Standardization of a CT Protocol for Imaging Patients with Suspected COVID-19—A RACOON Project
Abstract
1. Introduction
2. Materials and Methods
2.1. Data Collection
2.2. Exclusion Parameters
2.3. Site-Specific Evaluation
- Analysis A: Site-specific evaluation of the exposure parameters and image quality.
- 2.
- Analysis B: Scanner-specific protocol analysis for non-enhanced CT examinations with ≥5 examinations per protocol per site.
3. Results
3.1. Site-Employed CT Scanners
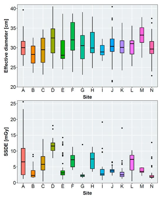
3.2. Analysis A: Site-Specific Evaluation of the Exposure Parameters and Image Quality
3.3. Analysis B: Scanner-Specific Protocol Analysis for Non-Enhanced CT Examinations with ≥5 Examinations per Protocol per Site
4. Discussion
4.1. Radiation Exposure at the Different Sites
4.2. Image Quality
4.3. Protocol Settings
4.4. Limitations
5. Conclusions
Supplementary Materials
Author Contributions
Funding
Institutional Review Board Statement
Informed Consent Statement
Data Availability Statement
Conflicts of Interest
References
- Agostini, A.; Borgheresi, A.; Carotti, M.; Ottaviani, L.; Badaloni, M.; Floridi, C.; Giovagnoni, A. Third-generation iterative reconstruction on a dual-source, high-pitch, low-dose chest CT protocol with tin filter for spectral shaping at 100 kV: A study on a small series of COVID-19 patients. Radiol. Med. 2021, 126, 388–398. [Google Scholar] [CrossRef]
- Atli, E.; Uyanik, S.A.; Oguslu, U.; Cenkeri, H.C.; Yilmaz, B.; Gumus, B. The Feasibility of Low-dose Chest CT Acquisition Protocol for the Imaging of COVID-19 Pneumonia. Curr. Med. Imaging 2022, 18, 38–44. [Google Scholar] [CrossRef]
- Gombolevskiy, V.; Morozov, S.; Chernina, V.; Blokhin, I.; Vassileva, J. A phantom study to optimise the automatic tube current modulation for chest CT in COVID-19. Eur. Radiol. Exp. 2021, 5, 21. [Google Scholar] [CrossRef]
- Hosseini Nasab, S.M.B.; Deevband, M.R.; Rahimi, R.; Nasiri, S.; Ahangaran, M.R.; Morshedi, M. Optimization of Lung Ct Protocol for the Diagnostic Evaluation of Covid-19 Lung Disease. Radiat. Prot. Dosim. 2021, 196, 120–127. [Google Scholar] [CrossRef]
- Kalra, M.K.; Homayounieh, F.; Arru, C.; Holmberg, O.; Vassileva, J. Chest CT practice and protocols for COVID-19 from radiation dose management perspective. Eur. Radiol. 2020, 30, 6554–6560. [Google Scholar] [CrossRef]
- Pandya, R.H.; Shinde, M.K.; Patel, V.B.; Phatak, A.G.; Pandya, H.V. Development and implementation of optimized chest CT protocol in COVID-19: A clinical audit. J. Fam. Med. Prim. Care 2022, 11, 3705–3710. [Google Scholar] [CrossRef] [PubMed]
- Suliman, I.; Khouqeer, G.A.; Ahmed, N.A.; Abuzaid, M.M.; Sulieman, A. Low-Dose Chest CT Protocols for Imaging COVID-19 Pneumonia: Technique Parameters and Radiation Dose. Life 2023, 13, 992. [Google Scholar] [CrossRef] [PubMed]
- Tabatabaei, S.M.H.; Talari, H.; Gholamrezanezhad, A.; Farhood, B.; Rahimi, H.; Razzaghi, R.; Mehri, N.; Rajebi, H. A low-dose chest CT protocol for the diagnosis of COVID-19 pneumonia: A prospective study. Emerg. Radiol. 2020, 27, 607–615. [Google Scholar] [CrossRef] [PubMed]
