Computer Aided Full Arch Restoration by Means of One-Piece Implants and Stackable Guide: A Technical Note
Abstract
1. Introduction
2. Materials and Methods
2.1. Surgical Planning
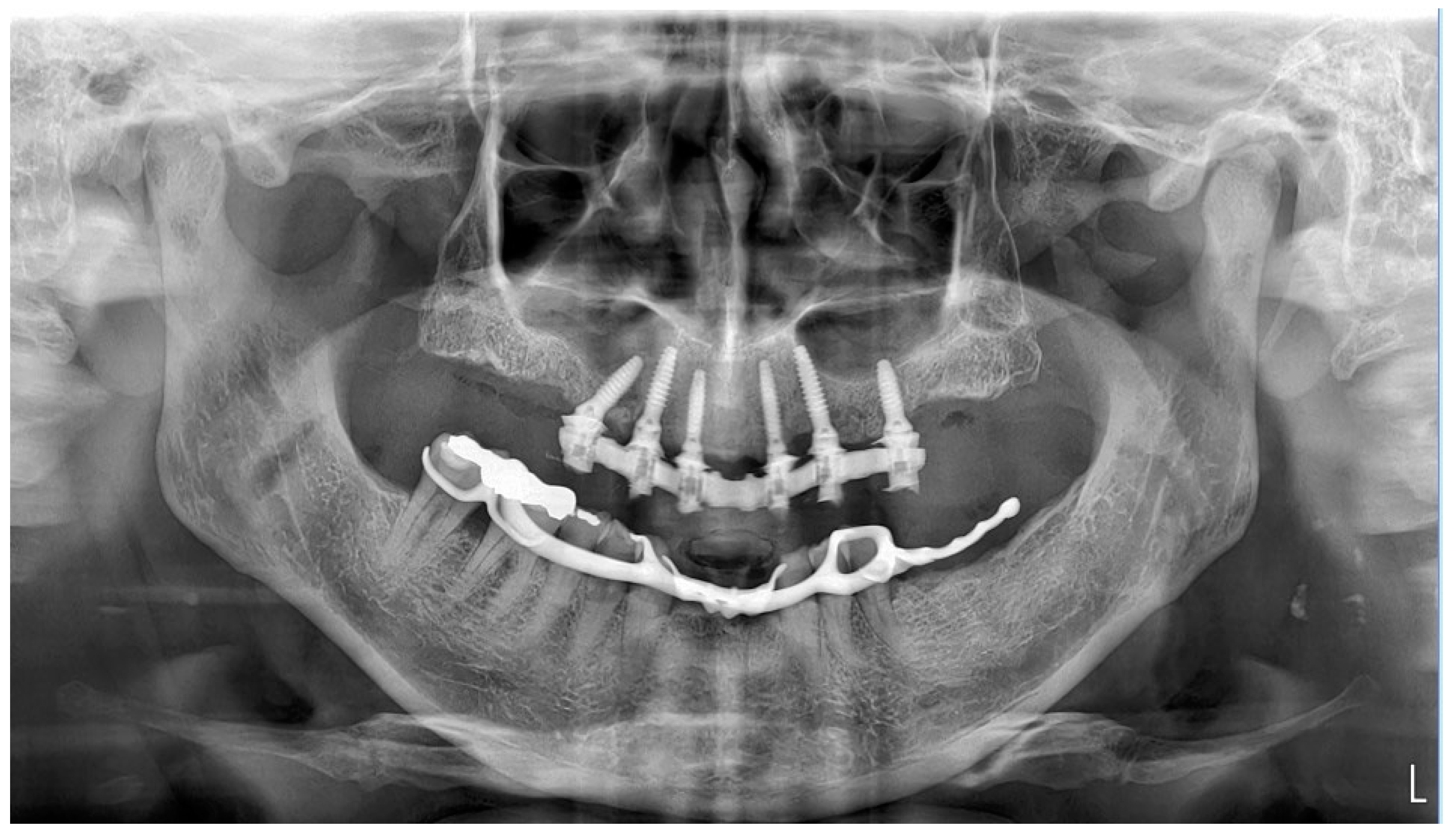
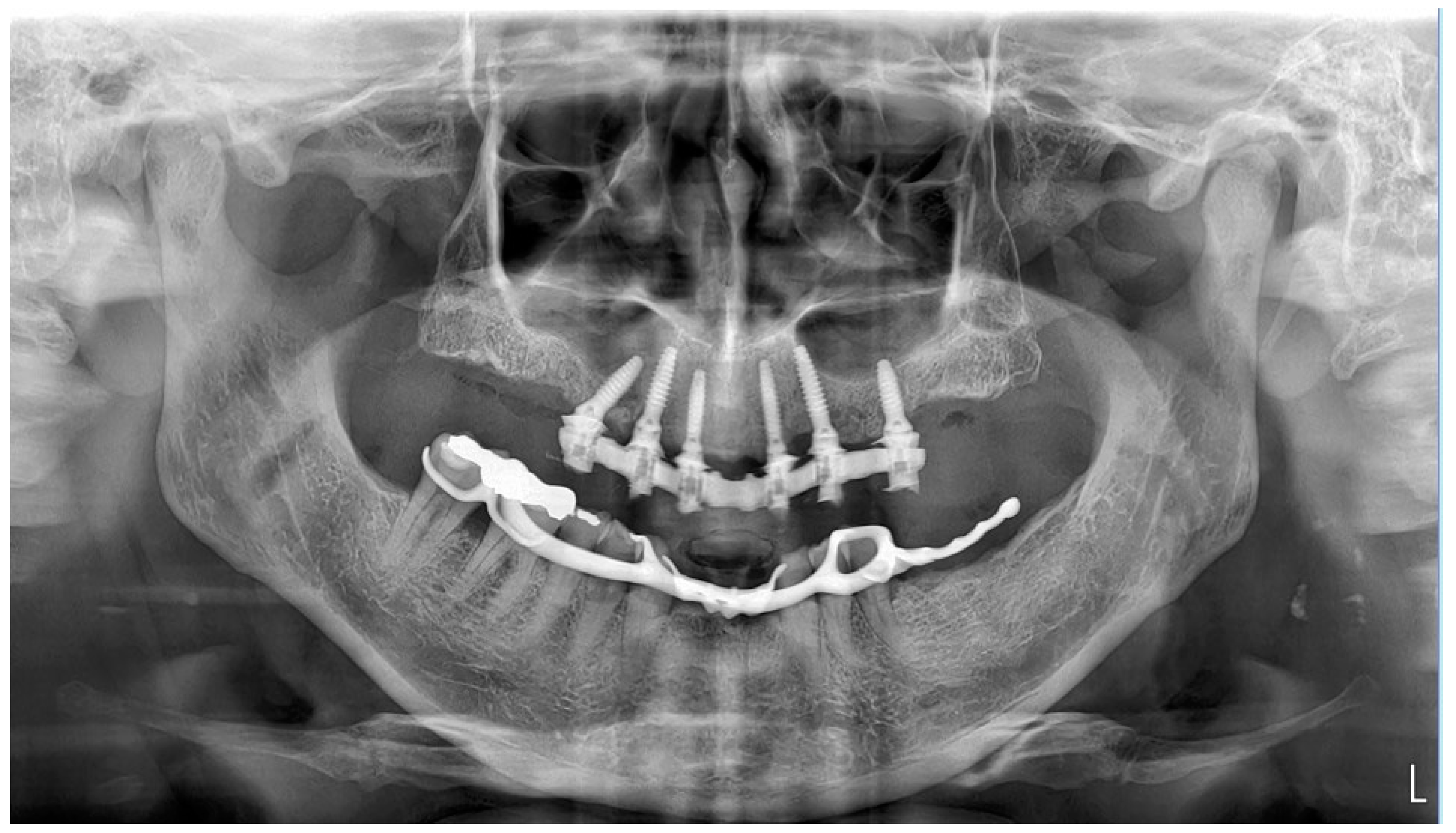
- 16: Oxy Implant FIXO Short 30° 4 × 10 mm
- 14: Oxy Implant FIXO Short 17° 4 × 10 mm
- 12: Oxy Implant FIXO Mini 17° 3.5 × 11.5 mm
- 22: Oxy Implant FIXO Mini 17° 3.5 × 13 mm
- 24: Oxy Implant FIXO Short 17° 4 × 11.5 mm
- 26: Oxy Implant FIXO Short 17° 4 × 8.5 mm
- Fixed component or base template: printed resin (Clear MED610™; Stratasys, Edina, MN, USA), reinforced with milled titanium grade 5 (SINERGIA DISK Ti; Nobil Metal, Bergamo, Italy).
