Glycogen Storage Disease Ib and Severe Periodontal Destruction: A Case Report
Abstract
1. Introduction
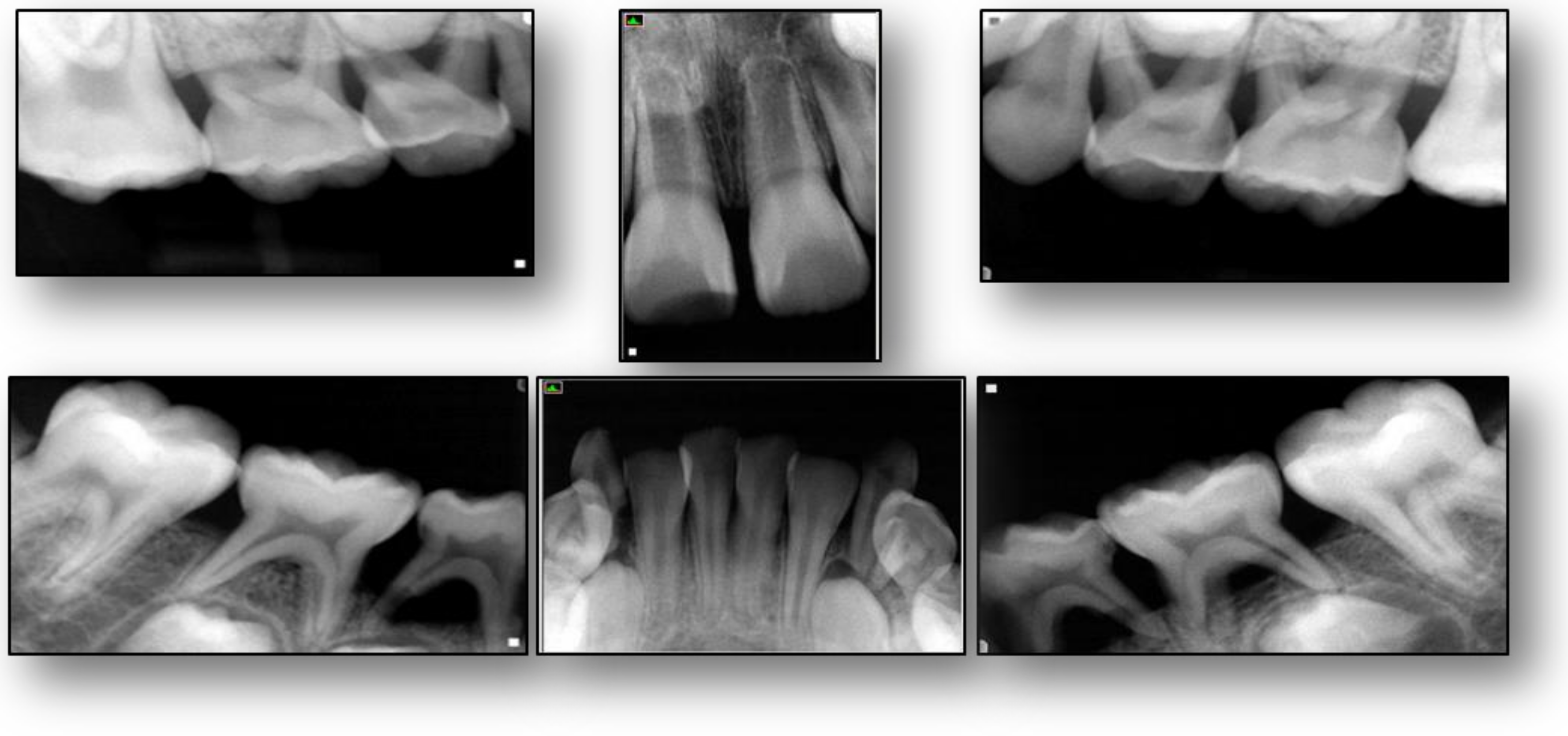
2. Case Presentation
3. Discussion
Author Contributions
Research Funding
Acknowledgments
Conflicts of Interests
References
- Dorland, W.A. Newman. Dorland’s Illustrated Medical Dictionary, 32nd ed.; Elsevier/Saunders: Philadelphia, PA, USA, 2012. [Google Scholar]
- Chen, Y.T. The Metabolic and Molecular Bases of Inherited Disease; McGraw Hill: New York, NY, USA, 2001; Volume 1, pp. 1521–1551. [Google Scholar]
- Weinstein, D.A.; Wolfsdorf, J.I. Effect of continuous glucose therapy with uncooked cornstarch on the long-term clinical course of type 1a glycogen storage disease. Eur. J. Pediatr. 2002, 161, S35–S39. [Google Scholar] [CrossRef] [PubMed]
- Mundy, H.R.; Hindmarsh, P.C.; Matthews, D.R.; Leonard, J.V.; Lee, P.J. The Regulation of Growth in Glycogen Storage Disease Type 1. Clin. Endocrinol. 2003, 58, 332–339. [Google Scholar] [CrossRef]
- Von Cudzinowski, L. Gierke’s disease: Report of case. ASDC J. Dent. Child. 1979, 45, 413–415. [Google Scholar]
- Visser, G.; Rake, J.P.; Labrune, P.; Leonard, J.V.; Moses, S.; Ullrich, K.; Wendel, U.; Groenier, K.H.; Smit, G.P.A. Granulocyte colony-stimulating factor in glycogen storage disease type 1b. Results of the European Study on Glycogen Storage Disease Type 1. Eur. J. Pediatr. 2002, 161, S83–S87. [Google Scholar] [CrossRef] [PubMed]
- Simoes, A.; Domingos, F.; Fortes, A.; Prata, M.M. Type 1 glycogen storage disease and recurrent calcium nephrolithiasis. Nephrol. Dial. Transplant. 2001, 16, 1277–1279. [Google Scholar] [CrossRef] [PubMed]
- Weston, B.W.; Lin, J.L.; Muenzer, J.; Cameron, H.S.; Arnold, R.R.; Seydewitz, H.H.; Mayatepek, E.; Van Schaftingen, E.; Veiga-Da-Cunha, M.; Matern, D. Glucose-6-phosphatase mutation G188R confers an atypical glycogen storage disease type Ib phenotype. Pediatr. Res. 2000, 48, 329–334. [Google Scholar] [CrossRef] [PubMed]
- Visser, G.; de Jager, W.; Verhagen, L.P.; Smit, G.P.; Wijburg, F.A.; Prakken, B.J.; Coffer, P.J.; Buitenhuis, M. Survival, but not maturation, is affected in neutrophil progenitors from GSD-1b patients. J. Inherit. Metab. Dis. 2012, 35, 287–300. [Google Scholar] [CrossRef] [PubMed]
- Miller, D.R.; Lamster, I.B.; Chasens, A.I. Role of the polymorphonuclear leukocyte in periodontal health and disease. J. Clin. Periodontol. 1984, 11, 1. [Google Scholar] [CrossRef] [PubMed]