- Feghali, J.A.; Russo, R.A.; Mamou, A.; Lorentz, A.; Cantarinha, A.; Bellin, M.F.; Meyrignac, O. Image quality assessment in low-dose COVID-19 chest CT examinations. Acta Radiol. 2024, 65, 3–13. [Google Scholar] [CrossRef] [PubMed]
- Karakas, H.M.; Yildirim, G.; Cicek, E.D. The reliability of low-dose chest CT for the initial imaging of COVID-19: Comparison of structured findings, categorical diagnoses and dose levels. Diagn. Interv. Radiol. 2021, 27, 607–614. [Google Scholar] [CrossRef] [PubMed]
- Samir, A.; El-Husseiny, R.M.; Sweed, R.A.; El-Maaboud, N.A.E.-M.A.; Masoud, M. Ultra-low-dose chest CT protocol during the second wave of COVID-19 pandemic: A double-observer prospective study on 250 patients to evaluate its detection accuracy. Egypt. J. Radiol. Nucl. Med. 2021, 52, 136. [Google Scholar] [CrossRef]
- Schulze-Hagen, M.; Hübel, C.; Meier-Schroers, M.; Yüksel, C.; Sander, A.; Sähn, M.; Kleines, M.; Isfort, P.; Cornelissen, C.; Lemmen, S.; et al. Low-Dose Chest CT for the Diagnosis of COVID-19—A Systematic, Prospective Comparison With PCR. Dtsch. Arztebl. Int. 2020, 117, 389–395. [Google Scholar] [CrossRef]
- Dangis, A.; Gieraerts, C.; De Bruecker, Y.; Janssen, L.; Valgaeren, H.; Obbels, D.; Gillis, M.; Van Ranst, M.; Frans, J.; Demeyere, A.; et al. Accuracy and Reproducibility of Low-Dose Submillisievert Chest CT for the Diagnosis of COVID-19. Radiol. Cardiothorac. Imaging 2020, 2, e200196. [Google Scholar] [CrossRef]
- Cabrelle, G.; Zanon, C.; Crimi, F.; Quaia, E. Can chest computed tomography findings be compared between outpatient and hospitalized COVID-19 patients? J. Med. Imaging Radiat. Sci. 2022, 53, 184–185. [Google Scholar] [CrossRef]
- Cini, C.; Neto, A.S.; Burrell, A.; Udy, A.; SPRINT-SARI Australia Investigators. Inter-hospital transfer and clinical outcomes for people with COVID-19 admitted to intensive care units in Australia: An observational cohort study. Med. J. Aust. 2023, 218, 474–481. [Google Scholar] [CrossRef]
- Lee, K.L.; Beveridge, T.; Sanagou, M.; Thomas, P. Updated Australian diagnostic reference levels for adult CT. J. Med. Radiat. Sci. 2020, 67, 5–15. [Google Scholar] [CrossRef] [PubMed]
- Health Canada. Canadian Computed Tomography Survey—National Diagnostic Reference Levels; Health Canada: Ottawa, ON, Canada, 2016. [Google Scholar]
- Australian Radiation Protection and Nuclear Safety Agency. Current Australian National Diagnostic Reference Levels for Multi Detector Computed Tomography. Available online: https://www.arpansa.gov.au/research-and-expertise/surveys/national-diagnostic-reference-level-service/current-australian-drls/mdct (accessed on 18 January 2024).
- UK Health Security Agency. UKHSA-RCE-1: Doses from Computed Tomography (CT) Exams in the UK—2019 Review; UK Health Security Agency: London, UK, 2022. [Google Scholar]
- BfS. Bekanntmachung der Aktualisierten Diagnostischen Referenzwerte für Diagnostische und Interventionelle Röntgenanwendungen; Bundesamt für Strahlenschutz: Oberschleißheim, Germany, 2022. [Google Scholar]
- FANC Federaal Agentschap voor Nucleaire Controle. CT Scanners. Available online: https://fanc.fgov.be/nl/professionelen/medische-professionelen/radiologische-toepassingen/drn/CTscanners (accessed on 18 January 2024).
