Influence of Cavity Lining on the 3-Year Clinical Outcome of Posterior Composite Restorations: A Randomized Controlled Clinical Trial
Abstract
1. Introduction
2. Materials and Methods
2.1. General Study Design
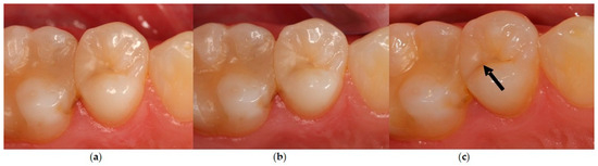
2.2. Clinical Process
2.3. Re-Examniation Protocol (Baseline, 6 Months, 12 Months, 24 Months, 36 Months)
2.4. Statistical Considerations
3. Results
3.1. Demographic and Clinical Characteristics of the Study Population at Baseline
3.2. Development of the Study Population over 36 Months
3.3. Survival Rates after 36 Months
3.4. Results of Parameters with Recognizable Findings after 36 Months
3.4.1. Secondary Caries
3.4.2. Tooth Vitality
3.4.3. Postoperative Sensitivity
3.4.4. Filling Integrity/Fracture
3.4.5. Marginal Adaption
3.4.6. Marginal Discoloration
3.5. Results of Paramters without Any Findings after 36 Months
3.6. Results of Oral Hygiene Indexes after 36 Months: Plaque and Gingival Index
4. Discussion
5. Conclusions
Author Contributions
Funding
Institutional Review Board Statement
Informed Consent Statement
Data Availability Statement
Conflicts of Interest
References
- de Kuijper, M.; Cune, M.S.; Ozcan, M.; Gresnigt, M.M.M. Clinical performance of direct composite resin versus indirect restorations on endodontically treated posterior teeth: A systematic review and meta-analysis. J. Prosthet. Dent. 2023, 130, 295–306. [Google Scholar] [CrossRef] [PubMed]
- Gresnigt, M.M.M.; Cune, M.S.; Jansen, K.; van der Made, S.A.M.; Ozcan, M. Randomized clinical trial on indirect resin composite and ceramic laminate veneers: Up to 10-year findings. J. Dent. 2019, 86, 102–109. [Google Scholar] [CrossRef] [PubMed]
- Boeckler, A.; Boeckler, L.; Eppendorf, K.; Schaller, H.G.; Gernhardt, C.R. A prospective, randomized clinical trial of a two-step self-etching vs two-step etch-and-rinse adhesive and SEM margin analysis: Four-year results. J. Adhes. Dent. 2012, 14, 585–592. [Google Scholar] [CrossRef] [PubMed]
- Papadiochou, S.; Pissiotis, A.L. Marginal adaptation and CAD-CAM technology: A systematic review of restorative material and fabrication techniques. J. Prosthet. Dent. 2018, 119, 545–551. [Google Scholar] [CrossRef] [PubMed]
- Boeckler, A.; Schaller, H.G.; Gernhardt, C.R. A prospective, double-blind, randomized clinical trial of a one-step, self-etch adhesive with and without an intermediary layer of a flowable composite: A 2-year evaluation. Quintessence Int. 2012, 43, 279–286. [Google Scholar] [PubMed]
- Boruziniat, A.; Gharaee, S.; Sarraf Shirazi, A.; Majidinia, S.; Vatanpour, M. Evaluation of the efficacy of flowable composite as lining material on microleakage of composite resin restorations: A systematic review and meta-analysis. Quintessence Int. 2016, 47, 93–101. [Google Scholar] [CrossRef] [PubMed]
- Borgia, E.; Baron, R.; Borgia, J.L. Quality and Survival of Direct Light-Activated Composite Resin Restorations in Posterior Teeth: A 5- to 20-Year Retrospective Longitudinal Study. J. Prosthodont. 2019, 28, e195–e203. [Google Scholar] [CrossRef] [PubMed]
- von Gehren, M.O.; Ruttermann, S.; Romanos, G.E.; Herrmann, E.; Gerhardt-Szep, S. A 23-Year Observational Follow-Up Clinical Evaluation of Direct Posterior Composite Restorations. Dent. J. 2023, 11, 69. [Google Scholar] [CrossRef] [PubMed]
