Next Article in Journal
The Long-Term Esthetic and Radiographic Outcome of Implants Placed in the Anterior Maxilla after Ridge Preservation, Combining Bovine Xenograft with Collagen Matrix
Previous Article in Journal
Exploring the Possible Impact of Oral Nutritional Supplements on Children’s Oral Health: An In Vitro Investigation
 
 
Font Type:
Arial Georgia Verdana
Font Size:
Aa Aa Aa
Line Spacing:
Column Width:
Background:
Case Report

The Use of CAD/CAM Technology in Mandibular Canine Disimpaction: A Case Report

Department of Oral and Maxillofacial Sciences, School of Dentistry, “Sapienza” University of Rome, 00161 Rome, Italy
*
Author to whom correspondence should be addressed.
Dent. J. 2024, 12(3), 79; https://doi.org/10.3390/dj12030079
Submission received: 16 February 2024 / Revised: 14 March 2024 / Accepted: 18 March 2024 / Published: 20 March 2024

Abstract

This case report of an 11-year-old subject shows the digital workflow for the management of an impacted mandibular canine using Computer-Aided Design/Computer-Aided Manufacturing (CAD/CAM) technology along with Temporary Anchorage Devices (TADs). The miniscrew insertion site was planned using software, and a surgical guide was digitally designed and 3D printed. Orthodontic traction was performed using a 3D-designed and -printed device. In a single sitting, the miniscrew was inserted and the disimpaction device was also delivered. The primary objective of recovery and the repositioning of the impacted mandibular canine in the axis with its eruptive path was achieved. The space available and the subject’s early stage of mixed dentition was considered favourable to a spontaneous eruption. This case report shows how CAD/CAM digital technology, combined with 3D printing, enables the creation of a surgical guide to position the miniscrew and the customized devices used for mandibular canine disimpaction. CAD/CAM surgical guides can help clinicians to position TADs with more accuracy and predictability, ensuring high quality bone support offering primary stability. Although orthodontic traction is the most complex therapeutic choice to implement, with the aid of CAD/CAM technology it is possible to proceed with accurate and minimally invasive orthodontic traction in order to recover a mandibular canine.

1. Introduction

Dental impaction represents a common issue of orthodontic and surgical interest [1]. Despite the extensive literature concerning impacted maxillary canines, few articles exist which report on mandibular canine impaction and the treatment available. The reasons are related both to a lower mandibular canine impaction prevalence (between 0.3% and 2.8%) [2,3,4,5] and to the lower chances of orthodontic recovery [6].
The incidence of impacted mandibular canines is predominantly unilateral, with no gender difference [7]. This anomaly is related to aetiological mechanical or genetic factors such as abnormal deciduous canine resorption or eruptive disturbances, severe space discrepancies, narrow arches and delayed eruption [2]. Many impacted mandibular canines are displaced midline, causing transmigration [8,9].
Four options for treating this condition have been reported in the literature: radiographic monitoring, surgical extraction, orthodontic traction and autotransplant [2,3,10].
Nevertheless, it is the responsibility of the orthodontist in collaboration with the oral surgeon to attempt the recovery of the element in the arch and its proper repositioning to achieve ideal function and aesthetics, where deemed possible and advantageous [11,12]. Indications for the treatment of the impacted mandibular canine depend on the age of the patient, the occlusion and the degree of crowding, the stage of development of the canine root, the position of the canine, and the relationship between the canine and the adjacent teeth [12,13]. It should be considered that canine impaction is generally diagnosed when its root is already well developed; this can complicate orthodontic traction and correct repositioning in the dental arch. If an ectopic canine is detected early, a simple, less painful and more effective preventive treatment can be provided [14]. With timely interception and surgical exposure with orthodontic traction, impacted mandibular canines can be brought into an ideal position in the dental arch [2]. The frequently unfavourable position until transmigration and the greater bone density of the mandible [15] make the traction of impacted mandibular canines more complex than the corresponding impacted maxillary canines. Temporary anchorage devices (TADs) in orthodontic traction, such as miniscrews, provide a stable source of anchorage and help to reduce the negative effects on other teeth [15,16]. Few clinical studies have evaluated the orthodontic traction of the impacted mandibular canine using a skeletal anchorage [17,18]. This case report shows a digital workflow for the management of an impacted mandibular canine with the aid of Computer Aided Design/Computed-Aided Manufacturing (CAD/CAM) technology and TADs.

2. Case Report

A case of an 11-year-old subject in early mixed dentition with an impacted mandibular canine treated for orthodontic disimpaction with a skeletal anchored custom-made device is reported.