- Dadali, Y.; Ozkacmaz, S.; Unlu, E.; Akyol, R.; Alparslan, M. Computed tomography findings of COVID-19 in pediatric patients. Turk. J. Pediatr. 2022, 64, 619–631. [Google Scholar] [CrossRef] [PubMed]
- Liu, A.Z.; Winant, A.J.; Lu, L.K.; Rameh, V.; Byun, K.; Lee, E.Y. Computed tomography and magnetic resonance imaging for pulmonary embolus evaluation in children: Up-to-date review on practical imaging protocols. Pediatr. Radiol. 2023, 53, 1260–1269. [Google Scholar] [CrossRef]
- Rubin, G.D.; Ryerson, C.J.; Haramati, L.B.; Sverzellati, N.; Kanne, J.P.; Raoof, S.; Schluger, N.W.; Volpi, A.; Yim, J.J.; Martin, I.B.K.; et al. The Role of Chest Imaging in Patient Management During the COVID-19 Pandemic: A Multinational Consensus Statement From the Fleischner Society. Chest 2020, 158, 106–116. [Google Scholar] [CrossRef] [PubMed]
- ACR. ACR Recommendations for the Use of Chest Radiography and Computed Tomography (CT) for Suspected COVID-19 Infection. 2020. Available online: https://www.acr.org/Advocacy-and-Economics/ACR-Position-Statements/Recommendations-for-Chest-Radiography-and-CT-for-Suspected-COVID19-Infection (accessed on 20 March 2022).
- RSNA. RSNA COVID-19 Task Force: Best Practices for Radiology Departments during COVID-19; RSNA: Chicago, IL, USA, 2020. [Google Scholar]
- Revel, M.P.; Parkar, A.P.; Prosch, H.; Silva, M.; Sverzellati, N.; Gleeson, F.; Brady, A.; European Society of Radiology; The European Society of Thoracic Imaging. COVID-19 patients and the radiology department—Advice from the European Society of Radiology (ESR) and the European Society of Thoracic Imaging (ESTI). Eur. Radiol. 2020, 30, 4903–4909. [Google Scholar] [CrossRef] [PubMed]
- Akl, E.A.; Blažić, I.; Yaacoub, S.; Frija, G.; Chou, R.; Appiah, J.A.; Fatehi, M.; Flor, N.; Hitti, E.; Jafri, H.; et al. Use of Chest Imaging in the Diagnosis and Management of COVID-19: A WHO Rapid Advice Guide. Radiology 2021, 298, E63–E69. [Google Scholar] [CrossRef] [PubMed]
- Vogel-Claussen, J.; Ley-Zaporozhan, J.; Agarwal, P.; Biederer, J.; Kauczor, H.U.; Ley, S.; Kuhl, H.; Mueller-Lisse, U.G.; Persigehl, T.; Schlett, C.L.; et al. Recommendations of the Thoracic Imaging Section of the German Radiological Society for clinical application of chest imaging and structured CT reporting in the COVID-19 pandemic. Rofo 2020, 192, 633–640. [Google Scholar] [CrossRef] [PubMed]
- Avila, R.S.; Fain, S.B.; Hatt, C.; Armato, S.G., 3rd; Mulshine, J.L.; Gierada, D.; Silva, M.; Lynch, D.A.; Hoffman, E.A.; Ranallo, F.N.; et al. QIBA guidance: Computed tomography imaging for COVID-19 quantitative imaging applications. Clin. Imaging 2021, 77, 151–157. [Google Scholar] [CrossRef] [PubMed]
- Kwee, T.C.; Kwee, R.M. Chest CT in COVID-19: What the Radiologist Needs to Know. Radiographics 2020, 40, 1848–1865. [Google Scholar] [CrossRef] [PubMed]
- Bundesärztekammer. Leitlinie der Bundesärztekammer zur Qualitätssicherung in der Computertomographie; 2022 Dtsch Arztebl 2023; 120(21-22): A-994/B-858. Available online: https://www.bundesaerztekammer.de/fileadmin/user_upload/BAEK/Themen/Qualitaetssicherung/Leitlinie_Computertomographie_Bekanntgabe.pdf (accessed on 18 January 2024).
