Skin Mycetoma in an 11-Year-Old African Boy: Case Presentation with Emphasis on Histopathological Features and Differential Diagnosis
Abstract
:1. Introduction
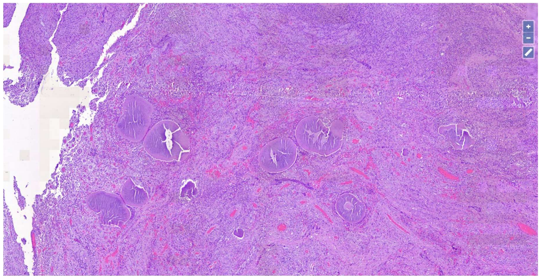
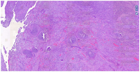
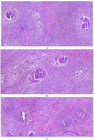
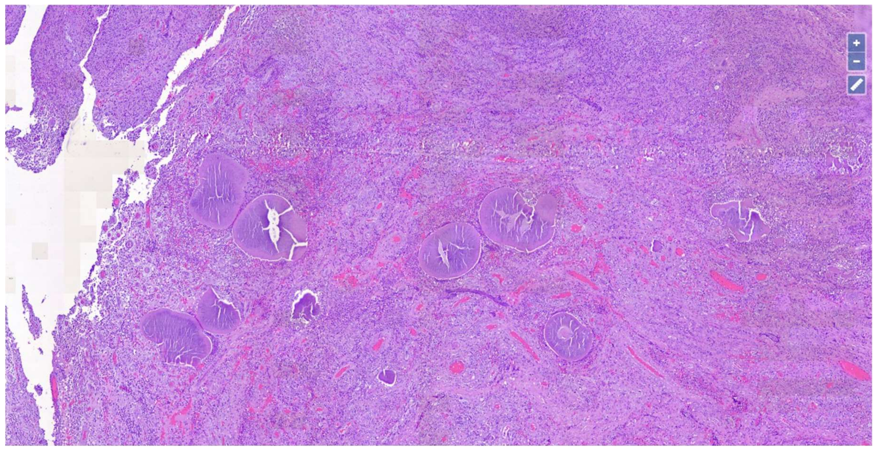
2. Case Presentation
3. Discussion
Author Contributions
Funding
Institutional Review Board Statement
Informed Consent Statement
Conflicts of Interest
References
- Andreoni, S.; Farina, C.; Lombardi, G.L. Atlas of Medical Mycology; Oxford SSystem: Bicester, UK, 2005. [Google Scholar]
- Zaias, N.; Taplin, D.; Rebell, G. Mycetoma. Arch. Dermatol. 1969, 99, 215–225. [Google Scholar] [CrossRef]
- Barnetson, R.S.; Milne, L.J. Mycetoma. Br. J. Dermatol. 1978, 99, 227–231. [Google Scholar] [CrossRef] [PubMed]
- Degavre, B.; Joujoux, J.M.; Dandurand, M.; Guillot, B. First report of mycetoma caused by Arthrographis kalrae: Successful treatment with itraconazole. J. Am. Acad. Dermatol. 1997, 37 (Pt 2), 318–320. [Google Scholar] [CrossRef]
- Fahal, A.; Mahgoub, E.S.; El Hassan, A.M.; Jacoub, A.O.; Hassan, D. Head and neck mycetoma: The mycetoma research centre experience. PLoS Negl. Trop. Dis. 2015, 13, e0003587. [Google Scholar] [CrossRef] [PubMed]
- Patterson, J.W. Weedon’s Skin Pathology, 5th ed.; Elsevier: Amsterdam, The Netherlands, 2019. [Google Scholar]
- Kandhari, K.C.; Mohapatra, L.N.; Sehgal, V.N.; Gugnani, H.C. Black grain mycetoma of foot. Arch. Dermatol. 1964, 89, 867–870. [Google Scholar] [CrossRef] [PubMed]
- Rajendran, C.; Kandhari, S. Mycetoma due to Nocardia brasiliensis: First case report from the Union Territory of Delhi. Mycoses 1989, 32, 476–481. [Google Scholar] [CrossRef] [PubMed]
- Verma, P.; Jha, A. Mycetoma: Reviewing a neglected disease. Clin. Exp. Dermatol. 2019, 44, 123–129. [Google Scholar] [CrossRef]
- Mahgoub, E.S. Mycetoma. Semin Dermatol. 1985, 4, 230–239. [Google Scholar]
- Zijlstra, E.E.; van de Sande, W.W.J.; Welsh, O.; Mahgoub, E.S.; Goodfellow, M.; Fahal, A.H. Mycetoma: A unique neglected tropical disease. Lancet Infect. Dis. 2016, 16, 100–112. [Google Scholar] [CrossRef]
- Wang, R.; Yao, X.; Li, R. Mycetoma in China: A Case Report and Review of the Literature. Mycopathologia 2019, 184, 327–334. [Google Scholar] [CrossRef] [PubMed]
- Bienvenu, A.L.; Picot, S. Mycetoma and Chromoblastomycosis: Perspective for Diagnosis Improvement Using Biomarkers. Molecules 2020, 2, 2594. [Google Scholar] [CrossRef] [PubMed]
- Magaña, M.; Magaña-García, M. Mycetoma. Dermatol. Clin. 1989, 7, 203–217. [Google Scholar] [CrossRef]
- Emmanuel, P.; Dumre, S.P.; John, S.; Karbwang, J.; Hirayama, K. Mycetoma: A clinical dilemma in resource limited settings. Ann. Clin. Microbiol. Antimicrob. 2018, 10, 35. [Google Scholar] [CrossRef] [PubMed] [Green Version]
- Emery, D.; Denning, D.W. The global distribution of actinomycetoma and eumycetoma. PLoS Negl. Trop. Dis. 2020, 24, e0008397. [Google Scholar] [CrossRef]
- Sawatkar, G.U.; Wankhade, V.H.; Supekar, B.B.; Singh, R.P.; Bhat, D.M.; Tankhiwale, S.S. Mycetoma: A Common Yet Unrecognized Health Burden in Central India. Indian Dermatol. Online J. 2019, 10, 256–261. [Google Scholar]