- Removable components, screwed to the base template, consisting of:
- Positioning template: printed resin (Clear MED610™; Stratasys, Edina, MN, USA);
- Implant placement template (Figure 7): milled titanium grade 5 (SINERGIA DISK Ti; Nobil Metal, Bergamo, Italy);
- Provisional prosthesis: milled PMMA (Multilayer PMMA Disc; Dentsply Sirona, Verona, Italy) and a milled titanium grade 5 core (SINERGIA DISK Ti; Nobil Metal, Bergamo, Italy.
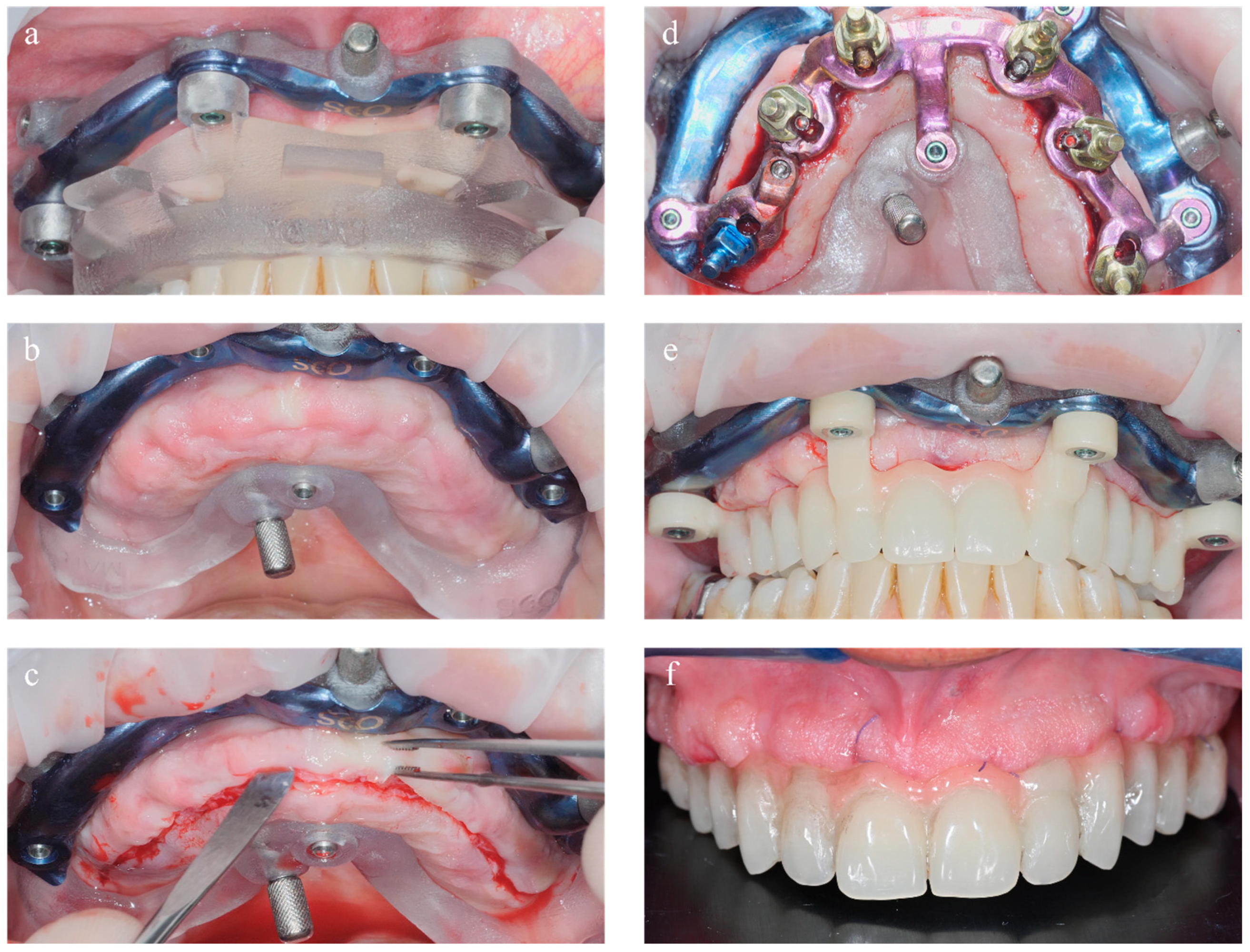
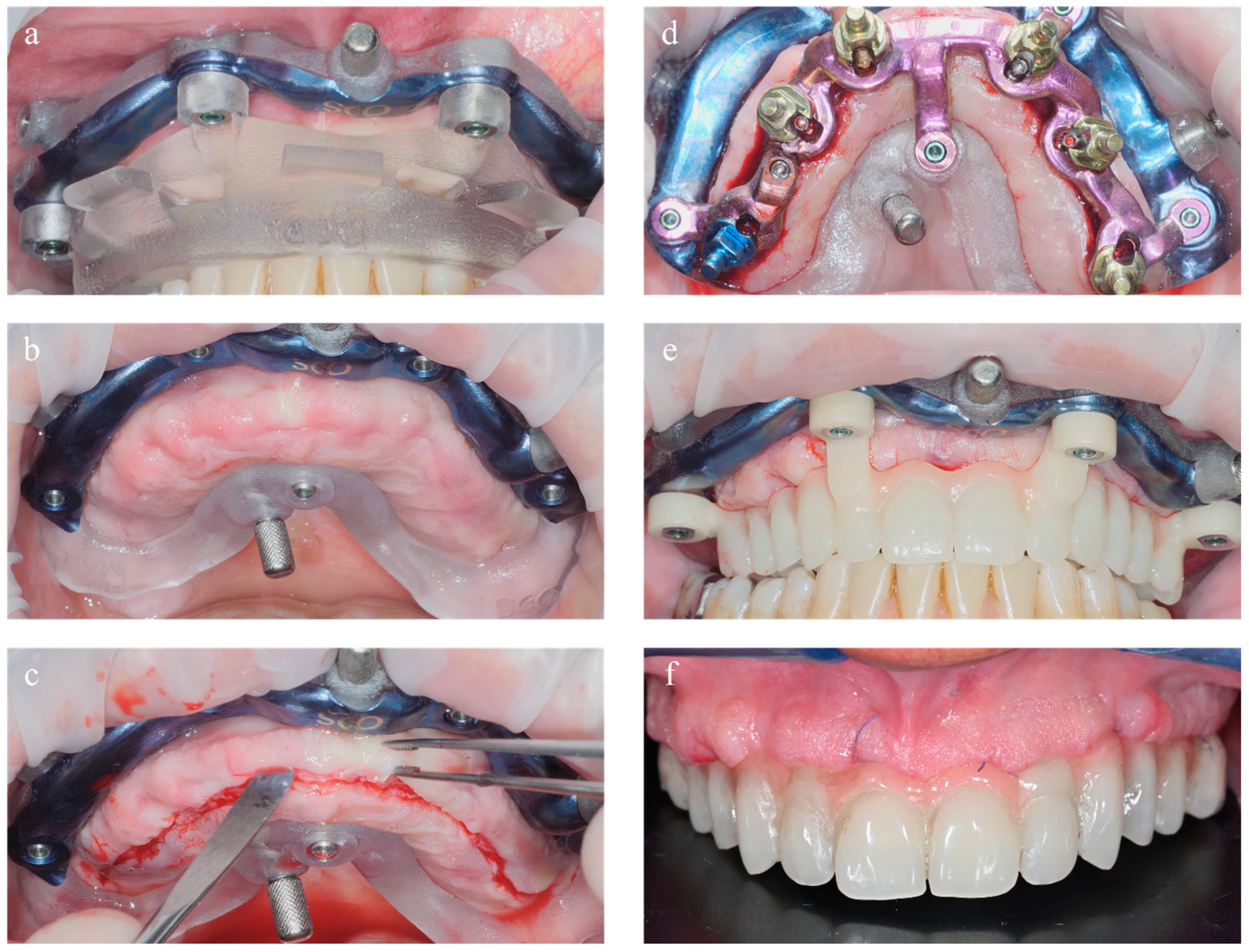
2.2. Surgery
2.3. Prosthetic Restoration
3. Results
4. Discussion
5. Conclusions
Author Contributions
Funding
Institutional Review Board Statement
Informed Consent Statement
Data Availability Statement
Conflicts of Interest
References
- Negreiros, W.M.; Hamilton, A.; Gallucci, G.O. A completely digital workflow for the transition from a failed dentition to interim complete-arch fixed implant-supported prostheses: A clinical report. J. Prosthet. Dent. 2022, 127, 527–532. [Google Scholar] [CrossRef] [PubMed]
- Verstreken, K.; Van Cleynenbreugel, J.; Marchal, G.; Naert, I.; Suetens, P.; van Steenberghe, D. Computer-assisted planning of oral implant surgery: A three-dimensional approach. Int. J. Oral Maxillofac. Implant. 1996, 11, 806–810. [Google Scholar]
- Hermann, J.S.; Schoolfield, J.D.; Schenk, R.K.; Buser, D.; Cochran, D.L. Influence of the size of the microgap on crestal bone changes around titanium implants. A histometric evaluation of unloaded non-submerged implants in the canine mandible. J. Periodontol. 2000 2001, 72, 1372–1383. [Google Scholar] [CrossRef] [PubMed]
- Tarnow, D.P.; Eskow, R.N.; Zamzok, J. Aesthetics and implant dentistry. Periodontology 2000 1996, 11, 85–94. [Google Scholar] [CrossRef]
- Gargallo-Albiol, J.; Barootchi, S.; Salomó-Coll, O.; Wang, H.L. Advantages and disadvantages of implant navigation surgery. A systematic review. Ann. Anat. 2019, 225, 1–10. [Google Scholar] [CrossRef]
- Fortin, T.; Bosson, J.L.; Isidori, M.; Blanchet, E. Effect of flapless surgery on pain experienced in implant placement using an image-guided system. Int. J. Oral Maxillofac. Implant. 2006, 21, 298–304. [Google Scholar]
