, M.; Eickhoff, S.B.; Tahmasian, M. Structural and Functional Neuroimaging of Late-Life Depression: A Coordinate-Based Meta-Analysis. Brain Imaging Behav. 2022, 16, 518–531. [Google Scholar] [CrossRef]
- Du, M.; Liu, J.; Chen, Z.; Huang, X.; Li, J.; Kuang, W.; Yang, Y.; Zhang, W.; Zhou, D.; Bi, F.; et al. Brain Grey Matter Volume Alterations in Late-Life Depression. J. Psychiatry Neurosci. 2014, 39, 397–406. [Google Scholar] [CrossRef]
- Briceño, E.M.; Rapport, L.J.; Kassel, M.T.; Bieliauskas, L.A.; Zubieta, J.-K.; Weisenbach, S.L.; Langenecker, S.A. Age and Gender Modulate the Neural Circuitry Supporting Facial Emotion Processing in Adults with Major Depressive Disorder. Am. J. Geriatr. Psychiatry Off. J. Am. Assoc. Geriatr. Psychiatry 2015, 23, 304–313. [Google Scholar] [CrossRef][Green Version]
- Dombrovski, A.Y.; Szanto, K.; Clark, L.; Reynolds, C.F.; Siegle, G.J. Reward Signals, Attempted Suicide, and Impulsivity in Late-Life Depression. JAMA Psychiatry 2013, 70, 1. [Google Scholar] [CrossRef] [PubMed]
- Liu, F.; Hu, M.; Wang, S.; Guo, W.; Zhao, J.; Li, J.; Xun, G.; Long, Z.; Zhang, J.; Wang, Y.; et al. Abnormal Regional Spontaneous Neural Activity in First-Episode, Treatment-Naive Patients with Late-Life Depression: A Resting-State fMRI Study. Prog. Neuropsychopharmacol. Biol. Psychiatry 2012, 39, 326–331. [Google Scholar] [CrossRef]
- Smith, G.S.; Kramer, E.; Ma, Y.; Kingsley, P.; Dhawan, V.; Chaly, T.; Eidelberg, D. The Functional Neuroanatomy of Geriatric Depression. Int. J. Geriatr. Psychiatry 2009, 24, 798–808. [Google Scholar] [CrossRef]
- Yuan, Y.; Zhang, Z.; Bai, F.; Yu, H.; Shi, Y.; Qian, Y.; Liu, W.; You, J.; Zhang, X.; Liu, Z. Abnormal Neural Activity in the Patients with Remitted Geriatric Depression: A Resting-State Functional Magnetic Resonance Imaging Study. J. Affect. Disord. 2008, 111, 145–152. [Google Scholar] [CrossRef] [PubMed]
- Eickhoff, S.B.; Bzdok, D.; Laird, A.R.; Kurth, F.; Fox, P.T. Activation Likelihood Estimation Meta-Analysis Revisited. NeuroImage 2012, 59, 2349–2361. [Google Scholar] [CrossRef] [PubMed]
- Laird, A.R.; Fox, P.M.; Price, C.J.; Glahn, D.C.; Uecker, A.M.; Lancaster, J.L.; Turkeltaub, P.E.; Kochunov, P.; Fox, P.T. ALE Meta-Analysis: Controlling the False Discovery Rate and Performing Statistical Contrasts. Hum. Brain Mapp. 2005, 25, 155–164. [Google Scholar] [CrossRef]
- Turkeltaub, P.E.; Eickhoff, S.B.; Laird, A.R.; Fox, M.; Wiener, M.; Fox, P. Minimizing Within-Experiment and within-Group Effects in Activation Likelihood Estimation Meta-Analyses. Hum. Brain Mapp. 2012, 33, 1–13. [Google Scholar] [CrossRef] [PubMed]
- Page, M.J.; McKenzie, J.E.; Bossuyt, P.M.; Boutron, I.; Hoffmann, T.C.; Mulrow, C.D.; Shamseer, L.; Tetzlaff, J.M.; Akl, E.A.; Brennan, S.E.; et al. The PRISMA 2020 Statement: An Updated Guideline for Reporting Systematic Reviews. BMJ 2021, 372, n71. [Google Scholar] [CrossRef] [PubMed]
- Bobb, D.S.; Adinoff, B.; Laken, S.J.; McClintock, S.M.; Rubia, K.; Huang, H.; Husain, M.M.; Mapes, K.S.; Tamminga, C.; Cullum, C.M.; et al. Neural Correlates of Successful Response Inhibition in Unmedicated Patients with Late-Life Depression. Am. J. Geriatr. Psychiatry Off. J. Am. Assoc. Geriatr. Psychiatry 2012, 20, 1057–1069. [Google Scholar] [CrossRef]
- Brassen, S.; Kalisch, R.; Weber-Fahr, W.; Braus, D.F.; Büchel, C. Ventromedial Prefrontal Cortex Processing during Emotional Evaluation in Late-Life Depression: A Longitudinal Functional Magnetic Resonance Imaging Study. Biol. Psychiatry 2008, 64, 349–355. [Google Scholar] [CrossRef] [PubMed]
- Brendel, M.; Reinisch, V.; Kalinowski, E.; Levin, J.; Delker, A.; Därr, S.; Pogarell, O.; Förster, S.; Bartenstein, P.; Rominger, A.; et al. Hypometabolism in Brain of Cognitively Normal Patients with Depressive Symptoms Is Accompanied by Atrophy-Related Partial Volume Effects. Curr. Alzheimer Res. 2016, 13, 475–486. [Google Scholar] [CrossRef] [PubMed]
- Chen, J.; Liu, F.; Xun, G.; Chen, H.; Hu, M.; Guo, X.; Xiao, C.; Wooderson, S.C.; Guo, W.; Zhao, J. Early and Late Onset, First-Episode, Treatment-Naive Depression: Same Clinical Symptoms, Different Regional Neural Activities. J. Affect. Disord. 2012, 143, 56–63. [Google Scholar] [CrossRef]
- Guo, W.; Liu, F.; Xun, G.; Hu, M.; Guo, X.; Xiao, C.; Chen, H.; Wooderson, S.C.; Chen, J.; Zhao, J. Reversal Alterations of Amplitude of Low-Frequency Fluctuations in Early and Late Onset, First-Episode, Drug-Naive Depression. Prog. Neuropsychopharmacol. Biol. Psychiatry 2013, 40, 153–159. [Google Scholar] [CrossRef]
