Adjunctive Plasma Rich in Growth Factors in the Treatment of Osteomyelitis and Large Odontogenic Cysts Prior to Successful Implant Rehabilitation: Case Report
Abstract
1. Introduction
2. Materials and Methods
PRGF Preparation
3. Results
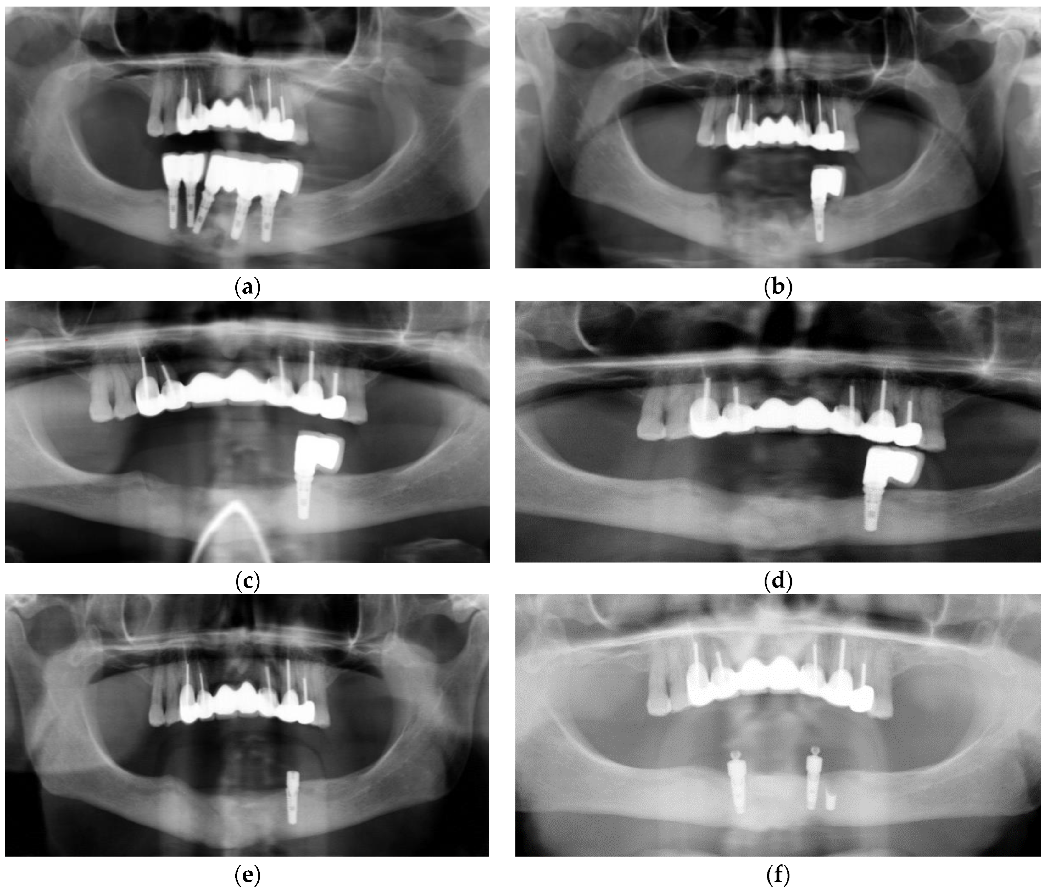
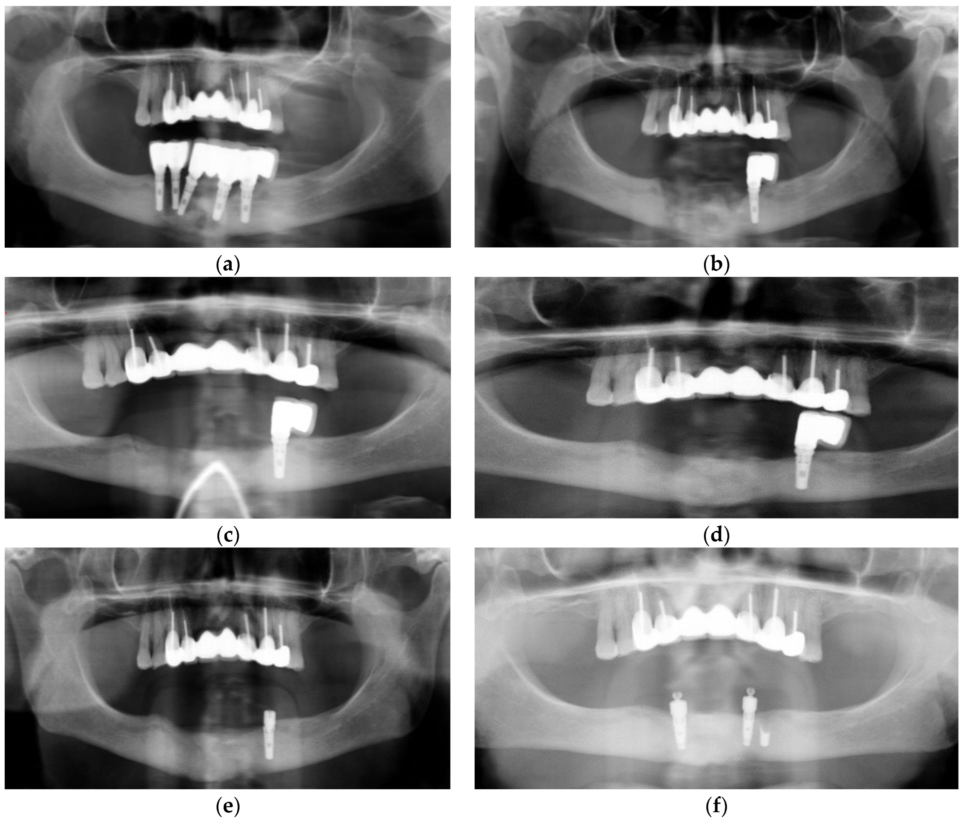
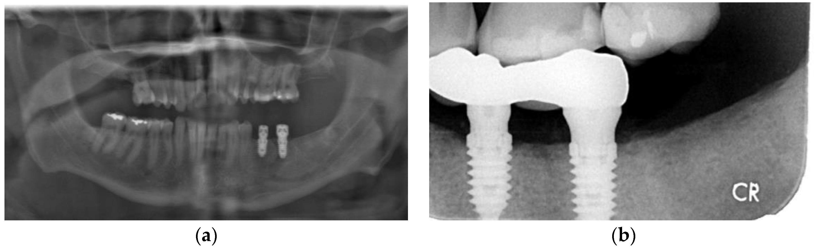
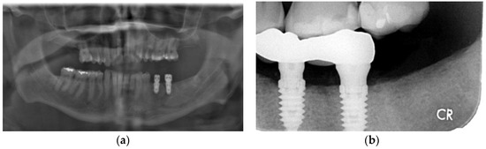
3.1. Case 1
3.2. Case 2
3.3. Case 3
3.4. Case 4
3.5. Case 5
4. Discussion
5. Conclusions
Author Contributions
Funding
Institutional Review Board Statement
Informed Consent Statement
Data Availability Statement
Conflicts of Interest
References
- Lima, A.L.; Oliveira, P.R.; Carvalho, V.C.; Cimerman, S.; Savio, E.; Diretrizes Panamericanas para el Tratamiento de las Osteomielitis e Infecciones de Tejidos Blandos Group. Recommendations for the treatment of osteomyelitis. Braz. J. Infect. Dis. 2014, 18, 526–534. [Google Scholar] [CrossRef] [PubMed]
- Hudson, J.W. Osteomyelitis of the jaws: A 50-year perspective. J. Oral Maxillofac. Surg. 1993, 51, 1294–1301. [Google Scholar] [CrossRef] [PubMed]
- Van Merkesteyn, J.P.; Bakker, D.J.; Van der Waal, I.; Kusen, G.J.; Egyedi, P.; Van den Akker, H.P.; De Man, K.; Panders, A.K.; Lekkas, K.E. Hyperbaric oxygen treatment of chronic osteomyelitis of the jaws. Int. J. Oral Surg. 1984, 13, 386–395. [Google Scholar] [CrossRef] [PubMed]
- Matharu, J.; Taylor, H.; Sproat, C.; Kwok, J.; Brown, J.; Patel, V. Diffuse sclerosing osteomyelitis: A case series and literature review. Oral Surg. Oral Med. Oral Pathol. Oral Radiol. 2020, 129, 437–446. [Google Scholar] [CrossRef]
- Van de Meent, M.M.; Pichardo, S.E.C.; Appelman-Dijkstra, N.M.; van Merkesteyn, J.P.R. Outcome of different treatments for chronic diffuse sclerosing osteomyelitis of the mandible: A systematic review of published papers. Br. J. Oral Maxillofac. Surg. 2020, 58, 385–395. [Google Scholar] [CrossRef]
- D’Agostino, S.; Valentini, G.; Dolci, M.; Ferrara, E. Potential Relationship between Poor Oral Hygiene and MRONJ: An Observational Retrospective Study. Int. J. Environ. Res. Public Health 2023, 20, 5402. [Google Scholar] [CrossRef] [PubMed]
- Karna, H.; Gonzalez, J.; Radia, H.S.; Sedghizadeh, P.P.; Enciso, R. Risk-reductive dental strategies for medication related osteonecrosis of the jaw among cancer patients: A systematic review with meta-analyses. Oral Oncol. 2018, 85, 15–23. [Google Scholar] [CrossRef]