- German Commission on Radiological Protection (SSK). Medical Applications of Ionising Radiation for the Diagnosis and Treatment of Coronavirus-Associated Lung Disease: German Commission on Radiological Protection. Radiologe 2021, 61, 933–941. [Google Scholar] [CrossRef]
- Boone, J.; Strauss, K.; Cody, D.; McCollough, C.; McNitt-Gray, M.; Toth, T.; Goske, M.; Frush, D. Report No. 204—Size-Specific Dose Estimates (SSDE) in Pediatric and Adult Body CT Examinations; American Association of Physicists in Medicine: Alexandria, VA, USA, 2011. [Google Scholar] [CrossRef]
- Homayounieh, F.; Holmberg, O.; Umairi, R.A.; Aly, S.; Basevičius, A.; Costa, P.R.; Darweesh, A.; Gershan, V.; Ilves, P.; Kostova-Lefterova, D.; et al. Variations in CT Utilization, Protocols, and Radiation Doses in COVID-19 Pneumonia: Results from 28 Countries in the IAEA Study. Radiology 2021, 298, E141–E151. [Google Scholar] [CrossRef]
- Coccia, M. Sources, diffusion and prediction in COVID-19 pandemic: Lessons learned to face next health emergency. AIMS Public. Health 2023, 10, 145–168. [Google Scholar] [CrossRef]
- Agostini, A.; Floridi, C.; Borgheresi, A.; Badaloni, M.; Esposto Pirani, P.; Terilli, F.; Ottaviani, L.; Giovagnoni, A. Proposal of a low-dose, long-pitch, dual-source chest CT protocol on third-generation dual-source CT using a tin filter for spectral shaping at 100 kVp for CoronaVirus Disease 2019 (COVID-19) patients: A feasibility study. Radiol. Med. 2020, 125, 365–373. [Google Scholar] [CrossRef]
- Hamper, C.M.; Fleckenstein, F.N.; Buttner, L.; Hamm, B.; Thieme, N.; Thiess, H.M.; Scholz, O.; Dollinger, F.; Boning, G. Submillisievert chest CT in patients with COVID-19—Experiences of a German Level-I center. Eur. J. Radiol. Open 2020, 7, 100283. [Google Scholar] [CrossRef]
- Greffier, J.; Hoballah, A.; Sadate, A.; de Oliveira, F.; Claret, P.G.; de Forges, H.; Loubet, P.; Mauboussin, J.M.; Hamard, A.; Beregi, J.P.; et al. Ultra-low-dose chest CT performance for the detection of viral pneumonia patterns during the COVID-19 outbreak period: A monocentric experience. Quant. Imaging Med. Surg. 2021, 11, 3190–3199. [Google Scholar] [CrossRef]
- Woeltjen, M.M.; Niehoff, J.H.; Michael, A.E.; Horstmeier, S.; Moenninghoff, C.; Borggrefe, J.; Kroeger, J.R. Low-Dose High-Resolution Photon-Counting CT of the Lung: Radiation Dose and Image Quality in the Clinical Routine. Diagnostics 2022, 12, 1441. [Google Scholar] [CrossRef] [PubMed]
- den Harder, A.M.; Willemink, M.J.; de Ruiter, Q.M.; Schilham, A.M.; Krestin, G.P.; Leiner, T.; de Jong, P.A.; Budde, R.P. Achievable dose reduction using iterative reconstruction for chest computed tomography: A systematic review. Eur. J. Radiol. 2015, 84, 2307–2313. [Google Scholar] [CrossRef] [PubMed]