- Batista, G.R.; Borges, A.B.; Zanatta, R.F.; Pucci, C.R.; Torres, C.R.G. Esthetical Properties of Single-Shade and Multishade Composites in Posterior Teeth. Int. J. Dent. 2023, 2023, 7783321. [Google Scholar] [CrossRef]
- Morsy, K.E.; Salama, M.M.; Genaid, T.M. Clinical evaluation of thermo-viscous and sonic fill-activated bulk fill composite restorations. Am. J. Dent. 2023, 36, 81–85. [Google Scholar]
- Ramic, B.D.; Premovic, M.T.; Stojanac, I.L.; Drobac, M.R.; Petrovic, L.M. Improved marginal adaptation of composite restorations by using different placement and light polymerization techniques. Am. J. Dent. 2018, 31, 7–12. [Google Scholar] [PubMed]
- Bekes, K.; Boeckler, L.; Gernhardt, C.R.; Schaller, H.G. Clinical performance of a self-etching and a total-etch adhesive system—2-year results. J. Oral Rehabil. 2007, 34, 855–861. [Google Scholar] [CrossRef] [PubMed]
- Han, S.H.; Sadr, A.; Shimada, Y.; Tagami, J.; Park, S.H. Internal adaptation of composite restorations with or without an intermediate layer: Effect of polymerization shrinkage parameters of the layer material. J. Dent. 2019, 80, 41–48. [Google Scholar] [CrossRef] [PubMed]
- Sarrett, D.C. Clinical challenges and the relevance of materials testing for posterior composite restorations. Dent. Mater. 2005, 21, 9–20. [Google Scholar] [CrossRef] [PubMed]
- Olmez, A.; Oztas, N.; Bodur, H. The effect of flowable resin composite on microleakage and internal voids in class II composite restorations. Oper. Dent. 2004, 29, 713–719. [Google Scholar] [PubMed]
- Tredwin, C.J.; Stokes, A.; Moles, D.R. Influence of flowable liner and margin location on microleakage of conventional and packable class II resin composites. Oper. Dent. 2005, 30, 32–38. [Google Scholar] [PubMed]
- Korkmaz, Y.; Ozel, E.; Attar, N. Effect of flowable composite lining on microleakage and internal voids in Class II composite restorations. J. Adhes. Dent. 2007, 9, 189–194. [Google Scholar] [PubMed]
- Aggarwal, V.; Singla, M.; Yadav, S.; Yadav, H. Effect of flowable composite liner and glass ionomer liner on class II gingival marginal adaptation of direct composite restorations with different bonding strategies. J. Dent. 2014, 42, 619–625. [Google Scholar] [CrossRef] [PubMed]
- Chuang, S.F.; Liu, J.K.; Chao, C.C.; Liao, F.P.; Chen, Y.H. Effects of flowable composite lining and operator experience on microleakage and internal voids in class II composite restorations. J. Prosthet. Dent. 2001, 85, 177–183. [Google Scholar] [CrossRef]
- Leevailoj, C.; Cochran, M.A.; Matis, B.A.; Moore, B.K.; Platt, J.A. Microleakage of posterior packable resin composites with and without flowable liners. Oper. Dent. 2001, 26, 302–307. [Google Scholar]
- Szesz, A.; Parreiras, S.; Martini, E.; Reis, A.; Loguercio, A. Effect of flowable composites on the clinical performance of non-carious cervical lesions: A systematic review and meta-analysis. J. Dent. 2017, 65, 11–21. [Google Scholar] [CrossRef]
- Sadeghi, M.; Lynch, C.D. The effect of flowable materials on the microleakage of Class II composite restorations that extend apical to the cemento-enamel junction. Oper. Dent. 2009, 34, 306–311. [Google Scholar] [CrossRef] [PubMed]