- Santigli, E.; Koller, M.; Klug, B. Oral Biofilm sampling for Microbiome Analysis in healthy Children. J. Vis. Exp. 2017, 130, 56320. [Google Scholar] [CrossRef] [PubMed]
- Denholm, E.M.; Wolber, F.M. A simple method for the purification of human peripheral blood monocytes. A substitute for Sepracell-MN. J. Immunol. Methods 1991, 144, 247–251. [Google Scholar] [CrossRef]
- Fischer, A.H.; Jacobson, K.A.; Rose, J.; Zeller, R. Hematoxylin and eosin staining of tissue and cell sections. CSH Protoc. 2008. [Google Scholar] [CrossRef] [PubMed]
- Schallhorn, R.G.; Snider, L.E. Periodontal maintenance therapy. J. Am. Dent. Assoc. 1981, 103, 227–231. [Google Scholar] [CrossRef] [PubMed]
- Anderson, D.C.; Mace, M.L.; Brinkley, B.R.; Martin, R.R.; Smith, C.W. Recurrent infection in glycogenosis type Ib: Abnormal neutrophil motility related to impaired redistribution of adhesion sites. J. Infect. Dis. 1981, 143, 447–459. [Google Scholar] [CrossRef] [PubMed]
- Burns, M.J.; Furie, M.B. Borrelia burgdorferi and interleukin-1 promote the transendothelial migration of monocytes in vitro by different mechanisms. Infect. Immunity 1998, 66, 4875–4883. [Google Scholar]
- Tran, S.D.; Rudney, J.D. Improved multiplex PCR using conserved and species-specific 16S rRNA gene primers for simultaneous detection of Actinobacillus actinomycetemcomitans, Bacteroides forsythus, and Porphyromonas gingivalis. J. Clin. Microbiol. 1999, 37, 3504–3508. [Google Scholar] [PubMed]
- Eskan, M.A.; Jotwani, R.; Abe, T.; Chmelar, J.; Lim, J.H.; Liang, S.; Ciero, P.A.; Krauss, J.L.; Li, F.; Rauner, M.; et al. The leukocyte integrin antagonist Del-1 inhibits IL-17-mediated inflammatory bone loss. Nat. Immunol. 2012, 13, 465–473. [Google Scholar] [CrossRef] [PubMed]
- Roberts, H.M.; Ling, M.R.; Insall, R.; Kalna, G.; Spengler, J.; Grant, M.M.; Chapple, I.L. Impaired neutrophil directional chemotactic accuracy in chronic periodontitis patients. J. Clin. Periodontol. 2015, 42, 1–11. [Google Scholar] [CrossRef] [PubMed]
- Hajishengallis, E.; Hajishengallis, G. Neutrophil homeostasis and periodontal health in children and adults. J. Dent. Res. 2014, 93, 231–237. [Google Scholar] [CrossRef] [PubMed]
- Ley, K.; Laudanna, C.; Cybulsky, M.I.; Nourshargh, S. Getting to the site of inflammation: The leukocyte adhesion cascade updated. Nat. Rev. Immunol. 2007, 7, 678–689. [Google Scholar] [CrossRef] [PubMed]