- Huang, C.-M.; Fan, Y.-T.; Lee, S.-H.; Liu, H.-L.; Chen, Y.-L.; Lin, C.; Lee, T.M.C. Cognitive Reserve-Mediated Neural Modulation of Emotional Control and Regulation in People with Late-Life Depression. Soc. Cogn. Affect. Neurosci. 2019, 14, 849–860. [Google Scholar] [CrossRef]
- Lee, T.-W.; Liu, H.-L.; Wai, Y.-Y.; Ko, H.-J.; Lee, S.-H. Abnormal Neural Activity in Partially Remitted Late-Onset Depression: An fMRI Study of One-Back Working Memory Task. Psychiatry Res. 2013, 213, 133–141. [Google Scholar] [CrossRef]
- Liu, C.; Pan, W.; Zhu, D.; Mao, P.; Ren, Y.; Ma, X. Altered Intrinsic Brain Activity in Patients with Late-Life Depression: A Resting-State Functional MRI Study. Front. Psychiatry 2022, 13, 894646. [Google Scholar] [CrossRef]
- Piani, M.C.; Maggioni, E.; Delvecchio, G.; Ferro, A.; Gritti, D.; Pozzoli, S.M.; Fontana, E.; Enrico, P.; Cinnante, C.M.; Triulzi, F.M.; et al. Sexual Dimorphism in the Brain Correlates of Adult-Onset Depression: A Pilot Structural and Functional 3T MRI Study. Front. Psychiatry 2021, 12, 683912. [Google Scholar] [CrossRef]
- Rao, J.A.; Kassel, M.T.; Weldon, A.L.; Avery, E.T.; Briceno, E.M.; Mann, M.; Cornett, B.; Kales, H.C.; Zubieta, J.-K.; Welsh, R.C.; et al. The Double Burden of Age and Major Depressive Disorder on the Cognitive Control Network. Psychol. Aging 2015, 30, 475–485. [Google Scholar] [CrossRef] [PubMed]
- Respino, M.; Hoptman, M.J.; Victoria, L.W.; Alexopoulos, G.S.; Solomonov, N.; Stein, A.T.; Coluccio, M.; Morimoto, S.S.; Blau, C.J.; Abreu, L.; et al. Cognitive Control Network Homogeneity and Executive Functions in Late-Life Depression. Biol. Psychiatry Cogn. Neurosci. Neuroimaging 2020, 5, 213–221. [Google Scholar] [CrossRef] [PubMed]
- Steffens, D.C.; Wang, L.; Manning, K.J.; Pearlson, G.D. Negative Affectivity, Aging, and Depression: Results from the Neurobiology of Late-Life Depression (NBOLD) Study. Am. J. Geriatr. Psychiatry Off. J. Am. Assoc. Geriatr. Psychiatry 2017, 25, 1135–1149. [Google Scholar] [CrossRef] [PubMed]
- Takami, H.; Okamoto, Y.; Yamashita, H.; Okada, G.; Yamawaki, S. Attenuated Anterior Cingulate Activation during a Verbal Fluency Task in Elderly Patients with a History of Multiple-Episode Depression. Am. J. Geriatr. Psychiatry Off. J. Am. Assoc. Geriatr. Psychiatry 2007, 15, 594–603. [Google Scholar] [CrossRef]
- Wang, L.; Krishnan, K.R.; Steffens, D.C.; Potter, G.G.; Dolcos, F.; McCarthy, G. Depressive State- and Disease-Related Alterations in Neural Responses to Affective and Executive Challenges in Geriatric Depression. Am. J. Psychiatry 2008, 165, 863–871. [Google Scholar] [CrossRef]
- Weisenbach, S.L.; Kassel, M.T.; Rao, J.; Weldon, A.L.; Avery, E.T.; Briceno, E.M.; Ajilore, O.; Mann, M.; Kales, H.C.; Welsh, R.C.; et al. Differential Prefrontal and Subcortical Circuitry Engagement during Encoding of Semantically Related Words in Patients with Late-Life Depression. Int. J. Geriatr. Psychiatry 2014, 29, 1104–1115. [Google Scholar] [CrossRef]
- Wu, D.; Chen, T.; Huang, X.; Chen, L.; Yue, Y.; Yang, H.; Hu, X.; Gong, Q. The Role of Old Photos in Reminiscence Therapy in Elderly Women with Depressive Symptoms: A Functional Magnetic Resonance Imaging Study. Biol. Res. Nurs. 2020, 22, 234–246. [Google Scholar] [CrossRef] [PubMed]
- Anderson, T.J.; Jenkins, I.H.; Brooks, D.J.; Hawken, M.B.; Frackowiak, R.S.; Kennard, C. Cortical Control of Saccades and Fixation in Man. A PET Study. Brain J. Neurol. 1994, 117 Pt 5, 1073–1084. [Google Scholar] [CrossRef] [PubMed]
- Brown, S.; Martinez, M.J.; Parsons, L.M. Music and Language Side by Side in the Brain: A PET Study of the Generation of Melodies and Sentences. Eur. J. Neurosci. 2006, 23, 2791–2803. [Google Scholar] [CrossRef] [PubMed]
- Hall, N.M.; Gjedde, A.; Kupers, R. Neural Mechanisms of Voluntary and Involuntary Recall: A PET Study. Behav. Brain Res. 2008, 186, 261–272. [Google Scholar] [CrossRef] [PubMed]
- Pinto, M.; Pellegrino, M.; Lasaponara, S.; Scozia, G.; D’Onofrio, M.; Raffa, G.; Nigro, S.; Arnaud, C.R.; Tomaiuolo, F.; Doricchi, F. Number Space Is Made by Response Space: Evidence from Left Spatial Neglect. Neuropsychologia 2021, 154, 107773. [Google Scholar] [CrossRef] [PubMed]
- Schnell, K.; Heekeren, K.; Schnitker, R.; Daumann, J.; Weber, J.; Hesselmann, V.; Möller-Hartmann, W.; Thron, A.; Gouzoulis-Mayfrank, E. An fMRI Approach to Particularize the Frontoparietal Network for Visuomotor Action Monitoring: Detection of Incongruence between Test Subjects’ Actions and Resulting Perceptions. NeuroImage 2007, 34, 332–341. [Google Scholar] [CrossRef] [PubMed]