- Ruggiero, S.L.; Dodson, T.B.; Aghaloo, T.; Carlson, E.R.; Ward, B.B.; Kademani, D. American Association of Oral and Maxillofacial Surgeons’ Position. Paper on Medication-Related Osteonecrosis of the Jaws—2022 Update. J. Oral Maxillofac. Surg. 2022, 80, 920–943. [Google Scholar] [CrossRef]
- Tempesta, A.; Capodiferro, S.; Di Nanna, S.; D’Agostino, S.; Dolci, M.; Scarano, A.; Gambarini, G.; Maiorano, E.; Favia, G.; Limongelli, L. Medication-related osteonecrosis of the jaw triggered by endodontic failure in oncologic patients. Oral Dis. 2022. [Google Scholar] [CrossRef]
- Lata, J.; Pansotra, N. Osteomyelitis of Maxilla: A Rare Presentation Yet Not So Rare. J. Maxillofac. Oral Surg. 2022, 21, 1023–1031. [Google Scholar] [CrossRef]
- He, P.; Francois, K.; Missaghian, N.; Le, A.D.; Flynn, T.R.; Shanti, R.M. Are Bacteria Just Bystanders in the Pathogenesis of Inflammatory Jaw Conditions? J. Oral Maxillofac. Surg. 2022, 80, 1094–1102. [Google Scholar] [CrossRef] [PubMed]
- Rao, N.; Ziran, B.H.; Lipsky, B.A. Treating osteomyelitis: Antibiotics and surgery. Plast. Reconstr. Surg. 2011, 127 (Suppl. 1), 177S–187S. [Google Scholar] [CrossRef]
- Laughlin, R.T.; Sinha, A.; Calhoun, J.H.; Mader, J.T. Osteomyelitis. Curr. Opin. Rheumatol. 1994, 6, 401–407. [Google Scholar] [CrossRef] [PubMed]
- Schmitt, S.K. Osteomyelitis. Infect. Dis. Clin. N. Am. 2017, 31, 325–338. [Google Scholar] [CrossRef] [PubMed]
- Kavanagh, N.; Ryan, E.J.; Widaa, A.; Sexton, G.; Fennell, J.; O’Rourke, S.; Cahill, K.C.; Kearney, C.J.; O’Brien, F.J.; Kerrigan, S.W. Staphylococcal Osteomyelitis: Disease Progression, Treatment Challenges, and Future Directions. Clin. Microbiol. Rev. 2018, 31, e00084-17. [Google Scholar] [CrossRef] [PubMed]
- Spellberg, B.; Lipsky, B.A. Systemic antibiotic therapy for chronic osteomyelitis in adults. Clin. Infect. Dis. 2012, 54, 393–407. [Google Scholar] [CrossRef] [PubMed]
- Koorbusch, G.F.; Fotos, P.; Goll, K.T. Retrospective assessment of osteomyelitis: Etiology, demographics, risk factors, and management in 35 cases. Oral Surg. Oral Med. Oral Pathol. 1992, 74, 149–154. [Google Scholar] [CrossRef]
- Vazquez, E.; Lopez-Arcas, J.M.; Navarro, I.; Pingarron, L.; Cebrian, J.L. Maxillomandibular osteomyelitis in osteopetrosis. Report of a case and review of the literature. Oral Maxillofac. Surg. 2009, 13, 105–108. [Google Scholar] [CrossRef]