2.1. Diagnosis and Aetiology

The 11-year-old subject attended the first orthodontic appointment in the Orthodontic Unit of the Department of Oral and Maxillo-Facial Sciences, Sapienza, University of Rome, Italy.
In the medical history, the parents report no previous illnesses or surgeries. The patient is in good general health.
Extraoral examination revealed an oval-shaped face, proportional and symmetric, with lip competence but an increased exposure of the upper incisors while smiling. The facial profile was straight and the nasolabial angle appeared to be increased (Figure 1).
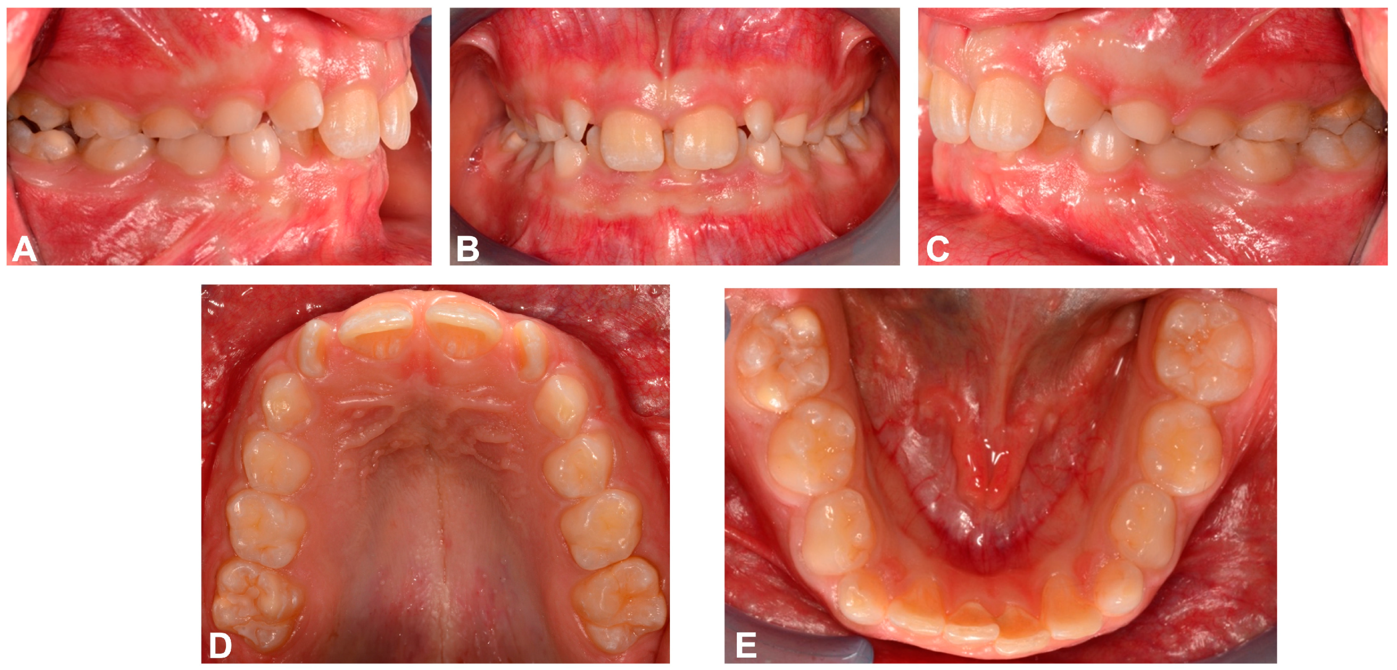
Intraoral analysis revealed an early mixed dentition, Class I molar and canine relationships on both sides and mild anterior crowding in the upper and lower arch, with elements 1.2 and 2.2 rotated. Overjet and overbite were increased, the upper midline was centred in relation to the facial midline and the lower midline was not coincident with the upper midline but deviated 1.5 mm to the right. The maxillary arch showed reduced transverse dimensions and there was a molar crossbite on the right side (Figure 2).
A panoramic radiograph showed that element 3.3 was deviated from its normal eruption path. The cuspid of the impacted canine was tilted mesially and positioned at the level of the right central incisor (element 3.1), close to the lower third of the root. The angle of the long axis of the canine to the line passing through the midline, traced according to Bertl et al. [4], was 60°. The deciduous element 7.3 was still present with its entire root (Figure 3).
The cephalometric analysis performed using Oris Ceph software Rx CE (Oris Ceph, Elit Computer, Vimodrone, Milan, Italy) showed a skeletal Class I relationship (skeletal class reference angle formed by maxillary point A, nasion and mandibular point B; ANB = 2°) with a hypodivergent vertical grow pattern (angle of divergence from the Frankfurt plane and the mandibular plane, FMA = 21°). The maxillary incisors were palatally inclined (angle of the maxillary incisor inclination with the palatal plane, U1-PP = 102°) and the angle of the mandibular incisors was in in the normal range (angle of inclination of mandibular incisor with mandibular plane, IMPA = 89°) (Figure 4).
A second-level radiographic examination was required to assess the relationship of the mandibular canine with its neighbouring elements. Root resorption of adjacent teeth was absent, and the vestibular side of the impacted tooth was confirmed.

2.2. Treatment Objectives

The primary objective was the recovery and repositioning of the impacted mandibular canine. A secondary objective was the dentoalveolar correction of the transverse contraction of the maxilla.

2.3. Treatment Alternatives

Different alternative treatment options for mandibular canine disimpaction were considered.
One option was the extraction of the ipsilateral deciduous canine, followed by waiting for the spontaneous eruption of the element; this option was not considered effective due to the risk of possible root resorption of adjacent teeth considering the presence of “vis-a-tergo” of element 3.3.
Another alternative option was the extraction of element 3.3 and the retention of the primary canine until its exfoliation. This treatment option was considered invasive and irreversible and was not considered by the subject.
The last option was orthodontic traction. However, the distal surface of the crown of the lower first molar was partially covered by gingiva and did not allow a good fit of the band of a dental anchorage disinclusion appliance. Moreover, the same traction in the mandible was made more difficult by the higher density of the jaw bone compared to the maxilla [16], so traction by means of dental anchorage was not considered the best alternative.
It was decided in agreement with the subject’s guardians to proceed with the disimpaction of the tooth element by means of a custom-made appliance to be skeletally anchored.
Contextually, the quad-helix appliance was used to resolve the dento-alveolar contraction of the maxilla.