- Smoski, M.J.; Keng, S.-L.; Ji, J.L.; Moore, T.; Minkel, J.; Dichter, G.S. Neural Indicators of Emotion Regulation via Acceptance vs Reappraisal in Remitted Major Depressive Disorder. Soc. Cogn. Affect. Neurosci. 2015, 10, 1187–1194. [Google Scholar] [CrossRef] [PubMed]
- Levy-Cooperman, N.; Burhan, A.M.; Rafi-Tari, S.; Kusano, M.; Ramirez, J.; Caldwell, C.; Black, S.E. Frontal Lobe Hypoperfusion and Depressive Symptoms in Alzheimer Disease. J. Psychiatry Neurosci. 2008, 33, 218–226. [Google Scholar]
- Robert, G.; Le Jeune, F.; Dondaine, T.; Drapier, S.; Péron, J.; Lozachmeur, C.; Sauleau, P.; Houvenaghel, J.-F.; Travers, D.; Millet, B.; et al. Apathy and Impaired Emotional Facial Recognition Networks Overlap in Parkinson’s Disease: A PET Study with Conjunction Analyses. J. Neurol. Neurosurg. Psychiatry 2014, 85, 1153–1158. [Google Scholar] [CrossRef]
- Upadhyay, J.; Silver, A.; Knaus, T.A.; Lindgren, K.A.; Ducros, M.; Kim, D.-S.; Tager-Flusberg, H. Effective and Structural Connectivity in the Human Auditory Cortex. J. Neurosci. Off. J. Soc. Neurosci. 2008, 28, 3341–3349. [Google Scholar] [CrossRef]
- Calvert, G.A.; Campbell, R. Reading Speech from Still and Moving Faces: The Neural Substrates of Visible Speech. J. Cogn. Neurosci. 2003, 15, 57–70. [Google Scholar] [CrossRef] [PubMed]
- Rizzolatti, G.; Fogassi, L.; Gallese, V. Neurophysiological Mechanisms Underlying the Understanding and Imitation of Action. Nat. Rev. Neurosci. 2001, 2, 661–670. [Google Scholar] [CrossRef] [PubMed]
- Liu, W.; Li, H.; Lin, X.; Li, P.; Zhu, X.; Su, S.; Shi, J.; Lu, L.; Deng, J.; Sun, X. Blunted Superior Temporal Gyrus Activity to Negative Emotional Expression after Mindfulness-Based Cognitive Therapy for Late-Life Depression. Front. Aging Neurosci. 2022, 14, 1001447. [Google Scholar] [CrossRef]
- Wang, J.; Lyu, H.; Chen, J.; Lin, S.; Zheng, H.; Li, J.; Kong, F.; Gao, J.; Yu, H.; Hu, Y.; et al. Cortical Alterations Are Associated with Depression in Subcortical Vascular Mild Cognitive Impairment Revealed by Surface-Based Morphometry. J. Alzheimers Dis. JAD 2020, 78, 673–681. [Google Scholar] [CrossRef]
- Guo, W.; Sun, X.; Liu, L.; Xu, Q.; Wu, R.; Liu, Z.; Tan, C.; Chen, H.; Zhao, J. Disrupted Regional Homogeneity in Treatment-Resistant Depression: A Resting-State fMRI Study. Prog. Neuropsychopharmacol. Biol. Psychiatry 2011, 35, 1297–1302. [Google Scholar] [CrossRef]
- Hagoort, P. On Broca, Brain, and Binding: A New Framework. Trends Cogn. Sci. 2005, 9, 416–423. [Google Scholar] [CrossRef]
- Kim, H. Neural Activity That Predicts Subsequent Memory and Forgetting: A Meta-Analysis of 74 fMRI Studies. NeuroImage 2011, 54, 2446–2461. [Google Scholar] [CrossRef]
- Collette, F.; Van der Linden, M.; Delfiore, G.; Degueldre, C.; Luxen, A.; Salmon, E. The Functional Anatomy of Inhibition Processes Investigated with the Hayling Task. NeuroImage 2001, 14, 258–267. [Google Scholar] [CrossRef] [PubMed]
- Menon, V.; Adleman, N.E.; White, C.D.; Glover, G.H.; Reiss, A.L. Error-Related Brain Activation during a Go/NoGo Response Inhibition Task. Hum. Brain Mapp. 2001, 12, 131–143. [Google Scholar] [CrossRef]
- Rizzolatti, G.; Fadiga, L.; Matelli, M.; Bettinardi, V.; Paulesu, E.; Perani, D.; Fazio, F. Localization of Grasp Representations in Humans by PET: 1. Observation versus Execution. Exp. Brain Res. 1996, 111, 246–252. [Google Scholar] [CrossRef]
- Steffens, D.C.; Wang, L.; Pearlson, G.D. Functional Connectivity Predictors of Acute Depression Treatment Outcome. Int. Psychogeriatr. 2019, 31, 1831–1835. [Google Scholar] [CrossRef] [PubMed]
- Fu, J.H.; Wong, K.; Mok, V.; Hu, X.; Xiong, Y.; Chen, Y.; Tang, W.K.; Chen, X.; Wong, A.; Chu, W.; et al. Neuroimaging Predictors for Depressive Symptoms in Cerebral Small Vessel Disease. Int. J. Geriatr. Psychiatry 2010, 25, 1039–1043. [Google Scholar] [CrossRef]
- Derbyshire, S.W.; Jones, A.K. Cerebral Responses to a Continual Tonic Pain Stimulus Measured Using Positron Emission Tomography. Pain 1998, 76, 127–135. [Google Scholar] [CrossRef] [PubMed]
- Fichtenholtz, H.M.; Dean, H.L.; Dillon, D.G.; Yamasaki, H.; McCarthy, G.; LaBar, K.S. Emotion-Attention Network Interactions during a Visual Oddball Task. Brain Res. Cogn. Brain Res. 2004, 20, 67–80. [Google Scholar] [CrossRef][Green Version]
- Li, Y.; Zhang, L.; Zhang, R.; Xu, T.; Feng, T. The Neural Basis Linking Achievement Motivation with Procrastination: Left Precuneus Connectivity with Right Anterior Cingulate Cortex. Pers. Soc. Psychol. Bull. 2022, 48, 1382–1392. [Google Scholar] [CrossRef] [PubMed]