- Ghazali, N.; Collyer, J.C.; Tighe, J.V. Hemimandibulectomy and vascularized fibula flap in bisphosphonate-induced mandibular osteonecrosis with polycythaemia rubra vera. Int. J. Oral Maxillofac. Surg. 2013, 42, 120–123. [Google Scholar] [CrossRef]
- Anitua, E.; Alkhraisat, M.H.; Orive, G. Perspectives and challenges in regenerative medicine using plasma rich in growth factors. J. Control. Release 2012, 157, 29–38. [Google Scholar] [CrossRef]
- Anitua, E.; Zalduendo, M.; Troya, M.; Tierno, R.; Alkhraisat, M.H. The inclusion of leukocytes into platelet rich plasma reduces scaffold stability and hinders extracellular matrix remodelling. Ann. Anat. 2022, 240, 151853. [Google Scholar] [CrossRef] [PubMed]
- Yuan, T.; Zhang, C.; Zeng, B. Treatment of chronic femoral osteomyelitis with platelet-rich plasma (PRP): A case report. Transfus. Apher. Sci. 2008, 38, 167–173. [Google Scholar] [CrossRef] [PubMed]
- Cieslik-Bielecka, A.; Bielecki, T.; Gazdzik, T.S.; Cieslik, T.; Szczepanski, T. Improved treatment of mandibular odontogenic cysts with platelet-rich gel. Oral Surg. Oral Med. Oral Pathol. Oral Radiol. Endod. 2008, 105, 423–429. [Google Scholar] [CrossRef] [PubMed]
- Raţiu, C.A.; Raţiu, I.A.; Cavalu, S.; Boşca, A.B.; Ciavoi, G. Successful management of spontaneous bone regeneration after jaws cystectomy using PRGF approach; case series. Rom. J. Morphol. Embryol. 2020, 61, 833–840. [Google Scholar] [CrossRef] [PubMed]
- Bilodeau, E.A.; Collins, B.M. Odontogenic Cysts and Neoplasms. Surg. Pathol. Clin. 2017, 10, 177–222. [Google Scholar] [CrossRef]
- Deshmukh, J.; Shrivastava, R.; Bharath, K.P.; Mallikarjuna, R. Giant radicular cyst of the maxilla. BMJ Case Rep. 2014, 2014, bcr2014203678. [Google Scholar] [CrossRef]
- Matijevic, S.; Jovivic, B.; Bubalo, M.; Dukic, S.; Cutovic, T. Treatment of a large radicular cyst-enucleation or decompression? Vojnosanit. Pregl. 2015, 72, 372–374. [Google Scholar] [CrossRef]
- Tian, F.C.; Bergeron, B.E.; Kalathingal, S.; Morris, M.; Wang, X.Y.; Niu, L.N.; Tay, F.R. Management of Large Radicular Lesions Using Decompression: A Case Series and Review of the Literature. J. Endod. 2019, 45, 651–659. [Google Scholar] [CrossRef]
- Xiao, X.; Dai, J.W.; Li, Z.; Zhang, W. Pathological fracture of the mandible caused by radicular cyst: A case report and literature review. Medicine 2018, 97, e13529. [Google Scholar] [CrossRef]
- Calhoun, K.H.; Shapiro, R.D.; Stiernberg, C.M.; Calhoun, J.H.; Mader, J.T. Osteomyelitis of the mandible. Arch. Otolaryngol. Head. Neck Surg. 1988, 114, 1157–1162. [Google Scholar] [CrossRef]