- Yamada, J.; Kori, H.; Tsukiyama, Y.; Matsushita, Y.; Kamo, M.; Koyano, K. Immediate loading of complete-arch fixed prostheses for edentulous maxillae after flapless guided implant placement: A 1-year prospective clinical study. Int. J. Oral Maxillofac. Implant. 2015, 30, 184–193. [Google Scholar] [CrossRef][Green Version]
- Wismeijer, D.; Joda, T.; Flügge, T.; Fokas, G.; Tahmaseb, A.; Bechelli, D.; Bohner, L.; Bornstein, M.; Burgoyne, A.; Caram, S.; et al. Group 5 ITI Consensus Report: Digital technologies. Clin. Oral Implants Res. 2018, 29 (Suppl. S16), 436–442. [Google Scholar] [CrossRef]
- Merlone, A.; Tetè, G.; Cantile, N.; Manacorda, M.; Cattoni, F. Minimally invasive digital implant-prosthetic procedure in "all on 4" rehabilitation in patients with special needs: A three-year follow-up. J. Biol. Regul. Homeost. Agents 2021, 35, 71–85. [Google Scholar] [CrossRef]
- Li, J.; Chen, Z.; Chan, H.L.; Sinjab, K.; Yu, H.; Wang, H.L. Does flap opening or not influence the accuracy of semi-guided implant placement in partially edentulous sites? Clin. Implant Dent. Relat. Res. 2019, 21, 1253–1261. [Google Scholar] [CrossRef]
- Lopes, A.; Maló, P.; de Araújo Nobre, M.; Sánchez-Fernández, E.; Gravito, I. The NobelGuide® All-on-4® Treatment Concept for Rehabilitation of Edentulous Jaws: A Retrospective Report on the 7-Years Clinical and 5-Years Radiographic Outcomes. Clin. Implant Dent. Relat. Res. 2017, 19, 233–244. [Google Scholar] [CrossRef] [PubMed]
- Eftekhar Ashtiani, R.; Ghasemi, Z.; Nami, M.; Mighani, F.; Namdari, M. Accuracy of static digital surgical guides for dental implants based on the guide system: A systematic review. J. Stomatol. Oral Maxillofac. Surg. 2021, 122, 600–607. [Google Scholar] [CrossRef] [PubMed]
- García-Sala Bonmati, F.; Pérez-Barquero, J.A.; Ilzarbe Ripoll, L.M.; Labaig Rueda, C.; Fernandez-Estevan, L.; Revilla-León, M. An additively manufactured, magnetically retained, and stackable implant surgical guide: A dental technique. J. Prosthet. Dent. 2023, 130, 444–452. [Google Scholar] [CrossRef] [PubMed]
- Meloni, S.M.; De Riu, G.; Pisano, M.; Cattina, G.; Tullio, A. Implant treatment software planning and guided flapless surgery with immediate provisional prosthesis delivery in the fully edentulous maxilla. A retrospective analysis of 15 consecutively treated patients. Eur. J. Oral Implantol. 2010, 3, 245–251. [Google Scholar] [PubMed]