2.4. Treatment Progress

The procedure and potential risks associated with canine disimpaction, with particular emphasis on the risk of root resorption to adjacent elements, were fully explained to the subject and parents and signed informed consent for the publication of images and data was obtained. The disimpaction treatment consisted of a surgical phase of exposure of the impacted canine, with the possible removal of eruptive obstructions, and an orthodontic traction phase performed with a custom-made skeletal and dental anchorage device. The miniscrew insertion sites were planned on 3D images generated by merging CBCT and digital dental model images. The TADmatch 3D module of the Onyxceph3™ software (Image Instruments, Chemnitz, Germany) was used for the computer-guided planning of screw insertion using a surgical guide (Figure 5). A CAD/CAM digital workflow was performed to design the surgical guide and the skeletal anchoring disimpaction device using the Ortho Apps 3D module of the Onyxceph3™ software 3.2.180 Build 492–K2 (Image Instruments, Chemnitz, Germany) (Figure 6). The surgical guides were fabricated using TruPrint 1000 (TRUMPF Homberger S.r.l, Buccinasco, Italy) and the disimpaction device by laser melting technology with cobalt chrome metal powder (Stratasys OrhoDesktop; Stratasys, Rehovot, Israel) (Figure 7).
The length and diameter of the self-drilling titanium miniscrews used (BENEfit, PSM medical solutions, Tuttlingen, Germany) were predetermined during the planning phase based on bone anatomy (length: 13 mm; diameter: 2.3 mm). The miniscrew was inserted in the buccal shelf of the mandible, at the level of the mandibular first molar, on the left side; the appliance extended buccally from the miniscrew until the crown of the deciduous canine with a terminal hook and progressively distal holes for the insertion of orthodontic traction. Given the distance of the miniscrew from the disimpaction site, the device was designed to be very rigid with steel alloy with the rest cemented to the dental elements, which also had the function of preventing the device from rotating given that miniscrews are not equipped with effective anti-rotation devices.

2.4.1. Surgery

The subject underwent a routine medical examination to assess suitability for surgery and began antibiotic therapy one hour prior to surgery to minimize the risk of bacterial contamination.
The subject’s mouth was rinsed with a 0.2% chlorhexidine solution prior to the surgical exposure of the impacted canine and the insertion of the miniscrews. Local anaesthesia was given with 2% carbocaine with adrenaline in the ratio 1:100,000.
The surgical exposure of the affected canine was performed with a full thickness flap. A bone incision was then made at the level of the cusp of the canine until two thirds of the crown was exposed. A bracket, to which a metal chain with traction loops had previously been welded, was applied using an adhesive technique. The visible part of the tooth crown was first etched with 37% phosphoric acid and the bracket was bonded with a light-curing adhesive system (Transbond XT, 3M Unitek, Monrovia, CA, USA). At the end of the surgical procedure, the flap was repositioned with a resorbable Nytilon 4.0 suture and one eyelet of the ligature was left on the surface to be used for overhead traction (Figure 8).
The use of the surgical guide, to ensure minimally invasive TAD insertion, improved the primary stability and reduced the risk of injury to contiguous anatomical structures.
The tooth-supported surgical guide was also used to create the guide hole (pre-drilling). A self-drilling miniscrew was picked up with the screwholder of a contra-angled handpiece and inserted by cordless screwdriver with a torque calibration system (ISD900, NSK, Tochigi, Japan). The pre-drilling phase was performed with the same cordless contra-angled handpiece with a drill (1.8 × 33 mm WL 15 mm). During the pre-drilling phase, the water jet was used to cool the drill in contact with the bone at a speed of 550 rpm. The miniscrew insertion torque was set at 40 N cm and a rotational speed of 25 rpm. It was not necessary to use a coolant. The screwholder was equipped with a stop to allow the desired insertion depth. The screwholder was adapted perfectly to the master tube inserted into the guide hole of the surgical template.
Once the miniscrew was in place, its primary stability was assessed, which was a prerequisite for connecting the custom device. The primary stability was assessed by considering the proportional relationship with the insertion torque [19].
The device was then connected to the miniscrew using a fixation screw system and the dental rest was cemented to the primary teeth (Figure 9).

2.4.2. Orthodontic Traction

The traction was activated on the same day, immediately after surgery. An elastic module was attached to the metal chain welded to the supplied canine button. The elastic force was calibrated to 150 g using a manual dynamometer Correx, 25–250 g (Haag-Streit Diagnostics, Koeniz, Switzerland). The elastic traction was then connected to the device by another metal ligature, which secured it to the hole furthest from the impaction site (Figure 10).
Every 20 days, the traction was reactivated by replacing the elastic module and attaching it to the loop closest to the impaction site.
When the bracket attached to the traction element was visible through the gingiva after 8 months, the ipsilateral deciduous canine (element 7.3) was extracted and a gingivectomy was performed to place the button more apically on the crown to continue the traction (Figure 11 and Figure 12).

2.5. Treatment Results

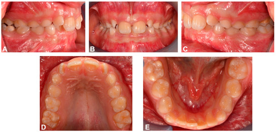
After 12 months, the mandibular canine (element 3.3) was disimpacted, in the axis with its eruptive path and with a correct eruption angle (Figure 13). The crown of the element was visible. The space present and the subject’s still-early mixed dentition was considered favourable to spontaneous eruption and the tooth was allowed to passively erupt. The disimpaction appliance was then removed and the miniscrew, still stable, was removed by unscrewing it.
The tooth element was followed over time through clinical monitoring every month and radiographic follow-up every 6 months (Figure 14).