- Van de Sande, W.W. Global burden of human mycetoma: A systematic review and meta-analysis. PLoS Negl. Trop. Dis. 2013, 7, e2550. [Google Scholar] [CrossRef] [PubMed] [Green Version]
- Muir, D.B.; Pritchard, R.C. Eumycotic mycetoma due to Madurella grisea. Australas J. Dermatol. 1986, 27, 33–34. [Google Scholar] [CrossRef] [PubMed]
- Nyuykonge, B.; Klaassen, C.H.W.; Zandijk, W.H.A.; de Hoog, G.S.; Ahmed, S.A.; Desnos-Ollivier, M.; Verbon, A.; Bonifaz, A.; van de Sande, W.W.J. Diagnostic implications of mycetoma derived from Madurella pseudomycetomatis isolates from Mexico. J. Eur. Acad. Dermatol. Venereol. 2020, 34, 1828–1834. [Google Scholar] [CrossRef] [PubMed] [Green Version]
- Siddig, E.E.; van de Sande, W.W.J.; Fahal, A.H. Actinomycetoma laboratory-based diagnosis: A mini-review. Trans. R. Soc. Trop. Med. Hyg. 2021, 14, 355–363. [Google Scholar] [CrossRef]
- Bonifaz, A.; Tirado-Sánchez, A.; Araiza, J.; Treviño-Rangel, R.; González, G.M. Deep mycoses and pseudomycoses of the foot: A single-center retrospective study of 160 cases, in a tertiary-care center in Mexico. Foot 2021, 46, 101770. [Google Scholar]
- Guerra-Leal, J.D.; Medrano-Danés, L.A.; Montemayor-Martinez, A.; Pérez-Rodríguez, E.; Luna-Gurrola, C.E.; Arenas-Guzman, R.; Salas-Alanís, J.C. The importance of diagnostic imaging of mycetoma in the foot. Int. J. Dermatol. 2019, 58, 600–604. [Google Scholar] [CrossRef] [PubMed]



Publisher’s Note: MDPI stays neutral with regard to jurisdictional claims in published maps and institutional affiliations. |
© 2021 by the authors. Licensee MDPI, Basel, Switzerland. This article is an open access article distributed under the terms and conditions of the Creative Commons Attribution (CC BY) license (https://creativecommons.org/licenses/by/4.0/).
Share and Cite
Cazzato, G.; Colagrande, A.; Cimmino, A.; Lospalluti, L.; Demarco, A.; Foti, C.; Romita, P.; Arezzo, F.; Loizzi, V.; Parente, P.; et al. Skin Mycetoma in an 11-Year-Old African Boy: Case Presentation with Emphasis on Histopathological Features and Differential Diagnosis. Dermatopathology 2021, 8, 509-514. https://doi.org/10.3390/dermatopathology8040053
Cazzato G, Colagrande A, Cimmino A, Lospalluti L, Demarco A, Foti C, Romita P, Arezzo F, Loizzi V, Parente P, et al. Skin Mycetoma in an 11-Year-Old African Boy: Case Presentation with Emphasis on Histopathological Features and Differential Diagnosis. Dermatopathology. 2021; 8(4):509-514. https://doi.org/10.3390/dermatopathology8040053
Chicago/Turabian StyleCazzato, Gerardo, Anna Colagrande, Antonietta Cimmino, Lucia Lospalluti, Aurora Demarco, Caterina Foti, Paolo Romita, Francesca Arezzo, Vera Loizzi, Paola Parente, and et al. 2021. "Skin Mycetoma in an 11-Year-Old African Boy: Case Presentation with Emphasis on Histopathological Features and Differential Diagnosis" Dermatopathology 8, no. 4: 509-514. https://doi.org/10.3390/dermatopathology8040053
APA StyleCazzato, G., Colagrande, A., Cimmino, A., Lospalluti, L., Demarco, A., Foti, C., Romita, P., Arezzo, F., Loizzi, V., Parente, P., Resta, L., & Ingravallo, G. (2021). Skin Mycetoma in an 11-Year-Old African Boy: Case Presentation with Emphasis on Histopathological Features and Differential Diagnosis. Dermatopathology, 8(4), 509-514. https://doi.org/10.3390/dermatopathology8040053