- Li, J.; Wang, X.; Huang, X.; Chen, F.; Zhang, X.; Liu, Y.; Luo, G.; Xu, X. Application of CareDose 4D combined with Karl 3D technology in the low dose computed tomography for the follow-up of COVID-19. BMC Med. Imaging 2020, 20, 56. [Google Scholar] [CrossRef] [PubMed]
- Prayer, F.; Kienast, P.; Strassl, A.; Moser, P.T.; Bernitzky, D.; Milacek, C.; Gyongyosi, M.; Kifjak, D.; Rohrich, S.; Beer, L.; et al. Detection of Post-COVID-19 Lung Abnormalities: Photon-counting CT versus Same-Day Energy-integrating Detector CT. Radiology 2023, 307, e222087. [Google Scholar] [CrossRef]



| Site | # Examinations Included | # CT Scanner Types * | Scan Mode (SE/DE/DS) |
|---|---|---|---|
| A | 51 | 6 | SE (51) |
| B | 37 | 3 | SE (37) |
| C | 4 | 3 | SE (3), DS (1) |
| D | 20 | 1 | SE (20) |
| E | 105 | 5 | SE (80), DS (25) |
| F | 10 | 2 | SE (10) |
| G | 49 | 1 | SE (49) |
| H | 20 | 1 | SE (20) |
| I | 30 | 2 | SE (30) |
| J | 61 | 2 | SE (61) |
| K | 64 | 4 | SE (64) |
| L | 17 | 2 | SE (17) |
| M | 7 | 3 | SE (7) |
| N | 59 | 2 | SE (58), DE (1) |
| O | only contrast-enhanced CT scans, therefore excluded | ||
| Site | n | Diameter (cm) | Effective Diameter (cm) | CTDIvol (mGy) | SSDE (mGy) | DLP (mGycm) | Calculated Scan Length (mm) | Image Quality Good/Suboptimal/ Not Sufficient/n.e. | |
|---|---|---|---|---|---|---|---|---|---|
| ap | lat | ||||||||
| A | 51 | 25.6 ± 2.9 | 35.6 ± 3.7 | 30.2 ± 3.0 | 6.4 ± 5.6 | 7.4 ± 5.8 | 246.4 ± 252.2 | 368.5 ± 45.5 | 41/9/0/1 |
| B | 37 | 23.9 ± 2.8 | 33.7 ± 3.5 a | 28.1 ± 2.6 a | 2.5 ± 1.5 | 3.2 ± 1.9 a | 79.0 ± 47.5 | 323.9 ± 39.6 | 20/17/0/0 |
| C | 4 | 24.9 ± 4.4 | 34.3 ± 6.1 | 29.2 ± 5.0 | 5.8 ± 5.6 | 6.5 ± 5.5 | 202.8 ± 197.1 | 337.9 ± 26.8 | 4/0/0/0 |
| D | 20 | 27.2 ± 4.5 | 37.6 ± 5.1 | 31.9 ± 4.5 | 10.7 ± 3.9 | 11.8 ± 2.6 | 323.2 ± 112.9 | 304.5 ± 24.3 | 17/3/0/0 |
| E | 105 | 25.3 ± 3.7 | 34.5 ± 4.2 | 29.5 ± 3.5 | 3.0 ± 2.1 | 3.7 ± 2.4 | 92.1 ± 71.6 | 303.9 ± 34.9 | 6/0/0/99 |
| F | 10 | 28.4 ± 5.4 | 37.0 ± 4.3 | 32.3 ± 4.9 | 6.8 ± 3.3 | 7.1 ± 2.4 | 286.1 ± 139.5 | 422.3 ± 26.6 | 9/1/0/0 |
| G | 49 | 25.1 ± 3.3 | 37.4 ± 5.0 | 30.6 ± 3.7 | 2.1 ± 1.7 | 2.4 ± 1.5 | 85.7 ± 68.4 | 399.1 ± 35.3 | 45/3/0/1 |
| H | 20 | 25.2 ± 3.3 | 38.5 ± 5.1 | 31.1 ± 3.8 | 6.5 ± 3.4 | 7.2 ± 2.8 | 247.7 ± 130.8 | 381.0 ± 21.6 | 20/0/0/0 |
| I | 30 | 24.0 ± 1.8 | 35.7 ± 2.2 b | 29.3 ± 1.7 b | 3.4 ± 2.9 | 4.3 ± 3.9 b | 110.2 ± 98.5 | 327.2 ± 35.5 | 24/6/0/0 |
| J | 61 | 25.3 ± 3.5 | 37.2 ± 5.3 | 30.5 ± 3.4 | 3.3 ± 1.1 | 3.9 ± 0.9 | 103.2 ± 36.7 | 314.9 ± 30.1 | 58/3/0/0 |
| K | 64 | 25.7 ± 2.6 | 35.7 ± 3.7 c | 30.4 ± 2.6 c | 2.8 ± 2.2 | 3.2 ± 2.6 c | 93.5 ± 104.3 | 323.3 ± 47.5 | 38/24/2/0 |