3. Discussion

From a therapeutic point of view, the time of diagnosis of an impacted tooth plays a crucial role in treatment options and prognosis. The early diagnosis of ectopically positioned mandibular canines is important to allow interceptive treatment. Over the years, several treatment options, such as surgical removal, exposure and orthodontic alignment, transplantation and observation, have been reported in the literature for the management of this condition [2]. The most common treatment strategy for impacted mandibular canines has been surgical removal, as this has been considered easier and quicker than repositioning the tooth. However, it is important to consider that the waiting time for a prosthetic replacement of the permanent canine could be long, with consequent aesthetic and functional discomfort for a subject who is still growing [10].
Orthodontic treatment is indicated when there is sufficient space to align an impacted mandibular canine, or when this can be achieved orthodontically, and the tooth is at a favourable stage of root development [20]. In the present case, the subject’s age, stage of root development, position within the bone, angle and depth of the impacted tooth were all decisive reasons for choosing orthodontic traction as the treatment option.
The use of traditional appliance traction was not chosen. In a recent study, with the aim of using controlled light forces, two different dental anchorage traction devices were applied [21]. In our case, effective anchorage and force control was achieved by using only a single-sided device. In another case report of bilateral disimpaction, a customized tooth-supported anchorage devices cemented with bands to a skeletal anchorage traction device was preferred to avoid the risk of TAD insertion on teeth and on periodontal tissue [22]. Regarding this, in order to avoid damage to adjacent structures, in our case the miniscrew was computer-guided into position in the buccal shelf and our device was simpler and easier to activate [23].
Only two studies in the literature have documented the use of TADs for orthodontic traction of mandibular impacted canines [17,18]. In the present case, in contrast to previous reports where interradicular miniscrews were used, the miniscrew was inserted into the buccal shelf as an active anchorage. The placement of the miniscrew was computer-guided and provided stability to the system, greater comfort for the subject and ease of use for the clinician.
The use of buccal shelf TADs eliminates adverse dental and periodontal effects [24] on anchorage elements during lower canine disimpaction, causes no discomfort or pain during placement and treatment and is compliance-free [25]. CAD/CAM digital technology, combined with 3D printing, enables the creation of a surgical guide for positioning the miniscrew and the customized devices used for disimpaction with greater accuracy and predictability, ensuring high-quality bone support [26,27,28].
Although orthodontic traction is the most complex therapeutic choice to implement, accurate and minimally invasive orthodontic traction can be made possible with the help of CAD/CAM technology.

4. Conclusions

The treatment of impacted mandibular canines with orthodontic traction represents a challenge to the clinician. Although treatment times can be long, successful disimpaction can be achieved with appropriate biomechanics, facilitated by CAD/CAM technology, and with the aid of a customized, miniscrew-supported appliance to minimize or avoid adverse effects and achieve the best results in rehabilitating an important element such as the mandibular canine.

Author Contributions

Conceptualization, M.C. and F.G.; methodology, R.G.; software, M.M.; validation, M.C. and E.B.; formal analysis, F.G.; investigation, F.G. and M.M.; resources, M.M.; data curation, R.G.; writing—original draft preparation, F.G.; writing—review and editing, R.G. and F.G.; visualization, M.C.; supervision, M.C. and E.B.; project administration, M.C. and E.B. All authors have read and agreed to the published version of the manuscript.

Funding

This research received no external funding.

Institutional Review Board Statement

The present study adhered to the Helsinki Declaration of Ethical Principles by the World Medical Association. As reported in Art. no 4 of the guidelines of the Ethical Committee (EC) of the Italian National Institute of Health (ISS), ethics committee approval is necessary for experimental studies. This case report shows a common clinical situation of a patient already treated for whom informed consent was obtained and ethics committee approval is not applicable.

Informed Consent Statement

Written informed consent has been obtained from the patient to publish this paper.

Data Availability Statement

No new data were created or analyzed in this study. Data sharing is not applicable to this article.

Acknowledgments

The authors thank Alison Driver for her assistance in English language editing, and also thank Ortodontica Italia Laboratorio Ortodontico for printing the surgical template and manufacturing the disimpaction device.

Conflicts of Interest

The authors declare no conflicts of interest.

