MRI-Driven Alzheimer’s Disease Diagnosis Using Deep Network Fusion and Optimal Selection of Feature
Abstract
1. Introduction
2. Materials and Methods
2.1. Proposed AD Detection and Staging Framework
2.2. Datasets
2.3. Deep Feature Extraction
2.3.1. Convolutional Neural Networks (CNNs)
2.3.2. Deep Feature Extraction Using CNNs
2.3.3. Canonical Correlation Analysis (CCA) for Feature Fusion
2.3.4. Enhanced Whale Optimization Algorithm (WOA)
| Algorithm 1: Pseudo-code of binary-enhanced WOA [34]. | 
| 1. Generate a random population of N whales using 2. Initialize K (maximum iterations) 3. Evaluate the solution of the population using the fitness function 4. Determine 5. Set k = 1 6. while (k < K) do 7. Randomly select a portion P of the N population 8. Determine (mitigating search strategy) 9. if k is not in P then 10. Compute 11. if ( < 0.5) then 12. if < 0.5 then 13. Compute using (10) for enriched encircling prey strategy 14. else if > 0.5 then 15. Compute using (9) for a preferential selection strategy 16. end if 17. else if ( > 0.5) then 18. Compute using (6) for the spiral bubble-net attacking strategy 19. end if 20. Transform continuous search space to binary using 21. Evaluate the fitness value for each solution 22. Update using the position with lower fitness value from 23. end if 24. Update 25. k = k + 1 26. end while | 
3. Results
4. Discussion
5. Conclusions
Author Contributions
Funding
Institutional Review Board Statement
Informed Consent Statement
Data Availability Statement
Conflicts of Interest
References
- Ulep, M.G.; Saraon, S.K.; McLea, S. Alzheimer disease. J. Nurse Pract. 2018, 14, 129–135. [Google Scholar] [CrossRef]
- Salvatore, C.; Cerasa, A.; Battista, P.; Gilardi, M.C.; Quattrone, A.; Castiglioni, I. Magnetic resonance imaging biomarkers for the early diagnosis of Alzheimer’s disease: A machine learning approach. Front. Neurosci. 2015, 9, 307. [Google Scholar] [CrossRef]
- Patterson, C. World Alzheimer Report 2018. 2018. Available online: https://www.alzint.org/resource/world-alzheimer-report-2018/ (accessed on 4 February 2024).
- Liu, S.; Liu, S.; Cai, W.; Pujol, S.; Kikinis, R.; Feng, D. Early diagnosis of Alzheimer’s disease with deep learning. In Proceedings of the 2014 IEEE 11th International Symposium on Biomedical Imaging (ISBI), Beijing, China, 29 April–2 May 2014; pp. 1015–1018. [Google Scholar]
- Sabbagh, M.N.; Lue, L.-F.; Fayard, D.; Shi, J. Increasing Precision of Clinical Diagnosis of Alzheimer’s Disease Using a Combined Algorithm Incorporating Clinical and Novel Biomarker Data. Neurol. Ther. 2017, 6, 83–95. [Google Scholar] [CrossRef] [PubMed]
- Moser, E.; Stadlbauer, A.; Windischberger, C.; Quick, H.H.; Ladd, M.E. Magnetic resonance imaging methodology. Eur. J. Nucl. Med. Mol. Imaging 2009, 36, 30–41. [Google Scholar] [CrossRef] [PubMed]
- Noor, M.B.T.; Zenia, N.Z.; Kaiser, M.S.; Mamun, S.A.; Mahmud, M. Application of deep learning in detecting neurological disorders from magnetic resonance images: A survey on the detection of Alzheimer’s disease, Parkinson’s disease and schizophrenia. Brain Inform. 2020, 7, 11. [Google Scholar] [CrossRef] [PubMed]