| L | 17 | 25.9 ± 3.0 | 36.2 ± 2.9 | 30.6 ± 2.7 | 5.4 ± 2.8 | 6.3 ± 3.0 | 181.4 ± 95.8 | 339.7 ± 40.3 | 10/7/0/0 |
| M | 7 | 27.9 ± 3.1 | 39.3 ± 4.0 | 33.1 ± 3.4 | 3.6 ± 1.2 | 3.8 ± 1.0 | 133.4 ± 54.4 | 370.7 ± 37.0 | 4/3/0/0 |
| N | 59 | 25.8 ± 2.9 | 34.7 ± 3.8 | 29.9 ± 3.0 | 2.0 ± 1.7 | 2.4 ± 1.9 | 67.0 ± 63.1 | 330.8 ± 41.2 | 54/5/0/0 |
| All | 534 | 25.4 ± 3.3 | 35.8 ± 4.4 | 30.1 ± 3.4 | 3.7 ± 3.4 | 4.4 ± 3.6 | 127.4 ± 130.4 | 335.5 ± 49.2 | 350/81/2/101 |
| Reason for Suboptimal or Insufficient Image Quality | # Acquisitions with Provided Reason for Suboptimal or Insufficient Image Quality, n = 82 | Percentage Acquisitions per Reason (%) |
|---|---|---|
| Motion | 62 | 76 |
| Beam hardening | 4 | 5 |
| Image noise | 2 | 2 |
| Insufficient FOV | 2 | 2 |
| Motion, beam hardening, andimage noise | 2 | 2 |
| Motion and insufficient FOV | 3 | 4 |
| Motion and beam hardening | 4 | 5 |
| Motion and image noise | 3 | 4 |
| Site (Included Patients) | Ref. Tube Potential (kV) | Reference TCTP (mAs) or NI | Pitch | Rotation Time (s) | Total Collimation (Single Detector Element Size) (mm) | Effective Diameter with Range (cm) | Mean CTDIvol with Range (mGy) | Mean SSDE with Range (mGy) | IQ Good/ Suboptimal/ Not Sufficient/n.e. |
|---|---|---|---|---|---|---|---|---|---|
| D (20) | 120 | 110 | 1.1 | 0.5 | 19.2 | 31.9 (24.7–40.5) | 10.7 (5.5–20.7) | 11.8 (7.8–18.0) | 17/3/0/0 |
| B (11) | 120 | 58 | 0.763 | 0.33 | 80.0 (0.625) | 28.0 (23.6–32.3) | 3.7 (2.3–6.5) | 4.8 (3.0–8.9) | 7/4/0/0 |
| G (48) | 120 | 15–50 (29) + | 0.763 | 0.33 | 80.0 (0.625) | 30.5 (23.1–39.1) | 1.9 (1.1–3.2) | 2.2 (1.5–3.2) | 44/3/0/1 |
| I (15) | 120 | 25 | 1.2 | 0.5 | 12.0 (0.6) | 29.1 (26.6–32.3) a | 2.8 (1.9–4.1) | 3.3 (2.5–5.0) a | 13/2/0/0 |
| B (12) | 120 | 20 fixed | 0.601 | 0.4 | 80.0 (0.625) | 28.6 (25.1–31.6) | 1.4 (fixed) | 1.8 (1.6–2.1) | 8/4/0/0 |
| B (5) | 120 | 20 fixed | 0.601 | 0.4 | 80.0 (1.25) | 29.9 (26.2–32.5) b | 1.4 (fixed) | 1.7 (1.5–2.0) b | 3/2/0/0 |
| N (6) | 120 | 20 | 1.2 | 0.5 | 38.4 | 29.1 (24.1–31.8) | 1.4 (1.3–1.9) | 1.8 (1.5–2.3) | 6/0/0/0 |
| H (10) | 120 | 23 (NI) | 0.99 | 0.5 | 80.0 (0.625) | 34.2 (29.8–37.9) | 9.2 (6.5–12.2) | 9.5 (7.2–11.3) | 10/0/0/0 |
| N (50) | 110 | 51 | 0.6 | 0.23–0.24 | 57.6 | 29.8 (22.9–37.5) | 1.7 (0.9–4.2) | 2.1 (1.3–5.4) | 45/5/0/0 |
| A (7) | 110 | 19 | 1.7 | 0.28 | 38.4 (0.6) | 29.1 (26.5–31.7) | 1.4 (1.0–2.1) | 1.8 (1.3–2.7) | 5/1/0/1 |
| F (6) | 100 | 124 | 0.758 | 0.5 | 80.0 | 31.7 (23.8–38.7) | 6.2 (3.1–10.1) | 6.8 (4.7–8.9) | 5/1/0/0 |
| K (24) | 100 | 124 | 0.6 | 0.33 | 38.4 (0.6) | 30.3 (25.1–34.6) c | 1.6 (0.9–2.1) | 1.9 (1.3–2.5) c | 16/8/0/0 |
| L (5) | 100 | 75 | 1.2 | 0.3 | 38.4 (0.6) | 30.9 (25.3–33.9) | 7.4 (4.0–9.7) | 8.6 (5.9–10.2) | 3/2/0/0 |