References

  1. Ngan, P.; Hornbrook, R.; Weaver, B. Early timely management of ectopically erupting maxillary canines. Semin. Orthod. 2005, 11, 152–163. [Google Scholar] [CrossRef]
  2. Sathyanarayana, H.P.; Nucci, L.; d’Apuzzo, F.; Perillo, L.; Padmanabhan, S.; Grassia, V. Prevalence, etiology, clinical features and management associated with impacted and transmigrated mandibular canines: A systematic review. BMC Oral Health 2023, 23, 975. [Google Scholar] [CrossRef] [PubMed]
  3. Dalessandri, D.; Parrini, S.; Rubiano, R.; Gallone, D.; Migliorati, M. Impacted and transmigrant mandibular canines incidence, aetiology, and treatment: A systematic review. Eur. J. Orthod. 2017, 39, 161–169. [Google Scholar] [CrossRef] [PubMed]
  4. Bertl, M.H.; Frey, C.; Bertl, K.; Giannis, K.; Gahleitner, A.; Strbac, G.D. Impacted and transmigrated mandibular canines: An analysis of 3D radiographic imaging data. Clin. Oral Investig. 2018, 22, 2389–2399. [Google Scholar] [CrossRef] [PubMed]
  5. Bhullar, M.K.; Aggarwal, I.; Verma, R.; Uppal, A.S. Mandibular canine transmigration: Report of three cases and literature review. J. Int. Soc. Prev. Commun. Dent. 2017, 7, 8–14. [Google Scholar] [CrossRef] [PubMed]
  6. Aras, M.H.; Halicioğlu, K.; Yavuz, M.S.; Çağlaroğlu, M. Evaluation of surgical-orthodontic treatments on impacted mandibular canines. Med. Oral Patol. Oral Cir. Bucal. 2011, 16, e925–e928. [Google Scholar] [CrossRef]
  7. Agastra, E.; Saettone, M.; Parrini, S.; Cugliari, G.; Deregibus, A.; Castroflorio, T. Impacted Permanent Mandibular Canines: Epidemiological Evaluation. J. Clin. Med. 2023, 12, 5375. [Google Scholar] [CrossRef]
  8. Mejía-Milian, M.; Arriola-Guillén, L.E.; Aliaga-Del Castillo, A.; Rodríguez-Cárdenas, Y.A.; Ruíz-Mora, G.A. Three-dimensional evaluation of mandibular canine impaction characteristics and their relationship with lower incisor root morphometry. J. Clin. Exp. Dent. 2022, 14, e791–e802. [Google Scholar] [CrossRef]
  9. Sharma, G.; Nagpal, A. A Study of Transmigrated Canine in an Indian Population. Int. Sch. Res. Not. 2014, 756516. [Google Scholar] [CrossRef]
  10. Stabryła, J.; Plakwicz, P.; Kukuła, K.; Zadurska, M.; Czochrowska, E.M. Comparisons of different treatment methods and their outcomes for impacted maxillary and mandibular canines: A retrospective study. J. Am. Dent. Assoc. 2021, 152, 919–926. [Google Scholar] [CrossRef]
  11. Buyukkurt, M.C.; Aras, M.H.; Caglaroglu, M.; Gungormus, M. Transmigrant mandibular canines. J. Oral Maxillofac. Surg. 2007, 65, 2025–2029. [Google Scholar] [CrossRef] [PubMed]
  12. Joshi, M.R. Transmigrant Mandibular Canines: A record of 28 Cases and a Retrospective Review of the Literature. Angle Orthod. 2001, 71, 12–22. [Google Scholar] [PubMed]
  13. Ferguson, J.W. Management of the unerupted maxillary canine. Br. Dent. J. 1990, 169, 113–114. [Google Scholar] [CrossRef] [PubMed]
  14. Naoumova, J.; Kurol, J.; Kjellberg, H. Extraction of the deciduous canine as an interceptive treatment in children with palatal displaced canines—Part I: Shall we extract the deciduous canine or not? Eur. J. Orthod. 2015, 37, 209–218. [Google Scholar] [CrossRef]
  15. Kim, J.H.; Park, Y.C. Evaluation of mandibular cortical bone thickness for placement of temporary anchorage devices (TADs). Korean J. Orthod. 2012, 42, 110–117. [Google Scholar] [CrossRef]
  16. Park, H.S.; Lee, Y.J.; Jeong, S.H.; Kwon, T.G. Density of the alveolar and basal bones of the maxilla and the mandible. Am. J. Orthod. Dentofac. Orthop. 2008, 133, 30–37. [Google Scholar] [CrossRef] [PubMed]
  17. Plaza, S.P. Orthodontic traction of a transmigrated mandibular canine using mini-implant: A case report and review. J. Orthod. 2016, 43, 314–321. [Google Scholar] [CrossRef]