- Nathaniel-James, D.A.; Fletcher, P.; Frith, C.D. The Functional Anatomy of Verbal Initiation and Suppression Using the Hayling Test. Neuropsychologia 1997, 35, 559–566. [Google Scholar] [CrossRef]
- Schäfer, R.; Popp, K.; Jörgens, S.; Lindenberg, R.; Franz, M.; Seitz, R.J. Alexithymia-like Disorder in Right Anterior Cingulate Infarction. Neurocase 2007, 13, 201–208. [Google Scholar] [CrossRef] [PubMed]
- Woodward, T.S.; Ruff, C.C.; Ngan, E.T.C. Short- and Long-Term Changes in Anterior Cingulate Activation during Resolution of Task-Set Competition. Brain Res. 2006, 1068, 161–169. [Google Scholar] [CrossRef]
- Pujol, J.; López, A.; Deus, J.; Cardoner, N.; Vallejo, J.; Capdevila, A.; Paus, T. Anatomical Variability of the Anterior Cingulate Gyrus and Basic Dimensions of Human Personality. NeuroImage 2002, 15, 847–855. [Google Scholar] [CrossRef]
- Vogt, B.A.; Nimchinsky, E.A.; Vogt, L.J.; Hof, P.R. Human Cingulate Cortex: Surface Features, Flat Maps, and Cytoarchitecture. J. Comp. Neurol. 1995, 359, 490–506. [Google Scholar] [CrossRef]
- Smith, G.S.; Reynolds, C.F.; Pollock, B.; Derbyshire, S.; Nofzinger, E.; Dew, M.A.; Houck, P.R.; Milko, D.; Meltzer, C.C.; Kupfer, D.J. Cerebral Glucose Metabolic Response to Combined Total Sleep Deprivation and Antidepressant Treatment in Geriatric Depression. Am. J. Psychiatry 1999, 156, 683–689. [Google Scholar] [CrossRef] [PubMed]
- Monkul, E.S.; Silva, L.A.P.; Narayana, S.; Peluso, M.A.M.; Zamarripa, F.; Nery, F.G.; Najt, P.; Li, J.; Lancaster, J.L.; Fox, P.T.; et al. Abnormal Resting State Corticolimbic Blood Flow in Depressed Unmedicated Patients with Major Depression: A (15)O-H(2)O PET Study. Hum. Brain Mapp. 2012, 33, 272–279. [Google Scholar] [CrossRef] [PubMed]
- Wang, Y.-M.; Yang, Z.-Y. Aberrant Pattern of Cerebral Blood Flow in Patients with Major Depressive Disorder: A Meta-Analysis of Arterial Spin Labelling Studies. Psychiatry Res. Neuroimaging 2022, 321, 111458. [Google Scholar] [CrossRef] [PubMed]
- Huang, X.; Lai, S.; Lu, X.; Wang, Y.; Zhang, Y.; Chen, G.; Chen, P.; Ye, K.; Duan, M.; Song, K.; et al. Cognitive Dysfunction and Neurometabolic Alternations in Major Depressive Disorder with Gastrointestinal Symptoms. J. Affect. Disord. 2023, 322, 180–186. [Google Scholar] [CrossRef] [PubMed]
- Matsuo, K.; Harada, K.; Fujita, Y.; Okamoto, Y.; Ota, M.; Narita, H.; Mwangi, B.; Gutierrez, C.A.; Okada, G.; Takamura, M.; et al. Distinctive Neuroanatomical Substrates for Depression in Bipolar Disorder versus Major Depressive Disorder. Cereb. Cortex 2019, 29, 202–214. [Google Scholar] [CrossRef] [PubMed]
- Bae, J.N.; MacFall, J.R.; Krishnan, K.R.R.; Payne, M.E.; Steffens, D.C.; Taylor, W.D. Dorsolateral Prefrontal Cortex and Anterior Cingulate Cortex White Matter Alterations in Late-Life Depression. Biol. Psychiatry 2006, 60, 1356–1363. [Google Scholar] [CrossRef] [PubMed]
- Kang, Y.; Shin, D.; Kim, A.; You, S.-H.; Kim, B.; Han, K.-M.; Ham, B.-J. The Effect of Inflammation Markers on Cortical Thinning in Major Depressive Disorder: A Possible Mediator of Depression and Cortical Changes. J. Affect. Disord. 2024, 348, 229–237. [Google Scholar] [CrossRef] [PubMed]
- Graff-Guerrero, A.; De la Fuente-Sandoval, C.; Camarena, B.; Gómez-Martin, D.; Apiquián, R.; Fresán, A.; Aguilar, A.; Méndez-Núñez, J.C.; Escalona-Huerta, C.; Drucker-Colín, R.; et al. Frontal and Limbic Metabolic Differences in Subjects Selected According to Genetic Variation of the SLC6A4 Gene Polymorphism. NeuroImage 2005, 25, 1197–1204. [Google Scholar] [CrossRef] [PubMed]
- Drevets, W.C.; Price, J.L.; Simpson, J.R.; Todd, R.D.; Reich, T.; Vannier, M.; Raichle, M.E. Subgenual Prefrontal Cortex Abnormalities in Mood Disorders. Nature 1997, 386, 824–827. [Google Scholar] [CrossRef]
- Mayberg, H.S.; Liotti, M.; Brannan, S.K.; McGinnis, S.; Mahurin, R.K.; Jerabek, P.A.; Silva, J.A.; Tekell, J.L.; Martin, C.C.; Lancaster, J.L.; et al. Reciprocal Limbic-Cortical Function and Negative Mood: Converging PET Findings in Depression and Normal Sadness. Am. J. Psychiatry 1999, 156, 675–682. [Google Scholar] [CrossRef]
- Lu, X.; Lai, S.; Luo, A.; Huang, X.; Wang, Y.; Zhang, Y.; He, J.; Chen, G.; Zhong, S.; Jia, Y. Biochemical Metabolism in the Anterior Cingulate Cortex and Cognitive Function in Major Depressive Disorder with or without Insomnia Syndrome. J. Affect. Disord. 2023, 335, 256–263. [Google Scholar] [CrossRef]
- Song, Y.; Huang, C.; Zhong, Y.; Wang, X.; Tao, G. Abnormal Reginal Homogeneity in Left Anterior Cingulum Cortex and Precentral Gyrus as a Potential Neuroimaging Biomarker for First-Episode Major Depressive Disorder. Front. Psychiatry 2022, 13, 924431. [Google Scholar] [CrossRef] [PubMed]