- Marschall, J.S.; Flint, R.L.; Kushner, G.M.; Alpert, B. Management of Mandibular Osteomyelitis with Segmental Resection, Nerve Preservation, and Immediate Reconstruction. J. Oral Maxillofac. Surg. 2019, 77, 1490–1504. [Google Scholar] [CrossRef]
- Bonavolonta, P.; Dell’Aversana Orabona, G.; Friscia, M.; Sani, L.; Abbate, V.; Iaconetta, G.; Califano, L. Surgical Management of Large Odontogenic Cysts of the Mandible. J. Craniofacial Surg. 2019, 30, e658–e661. [Google Scholar] [CrossRef] [PubMed]
- Montevecchi, M.; Checchi, V.; Bonetti, G.A. Management of a deeply impacted mandibular third molar and associated large dentigerous cyst to avoid nerve injury and improve periodontal healing: Case report. J. Can. Dent. Assoc. 2012, 78, c59. [Google Scholar] [PubMed]
- Anitua, E. Plasma rich in growth factors: Preliminary results of use in the preparation of future sites for implants. Int. J. Oral Maxillofac. Implant. 1999, 14, 529–535. [Google Scholar]
- Anitua, E.; Murias-Freijo, A.; Alkhraisat, M.H.; Orive, G. Clinical, radiographical, and histological outcomes of plasma rich in growth factors in extraction socket: A randomized controlled clinical trial. Clin. Oral Investig. 2015, 19, 589–600. [Google Scholar] [CrossRef] [PubMed]
- Anitua, E.; Tejero, R.; Zalduendo, M.M.; Orive, G. Plasma rich in growth factors promotes bone tissue regeneration by stimulating proliferation, migration, and autocrine secretion in primary human osteoblasts. J. Periodontol. 2013, 84, 1180–1190. [Google Scholar] [CrossRef]
- Anitua, E.; Troya, M.; Zalduendo, M.; Flores, J.; Tierno, R.; Alkhraisat, M.H. The influence of alveolar bone healing degree on its potential as a source of human alveolar bone-derived cells. Ann. Anat. 2020, 232, 151578. [Google Scholar] [CrossRef]
- Stumbras, A.; Kuliesius, P.; Darinskas, A.; Kubilius, R.; Zigmantaite, V.; Juodzbalys, G. Bone regeneration in rabbit calvarial defects using PRGF and adipose-derived stem cells: Histomorphometrical analysis. Regen. Med. 2020, 15, 1535–1549. [Google Scholar] [CrossRef]
- Stumbras, A.; Galindo-Moreno, P.; Januzis, G.; Juodzbalys, G. Three-dimensional analysis of dimensional changes after alveolar ridge preservation with bone substitutes or plasma rich in growth factors: Randomized and controlled clinical trial. Clin. Implant. Dent. Relat. Res. 2021, 23, 96–106. [Google Scholar] [CrossRef]