- Labella, R.; Lambrechts, P.; Van Meerbeek, B.; Vanherle, G. Polymerization shrinkage and elasticity of flowable composites and filled adhesives. Dent. Mater. 1999, 15, 128–137. [Google Scholar] [CrossRef] [PubMed]
- Al Sunbul, H.; Silikas, N.; Watts, D.C. Polymerization shrinkage kinetics and shrinkage-stress in dental resin-composites. Dent. Mater. 2016, 32, 998–1006. [Google Scholar] [CrossRef] [PubMed]
- Badr, C.; Spagnuolo, G.; Amenta, F.; Khairallah, C.; Mahdi, S.S.; Daher, E.; Battineni, G.; Baba, N.Z.; Zogheib, T.; Qasim, S.S.B.; et al. A Two-Year Comparative Evaluation of Clinical Performance of a Nanohybrid Composite Resin to a Flowable Composite Resin. J. Funct. Biomater. 2021, 12, 51. [Google Scholar] [CrossRef] [PubMed]
- Dukić, W.; Majić, M.; Prica, N.; Oreški, I. Clinical Evaluation of Flowable Composite Materials in Permanent Molars Small Class I Restorations: 3-Year Double Blind Clinical Study. Materials 2021, 14, 4283. [Google Scholar] [CrossRef] [PubMed]
- Seemann, R.; Pfefferkorn, F.; Hickel, R. Behaviour of general dental practitioners in Germany regarding posterior restorations with flowable composites. Int. Dent. J. 2011, 61, 252–256. [Google Scholar] [CrossRef] [PubMed]
- Jager, S.; Balthazard, R.; Dahoun, A.; Mortier, E. Filler Content, Surface Microhardness, and Rheological Properties of Various Flowable Resin Composites. Oper. Dent. 2016, 41, 655–665. [Google Scholar] [CrossRef]
- Gernhardt, C.R.; Nguyen, A.D.; Michaelis, M.; Pütz, N. Clinical Outcome of Class I and II Restorations with and without an Intermediary Layer of a Flowable Composite after 24 Months: A Prospective, Randomized, Split-Mouth-Designed, Controlled and Single-Blinded Clinical Trial. Appl. Sci. 2023, 13, 4224. [Google Scholar] [CrossRef]
- Geurtsen, W.; Schoeler, U. A 4-year retrospective clinical study of Class I and Class II composite restorations. J. Dent. 1997, 25, 229–232. [Google Scholar] [CrossRef]
- Swift, E.J., Jr.; Ritter, A.V.; Heymann, H.O.; Sturdevant, J.R.; Wilder, A.D., Jr. 36-month clinical evaluation of two adhesives and microhybrid resin composites in Class I restorations. Am. J. Dent. 2008, 21, 148–152. [Google Scholar] [PubMed]
- Torres, C.R.G.; Rêgo, H.M.C.; Perote, L.C.C.C.; Santos, L.F.T.F.; Kamozaki, M.B.B.; Gutierrez, N.C.; Di Nicoló, R.; Borges, A.B. A split-mouth randomized clinical trial of conventional and heavy flowable composites in class II restorations. J. Dent. 2014, 42, 793–799. [Google Scholar] [CrossRef] [PubMed]
- Ryge, G. Clinical criteria. Int. Dent. J. 1980, 30, 347–358. [Google Scholar] [PubMed]
- Ryge, G.; Snyder, M. Evaluating the clinical quality of restorations. J. Am. Dent. Assoc. 1973, 87, 369–377. [Google Scholar] [CrossRef] [PubMed]
- Estay, J.; Martín, J.; Vildosola, P.; Mjor, I.A.; Oliveira, O.B., Jr.; Andrade, M.F.; Moncada, G.; Gordan, V.V.; Fernández, E. Effect of Refurbishing Amalgam and Resin Composite Restorations After 12 Years: Controlled Clinical Trial. Oper. Dent. 2017, 42, 587–595. [Google Scholar] [CrossRef] [PubMed]
- Loe, H.; Silness, J. Periodontal Disease in Pregnancy I. Prevalence and Severity. Acta Odontol. Scand. 1963, 21, 533–551. [Google Scholar] [CrossRef] [PubMed]