- Batail, J.M.; Corouge, I.; Combès, B.; Conan, C.; Guillery-Sollier, M.; Vérin, M.; Sauleau, P.; Le Jeune, F.; Gauvrit, J.Y.; Robert, G.; et al. Apathy in Depression: An Arterial Spin Labeling Perfusion MRI Study. J. Psychiatr. Res. 2023, 157, 7–16. [Google Scholar] [CrossRef]
- Zhang, Y.; Cui, X.; Ou, Y.; Liu, F.; Li, H.; Chen, J.; Zhao, J.; Xie, G.; Guo, W. Differentiating Melancholic and Non-Melancholic Major Depressive Disorder Using Fractional Amplitude of Low-Frequency Fluctuations. Front. Psychiatry 2021, 12, 763770. [Google Scholar] [CrossRef]
- Miao, H.; Zhong, S.; Liu, X.; Lai, S.; He, J.; Zhu, Y.; Song, Z.; Chen, P.; Wang, Y.; Jia, Y. Childhood Trauma History Is Linked to Abnormal Brain Metabolism of Non-Medicated Adult Patients with Major Depressive Disorder. J. Affect. Disord. 2022, 302, 101–109. [Google Scholar] [CrossRef] [PubMed]
- Zheng, H.; Jia, F.; Guo, G.; Quan, D.; Li, G.; Wu, H.; Zhang, B.; Fan, C.; He, X.; Huang, H. Abnormal Anterior Cingulate N-Acetylaspartate and Executive Functioning in Treatment-Resistant Depression After rTMS Therapy. Int. J. Neuropsychopharmacol. 2015, 18, pyv059. [Google Scholar] [CrossRef]
- Frodl, T.; Jäger, M.; Born, C.; Ritter, S.; Kraft, E.; Zetzsche, T.; Bottlender, R.; Leinsinger, G.; Reiser, M.; Möller, H.-J.; et al. Anterior Cingulate Cortex Does Not Differ between Patients with Major Depression and Healthy Controls, but Relatively Large Anterior Cingulate Cortex Predicts a Good Clinical Course. Psychiatry Res. 2008, 163, 76–83. [Google Scholar] [CrossRef]
- Li, Y.; Jakary, A.; Gillung, E.; Eisendrath, S.; Nelson, S.J.; Mukherjee, P.; Luks, T. Evaluating Metabolites in Patients with Major Depressive Disorder Who Received Mindfulness-Based Cognitive Therapy and Healthy Controls Using Short Echo MRSI at 7 Tesla. Magn. Reson. Mater. Phys. Biol. Med. 2016, 29, 523–533. [Google Scholar] [CrossRef] [PubMed]
- de Asis, J.M.; Stern, E.; Alexopoulos, G.S.; Pan, H.; Van Gorp, W.; Blumberg, H.; Kalayam, B.; Eidelberg, D.; Kiosses, D.; Silbersweig, D.A. Hippocampal and Anterior Cingulate Activation Deficits in Patients with Geriatric Depression. Am. J. Psychiatry 2001, 158, 1321–1323. [Google Scholar] [CrossRef]
- Brügger, M.; Ettlin, D.A.; Meier, M.; Keller, T.; Luechinger, R.; Barlow, A.; Palla, S.; Jäncke, L.; Lutz, K. Taking Sides with Pain—Lateralization Aspects Related to Cerebral Processing of Dental Pain. Front. Hum. Neurosci. 2011, 5, 12. [Google Scholar] [CrossRef]
- Del Casale, A.; Ferracuti, S.; Rapinesi, C.; De Rossi, P.; Angeletti, G.; Sani, G.; Kotzalidis, G.D.; Girardi, P. Hypnosis and Pain Perception: An Activation Likelihood Estimation (ALE) Meta-Analysis of Functional Neuroimaging Studies. J. Physiol. Paris 2015, 109, 165–172. [Google Scholar] [CrossRef] [PubMed]
- Watanabe, H.; Fitting, S.; Hussain, M.Z.; Kononenko, O.; Iatsyshyna, A.; Yoshitake, T.; Kehr, J.; Alkass, K.; Druid, H.; Wadensten, H.; et al. Asymmetry of the Endogenous Opioid System in the Human Anterior Cingulate: A Putative Molecular Basis for Lateralization of Emotions and Pain. Cereb. Cortex 2015, 25, 97–108. [Google Scholar] [CrossRef] [PubMed]
- Dolan, R.J.; Fletcher, P.; Morris, J.; Kapur, N.; Deakin, J.F.; Frith, C.D. Neural Activation during Covert Processing of Positive Emotional Facial Expressions. NeuroImage 1996, 4, 194–200. [Google Scholar] [CrossRef] [PubMed]
- Phillips, M.L.; Bullmore, E.T.; Howard, R.; Woodruff, P.W.; Wright, I.C.; Williams, S.C.; Simmons, A.; Andrew, C.; Brammer, M.; David, A.S. Investigation of Facial Recognition Memory and Happy and Sad Facial Expression Perception: An fMRI Study. Psychiatry Res. 1998, 83, 127–138. [Google Scholar] [CrossRef] [PubMed]
- Craig, A.D.B. Forebrain Emotional Asymmetry: A Neuroanatomical Basis? Trends Cogn. Sci. 2005, 9, 566–571. [Google Scholar] [CrossRef] [PubMed]
- Alexopoulos, G.S.; Gunning-Dixon, F.M.; Latoussakis, V.; Kanellopoulos, D.; Murphy, C.F. Anterior Cingulate Dysfunction in Geriatric Depression. Int. J. Geriatr. Psychiatry 2008, 23, 347–355. [Google Scholar] [CrossRef] [PubMed]
- Sachs-Ericsson, N.J.; Hajcak, G.; Sheffler, J.L.; Stanley, I.H.; Selby, E.A.; Potter, G.G.; Steffens, D.C. Putamen Volume Differences Among Older Adults: Depression Status, Melancholia, and Age. J. Geriatr. Psychiatry Neurol. 2018, 31, 39–49. [Google Scholar] [CrossRef] [PubMed]
- Lu, S.; Wu, C.; Jia, L.; Fang, Z.; Lu, J.; Mou, T.; Hu, S.; He, H.; Huang, M.; Xu, Y. Increased Plasma Levels of IL-6 Are Associated with Striatal Structural Atrophy in Major Depressive Disorder Patients with Anhedonia. Front. Psychiatry 2022, 13, 1016735. [Google Scholar] [CrossRef]