- Anitua, E.; Allende, M.; Alkhraisat, M.H. Unravelling Alveolar Bone Regeneration Ability of Platelet-Rich Plasma: A Systematic Review with Meta-Analysis. Bioengineering 2022, 9, 506. [Google Scholar] [CrossRef]
- Anitua, E.; Allende, M.; Eguia, A.; Alkhraisat, M.H. Bone-Regenerative Ability of Platelet-Rich Plasma Following Sinus Augmentation with Anorganic Bovine Bone: A Systematic Review with Meta-Analysis. Bioengineering 2022, 9, 597. [Google Scholar] [CrossRef] [PubMed]
- Anitua, E.; Pelacho, B.; Prado, R.; Aguirre, J.J.; Sanchez, M.; Padilla, S.; Aranguren, X.L.; Abizanda, G.; Collantes, M.; Hernandez, M.; et al. Infiltration of plasma rich in growth factors enhances in vivo angiogenesis and improves reperfusion and tissue remodeling after severe hind limb ischemia. J. Control. Release 2015, 202, 31–39. [Google Scholar] [CrossRef] [PubMed]
- Stumbras, A.; Januzis, G.; Gervickas, A.; Kubilius, R.; Juodzbalys, G. Randomized and Controlled Clinical Trial of Bone Healing after Alveolar Ridge Preservation Using Xenografts and Allografts Versus Plasma Rich in Growth Factors. J. Oral Implantol. 2020, 46, 515–525. [Google Scholar] [CrossRef] [PubMed]
- Novince, C.M.; Ward, B.B.; McCauley, L.K. Osteonecrosis of the jaw: An update and review of recommendations. Cells Tissues Organs 2009, 189, 275–283. [Google Scholar] [CrossRef]
- Reid, I.R.; Cundy, T. Osteonecrosis of the jaw. Skelet. Radiol. 2009, 38, 5–9. [Google Scholar] [CrossRef]
- Santini, D.; Vincenzi, B.; Galluzzo, S.; Battistoni, F.; Rocci, L.; Venditti, O.; Schiavon, G.; Angeletti, S.; Uzzalli, F.; Caraglia, M.; et al. Repeated intermittent low-dose therapy with zoledronic acid induces an early, sustained, and long-lasting decrease of peripheral vascular endothelial growth factor levels in cancer patients. Clin. Cancer Res. 2007, 13, 4482–4486. [Google Scholar] [CrossRef]
- Vincenzi, B.; Santini, D.; Rocci, L.; Tonini, G. Bisphosphonates: New antiangiogenic molecules in cancer treatment? Ann. Oncol. 2003, 14, 806–807. [Google Scholar] [CrossRef]
- Anitua, E.; Troya, M.; Tierno, R.; Zalduendo, M.; Alkhraisat, M.H. The Effectiveness of Platelet-Rich Plasma as a Carrier of Stem Cells in Tissue Regeneration: A Systematic Review of Pre-Clinical Research. Cells Tissues Organs 2021, 210, 339–350. [Google Scholar] [CrossRef]
- Anitua, E.; Zalduendo, M.; Troya, M. Autologous plasma rich in growth factors technology for isolation and ex vivo expansion of human dental pulp stem cells for clinical translation. Regen. Med. 2019, 14, 97–111. [Google Scholar] [CrossRef]