  18. Sinko, K.; Nemec, S.; Seemann, R.; Eder-Czembirek, C. Clinical Management of Impacted and Transmigrated Lower Canines. J. Oral Maxillofac. Surg. 2016, 74, 2142.e1–2142.e16. [Google Scholar] [CrossRef]
  19. Cassetta, M.; Brandetti, G.; Altieri, F. Are the Insertion Torque Value and Implant Stability Quotient Correlated, and If So, Can Insertion Torque Values Predict Secondary Implant Stability? A Prospective Parallel Cohort Study. Int. J. Oral Maxillofac. Implant. 2022, 37, 135–142. [Google Scholar] [CrossRef]
  20. McDonald, F.; Yap, W.L. The surgical exposure and application of direct traction of unerupted teeth. Am. J. Orthod. 1986, 89, 331–340. [Google Scholar] [CrossRef]
  21. Ciavarella, D.; Maci, M.; Fanelli, C.; Lorusso, M.; Laurenziello, M.; Lo Muzio, L.; Caroprese, M.; Cazzolla, A.P.; Tepedino, M. Treatment of Mandibular Impacted Canine in a Patient with Class II Division 1 Malocclusion with “Reverse Pin”: A Case Report. Medicina 2023, 59, 1774. [Google Scholar] [CrossRef]
  22. Ruíz-Mora, G.A.; Arriola-Guillén, L.E.; Aliaga-Del Castillo, A.; Rodríguez-Cárdenas, Y.A.; Dutra, V.; Mejía-Milian, M. Conservative Treatment of Bilateral Impacted Mandibular Canines Traction. Case Rep. Dent. 2023, 2023, 6943221. [Google Scholar] [CrossRef]
  23. Montasser, M.A.; Scribante, A. Root Injury During Interradicular Insertion is the most Common Complication Associated with Orthodontic Miniscrews. J. Evid. Based Dent. Pract. 2022, 22, 101688. [Google Scholar] [CrossRef] [PubMed]
  24. Moeini, N.; Sabri, H.; Galindo-Fernandez, P.; Mirmohamadsadeghi, H.; Valian, N.K. Periodontal status following orthodontic mini-screw insertion: A prospective clinical split-mouth study. Clin. Exp. Dent. Res. 2023, 9, 596–605. [Google Scholar] [CrossRef] [PubMed]
  25. Heravi, F.; Shafaee, H.; Forouzanfar, A.; Zarch, S.H.; Merati, M. Forced eruption of palatally impacted canines using bracket-head miniscrews. J. Clin. Orthod. 2014, 48, 576–580. [Google Scholar] [PubMed]
  26. Guarnieri, R.; Grenga, C.; Altieri, F.; Rocchetti, F.; Barbato, E.; Cassetta, M. Can computer-guided surgery help orthodontics in miniscrew insertion and corticotomies? A narrative review. Front. Oral Health 2023, 4, 1196813. [Google Scholar] [CrossRef] [PubMed]
  27. Suzuki, E.Y.; Suzuki, B. Accuracy of miniscrew implant placement with a 3-dimensional surgical guide. J. Oral Maxillofac. Surg. 2008, 66, 1245–1252. [Google Scholar] [CrossRef] [PubMed]
  28. Sánchez-Riofrío, D.; Viñas, M.J.; Ustrell-Torrent, J.M. CBCT and CAD-CAM technology to design a minimally invasive maxillary expander. BMC Oral Health 2020, 20, 303. [Google Scholar] [CrossRef]
Figure 1. Pre-treatment extraoral photographs.
Figure 1. Pre-treatment extraoral photographs.
Dentistry 12 00079 g001
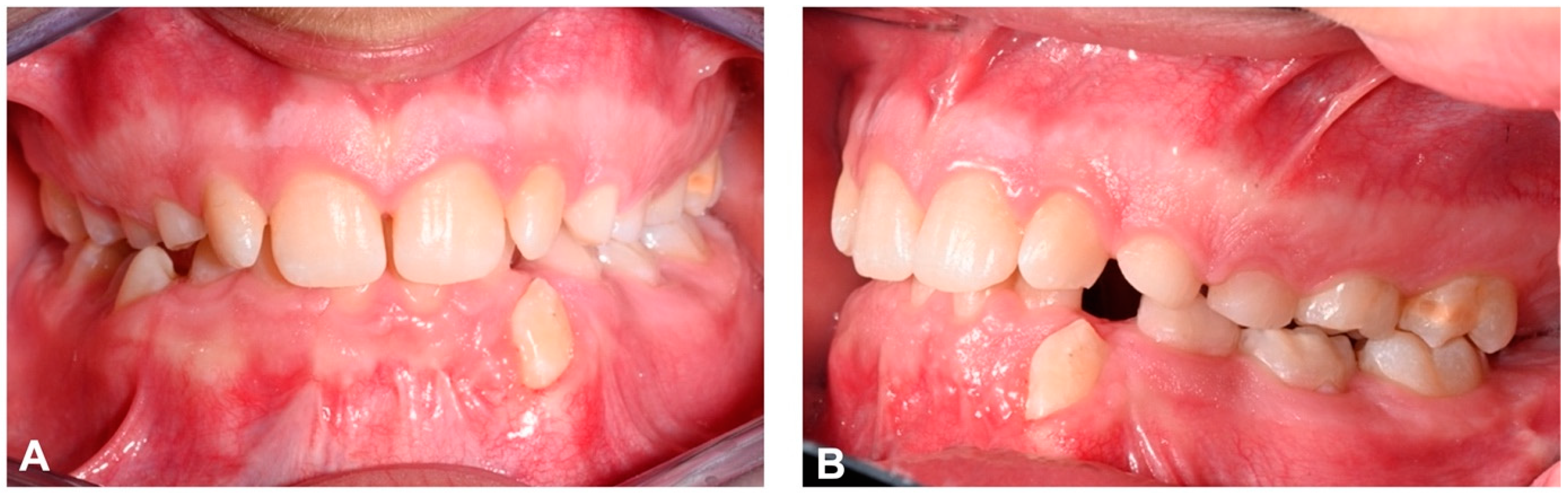
Figure 2. Pre-treatment intraoral photographs. (A) Right lateral intraoral view; (B) frontal intraoral view; (C) left lateral intraoral view; (D) upper occlusal intraoral view; (E) lower occlusal intraoral view.
Figure 2. Pre-treatment intraoral photographs. (A) Right lateral intraoral view; (B) frontal intraoral view; (C) left lateral intraoral view; (D) upper occlusal intraoral view; (E) lower occlusal intraoral view.
Dentistry 12 00079 g002
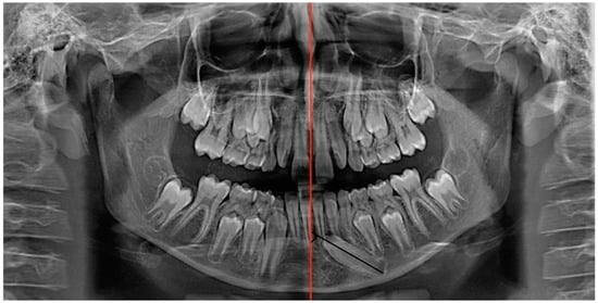
Figure 3. Pre-treatment panoramic radiograph. The angle subtended by the line passing through the mandibular midline (red) and the line passing through the long axis of the mandibular canine (black) were traced.
Figure 3. Pre-treatment panoramic radiograph. The angle subtended by the line passing through the mandibular midline (red) and the line passing through the long axis of the mandibular canine (black) were traced.