- Nimarko, A.F.; Fischer, A.S.; Hagan, K.E.; Gorelik, A.J.; Lu, Y.; Young, C.J.; Singh, M.K. Neural Correlates of Positive Emotion Processing That Distinguish Healthy Youths at Familial Risk for Bipolar Versus Major Depressive Disorder. J. Am. Acad. Child Adolesc. Psychiatry 2021, 60, 887–901. [Google Scholar] [CrossRef]
- Marchand, W.R.; Lee, J.N.; Garn, C.; Thatcher, J.; Gale, P.; Kreitschitz, S.; Johnson, S.; Wood, N. Striatal and Cortical Midline Activation and Connectivity Associated with Suicidal Ideation and Depression in Bipolar II Disorder. J. Affect. Disord. 2011, 133, 638–645. [Google Scholar] [CrossRef]
- Wang, Y.; Li, X.; Yan, H.; Zhang, Q.; Ou, Y.; Wu, W.; Shangguan, W.; Chen, W.; Yu, Y.; Liang, J.; et al. Multiple Examinations Indicated Associations between Abnormal Regional Homogeneity and Cognitive Dysfunction in Major Depressive Disorder. Front. Psychol. 2022, 13, 1090181. [Google Scholar] [CrossRef] [PubMed]
- Yang, X.; Ma, X.; Li, M.; Liu, Y.; Zhang, J.; Huang, B.; Zhao, L.; Deng, W.; Li, T.; Ma, X. Anatomical and Functional Brain Abnormalities in Unmedicated Major Depressive Disorder. Neuropsychiatr. Dis. Treat. 2015, 11, 2415–2423. [Google Scholar] [CrossRef] [PubMed][Green Version]
- D’Onofrio, A.M.; Pizzuto, D.A.; Batir, R.; Perrone, E.; Cocciolillo, F.; Cavallo, F.; Kotzalidis, G.D.; Simonetti, A.; d’Andrea, G.; Pettorruso, M.; et al. Dopaminergic Dysfunction in the Left Putamen of Patients with Major Depressive Disorder. J. Affect. Disord. 2024, 357, 107–115. [Google Scholar] [CrossRef]
- Pan, C.-C.; McQuoid, D.R.; Taylor, W.D.; Payne, M.E.; Ashley-Koch, A.; Steffens, D.C. Association Analysis of the COMT/MTHFR Genes and Geriatric Depression: An MRI Study of the Putamen. Int. J. Geriatr. Psychiatry 2009, 24, 847–855. [Google Scholar] [CrossRef]
- Liberg, B.; Adler, M.; Jonsson, T.; Landén, M.; Rahm, C.; Wahlund, L.-O.; Kristoffersen-Wiberg, M.; Wahlund, B. The Neural Correlates of Self-Paced Finger Tapping in Bipolar Depression with Motor Retardation. Acta Neuropsychiatr. 2013, 25, 43–51. [Google Scholar] [CrossRef]
- Zeng, L.-L.; Liu, L.; Liu, Y.; Shen, H.; Li, Y.; Hu, D. Antidepressant Treatment Normalizes White Matter Volume in Patients with Major Depression. PLoS ONE 2012, 7, e44248. [Google Scholar] [CrossRef][Green Version]
- Van Cauwenberge, M.G.A.; Bouckaert, F.; Vansteelandt, K.; Adamson, C.; De Winter, F.L.; Sienaert, P.; Van den Stock, J.; Dols, A.; Rhebergen, D.; Stek, M.L.; et al. A Longitudinal Study of the Association between Basal Ganglia Volumes and Psychomotor Symptoms in Subjects with Late Life Depression Undergoing ECT. Transl. Psychiatry 2021, 11, 199. [Google Scholar] [CrossRef]
- Lin, C.; Huang, C.-M.; Chang, W.; Chang, Y.-X.; Liu, H.-L.; Ng, S.-H.; Lin, H.-L.; Lee, T.M.-C.; Lee, S.-H.; Wu, S.-C. Predicting Suicidality in Late-Life Depression by 3D Convolutional Neural Network and Cross-Sample Entropy Analysis of Resting-State fMRI. Brain Behav. 2024, 14, e3348. [Google Scholar] [CrossRef] [PubMed]
- Park, I.S.; Lee, N.J.; Rhyu, I.J. Roles of the Declive, Folium, and Tuber Cerebellar Vermian Lobules in Sportspeople. J. Clin. Neurol. 2018, 14, 1–7. [Google Scholar] [CrossRef]
- Geier, C.F.; Garver, K.E.; Luna, B. Circuitry Underlying Temporally Extended Spatial Working Memory. NeuroImage 2007, 35, 904–915. [Google Scholar] [CrossRef][Green Version]
- Emam, H.; Steffens, D.C.; Pearlson, G.D.; Wang, L. Increased Ventromedial Prefrontal Cortex Activity and Connectivity Predict Poor Sertraline Treatment Outcome in Late-Life Depression. Int. J. Geriatr. Psychiatry 2019, 34, 730–737. [Google Scholar] [CrossRef]
- Li, W.; Ward, B.D.; Xie, C.; Jones, J.L.; Antuono, P.G.; Li, S.-J.; Goveas, J.S. Amygdala Network Dysfunction in Late-Life Depression Phenotypes: Relationships with Symptom Dimensions. J. Psychiatr. Res. 2015, 70, 121–129. [Google Scholar] [CrossRef]
- Alalade, E.; Denny, K.; Potter, G.; Steffens, D.; Wang, L. Altered Cerebellar-Cerebral Functional Connectivity in Geriatric Depression. PLoS ONE 2011, 6, e20035. [Google Scholar] [CrossRef]
- Arleo, A.; Bareš, M.; Bernard, J.A.; Bogoian, H.R.; Bruchhage, M.M.K.; Bryant, P.; Carlson, E.S.; Chan, C.C.H.; Chen, L.-K.; Chung, C.-P.; et al. Consensus Paper: Cerebellum and Ageing. Cerebellum 2024, 23, 802–832. [Google Scholar] [CrossRef]
- Tan, W.; Ouyang, X.; Huang, D.; Wu, Z.; Liu, Z.; He, Z.; Long, Y.; REST-meta-MDD Consortium. Disrupted intrinsic functional brain network in patients with late-life depression: Evidence from a multi-site dataset. J. Affect. Disord. 2023, 323, 631–639. [Google Scholar] [CrossRef]