- Silness, J.; Loe, H. Periodontal Disease in Pregnancy II. Correlation between Oral Hygiene and Periodontal Condition. Acta Odontol. Scand. 1964, 22, 121–135. [Google Scholar] [CrossRef] [PubMed]
- Sekundo, C.; Fazeli, S.; Felten, A.; Schoilew, K.; Wolff, D.; Frese, C. A randomized clinical split-mouth trial of a bulk-fill and a nanohybrid composite restorative in class II cavities: Three-year results. Dent. Mater. 2022, 38, 759–768. [Google Scholar] [CrossRef] [PubMed]
- Bhide, A.; Shah, P.S.; Acharya, G. A simplified guide to randomized controlled trials. Acta Obstet. Gynecol. Scand. 2018, 97, 380–387. [Google Scholar] [CrossRef]
- Pihlstrom, B.L.; Curran, A.E.; Voelker, H.T.; Kingman, A. Randomized controlled trials: What are they and who needs them? Periodontol 2000 2012, 59, 14–31. [Google Scholar] [CrossRef]
- Ernst, C.-P.; Canbek, K.; Aksogan, K.; Willershausen, B. Two-year clinical performance of a packable posterior composite with and without a flowable composite liner. Clin. Oral Investig. 2003, 7, 129–134. [Google Scholar] [CrossRef]
- Scolavino, S.; Paolone, G.; Orsini, G.; Devoto, W.; Putignano, A. The Simultaneous Modeling Technique: Closing gaps in posteriors. Int. J. Esthet. Dent. 2016, 11, 58–81. [Google Scholar] [PubMed]
- Kaisarly, D.; ElGezawi, M.; Haridy, R.; Elembaby, A.; Aldegheishem, A.; Alsheikh, R.; Almulhim, K.S. Reliability of Class II Bulk-fill Composite Restorations With and Without Veneering: A Two-year Randomized Clinical Control Study. Oper. Dent. 2021, 46, 491–504. [Google Scholar] [CrossRef] [PubMed]
- Nair, M.; Gurunathan, D. Clinical and Radiographic Outcomes of Calcium Hydroxide vs Other Agents in Indirect Pulp Capping of Primary Teeth: A Systematic Review. Int. J. Clin. Pediatr. Dent. 2019, 12, 437–444. [Google Scholar] [CrossRef]
- Arshad, E.; Kumar, G.; Dhillon, J.K. Comparative evaluation of clinical outcome of indirect pulp treatment with calcium hydroxide, calcium silicate and Er,Cr:YSGG laser in permanent molars. Laser Ther. 2019, 28, 123–130. [Google Scholar]
- Afifi, S.M.H.; Haridy, M.F.; Farid, M.R. Evaluation of Post-Operative Sensitivity of Bulk Fill Resin Composite versus Nano Resin Composite: A Randomized Controlled Clinical Study. Open Access Maced. J. Med. Sci. 2019, 7, 2335–2342. [Google Scholar] [CrossRef]
- Haller, B. Which self-etch bonding systems are suitable for which clinical indications? Quintessence Int. 2013, 44, 645–661. [Google Scholar] [CrossRef] [PubMed]
- Javed, K.; Noor, N.; Nasir, M.Z.; Manzoor, M.A. Comparison of postoperative hypersensitivity between Total-etch and Universal adhesive system: A randomized clinical trial. Sci. Rep. 2024, 14, 678. [Google Scholar] [CrossRef]
- Ástvaldsdóttir, Á.; Dagerhamn, J.; van Dijken, J.W.V.; Naimi-Akbar, A.; Sandborgh-Englund, G.; Tranæus, S.; Nilsson, M. Longevity of posterior resin composite restorations in adults—A systematic review. J. Dent. 2015, 43, 934–954. [Google Scholar] [CrossRef]
- Li, Q.; Jepsen, S.; Albers, H.K.; Eberhard, J. Flowable materials as an intermediate layer could improve the marginal and internal adaptation of composite restorations in Class-V-cavities. Dent. Mater. 2006, 22, 250–257. [Google Scholar] [CrossRef]