- Phillipson, M.; Heit, B.; Colarusso, P.; Liu, L.; Ballantyne, C.M.; Kubes, P. Intraluminal crawling of neutrophils to emigration sites: A molecularly distinct process from adhesion in the recruitment cascade. J. Exp. Med. 2006, 203, 2569–2575. [Google Scholar] [CrossRef] [PubMed]
- Stearns-Kurosawa, D.J.; Osuchowski, M.F.; Valentine, C.; Kurosawa, S.; Remick, D.G. The pathogenesis of sepsis. Ann. Rev. Pathol. 2011, 6, 19–48. [Google Scholar] [CrossRef] [PubMed]
- Socransky, S.S.; Haffajee, A.D.; Cugini, M.A.; Smith, C.; Kent, R.L., Jr. Microbial complexes in subgingival plaque. J. Clin. Periodontol. 1998, 25, 134–144. [Google Scholar] [CrossRef] [PubMed]





| Sample Site | AA | PG | TD | TF | |
|---|---|---|---|---|---|
| 1 | Control#1 | - | - | - | - |
| 2 | Control#2 | - | - | - | - |
| 3 | #3(D) | - | - | - | + |
| 4 | #14(D) | - | - | - | + |
| 5 | #19(D) | - | - | - | + |
| 6 | #30(D) | - | - | - | - |
| 7 | #A(M) | - | - | - | + |
| 8 | #J(M) | - | - | - | + |
| 9 | #K(M) | - | - | - | + |
| 10 | #T(M) | - | - | - | + |
| 11 | #8(M) | - | - | - | + |
| 12 | #24(M) | - | - | - | + |
© 2018 by the authors. Licensee MDPI, Basel, Switzerland. This article is an open access article distributed under the terms and conditions of the Creative Commons Attribution (CC BY) license (http://creativecommons.org/licenses/by/4.0/).
Share and Cite
Ma, R.; Moein Vaziri, F.; Sabino, G.J.; Sarmast, N.D.; Zove, S.M.; Iacono, V.J.; Carrion, J.A. Glycogen Storage Disease Ib and Severe Periodontal Destruction: A Case Report. Dent. J. 2018, 6, 53. https://doi.org/10.3390/dj6040053
Ma R, Moein Vaziri F, Sabino GJ, Sarmast ND, Zove SM, Iacono VJ, Carrion JA. Glycogen Storage Disease Ib and Severe Periodontal Destruction: A Case Report. Dentistry Journal. 2018; 6(4):53. https://doi.org/10.3390/dj6040053
Chicago/Turabian StyleMa, Rui, Fardad Moein Vaziri, Gregory J. Sabino, Nima D. Sarmast, Steven M. Zove, Vincent J. Iacono, and Julio A. Carrion. 2018. "Glycogen Storage Disease Ib and Severe Periodontal Destruction: A Case Report" Dentistry Journal 6, no. 4: 53. https://doi.org/10.3390/dj6040053
APA StyleMa, R., Moein Vaziri, F., Sabino, G. J., Sarmast, N. D., Zove, S. M., Iacono, V. J., & Carrion, J. A. (2018). Glycogen Storage Disease Ib and Severe Periodontal Destruction: A Case Report. Dentistry Journal, 6(4), 53. https://doi.org/10.3390/dj6040053