- Long, Y.; Li, X.; Cao, H.; Zhang, M.; Lu, B.; Huang, Y.; Liu, M.; Xu, M.; Liu, Z.; Yan, C.; et al. Common and distinct functional brain network abnormalities in adolescent, early-middle adult, and late adult major depressive disorders. Psychol. Med. 2024, 54, 582–591. [Google Scholar] [CrossRef]



| Study | Technique and Task/Functional Metric | Participants n (m, f; Mean Age y, SD) | Main Findings | 
|---|---|---|---|
| Bobb et al., 2012 [26] | fMRI, Stop Signal Task | LLD: 15 (3, 12; 60.7, 4.7) HCs: 13 (4, 9; 62, 5.3) | The LLD group exhibited greater activations within the left fronto–striatal–limbic circuitry. | 
| Brassen et al., 2008 [27] | fMRI, emotional evaluation task | LLD: 13 (0, 13; 66.4, 6.1) HCs: 13 (0, 13; 66.4, 6.1) | The LLD group revealed greater activation of the vmPFC when processing positive words compared to negative words. | 
| Brendel et al., 2016 [28] | PET | LLD: 21 (11, 10; 77, 6.9) HCs: 29 (17, 12; 75.4, 6.3) | A significant hypometabolism was observed in the fronto–temporal cortices and PCC in LLD patients. | 
| Briceño et al., 2015 [17] | fMRI, Facial Emotion Perception Test | LLD: 26 (12, 14; 65, 7.9) HCs: 25 (12, 13; 68, 8.4) | Different patterns of frontal, limbic, and basal ganglia activation were observed based on gender, with older men showing hyperactivation and women exhibiting hypoactivation. | 
| Chen et al., 2012 [29] | fMRI, ReHo | LLD: 15 (6, 9; 67.53, 6.12) HCs: 15 (6, 9; 64.9; 3.7) | The LLD group exhibited lower ReHo in the right praecuneus and higher ReHo in the left STG and left Crus I of the cerebellum. | 
| Guo et al., 2013 [30] | fMRI, ALFF | LLD: 15 (6, 9; 67.53; 6.12) HCs: 15 (6, 9; 64.9, 3.7) | Patients exhibited lower ALFF in the bilateral superior frontal gyrus and higher ALFF in the left superior temporal gyrus. | 
| Huang et al., 2019 [31] | fMRI, emotional Stroop task | LLD: 55 (17, 38; 66.36, 5.42) HCs: 40 (15, 25; 68.1, 5.3) | LLD patients exhibited hyperactivation in the right anterior insula, right ACC, right inferior frontal gyrus, bilateral fusiform gyrus, bilateral lingual gyrus, right supramarginal gyrus, left postcentral gyrus, left posterior insula, left middle temporal gyrus, and left culmen. | 
| Lee et al., 2013 [32] | fMRI, one-back working memory task | LLD: 14 (11, 3; 65.1, 4.9) HCs: 14 (9, 5; 64.8, 4.2) | LLD exhibited enhanced activity in the left middle frontal and left parietal regions, along with reduced deactivation in several temporal regions and the left amygdala within the masks. Additionally, LLD activated additional neural nodes in the middle frontal and middle temporal regions outside the masks. | 
| Liu et al., 2012 [19] | fMRI, Cohe-ReHo | LLD: 15 (6, 9; 67.53, 6.12) HCs: 15 (6, 9; 64.9, 3.7) | The LLD group showed decreased Cohe-ReHo in the left caudate nucleus, right ACC, left dorsolateral prefrontal cortex, right angular gyrus, bilateral medial prefrontal cortex, and right praecuneus. Increased Cohe-ReHo was observed in the left cerebellum posterior lobe, left superior temporal gyrus, bilateral supplementary motor area, and right postcentral gyrus. | 
| Liu et al., 2022 [33] | fMRI, PerAF method. | LLD: 45 (15, 30; 67.04, 4.51) HCs: 34 (16, 18; 65.1, 4) | The LLD group exhibited decreased PerAF differences in both the bilateral superior frontal gyrus, orbital part, and the bilateral ACC. | 
| Piani et al., 2022 [34] | fMRI, Go/No Go Task | LLD: 12 (7, 5; 66.5, 9.1) HCs: 12 (5, 7; 68.7, 12.3) | LDD patients showed elevated fMRI responses in the left praecuneus and the right lingual gyrus. | 
| Rao et al., 2015 [35] | fMRI, Go/No Go Task | LLD: 20 (genders not specified; 66.8) HCs: 17 (genders not specified; 67.9) | Patients showed greater activation in the right precentral gyrus, right middle frontal gyrus, left middle occipital gyrus, amygdala, globus pallidus, bilateral fusiform gyrus, caudate, right anterior cingulate gyrus, parahippocampal gyrus, supramarginal gyri, cuneus, and mammillary body. | 
| Respino et al., 2019 [36] | fMRI, ReHo and network homogeneity | LLD: 33 (11, 21; 72.2, 6.6) HCs: 43 (18, 25; 73.4, 6.5) | LLD patients exhibited increased ReHo in both the dorsal ACC bilaterally and the right middle temporal gyrus. | 
| Smith et al., 2009 [20] | PET | LLD: 16 (6, 10; 65.3, 9.1) HCs: 13 (5, 8; 67.4, 7.4) | Among the LLD group, increased cerebral glucose metabolism was observed in the right and left superior frontal gyrus, as well as the posterior inferior parietal lobule. | 