- Fortin, Y.; Sullivan, R.M.; Rangert, B.R. The Marius implant bridge: Surgical and prosthetic rehabilitation for the completely edentulous upper jaw with moderate to severe resorption: A 5-year retrospective clinical study. Clin. Implant Dent. Relat. Res. 2002, 4, 69–77. [Google Scholar] [CrossRef] [PubMed]
- Chee, W.; Jivraj, S. Efficiency of immediately loaded mandibular full-arch implant restorations. Clin. Implant Dent. Relat. Res. 2003, 5, 52–56. [Google Scholar] [CrossRef]
- Malo, P.; Nobre Mde, A.; Lopes, A. Immediate rehabilitation of completely edentulous arches with a four-implant prosthesis concept in difficult conditions: An open cohort study with a mean follow-up of 2 years. Int. J. Oral Maxillofac. Implant. 2012, 27, 1177–1190. [Google Scholar]
- Beretta, M.; Manfredini, M.; Poli, P.P.; Tansella, S.; Maiorana, C. Full Digital Model-Free Maxillary Prosthetic Rehabilitation by Means of One-Piece Implants: A Proof of Concept Clinical Report with Three-Years Follow up. Prosthesis 2022, 4, 202–212. [Google Scholar] [CrossRef]
- El Kholy, K.; Lazarin, R.; Janner, S.F.M.; Faerber, K.; Buser, R.; Buser, D. Influence of surgical guide support and implant site location on accuracy of static Computer-Assisted Implant Surgery. Clin. Oral Implant. Res. 2019, 30, 1067–1075. [Google Scholar] [CrossRef]
- Choi, K.; Kuhn, J.L.; Ciarelli, M.J.; Goldstein, S.A. The elastic moduli of human subchondral, trabecular, and cortical bone tissue and the size-dependency of cortical bone modulus. J. Biomech. 1990, 23, 1103–1113. [Google Scholar] [CrossRef]
- Tatakis, D.N.; Chien, H.H.; Parashis, A.O. Guided implant surgery risks and their prevention. Periodontology 2000 2019, 81, 194–208. [Google Scholar] [CrossRef] [PubMed]
- Chmielewski, K.; Ryncarz, W.; Yüksel, O.; Goncalves, P.; Baek, K.W.; Cok, S.; Dard, M. Image analysis of immediate full-arch prosthetic rehabilitations guided by a digital workflow: Assessment of the discrepancy between planning and execution. Int. J. Implant Dent. 2019, 5, 26. [Google Scholar] [CrossRef] [PubMed]
- Granata, S.; Sforza, N.M.; Giberti, L.; Stellini, E.; Di Fiore, A. Computer-guided implant surgery for immediate implanting and loading: The STIL technique. J. Prosthet. Dent. 2021, 126, 155–163. [Google Scholar] [CrossRef]
- Fang, T.; Gao, J.; Wu, Q.; Xie, C.; Zhang, Y.; Lu, J.; Yu, H. Digital workflow of labial guides for alveolar ridge reduction during implant-supported full-arch rehabilitation. J. Prosthodont. 2023; early view. [Google Scholar] [CrossRef]