- Baratti, C.; Barkhof, F.; Hoogenraad, F.; Valk, J. Partially saturated fluid attenuated inversion recovery (FLAIR) sequences in multiple sclerosis: Comparison with fully relaxed FLAIR and conventional spin-echo. Magn. Reson. Imaging 1995, 13, 513–521. [Google Scholar] [CrossRef]
- Mateos-Pérez, J.M.; Dadar, M.; Lacalle-Aurioles, M.; Iturria-Medina, Y.; Zeighami, Y.; Evans, A.C. Structural neuroimaging as clinical predictor: A review of machine learning applications. NeuroImage Clin. 2018, 20, 506–522. [Google Scholar] [CrossRef]
- Rabeh, A.B.; Benzarti, F.; Amiri, H. Diagnosis of Alzheimer Diseases in Early Step Using SVM (Support Vector Machine). In Proceedings of the 2016 13th International Conference on Computer Graphics, Imaging and Visualization (CGiV), Beni Mellal, Morocco, 29 March–1 April 2016; pp. 364–367. [Google Scholar]
- Tripoliti, E.E.; Fotiadis, D.I.; Argyropoulou, M. A supervised method to assist the diagnosis and monitor progression of Alzheimer’s disease using data from an fMRI experiment. Artif. Intell. Med. 2011, 53, 35–45. [Google Scholar] [CrossRef]
- Hinrichs, C.; Singh, V.; Mukherjee, L.; Xu, G.; Chung, M.K.; Johnson, S.C. Spatially augmented LPboosting for AD classification with evaluations on the ADNI dataset. NeuroImage 2009, 48, 138–149. [Google Scholar] [CrossRef]
- Hinton, G.E. Deep belief networks. Scholarpedia 2009, 4, 5947. [Google Scholar] [CrossRef]
- Vincent, P.; Larochelle, H.; Lajoie, I.; Bengio, Y.; Manzagol, P.-A.; Bottou, L. Stacked denoising autoencoders: Learning useful representations in a deep network with a local denoising criterion. J. Mach. Learn. Res. 2010, 11, 3371–3408. [Google Scholar]
- Rawat, W.; Wang, Z. Deep Convolutional Neural Networks for Image Classification: A Comprehensive Review. Neural Comput. 2017, 29, 2352–2449. [Google Scholar] [CrossRef]
- Ali, M.U.; Kallu, K.D.; Masood, H.; Tahir, U.; Gopi, C.V.V.M.; Zafar, A.; Lee, S.W. A CNN-Based Chest Infection Diagnostic Model: A Multistage Multiclass Isolated and Developed Transfer Learning Framework. Int. J. Intell. Syst. 2023, 2023, 6850772. [Google Scholar] [CrossRef]
- Alanazi, M.F.; Ali, M.U.; Hussain, S.J.; Zafar, A.; Mohatram, M.; Irfan, M.; AlRuwaili, R.; Alruwaili, M.; Ali, N.H.; Albarrak, A.M. Brain Tumor/Mass Classification Framework Using Magnetic-Resonance-Imaging-Based Isolated and Developed Transfer Deep-Learning Model. Sensors 2022, 22, 372. [Google Scholar] [CrossRef]
- Almalki, Y.E.; Ali, M.U.; Kallu, K.D.; Masud, M.; Zafar, A.; Alduraibi, S.K.; Irfan, M.; Basha, M.A.A.; Alshamrani, H.A.; Alduraibi, A.K.; et al. Isolated Convolutional-Neural-Network-Based Deep-Feature Extraction for Brain Tumor Classification Using Shallow Classifier. Diagnostics 2022, 12, 1793. [Google Scholar] [CrossRef] [PubMed]
- Lin, W.; Tong, T.; Gao, Q.; Guo, D.; Du, X.; Yang, Y.; Guo, G.; Xiao, M.; Du, M.; Qu, X.; et al. Convolutional Neural Networks-Based MRI Image Analysis for the Alzheimer’s Disease Prediction From Mild Cognitive Impairment. Front. Neurosci. 2018, 12, 777. [Google Scholar] [CrossRef]