- Anitua, E.; Zalduendo, M.; Troya, M.; Alkhraisat, M.H.; Blanco-Antona, L.A. Platelet-Rich Plasma as an Alternative to Xenogeneic Sera in Cell-Based Therapies: A Need for Standardization. Int. J. Mol. Sci. 2022, 23, 6552. [Google Scholar] [CrossRef]
- Anitua, E.; Zalduendo, M.; Troya, M.; Orive, G. PRGF exerts a cytoprotective role in zoledronic acid-treated oral cells. Clin. Oral Investig. 2016, 20, 513–521. [Google Scholar] [CrossRef]
- Del Fabbro, M.; Corbella, S.; Ceresoli, V.; Ceci, C.; Taschieri, S. Plasma Rich in Growth Factors Improves Patients’ Postoperative Quality of Life in Maxillary Sinus Floor Augmentation: Preliminary Results of a Randomized Clinical Study. Clin. Implant. Dent. Relat. Res. 2015, 17, 708–716. [Google Scholar] [CrossRef]
- Anitua, E.; Begona, L.; Orive, G. Treatment of hemimandibular paresthesia in a patient with bisphosphonate-related osteonecrosis of the jaw (BRONJ) by combining surgical resection and PRGF-Endoret. Br. J. Oral Maxillofac. Surg. 2013, 51, e272–e274. [Google Scholar] [CrossRef] [PubMed]
- Gil, I.G.; Ponte, B.M.; Mateo, S.T.; Garcia, J.J. Treatment of Bisphosphonate-Related Osteonecrosis of the Jaw with Plasma Rich in Growth Factors After Dental Implant Surgery: A Case Report. J. Oral Implantol. 2019, 45, 289–296. [Google Scholar] [CrossRef] [PubMed]
- Pardinas Lopez, S.; Iocca, O.; Khouly, I. Three-dimensional bone evaluation after surgical treatment with plasma rich in growth factors of Medication Related Osteonecrosis of the Jaw (MRONJ): A report of 3 cases. Bone Rep. 2019, 10, 100208. [Google Scholar] [CrossRef] [PubMed]
- Mozzati, M.; Arata, V.; Gallesio, G.; Carossa, S. A dental extraction protocol with plasma rich in growth factors (PRGF) in patients on intravenous bisphosphonate therapy: A case-control study. Jt. Bone Spine 2011, 78, 648–649. [Google Scholar] [CrossRef] [PubMed]
- Mozzati, M.; Gallesio, G.; Arata, V.; Pol, R.; Scoletta, M. Platelet-rich therapies in the treatment of intravenous bisphosphonate-related osteonecrosis of the jaw: A report of 32 cases. Oral Oncol. 2012, 48, 469–474. [Google Scholar] [CrossRef]
- Drago, L.; Bortolin, M.; Vassena, C.; Romano, C.L.; Taschieri, S.; Del Fabbro, M. Plasma components and platelet activation are essential for the antimicrobial properties of autologous platelet-rich plasma: An in vitro study. PLoS ONE 2014, 9, e107813. [Google Scholar] [CrossRef]