- Yang, J.W.; Liu, Q.; Yue, Z.G.; Hou, J.X.; Afrashtehfar, K.I. Digital Workflow for Full-Arch Immediate Implant Placement Using a Stackable Surgical Guide Fabricated Using SLM Technology. J. Prosthodont. 2021, 30, 645–650. [Google Scholar] [CrossRef] [PubMed]
- D'Haese, J.; Ackhurst, J.; Wismeijer, D.; De Bruyn, H.; Tahmaseb, A. Current state of the art of computer-guided implant surgery. Periodontology 2000 2017, 73, 121–133. [Google Scholar] [CrossRef]
- Boa, K.; Barrak, I.; Varga, E., Jr.; Joob-Fancsaly, A.; Varga, E.; Piffko, J. Intraosseous generation of heat during guided surgical drilling: An ex vivo study of the effect of the temperature of the irrigating fluid. Br. J. Oral Maxillofac. Surg. 2016, 54, 904–908. [Google Scholar] [CrossRef]
- Eriksson, A. Heat-Induced Bone Tissue Injury: An In Vivo Investigation of Heat Tolerance of Bone Tissue and Temperature Rise in the Drilling of Cortical Bone. Ph.D. Thesis, University of Gothenburg, Gothenburg, Sweden, 1984. [Google Scholar]
- Supachaiyakit, P.; Serichetaphongse, P.; Chengprapakorn, W. The influence of implant design on implant stability in low-density bone under guided surgical template in inexperienced surgeons: A pilot randomized controlled clinical trial using resonance frequency analysis. Clin. Implant Dent. Relat. Res. 2022, 24, 444–454. [Google Scholar] [CrossRef]
- Su, Y.H.; Peng, B.Y.; Wang, P.D.; Feng, S.W. Evaluation of the implant stability and the marginal bone level changes during the first three months of dental implant healing process: A prospective clinical study. J. Mech. Behav. Biomed. Mater. 2020, 110, 103899. [Google Scholar] [CrossRef]
- Tomasi, C.; Donati, M.; Cecchinato, D.; Szathvary, I.; Corrà, E.; Lindhe, J. Effect of socket grafting with deproteinized bone mineral: An RCT on dimensional alterations after 6 months. Clin. Oral Implant. Res. 2018, 29, 435–442. [Google Scholar] [CrossRef]
- Gamper, F.B.; Benic, G.I.; Sanz-Martin, I.; Asgeirsson, A.G.; Hämmerle, C.H.F.; Thoma, D.S. Randomized controlled clinical trial comparing one-piece and two-piece dental implants supporting fixed and removable dental prostheses: 4- to 6-year observations. Clin. Oral Implant. Res. 2017, 28, 1553–1559. [Google Scholar] [CrossRef]