- Wen, J.; Thibeau-Sutre, E.; Diaz-Melo, M.; Samper-González, J.; Routier, A.; Bottani, S.; Dormont, D.; Durrleman, S.; Burgos, N.; Colliot, O. Convolutional neural networks for classification of Alzheimer’s disease: Overview and reproducible evaluation. Med. Image Anal. 2020, 63, 101694. [Google Scholar] [CrossRef]
- Lu, D.; Popuri, K.; Ding, G.W.; Balachandar, R.; Beg, M.F.; Weiner, M.; Aisen, P.; Petersen, R.; Jack, C.; Jagust, W.; et al. Multimodal and Multiscale Deep Neural Networks for the Early Diagnosis of Alzheimer’s Disease using structural MR and FDG-PET images. Sci. Rep. 2018, 8, 5697. [Google Scholar] [CrossRef]
- Ahmed, S.; Choi, K.Y.; Lee, J.J.; Kim, B.C.; Kwon, G.R.; Lee, K.H.; Jung, H.Y. Ensembles of Patch-Based Classifiers for Diagnosis of Alzheimer Diseases. IEEE Access 2019, 7, 73373–73383. [Google Scholar] [CrossRef]
- Jain, R.; Jain, N.; Aggarwal, A.; Hemanth, D.J. Convolutional neural network based Alzheimer’s disease classification from magnetic resonance brain images. Cogn. Syst. Res. 2019, 57, 147–159. [Google Scholar] [CrossRef]
- Pan, D.; Zeng, A.; Jia, L.; Huang, Y.; Frizzell, T.; Song, X. Early Detection of Alzheimer’s Disease Using Magnetic Resonance Imaging: A Novel Approach Combining Convolutional Neural Networks and Ensemble Learning. Front. Neurosci. 2020, 14, 259. [Google Scholar] [CrossRef] [PubMed]
- Murugan, S.; Venkatesan, C.; Sumithra, M.G.; Gao, X.Z.; Elakkiya, B.; Akila, M.; Manoharan, S. DEMNET: A Deep Learning Model for Early Diagnosis of Alzheimer Diseases and Dementia From MR Images. IEEE Access 2021, 9, 90319–90329. [Google Scholar] [CrossRef]
- Nawaz, H.; Maqsood, M.; Afzal, S.; Aadil, F.; Mehmood, I.; Rho, S. A deep feature-based real-time system for Alzheimer disease stage detection. Multimed. Tools Appl. 2021, 80, 35789–35807. [Google Scholar] [CrossRef]
- Akram, M.W.; Li, G.; Jin, Y.; Chen, X.; Zhu, C.; Ahmad, A. Automatic detection of photovoltaic module defects in infrared images with isolated and develop-model transfer deep learning. Sol. Energy 2020, 198, 175–186. [Google Scholar] [CrossRef]
- Oyetade, I.S.; Ayeni, J.O.; Ogunde, A.O.; Oguntunde, B.O.; Olowookere, T.A. Hybridized deep convolutional neural network and fuzzy support vector machines for breast cancer detection. SN Comput. Sci. 2022, 3, 58. [Google Scholar] [CrossRef]
- Fatima, M.; Khan, M.A.; Shaheen, S.; Almujally, N.A.; Wang, S.-H. B2C3NetF2: Breast cancer classification using an end-to-end deep learning feature fusion and satin bowerbird optimization controlled Newton Raphson feature selection. CAAI Trans. Intell. Technol. 2023, 8, 1374–1390. [Google Scholar] [CrossRef]
- Zahoor, S.; Shoaib, U.; Lali, I.U. Breast Cancer Mammograms Classification Using Deep Neural Network and Entropy-Controlled Whale Optimization Algorithm. Diagnostics 2022, 12, 557. [Google Scholar] [CrossRef]
- Baltruschat, I.M.; Nickisch, H.; Grass, M.; Knopp, T.; Saalbach, A. Comparison of Deep Learning Approaches for Multi-Label Chest X-Ray Classification. Sci. Rep. 2019, 9, 6381. [Google Scholar] [CrossRef]
- Kang, J.; Gwak, J. Ensemble of Instance Segmentation Models for Polyp Segmentation in Colonoscopy Images. IEEE Access 2019, 7, 26440–26447. [Google Scholar] [CrossRef]