| Steffens et al., 2017 [37] | fMRI, ALFF | LLD: 52 (14, 38; 71.35, 7.58) HCs: 36 (9, 27; 74.3, 7.5) | LLD patients showed increased ALFFs in the middle temporal cortex, insula, fusiform gyrus, and cerebellum, and reduced ALFFs in the supplementary motor cortex, inferior parietal cortex, midcingulate, and PCC/praecuneus. | 
| Takami et al., 2007 [38] | fMRI, Verbal fluency task | LLD: 20 (8, 12; 63, 8) HCs: 10 (4, 6; 67.6, 9.7) | LLD patients showed hyperactivation of the prefrontal cortex and ACC, and hypoactivation of the parietal and temporal cortices. | 
| Wang et al., 2008 [39] | fMRI, emotional oddball task | LLD: 12 (5, 7; 69.1, 6) HCs: 20 (8, 12; 73.1, 5.3) | LLD correlated with decreased activation in the executive system regions, including the right middle frontal, cingulate and inferior parietal cortices. | 
| Weisenbach et al., 2014 [40] | fMRI, word list-learning task | LLD: 24 (10, 14; 65.8, 8.2) HCs: 23 (13, 10; 67.9, 8.1) | The LLD group exhibited hypoactivation in the hippocampus, parahippocampal gyrus, insula, and cingulate, while demonstrating significantly higher activation in the inferior frontal gyrus. | 
| Wu et al., 2020 [41] | fMRI, Event related design: evoked memories by photos | LLD: 16 (0, 16; 69, 8) HCs: 18 (0, 18; 69, 8) | LLD showed task-related decreased activations of the bilateral STG, left inferior frontal gyrus, right parahippocampal gyrus, left cingulate gyrus, right insular lobe, and bilateral cerebellum anterior lobe. | 
| Contrast: LLD > HCs | |||||||
| Cluster # | x | y | z | ALE | P | Z | Label | 
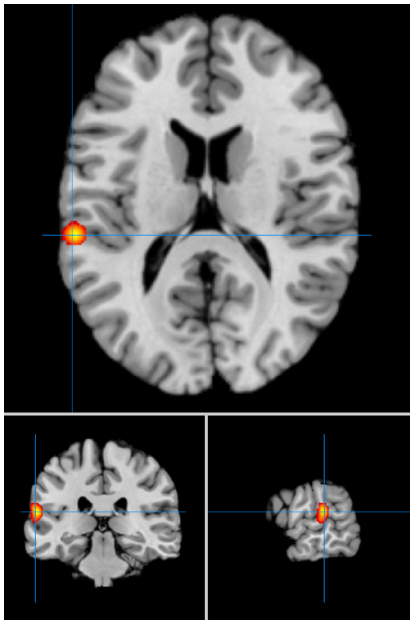
| 1 | −60 | −30 | 14 | 0.017 | 2.091 × 10−6 | 46.020.885 | Left STG, BA 42 ** | 
| 2 | 18 | −50 | −8 | 0.014 | 4.14 × 10−5 | 39.361.618 | Right Cerebellum Culmen/Lingual gyrus * | 
| 3 | 6 | 38 | 8 | 0.013 | 5.212 × 10−5 | 38.805.122 | Right ACC, BA 24 * | 
| 4 | −48 | 20 | 16 | 0.013 | 6.311 × 10−5 | 38.337.176 | Left Inferior Frontal Gyrus, BA 45 * | 
| 5 | −38 | −84 | −22 | 0.012 | 9.346 × 10−5 | 37.360.582 | Left Cerebellum Declive/Lateral Occipital Cortex * | 
| Contrast: LLD < HCs | |||||||
| Cluster # | x | y | z | ALE | P | Z | Label (Nearest Gray Matter within 5 mm) | 
| 1 | 4 | 32 | 44 | 0.017 | 2.175 × 10−6 | 45.939.293 | Right Medial Frontal Gyrus, BA 8 ** | 
| 2 | 14 | 46 | 12 | 0.015 | 9.261 × 10−6 | 4.282.004 | Right Medial Frontal Gyrus, BA 9 * | 
| 3 | −20 | −10 | 48 | 0.013 | 2.789 × 10−5 | 4.029.988 | Left Cingulate Gyrus, BA 24 * | 
| 4 | −20 | 6 | 14 | 0.012 | 8.703 × 10−5 | 37.539.575 | Left Putamen * | 
| 5 | −18 | 4 | 16 | 0.012 | 8.883 × 10−5 | 3.748.818 | Left Caudate Body * | 
| Disclaimer/Publisher’s Note: The statements, opinions and data contained in all publications are solely those of the individual author(s) and contributor(s) and not of MDPI and/or the editor(s). MDPI and/or the editor(s) disclaim responsibility for any injury to people or property resulting from any ideas, methods, instructions or products referred to in the content. | 
© 2024 by the authors. Licensee MDPI, Basel, Switzerland. This article is an open access article distributed under the terms and conditions of the Creative Commons Attribution (CC BY) license (https://creativecommons.org/licenses/by/4.0/).
Share and Cite
Del Casale, A.; Mancino, S.; Arena, J.F.; Spitoni, G.F.; Campanini, E.; Adriani, B.; Tafaro, L.; Alcibiade, A.; Ciocca, G.; Romano, A.; et al. Neural Functioning in Late-Life Depression: An Activation Likelihood Estimation Meta-Analysis. Geriatrics 2024, 9, 87. https://doi.org/10.3390/geriatrics9040087
Del Casale A, Mancino S, Arena JF, Spitoni GF, Campanini E, Adriani B, Tafaro L, Alcibiade A, Ciocca G, Romano A, et al. Neural Functioning in Late-Life Depression: An Activation Likelihood Estimation Meta-Analysis. Geriatrics. 2024; 9(4):87. https://doi.org/10.3390/geriatrics9040087
Chicago/Turabian StyleDel Casale, Antonio, Serena Mancino, Jan Francesco Arena, Grazia Fernanda Spitoni, Elisa Campanini, Barbara Adriani, Laura Tafaro, Alessandro Alcibiade, Giacomo Ciocca, Andrea Romano, and et al. 2024. "Neural Functioning in Late-Life Depression: An Activation Likelihood Estimation Meta-Analysis" Geriatrics 9, no. 4: 87. https://doi.org/10.3390/geriatrics9040087
APA StyleDel Casale, A., Mancino, S., Arena, J. F., Spitoni, G. F., Campanini, E., Adriani, B., Tafaro, L., Alcibiade, A., Ciocca, G., Romano, A., Bozzao, A., & Ferracuti, S. (2024). Neural Functioning in Late-Life Depression: An Activation Likelihood Estimation Meta-Analysis. Geriatrics, 9(4), 87. https://doi.org/10.3390/geriatrics9040087
 
        






 
       