- Neme, A.M.; Maxson, B.B.; Pink, F.E.; Aksu, M.N. Microleakage of Class II packable resin composites lined with flowables: An in vitro study. Oper. Dent. 2002, 27, 600–605. [Google Scholar] [PubMed]
- Shaalan, O.O.; Abou-Auf, E.; El Zoghby, A.F. Clinical evaluation of flowable resin composite versus conventional resin composite in carious and noncarious lesions: Systematic review and meta-analysis. J. Conserv. Dent. 2017, 20, 380–385. [Google Scholar] [CrossRef] [PubMed]
- El Gedaily, M.; Attin, T.; Wiedemeier, D.B.; Taubock, T.T. Impact of Different Etching Strategies on Margin Integrity of Conservative Composite Restorations in Demineralized Enamel. Materials 2020, 13, 4500. [Google Scholar] [CrossRef] [PubMed]
- Szesz, A.; Parreiras, S.; Reis, A.; Loguercio, A. Selective enamel etching in cervical lesions for self-etch adhesives: A systematic review and meta-analysis. J. Dent. 2016, 53, 1–11. [Google Scholar] [CrossRef] [PubMed]
- Abdalla, A.I.; El Zohairy, A.A.; Abdel Mohsen, M.M.; Feilzer, A.J. Bond efficacy and interface morphology of self-etching adhesives to ground enamel. J. Adhes. Dent. 2010, 12, 19–25. [Google Scholar] [CrossRef] [PubMed]
- Taneja, S.; Kumari, M.; Bansal, S. Effect of saliva and blood contamination on the shear bond strength of fifth-, seventh-, and eighth-generation bonding agents: An in vitro study. J. Conserv. Dent. 2017, 20, 157–160. [Google Scholar] [CrossRef] [PubMed]
- Ersin, N.K.; Candan, U.; Aykut, A.; Önçag, Ö.; Eronat, C.; Kose, T. A clinical evaluation of resin-based composite and glass ionomer cement restorations placed in primary teeth using the ART approach: Results at 24 months. J. Am. Dent. Assoc. 2006, 137, 1529–1536. [Google Scholar] [CrossRef] [PubMed]
- Moorthy, A.; Hogg, C.H.; Dowling, A.H.; Grufferty, B.F.; Benetti, A.R.; Fleming, G.J.P. Cuspal deflection and microleakage in premolar teeth restored with bulk-fill flowable resin-based composite base materials. J. Dent. 2012, 40, 500–505. [Google Scholar] [CrossRef]
- van Dijken, J.W.; Pallesen, U. Clinical performance of a hybrid resin composite with and without an intermediate layer of flowable resin composite: A 7-year evaluation. Dent. Mater. 2011, 27, 150–156. [Google Scholar] [CrossRef]
- Lesaffre, E.; Philstrom, B.; Needleman, I.; Worthington, H. The design and analysis of split-mouth studies: What statisticians and clinicians should know. Stat. Med. 2009, 28, 3470–3482. [Google Scholar] [CrossRef]
- Lima, F.G.; Romano, A.R.; Correa, M.B.; Demarco, F.F. Influence of microleakage, surface roughness and biofilm control on secondary caries formation around composite resin restorations: An in situ evaluation. J. Appl. Oral Sci. 2009, 17, 61–65. [Google Scholar] [CrossRef] [PubMed][Green Version]
- Matos, T.P.; Nuñez, A.; Méndez-Bauer, M.; Ñaupari-Villasante, R.; Barceleiro, M.; Duarte, L.; Reis, A.; Loguercio, A.D. A 24-month clinical evaluation of composite resins with different viscosity and chemical compositions: A randomized clinical trial. Quintessence Int. 2023, 54, 186–199. [Google Scholar] [CrossRef]