- Mirjalili, S.; Lewis, A. The Whale Optimization Algorithm. Adv. Eng. Softw. 2016, 95, 51–67. [Google Scholar] [CrossRef]
- Nadimi-Shahraki, M.H.; Zamani, H.; Mirjalili, S. Enhanced whale optimization algorithm for medical feature selection: A COVID-19 case study. Comput. Biol. Med. 2022, 148, 105858. [Google Scholar] [CrossRef] [PubMed]
- Agrawal, P.; Abutarboush, H.F.; Ganesh, T.; Mohamed, A.W. Metaheuristic Algorithms on Feature Selection: A Survey of One Decade of Research (2009–2019). IEEE Access 2021, 9, 26766–26791. [Google Scholar] [CrossRef]
- Shukla, A.; Tiwari, R.; Tiwari, S. Alz-ConvNets for classification of Alzheimer disease using transfer learning approach. SN Comput. Sci. 2023, 4, 404. [Google Scholar] [CrossRef]
- Mohammed, B.A.; Senan, E.M.; Rassem, T.H.; Makbol, N.M.; Alanazi, A.A.; Al-Mekhlafi, Z.G.; Almurayziq, T.S.; Ghaleb, F.A. Multi-Method Analysis of Medical Records and MRI Images for Early Diagnosis of Dementia and Alzheimer’s Disease Based on Deep Learning and Hybrid Methods. Electronics 2021, 10, 2860. [Google Scholar] [CrossRef]
- Acharya, H.; Mehta, R.; Singh, D.K. Alzheimer Disease Classification Using Transfer Learning. In Proceedings of the 2021 5th International Conference on Computing Methodologies and Communication (ICCMC), Erode, India, 8–10 April 2021; pp. 1503–1508. [Google Scholar]
- El-Latif, A.A.A.; Chelloug, S.A.; Alabdulhafith, M.; Hammad, M. Accurate detection of Alzheimer’s disease using lightweight deep learning model on MRI data. Diagnostics 2023, 13, 1216. [Google Scholar] [CrossRef]
- Loddo, A.; Buttau, S.; Di Ruberto, C. Deep learning based pipelines for Alzheimer’s disease diagnosis: A comparative study and a novel deep-ensemble method. Comput. Biol. Med. 2022, 141, 105032. [Google Scholar] [CrossRef]






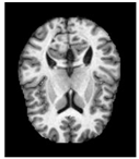
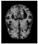
| Parameters | Classes | |||
|---|---|---|---|---|
| Non-Demented (ND) | Mild Demented (MID) | Moderate Demented (MOD) | Very Mild Demented (VMD) | |
| Brain MRI images |  |  |  |  | 
| No. of Samples | 2560 | 717 | 52 | 1792 | 
| CNNs | Training Accuracy (%) | Training Loss | Validation Accuracy (%) | Validation Loss | Training Time | 
|---|---|---|---|---|---|
| DenseNet-201 | 100 | 1.4 × 10−04 | 93.93 | 0.2152 | 1062 min 20 s | 
| EfficientNet-b0 | 100 | 2.8 × 10−03 | 90.32 | 0.3030 | 329 min 45 s | 
| GoogleNet | 100 | 3.6 × 10−04 | 92.57 | 0.3584 | 40 min 30 s | 
| Inception-v3 | 100 | 4.3 × 10−04 | 84.84 | 0.5598 | 435 min 47 s | 
| ResNet50 | 100 | 1.9 × 10−04 | 88.95 | 0.3938 | 299 min 40 s | 
| MobileNet-v2 | 100 | 3.2 × 10−04 | 91.02 | 0.3818 | 195 min 55 s | 
| No. of Runs | CCA-Based Fused Features | CCA + Feature Selection Approaches | |||||||||
|---|---|---|---|---|---|---|---|---|---|---|---|
| Marine Predator Algorithm | Generalized Normal Distribution Optimization | Slime Mold Algorithm | Equilibrium Optimizer | Manta-Ray Foraging Optimization | Atom Search Optimization | Henry Gas Solubility Optimization | Pathfinder Algorithm | Poor And Rich Optimization | WOA | ||
| 1 | 95.21 | 97.17 | 97.17 | 96.00 | 97.17 | 97.17 | 96.09 | 95.80 | 96.68 | 97.46 | 98.05 | 