- Anitua, E.; Alonso, R.; Girbau, C.; Aguirre, J.J.; Muruzabal, F.; Orive, G. Antibacterial effect of plasma rich in growth factors (PRGF(R)-Endoret(R)) against Staphylococcus aureus and Staphylococcus epidermidis strains. Clin. Exp. Dermatol. 2012, 37, 652–657. [Google Scholar] [CrossRef] [PubMed]
- Drago, L.; Bortolin, M.; Vassena, C.; Taschieri, S.; Del Fabbro, M. Antimicrobial activity of pure platelet-rich plasma against microorganisms isolated from oral cavity. BMC Microbiol. 2013, 13, 47. [Google Scholar] [CrossRef]
- Kirchner, F.; Anitua, E. Intradiscal and intra-articular facet infiltrations with plasma rich in growth factors reduce pain in patients with chronic low back pain. J. Craniovertebr Junction Spine 2016, 7, 250–256. [Google Scholar] [CrossRef] [PubMed]
- Sanchez, M.; Yoshioka, T.; Ortega, M.; Delgado, D.; Anitua, E. Ultrasound-guided platelet-rich plasma injections for the treatment of common peroneal nerve palsy associated with multiple ligament injuries of the knee. Knee Surg. Sports Traumatol. Arthrosc. 2014, 22, 1084–1089. [Google Scholar] [CrossRef] [PubMed]
- Dodla, M.C.; Bellamkonda, R.V. Peripheral nerve regeneration. In Foundations of Regenerative Medicines: Clinical and Therapeutic Applications; Atala, A., Lanza, R., Thomson, J., Nerem, R., Eds.; Academic Press: San Diego, CA, USA, 2010; pp. 672–683. [Google Scholar]
- Sanchez, M.; Anitua, E.; Delgado, D.; Prado, R.; Sanchez, P.; Fiz, N.; Guadilla, J.; Azofra, J.; Pompei, O.; Orive, G.; et al. Ultrasound-guided plasma rich in growth factors injections and scaffolds hasten motor nerve functional recovery in an ovine model of nerve crush injury. J. Tissue Eng. Regen. Med. 2017, 11, 1619–1629. [Google Scholar] [CrossRef]
- Sariguney, Y.; Yavuzer, R.; Elmas, C.; Yenicesu, I.; Bolay, H.; Atabay, K. Effect of platelet-rich plasma on peripheral nerve regeneration. J. Reconstr. Microsurg. 2008, 24, 159–167. [Google Scholar] [CrossRef]
- Takeuchi, M.; Kamei, N.; Shinomiya, R.; Sunagawa, T.; Suzuki, O.; Kamoda, H.; Ohtori, S.; Ochi, M. Human platelet-rich plasma promotes axon growth in brain-spinal cord coculture. Neuroreport 2012, 23, 712–716. [Google Scholar] [CrossRef]
- Wu, C.C.; Wu, Y.N.; Ho, H.O.; Chen, K.C.; Sheu, M.T.; Chiang, H.S. The neuroprotective effect of platelet-rich plasma on erectile function in bilateral cavernous nerve injury rat model. J. Sex. Med. 2012, 9, 2838–2848. [Google Scholar] [CrossRef]