- Tallarico, M.; Kim, Y.J.; Cocchi, F.; Martinolli, M.; Meloni, S.M. Accuracy of newly developed sleeve-designed templates for insertion of dental implants: A prospective multicenters clinical trial. Clin. Implant Dent. Relat. Res. 2019, 21, 108–113. [Google Scholar] [CrossRef] [PubMed]
- Cattoni, F.; Merlone, A.; Broggi, R.; Manacorda, M.; Vinci, R. Computer-assisted prosthetic planning and implant design with integrated digital bite registration: A treatment protocol. J. Biol. Regul. Homeost. Agents 2021, 35, 11–29. [Google Scholar] [CrossRef] [PubMed]









Disclaimer/Publisher’s Note: The statements, opinions and data contained in all publications are solely those of the individual author(s) and contributor(s) and not of MDPI and/or the editor(s). MDPI and/or the editor(s) disclaim responsibility for any injury to people or property resulting from any ideas, methods, instructions or products referred to in the content. |
© 2023 by the authors. Licensee MDPI, Basel, Switzerland. This article is an open access article distributed under the terms and conditions of the Creative Commons Attribution (CC BY) license (https://creativecommons.org/licenses/by/4.0/).
Share and Cite
Manfredini, M.; Poli, P.P.; Maiorana, C.; Salina, F.E.; Tandurella, M.; Beretta, M. Computer Aided Full Arch Restoration by Means of One-Piece Implants and Stackable Guide: A Technical Note. Dent. J. 2023, 11, 256. https://doi.org/10.3390/dj11110256
Manfredini M, Poli PP, Maiorana C, Salina FE, Tandurella M, Beretta M. Computer Aided Full Arch Restoration by Means of One-Piece Implants and Stackable Guide: A Technical Note. Dentistry Journal. 2023; 11(11):256. https://doi.org/10.3390/dj11110256
Chicago/Turabian StyleManfredini, Mattia, Pier Paolo Poli, Carlo Maiorana, Federica Eugenia Salina, Marco Tandurella, and Mario Beretta. 2023. "Computer Aided Full Arch Restoration by Means of One-Piece Implants and Stackable Guide: A Technical Note" Dentistry Journal 11, no. 11: 256. https://doi.org/10.3390/dj11110256
APA StyleManfredini, M., Poli, P. P., Maiorana, C., Salina, F. E., Tandurella, M., & Beretta, M. (2023). Computer Aided Full Arch Restoration by Means of One-Piece Implants and Stackable Guide: A Technical Note. Dentistry Journal, 11(11), 256. https://doi.org/10.3390/dj11110256