- Dietschi, D.; Askari, M.; Rossier, I.; Caseiro, L.; Krejci, I.; Leprince, J.G.; Di Bella, E.; Ardu, S. Marginal Adaptation of In Vitro Class II Restorations Made Out of Bulk or Conventional Composite Using Single- or Multi-Layered Techniques. Materials 2023, 16, 6325. [Google Scholar] [CrossRef]
- Hatirli, H.; Yasa, B.; Çelik, E.U. Clinical performance of high-viscosity glass ionomer and resin composite on minimally invasive occlusal restorations performed without rubber-dam isolation: A two-year randomised split-mouth study. Clin. Oral Investig. 2021, 25, 5493–5503. [Google Scholar] [CrossRef] [PubMed]
- Pandis, N.; Walsh, T.; Polychronopoulou, A.; Katsaros, C.; Eliades, T. Split-mouth designs in orthodontics: An overview with applications to orthodontic clinical trials. Eur. J. Orthod. 2013, 35, 783–789. [Google Scholar] [CrossRef] [PubMed]
- McCarthy, C.M. Randomized controlled trials. Plast. Reconstr. Surg. 2011, 127, 1707–1712. [Google Scholar] [CrossRef]
- Worthington, H.V.; Khangura, S.; Seal, K.; Mierzwinski-Urban, M.; Veitz-Keenan, A.; Sahrmann, P.; Schmidlin, P.R.; Davis, D.; Iheozor-Ejiofor, Z.; Rasines Alcaraz, M.G. Direct composite resin fillings versus amalgam fillings for permanent posterior teeth. Cochrane Database Syst. Rev. 2021, 8, CD005620. [Google Scholar] [CrossRef]




| Inclusion Criteria | Exclusion Criteria |
|---|---|
|
|
| Modified USPHS/Ryge Criteria | Alpha | Bravo | Charlie | Delta |
|---|---|---|---|---|
| Secondary caries | No clinical signs of caries along the margin | Clinical diagnosis of caries | ||
| Tooth vitality | Positive | Negative | ||
| Postoperative sensitivity | No hypersensitivity | Minimal complaints only for a short timespan after placement, no treatment necessary | Medium complaints, no treatment necessary | Permanent complaints, bearable, treatment planned |
| Filling integrity/fracture | No chipping, cracking or fracturing of the filling | Chipping, crack formation, detectable with a probe | Continuous crack formation, visible | Bulk fracture of the restoration |
| Proximal contact | Tight approximal contact point | Slight approximal contact point | No approximal contact, no food impaction | No approximal contact point, trauma of papilla and food impaction |
| Surface roughness | Smooth, polished surface | Slightly rough surface, polishing is possible | Rough surface, polishing is not possible any longer | Fractured or flaking surface |
| Marginal adaption | No detectable margin (dental explorer) | Detectable margin without exposure of dentin or enamel | Visible margin with exposure of dentin or enamel | Fractured marginal interface, mobile, or lost restoration |
| Marginal discoloration | No marginal discoloration | Presence of superficial marginal discoloration | Presence of penetrating marginal discoloration | |
| Color match | Invisible restoration, perfect color match | Visible restoration without severe color mismatch | Clearly visible restoration with color mismatch in the normal range of tooth color | Highly visible restoration with color mismatch outside the normal range of tooth color |
| Premolar | Molar | Class I | Class II | |
|---|---|---|---|---|
| Test group | 20 | 30 | 20 | 30 |
| Control group | 22 | 28 | 12 | 38 |
| Total number | 42 | 58 | 32 | 68 |
| Parameter | Control Group | Test Group | |||||