Dentistry 12 00079 g003
Figure 4. Pre-treatment lateral cephalogram.
Figure 4. Pre-treatment lateral cephalogram.
Dentistry 12 00079 g004
Figure 5. Planning of miniscrew insertion on CBCT (Cone Beam Computed Tomography) from different views.
Figure 5. Planning of miniscrew insertion on CBCT (Cone Beam Computed Tomography) from different views.
Dentistry 12 00079 g005
Figure 6. Planning of the customized skeletally anchored device in the three-dimensional (3D) digital model of the lower arch.
Figure 6. Planning of the customized skeletally anchored device in the three-dimensional (3D) digital model of the lower arch.
Dentistry 12 00079 g006
Figure 7. Customized surgical template (A) and disimpaction device with miniscrews (B) on the 3D-printed digital mandible model.
Figure 7. Customized surgical template (A) and disimpaction device with miniscrews (B) on the 3D-printed digital mandible model.
Dentistry 12 00079 g007
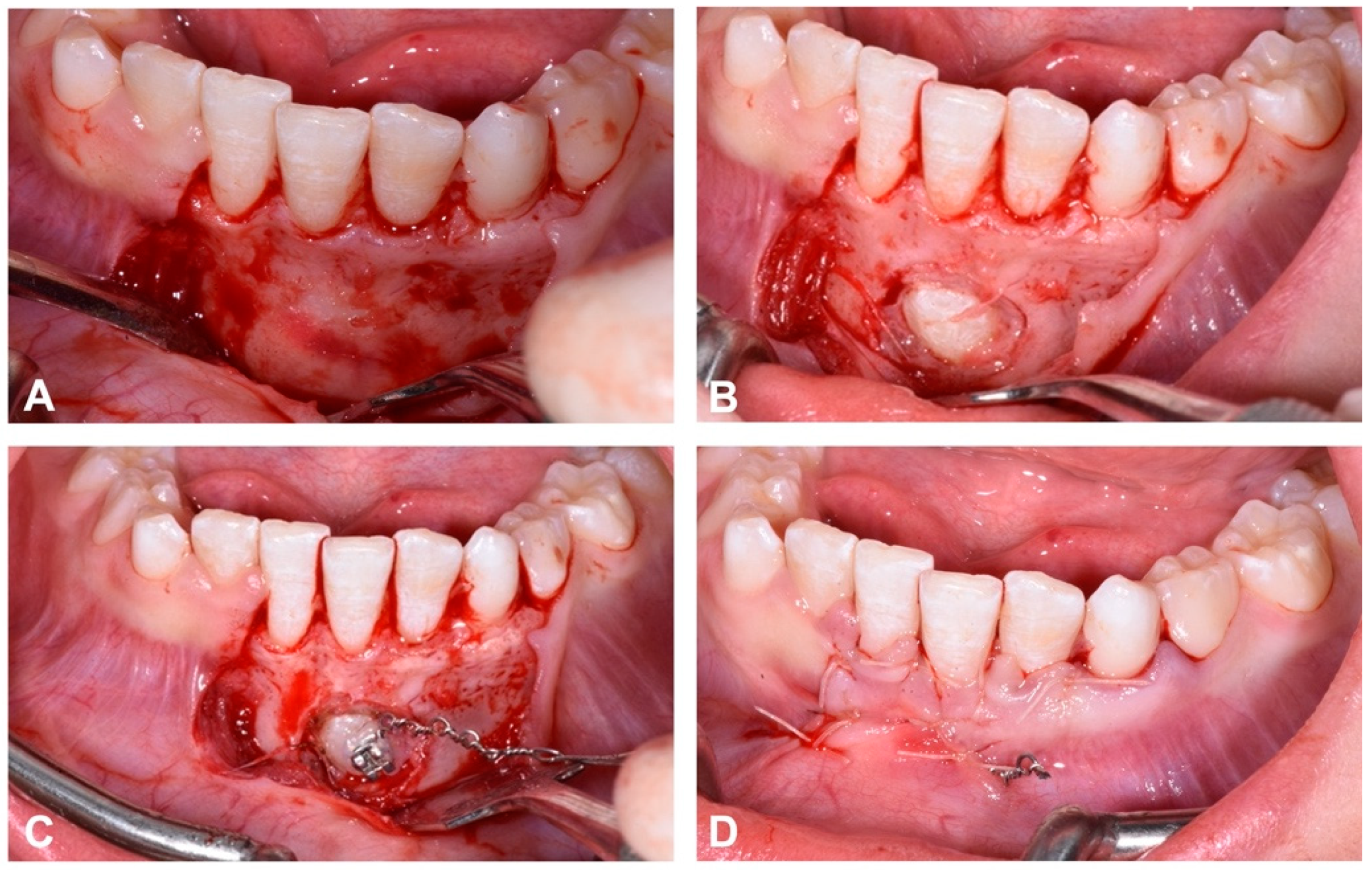
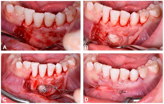
Figure 8. Flap opening (A); surgical exposure of the buccal side of impacted crown’s canine (B); positioning of the metal bracket for orthodontic traction (C); flap repositioned with resorbable suture and visible traction ligature (D).
Figure 8. Flap opening (A); surgical exposure of the buccal side of impacted crown’s canine (B); positioning of the metal bracket for orthodontic traction (C); flap repositioned with resorbable suture and visible traction ligature (D).
Dentistry 12 00079 g008
Figure 9. Intraoral occlusal view of surgical guide insertion (A); pre-drilling to guide miniscrew insertion (B); miniscrew insertion (C); miniscrew in place (D).
Figure 9. Intraoral occlusal view of surgical guide insertion (A); pre-drilling to guide miniscrew insertion (B); miniscrew insertion (C); miniscrew in place (D).
Dentistry 12 00079 g009
Figure 10. Occlusal (A) and lateral (B) intra-oral view of orthodontic traction with an elastic chain and its activation with the aid of the dynamometer (C).
Figure 10. Occlusal (A) and lateral (B) intra-oral view of orthodontic traction with an elastic chain and its activation with the aid of the dynamometer (C).
Dentistry 12 00079 g010
Figure 11. Deciduous extraction (7.3) (A) and gingivectomy to move bracket apically and reactivate traction on impacted canine (B).
Figure 11. Deciduous extraction (7.3) (A) and gingivectomy to move bracket apically and reactivate traction on impacted canine (B).
Dentistry 12 00079 g011
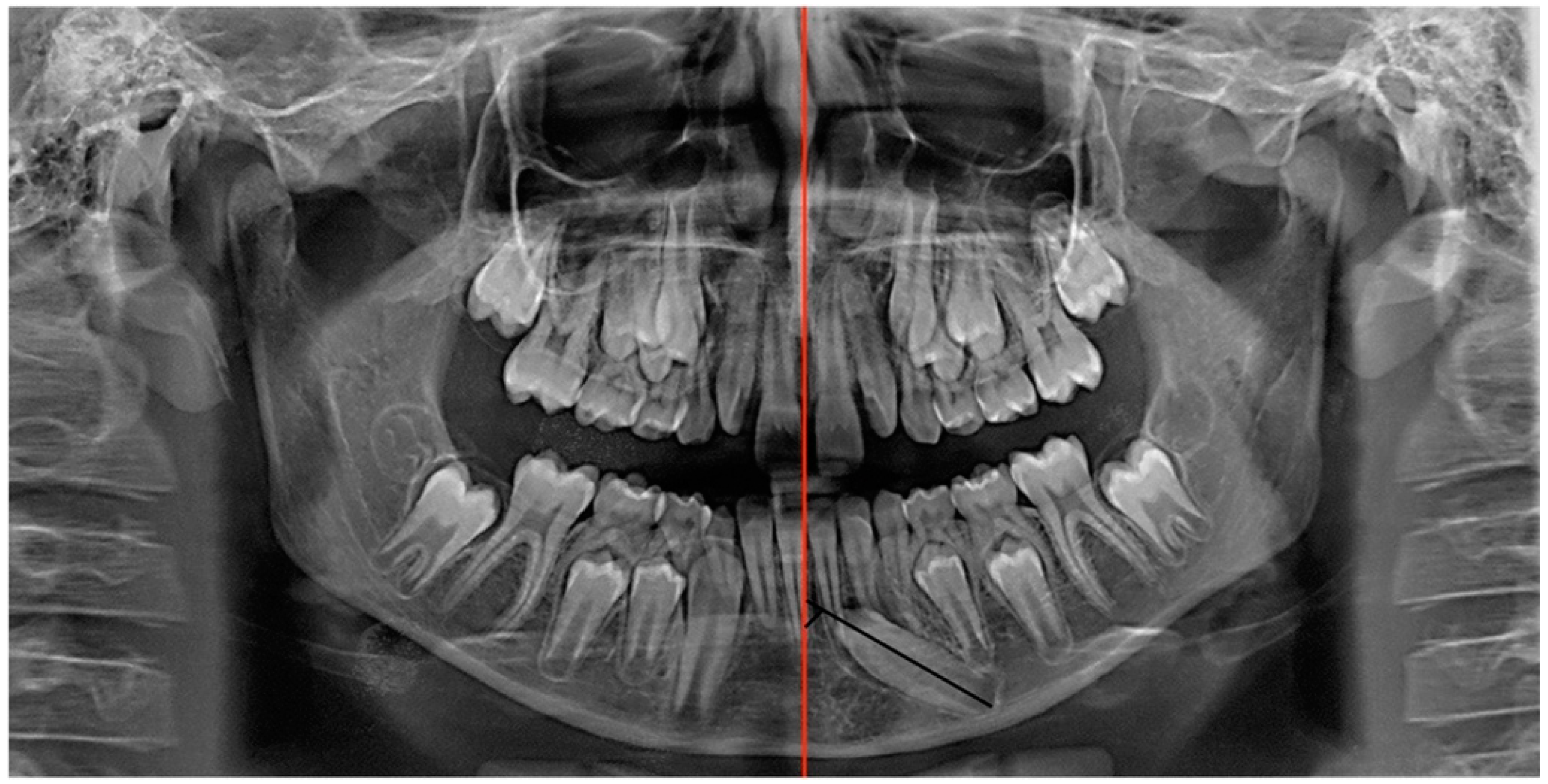
Figure 12. Panoramic radiography of treatment progress (1 year after the first panoramic radiograph).
Figure 12. Panoramic radiography of treatment progress (1 year after the first panoramic radiograph).
Dentistry 12 00079 g012
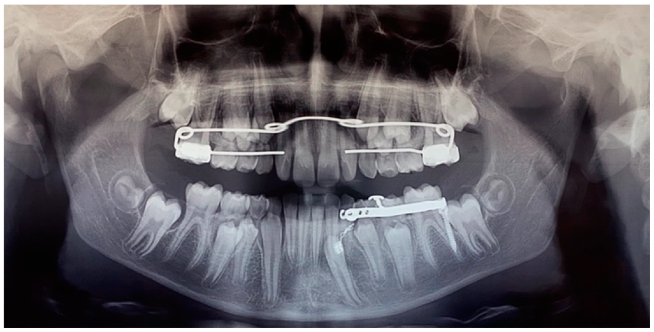
Figure 13. Panoramic radiograph at the end of the orthodontic traction with the customized skeletal anchorage device.
Figure 13. Panoramic radiograph at the end of the orthodontic traction with the customized skeletal anchorage device.
Dentistry 12 00079 g013
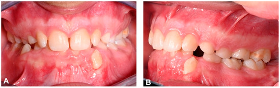
Figure 14. Frontal (A) and lateral (B) intraoral view after removal of the customized disimpaction device and miniscrew.
Figure 14. Frontal (A) and lateral (B) intraoral view after removal of the customized disimpaction device and miniscrew.
Dentistry 12 00079 g014
Disclaimer/Publisher’s Note: The statements, opinions and data contained in all publications are solely those of the individual author(s) and contributor(s) and not of MDPI and/or the editor(s). MDPI and/or the editor(s) disclaim responsibility for any injury to people or property resulting from any ideas, methods, instructions or products referred to in the content.