| 2 | 95.12 | 97.17 | 96.88 | 95.61 | 97.36 | 96.68 | 96.78 | 95.70 | 96.00 | 96.88 | 97.95 | 
| 3 | 95.51 | 96.88 | 96.39 | 94.92 | 96.09 | 96.58 | 96.29 | 95.41 | 96.09 | 96.58 | 96.97 | 
| 4 | 93.75 | 95.70 | 95.61 | 93.95 | 95.21 | 95.90 | 94.92 | 94.53 | 94.92 | 95.70 | 96.68 | 
| 5 | 94.04 | 96.29 | 96.00 | 94.63 | 95.90 | 96.29 | 95.02 | 94.63 | 95.12 | 95.70 | 96.68 | 
| 6 | 95.90 | 97.46 | 96.88 | 96.19 | 96.97 | 97.36 | 96.97 | 96.39 | 97.07 | 97.36 | 98.24 | 
| 7 | 94.14 | 96.39 | 95.90 | 94.63 | 96.29 | 95.80 | 95.61 | 95.02 | 95.41 | 95.90 | 97.17 | 
| 8 | 94.43 | 96.78 | 96.00 | 94.82 | 96.19 | 96.29 | 96.09 | 95.41 | 96.00 | 96.29 | 96.97 | 
| 9 | 93.65 | 96.58 | 95.41 | 94.43 | 95.70 | 95.90 | 94.82 | 94.73 | 95.12 | 95.70 | 96.78 | 
| 10 | 95.21 | 96.78 | 96.78 | 95.02 | 96.29 | 96.88 | 96.00 | 95.41 | 96.19 | 96.39 | 97.27 | 
| mean ± std | 94.7 ± 0.79 | 96.72 ± 0.51 | 96.3 ± 0.6 | 95.02 ± 0.71 | 96.32 ± 0.67 | 96.48 ± 0.54 | 95.86 ± 0.75 | 95.3 ± 0.58 | 95.86 ± 0.71 | 96.4 ± 0.67 | 97.28 ± 0.59 | 
| Study | Alzheimer’s Dataset | 
|---|---|
| Shukla et al. [36] | 94 | 
| Mohammed et al. [37] | 94.8 | 
| Murugan et al. [25] | 95.23 | 
| Acharya et al. [38] | 95.70 | 
| El-Latif et al. [39] | 95.93 | 
| Loddo et al. [40] | 97.71 | 
| Proposed hybrid approach | 98.25 (maximum) 98.12 ± 0.52 (mean ± standard deviation) | 
| Disclaimer/Publisher’s Note: The statements, opinions and data contained in all publications are solely those of the individual author(s) and contributor(s) and not of MDPI and/or the editor(s). MDPI and/or the editor(s) disclaim responsibility for any injury to people or property resulting from any ideas, methods, instructions or products referred to in the content. | 
© 2024 by the authors. Licensee MDPI, Basel, Switzerland. This article is an open access article distributed under the terms and conditions of the Creative Commons Attribution (CC BY) license (https://creativecommons.org/licenses/by/4.0/).
Share and Cite
Ali, M.U.; Hussain, S.J.; Khalid, M.; Farrash, M.; Lahza, H.F.M.; Zafar, A. MRI-Driven Alzheimer’s Disease Diagnosis Using Deep Network Fusion and Optimal Selection of Feature. Bioengineering 2024, 11, 1076. https://doi.org/10.3390/bioengineering11111076
Ali MU, Hussain SJ, Khalid M, Farrash M, Lahza HFM, Zafar A. MRI-Driven Alzheimer’s Disease Diagnosis Using Deep Network Fusion and Optimal Selection of Feature. Bioengineering. 2024; 11(11):1076. https://doi.org/10.3390/bioengineering11111076
Chicago/Turabian StyleAli, Muhammad Umair, Shaik Javeed Hussain, Majdi Khalid, Majed Farrash, Hassan Fareed M. Lahza, and Amad Zafar. 2024. "MRI-Driven Alzheimer’s Disease Diagnosis Using Deep Network Fusion and Optimal Selection of Feature" Bioengineering 11, no. 11: 1076. https://doi.org/10.3390/bioengineering11111076
APA StyleAli, M. U., Hussain, S. J., Khalid, M., Farrash, M., Lahza, H. F. M., & Zafar, A. (2024). MRI-Driven Alzheimer’s Disease Diagnosis Using Deep Network Fusion and Optimal Selection of Feature. Bioengineering, 11(11), 1076. https://doi.org/10.3390/bioengineering11111076
 
        


 
       