- Ye, F.; Li, H.; Qiao, G.; Chen, F.; Tao, H.; Ji, A.; Hu, Y. Platelet-rich plasma gel in combination with Schwann cells for repair of sciatic nerve injury. Neural Regen. Res. 2012, 7, 2286–2292. [Google Scholar] [CrossRef] [PubMed]
- Sanchez, M.; Garate, A.; Delgado, D.; Padilla, S. Platelet-rich plasma, an adjuvant biological therapy to assist peripheral nerve repair. Neural Regen. Res. 2017, 12, 47–52. [Google Scholar] [CrossRef]
- Torul, D.; Bereket, M.C.; Onger, M.E.; Altun, G. Comparison of the Regenerative Effects of Platelet-Rich Fibrin and Plasma Rich in Growth Factors on Injured Peripheral Nerve: An Experimental Study. J. Oral Maxillofac. Surg. 2018, 76, 1823.e1–1823.e12. [Google Scholar] [CrossRef]








Disclaimer/Publisher’s Note: The statements, opinions and data contained in all publications are solely those of the individual author(s) and contributor(s) and not of MDPI and/or the editor(s). MDPI and/or the editor(s) disclaim responsibility for any injury to people or property resulting from any ideas, methods, instructions or products referred to in the content. |
© 2023 by the authors. Licensee MDPI, Basel, Switzerland. This article is an open access article distributed under the terms and conditions of the Creative Commons Attribution (CC BY) license (https://creativecommons.org/licenses/by/4.0/).
Share and Cite
DuVal, M.; Alkhraisat, M.H. Adjunctive Plasma Rich in Growth Factors in the Treatment of Osteomyelitis and Large Odontogenic Cysts Prior to Successful Implant Rehabilitation: Case Report. Dent. J. 2023, 11, 184. https://doi.org/10.3390/dj11080184
DuVal M, Alkhraisat MH. Adjunctive Plasma Rich in Growth Factors in the Treatment of Osteomyelitis and Large Odontogenic Cysts Prior to Successful Implant Rehabilitation: Case Report. Dentistry Journal. 2023; 11(8):184. https://doi.org/10.3390/dj11080184
Chicago/Turabian StyleDuVal, Marc, and Mohammad Hamdan Alkhraisat. 2023. "Adjunctive Plasma Rich in Growth Factors in the Treatment of Osteomyelitis and Large Odontogenic Cysts Prior to Successful Implant Rehabilitation: Case Report" Dentistry Journal 11, no. 8: 184. https://doi.org/10.3390/dj11080184
APA StyleDuVal, M., & Alkhraisat, M. H. (2023). Adjunctive Plasma Rich in Growth Factors in the Treatment of Osteomyelitis and Large Odontogenic Cysts Prior to Successful Implant Rehabilitation: Case Report. Dentistry Journal, 11(8), 184. https://doi.org/10.3390/dj11080184