| E (60) | 100 | 60 | 1.2 | 0.5 | 38.4 | 29.4 (24.5–38.6) | 2.7 (1.5–6.6) | 3.4 (1.8–6.0) | 4/0/0/56 |
| E (7) | 100 | 60 | 0.984 | 0.7 | 40.0 | 31.4 (26.9–35.9) | 2.5 (1.9–3.7) | 2.9 (2.2–4.1) | 0/0/0/7 |
| J (57) | 100 | 60 | 0.6 | 0.285 | 38.4 (0.6) | 30.4 (21.4–40.5) | 3.2 (1.6–7.5) | 3.8 (2.3–6.6) | 54/3/0/0 |
| K (5) | 100 | 35 (NI) | 1.38 | 0.7 | 20.0 (1.25) | 29.0 (27.8–29.9) d | 4.2 (2.1–5.9) | 4.2 (2.7–5.8) d | 3/1/1/0 |
| H (9) | 100 | 23.4 (NI) | 0.99 | 0.5 | 80.0 (0.625) | 27.9 (24.8–29.6) | 3.4 (2.7–3.9) | 4.5 (3.5–5.3) | 9/0/0/0 |
| E (11) | Sn100 (DS) | 200 | 1.7 | 0.285 | 38.4 | 29.5 (26.4–35.9) | 1.9 (1.3–3.0) | 2.4 (1.7–3.6) | 1/0/0/10 |
Disclaimer/Publisher’s Note: The statements, opinions and data contained in all publications are solely those of the individual author(s) and contributor(s) and not of MDPI and/or the editor(s). MDPI and/or the editor(s) disclaim responsibility for any injury to people or property resulting from any ideas, methods, instructions or products referred to in the content. |
© 2024 by the authors. Licensee MDPI, Basel, Switzerland. This article is an open access article distributed under the terms and conditions of the Creative Commons Attribution (CC BY) license (https://creativecommons.org/licenses/by/4.0/).
Share and Cite
Steuwe, A.; Kamp, B.; Afat, S.; Akinina, A.; Aludin, S.; Bas, E.G.; Berger, J.; Bohrer, E.; Brose, A.; Büttner, S.M.; et al. Standardization of a CT Protocol for Imaging Patients with Suspected COVID-19—A RACOON Project. Bioengineering 2024, 11, 207. https://doi.org/10.3390/bioengineering11030207
Steuwe A, Kamp B, Afat S, Akinina A, Aludin S, Bas EG, Berger J, Bohrer E, Brose A, Büttner SM, et al. Standardization of a CT Protocol for Imaging Patients with Suspected COVID-19—A RACOON Project. Bioengineering. 2024; 11(3):207. https://doi.org/10.3390/bioengineering11030207
Chicago/Turabian StyleSteuwe, Andrea, Benedikt Kamp, Saif Afat, Alena Akinina, Schekeb Aludin, Elif Gülsah Bas, Josephine Berger, Evelyn Bohrer, Alexander Brose, Susanne Martina Büttner, and et al. 2024. "Standardization of a CT Protocol for Imaging Patients with Suspected COVID-19—A RACOON Project" Bioengineering 11, no. 3: 207. https://doi.org/10.3390/bioengineering11030207
APA StyleSteuwe, A., Kamp, B., Afat, S., Akinina, A., Aludin, S., Bas, E. G., Berger, J., Bohrer, E., Brose, A., Büttner, S. M., Ehrengut, C., Gerwing, M., Grosu, S., Gussew, A., Güttler, F., Heinrich, A., Jiraskova, P., Kloth, C., Kottlors, J., ... Valentin, B. (2024). Standardization of a CT Protocol for Imaging Patients with Suspected COVID-19—A RACOON Project. Bioengineering, 11(3), 207. https://doi.org/10.3390/bioengineering11030207