|---|---|---|---|---|---|---|---|
| Interval | Baseline | 24-Months Follow-Up | 36-Months Follow-Up | Baseline | 24-Months Follow-Up | 36-Months Follow-Up | |
| Biological properties | Secondary caries | 50/0/0/0 | 47/0/0/0 | 46/0/0/0 | 50/0/0/0 | 47/0/0/0 | 46/0/0/0 |
| Tooth vitality | 50/0/0/0 | 47/0/0/0 | 46/0/0/0 | 50/0/0/0 | 44/0/0/3 | 43/0/0/3 | |
| Postoperative sensitivity | 50/0/0/0 | 47/0/0/0 | 46/0/0/0 | 50/0/0/0 | 47/0/0/0 | 46/0/0/0 | |
| Functional properties | Filling integrity/fracture | 50/0/0/0 | 47/0/0/0 | 46/0/0/0 | 50/0/0/0 | 45/2/0/0 | 44/1/1/0 |
| Proximal contact | 50/0/0/0 | 47/0/0/0 | 46/0/0/0 | 50/0/0/0 | 47/0/0/0 | 46/0/0/0 | |
| Surface roughness | 50/0/0/0 | 47/0/0/0 | 46/0/0/0 | 50/0/0/0 | 47/0/0/0 | 46/0/0/0 | |
| Marginal adaption | 50/0/0/0 | 47/0/0/0 | 45/1/0/0 | 50/0/0/0 | 46/1/0/0 | 44/2/0/0 | |
| Aesthetic properties | Marginal discoloration | 50/0/0/0 | 45/2/0/0 | 41/5/0/0 | 50/0/0/0 | 44/3/0/0 | 43/3/0/0 |
| Color match | 50/0/0/0 | 47/0/0/0 | 46/0/0/0 | 50/0/0/0 | 47/0/0/0 | 46/0/0/0 | |
| Plaque index | 44/6/0/0 | 42/5/0/0 | 39/7/0/0 | 44/6/0/0 | 42/5/0/0 | 39/7/0/0 | |
| Gingival index | 50/0/0/0 | 45/2/0/0 | 42/4/0/0 | 50/0/0/0 | 45/2/0/0 | 42/4/0/0 | |
| n assessed | 50 | 47 | 46 | 50 | 47 | 46 | |
| Recall rate (%) | 100 | 94 | 92 | 100 | 94 | 92 | |
| n failure (cumulative failure %) | 0 (0%) | 0 (0%) | 0 (0%) | 0 (0%) | 3 (6.8%) | 4 (8.7%) | |
| AFR (%) | 0% | 0% | 0% | 0% | 3.4% | 2.9% | |
Disclaimer/Publisher’s Note: The statements, opinions and data contained in all publications are solely those of the individual author(s) and contributor(s) and not of MDPI and/or the editor(s). MDPI and/or the editor(s) disclaim responsibility for any injury to people or property resulting from any ideas, methods, instructions or products referred to in the content. |
© 2024 by the authors. Licensee MDPI, Basel, Switzerland. This article is an open access article distributed under the terms and conditions of the Creative Commons Attribution (CC BY) license (https://creativecommons.org/licenses/by/4.0/).
Share and Cite
Nguyen, A.D.; Pütz, N.; Michaelis, M.; Bitter, K.; Gernhardt, C.R. Influence of Cavity Lining on the 3-Year Clinical Outcome of Posterior Composite Restorations: A Randomized Controlled Clinical Trial. Dent. J. 2024, 12, 128. https://doi.org/10.3390/dj12050128
Nguyen AD, Pütz N, Michaelis M, Bitter K, Gernhardt CR. Influence of Cavity Lining on the 3-Year Clinical Outcome of Posterior Composite Restorations: A Randomized Controlled Clinical Trial. Dentistry Journal. 2024; 12(5):128. https://doi.org/10.3390/dj12050128
Chicago/Turabian StyleNguyen, Anh Duc, Natalie Pütz, Mary Michaelis, Kerstin Bitter, and Christian Ralf Gernhardt. 2024. "Influence of Cavity Lining on the 3-Year Clinical Outcome of Posterior Composite Restorations: A Randomized Controlled Clinical Trial" Dentistry Journal 12, no. 5: 128. https://doi.org/10.3390/dj12050128
APA StyleNguyen, A. D., Pütz, N., Michaelis, M., Bitter, K., & Gernhardt, C. R. (2024). Influence of Cavity Lining on the 3-Year Clinical Outcome of Posterior Composite Restorations: A Randomized Controlled Clinical Trial. Dentistry Journal, 12(5), 128. https://doi.org/10.3390/dj12050128