Share and Cite

MDPI and ACS Style

Germanò, F.; Guarnieri, R.; Mezio, M.; Barbato, E.; Cassetta, M. The Use of CAD/CAM Technology in Mandibular Canine Disimpaction: A Case Report. Dent. J. 2024, 12, 79. https://doi.org/10.3390/dj12030079

AMA Style

Germanò F, Guarnieri R, Mezio M, Barbato E, Cassetta M. The Use of CAD/CAM Technology in Mandibular Canine Disimpaction: A Case Report. Dentistry Journal. 2024; 12(3):79. https://doi.org/10.3390/dj12030079

Chicago/Turabian Style

Germanò, Francesca, Rosanna Guarnieri, Martina Mezio, Ersilia Barbato, and Michele Cassetta. 2024. "The Use of CAD/CAM Technology in Mandibular Canine Disimpaction: A Case Report" Dentistry Journal 12, no. 3: 79. https://doi.org/10.3390/dj12030079

APA Style

Germanò, F., Guarnieri, R., Mezio, M., Barbato, E., & Cassetta, M. (2024). The Use of CAD/CAM Technology in Mandibular Canine Disimpaction: A Case Report. Dentistry Journal, 12(3), 79. https://doi.org/10.3390/dj12030079

Note that from the first issue of 2016, this journal uses article numbers instead of page numbers. See further details here.

Article Metrics

Back to TopTop